Evaluation of Bone Regenerative Capacity in Rabbit Femoral Defect Using Thermally Disinfected Bone Human Femoral Head Combined with Platelet-Rich Plasma, Recombinant Human Bone Morphogenetic Protein 2, and Zoledronic Acid
Abstract
1. Introduction
2. Materials and Methods
2.1. Preparation of Marburg Bone Graft
2.2. Preparation of Platelet-Rich Plasma
2.3. Preparation of rhBMP-2
2.4. Preparation of Zoledronic Acid
2.5. Animal Surgery
2.6. Histopathological and Histomorphometric Examination
- -
- Hematoxylin and eosin staining
- -
- Masson’s Trichrome staining
2.7. Statistical Analysis
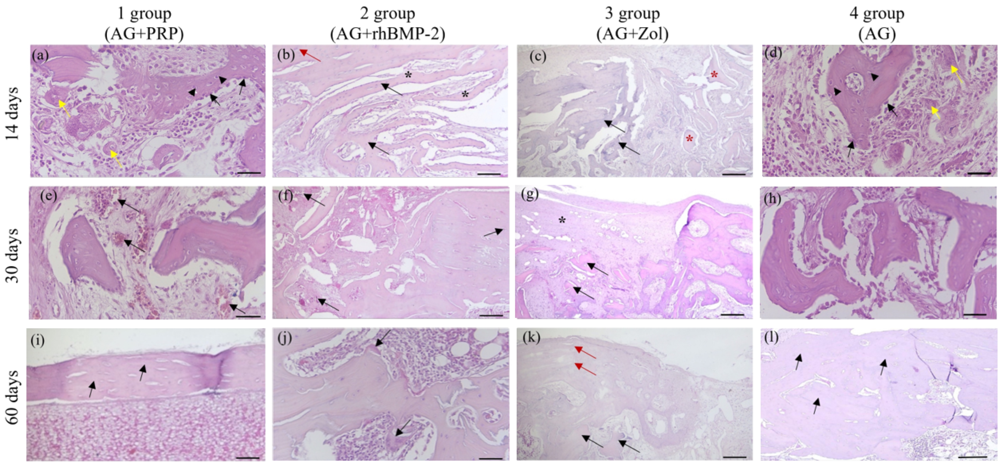
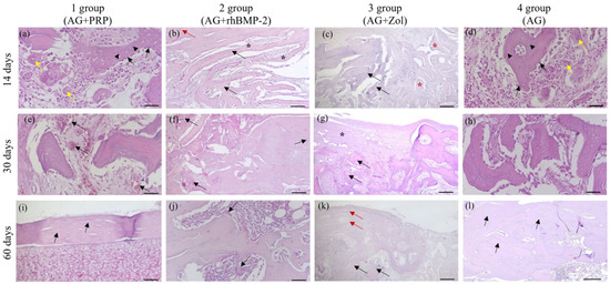
3. Results
4. Discussion
5. Conclusions
Author Contributions
Funding
Institutional Review Board Statement
Informed Consent Statement
Data Availability Statement
Conflicts of Interest
References
- Winkler, T.; Sass, F.A.; Duda, G.N.; Schmidt-Bleek, K. A review of biomaterials in bone defect healing, remaining shortcomings and future opportunities for bone tissue engineering: The unsolved challenge. Bone Jt. Res. 2018, 7, 232–243. [Google Scholar] [CrossRef] [PubMed]
- Molina, C.S.; Stinner, D.J.; Obremskey, W.T. Treatment of traumatic segmental long-bone defects: A critical analysis review. JBJS Rev. 2014, 2, e1. [Google Scholar] [CrossRef] [PubMed]
- Roberts, T.T.; Rosenbaum, A.J. Bone grafts, bone substitutes and orthobiologics: The bridge between basic science and clinical advancements in fracture healing. Organogenesis 2012, 8, 114–124. [Google Scholar] [CrossRef] [PubMed]
- Finkemeier, C.G. Bone-grafting and bone-graft substitutes. J. Bone Jt. Surg. Am. 2002, 84, 454–464. [Google Scholar] [CrossRef] [PubMed]
- Chiarello, E.; Cadossi, M.; Tedesco, G.; Capra, P.; Calamelli, C.; Shehu, A.; Giannini, S. Autograft, allograft and bone substitutes in reconstructive orthopedic surgery. Aging Clin. Exp. Res. 2019, 25, 101–103. [Google Scholar] [CrossRef] [PubMed]
- Mauffrey, C.; Barlow, B.T.; Smith, W. Management of segmental bone defects. J. Am. Acad. Orthop. Surg. 2015, 23, 143–153. [Google Scholar] [CrossRef] [PubMed]
- Brydone, A.S.; Meek, D.; Maclaine, S. Bone grafting, orthopaedic biomaterials, and the clinical need for bone engineering. Proc. Inst. Mech. Eng. H 2010, 224, 1329–1343. [Google Scholar] [CrossRef]
- Angermann, P.; Jepsen, O.B. Procurement, banking and decontamination of bone and collagenous tissue allografts: Guidelines for infection control. J. Hosp. Infect. 1991, 17, 159–169. [Google Scholar] [CrossRef]
- Pruss, A.; Schön, R.; Gielisch, M.; Wiltfang, J.; Warnke, P.H. Validation of the “Marburg bone bank system” for thermodisinfection of allogenic femoral head transplants using selected bacteria, fungi and spores. Biologicals 2003, 31, 287–294. [Google Scholar] [CrossRef]
- Katthagen, B.D.; Prub, A. Transplantation allogenen Knochens [Bone allografting]. Orthopade 2008, 37, 764–771. (In German) [Google Scholar] [CrossRef] [PubMed]
- Siemssen, N.; Friesecke, C.; Wolff, C.; Beller, G.; Wassilew, K.; Neuner, B.; Schönfeld, H.; Pruß, A. Ein klinisch-radiologischer Score für Femurkopftransplantate: Etablierung des Tabea-FK-Scores zur Sicherung der Qualität humaner Femurkopftransplantate [A clinical radiological score for femoral head grafts: Establishment of the Tabea FK score to ensure the quality of human femoral head grafts]. Orthopade 2021, 50, 471–480. (In German) [Google Scholar] [CrossRef] [PubMed]
- Labutin, D.; Vorobev, K.; Bozhkova, S.; Polyakova, E.; Vodopyanova, T. Human bone graft cytocompatibility with mesenchymal stromal cells is comparable after thermal sterilization and washing followed by γ-irradiation: An in vitro study. Regen. Biomater. 2018, 5, 85–92. [Google Scholar] [CrossRef] [PubMed]
- Moreno, M.; Amaral, M.H.; Lobo, J.M.S.; Silva, A.C. Scaffolds for bone regeneration: State of the art. Curr. Pharm. Des. 2016, 22, 2726–2736. [Google Scholar] [CrossRef]
- Oryan, A.; Alidadi, S.; Moshiri, A.; Maffulli, N. Bone regenerative medicine: Classic options, novel strategies, and future directions. J. Orthop. Surg. Res. 2014, 9, 18. [Google Scholar] [CrossRef]
- Plachokova, A.S.; van den Dolder, J.; Stoelinga, P.J.; Jansen, J.A. Early effect of platelet-rich plasma on bone healing in combination with an osteoconductive material in rat cranial defects. Clin. Oral. Implants Res. 2007, 18, 244–251. [Google Scholar] [CrossRef]
- Zhang, X.; Li, Q.; Wang, Z.; Zhou, W.; Zhang, L.; Liu, Y.; Xu, Z.; Li, Z.; Zhu, C.; Zhang, X. Bone regeneration materials and their application over 20 years: A bibliometric study and systematic review. Front. Bioeng. Biotechnol. 2022, 10, 921092. [Google Scholar] [CrossRef]
- Battafarano, G.; Rossi, M.; De Martino, V.; Marampon, F.; Borro, L.; Secinaro, A.; Del Fattore, A. Strategies for bone regeneration: From graft to tissue engineering. Int. J. Mol. Sci. 2021, 22, 1128. [Google Scholar] [CrossRef]
- Luk, K.D.; Saw, L.B.; Grozman, S.; Cheung, K.M.; Samartzis, D. The bone morphogenetic protein-2/7 heterodimer is a stronger inducer of bone regeneration than the individual homodimers in a rat spinal fusion model. Spine J. 2015, 15, 1379–1390. [Google Scholar] [CrossRef]
- James, A.W.; LaChaud, G.; Shen, J.; Asatrian, G.; Nguyen, V.; Zhang, X.; Ting, K.; Soo, C. A review of the clinical side effects of bone morphogenetic protein-2. Tissue Eng. Part. B Rev. 2016, 22, 284–297. [Google Scholar] [CrossRef] [PubMed]
- Issa, J.P.; Gonzaga, M.; Kotake, B.G.; de Lucia, C.; Ervolino, E.; Iyomasa, M. Bone repair of critical size defects treated with autogenic, allogenic, or xenogenic bone grafts alone or in combination with rhBMP-2. Clin. Oral Implant. Res. 2016, 27, 558–566. [Google Scholar] [CrossRef] [PubMed]
- Başdelioğlu, K.; Meriç, G.; Sargın, S.; Atik, A.; Ulusal, A.E.; Akseki, D. The effect of platelet-rich plasma on fracture healing in long-bone pseudoarthrosis. Eur. J. Orthop. Surg. Traumatol. 2020, 30, 1481–1486. [Google Scholar] [CrossRef] [PubMed]
- Nagata, M.J.; Melo, L.G.N.; Messora, M.R.; Bomfim, S.R.M.; Fucini, S.E.; Garcia, V.G.; Bosco, A.F.; Okamoto, T. Effect of platelet-rich plasma on bone healing of autogenous bone grafts in critical-size defects. J. Clin. Periodontol. 2009, 36, 775–783. [Google Scholar] [CrossRef] [PubMed]
- Marx, R.E.; Carlson, E.R.; Eichstaedt, R.M.; Schimmele, S.R.; Strauss, J.E.; Gergeff, K.R. Platelet-rich plasma: Growth factor enhancement for bone grafts. Oral Surg. Oral Med. Oral Pathol. Oral Radiol. Endod. 1998, 85, 638–646. [Google Scholar] [CrossRef] [PubMed]
- Dohan Ehrenfest, D.M.; Rasmusson, L.; Albrektsson, T. Classification of platelet concentrates: From pure platelet-rich plasma (P-PRP) to leukocyte- and platelet-rich fibrin (L-PRF). Trends Biotechnol. 2009, 27, 158–167. [Google Scholar] [CrossRef]
- Huang, X.; Huang, S.; Guo, F.; Xu, F.; Cheng, P.; Ye, Y.; Dong, Y.; Xiang, W.; Chen, A. Dose-dependent inhibitory effects of zoledronic acid on osteoblast viability and function in vitro. Mol. Med. Rep. 2016, 13, 613–622. [Google Scholar] [CrossRef]
- Jakobsen, T.; Baas, J.; Bechtold, J.E.; Elmengaard, B.; Søballe, K. The effect of soaking allograft in bisphosphonate: A pilot dose-response study. Clin. Orthop. Relat. Res. 2010, 468, 867–874. [Google Scholar] [CrossRef]
- Gao, Y.; Liu, X.; Gu, Y.; Song, D.; Ding, M.; Liao, L.; Wang, J.; Ni, J.; He, G. The Effect of Bisphosphonates on Fracture Healing Time and Changes in Bone Mass Density: A Meta-Analysis. Front. Endocrinol. 2021, 30, 688269. [Google Scholar] [CrossRef]
- The Code of the Republic of Kazakhstan on the Health of the People and the Healthcare System of 7 July 2020. №360. Chapter 24 Donation and Transplantation. Available online: https://adilet.zan.kz/rus/docs/K2000000360 (accessed on 1 January 2023).
- Order of the Minister of Health and Social Development of the Republic of Kazakhstan Dated 4 May 2019 on the Approval of the Rules for the Formation and Maintenance of Registers of Tissue Recipients (Part of the Tissue) and (or) Organs (Part of the Organs), as Well as Tissue Donors (Part of the Tissue) and (or) Organs (Part of Organs), Hematopoietic Stem Cells. Available online: https://adilet.zan.kz/rus/docs/V1500011477 (accessed on 4 May 2019).
- Tuleubaev, B.; Saginova, D.; Saginov, A.; Tashmetov, E.; Koshanova, A. Heat treated bone allograft as an antibiotic carrier for local application. Georgian Med. News 2020, 306, 142–146. [Google Scholar]
- Parasuraman, S.; Raveendran, R.; Kesavan, R. Blood sample collection in small laboratory animals. J. Pharmacol. Pharmacother. 2010, 1, 87–93. [Google Scholar] [CrossRef]
- National Research Council. Guide for the Care and Use of Laboratory Animals, 8th ed.; National Academies Press: Washington, DC, USA, 2011. [CrossRef]
- Cruz-Orive, L.M.; Weibel, E.R. Recent stereological methods for cell biology: A brief survey. Am. J. Physiol. 1990, 258 Pt 1, L148–L156. [Google Scholar] [CrossRef]
- Chiu, Y.L.; Luo, Y.L.; Chen, Y.W.; Wu, C.T.; Periasamy, S.; Yen, K.C.; Hsieh, D.J. Regenerative Efficacy of Supercritical Carbon Dioxide-Derived Bone Graft Putty in Rabbit Bone Defect Model. Biomedicines 2022, 10, 2802. [Google Scholar] [CrossRef] [PubMed]
- Burkitt, H.G.; Young, B.; Wheater, J.W. Wheater’s Functional Histology: A Text and Colour Atlas, 3rd ed.; Churchill Livingstone: New York, NY, USA, 2015. [Google Scholar]
- Jung, R.E.; Schmoekel, H.G.; Zwahlen, R.; Kokovic, V.; Hammerle, C.H.; Weber, F.E. Platelet-rich plasma and fibrin as delivery systems for recombinant human bone morphogenetic protein-2. Clin. Oral Implant. Res. 2005, 16, 676–682. [Google Scholar] [CrossRef] [PubMed]
- Marx, R.E. Platelet-rich plasma (PRP): What is PRP and what is not PRP? Implant. Dent. 2001, 10, 225–228. [Google Scholar] [CrossRef]
- Kim, T.H.; Kim, S.H.; Sándor, G.K.; Kim, Y.D. Comparison of platelet-rich plasma (PRP), platelet-rich fibrin (PRF), and concentrated growth factor (CGF) in rabbit-skull defect healing. Arch. Oral Biol. 2014, 59, 550–558. [Google Scholar] [CrossRef] [PubMed]
- Xie, H.; Cao, L.; Ye, L.; Du, J.; Shan, G.; Hu, J.; Jiang, C.; Song, W. Autogenous bone particles combined with platelet-rich plasma can stimulate bone regeneration in rabbits. Exp. Ther. Med. 2020, 20, 279. [Google Scholar] [CrossRef] [PubMed]
- Rocha, F.S.; Ramos, L.M.; Batista, J.D.; Zanetta-Barbosa, D.; Ferro, E.A.; Dechichi, P. Bovine anorganic bone graft associated with platelet-rich plasma: Histologic analysis in rabbit calvaria. J. Oral Implantol. 2011, 37, 511–518. [Google Scholar] [CrossRef]
- Stievano, D.; Di Stefano, A.; Ludovichetti, M.; Pagnutti, S.; Gazzola, F.; Boato, C.; Stellini, E. Maxillary sinus lift through heterologous bone grafts and simultaneous acid-etched implants placement. Five years follow-up. Minerva Chir. 2008, 63, 79–91. [Google Scholar]
- Gillman, C.E.; Jayasuriya, A.C. FDA-approved bone grafts and bone graft substitute devices in bone regeneration. Mater. Sci. Eng. C Mater. Biol. Appl. 2021, 130, 112466. [Google Scholar] [CrossRef]
- Cheng, T.L.; Leblanc, E.; Kalinina, A.; Cantrill, L.C.; Valtchev, P.; Dehghani, F.; Little, D.G.; Schindeler, A. A bioactive coating enhances bone allografts in rat models of bone formation and critical defect repair. J. Orthop. Res. 2019, 37, 2278–2286. [Google Scholar] [CrossRef] [PubMed]
- Alam, M.I.; Asahina, I.; Ohmamiuda, K.; Takahashi, K.; Yokota, S.; Enomoto, S. Evaluation of ceramics composed of different hydroxyapatite to tricalcium phosphate ratios as carriers for rhBMP-2. Biomaterials 2001, 22, 1643–1651. [Google Scholar] [CrossRef]
- Lee, Y.M.; Nam, S.H.; Seol, Y.J.; Kim, T.I.; Lee, S.J.; Ku, Y.; Rhyu, I.C.; Chung, C.P.; Han, S.B.; Choi, S.M. Enhanced bone augmentation by controlled release of recombinant human bone morphogenetic protein-2 from bioabsorbable membranes. J. Periodontol. 2003, 74, 865–872. [Google Scholar] [CrossRef] [PubMed]
- Kaneko, H.; Arakawa, T.; Mano, H.; Kaneda, T.; Ogasawara, A.; Nakagawa, M.; Toyama, Y.; Yabe, Y.; Kumegawa, M.; Hakeda, Y. Direct stimulation of osteoclastic bone resorption by bone morphogenetic protein (BMP)-2 and expression of BMP receptors in mature osteoclasts. Bone 2000, 27, 479–486. [Google Scholar] [CrossRef]
- Yamamoto, Y.; Udagawa, N.; Matsuura, S.; Nakamichi, Y.; Horiuchi, H.; Hosoya, A.; Nakamura, M.; Ozawa, H.; Takaoka, K.; Penninger, J.M.; et al. Osteoblasts provide a suitable microenvironment for the action of receptor activator of nuclear factor-κB ligand. Endocrinology 2006, 147, 3366–3374. [Google Scholar] [CrossRef] [PubMed]
- Zhang, B.; Skelly, J.D.; Maalouf, J.R.; Ayers, D.C.; Song, J. Multifunctional scaffolds for facile implantation, spontaneous fixation, and accelerated long bone regeneration in rodents. Sci. Transl. Med. 2019, 11, eaau7411. [Google Scholar] [CrossRef] [PubMed]
- Mindea, S.A.; Shih, P.; Song, J.K. Recombinant human bone morphogenetic protein-2-induced radiculitis in elective minimally invasive transforaminal lumbar interbody fusions: A series review. Spine 2009, 34, 1480. [Google Scholar] [CrossRef]
- Dunford, J.E.; Rogers, M.J.; Ebetino, F.H.; Phipps, R.J.; Coxon, F.P. Inhibition of protein prenylation by bisphosphonates causes sustained activation of Rac, Cdc42 and Rho GTPases. J. Bone Miner. Res. 2006, 21, 684–694. [Google Scholar] [CrossRef]
- Patntirapong, S.; Singhatanadgit, W.; Chanruangvanit, C.; Lavanrattanakul, K.; Satravaha, Y. Zoledronic acid suppresses mineralization through direct cytotoxicity and osteoblast differentiation inhibition. J. Oral Pathol. Med. 2012, 41, 713–720. [Google Scholar] [CrossRef]
- Huja, S.S.; Fernandez, S.A.; Phillips, C.; Li, Y. Zoledronic acid decreases bone formation without causing osteocyte death in mice. Arch. Oral Biol. 2009, 54, 851–856. [Google Scholar] [CrossRef]
- Kettenberger, U.; Ston, J.; Thein, E.; Procter, P.; Pioletti, D.P. Does locally delivered Zoledronate influence peri-implant bone formation?—Spatio-temporal monitoring of bone remodeling in vivo. Biomaterials 2014, 35, 9995–10006. [Google Scholar] [CrossRef]
- von Knoch, F.; Jaquiery, C.; Kowalsky, M.; Schaeren, S.; Alabre, C.; Martin, I.; Rubash, H.E.; Shanbhag, A.S. Effects of bisphosphonates on proliferation and osteoblast differentiation of human bone marrow stromal cells. Biomaterials 2005, 26, 6941–6949. [Google Scholar] [CrossRef] [PubMed]
- Black, C.; Gibbs, D.; McEwan, J.; Kanczler, J.; Fernández, M.P.; Tozzi, G.; Dawson, J.; Oreffo, R. Comparison of bone formation mediated by bone morphogenetic protein delivered by nanoclay gels with clinical techniques (autograft and InductOs®) in an ovine bone model. J. Tissue Eng. 2022, 13, 20417314221113746. [Google Scholar] [CrossRef] [PubMed]
- Yu, T.; Hu, Y.; He, W.; Xu, Y.; Zhan, A.; Chen, K.; Liu, M.; Xiao, X.; Xu, X.; Feng, Q.; et al. An injectable and self-healing hydrogel with dual physical crosslinking for in-situ bone formation. Mater. Today Bio 2023, 19, 100558. [Google Scholar] [CrossRef] [PubMed]
- Chang, B.; Ma, C.; Liu, X. Nanofibers Regulate Single Bone Marrow Stem Cell Osteogenesis via FAK/RhoA/YAP1 Pathway. ACS Appl. Mater. Interfaces 2018, 10, 33022–33031. [Google Scholar] [CrossRef] [PubMed]
- Kohli, N.; Sharma, V.; Orera, A.; Sawadkar, P.; Owji, N.; Frost, O.G.; Bailey, R.J.; Snow, M.; Knowles, J.C.; Blunn, G.W.; et al. Pro-angiogenic and osteogenic composite scaffolds of fibrin, alginate and calcium phosphate for bone tissue engineering. J. Tissue Eng. 2021, 12, 20417314211005610. [Google Scholar] [CrossRef]






| Histological Score | |
|---|---|
| Inflammation | Polymorphonuclear leukocytes * |
| Lymphocytes * | |
| Macrophages/Histiocytes * | |
| Osteogenic cells | Osteoblasts ** |
| Osteocytes ** | |
| Osteoclasts ** | |
| Index of bone defect closure *** | Bone defect closure area (%) |
| Tissue composition | Fibrous tissue (%) |
| Cartilage (%) | |
| Bone (%) | |
| Angiogenesis | Neovascularization **** |
| (A) | ||||
|---|---|---|---|---|
| 1 Group (AG + PRP) | 2 Group (AG + rhBMP-2) | 3 Group (AG + Zol) | 4 Group (AG) | |
| 14 days | ||||
| Osteoblasts | 412.0 (410.0; 465.8) p1 = 0.0001 p2 = 0.0001 p3 = 0.0001 p4 = 0.0001 | 273.0 (267.0; 304.0) p5 = 0.5059 p6 = 0.1975 | 268.0 (262.8; 289.0) p7 = 0.1134 | 298.0 (281.5; 310.5) |
| Osteocytes | 335.0 (317.8; 366.8) p1 = 0.0001 p2 = 0.0001 p3 = 0.0001 p4 = 0.0001 | 250.0 (241.3; 251.8) p5 = 0.6929 p6 = 0.0001 | 265.5 (240.8; 287.0) p7 = 0.0001 | 217.0 (193.0; 229.5) |
| Osteoclasts | 8.0 (5.0; 11.0) p1 = 0.4196 p2 = 0.1767 p3 = 0.2582 p4 = 0.5591 | 10.5 (7.3; 13.5) p5 = 0.5605 p6 = 0.2444 | 11.0 (5.8; 11.3) p7 = 0.5217 | 8.5 (4.5; 11.0) |
| Fibrous tissue | 35.0 (32.8; 38.0) p1 = 0.0001 p2 = 0.0001 p3 = 0.0001 p4 = 0.0001 | 50.0 (45.8; 51.8) p5 = 0.8192 p6 = 0.0235 | 48.5 (42.8; 55.0) p7 = 0.1134 | 47.0 (40.8; 49.0) |
| Cartilage tissue | 5.5 (3.8; 9.0) p1 = 0.0001 p2 = 0.0001 p3 = 0.0001 p4 = 0.0001 | 12.5 (12.0; 14.5) p5 = 0.0001 p6 = 0.0078 | 16.0 (16.0; 18.8) p7 = 0.0001 | 11.5 (10.8; 12.3) |
| Bone tissue | 58.0 (54.5; 62.8) p1 = 0.0001 p2 = 0.0003 p3 = 0.0001 p4 = 0.0001 | 38.0 (36.3; 40.0) p5 = 0.1400 p6 = 0.0178 | 36.0 (27.5; 38.0) p7 = 0.0009 | 41.5 (38.8; 48.5) |
| Vessels | 39.0 (33.8; 41.3) p1 = 0.0001 p2 = 0.0001 p3 = 0.0001 p4 = 0.0001 | 20.0 (18.0; 27.3) p5 = 0.0001 p6 = 0.0306 | 5.0 (5.0; 10.3) p7 = 0.0001 | 16.0 (14.3; 20.0) |
| (B) | ||||
| 1 Group (AG + PRP) | 2 Group (AG + rhBMP-2) | 3 Group (AG + Zol) | 4 Group (AG) | |
| 30 days | ||||
| Osteoblasts | 410.5 (401.5; 446.8) p1 = 0.0001 p2 = 0.8192 p3 = 0.0001 p4 = 0.0129 | 417.0 (337.3; 457.5) p5 = 0.0047 p6 = 0.2124 | 276.5 (233.3; 354.0) p7 = 0.0104 | 364.5 (316.5; 398.5) |
| Osteocytes | 438.5 (428.5; 455.3) p1 = 0.0001 p2 = 0.0014 p3 = 0.0001 p4 = 0.0001 | 425.5 (396.3; 427.8) p5 = 0.0001 p6 = 0.2987 | 255.0 (230.0; 371.0) p7 = 0.0001 | 408.5 (389.5; 421.5) |
| Osteoclasts | 6.5 (5.8; 7.0) p1 = 0.0001 p2 = 0.0001 p3 = 0.2278 p4 = 0.8653 | 22.5 (17.5; 24.0) p5 = 0.0001 p6 = 0.0001 | 11.0 (2.0; 11.0) p7 = 0.5465 | 6.5 (2.8; 11.0) |
| Fibrous tissue | 6.5 (6.0; 8.0) p1 = 0.0001 p2 = 0.9008 p3 = 0.0001 p4 = 0.0018 | 6.0 (2.0; 11.0) p5 = 0.0001 p6 = 0.0306 | 51.0 (35.0; 60.0) p7 = 0.0001 | 12.0 (8.5; 14.5) |
| Cartilage tissue | 8.5 (6.8; 9.3) p1 = 0.0001 p2 = 0.0026 p3 = 0.0007 p4 = 0.7063 | 5.5 (1.0; 7.8) p5 = 0.0001 p6 = 0.0199 | 12.0 (11.0; 13.5) p7 = 0.1134 | 9.0 (5.5; 13.0) |
| Bone tissue | 84.5 (83.8; 85.3) p1 = 0.0001 p2 = 0.1559 p3 = 0.0001 p4 = 0.0006 | 89.5 (85.0; 93.3) p5 = 0.0001 p6 = 0.0018 | 34.0 (29.0; 53.8) p7 = 0.0001 | 80.5 (76.0; 82.5) |
| Vessels | 31.0 (25.0; 41.3) p1 = 0.0001 p2 = 0.0003 p3 = 0.0000 p4 = 0.0041 | 19.0 (14.8; 21.8) p5 = 0.0019 p6 = 0.0673 | 10.0 (8.0; 11.0) p7 = 0.0001 | 20.5 (19.0; 23.3) |
| (C) | ||||
| 1 Group (AG + PRP) | 2 Group (AG + BMP-2) | 3 Group (AG + Zol) | 4 Group (AG) | |
| 60 days | ||||
| Osteoblasts | 405.0 (350.8; 421.3) p1 = 0.7302 p2 = 0.8191 p3 = 0.6511 p4 = 0.4286 | 383.0 (341.0; 427.3) p5 = 0.3286 p6 = 0.3714 | 396.0 (370.0; 424.0) p7 = 0.9989 | 402.5 (357.0; 441.3) |
| Osteocytes | 422.0 (411.0; 435.0) p1 = 0.0001 p2 = 0.8679 p3 = 0.0001 p4 = 0.6511 | 412.5 (412.0; 453.0) p5 = 0.0001 p6 = 0.6511 | 301.0 (212.0; 314.3) p7 = 0.0001 | 422.5 (413.8; 431.5) |
| Osteoclasts | 5.5 (4.8; 7.0) p1 = 0.0001 p2 = 0.0001 p3 = 0.7063 p4 = 0.9399 | 19.0 (14.3; 21.8) p5 = 0.0001 p6 = 0.0001 | 6.0 (3.5; 8.3) p7 = 0.7630 | 6.0 (3.8; 7.0) |
| Fibrous tissue | 5.5 (4.8; 8.3) p1 = 0.0001 p2 = 0.0142 p3 = 0.0000 p4 = 0.5465 | 14.0 (8.8; 41.0) p5 = 0.0004 p6 = 0.0258 | 57.0 (47.0; 64.0) p7 = 0.0001 | 6.5 (4.8; 8.8) |
| Cartilage tissue | 11.5 (10.0; 13.3) p1 = 0.3017 p2 = 0.0964 p3 = 0.8802 p4 = 0.4509 | 5.0 (2.5; 10.0) p5 = 0.2279 p6 = 0.1345 | 11.5 (9.5; 12.5) p7 = 0.4509 | 10.5 (9.8; 11.8) |
| Bone tissue | 81.5 (80.8; 84.3) p1 = 0.0001 p2 = 0.7711 p3 = 0.0000 p4 = 0.8081 | 81.0 (49.3; 89.3) p5 = 0.0009 p6 = 0.9337 | 32.5 (26.8; 49.0) p7 = 0.0001 | 81.0 (80.8; 82.3) |
| Vessels | 14.5 (10.3; 15.8) p1 = 0.4180 p2 = 0.6475 p3 = 0.4660 p4 = 0.5316 | 15.5 (9.0; 17.0) p5 = 0.2617 p6 = 0.6776 | 12.5 (8.0; 15.0) p7 = 0.7063 | 13.0 (11.0; 15.8) |
Disclaimer/Publisher’s Note: The statements, opinions and data contained in all publications are solely those of the individual author(s) and contributor(s) and not of MDPI and/or the editor(s). MDPI and/or the editor(s) disclaim responsibility for any injury to people or property resulting from any ideas, methods, instructions or products referred to in the content. |
© 2023 by the authors. Licensee MDPI, Basel, Switzerland. This article is an open access article distributed under the terms and conditions of the Creative Commons Attribution (CC BY) license (https://creativecommons.org/licenses/by/4.0/).
Share and Cite
Saginova, D.; Tashmetov, E.; Kamyshanskiy, Y.; Tuleubayev, B.; Rimashevskiy, D. Evaluation of Bone Regenerative Capacity in Rabbit Femoral Defect Using Thermally Disinfected Bone Human Femoral Head Combined with Platelet-Rich Plasma, Recombinant Human Bone Morphogenetic Protein 2, and Zoledronic Acid. Biomedicines 2023, 11, 1729. https://doi.org/10.3390/biomedicines11061729
Saginova D, Tashmetov E, Kamyshanskiy Y, Tuleubayev B, Rimashevskiy D. Evaluation of Bone Regenerative Capacity in Rabbit Femoral Defect Using Thermally Disinfected Bone Human Femoral Head Combined with Platelet-Rich Plasma, Recombinant Human Bone Morphogenetic Protein 2, and Zoledronic Acid. Biomedicines. 2023; 11(6):1729. https://doi.org/10.3390/biomedicines11061729
Chicago/Turabian StyleSaginova, Dina, Elyarbek Tashmetov, Yevgeniy Kamyshanskiy, Berik Tuleubayev, and Denis Rimashevskiy. 2023. "Evaluation of Bone Regenerative Capacity in Rabbit Femoral Defect Using Thermally Disinfected Bone Human Femoral Head Combined with Platelet-Rich Plasma, Recombinant Human Bone Morphogenetic Protein 2, and Zoledronic Acid" Biomedicines 11, no. 6: 1729. https://doi.org/10.3390/biomedicines11061729
APA StyleSaginova, D., Tashmetov, E., Kamyshanskiy, Y., Tuleubayev, B., & Rimashevskiy, D. (2023). Evaluation of Bone Regenerative Capacity in Rabbit Femoral Defect Using Thermally Disinfected Bone Human Femoral Head Combined with Platelet-Rich Plasma, Recombinant Human Bone Morphogenetic Protein 2, and Zoledronic Acid. Biomedicines, 11(6), 1729. https://doi.org/10.3390/biomedicines11061729

