UHT Cow’s Milk Supplementation Affects Cell Niches and Functions of the Gut–Brain Axis in BALB/c Mice
Abstract
1. Introduction
2. Materials and Methods
2.1. Animals and Milk Supplementation
2.2. Behavioral Assays
2.3. Social Interaction, Social Play, and Social Retraction
2.4. Stereotyped Motor Behavior
2.5. Three-Chamber Test
2.6. Basso Mouse Scale, BMS
2.7. Ladder Rung Walk Test
2.8. Histological Analysis and Immunohistochemistry
2.9. Immunofluorescence
2.10. Statistical Analysis
3. Results
3.1. Cow’s Milk Administration Was Associated with Autistic-like Behaviors in BALB/c Mice
3.2. Oral Administration of Milk Affected the Distribution of Blood Leukocytes
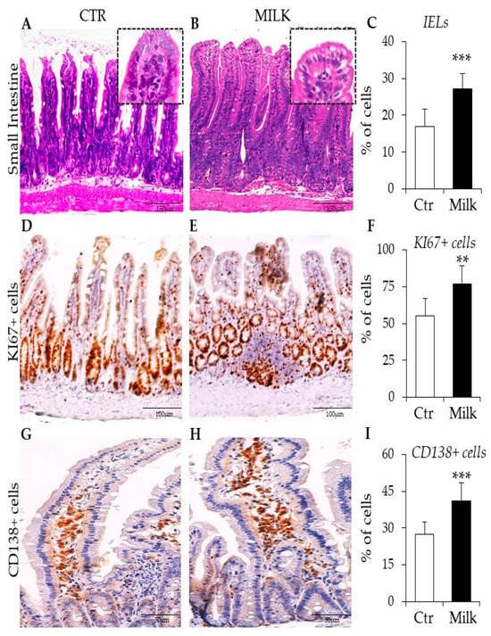
3.3. Milk Consumption Induced Gut Inflammation in Mice
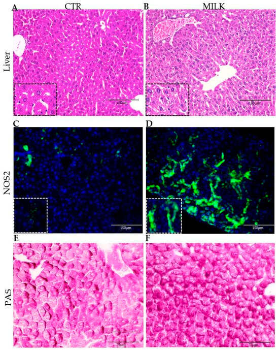
3.4. Milk Consumption Induced Hepatic Oxidative Stress in Mice
3.5. Milk Intake Dysregulated the Expression of Genes Linked to Gut–Liver Axis Functions
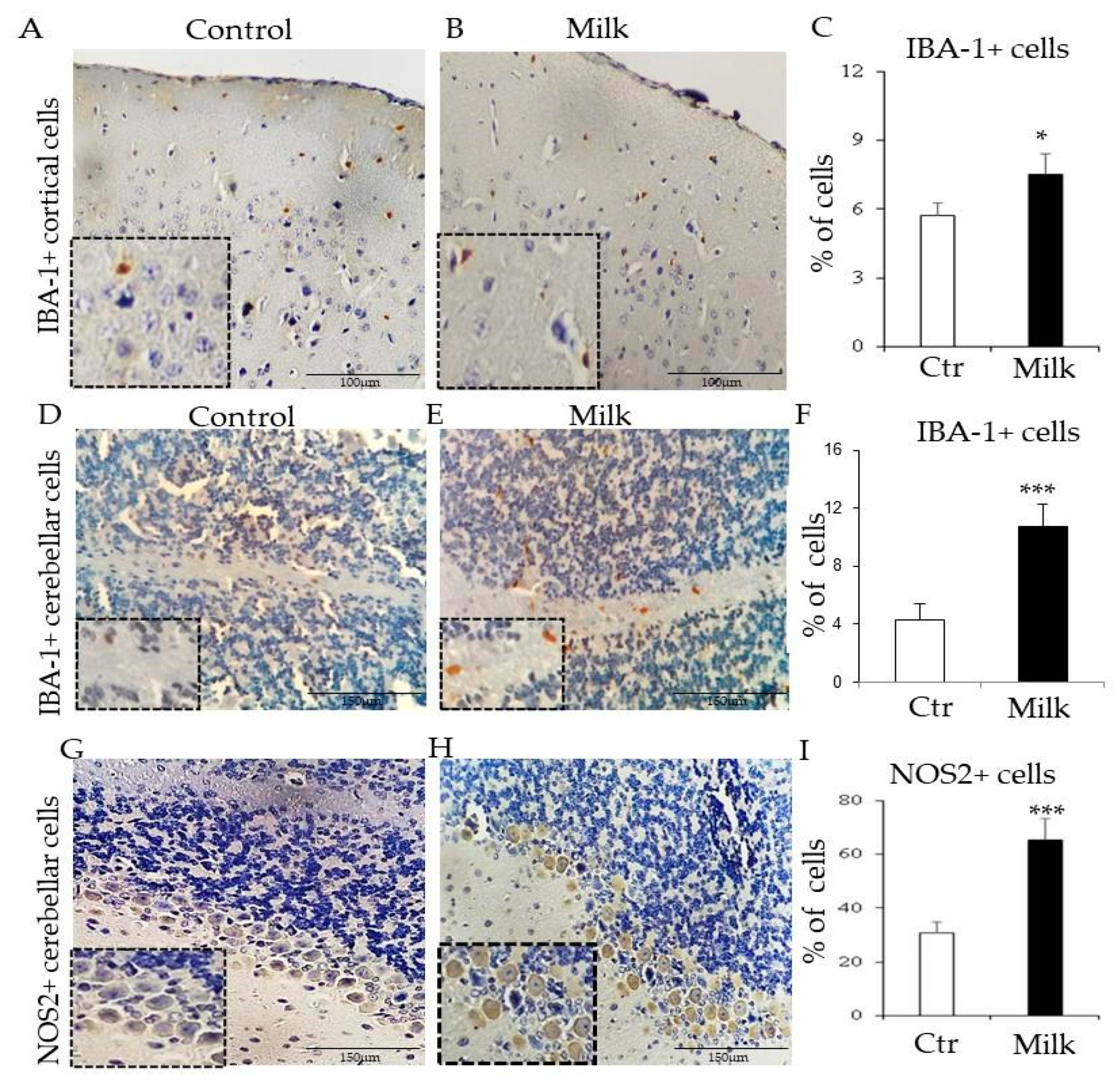
3.6. Gut–Liver Axis Disturbances Were Linked to Neuroinflammatory Signals After Milk Intake
3.7. Cow’s Milk Consumption Disturbed Post-Synaptic Cells in Mice
4. Discussion
5. Conclusions
Author Contributions
Funding
Institutional Review Board Statement
Informed Consent Statement
Data Availability Statement
Acknowledgments
Conflicts of Interest
References
- Melnik, B.C. Milk—A Nutrient System of Mammalian Evolution Promoting mTORC1-Dependent Translation. Int. J. Mol. Sci. 2015, 16, 17048–17087. [Google Scholar] [CrossRef] [PubMed]
- Słyk-Gulewska, P.; Kondracka, A.; Kwaśniewska, A. MicroRNA as a new bioactive component in breast milk. Noncoding RNA Res. 2023, 8, 520–526. [Google Scholar] [CrossRef] [PubMed]
- Gallo, V.; Arienzo, A.; Tomassetti, F.; Antonini, G. Milk Bioactive Compounds and Gut Microbiota Modulation: The Role of Whey Proteins and Milk Oligosaccharides. Foods 2024, 13, 907. [Google Scholar] [CrossRef]
- Sheng, B.; Nielsen, S.D.; Poulsen, N.A.; Larsen, L.B. Differential in vitro digestion rates in gastric phase of bovine milk with different κ-casein phenotypes. J. Dairy Sci. 2021, 104, 10462–10472. [Google Scholar] [CrossRef]
- Catanzaro, R.; Sciuto, M.; Marotta, F. Lactose intolerance: An update on its pathogenesis, diagnosis, and treatment. Nutr. Res. 2021, 89, 23–34. [Google Scholar] [CrossRef] [PubMed]
- Mosca, F.; Giannì, M.L. Human milk: Composition and health benefits. Pediatr. Med. Chir. 2017, 39, 155. [Google Scholar] [CrossRef]
- Brishti, A.; Germundson-Hermanson, D.L.; Smith, N.A.; Kearney, A.E.; Warda, Y.; Nagamoto-Combs, K. Asymptomatic sensitization to a cow’s milk protein induces sustained neuroinflammation and behavioral changes with chronic allergen exposure. Front. Allergy 2022, 3, 870628. [Google Scholar] [CrossRef]
- Trinchese, G.; Feola, A.; Cavaliere, G.; Cimmino, F.; Catapano, A.; Penna, E.; Scala, G.; Greco, L.; Bernardo, L.; Porcellini, A.; et al. Mitochondrial metabolism and neuroinflammation in the cerebral cortex and cortical synapses of rats: Effect of milk intake through DNA methylation. J. Nutr. Biochem. 2024, 128, 109624. [Google Scholar] [CrossRef] [PubMed]
- Tong, L.; Zhang, S.; Liu, Q.; Huang, C.; Hao, H.; Tan, M.S.; Yu, X.; Lou, C.K.L.; Huang, R.; Zhang, Z.; et al. Milk-derived extracellular vesicles protect intestinal barrier integrity in the gut-liver axis. Sci Adv. 2023, 9, eade5041. [Google Scholar] [CrossRef]
- Góralczyk-Bińkowska, A.; Szmajda-Krygier, D.; Kozłowska, E. The Microbiota-Gut-Brain Axis in Psychiatric Disorders. Int. J. Mol. Sci. 2022, 23, 11245. [Google Scholar] [CrossRef]
- Brodkin, E.S. BALB/c mice: Low sociability and other phenotypes that may be relevant to autism. Behav. Brain Res. 2007, 176, 53–65. [Google Scholar] [CrossRef] [PubMed]
- Fairless, A.H.; Dow, H.C.; Kreibich, A.S.; Torre, M.; Kuruvilla, M.; Gordon, E.; Morton, E.A.; Tan, J.; Berrettini, W.H.; Li, H.; et al. Sociability and brain development in BALB/cJ and C57BL/6J mice. Behav. Brain Res. 2012, 228, 299–310. [Google Scholar] [CrossRef]
- Phillips, A.D.; Rice, S.J.; France, N.E.; Walker-Smith, J.A. Small intestinal intraepithelial lymphocyte levels in cow’s milk protein intolerance. Gut 1979, 20, 509–512. [Google Scholar] [CrossRef] [PubMed]
- Mercer, N.; Guzman, L.; Cueto Rua, E.; Drut, R.; Ahmed, H.; Vasta, G.R.; Toscano, M.A.; Rabinovich, G.A.; Docena, G.H. Duodenal intraepithelial lymphocytes of children with cow milk allergy preferentially bind the glycan-binding protein galectin-3. Int. J. Immunopathol. Pharmacol. 2009, 22, 207–217. [Google Scholar] [CrossRef]
- Fekete, F.; Mangó, K.; Minus, A.; Tóth, K.; Monostory, K. CYP1A2 mRNA Expression Rather than Genetic Variants Indicate Hepatic CYP1A2 Activity. Pharmaceutics 2022, 14, 532. [Google Scholar] [CrossRef] [PubMed]
- Carambia, A.; Schuran, F.A. The aryl hydrocarbon receptor in liver inflammation. Semin. Immunopathol. 2021, 43, 563–575. [Google Scholar] [CrossRef]
- Liu, J.; Jiang, Y.; Jiang, Z.; Feng, Y.; Zhao, R. Distinct Patterns of GR Transcriptional Regulation in Liver and Muscle of LPS-Challenged Weaning Piglets. Int. J. Mol. Sci. 2022, 23, 8072. [Google Scholar] [CrossRef]
- Hugenholtz, F.; de Vos, W.M. Mouse models for human intestinal microbiota research: A critical evaluation. Cell. Mol. Life Sci. 2018, 75, 149–160. [Google Scholar] [CrossRef]
- Pratelli, G.; Tamburini, B.; Badami, G.D.; Lo Pizzo, M.; De Blasio, A.; Carlisi, D.; Di Liberto, D. Cow’s Milk: A Benefit for Human Health? Omics Tools and Precision Nutrition for Lactose Intolerance Management. Nutrients 2024, 16, 320. [Google Scholar] [CrossRef]
- Li, J.; Zhang, W.; Wang, C.; Yu, Q.; Dai, R.; Pei, X. Lactococcus lactis expressing food-grade β-galactosidase alleviates lactose intolerance symptoms in post-weaning Balb/c mice. Appl. Microbiol. Biotechnol. 2012, 96, 1499–1506. [Google Scholar] [CrossRef] [PubMed]
- Huang, M.; Shao, H.; Zhang, X.; Yang, F.; Wang, J.; Tan, S.; Chen, H.; Li, X. Comparison of cow’s milk allergy models highlighted higher humoral and Th2 immune responses in BALB/c than C3H/HeNCrl mice. Food Chem. Toxicol. 2024, 184, 114315. [Google Scholar] [CrossRef] [PubMed]
- Wang, Z.; Wu, Q.; Guan, M.; Li, Z.; Pan, W.; Tang, W. Investigation of gut microbiota changes and allergic inflammation of mice with milk protein-induced allergic enteritis. FEMS Microbiol. Lett. 2023, 371, fnad127. [Google Scholar] [CrossRef] [PubMed]
- Osman, A.; Zuffa, S.; Walton, G.; Fagbodun, E.; Zanos, P.; Georgiou, P.; Kitchen, I.; Swann, J.; Bailey, A. Post-weaning A1/A2 β-casein milk intake modulates depressive-like behavior, brain μ-opioid receptors, and the metabolome of rats. iScience 2021, 24, 103048. [Google Scholar] [CrossRef]
- Jacenik, D.; Bagüés, A.; López-Gómez, L.; López-Tofiño, Y.; Iriondo-DeHond, A.; Serra, C.; Banovcanová, L.; Gálvez-Robleño, C.; Fichna, J.; del Castillo, M.D.; et al. Changes in Fatty Acid Dietary Profile Affect the Brain-Gut Axis Functions of Healthy Young Adult Rats in a Sex-Dependent Manner. Nutrients 2021, 13, 1864. [Google Scholar] [CrossRef]
- Rajanala, K.; Kumar, N.; Chamallamudi, M.R. Modulation of Gut-Brain Axis by Probiotics: A Promising Anti-depressant Approach. Curr. Neuropharmacol. 2021, 19, 990–1006. [Google Scholar] [CrossRef]
- Robinson, S.R.; Greenway, F.L.; Deth, R.C.; Fayet-Moore, F. Effects of Different Cow-Milk Beta-Caseins on the Gut-Brain Axis: A Narrative Review of Preclinical, Animal, and Human Studies. Nutr. Rev. 2024, nuae099. [Google Scholar] [CrossRef]
- Baspinar, B.; Yardimci, H. Gluten-Free Casein-Free Diet for Autism Spectrum Disorders: Can It Be Effective in Solving Behavioural and Gastrointestinal Problems? Eurasian J. Med. 2020, 52, 292–297. [Google Scholar] [CrossRef] [PubMed]
- Quan, L.; Xu, X.; Cui, Y.; Han, H.; Hendren, R.L.; Zhao, L.; You, X. A systematic review and meta-analysis of the benefits of a gluten-free diet and/or casein-free diet for children with autism spectrum disorder. Nutr. Rev. 2022, 80, 1237–1246. [Google Scholar] [CrossRef]
- Lucarelli, S.; Frediani, T.; Zingoni, A.M.; Ferruzzi, F.; Giardini, O.; Quintieri, F.; Barbato, M.; D’Eufemia, P.; Cardi, E. Food allergy and infantile autism. Panminerva Med. 1995, 37, 137–141. [Google Scholar]
- Turck, D. Cow’s milk and goat’s milk. World Rev. Nutr. Diet. 2013, 108, 56–62. [Google Scholar] [CrossRef]
- Tarnowska, K.; Gruczyńska-Sękowska, E.; Kowalska, D.; Kozłowska, M.; Majewska, E.; Winkler, R. Difficulties and factors influencing purchase decision. The perspective of families with children with autism spectrum disorders on a gluten-free and casein-free diet. Preliminary study. Rocz. Państwowego Zakładu Hig. 2020, 71, 321–328. [Google Scholar] [CrossRef]
- Krishnamurthy, D.; Starkl, P.; Szalai, K.; Roth-Walter, F.; Diesner, S.C.; Mittlboeck, M.; Mannhalter, C.; Untersmayr, E.; Jensen-Jarolim, E. Monitoring neutrophils and platelets during casein-induced anaphylaxis in an experimental BALB/c mouse model. Clin. Exp. Allergy 2012, 42, 1119–1128. [Google Scholar] [CrossRef]
- Pan, L.-L.; Deng, Y.-Y.; Wang, R.; Wu, C.; Li, J.; Niu, W.; Yang, Q.; Bhatia, M.; Gudmundsson, G.H.; Agerberth, B.; et al. Lactose Induces Phenotypic and Functional Changes of Neutrophils and Macrophages to Alleviate Acute Pancreatitis in Mice. Front. Immunol. 2018, 9, 751. [Google Scholar] [CrossRef] [PubMed]
- Yadav, S.; Yadav, N.D.S.; Gheware, A.; Kulshreshtha, A.; Sharma, P.; Singh, V.P. Oral Feeding of Cow Milk Containing A1 Variant of β Casein Induces Pulmonary Inflammation in Male Balb/c Mice. Sci. Rep. 2020, 10, 8053. [Google Scholar] [CrossRef]
- Pracht, K.; Wittner, J.; Kagerer, F.; Jäck, H.M.; Schuh, W. The intestine: A highly dynamic microenvironment for IgA plasma cells. Front. Immunol. 2023, 14, 1114348. [Google Scholar] [CrossRef] [PubMed]
- Spencer, J.; Bemark, M. Human intestinal B cells in inflammatory diseases. Nat. Rev. Gastroenterol. Hepatol. 2023, 20, 254–265. [Google Scholar] [CrossRef]
- Lutter, L.; Hoytema van Konijnenburg, D.P.; Brand, E.C.; Oldenburg, B.; van Wijk, F. The elusive case of human intraepithelial T cells in gut homeostasis and inflammation. Nat. Rev. Gastroenterol. Hepatol. 2018, 15, 637–649. [Google Scholar] [CrossRef] [PubMed]
- Panahipour, L.; Stähli, A.; Haiden, N.; Gruber, R. TGF-β activity in cow milk and fermented milk products: An in vitro bioassay with oral fibroblasts. Arch. Oral Biol. 2018, 95, 15–21. [Google Scholar] [CrossRef]
- Hoeflich, A.; Meyer, Z. Functional analysis of the IGF-system in milk. Best Pr. Res. Clin. Endocrinol. Metab. 2017, 31, 409–418. [Google Scholar] [CrossRef]
- Singh, N.; Bansal, M.; Pal, S.; Alam, S.; Jagdale, P.; Ayanur, A.; Ansari, K.M. COX-2/EP2-EP4/β-catenin signaling regulates patulin-induced intestinal cell proliferation and inflammation. Toxicol. Appl. Pharmacol. 2018, 356, 224–234. [Google Scholar] [CrossRef]
- Lin, Y.J.; Li, H.M.; Gao, Y.R.; Wu, P.F.; Cheng, B.; Yu, C.L.; Sheng, Y.X.; Xu, H.M. Environmentally relevant concentrations of benzophenones exposure disrupt intestinal homeostasis, impair the intestinal barrier, and induce inflammation in mice. Environ. Pollut. 2024, 350, 123948. [Google Scholar] [CrossRef] [PubMed]
- Tang, W.; Wei, Y.; Ni, Z.; Hou, K.; Luo, X.M.; Wang, H. IgA-mediated control of host-microbial interaction during weaning reaction influences gut inflammation. Gut Microbes 2024, 16, 2323220. [Google Scholar] [CrossRef] [PubMed]
- Fayed, A.E.; El Sheikha, A.F.; Ali, A.A.; Hassan, M.A. The effects of packaging type and storage temperature on some of UHT milk quality indexes. Food Sci. Technol. Int. 2023, 29, 361–371. [Google Scholar] [CrossRef] [PubMed]
- Ford, J.E.; Porter, J.W.; Thompson, S.Y.; Toothill, J.; Edwards-Webb, J.D. Effects of ultra-high-temperature (UHT) processing and of subsequent storage on the vitamin content of milk. J. Dairy Res. 1969, 36, 447–454. [Google Scholar] [CrossRef]
- Bottiroli, R.; Dario Troise, A.; Aprea, E.; Fogliano, V.; Vitaglione, P.; Gasperi, F. Chemical and sensory changes during shelf-life of UHT hydrolyzed-lactose milk produced by “in batch” system employing different commercial lactase preparations. Food Res. Int. 2020, 136, 109552. [Google Scholar] [CrossRef] [PubMed]
- Miki, K.; Kumar, A.; Yang, R.; Killeen, M.E.; Delude, R.L. Extracellular activation of arginase-1 decreases enterocyte inducible nitric oxide synthase activity during systemic inflammation. Am. J. Physiol. Liver Physiol. 2009, 297, G840–G848. [Google Scholar] [CrossRef]
- Brenner, C.; Galluzzi, L.; Kepp, O.; Kroemer, G. Decoding cell death signals in liver inflammation. J. Hepatol. 2013, 59, 583–594. [Google Scholar] [CrossRef]
- Becerril, S.; Rodríguez, A.; Catalán, V.; Ramírez, B.; Unamuno, X.; Gómez-Ambrosi, J.; Frühbeck, G. iNOS Gene Ablation Prevents Liver Fibrosis in Leptin-Deficient ob/ob Mice. Genes 2019, 10, 184. [Google Scholar] [CrossRef]
- Zhang, Q.; Zhang, H.Y.; Yu, X.Q.; Cui, Z.J.; Lv, Z.W. Impact of particulate matter 2.5 on the liver function of mice. Eur. Rev. Med. Pharmacol. Sci. 2023, 27, 4357–4368. [Google Scholar] [CrossRef]
- Yao, S.; Chai, H.; Tao, T.; Zhang, L.; Yang, X.; Li, X.; Yi, Z.; Wang, Y.; An, J.; Wen, G.; et al. Role of lactate and lactate metabolism in liver diseases (Review). Int. J. Mol. Med. 2024, 54, 59. [Google Scholar] [CrossRef]
- Carvalho Ribeiro, M.; Szabo, G. Role of the Inflammasome in Liver Disease. Annu. Rev. Pathol. Mech. Dis. 2022, 17, 345–365. [Google Scholar] [CrossRef] [PubMed]
- Zhang, W.J.; Chen, S.J.; Zhou, S.C.; Wu, S.Z.; Wang, H. Inflammasomes and Fibrosis. Front. Immunol. 2021, 12, 643149. [Google Scholar] [CrossRef] [PubMed]
- Chatterton, D.E.; Nguyen, D.N.; Bering, S.B.; Sangild, P.T. Anti-inflammatory mechanisms of bioactive milk proteins in the intestine of newborns. Int. J. Biochem. Cell Biol. 2013, 45, 1730–1747. [Google Scholar] [CrossRef] [PubMed]
- Nordgren, T.M.; Heires, A.J.; Zempleni, J.; Swanson, B.J.; Wichman, C.; Romberger, D.J. Bovine milk-derived extracellular vesicles enhance inflammation and promote M1 polarization following agricultural dust exposure in mice. J. Nutr. Biochem. 2018, 64, 110–120. [Google Scholar] [CrossRef]
- Kang, J.; Postigo-Fernandez, J.; Kim, K.; Zhu, C.; Yu, J.; Meroni, M.; Mayfield, B.; Bartolomé, A.; Dapito, D.H.; Ferrante, A.W., Jr.; et al. Notch-mediated hepatocyte MCP-1 secretion causes liver fibrosis. JCI Insight 2023, 8, e165369. [Google Scholar] [CrossRef] [PubMed]
- Hussain, M.; Umair Ijaz, M.; Ahmad, M.I.; Khan, I.A.; Bukhary, S.U.F.; Khan, W.; Hussain, S.; Hashmi, M.S.; Li, C. Gut inflammation exacerbates hepatic injury in C57BL/6J mice via gut-vascular barrier dysfunction with high-fat-incorporated meat protein diets. Food Funct. 2020, 11, 9168–9176. [Google Scholar] [CrossRef]
- Tang, S.; Zhang, J.; Zhang, L.; Zhao, Y.; Xiao, L.; Zhang, F.; Li, Q.; Yang, Y.; Liu, Q.; Xu, J.; et al. Knockdown of CXCL1 improves ACLF by reducing neutrophil recruitment to attenuate ROS production and hepatocyte apoptosis. Hepatol. Commun. 2023, 7, e0257. [Google Scholar] [CrossRef]
- Wang, Y.; Zhang, Y.; Liu, Y.; Xu, J.; Liu, Y. Gut-Liver Axis: Liver Sinusoidal Endothelial Cells Function as the Hepatic Barrier in Colitis-Induced Liver Injury. Front. Cell Dev. Biol. 2021, 9, 702890. [Google Scholar] [CrossRef]
- Wang, S.; Xu, Q.; Qu, K.; Wang, J.; Zhou, Z. CYP1A2 polymorphism may contribute to agomelatine-induced acute liver injury: Case report and review of the literature. Medicine 2021, 100, e27736. [Google Scholar] [CrossRef]
- Deng, F.; Qin, G.; Chen, Y.; Zhang, X.; Zhu, M.; Hou, M.; Yao, Q.; Gu, W.; Wang, C.; Yang, H.; et al. Multi-omics reveals 2-bromo-4,6-dinitroaniline (BDNA)-induced hepatotoxicity and the role of the gut-liver axis in rats. J. Hazard. Mater. 2023, 457, 131760. [Google Scholar] [CrossRef]
- He, B.; Cruz-Topete, D.; Oakley, R.H.; Xiao, X.; Cidlowski, J.A. Human Glucocorticoid Receptor β Regulates Gluconeogenesis and Inflammation in Mouse Liver. Mol. Cell. Biol. 2016, 36, 714–730. [Google Scholar] [CrossRef] [PubMed]
- Shao, Q.; Wu, Y.; Ji, J.; Xu, T.; Yu, Q.; Ma, C.; Liao, X.; Cheng, F.; Wang, X. Interaction Mechanisms Between Major Depressive Disorder and Non-alcoholic Fatty Liver Disease. Front. Psychiatry 2021, 12, 711835. [Google Scholar] [CrossRef] [PubMed]
- Hoogland, I.C.; Houbolt, C.; van Westerloo, D.J.; van Gool, W.A.; van de Beek, D. Systemic inflammation and microglial activation: Systematic review of animal experiments. J. Neuroinflammation 2015, 12, 114. [Google Scholar] [CrossRef] [PubMed]
- Zhao, J.; Bi, W.; Xiao, S.; Lan, X.; Cheng, X.; Zhang, J.; Lu, D.; Wei, W.; Wang, Y.; Li, H.; et al. Neuroinflammation induced by lipopolysaccharide causes cognitive impairment in mice. Sci. Rep. 2019, 9, 5790. [Google Scholar] [CrossRef] [PubMed]
- Schmahmann, J.D. The cerebellum and cognition. Neurosci. Lett. 2019, 688, 62–75. [Google Scholar] [CrossRef]
- Hayashi, M. Oxidative stress in developmental brain disorders. Neuropathology 2009, 29, 1–8. [Google Scholar] [CrossRef]
- Sajdel-Sulkowska, E.M.; Xu, M.; Koibuchi, N. Increase in cerebellar neurotrophin-3 and oxidative stress markers in autism. Cerebellum 2009, 8, 366–372. [Google Scholar] [CrossRef]
- Dong, D.; Zielke, H.R.; Yeh, D.; Yang, P. Cellular stress and apoptosis contribute to the pathogenesis of autism spectrum disorder. Autism Res. 2018, 11, 1076–1090. [Google Scholar] [CrossRef]
- Meyza, K.Z.; Blanchard, D.C. The BTBR mouse model of idiopathic autism—Current view on mechanisms. Neurosci. Biobehav. Rev. 2017, 76 Pt A, 99–110. [Google Scholar] [CrossRef]
- Nadeem, A.; Ahmad, S.F.; Al-Harbi, N.O.; Attia, S.M.; Alshammari, M.A.; Alzahrani, K.S.; Bakheet, S.A. Increased oxidative stress in the cerebellum and peripheral immune cells leads to exaggerated autism-like repetitive behavior due to deficiency of antioxidant response in BTBR T + tf/J mice. Prog Neuropsychopharmacol. Biol. Psychiatry 2019, 89, 245–253. [Google Scholar] [CrossRef]
- Urrutia-Ruiz, C.; Rombach, D.; Cursano, S.; Gerlach-Arbeiter, S.; Schoen, M.; Bockmann, J.; Demestre, M.; Boeckers, T.M. Deletion of the Autism-Associated Protein SHANK3 Abolishes Structural Synaptic Plasticity after Brain Trauma. Int. J. Mol. Sci. 2022, 23, 6081. [Google Scholar] [CrossRef]
- Peça, J.; Feliciano, C.; Ting, J.T.; Wang, W.; Wells, M.F.; Venkatraman, T.N.; Lascola, C.D.; Fu, Z.; Feng, G. Shank3 mutant mice display autistic-like behaviours and striatal dysfunction. Nature 2011, 472, 437–442. [Google Scholar] [CrossRef] [PubMed]
- Zhou, Y.; Kaiser, T.; Monteiro, P.; Zhang, X.; Van der Goes, M.S.; Wang, D.; Barak, B.; Zeng, M.; Li, C.; Lu, C.; et al. Mice with Shank3 Mutations Associated with ASD and Schizophrenia Display Both Shared and Distinct Defects. Neuron 2016, 89, 147–162. [Google Scholar] [CrossRef] [PubMed]
- Kojima, N.; Shirao, T. Synaptic dysfunction and disruption of postsynaptic drebrin-actin complex: A study of neurological disorders accompanied by cognitive deficits. Neurosci. Res. 2007, 58, 1–5. [Google Scholar] [CrossRef] [PubMed]
- Dorskind, J.M.; Sudarsanam, S.; Hand, R.A.; Ziak, J.; Amoah-Dankwah, M.; Guzman-Clavel, L.; Soto-Vargas, J.L.; Kolodkin, A.L. Drebrin Regulates Collateral Axon Branching in Cortical Layer II/III Somatosensory Neurons. J. Neurosci. 2023, 43, 7745–7765. [Google Scholar] [CrossRef]







Disclaimer/Publisher’s Note: The statements, opinions and data contained in all publications are solely those of the individual author(s) and contributor(s) and not of MDPI and/or the editor(s). MDPI and/or the editor(s) disclaim responsibility for any injury to people or property resulting from any ideas, methods, instructions or products referred to in the content. |
© 2024 by the authors. Licensee MDPI, Basel, Switzerland. This article is an open access article distributed under the terms and conditions of the Creative Commons Attribution (CC BY) license (https://creativecommons.org/licenses/by/4.0/).
Share and Cite
Lemos, F.S.; Prins, C.A.; Martinez, A.M.B.; Carpi-Santos, R.; Neumann, A.S.; Meireles-da-Costa, N.; Luisetto, R.; de Mello-Coelho, V.; Oliveira, F.L. UHT Cow’s Milk Supplementation Affects Cell Niches and Functions of the Gut–Brain Axis in BALB/c Mice. Biomedicines 2024, 12, 2448. https://doi.org/10.3390/biomedicines12112448
Lemos FS, Prins CA, Martinez AMB, Carpi-Santos R, Neumann AS, Meireles-da-Costa N, Luisetto R, de Mello-Coelho V, Oliveira FL. UHT Cow’s Milk Supplementation Affects Cell Niches and Functions of the Gut–Brain Axis in BALB/c Mice. Biomedicines. 2024; 12(11):2448. https://doi.org/10.3390/biomedicines12112448
Chicago/Turabian StyleLemos, Felipe S., Caio A. Prins, Ana M. B. Martinez, Raul Carpi-Santos, Arthur S. Neumann, Nathalia Meireles-da-Costa, Roberto Luisetto, Valeria de Mello-Coelho, and Felipe L. Oliveira. 2024. "UHT Cow’s Milk Supplementation Affects Cell Niches and Functions of the Gut–Brain Axis in BALB/c Mice" Biomedicines 12, no. 11: 2448. https://doi.org/10.3390/biomedicines12112448
APA StyleLemos, F. S., Prins, C. A., Martinez, A. M. B., Carpi-Santos, R., Neumann, A. S., Meireles-da-Costa, N., Luisetto, R., de Mello-Coelho, V., & Oliveira, F. L. (2024). UHT Cow’s Milk Supplementation Affects Cell Niches and Functions of the Gut–Brain Axis in BALB/c Mice. Biomedicines, 12(11), 2448. https://doi.org/10.3390/biomedicines12112448

