The Transverse Mechanical Axis of the Pelvis for Post-Operative Evaluation of Total Hip Arthroplasty
Abstract
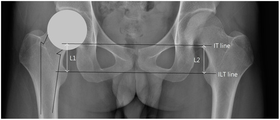
1. Introduction
2. Materials and Methods
3. Results
3.1. Basic Information before Exclusion
3.2. Basic Information of the Subjects We Included
3.3. Reliability Analysis
3.4. The Measurement Results for All Subjects
3.5. The Measurement Results for Female Subjects
3.6. The Measurement Result for Male Subjects
3.7. The Measurement Result for Non-Elderly Subjects
3.8. The Measurement Result for Elderly Subjects
3.9. Outliers Analysis
4. Discussion
5. Conclusions
Supplementary Materials
Author Contributions
Funding
Institutional Review Board Statement
Informed Consent Statement
Data Availability Statement
Acknowledgments
Conflicts of Interest
References
- Knight, S.R.; Aujla, R.; Biswas, S.P. Total Hip Arthroplasty—Over 100 years of operative history. Orthop. Rev. 2011, 3, e16. [Google Scholar] [CrossRef]
- Crawford, R.; Murray, D.W. Total hip replacement: Indications for surgery and risk factors for failure. Ann. Rheum. Dis. 1997, 56, 455–457. [Google Scholar] [CrossRef] [PubMed]
- Fontalis, A.; Epinette, J.A.; Thaler, M.; Zagra, L.; Khanduja, V.; Haddad, F.S. Advances and innovations in total hip arthroplasty. SICOT-J 2021, 7, 26. [Google Scholar] [CrossRef]
- Learmonth, I.D.; Young, C.; Rorabeck, C. The operation of the century: Total hip replacement. Lancet 2007, 370, 1508–1519. [Google Scholar] [CrossRef] [PubMed]
- McCarthy, T.F.; Alipit, V.; Nevelos, J.; Elmallah, R.K.; Mont, M.A. Acetabular Cup Anteversion and Inclination in Hip Range of Motion to Impingement. J. Arthroplast. 2016, 31 (Suppl. 9), 264–268. [Google Scholar] [CrossRef] [PubMed]
- Lum, Z.C.; Dorr, L.D. Restoration of center of rotation and balance of THR. J. Orthop. 2018, 15, 992–996. [Google Scholar] [CrossRef]
- Beard, D.; Palan, J.; Andrew, J.; Nolan, J.; Murray, D. Incidence and effect of leg length discrepancy following total hip arthroplasty. Physiotherapy 2008, 94, 91–96. [Google Scholar] [CrossRef]
- Desai, A.S.; Dramis, A.; Board, T.N. Leg length discrepancy after total hip arthroplasty: A review of literature. Curr. Rev. Musculoskelet. Med. 2013, 6, 336–341. [Google Scholar] [CrossRef]
- Bayraktar, V.; Weber, M.; von Kunow, F.; Zeman, F.; Craiovan, B.; Renkawitz, T.; Grifka, J.; Woerner, M. Accuracy of measuring acetabular cup position after total hip arthroplasty: Comparison between a radio-graphic planning software and three-dimensional computed tomography. Int. Orthop. 2017, 41, 731–738. [Google Scholar] [CrossRef]
- Shao, P.; Li, Z.; Yang, M.; Wang, Y.; Liu, T.; Yang, Y.; Duan, L.; Jiang, J.; Zuo, J. Impact of acetabular reaming depth on reconstruction of rotation center in primary total hip arthroplasty. BMC Musculoskelet. Disord. 2018, 19, 425. [Google Scholar] [CrossRef]
- Kjellberg, M.; Al-Amiry, B.; Englund, E.; Sjödén, G.O.; Sayed-Noor, A.S. Measurement of leg length discrepancy after total hip arthroplasty. The reliability of a plain radiographic method compared to CT-scanogram. Skelet. Radiol. 2012, 41, 187–191. [Google Scholar] [CrossRef] [PubMed]
- Meermans, G.; Malik, A.; Witt, J.; Haddad, F. Preoperative Radiographic Assessment of Limb-length Discrepancy in Total Hip Arthroplasty. Clin. Orthop. Relat. Res. 2011, 469, 1677–1682. [Google Scholar] [CrossRef] [PubMed]
- Hirakawa, K.; Mitsugi, N.; Koshino, T.; Saito, T.; Hirasawa, Y.; Kubo, T. Effect of Acetabular Cup Position and Orientation in Cemented Total Hip Arthroplasty. Clin. Orthop. Relat. Res. 2001, 388, 135–142. [Google Scholar] [CrossRef] [PubMed]
- Saikko, V. Effect of wear, acetabular cup inclination angle, load and serum degradation on the friction of a large diameter metal-on-metal hip prosthesis. Clin. Biomech. 2019, 63, 1–9. [Google Scholar] [CrossRef]
- Saikko, V.; Neuvonen, P.; Reito, A. Performance of thin Vivacit-E hip liners: No relevant wear during ex vivo testing at high acetabular inclination angle. Acta Orthop. 2022, 93, 901–905. [Google Scholar] [CrossRef]
- Takamatsu, T.; Shishido, T.; Takahashi, Y.; Masaoka, T.; Tateiwa, T.; Kubo, K.; Endo, K.; Aoki, M.; Yamamoto, K. Radiographic Determination of Hip Rotation Center and Femoral Offset in Japanese Adults: A Preliminary Investigation toward the Preoperative Implications in Total Hip Arthroplasty. BioMed Res. Int. 2015, 2015, 610763. [Google Scholar] [CrossRef] [PubMed]
- Bjarnason, J.A.; Reikeras, O. Changes of center of rotation and femoral offset in total hip arthroplasty. Ann. Transl. Med. 2015, 3, 355. [Google Scholar] [CrossRef]
- Peng, Y.-W.; Shen, J.-M.; Zhang, Y.-C.; Sun, J.-Y.; Du, Y.-Q.; Zhou, Y.-G. Jumbo cup in hip joint renovation may cause the center of rotation to increase. World J. Clin. Cases 2021, 9, 6300–6307. [Google Scholar] [CrossRef]
- Karaismailoglu, B.; Erdogan, F.; Kaynak, G. High Hip Center Reduces the Dynamic Hip Range of Motion and Increases the Hip Load: A Gait Analysis Study in Hip Arthroplasty Patients With Unilateral Developmental Dysplasia. J. Arthroplast. 2019, 34, 1267–1272.e1. [Google Scholar] [CrossRef]
- Gordon, J.E.; Davis, L.E. Leg Length Discrepancy: The Natural History (And What Do We Really Know). J. Pediatr. Orthop. 2019, 39 (Suppl. 1), S10–S13. [Google Scholar] [CrossRef]
- Ng, V.Y.; Kean, J.R.; Glassman, A.H. Limb-Length Discrepancy After Hip Arthroplasty. J. Bone Jt. Surg. 2013, 95, 1426–1436. [Google Scholar] [CrossRef] [PubMed]
- O’Brien, S.; Kernohan, G.; Fitzpatrick, C.; Hill, J.; Beverland, D. Perception of Imposed Leg Length Inequality in Normal Subjects. HIP Int. 2010, 20, 505–511. [Google Scholar] [CrossRef]
- Sato, H.; Maezawa, K.; Gomi, M.; Kajihara, H.; Hayashi, A.; Maruyama, Y.; Nozawa, M.; Kaneko, K. Effect of femoral offset and limb length discrepancy on hip joint muscle strength and gait trajectory after total hip arthroplasty. Gait Posture 2020, 77, 276–282. [Google Scholar] [CrossRef]
- Tucker, N.J.; Scott, B.L.; Heare, A.; Stacey, S.C.; Mauffrey, C.; Parry, J.A. The effect of pelvic ring rotation and tilt on the radiographic teardrop distance: An important consideration in the assessment of dynamic displacement on stress radiographs. Eur. J. Orthop. Surg. Traumatol. 2022, 32, 1–5. [Google Scholar] [CrossRef]
- Goodman, S.B.; Adler, S.J.; Fyhrie, D.P.; Schurman, D.J. The acetabular teardrop and its relevance to acetabular migration. Clin. Orthop. Relat. Res. 1988, 236, 199–204. [Google Scholar] [CrossRef]
- Massin, P.; Schmidt, L.; Engh, C.A. Evaluation of cementless acetabular component migration: An experimental study. J. Arthroplast. 1989, 4, 245–251. [Google Scholar] [CrossRef]
- Bowerman, J.W.; Sena, J.M.; Chang, R. The teardrop shadow of the pelvis; anatomy and clinical significance. Radiology 1982, 143, 659–662. [Google Scholar] [CrossRef]
- Smith, J.T.; Matan, A.; Coleman, S.S.; Stevens, P.M.; Scott, S.M. The predictive value of the development of the acetabular teardrop figure in developmental dysplasia of the hip. J. Pediatr. Orthop. 1997, 17, 165–169. [Google Scholar] [CrossRef]
- Sayed-Noor, A.S.; Hugo, A.; Sjödén, G.O.; Wretenberg, P. Leg length discrepancy in total hip arthroplasty: Comparison of two methods of measurement. Int. Orthop. 2009, 33, 1189–1193. [Google Scholar] [CrossRef] [PubMed]
- Schofer, M.D.; Pressel, T.; Heyse, T.J.; Schmitt, J.; Boudriot, U. Radiological determination of the anatomic hip centre from pelvic landmarks. Acta Orthop. Belg. 2010, 76, 479–485. [Google Scholar] [PubMed]
- Wan, Z.; Boutary, M.; Dorr, L.D. The Influence of Acetabular Component Position on Wear in Total Hip Arthroplasty. J. Arthroplast. 2008, 23, 51–56. [Google Scholar] [CrossRef] [PubMed]
- Boudriot, U.; Hilgert, J.; Hinrichs, F. Determination of the rotational center of the hip. Arch. Orthop. Trauma Surg. 2006, 126, 417–420. [Google Scholar] [CrossRef] [PubMed]
- Wegner, A.; Kauther, M.D.; Landgraeber, S.; Von Knoch, M. Fixation method does not affect restoration of rotation center in hip replacements: A single-site retrospective study. J. Orthop. Surg. Res. 2012, 7, 25. [Google Scholar] [CrossRef]
- Muir, J.M.; Vincent, J.; Schipper, J.; Gobin, V.D.; Govindarajan, M.; Fiaes, K.; Vigdorchik, J. A Novel Method for Correcting Pelvic Tilt on Anteroposterior Pelvic Radiographs. Cureus 2019, 11, e6274. [Google Scholar] [CrossRef] [PubMed]
- Mellano, C.R.; Spitzer, A.I. How does pelvic rotation or tilt affect radiographic measurement of acetabular component inclination angle during THA? J. Orthop. 2015, 12, 222–227. [Google Scholar] [CrossRef] [PubMed]
- Badii, M.; Shin, S.; Torreggiani, W.C.; Jankovic, B.; Gustafson, P.; Munk, P.L.; Esdaile, J.M. Pelvic Bone Asymmetry in 323 Study Participants Receiving Abdominal CT Scans. Spine 2003, 28, 1335–1339. [Google Scholar] [CrossRef]
- Gnat, R.; Saulicz, E.; Biały, M.; Kłaptocz, P. Does Pelvic Asymmetry always Mean Pathology? Analysis of Mechanical Factors Leading to the Asymmetry. J. Hum. Kinet. 2009, 21, 23–32. [Google Scholar] [CrossRef]
- Harris, M.J.; Tam, J.; Fineberg, S.J.; Lucas, P.A.; Zelicof, S.B. Quantifying the Relationship Between the Transverse Acetabular Ligament and the Radiographic Teardrop. J. Arthroplast. 2017, 32, 296–299. [Google Scholar] [CrossRef]
- Bombaci, H.; Simsek, B.; Soyarslan, M.; Yildirim, M.M. Determination of the hip rotation centre from landmarks in pelvic radiograph. Acta Orthop. et Traumatol. Turc. 2017, 51, 470–473. [Google Scholar] [CrossRef]
- Coulter, C.L.; Scarvell, J.M.; Neeman, T.M.; Smith, P.N. Physiotherapist-directed rehabilitation exercises in the outpatient or home setting improve strength, gait speed and cadence after elective total hip replacement: A systematic review. J. Physiother. 2013, 59, 219–226. [Google Scholar] [CrossRef]
- Umpierres, C.S.; Ribeiro, T.A.; Marchisio, E.; Galvão, L.; Borges, N.K.; Macedo, C.A.D.S.; Galia, C.R. Rehabilitation following total hip arthroplasty evaluation over short follow-up time: Randomized clinical trial. J. Rehabilitation Res. Dev. 2014, 51, 1567–1578. [Google Scholar] [CrossRef] [PubMed]





| Group | Value |
|---|---|
| Total | 120 (100%) |
| Gender | |
| Male | 58 (48.3%) |
| Female | 62 (51.7%) |
| Age | |
| 34≤ | 26 (21.7%) |
| 35–44 | 15 (12.5%) |
| 45–54 | 18 (15%) |
| 55–64 | 15 (12.5%) |
| 65–74 | 23 (19.2%) |
| ≥75 | 23 (19.2%) |
| Mean | 56.1 |
| Standard deviation | 21.2 |
| ICC 1 | Reliability 2 | |
|---|---|---|
| Intraobserver | ||
| ∠RSC | 0.945 | Excellent |
| ∠RBI | 0.905 | Excellent |
| ∠RIT | 0.749 | Moderate |
| ∠RUO | 0.725 | Moderate |
| ∠RLO | 0.920 | Excellent |
| Interobserver | ||
| ∠RSC | 0.920 | Excellent |
| ∠RBI | 0.850 | Good |
| ∠RIT | 0.679 | Moderate |
| ∠RUO | 0.617 | Moderate |
| ∠RLO | 0.913 | Excellent |
| Angle | First Measurement of Observer 1 | Second Measurement of Observer 1 | Observer 2 |
|---|---|---|---|
| ∠RSC | 0.709° ± 0.554° | 0.697° ± 0.576° | 0.707° ± 0.612° |
| p = 0.000 | p = 0.000 | p = 0.000 | |
| ∠RBI | 0.876° ± 0.630° | 0.796° ± 0.582° | 0.844° ± 0.667° |
| p = 0.000 | p = 0.000 | p = 0.000 | |
| ∠RIT | 0.517° ± 0.454° | 0.481° ± 0.374° | 0.498° ± 0.396° |
| p = 0.000 | p = 0.000 | p = 0.000 | |
| ∠RUO | 0.562° ± 0.401° | 0.507° ± 0.384° | 0.542° ± 0.382° |
| p = 0.000 | p = 0.000 | p = 0.000 | |
| ∠RLO | 0.736° ± 0.496° | 0.738° ± 0.498° | 0.756° ± 0.548° |
| p = 0.000 | p = 0.000 | p = 0.000 |
| Hypothesis | First Measurement of Observer 1 | Second Measurement of Observer 1 | Observer 2 |
|---|---|---|---|
| H0: µ∠RSC = µ∠RIT H1: µ∠RSC ≠ µ∠RIT | p = 0.002 | p = 0.001 | p = 0.003 |
| H0: µ∠RBI = µ∠RIT H1: µ∠RBI ≠ µ∠RIT | p = 0.000 | p = 0.000 | p = 0.000 |
| H0: µ∠RUO = µ∠RIT H1: µ∠RUO ≠ µ∠RIT | p = 0.370 | p = 0.555 | p = 0.307 |
| H0: µ∠RLO = µ∠RIT H1: µ∠RLO ≠ µ∠RIT | p = 0.000 | p = 0.000 | p = 0.000 |
| Angle | First Measurement of Observer 1 | Second Measurement of Observer 1 | Observer 2 |
|---|---|---|---|
| ∠RSC | 0.668° ± 0.527° | 0.686° ± 0.558° | 0.662° ± 0.593° |
| p = 0.000 | p = 0.000 | p = 0.000 | |
| ∠RBI | 0.874° ± 0.563° | 0.822° ± 0.594° | 0.873° ± 0.638° |
| p = 0.000 | p = 0.000 | p = 0.000 | |
| ∠RIT | 0.504° ± 0.445° | 0.465° ± 0.339° | 0.516° ± 0.404° |
| p = 0.000 | p = 0.000 | p = 0.000 | |
| ∠RUO | 0.617° ± 0.434° | 0.544° ± 0.406° | 0.536° ± 0.330° |
| p = 0.000 | p = 0.000 | p = 0.000 | |
| ∠RLO | 0.675° ± 0.482° | 0.692° ± 0.515° | 0.716° ± 0.544° |
| p = 0.000 | p = 0.000 | p = 0.000 |
| Hypothesis | First Measurement of Observer 1 | Second Measurement of Observer 1 | Observer 2 |
|---|---|---|---|
| H0: µ∠RSC = µ∠RIT H1: µ∠RSC ≠ µ∠RIT | p = 0.056 | p = 0.006 | p = 0.126 |
| H0: µ∠RBI = µ∠RIT H1: µ∠RBI ≠ µ∠RIT | p = 0.000 | p = 0.000 | p = 0.000 |
| H0: µ∠RUO = µ∠RIT H1: µ∠RUO ≠ µ∠RIT | p = 0.095 | p = 0.197 | p = 0.721 |
| H0: µ∠RLO = µ∠RIT H1: µ∠RLO ≠ µ∠RIT | p = 0.024 | p = 0.002 | p = 0.011 |
| Angle | First Measurement of Observer 1 | Second Measurement of Observer 1 | Observer 2 |
|---|---|---|---|
| ∠RSC | 0.754° ± 0.583° | 0.708° ± 0.599° | 0.755° ± 0.633° |
| p = 0.000 | p = 0.000 | p = 0.000 | |
| ∠RBI | 0.878° ± 0.699° | 0.767° ± 0.573° | 0.813° ± 0.701° |
| p = 0.000 | p = 0.000 | p = 0.000 | |
| ∠RIT | 0.531° ± 0.467° | 0.498° ± 0.410° | 0.479° ± 0.391° |
| p = 0.000 | p = 0.000 | p = 0.000 | |
| ∠RUO | 0.503° ± 0.357° | 0.468° ± 0.359° | 0.549° ± 0.434° |
| p = 0.000 | p = 0.000 | p = 0.000 | |
| ∠RLO | 0.802° ± 0.507° | 0.786° ± 0.479° | 0.798° ± 0.553° |
| p = 0.000 | p = 0.000 | p = 0.000 |
| Hypothesis | First Measurement of Observer 1 | Second Measurement of Observer 1 | Observer 2 |
|---|---|---|---|
| H0: µ∠RSC = µ∠RIT H1: µ∠RSC ≠ µ∠RIT | p = 0.011 | p = 0.036 | p = 0.009 |
| H0: µ∠RBI = µ∠RIT H1: µ∠RBI ≠ µ∠RIT | p = 0.002 | p = 0.003 | p = 0.003 |
| H0: µ∠RUO = µ∠RIT H1: µ∠RUO ≠ µ∠RIT | p = 0.718 | p = 0.639 | p = 0.296 |
| H0: µ∠RLO = µ∠RIT H1: µ∠RLO ≠ µ∠RIT | p = 0.005 | p = 0.001 | p = 0.001 |
| Angle | First Measurement of Observer 1 | Second Measurement of Observer 1 | Observer 2 |
|---|---|---|---|
| ∠RSC | 0.733° ± 0.604° | 0.697° ± 0.580° | 0.714° ± 0.639° |
| p = 0.000 | p = 0.000 | p = 0.000 | |
| ∠RBI | 0.838° ± 0.618° | 0.783° ± 0.595° | 0.858° ± 0.611° |
| p = 0.000 | p = 0.000 | p = 0.000 | |
| ∠RIT | 0.496° ± 0.481° | 0.474° ± 0.399° | 0.528° ± 0.437° |
| p = 0.000 | p = 0.000 | p = 0.000 | |
| ∠RUO | 0.539° ± 0.396° | 0.528° ± 0.412° | 0.517° ± 0.351° |
| p = 0.000 | p = 0.000 | p = 0.000 | |
| ∠RLO | 0.718° ± 0.457° | 0.729° ± 0.473° | 0.781° ± 0.526° |
| p = 0.000 | p = 0.000 | p = 0.000 |
| Hypothesis | First Measurement of Observer 1 | Second Measurement of Observer 1 | Observer 2 |
|---|---|---|---|
| H0: µ∠RSC = µ∠RIT H1: µ∠RSC ≠ µ∠RIT | p = 0.006 | p = 0.011 | p = 0.050 |
| H0: µ∠RBI = µ∠RIT H1: µ∠RBI ≠ µ∠RIT | p = 0.000 | p = 0.000 | p = 0.001 |
| H0: µ∠RUO = µ∠RIT H1: µ∠RUO ≠ µ∠RIT | p = 0.509 | p = 0.355 | p = 0.839 |
| H0: µ∠RLO = µ∠RIT H1: µ∠RLO ≠ µ∠RIT | p = 0.004 | p = 0.001 | p = 0.002 |
| Angle | First Measurement of Observer 1 | Second Measurement of Observer 1 | Observer 2 |
|---|---|---|---|
| ∠RSC | 0.670° ± 0.468° | 0.696° ± 0.577° | 0.696° ± 0.573° |
| p = 0.000 | p = 0.000 | p = 0.000 | |
| ∠RBI | 0.938° ± 0.649° | 0.814° ± 0.567° | 0.822° ± 0.754° |
| p = 0.000 | p = 0.000 | p = 0.000 | |
| ∠RIT | 0.550° ± 0.410° | 0.493° ± 0.334° | 0.448° ± 0.318° |
| p = 0.000 | p = 0.000 | p = 0.000 | |
| ∠RUO | 0.599° ± 0.411° | 0.473° ± 0.336° | 0.583° ± 0.428° |
| p = 0.000 | p = 0.000 | p = 0.000 | |
| ∠RLO | 0.765° ± 0.558° | 0.751° ± 0.541° | 0.715° ± 0.585° |
| p = 0.000 | p = 0.000 | p = 0.000 |
| Hypothesis | First Measurement of Observer 1 | Second Measurement of Observer 1 | Observer 2 |
|---|---|---|---|
| H0: µ∠RSC = µ∠RIT H1: µ∠RSC ≠ µ∠RIT | p = 0.118 | p = 0.021 | p = 0.021 |
| H0: µ∠RBI = µ∠RIT H1: µ∠RBI ≠ µ∠RIT | p = 0.001 | p = 0.001 | p = 0.001 |
| H0: µ∠RUO = µ∠RIT H1: µ∠RUO ≠ µ∠RIT | p = 0.546 | p = 0.763 | p = 0.042 |
| H0: µ∠RLO = µ∠RIT H1: µ∠RLO ≠ µ∠RIT | p = 0.031 | p = 0.003 | p = 0.006 |
| Angle | First Measurement of Observer 1 | Second Measurement of Observer 1 | Observer 2 |
|---|---|---|---|
| ∠RSC | 0.669° ± 0.497° | 0.655° ± 0.529° | 0.654° ± 0.549° |
| p = 0.000 | p = 0.000 | p = 0.000 | |
| ∠RBI | 0.826° ± 0.605° | 0.734° ± 0.528° | 0.771° ± 0.550° |
| p = 0.000 | p = 0.000 | p = 0.000 | |
| ∠RIT | 0.482° ± 0.394° | 0.460° ± 0.324° | 0.479° ± 0.378° |
| p = 0.000 | p = 0.000 | p = 0.000 | |
| ∠RUO | 0.550° ± 0.386° | 0.501° ± 0.370° | 0.529° ± 0.349° |
| p = 0.000 | p = 0.000 | p = 0.000 | |
| ∠RLO | 0.695° ± 0.464° | 0.698° ± 0.463° | 0.715° ± 0.507° |
| p = 0.000 | p = 0.000 | p = 0.000 |
| Hypothesis | First Measurement of Observer 1 | Second Measurement of Observer 1 | Observer 2 |
|---|---|---|---|
| H0: µ∠RSC = µ∠RIT H1: µ∠RSC ≠ µ∠RIT | p = 0.002 | p = 0.002 | p = 0.014 |
| H0: µ∠RBI = µ∠RIT H1: µ∠RBI ≠ µ∠RIT | p = 0.000 | p = 0.000 | p = 0.000 |
| H0: µ∠RUO = µ∠RIT H1: µ∠RUO ≠ µ∠RIT | p = 0.156 | p = 0.297 | p = 0.221 |
| H0: µ∠RLO = µ∠RIT H1: µ∠RLO ≠ µ∠RIT | p = 0.000 | p = 0.000 | p = 0.000 |
| The Outliers We Removed | Image Features |
|---|---|
| Outlier 1 of ∠RSC | Uneven protrusions on bilateral iliac crests. |
| Outlier 2 of ∠RSC | Normal |
| Outlier 1 of ∠RBI | Poor image quality, but borders of the pelvic landmarks are still visible. |
| Outlier 2 of ∠RBI | Right side femur fracture without femoral head dislocation. |
| Outlier 1 of ∠RIT | Asymmetrical teardrop shapes on both sides. |
| Outlier 2 of ∠RIT | Asymmetrical teardrop shapes on both sides. |
| Outlier 1 of ∠RUO | Normal |
| Outlier 2 of ∠RUO | The obturator foramen is slightly distorted on the image. |
| Outlier 1 of ∠RLO | Normal |
| Outlier 2 of ∠RLO | Normal |
Disclaimer/Publisher’s Note: The statements, opinions and data contained in all publications are solely those of the individual author(s) and contributor(s) and not of MDPI and/or the editor(s). MDPI and/or the editor(s) disclaim responsibility for any injury to people or property resulting from any ideas, methods, instructions or products referred to in the content. |
© 2023 by the authors. Licensee MDPI, Basel, Switzerland. This article is an open access article distributed under the terms and conditions of the Creative Commons Attribution (CC BY) license (https://creativecommons.org/licenses/by/4.0/).
Share and Cite
Tsai, C.-J.; Yang, Z.-Y.; Wu, T.-Y.; Tsai, Y.-T.; Wang, J.-J.; Liaw, C.-K. The Transverse Mechanical Axis of the Pelvis for Post-Operative Evaluation of Total Hip Arthroplasty. Biomedicines 2023, 11, 1397. https://doi.org/10.3390/biomedicines11051397
Tsai C-J, Yang Z-Y, Wu T-Y, Tsai Y-T, Wang J-J, Liaw C-K. The Transverse Mechanical Axis of the Pelvis for Post-Operative Evaluation of Total Hip Arthroplasty. Biomedicines. 2023; 11(5):1397. https://doi.org/10.3390/biomedicines11051397
Chicago/Turabian StyleTsai, Cheng-Jui, Zong-Yan Yang, Tai-Yin Wu, Ya-Ting Tsai, Juyn-Jhe Wang, and Chen-Kun Liaw. 2023. "The Transverse Mechanical Axis of the Pelvis for Post-Operative Evaluation of Total Hip Arthroplasty" Biomedicines 11, no. 5: 1397. https://doi.org/10.3390/biomedicines11051397
APA StyleTsai, C.-J., Yang, Z.-Y., Wu, T.-Y., Tsai, Y.-T., Wang, J.-J., & Liaw, C.-K. (2023). The Transverse Mechanical Axis of the Pelvis for Post-Operative Evaluation of Total Hip Arthroplasty. Biomedicines, 11(5), 1397. https://doi.org/10.3390/biomedicines11051397

