The Efficacy of Transplanting Human Umbilical Cord Mesenchymal Stem Cell Sheets in the Treatment of Myocardial Infarction in Mice
Abstract
1. Introduction
2. Materials and Methods
2.1. Cell Sheet Preparation
2.2. Animal
2.3. MI Model
2.4. Transplantation of the SCSs
2.5. Effects of the Stem Cell Sheets after Transplantation in MI
2.6. Heart Histology
2.7. Trichrome Staining
2.8. Immunohistochemistry
2.9. The Transplanted Cell Sheets’ Cytokine Secretion
2.10. Total RNA Extraction and cDNA Synthesis
2.11. Data Presentation
3. Results
3.1. Stem Cell Sheet (SCS) Transplantation Improved the MI Mice’s Appearance and Body Weight Gain
3.2. SCS Transplantation Improved Heart Function
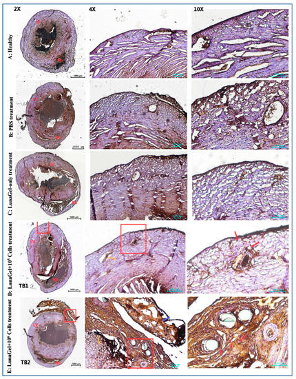
3.3. Histopathology of the Heart Tissue
3.4. The Role of SCS Transplantation in Cytokine Secretion
3.5. CD44 Immunohistochemistry of the Heart Tissue
4. Discussion
5. Conclusions
Author Contributions
Funding
Institutional Review Board Statement
Informed Consent Statement
Data Availability Statement
Conflicts of Interest
Abbreviations
| Ang-1 | Angiopoietin-1 |
| ECM | Extracellular matrix |
| EF | Ejection fraction |
| eNOS | Endothelial nitric oxide synthase |
| G-CSF | Granulocyte colony-stimulating factor |
| GM-CSF | Granulocyte-macrophage colony-stimulating factor |
| HGF | Hepatocyte growth factor |
| HMGCR | 3-hydroxy-3-methylglutaryl-CoA reductase |
| hUC-MSC | Human umbilical cord mesenchymal stem cell |
| IGF-1 | Insulin-like growth factor-1 () |
| LV | Left ventricle |
| MI | Myocardial infarction |
| MSC | Mesenchymal stem cell |
| RT | Room temperature |
| RV | Right ventricle |
| SCS | Stem cell sheet |
| SDF-1 | Stromal cell-derived factor 1 |
| VEGF | Vascular endothelial growth factor |
References
- Müller-Nordhorn, J.; Willich, S.N. Coronary Heart Disease. In International Encyclopedia of Public Health, 2nd ed.; Quah, S.R., Ed.; Academic Press: Oxford, UK, 2017; pp. 159–167. [Google Scholar] [CrossRef]
- Pittenger, M.F.; Discher, D.E.; Péault, B.M.; Phinney, D.G.; Hare, J.M.; Caplan, A.I. Mesenchymal stem cell perspective: Cell biology to clinical progress. NPJ Regen. Med. 2019, 4, 22. [Google Scholar] [CrossRef]
- Menasché, P. Cell therapy trials for heart regeneration—Lessons learned and future directions. Nat. Rev. Cardiol. 2018, 15, 659–671. [Google Scholar] [CrossRef] [PubMed]
- Hofmann, M.; Wollert, K.C.; Meyer, G.P.; Menke, A.; Arseniev, L.; Hertenstein, B.; Ganser, A.; Knapp, W.H.; Drexler, H. Monitoring of Bone Marrow Cell Homing Into the Infarcted Human Myocardium. Circulation 2005, 111, 2198–2202. [Google Scholar] [CrossRef] [PubMed]
- Preda, M.B.; Neculachi, C.A.; Fenyo, I.M.; Vacaru, A.-M.; Publik, M.A.; Simionescu, M.; Burlacu, A. Short lifespan of syngeneic transplanted MSC is a consequence of in vivo apoptosis and immune cell recruitment in mice. Cell Death Dis. 2021, 12, 566. [Google Scholar] [CrossRef] [PubMed]
- Robey, T.E.; Saiget, M.K.; Reinecke, H.; Murry, C.E. Systems approaches to preventing transplanted cell death in cardiac repair. J. Mol. Cell. Cardiol. 2008, 45, 567–581. [Google Scholar] [CrossRef] [PubMed]
- Guo, R.; Morimatsu, M.; Feng, T.; Lan, F.; Chang, D.; Wan, F.; Ling, Y. Stem cell-derived cell sheet transplantation for heart tissue repair in myocardial infarction. Stem Cell Res. Ther. 2020, 11, 19. [Google Scholar] [CrossRef]
- Matsuo, T.; Masumoto, H.; Tajima, S.; Ikuno, T.; Katayama, S.; Minakata, K.; Ikeda, T.; Yamamizu, K.; Tabata, Y.; Sakata, R.; et al. Efficient long-term survival of cell grafts after myocardial infarction with thick viable cardiac tissue entirely from pluripotent stem cells. Sci. Rep. 2015, 5, 16842. [Google Scholar] [CrossRef]
- Pham, T.L.; Nguyen, D.P.-H.; Luu, T.T.-T.; Nguyen, L.S.; Binh, N.T.; Nguyen, Q.D.; Tran, P.A. Encapsulation of Human Umbilical Cord Mesenchymal Stem Cells in LunaGel Photocrosslinkable Extracellular Matrix and Subcutaneous Transplantation in Mice. Biomedicines 2023, 11, 1158. [Google Scholar] [CrossRef] [PubMed]
- Kobayashi, K.; Ichihara, Y.; Tano, N.; Fields, L.; Murugesu, N.; Ito, T.; Ikebe, C.; Lewis, F.; Yashiro, K.; Shintani, Y.; et al. Fibrin Glue-aided, Instant Epicardial Placement Enhances the Efficacy of Mesenchymal Stromal Cell-Based Therapy for Heart Failure. Sci. Rep. 2018, 8, 9448. [Google Scholar] [CrossRef]
- Wang, C.-C.; Chen, C.-H.; Lin, W.-W.; Hwang, S.-M.; Hsieh, P.C.H.; Lai, P.-H.; Yeh, Y.-C.; Chang, Y.; Sung, H.-W. Direct intramyocardial injection of mesenchymal stem cell sheet fragments improves cardiac functions after infarction. Cardiovasc. Res. 2008, 77, 515–524. [Google Scholar] [CrossRef]
- Kim, J.-H.; Joo, H.J.; Kim, M.; Choi, S.-C.; Lee, J.I.; Hong, S.J.; Lim, D.-S. Transplantation of Adipose-Derived Stem Cell Sheet Attenuates Adverse Cardiac Remodeling in Acute Myocardial Infarction. Tissue Eng. Part A 2017, 23, 1–11. [Google Scholar] [CrossRef]
- Park, B.W.; Jung, S.H.; Das, S.; Lee, S.M.; Park, J.H.; Kim, H.; Hwang, J.W.; Lee, S.; Kim, H.J.; Kim, H.Y.; et al. In vivo priming of human mesenchymal stem cells with hepatocyte growth factor-engineered mesenchymal stem cells promotes therapeutic potential for cardiac repair. Sci. Adv. 2020, 6, eaay6994. [Google Scholar] [CrossRef]
- Guo, R.; Wan, F.; Morimatsu, M.; Xu, Q.; Feng, T.; Yang, H.; Gong, Y.; Ma, S.; Chang, Y.; Zhang, S.; et al. Cell sheet formation enhances the therapeutic effects of human umbilical cord mesenchymal stem cells on myocardial infarction as a bioactive material. Bioact. Mater. 2021, 6, 2999–3012. [Google Scholar] [CrossRef]
- Imanishi, Y.; Miyagawa, S.; Maeda, N.; Fukushima, S.; Kitagawa-Sakakida, S.; Daimon, T.; Hirata, A.; Shimizu, T.; Okano, T.; Shimomura, I.; et al. Induced Adipocyte Cell-Sheet Ameliorates Cardiac Dysfunction in a Mouse Myocardial Infarction Model. Circulation 2011, 124, S10–S17. [Google Scholar] [CrossRef]
- Al-Mahmood, S.S. Improving light microscopic detection of collagen by trichrome stain modification. Iraqi J. Vet. Sci. 2020, 34, 273–281. [Google Scholar] [CrossRef]
- Chen, Y.; Yu, Q.; Xu, C.-b. A convenient method for quantifying collagen fibers in atherosclerotic lesions by ImageJ software. Int. J. Clin. Exp. Med. 2017, 10, 14904–14910. [Google Scholar]
- Livak, K.J.; Schmittgen, T.D. Analysis of relative gene expression data using real-time quantitative PCR and the 2(-Delta Delta C(T)) Method. Methods 2001, 25, 402–408. [Google Scholar] [CrossRef]
- Koblizek, T.I.; Weiss, C.; Yancopoulos, G.D.; Deutsch, U.; Risau, W. Angiopoietin-1 induces sprouting angiogenesis in vitro. Curr. Biol. 1998, 8, 529–532. [Google Scholar] [CrossRef] [PubMed]
- Suri, C.; McClain, J.; Thurston, G.; McDonald, D.M.; Zhou, H.; Oldmixon, E.H.; Sato, T.N.; Yancopoulos, G.D. Increased vascularization in mice overexpressing angiopoietin-1. Science 1998, 282, 468–471. [Google Scholar] [CrossRef] [PubMed]
- Jeansson, M.; Gawlik, A.; Anderson, G.; Li, C.; Kerjaschki, D.; Henkelman, M.; Quaggin, S.E. Angiopoietin-1 is essential in mouse vasculature during development and in response to injury. J. Clin. Investig. 2011, 121, 2278–2289. [Google Scholar] [CrossRef]
- Bornfeldt, K.E.; Arnqvist, H.J.; Norstedt, G. Regulation of insulin-like growth factor-I gene expression by growth factors in cultured vascular smooth muscle cells. J. Endocrinol. 1990, 125, 381–386. [Google Scholar] [CrossRef] [PubMed]
- Sueishi, K.; Yonemitsu, Y.; Nakagawa, K.; Kaneda, Y.; Kumamoto, M.; Nakashima, Y. Atherosclerosis and angiogenesis. Its pathophysiological significance in humans as well as in an animal model induced by the gene transfer of vascular endothelial growth factor. Ann. N. Y. Acad. Sci. 1997, 811, 311–314. [Google Scholar] [CrossRef] [PubMed]
- Nakao-Hayashi, J.; Ito, H.; Kanayasu, T.; Morita, I.; Murota, S.-I. Stimulatory effects of insulin and insulin-like growth factor I on migration and tube formation by vascular endothelial cells. Atherosclerosis 1992, 92, 141–149. [Google Scholar] [CrossRef] [PubMed]
- Nakamura, T.; Mizuno, S. The discovery of hepatocyte growth factor (HGF) and its significance for cell biology, life sciences and clinical medicine. Proc. Jpn. Academy. Ser. B Phys. Biol. Sci. 2010, 86, 588–610. [Google Scholar] [CrossRef] [PubMed]
- Ono, K.; Matsumori, A.; Shioi, T.; Furukawa, Y.; Sasayama, S. Enhanced Expression of Hepatocyte Growth Factor/c-Met by Myocardial Ischemia and Reperfusion in a Rat Model. Circulation 1997, 95, 2552–2558. [Google Scholar] [CrossRef]
- Zhang, Z.; Long, C.; Guan, Y.; Song, M. Hepatocyte growth factor intervention to reduce myocardial injury and improve cardiac function on diabetic myocardial infarction rats. Eur. J. Histochem. EJH 2020, 64, 3142. [Google Scholar] [CrossRef]






| Gene Name | Sequence (5′-3′) | Gene ID | |
|---|---|---|---|
| Angpt1 | Forward | AATTTGTAAGCCGATCCGCC | GC08M108328 |
| Reverse | AGCCCCTTTCCTCTACCCTA | ||
| GADPH | Forward | CAACTCCCACTCTTCCACCT | NM_008084 |
| Reverse | GAGTTGGGATAGGGCCTCTC | ||
| Csf3 | Forward | GGTTTAGCCCCGGAATTGAC | NC_000077.7 |
| Reverse | GGCTATAGTGACAGGTGGGG | ||
| Csf2 | Forward | TTTCACCAAACTCAAGGGCG | MGI:1339752 |
| Reverse | GTTCCTGGCTCATTACGCAG | ||
| Hgf | Forward | CCTTGACTTAGCGATTGGGC | GC07M079863 |
| Reverse | CCCACATCATGCTTGCAGTT | ||
| Igf1 | Forward | GTCACACAAACTCACCACCC | GC12M101888 |
| Reverse | TTCTGATGTTGCACCCTCCT | ||
| Nos3 | Forward | GTCTTCCTCCCCTCCAGTTC | GC07P148937 |
| Reverse | AGCATATGAAGAGGGCAGCA | ||
| HMGCR | Forward | GAGATCATGTGCTGCTTCGG | GC05P073440 |
| Reverse | CTTTGGGTTACGGGGTTTGG | ||
| Vegfa | Forward | GCTGTAACGATGAAGCCCTG | NC_000083.7 |
| Reverse | CGCTCCAGGATTTAAACCGG | ||
Disclaimer/Publisher’s Note: The statements, opinions and data contained in all publications are solely those of the individual author(s) and contributor(s) and not of MDPI and/or the editor(s). MDPI and/or the editor(s) disclaim responsibility for any injury to people or property resulting from any ideas, methods, instructions or products referred to in the content. |
© 2023 by the authors. Licensee MDPI, Basel, Switzerland. This article is an open access article distributed under the terms and conditions of the Creative Commons Attribution (CC BY) license (https://creativecommons.org/licenses/by/4.0/).
Share and Cite
Bui, T.Q.; Binh, N.T.; Pham, T.L.-B.; Le Van, T.; Truong, N.H.; Nguyen, D.P.-H.; Luu, T.T.-T.; Nguyen-Xuan Pham, T.; Cam Tran, T.; Nguyen, H.T.-T.; et al. The Efficacy of Transplanting Human Umbilical Cord Mesenchymal Stem Cell Sheets in the Treatment of Myocardial Infarction in Mice. Biomedicines 2023, 11, 2187. https://doi.org/10.3390/biomedicines11082187
Bui TQ, Binh NT, Pham TL-B, Le Van T, Truong NH, Nguyen DP-H, Luu TT-T, Nguyen-Xuan Pham T, Cam Tran T, Nguyen HT-T, et al. The Efficacy of Transplanting Human Umbilical Cord Mesenchymal Stem Cell Sheets in the Treatment of Myocardial Infarction in Mice. Biomedicines. 2023; 11(8):2187. https://doi.org/10.3390/biomedicines11082187
Chicago/Turabian StyleBui, Thang Quoc, Nguyen Trong Binh, Truc Le-Buu Pham, Trinh Le Van, Nhung Hai Truong, Dang Phu-Hai Nguyen, Thao Thi-Thu Luu, Trang Nguyen-Xuan Pham, Tu Cam Tran, Huyen Thuong-Thi Nguyen, and et al. 2023. "The Efficacy of Transplanting Human Umbilical Cord Mesenchymal Stem Cell Sheets in the Treatment of Myocardial Infarction in Mice" Biomedicines 11, no. 8: 2187. https://doi.org/10.3390/biomedicines11082187
APA StyleBui, T. Q., Binh, N. T., Pham, T. L.-B., Le Van, T., Truong, N. H., Nguyen, D. P.-H., Luu, T. T.-T., Nguyen-Xuan Pham, T., Cam Tran, T., Nguyen, H. T.-T., Thuy-Trinh, N., & Tran, P. A. (2023). The Efficacy of Transplanting Human Umbilical Cord Mesenchymal Stem Cell Sheets in the Treatment of Myocardial Infarction in Mice. Biomedicines, 11(8), 2187. https://doi.org/10.3390/biomedicines11082187

