Leprosy Neuropathy in a Non-Endemic Area: A Clinical and Pathological Study
Abstract
:1. Introduction
2. Case Presentation
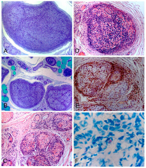
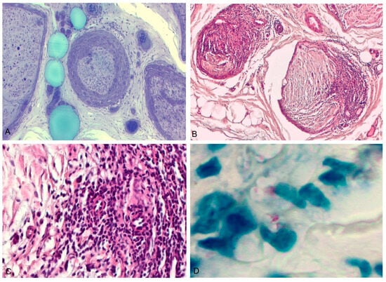
2.1. Case 1
2.2. Case 2
3. Discussion and Conclusions
Author Contributions
Funding
Institutional Review Board Statement
Informed Consent Statement
Data Availability Statement
Acknowledgments
Conflicts of Interest
Ethics Approval and Consent to Participate
Consent for Publication
Availability of Data and Material
Abbreviations
| T | Tuberculoid |
| B | Borderline |
| BT | Borderline Tuberculoid |
| BL | Borderline Lepromatous |
| CSF | Cerebrospinal fluid |
| EMG | Electromyography |
| ENG | Electroneurographic study |
| L | Lepromatous |
| MAP | Motor action potential |
| MUP | Motor unit potential |
| MAG | Myelin-associated glycoprotein |
| PCR | Polymerase chain reaction |
| P-PNL | Polyneuropathic form of PNL |
| PNL | Pure Neuritic Leprosy |
| SAP | Sensory action potential |
| TTR | Transthyretin |
References
- Walker, S.L.; Lockwood, D.N.J. Leprosy. Clin. Dermatol. 2007, 25, 165–172. [Google Scholar] [CrossRef] [PubMed]
- McMurray, D.N. Mycobacteria and Nocardia. In Medical Microbiology, 4th ed.; Baron, S., Ed.; Chapter 33; University of Texas Medical Branch at Galveston: Galveston, TX, USA, 1996; Available online: https://www.ncbi.nlm.nih.gov/books/NBK7812/ (accessed on 7 July 2023).
- WHO: Global Leprosy Programme. Available online: http://www.searo.who.int/entity/global_leprosy_programme/epidemiology/en (accessed on 7 July 2023).
- Noordeen, S.K. Elimination of leprosy as a public health problem: Progress and prospects. Bull. World Health Organ. 1995, 73, 1–6. [Google Scholar] [PubMed]
- Ramos, J.M.; Romero, D.; Belinchón, I. Epidemiology of Leprosy in Spain: The Role of the International Migration. PLoS Neglected Trop. Dis. 2016, 10, e0004321. [Google Scholar] [CrossRef]
- Massone, C.; Brunasso, A.M.G.; Noto, S.; Campbell, T.M.; Clapasson, A.; Nunzi, E. Imported leprosy in Italy. J. Eur. Acad. Dermatol. Venereol. 2012, 26, 999–1006. [Google Scholar] [CrossRef]
- Job, C.K.; Jayakumar, J.; Kearney, M.; Gillis, T.P. Transmission of leprosy: A study of skin and nasal secretions of household contacts of leprosy patients using PCR. Am. J. Trop. Med. Hyg. 2008, 78, 518–521. [Google Scholar] [CrossRef] [PubMed]
- Rambukkana, A.; Zanazzi, G.; Tapinos, N.; Salzer, J.L. Contact-Dependent Demyelination by Mycobacterium in the Absence of Immune Cells. Science 2002, 296, 927–931. [Google Scholar] [CrossRef]
- Ridley, D.S.; Jopling, W.H. Classification of leprosy according to immunity. A five-group system. Int. J. Lepr. Other Mycobact. Dis. 1966, 34, 255–273. [Google Scholar]
- WHO Study Group on Chemotherapy of Leprosy for Control Programmes; World Health Organization. Chemotherapy of Leprosy for Control Programmes; World Health Organization Technical Report Series; WHO: Geneva, Switzerland, 1982; No. 675; pp. 1–33. [Google Scholar]
- Ooi, W.W.; Srinivasan, J. Leprosy and the peripheral nerve system: Basic and clinical aspects. Muscle Nerve 2004, 30, 393–404. [Google Scholar]
- Britton, W.J.; Lockwood, D.N. Leprosy. Lancet 2004, 363, 1209–1219. [Google Scholar]
- Ramos-e-Silva, M.; Rebello, P.F. Leprosy. Recognition and treatment. Am. J. Clin. Dermatol. 2001, 2, 203–211. [Google Scholar] [CrossRef]
- Sehgal, V.N. Reactions in leprosy. Clinical aspects. Int. J. Dermatol. 1987, 26, 278–285. [Google Scholar] [CrossRef]
- Bernard, J.C.; Vazquez, A.C. Visceral lesions in lepromatous leprosy. Study of sixty necropsies. Int. J. Lepr. Other Mycobact. Dis. 1973, 41, 94–101. [Google Scholar] [PubMed]
- Rodrigues Jardim, M.; Chimelli, L.; Corte-Real Faria, S.; Valverde Fernandes, P.; Da Costa Néri, J.A.; Sales, A.M.; Sarno, E.N.; Antunes, S.L.G. Clinical, electroneuromyographic and morphological studies of pure neural leprosy in a Brazilian referral center. Lepr. Rev. 2004, 75, 242–253. [Google Scholar]
- Talwar, S.; Jha, P.K.; Tiwari, V.D. Neuritic leprosy: Epidemiology and therapeutic responsiveness. Lepr. Rev. 1992, 63, 263–268. [Google Scholar] [CrossRef] [PubMed]
- Kumar, S.; Alexander, M.; Gnanamuthu, C. Cranial nerve involvement in patients with leprous neuropathy. Neurol. India 2006, 54, 283–285. [Google Scholar] [CrossRef] [PubMed]
- Jenkins, D.; Papp, K.; Jakubovic, H.R.; Shiffman, N. Leprotic involvement of peripheral nerves in the absence of skin lesions. J. Am. Acad. Dermatol. 1990, 23, 1023–1026. [Google Scholar] [CrossRef]
- Brandsma, W.; Post, E.; Wagenaar, I.; Alam, K.; Shetty, V.; Husain, S.; Prakoeswa, C.R.S.; Shah, M.; Tamang, K.B. Pure neural leprosy—Mind the diagnosis. Lepr. Rev. 2021, 92, 38–46. [Google Scholar] [CrossRef]
- Santos, A.R.; Nascimento, O.J.M.; Nery, J.A.C.; Sales, A.M.; Illarramendi, X.; Chimelli, L.; Sampaio, E.P.; Sarno, E.P.N. Criteria for diagnosis of pure neural leprosy. J. Neurol. 2003, 250, 806–809. [Google Scholar]
- Dongre, V.V.; Ganapati, R.; Chulawala, R.G. A study of mononeuritic lesions in a leprosy clinic. Lepr. India 1976, 48, 132–137. [Google Scholar]
- Garbino, J.A.; Marques, W., Jr.; Barreto, J.A.; Heise, C.O.; Rodrigues, M.M.J.; Antunes, S.L.; Soares, C.T.; Floriano, M.C.; Nery, J.A.; Trindade, M.A.B.; et al. Primary neural leprosy: Systematic review. Arq. Neuro-Psiquiatr. 2013, 71, 397–404. [Google Scholar] [CrossRef]
- Pitta, I.J.R.; Hacker, M.d.A.V.-B.; Andrade, L.R.; Spitz, C.N.; Vital, R.T.; Sales, A.M.; Antunes, S.L.G.; Sarno, E.N.; Jardim, M.R. Follow-up assessment of patients with Pure Neural Leprosy in a reference center in Rio de Janeiro—Brazil. PLoS Neglected Trop. Dis. 2022, 16, e0010070. [Google Scholar] [CrossRef] [PubMed]
- Jindal, N.; Shanker, V.; Tegta, G.R.; Gupta, M.; Verma, G.K. Clinico-epidemiological trends of leprosy in Himachal Pradesh: A five year study. Indian J. Lepr. 2009, 81, 173–179. [Google Scholar] [PubMed]
- Misch, E.A.; Berrington, W.R.; Vary, J.C.; Hawn, T.R. Leprosy and the Human Genome. Microbiol. Mol. Biol. Rev. 2010, 74, 589–620. [Google Scholar] [CrossRef] [PubMed]
- Mira, M.T.; Alcaïs, A.; Nguyen, V.T.; Moraes, M.O.; Di Flumeri, C.; Vu, H.T.; Chi Phuong, M.; Thu Huong, N.; Ngoc Ba, N.; Xuan Khoa, P.; et al. Susceptibility to leprosy is associated with PARK2 and PACRG. Nature 2004, 427, 636–640. [Google Scholar] [CrossRef]
- Hagge, D.A.; Saunders, B.M.; Ebenezer, G.J.; Ray, N.A.; Marks, V.T.; Britton, W.J.; Krahenbuhl, J.L.; Adams, L.B. Lymphotoxin-α and TNF Have Essential but Independent Roles in the Evolution of the Granulomatous Response in Experimental Leprosy. Am. J. Pathol. 2009, 174, 1379–1389. [Google Scholar] [CrossRef]
- Alvarenga Niitsuma, E.N.; Fernandes, G.D.R.; Lana, F.C.F. The TLR1 gene is associated with higher protection from leprosy in women. PLoS ONE 2018, 13, e0205234. [Google Scholar] [CrossRef]
- Sales-Marques, C.; Salomão, H.; Fava, V.M.; Alvarado-Arnez, L.E.; Amaral, E.P.; Cardoso, C.C.; Dias-Batista, I.M.F.; da Silva, W.L.; Medeiros, P.; Virmond, M.d.C.L.; et al. NOD2 and CCDC122-LACC1 genes are associated with leprosy susceptibility in Brazilians. Hum. Genet. 2014, 133, 1525–1532. [Google Scholar] [CrossRef]
- Castelli, G.; Desai, K.M.; Cantone, R.E. Peripheral Neuropathy: Evaluation and Differential Diagnosis. Am. Fam. Physician 2020, 102, 732–739. [Google Scholar]
- Ricci, L.; Luigetti, M.; Florio, L.; Capone, F.; Di Lazzaro, V. Causes of chronic neuropathies: A single-center experience. Neurol. Sci. 2019, 40, 1611–1617. [Google Scholar] [CrossRef]
- Kumar, B.; Kaur, I.; Dogra, S.; Kumaran, M.S. Pure Neuritic Leprosy in India: An Appraisal. Int. J. Lepr. Other Mycobact. Dis. 2004, 72, 284–290. [Google Scholar] [CrossRef]
- de Freitas, M.R.; Nascimento, O.J.; Quaglino, E.A.; Oliveira, A.; Hahn, M.D. Small-fiber polyneuropathy in leprosy without skin changes: Study of 17 cases. Arq. Bras. Neuro-Psiquiatr. 2003, 61, 542–546. [Google Scholar] [CrossRef] [PubMed]
- Gadoth, N.; Bechar, M.; Kushnir, M.; Davidovitz, S.; Sandbank, U. Somatosensory and autonomic neuropathy as the only manifestation of long standing leprosy. J. Neurol. Sci. 1979, 43, 471–477. [Google Scholar] [CrossRef] [PubMed]
- Shukla, B.; Verma, R.; Kumar, V.; Kumar, M.; Malhotra, K.P.; Garg, R.K.; Malhotra, H.S.; Sharma, P.K.; Kumar, N.; Uniyal, R.; et al. Pathological, ultrasonographic, and electrophysiological characterization of clinically diagnosed cases of pure neuritic leprosy. J. Peripher. Nerv. Syst. 2020, 25, 191–203. [Google Scholar] [CrossRef] [PubMed]
- Chauhan, S.; Wakhlu, A.; Agarwal, V. Arthritis in leprosy. Rheumatology 2010, 49, 2237–2242. [Google Scholar] [CrossRef]
- Kaeley, N.; Ahmad, S.; Pathania, M.; Kakkar, R. Prevalence and patterns of peripheral neuropathy in patients of rheumatoid arthritis. J. Fam. Med. Prim. Care 2019, 8, 22–26. [Google Scholar] [CrossRef]
- Hunter, J.B.; Rivas, A. Multiple cranial neuropathies following etanercept administration. Am. J. Otolaryngol. 2015, 37, 259–262. [Google Scholar] [CrossRef]
- Sturfelt, G.; Christensson, B.; Bynke, G.; Saxne, T. Neurosarcoidosis in a patient with rheumatoid arthritis during treatment with infliximab. J. Rheumatol. 2007, 34, 2313–2314. [Google Scholar]
- Mao-Draayer, Y.; Cash, T. Neurosarcoidosis in a patient treated with tumor necrosis factor alpha inhibitors. J. Neurol. 2013, 260, 651–653. [Google Scholar] [CrossRef]
- Vital, R.T.; Illarramendi, X.; Nascimento, O.; Hacker, M.A.; Sarno, E.N.; Jardim, M.R. Progression of leprosy neuropathy: A case series study. Brain Behav. 2012, 2, 249–255. [Google Scholar] [CrossRef]


Disclaimer/Publisher’s Note: The statements, opinions and data contained in all publications are solely those of the individual author(s) and contributor(s) and not of MDPI and/or the editor(s). MDPI and/or the editor(s) disclaim responsibility for any injury to people or property resulting from any ideas, methods, instructions or products referred to in the content. |
© 2023 by the authors. Licensee MDPI, Basel, Switzerland. This article is an open access article distributed under the terms and conditions of the Creative Commons Attribution (CC BY) license (https://creativecommons.org/licenses/by/4.0/).
Share and Cite
Cotti Piccinelli, S.; Tagliapietra, M.; Cavallaro, T.; Labella, B.; Risi, B.; Caria, F.; Damioli, S.; Poli, L.; Padovani, A.; Ferrari, S.; et al. Leprosy Neuropathy in a Non-Endemic Area: A Clinical and Pathological Study. Biomedicines 2023, 11, 2468. https://doi.org/10.3390/biomedicines11092468
Cotti Piccinelli S, Tagliapietra M, Cavallaro T, Labella B, Risi B, Caria F, Damioli S, Poli L, Padovani A, Ferrari S, et al. Leprosy Neuropathy in a Non-Endemic Area: A Clinical and Pathological Study. Biomedicines. 2023; 11(9):2468. https://doi.org/10.3390/biomedicines11092468
Chicago/Turabian StyleCotti Piccinelli, Stefano, Matteo Tagliapietra, Tiziana Cavallaro, Beatrice Labella, Barbara Risi, Filomena Caria, Simona Damioli, Loris Poli, Alessandro Padovani, Sergio Ferrari, and et al. 2023. "Leprosy Neuropathy in a Non-Endemic Area: A Clinical and Pathological Study" Biomedicines 11, no. 9: 2468. https://doi.org/10.3390/biomedicines11092468
APA StyleCotti Piccinelli, S., Tagliapietra, M., Cavallaro, T., Labella, B., Risi, B., Caria, F., Damioli, S., Poli, L., Padovani, A., Ferrari, S., & Filosto, M. (2023). Leprosy Neuropathy in a Non-Endemic Area: A Clinical and Pathological Study. Biomedicines, 11(9), 2468. https://doi.org/10.3390/biomedicines11092468

