Phytochemical Profiling and Anti-Fibrotic Activities of the Gemmotherapy Bud Extract of Corylus avellana in a Model of Liver Fibrosis on Diabetic Mice
Abstract
1. Introduction
2. Materials and Methods
2.1. The Vegetal Raw Material
2.2. The Preparation of Gemmotherapy Extracts
2.3. The Evaluation of Total Flavonoids and Polyphenols Contents
2.4. The LC/MS Analyses
2.5. Animals and Experimental Design
2.6. Biochemistry
2.7. Histology and Immunohistochemistry
2.8. Electron Microscopy
2.9. Quantitative Real-Time PCR Analysis
2.10. Antioxidant Activity
2.10.1. Preparation of Tissue Lysate
2.10.2. Lipid Peroxidation Assay
2.10.3. Reduced Glutathione (GSH) Assay
2.10.4. Advanced Oxidation Products of Proteins (AOPP)
2.10.5. Western Blotting Analysis
2.10.6. Enzymatic Activity of Metalloproteinases MMP-2 and MMP-9
2.11. Statistical Analysis
3. Results
3.1. Characterization of Corylus avellana Gemmotherapy Buds Extract
3.2. Corylus avellana Gemmotherapy Extract Improves Liver Function and Architecture of Fibrotic Livers in Diabetic Mice
3.3. Corylus avellana Gemmotherapy Buds Extract Suppresses the Secretion and Deposition of Collagen in a Liver Fibrosis Model of Diabetic Mice
3.4. Corylus avellana Gemmotherapy Extract Inhibits Activation and Proliferation of HSCs in Fibrotic Livers of Diabetic Mice
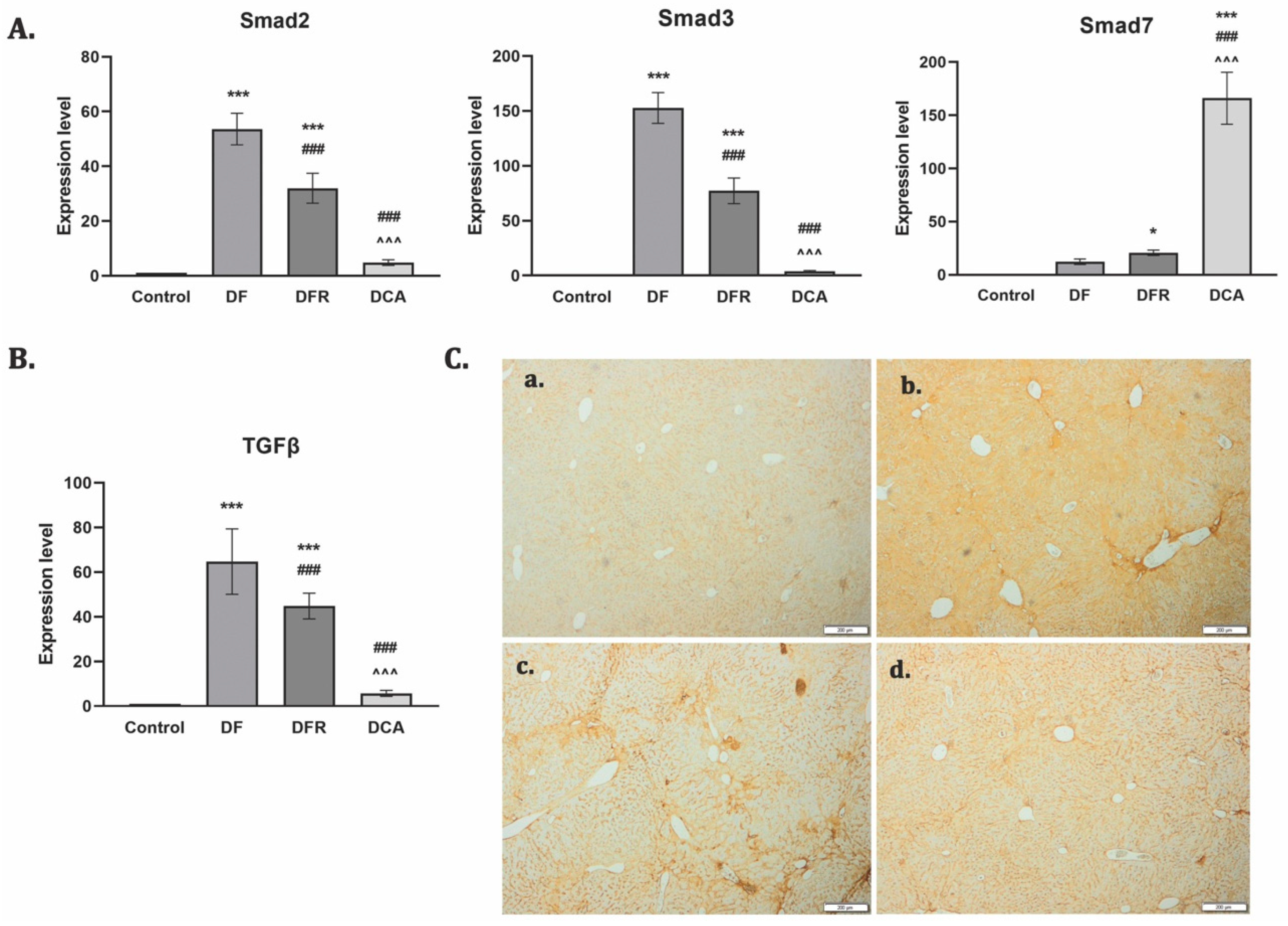
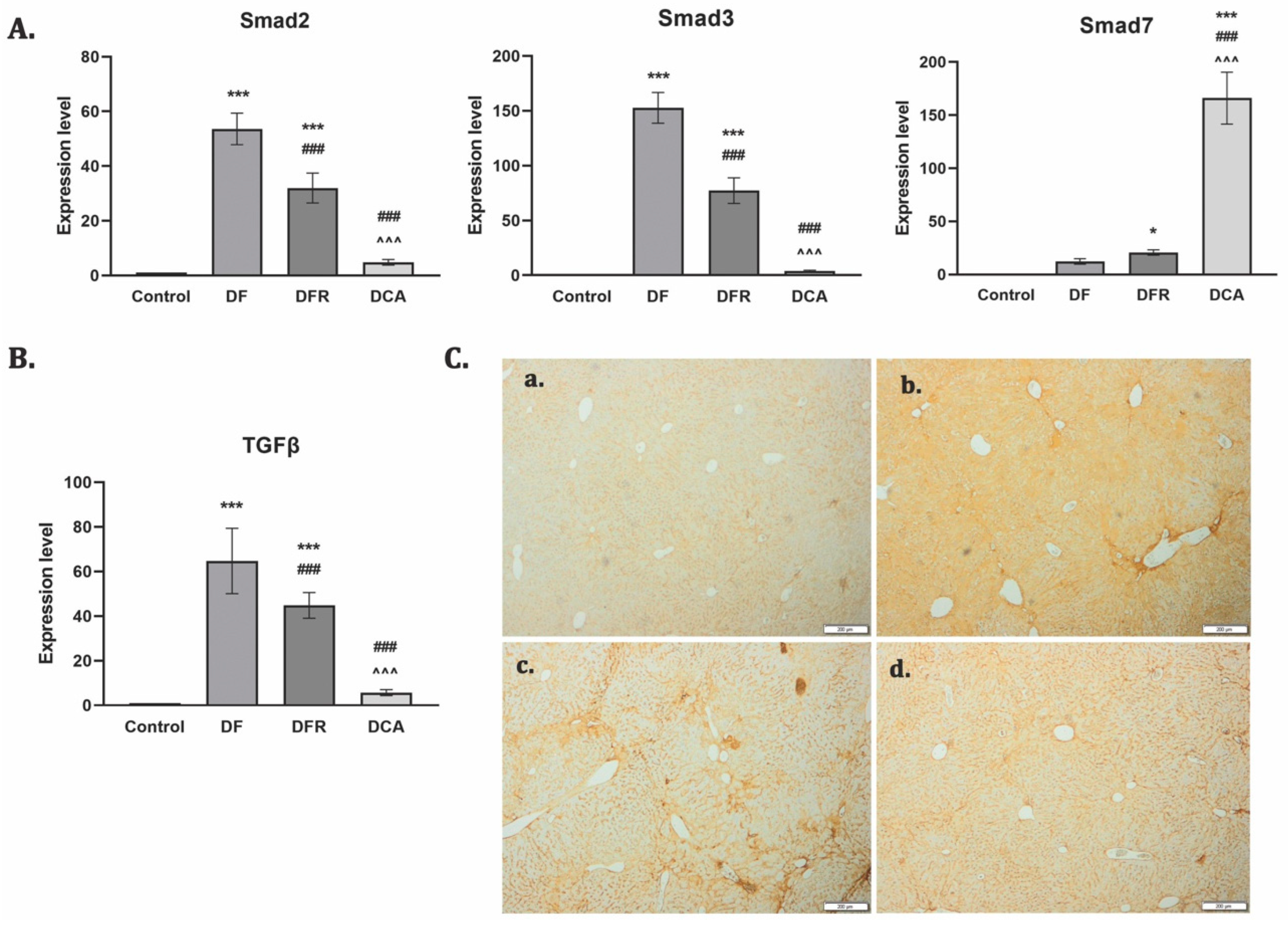
3.5. Corylus avellana Gemmotherapy Extract Downregulates TGF-β1/Smad Signaling in Fibrotic Livers of Diabetic Mice
3.6. Corylus avellana Gemmotherapy Extract Modulates ECM by TIMP-1/MMPs Balance
3.7. Oxidative Stress Biomarkers
4. Discussion
5. Conclusions
Supplementary Materials
Author Contributions
Funding
Institutional Review Board Statement
Informed Consent Statement
Data Availability Statement
Conflicts of Interest
References
- Acharya, P.; Chouhan, K.; Weiskirchen, S.; Weiskirchen, R. Cellular Mechanisms of Liver Fibrosis. Front. Pharmacol. 2021, 12, 671640. [Google Scholar] [CrossRef] [PubMed]
- Puche, J.E.; Saiman, Y.; Friedman, S.L. Hepatic Stellate Cells and Liver Fibrosis. Compr. Physiol. 2013, 3, 1473–1492. [Google Scholar] [CrossRef] [PubMed]
- Zhang, C.-Y.; Yuan, W.-G.; He, P.; Lei, J.-H.; Wang, C.-X. Liver Fibrosis and Hepatic Stellate Cells: Etiology, Pathological Hallmarks and Therapeutic Targets. World J. Gastroenterol. 2016, 22, 10512–10522. [Google Scholar] [CrossRef]
- Elpek, G.Ö. Cellular and Molecular Mechanisms in the Pathogenesis of Liver Fibrosis: An Update. World J. Gastroenterol. 2014, 20, 7260–7276. [Google Scholar] [CrossRef]
- Herrera, J.; Henke, C.A.; Bitterman, P.B. Extracellular Matrix as a Driver of Progressive Fibrosis. J. Clin. Investig. 2018, 128, 45–53. [Google Scholar] [CrossRef]
- Ortiz, C.; Schierwagen, R.; Schaefer, L.; Klein, S.; Trepat, X.; Trebicka, J. Extracellular Matrix Remodeling in Chronic Liver Disease. Curr. Tissue Microenviron. Rep. 2021, 2, 41–52. [Google Scholar] [CrossRef] [PubMed]
- Bottone, A.; Cerulli, A.; D’Urso, G.; Masullo, M.; Montoro, P.; Napolitano, A.; Piacente, S. Plant Specialized Metabolites in Hazelnut (Corylus avellana) Kernel and Byproducts: An Update on Chemistry, Biological Activity, and Analytical Aspects. Planta Med. 2019, 85, 840–855. [Google Scholar] [CrossRef]
- Shataer, D.; Li, J.; Duan, X.-M.; Liu, L.; Xin, X.-L.; Aisa, H.A. Chemical Composition of the Hazelnut Kernel (Corylus avellana L.) and Its Anti-Inflammatory, Antimicrobial, and Antioxidant Activities. J. Agric. Food Chem. 2021, 69, 4111–4119. [Google Scholar] [CrossRef]
- Cappelli, G.; Giovannini, D.; Basso, A.L.; Demurtas, O.C.; Diretto, G.; Santi, C.; Girelli, G.; Bacchetta, L.; Mariani, F. A Corylus avellana L. Extract Enhances Human Macrophage Bactericidal Response against Staphylococcus Aureus by Increasing the Expression of Anti-Inflammatory and Iron Metabolism Genes. J. Funct. Foods 2018, 45, 499–511. [Google Scholar] [CrossRef]
- Rusu, M.A.; Bucur, N.; Puică, C.; Tămaş, M. Effects of Corylus Avellana in Acetaminophen and CCl4 Induced Toxicosis. Phytother. Res. 1999, 13, 120–123. [Google Scholar] [CrossRef]
- Mollica, A.; Zengin, G.; Stefanucci, A.; Ferrante, C.; Menghini, L.; Orlando, G.; Brunetti, L.; Locatelli, M.; Dimmito, M.P.; Novellino, E.; et al. Nutraceutical Potential of Corylus Avellana Daily Supplements for Obesity and Related Dysmetabolism. J. Funct. Foods 2018, 47, 562–574. [Google Scholar] [CrossRef]
- Livak, K.J.; Schmittgen, T.D. Analysis of Relative Gene Expression Data Using Real-Time Quantitative PCR and the 2−ΔΔCT Method. Methods 2001, 25, 402–408. [Google Scholar] [CrossRef] [PubMed]
- Lowry, O.H.; Rosebrough, N.J.; Farr, A.L.; Randall, R.J. Protein Measurement with the Folin Phenol Reagent. J. Biol. Chem. 1951, 193, 265–275. [Google Scholar] [CrossRef] [PubMed]
- Del Rio, D.; Pellegrini, N.; Colombi, B.; Bianchi, M.; Serafini, M.; Torta, F.; Tegoni, M.; Musci, M.; Brighenti, F. Rapid Fluorimetric Method to Detect Total Plasma Malondialdehyde with Mild Derivatization Conditions. Clin. Chem. 2003, 49, 690–692. [Google Scholar] [CrossRef]
- Witko-Sarsat, V.; Friedlander, M.; Capeillère-Blandin, C.; Nguyen-Khoa, T.; Nguyen, A.T.; Zingraff, J.; Jungers, P.; Descamps-Latscha, B. Advanced Oxidation Protein Products as a Novel Marker of Oxidative Stress in Uremia. Kidney Int. 1996, 49, 1304–1313. [Google Scholar] [CrossRef]
- Wang, L.; Yue, Z.; Guo, M.; Fang, L.; Bai, L.; Li, X.; Tao, Y.; Wang, S.; Liu, Q.; Zhi, D.; et al. Dietary Flavonoid Hyperoside Induces Apoptosis of Activated Human LX-2 Hepatic Stellate Cell by Suppressing Canonical NF-ΚB Signaling. Biomed Res. Int. 2016, 2016, 1068528. [Google Scholar] [CrossRef]
- Zou, L.; Chen, S.; Li, L.; Wu, T. The Protective Effect of Hyperoside on Carbon Tetrachloride-Induced Chronic Liver Fibrosis in Mice via Upregulation of Nrf2. Exp. Toxicol. Pathol. 2017, 69, 451–460. [Google Scholar] [CrossRef]
- Xing, H.; Fu, R.; Cheng, C.; Cai, Y.; Wang, X.; Deng, D.; Gong, X.; Chen, J. Hyperoside Protected Against Oxidative Stress-Induced Liver Injury via the PHLPP2-AKT-GSK-3β Signaling Pathway In Vivo and In Vitro. Front. Pharmacol. 2020, 11, 1065. [Google Scholar] [CrossRef]
- Miao, H.; Ouyang, H.; Guo, Q.; Wei, M.; Lu, B.; Kai, G.; Ji, L. Chlorogenic Acid Alleviated Liver Fibrosis in Methionine and Choline Deficient Diet-Induced Nonalcoholic Steatohepatitis in Mice and Its Mechanism. J. Nutr. Biochem. 2022, 106, 109020. [Google Scholar] [CrossRef]
- Shi, H.; Shi, A.; Dong, L.; Lu, X.; Wang, Y.; Zhao, J.; Dai, F.; Guo, X. Chlorogenic Acid Protects against Liver Fibrosis in Vivo and in Vitro through Inhibition of Oxidative Stress. Clin. Nutr. 2016, 35, 1366–1373. [Google Scholar] [CrossRef]
- Shi, H.; Dong, L.; Jiang, J.; Zhao, J.; Zhao, G.; Dang, X.; Lu, X.; Jia, M. Chlorogenic Acid Reduces Liver Inflammation and Fibrosis through Inhibition of Toll-like Receptor 4 Signaling Pathway. Toxicology 2013, 303, 107–114. [Google Scholar] [CrossRef] [PubMed]
- Bernatoniene, J.; Kopustinskiene, D.M. The Role of Catechins in Cellular Responses to Oxidative Stress. Molecules 2018, 23, 965. [Google Scholar] [CrossRef]
- Marugame, Y.; Takeshita, N.; Yamada, S.; Yoshitomi, R.; Kumazoe, M.; Fujimura, Y.; Tachibana, H. Sesame Lignans Upregulate Glutathione S-Transferase Expression and Downregulate MicroRNA-669c-3p. Biosci. Microbiota Food Health 2022, 41, 66–72. [Google Scholar] [CrossRef] [PubMed]
- Eggler, A.L.; Small, E.; Hannink, M.; Mesecar, A.D. Cul3-Mediated Nrf2 Ubiquitination and Antioxidant Response Element (ARE) Activation Are Dependent on the Partial Molar Volume at Position 151 of Keap1. Biochem. J. 2009, 422, 171–180. [Google Scholar] [CrossRef]
- Peng, X.; Dai, C.; Liu, Q.; Li, J.; Qiu, J. Curcumin Attenuates on Carbon Tetrachloride-Induced Acute Liver Injury in Mice via Modulation of the Nrf2/HO-1 and TGF-Β1/Smad3 Pathway. Molecules 2018, 23, 215. [Google Scholar] [CrossRef]
- Granado-Serrano, A.B.; Martín, M.A.; Bravo, L.; Goya, L.; Ramos, S. Quercetin Modulates Nrf2 and Glutathione-Related Defenses in HepG2 Cells: Involvement of P38. Chem. Biol. Interact. 2012, 195, 154–164. [Google Scholar] [CrossRef]
- Galicia-Moreno, M.; Lucano-Landeros, S.; Monroy-Ramirez, H.C.; Silva-Gomez, J.; Gutierrez-Cuevas, J.; Santos, A.; Armendariz-Borunda, J. Roles of Nrf2 in Liver Diseases: Molecular, Pharmacological, and Epigenetic Aspects. Antioxidants 2020, 9, 980. [Google Scholar] [CrossRef] [PubMed]
- Lundvig, D.M.S.; Immenschuh, S.; Wagener, F.A.D.T.G. Heme Oxygenase, Inflammation, and Fibrosis: The Good, the Bad, and the Ugly? Front. Pharmacol. 2012, 3, 81. [Google Scholar] [CrossRef]
- Barikbin, R.; Neureiter, D.; Wirth, J.; Erhardt, A.; Schwinge, D.; Kluwe, J.; Schramm, C.; Tiegs, G.; Sass, G. Induction of Heme Oxygenase 1 Prevents Progression of Liver Fibrosis in Mdr2 Knockout Mice. Hepatology 2012, 55, 553–562. [Google Scholar] [CrossRef] [PubMed]
- Yang, H.; Zhang, L.; Chen, J.; Zhang, X.; Zhao, Z.; Zhao, L. Heme Oxygenase-1 Inhibits the Proliferation of Hepatic Stellate Cells by Activating PPARγ and Suppressing NF-ΚB. Comput. Math. Methods Med. 2022, 2022, 8920861. [Google Scholar] [CrossRef]
- Verspaget, H.; Kuyvenhoven, J.; Sier, C.; van Hoek, B. Matrix Metalloproteinases in Chronic Liver Disease and Liver Transplantation. In Proteases in Gastrointestinal Tissue; Lendeckel, U., Hooper, N.M., Eds.; Springer: Dordrecht, The Netherlands, 2006; pp. 209–234. [Google Scholar]
- Préaux, A.M.; Mallat, A.; Nhieu, J.T.; D’Ortho, M.P.; Hembry, R.M.; Mavier, P. Matrix Metalloproteinase-2 Activation in Human Hepatic Fibrosis Regulation by Cell-Matrix Interactions. Hepatology 1999, 30, 944–950. [Google Scholar] [CrossRef] [PubMed]
- Naim, A.; Pan, Q.; Baig, M.S. Matrix Metalloproteinases (MMPs) in Liver Diseases. J. Clin. Exp. Hepatol. 2017, 7, 367–372. [Google Scholar] [CrossRef] [PubMed]
- Zbodakova, O.; Chalupsky, K.; Tureckova, J.; Sedlacek, R. Metalloproteinases in Liver Fibrosis: Current Insights. Met. Med. 2017, 4, 25–35. [Google Scholar] [CrossRef]
- Romagnoli, C.; Marcucci, T.; Picariello, L.; Tonelli, F.; Vincenzini, M.T.; Iantomasi, T. Role of N-Acetylcysteine and GSH Redox System on Total and Active MMP-2 in Intestinal Myofibroblasts of Crohn’s Disease Patients. Int. J. Color. Dis. 2013, 28, 915–924. [Google Scholar] [CrossRef] [PubMed]
- Pei, P.; Horan, M.P.; Hille, R.; Hemann, C.F.; Schwendeman, S.P.; Mallery, S.R. Reduced Nonprotein Thiols Inhibit Activation and Function of MMP-9: Implications for Chemoprevention. Free Radic. Biol. Med. 2006, 41, 1315–1324. [Google Scholar] [CrossRef]
- Hernández-Ortega, L.D.; Alcántar-Díaz, B.E.; Ruiz-Corro, L.A.; Sandoval-Rodriguez, A.; Bueno-Topete, M.; Armendariz-Borunda, J.; Salazar-Montes, A.M. Quercetin Improves Hepatic Fibrosis Reducing Hepatic Stellate Cells and Regulating Pro-Fibrogenic/Anti-Fibrogenic Molecules Balance. J. Gastroenterol. Hepatol. 2012, 27, 1865–1872. [Google Scholar] [CrossRef]
- Buonomo, A.R.; Scotto, R.; Nappa, S.; Arcopinto, M.; Salzano, A.; Marra, A.M.; D’Assante, R.; Zappulo, E.; Borgia, G.; Gentile, I. The Role of Curcumin in Liver Diseases. Arch. Med. Sci. 2019, 15, 1608–1620. [Google Scholar] [CrossRef]
- Lu, J.H.; Hsia, K.; Lin, C.H.; Chen, C.C.; Yang, H.Y.; Lin, M.H. Dietary supplementation with hazelnut oil reduces serum hyperlipidemia and ameliorates the progression of nonalcoholic fatty liver disease in hamsters fed a high-cholesterol diet. Nutrients 2019, 11, 2224. [Google Scholar] [CrossRef]
- Ielciu, I.; Sevastre, B.; Olah, N.-K.; Turdean, A.; Chișe, E.; Marica, R.; Oniga, I.; Uifălean, A.; Sevastre-Berghian, A.C.; Niculae, M.; et al. Evaluation of Hepatoprotective Activity and Oxidative Stress Reduction of Rosmarinus officinalis L. Shoots Tincture in Rats with Experimentally Induced Hepatotoxicity. Molecules 2021, 26, 1737. [Google Scholar] [CrossRef]







| Target | Sense | Antisense |
|---|---|---|
| TGF-β1 | 5′ TTTGGAGCCTGGACACACAGTAC 3′ | 5′ TGTGTTGGTTGTAGAGGGCAAGGA 3′ |
| α-SMA | 5′ CCGACCGAATGCAGAAG GA 3′ | 5′ ACAGAGTATTTGCGCTCCGAA 3′ |
| Smad 2 | 5′ GTTCCTGCCTTTGCTGAGAC 3′ | 5′ TCTCTTTGCCAGGAATGCTT 3′ |
| Smad 3 | 5′ TGCTGGTGACTGGATAGCAG 3′ | 5′ CTCCTTGGAAGGTGCTGAAG 3′ |
| Smad 7 | 5′ GCTCACGCACTCGGTGCTCA 3′ | 5′ CCAGGCTCCAGAAGAAGTTG 3′ |
| Col I | 5′ CAGCCGCTTCACCTACAGC 3′ | 5′ TTTTGTATTCAATCACTGTCTTGCC 3′ |
| MMP1 | 5′ GCAGCGTCAAGTTTAACTGGAA 3′ | 5′ AACTACATTTAGGGGAGAGGTGT 3′ |
| MMP2 | 5′ CAG GGA ATG AGT ACT GGG TCT ATT 3′ | 5′ ACT CCA GTT AAA GGC AGC ATC TAC 3′ |
| MMP3 | 5′ ACCAACCTATTCCTGGTTGCTGCT 3′ | 5′ ATGGAAACGGGACAAGTCTGTGGA 3′ |
| MMP9 | 5′ AAT CTC TTC TAG AGA CTG GGA AGG AG 3′ | 5′ AGC TGA TTG ACT AAA GTA GCT GGA 3′ |
| Timp1 | 5′ GGTGTGCACAGTGTTTCCCTGTTT 3′ | 5′ TCCGTCCACAAACAGTGAGTGTCA 3′ |
| GAPDH | 5′ CGACTTCAACAGCAACTCCCACTCTTCC-3′ | 5′ TGGGTGGTCCAGGGTTTCTTACTCCTT 3′ |
| Corylus avellana Gemmotherapy Buds Extract Period of Harvesting | Total Flavonoids Expressed in Quercetine, mg/mL | Total Polyphenols Expressed in Caffeic Acid, mg/mL |
|---|---|---|
| February 2019 | 4.1 ± 0.08 | 65.3 ± 0.67 |
| March 2019 | 4.8 ± 0.11 | 68.6 ± 0.85 |
| January 2020 | 4.1 ± 0.12 | 67.8 ± 0.51 |
| February 2020 | 4.6 ± 0.10 | 70.6 ± 0.74 |
| Corylus avellana Gemmotherapy Buds Extract/Standard | February 2019 | March 2019 | January 2020 | February 2020 |
|---|---|---|---|---|
| mg/mL | ||||
| Chlorogenic acid | 0.360 ± 0.0090 | 0.360 ± 0.0087 | 0.430 ± 0.0204 | 0.340 ± 0.0104 |
| Gallic acid | 0.080 ± 0.0024 | 0.070 ± 0.0021 | 0.070 ± 0.0022 | 0.080 ± 0.0030 |
| Salicylic acid | <qL | 0.040 ± 0.0009 | 0.070 ± 0.0031 | 0.060 ± 0.0018 |
| Catechin | 0.160 ± 0.0038 | 0.100 ± 0.0038 | 0.190 ± 0.0057 | 0.130 ± 0.0042 |
| Apigenin | <qL | 0.003 ± 0.0001 | 0.002 ± 0.0001 | - |
| Chrysine | 0.100 ± 0.0051 | 0.090 ± 0.0031 | 0.090 ± 0.0023 | 0.090 ± 0.0035 |
| Quercetin | 0.020 ± 0.0004 | 0.080 ± 0.0025 | 0.110 ± 0.0034 | 0.070 ± 0.0018 |
| Hyperoside | 2.000 ± 0.0371 | 2.000 ±0.0377 | 2.270 ± 0.0615 | 2.030 ± 0.0487 |
| Rutoside | 0.580 ± 0.0178 | 0.600 ± 0.0210 | 0.570 ± 0.0171 | 0.580 ± 0.0094 |
| Luteolin-7-O-glucoside | 0.070 ± 0.0027 | 0.070 ± 0.0018 | 0.070 ± 0.0009 | 0.070 ± 0.0026 |
| Naringenin | 0.020 ± 0.0007 | 0.020 ± 0.0008 | 0.020 ± 0.0005 | 0.030 ± 0.0008 |
Disclaimer/Publisher’s Note: The statements, opinions and data contained in all publications are solely those of the individual author(s) and contributor(s) and not of MDPI and/or the editor(s). MDPI and/or the editor(s) disclaim responsibility for any injury to people or property resulting from any ideas, methods, instructions or products referred to in the content. |
© 2023 by the authors. Licensee MDPI, Basel, Switzerland. This article is an open access article distributed under the terms and conditions of the Creative Commons Attribution (CC BY) license (https://creativecommons.org/licenses/by/4.0/).
Share and Cite
Balta, C.; Herman, H.; Ciceu, A.; Mladin, B.; Rosu, M.; Sasu, A.; Peteu, V.E.; Voicu, S.N.; Balas, M.; Gherghiceanu, M.; et al. Phytochemical Profiling and Anti-Fibrotic Activities of the Gemmotherapy Bud Extract of Corylus avellana in a Model of Liver Fibrosis on Diabetic Mice. Biomedicines 2023, 11, 1771. https://doi.org/10.3390/biomedicines11061771
Balta C, Herman H, Ciceu A, Mladin B, Rosu M, Sasu A, Peteu VE, Voicu SN, Balas M, Gherghiceanu M, et al. Phytochemical Profiling and Anti-Fibrotic Activities of the Gemmotherapy Bud Extract of Corylus avellana in a Model of Liver Fibrosis on Diabetic Mice. Biomedicines. 2023; 11(6):1771. https://doi.org/10.3390/biomedicines11061771
Chicago/Turabian StyleBalta, Cornel, Hildegard Herman, Alina Ciceu, Bianca Mladin, Marcel Rosu, Alciona Sasu, Victor Eduard Peteu, Sorina Nicoleta Voicu, Mihaela Balas, Mihaela Gherghiceanu, and et al. 2023. "Phytochemical Profiling and Anti-Fibrotic Activities of the Gemmotherapy Bud Extract of Corylus avellana in a Model of Liver Fibrosis on Diabetic Mice" Biomedicines 11, no. 6: 1771. https://doi.org/10.3390/biomedicines11061771
APA StyleBalta, C., Herman, H., Ciceu, A., Mladin, B., Rosu, M., Sasu, A., Peteu, V. E., Voicu, S. N., Balas, M., Gherghiceanu, M., Dinischiotu, A., Olah, N. K., & Hermenean, A. (2023). Phytochemical Profiling and Anti-Fibrotic Activities of the Gemmotherapy Bud Extract of Corylus avellana in a Model of Liver Fibrosis on Diabetic Mice. Biomedicines, 11(6), 1771. https://doi.org/10.3390/biomedicines11061771

