Comparison of the Eggshell and the Porcine Pericardium Membranes for Guided Tissue Regeneration Applications
Abstract
:1. Introduction
2. Materials and Methods
2.1. Production of the Membrane
2.2. Histology
2.3. Scanning Electron Microscopy
2.4. Mechanical Testing: Tensile Testing
2.5. Atomic-Force Microscopy
3. Results
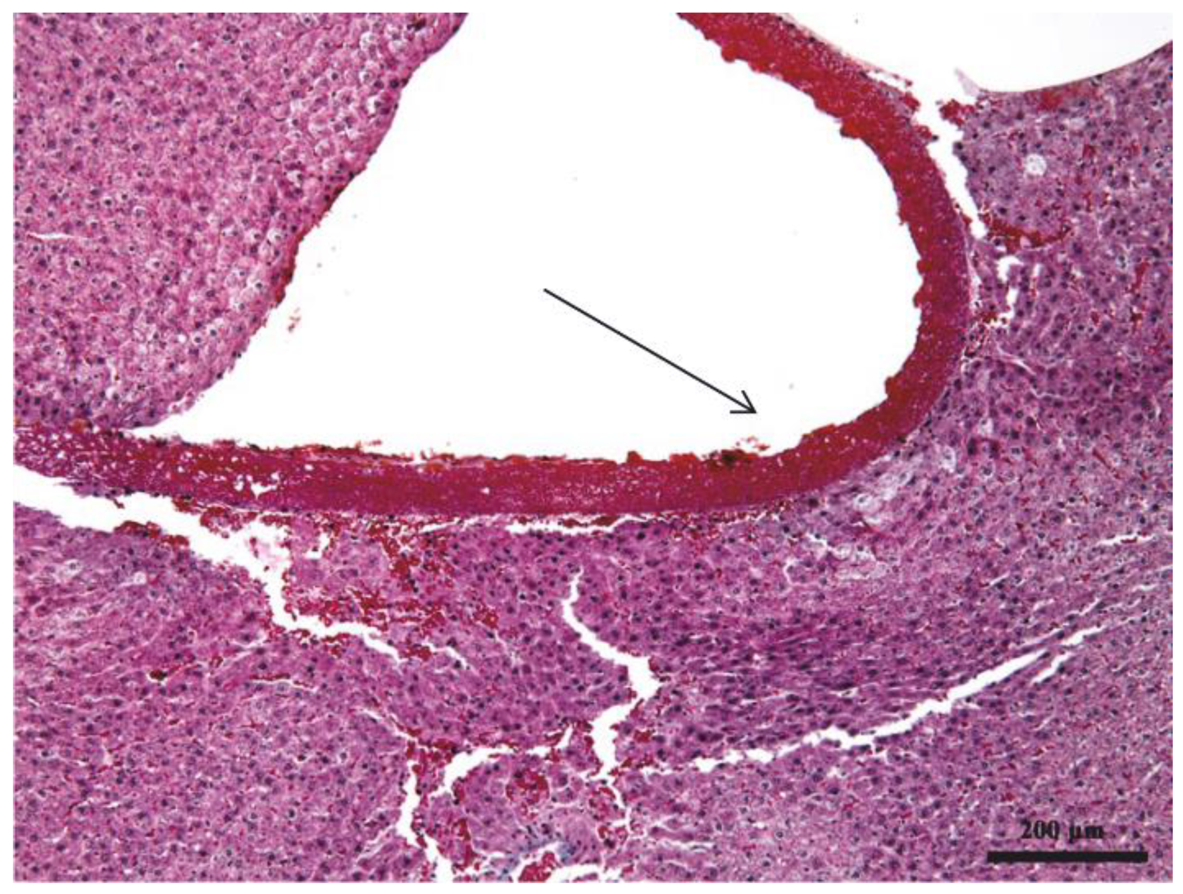
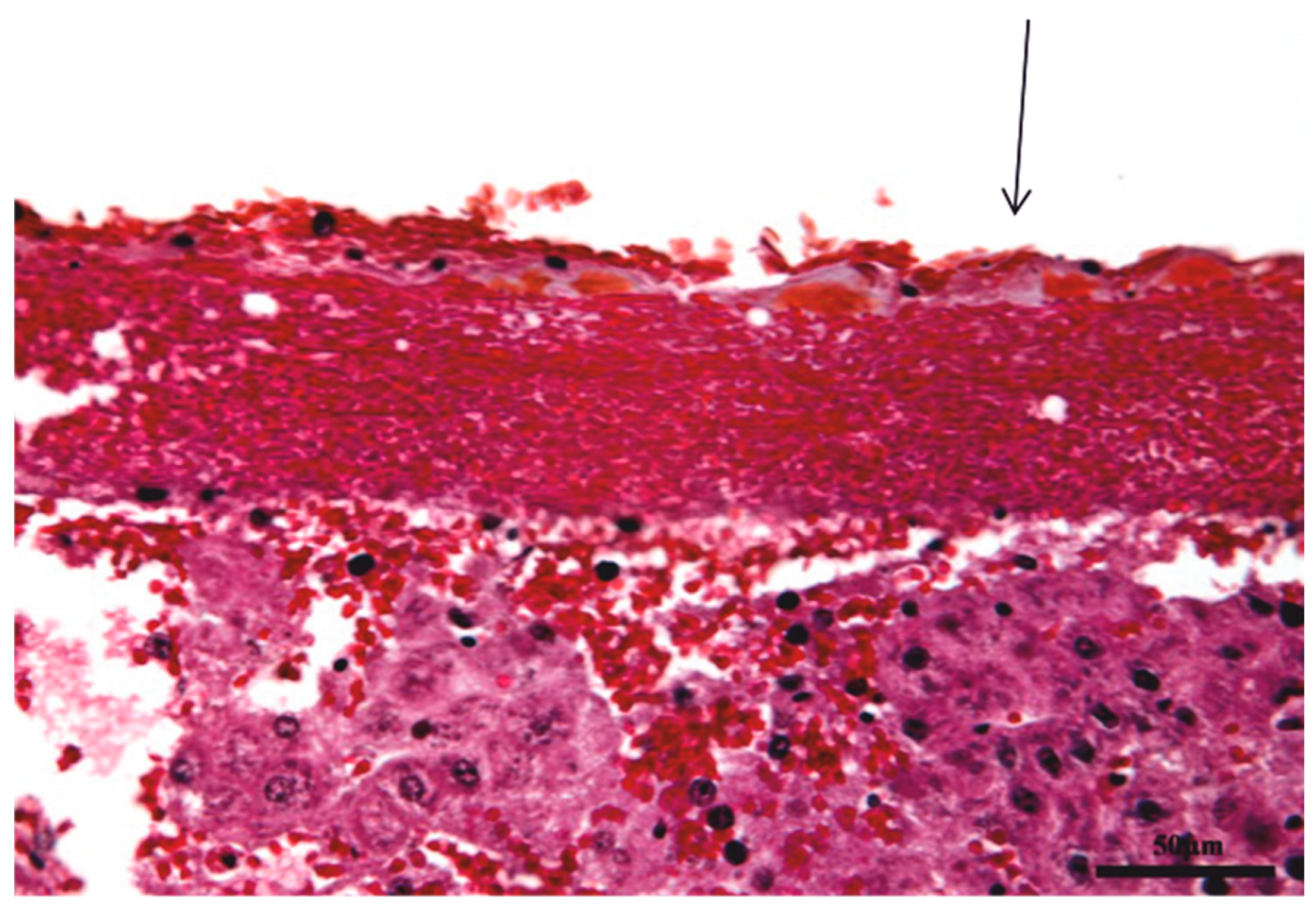
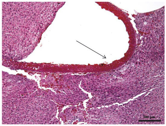
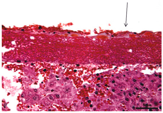
3.1. Histopathologic Results
3.2. SEM Analysis
3.3. Atomic Force Microscopy Analysis
3.4. Mechanical Proprieties
4. Discussion
5. Conclusions
Author Contributions
Funding
Institutional Review Board Statement
Informed Consent Statement
Data Availability Statement
Conflicts of Interest
References
- Omi, M.; Mishina, Y. Roles of Osteoclasts in Alveolar Bone Remodeling. Genesis 2022, 60, e23490. [Google Scholar] [CrossRef] [PubMed]
- Urban, I.A.; Monje, A. Guided Bone Regeneration in Alveolar Bone Reconstruction. Oral. Maxillofac. Surg. Clin. N. Am. 2019, 31, 331–338. [Google Scholar] [CrossRef] [PubMed]
- Zhao, X.; Zou, L.; Chen, Y.; Tang, Z. Staged Horizontal Bone Augmentation for Dental Implants in Aesthetic Zones: A Prospective Randomized Controlled Clinical Trial Comparing a Half-Columnar Bone Block Harvested from the Ramus versus a Rectangular Bone Block from the Symphysis. Int. J. Oral. Maxillofac. Surg. 2020, 49, 1326–1334. [Google Scholar] [CrossRef] [PubMed]
- Arjunan, A.; Baroutaji, A.; Robinson, J.; Praveen, A.S.; Pollard, A.; Wang, C. Future Directions and Requirements for Tissue Engineering Biomaterials. Encycl. Smart Mater. 2022, 1, 195–218. [Google Scholar] [CrossRef]
- Elgali, I.; Omar, O.; Dahlin, C.; Thomsen, P. Guided Bone Regeneration: Materials and Biological Mechanisms Revisited. Eur. J. Oral. Sci. 2017, 125, 315–337. [Google Scholar] [CrossRef]
- Sbricoli, L.; Guazzo, R.; Annunziata, M.; Gobbato, L.; Bressan, E.; Nastri, L. Selection of Collagen Membranes for Bone Regeneration: A Literature Review. Materials 2020, 13, 786. [Google Scholar] [CrossRef]
- Ren, Y.; Fan, L.; Alkildani, S.; Liu, L.; Emmert, S.; Najman, S.; Rimashevskiy, D.; Schnettler, R.; Jung, O.; Xiong, X.; et al. Barrier Membranes for Guided Bone Regeneration (GBR): A Focus on Recent Advances in Collagen Membranes. Int. J. Mol. Sci. 2022, 23, 14987. [Google Scholar] [CrossRef]
- Soldatos, N.K.; Stylianou, P.; Koidou, P.; Angelov, N.; Yukna, R.; Romanos, G.E. Limitations and Options Using Resorbable versus Nonresorbable Membranes for Successful Guided Bone Regeneration. Quintessence Int. 2017, 48, 131–147. [Google Scholar] [CrossRef]
- Bianchi, S.; Bernardi, S.; Simeone, D.; Torge, D.; Macchiarelli, G.; Marchetti, E. Proliferation and Morphological Assessment of Human Periodontal Ligament Fibroblast towards Bovine Pericardium Membranes: An In Vitro Study. Materials 2022, 15, 8284. [Google Scholar] [CrossRef]
- Chu, C.; Deng, J.; Man, Y.; Qu, Y. Evaluation of Nanohydroxyapaptite (Nano-HA) Coated Epigallocatechin-3-Gallate (EGCG) Cross-Linked Collagen Membranes. Mater. Sci. Eng. C 2017, 78, 258–264. [Google Scholar] [CrossRef]
- Park, J.Y.; Yang, C.; Jung, I.H.; Lim, H.C.; Lee, J.S.; Jung, U.W.; Seo, Y.K.; Park, J.K.; Choi, S.H. Regeneration of Rabbit Calvarial Defects Using Cells-Implanted Nano-Hydroxyapatite Coated Silk Scaffolds. Biomater. Res. 2015, 19, 7. [Google Scholar] [CrossRef]
- Kubosch, E.J.; Bernstein, A.; Wolf, L.; Fretwurst, T.; Nelson, K.; Schmal, H. Clinical Trial and In-Vitro Study Comparing the Efficacy of Treating Bony Lesions with Allografts versus Synthetic or Highly-Processed Xenogeneic Bone Grafts. BMC Musculoskelet. Disord. 2016, 17, 1–17. [Google Scholar] [CrossRef]
- Ratiu, C.; Brocks, M.; Costea, T.; Moldovan, L.; Cavalu, S. PRGF-Modified Collagen Membranes for Guided Bone Regeneration: Spectroscopic, Microscopic and Nano-Mechanical Investigations. Appl. Sci. 2019, 9, 1035. [Google Scholar] [CrossRef]
- Augustine, R.; Hasan, A.; Primavera, R.; Wilson, R.J.; Thakor, A.S.; Kevadiya, B.D. Cellular Uptake and Retention of Nanoparticles: Insights on Particle Properties and Interaction with Cellular Components. Mater. Today Commun. 2020, 25, 101692. [Google Scholar] [CrossRef]
- Mantha, S.; Pillai, S.; Khayambashi, P.; Upadhyay, A.; Zhang, Y.; Tao, O.; Pham, H.M.; Tran, S.D. Smart Hydrogels in Tissue Engineering and Regenerative Medicine. Materials 2019, 12, 3323. [Google Scholar] [CrossRef]
- Gabrielson, K.; Maronpot, R.; Monette, S.; Mlynarczyk, C.; Ramot, Y.; Nyska, A.; Sysa-Shah, P. In Vivo Imaging with Confirmation by Histopathology for Increased Rigor and Reproducibility in Translational Research: A Review of Examples, Options, and Resources. ILAR J. 2018, 59, 80. [Google Scholar] [CrossRef]
- Álvarez-Ortega, O.; Ruiz-Ramírez, L.R.; Garibay-Alvarado, J.A.; Donohue-Cornejo, A.; Espinosa-Cristóbal, L.F.; Cuevas-González, J.C.; Reyes-López, S.Y. Preliminary Biocompatibility Tests of Poly-ε-Caprolactone/Silver Nanofibers in Wistar Rats. Polymers 2021, 13, 1135. [Google Scholar] [CrossRef]
- Opris, H.; Bran, S.; Dinu, C.; Baciut, M.; Prodan, D.A.; Mester, A.; Baciut, G. Clinical Applications of Avian Eggshell-Derived Hydroxyapatite. Bosn. J. Basic Med. Sci. 2020, 20, 430–437. [Google Scholar] [CrossRef]
- Opris, H.; Dinu, C.; Baciut, M.; Baciut, G.; Mitre, I.; Crisan, B.; Armencea, G.; Prodan, D.A.; Bran, S. The Influence of Eggshell on Bone Regeneration in Preclinical In Vivo Studies. Biology 2020, 9, 476. [Google Scholar] [CrossRef]
- Tisler, C.E.; Moldovan, M.; Petean, I.; Buduru, S.D.; Prodan, D.; Sarosi, C.; Leucuţa, D.-C.; Chifor, R.; Badea, M.E.; Ene, R. Human Enamel Fluorination Enhancement by Photodynamic Laser Treatment. Polymers 2022, 14, 2969. [Google Scholar] [CrossRef]
- Iosif, C.; Cuc, S.; Prodan, D.; Moldovan, M.; Petean, I.; Badea, M.E.; Sava, S.; Tonea, A.; Chifor, R. Effects of Acidic Environments on Dental Structures after Bracket Debonding. Int. J. Mol. Sci. 2022, 23, 15583. [Google Scholar] [CrossRef] [PubMed]
- Rothamel, D.; Schwarz, F.; Fienitz, T.; Smeets, R.; Dreiseidler, T.; Ritter, L.; Happe, A.; Zöller, J. Biocompatibility and Biodegradation of a Native Porcine Pericardium Membrane: Results of in Vitro and in Vivo Examinations. Int. J. Oral. Maxillofac. Implants 2012, 27, 146–154. [Google Scholar]
- Chatelet, M.; Afota, F.; Savoldelli, C. Review of Bone Graft and Implant Survival Rate: A Comparison between Autogenous Bone Block versus Guided Bone Regeneration. J. Stomatol. Oral. Maxillofac. Surg. 2022, 123, 222–227. [Google Scholar] [CrossRef]
- Araújo, M.G.; Silva, C.O.; Misawa, M.; Sukekava, F. Alveolar Socket Healing: What Can We Learn? Periodontology 2000, 2015, 68. [Google Scholar] [CrossRef]
- Couso-Queiruga, E.; Weber, H.A.; Garaicoa-Pazmino, C.; Barwacz, C.; Kalleme, M.; Galindo-Moreno, P.; Avila-Ortiz, G. Influence of Healing Time on the Outcomes of Alveolar Ridge Preservation Using a Collagenated Bovine Bone Xenograft: A Randomized Clinical Trial. J. Clin. Periodontol. 2023, 50, 132–146. [Google Scholar] [CrossRef] [PubMed]
- Chen, H.; Gu, T.; Lai, H.; Gu, X. Evaluation of Hard Tissue 3-Dimensional Stability around Single Implants Placed with Guided Bone Regeneration in the Anterior Maxilla: A 3-Year Retrospective Study. J. Prosthet. Dent. 2022, 128, 919–927. [Google Scholar] [CrossRef]
- Li, S.; Zhao, J.; Xie, Y.; Tian, T.; Zhang, T.; Cai, X. Hard Tissue Stability after Guided Bone Regeneration: A Comparison between Digital Titanium Mesh and Resorbable Membrane. Int. J. Oral. Sci. 2021, 13, 1–9. [Google Scholar] [CrossRef]
- Jiang, X.; Zhang, Y.; Di, P.; Lin, Y. Hard Tissue Volume Stability of Guided Bone Regeneration during the Healing Stage in the Anterior Maxilla: A Clinical and Radiographic Study. Clin. Implant Dent. Relat. Res. 2018, 20, 68–75. [Google Scholar] [CrossRef] [PubMed]
- Bornert, F.; Herber, V.; Sandgren, R.; Witek, L.; Coelho, P.G.; Pippenger, B.E.; Shahdad, S. Comparative Barrier Membrane Degradation over Time: Pericardium versus Dermal Membranes. Clin. Exp. Dent. Res. 2021, 7, 711–718. [Google Scholar] [CrossRef]
- You, P.; Liu, Y.; Wang, X.; Li, B.; Wu, W.; Tang, L. Acellular Pericardium: A Naturally Hierarchical, Osteoconductive, and Osteoinductive Biomaterial for Guided Bone Regeneration. J. Biomed. Mater. Res. A 2021, 109, 132–145. [Google Scholar] [CrossRef]
- Radenković, M.; Alkildani, S.; Stoewe, I.; Bielenstein, J.; Sundag, B.; Bellmann, O.; Jung, O.; Najman, S.; Stojanović, S.; Barbeck, M. Comparative in Vivo Analysis of the Integration Behavior and Immune Response of Collagen-Based Dental Barrier Membranes for Guided Bone Regeneration (Gbr). Membranes 2021, 11, 712. [Google Scholar] [CrossRef] [PubMed]
- Lindner, C.; Alkildani, S.; Stojanovic, S.; Najman, S.; Jung, O.; Barbeck, M. In Vivo Biocompatibility Analysis of a Novel Barrier Membrane Based on Bovine Dermis-Derived Collagen for Guided Bone Regeneration (GBR). Membranes 2022, 12, 378. [Google Scholar] [CrossRef] [PubMed]
- Danieletto-Zanna, C.F.; Bizelli, V.F.; Ramires, G.A.D.A.; Francatti, T.M.; De Carvalho, P.S.P.; Bassi, A.P.F. Osteopromotion Capacity of Bovine Cortical Membranes in Critical Defects of Rat Calvaria: Histological and Immunohistochemical Analysis. Int. J. Biomater. 2020, 2020, 1–9. [Google Scholar] [CrossRef] [PubMed]
- Strnková, J.; Nedomová, Š.; Kumbár, V.; Trnka, J. Tensile Strength of the Eggshell Membranes. Acta Univ. Agric. Silvic. Mendel. Brun. 2016, 64, 159–164. [Google Scholar] [CrossRef]
- Torres, F.G.; Troncoso, O.P.; Piaggio, F.; Hijar, A. Structure-Property Relationships of a Biopolymer Network: The Eggshell Membrane. Acta Biomater. 2010, 6, 3687–3693. [Google Scholar] [CrossRef] [PubMed]
- Strnková, M.; Nedomová, Š.; Trnka, J.; Buchar, J.; Kumbár, V. Behaviour of Eggshell Membranes at Tensile Loading. Bulg. Chem. Commun. 2014, 46, 44–48. [Google Scholar]
- García Páez, J.M.; Jorge-Herrero, E.; Carrera, A.; Millán, I.; Rocha, A.; Calero, P.; Cordón, A.; Salvador, J.; Sainz, N.; Méndez, J.; et al. Chemical Treatment and Tissue Selection: Factors That Influence the Mechanical Behaviour of Porcine Pericardium. Biomaterials 2001, 22, 2759–2767. [Google Scholar] [CrossRef]
- Raz, P.; Brosh, T.; Ronen, G.; Tal, H. Tensile Properties of Three Selected Collagen Membranes. Biomed. Res. Int. 2019, 2019, 1–8. [Google Scholar] [CrossRef]










| Eggshell Membrane after 15 min of Drying | Dried Jason Membrane | Eggshell Membrane Immersed in SBF and Dried 15 min | Jason Membrane Immersed in SBF and Dried 15 min |
|---|---|---|---|
| 4.93 | 59.65 | 1.20 | 61.91 |
| 13.74 | 67.01 | 1.20 | 64.22 |
| 10.09 | 62.25 | 1.27 | 64.32 |
| 8.35 | 67.01 | 1.25 | 69.63 |
| 4.36 | 62.25 | 1.25 | 69.87 |
| 6.37 | 67.01 | 1.23 | 74.44 |
| 10.75 | 66.08 | 1.22 | 69.73 |
| 11.70 | 65.78 | 1.24 | 67.00 |
| 12.46 | 65.65 | 1.23 | 74.18 |
| 11.82 | 59.91 | 1.21 | 74.14 |
| Eggshell Membrane after 15 min of Drying | Dried Jason Membrane | Eggshell Membrane Immersed in SBF and Dried 15 min | Jason Membrane Immersed in SBF and Dried 15 min | |
|---|---|---|---|---|
| Mean | 9.46 | 64.26 | 1.23 | 68.94 |
| Median | 10.42 | 65.72 | 1.23 | 69.68 |
| Standard Deviation | 3.29 | 2.95 | 0.02 | 4.52 |
| Minimum | 4.36 | 59.65 | 1.20 | 61.91 |
| Maximum | 13.74 | 67.01 | 1.27 | 74.44 |
Disclaimer/Publisher’s Note: The statements, opinions and data contained in all publications are solely those of the individual author(s) and contributor(s) and not of MDPI and/or the editor(s). MDPI and/or the editor(s) disclaim responsibility for any injury to people or property resulting from any ideas, methods, instructions or products referred to in the content. |
© 2023 by the authors. Licensee MDPI, Basel, Switzerland. This article is an open access article distributed under the terms and conditions of the Creative Commons Attribution (CC BY) license (https://creativecommons.org/licenses/by/4.0/).
Share and Cite
Opris, H.; Baciut, M.; Moldovan, M.; Cuc, S.; Petean, I.; Opris, D.; Bran, S.; Onisor, F.G.; Armenea, G.; Baciut, G. Comparison of the Eggshell and the Porcine Pericardium Membranes for Guided Tissue Regeneration Applications. Biomedicines 2023, 11, 2529. https://doi.org/10.3390/biomedicines11092529
Opris H, Baciut M, Moldovan M, Cuc S, Petean I, Opris D, Bran S, Onisor FG, Armenea G, Baciut G. Comparison of the Eggshell and the Porcine Pericardium Membranes for Guided Tissue Regeneration Applications. Biomedicines. 2023; 11(9):2529. https://doi.org/10.3390/biomedicines11092529
Chicago/Turabian StyleOpris, Horia, Mihaela Baciut, Marioara Moldovan, Stanca Cuc, Ioan Petean, Daiana Opris, Simion Bran, Florin Gligor Onisor, Gabriel Armenea, and Grigore Baciut. 2023. "Comparison of the Eggshell and the Porcine Pericardium Membranes for Guided Tissue Regeneration Applications" Biomedicines 11, no. 9: 2529. https://doi.org/10.3390/biomedicines11092529
APA StyleOpris, H., Baciut, M., Moldovan, M., Cuc, S., Petean, I., Opris, D., Bran, S., Onisor, F. G., Armenea, G., & Baciut, G. (2023). Comparison of the Eggshell and the Porcine Pericardium Membranes for Guided Tissue Regeneration Applications. Biomedicines, 11(9), 2529. https://doi.org/10.3390/biomedicines11092529

