Atenolol Ameliorates Skeletal Muscle Atrophy and Oxidative Stress Induced by Cast Immobilization in Rats
Abstract
1. Introduction
2. Materials and Methods
2.1. Chemicals
2.2. Animal Allocations and Ethical Approval
2.3. Experimental Design
Hind Limb Cast-Immobilization-Induced Skeletal Muscle Atrophy
2.4. Body and Gastrocnemius Muscle Weights
2.5. Assessment of Muscle Function and Coordination Tests
2.5.1. Rotarod Test
2.5.2. Footprint Pattern Analysis
2.5.3. Forced Swimming Test
2.6. Biochemical Measurements
2.6.1. Creatinine Levels
2.6.2. Estimation of Oxidative Stress and Antioxidant Levels
Analysis of MDA (Malondialdehyde) Levels in Tissue Samples
Estimation of Glutathione (GSH)
Estimation of Superoxide Dismutase (SOD)
2.7. Estimation of Myofibrillar Protein Contents
2.8. Estimation of Cellular Damage by Histology
2.9. 1H Nuclear Magnetic Resonance (NMR)-Based Serum Metabolic Profiling
2.9.1. Sample Preparation
2.9.2. NMR Measurements
2.9.3. Spectral Assignments and Concentration Profiling
2.9.4. Multivariate Data Analysis
2.10. Statistical Analysis
3. Results
3.1. Effects of Atenolol on Body Weight and Gastrocnemius (GN) Muscle Weight in Immobilized Rat
3.2. Effect of Atenolol on Footprint Patterns, Rotarod, and Forced Swimming in Immobilized Rat
3.3. Effect of Atenolol on Myofibrillar (Gastrocnemius Muscle) Protein Contents in Immobilized Rat
3.4. Effect of Atenolol on Serum Creatinine Levels in Immobilized Rats
3.5. Effect of Atenolol on Markers of Antioxidant and Oxidative Stress Levels in Immobilized Rats
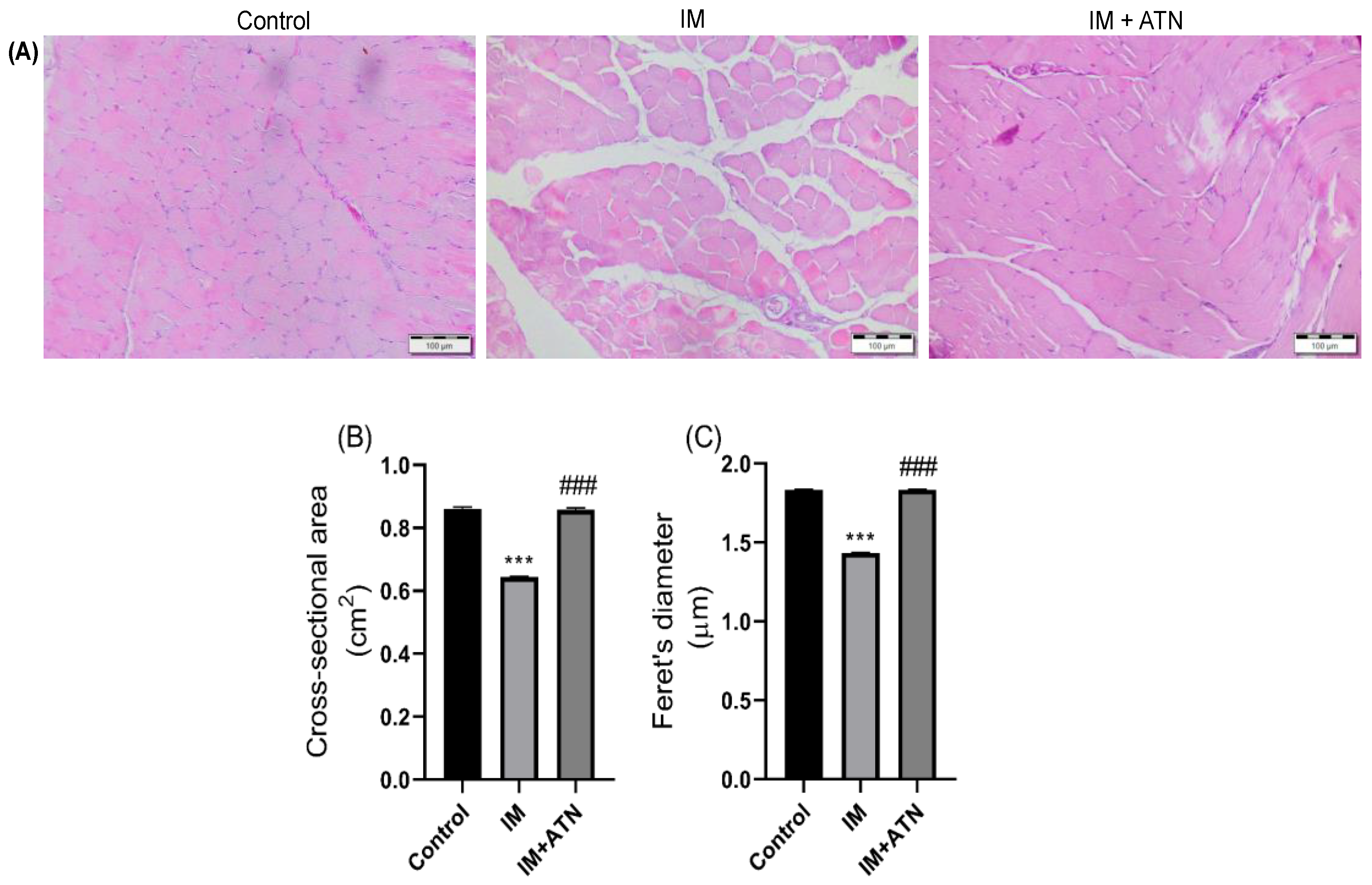
3.6. Effect of Atenolol on Gastrocnemius Histology in Immobilized Rats
3.7. 1H NMR-Based Serum Metabolomics of Muscle Wasting in Immobilized Rats
4. Discussion
5. Conclusions
6. Study Limitations
Supplementary Materials
Author Contributions
Funding
Institutional Review Board Statement
Informed Consent Statement
Data Availability Statement
Acknowledgments
Conflicts of Interest
References
- Schiaffino, S.; Dyar, K.A.; Ciciliot, S.; Blaauw, B.; Sandri, M. Mechanisms regulating skeletal muscle growth and atrophy. FEBS J. 2013, 280, 4294–4314. [Google Scholar] [CrossRef] [PubMed]
- Barreiro, E. Models of disuse muscle atrophy: Therapeutic implications in critically ill patients. Ann. Transl. Med. 2018, 6, 29. [Google Scholar] [CrossRef] [PubMed]
- Rudrappa, S.S.; Wilkinson, D.J.; Greenhaff, P.L.; Smith, K.; Idris, I.; Atherton, P.J. Human Skeletal Muscle Disuse Atrophy: Effects on Muscle Protein Synthesis, Breakdown, and Insulin Resistance—A Qualitative Review. Front. Physiol. 2016, 7, 361. [Google Scholar] [CrossRef] [PubMed]
- Ji, L.L.; Yeo, D. Cellular mechanism of immobilization-induced muscle atrophy: A mini review. Sport. Med. Health Sci. 2019, 1, 19–23. [Google Scholar] [CrossRef] [PubMed]
- Zarzhevsky, N.; Carmeli, E.; Fuchs, D.; Coleman, R.; Stein, H.; Reznick, A.Z. Recovery of muscles of old rats after hindlimb immobilisation by external fixation is impaired compared with those of young rats. Exp. Gerontol. 2001, 36, 125–140. [Google Scholar] [CrossRef]
- Kang, C.; Goodman, C.A.; Hornberger, T.A.; Ji, L.L. PGC-1α overexpression by in vivo transfection attenuates mitochondrial deterioration of skeletal muscle caused by immobilization. FASEB J. 2015, 29, 4092–4106. [Google Scholar] [CrossRef]
- Powers, S.K.; Smuder, A.J.; Criswell, D.S. Mechanistic links between oxidative stress and disuse muscle atrophy. Antioxid. Redox Signal. 2011, 15, 2519–2528. [Google Scholar] [CrossRef]
- Alldritt, I.; Greenhaff, P.L.; Wilkinson, D.J. Metabolomics as an Important Tool for Determining the Mechanisms of Human Skeletal Muscle Deconditioning. Int. J. Mol. Sci. 2021, 22, 13575. [Google Scholar] [CrossRef]
- Standley, R.A.; Distefano, G.; Trevino, M.B.; Chen, E.; Narain, N.R.; Greenwood, B.; Kondakci, G.; Tolstikov, V.V.; Kiebish, M.A.; Yu, G.; et al. Skeletal Muscle Energetics and Mitochondrial Function Are Impaired Following 10 Days of Bed Rest in Older Adults. J. Gerontol. A Biol. Sci. Med. Sci. 2020, 75, 1744–1753. [Google Scholar] [CrossRef]
- Buso, A.; Comelli, M.; Picco, R.; Isola, M.; Magnesa, B.; Pišot, R.; Rittweger, J.; Salvadego, D.; Šimunič, B.; Grassi, B.; et al. Mitochondrial Adaptations in Elderly and Young Men Skeletal Muscle following 2 Weeks of Bed Rest and Rehabilitation. Front. Physiol. 2019, 10, 474. [Google Scholar] [CrossRef]
- Sartori, R.; Romanello, V.; Sandri, M. Mechanisms of muscle atrophy and hypertrophy: Implications in health and disease. Nat. Commun. 2021, 12, 330. [Google Scholar] [CrossRef] [PubMed]
- Messina, S.; Sframeli, M. New Treatments in Spinal Muscular Atrophy: Positive Results and New Challenges. J. Clin. Med. 2020, 9, 2222. [Google Scholar] [CrossRef] [PubMed]
- Menduti, G.; Rasà, D.M.; Stanga, S.; Boido, M. Drug Screening and Drug Repositioning as Promising Therapeutic Approaches for Spinal Muscular Atrophy Treatment. Front. Pharmacol. 2020, 11, 592234. [Google Scholar] [CrossRef] [PubMed]
- Akbar, S.; Alorainy, M.S. The current status of beta blockers’ use in the management of hypertension. Saudi Med. J. 2014, 35, 1307–1317. [Google Scholar]
- Blears, E.; Ross, E.; Ogunbileje, J.O.; Porter, C.; Murton, A.J. The impact of catecholamines on skeletal muscle following massive burns: Friend or foe? Burns 2021, 47, 756–764. [Google Scholar] [CrossRef]
- Kopel, J.; Brower, G.L.; Sorensen, G.; Griswold, J. Application of beta-blockers in burn management. Bayl. Univ. Med. Cent. Proc. 2022, 35, 46–50. [Google Scholar] [CrossRef]
- Gómez, A.; Sánchez-Roman, I.; Gomez, J.; Cruces, J.; Mate, I.; Lopez-Torres, M.; Naudi, A.; Portero-Otin, M.; Pamplona, R.; De la Fuente, M.; et al. Lifelong treatment with atenolol decreases membrane fatty acid unsaturation and oxidative stress in heart and skeletal muscle mitochondria and improves immunity and behavior, without changing mice longevity. Aging Cell. 2014, 13, 551–560. [Google Scholar] [CrossRef]
- Tobin, S.W.; Hashemi, S.; Dadson, K.; Turdi, S.; Ebrahimian, K.; Zhao, J.; Sweeney, G.; Grigull, J.; McDermott, J.C. Heart Failure and MEF2 Transcriptome Dynamics in Response to β-Blockers. Sci. Rep. 2017, 7, 4476. [Google Scholar] [CrossRef]
- Van Baak, M.A.; Koene, F.M.; Verstappen, F.T.; Tan, E.S. Exercise performance during captopril and atenolol treatment in hypertensive patients. Br. J. Clin. Pharmacol. 1991, 32, 723–728. [Google Scholar]
- Vescovo, G.; Ravara, B.; Dalla Libera, L. Skeletal muscle myofibrillar protein oxidation and exercise capacity in heart failure. Basic. Res. Cardiol. 2008, 103, 285–290. [Google Scholar] [CrossRef]
- Atenolol and Muscle Function Loss—A Phase IV Clinical Study of FDA Data. Available online: https://www.ehealthme.com/ds/atenolol/muscle-function-loss (accessed on 16 May 2022).
- Ling, G.; Liu, A.J.; Shen, F.M.; Cai, G.J.; Liu, J.G.; Su, D.F. Effects of combination therapy with atenolol and amlodipine on blood pressure control and stroke prevention in stroke-prone spontaneously hypertensive rats. Acta Pharmacol. Sin. 2007, 28, 1755–1760. [Google Scholar] [CrossRef] [PubMed]
- Oga, S.; Goto, K.; Sakamoto, J.; Honda, Y.; Sasaki, R.; Ishikawa, K.; Kataoka, H.; Nakano, J.; Origuchi, T.; Okita, M. Mechanisms underlying immobilization-induced muscle pain in rats. Muscle Nerve 2020, 61, 662–670. [Google Scholar] [CrossRef] [PubMed]
- Gurjar, A.A.; Kushwaha, S.; Chattopadhyay, S.; Das, N.; Pal, S.; China, S.P.; Kumar, H.; Trivedi, A.K.; Guha, R.; Chattopadhyay, N.; et al. Long acting GLP-1 analog liraglutide ameliorates skeletal muscle atrophy in rodents. Metabolism 2020, 103, 154044. [Google Scholar] [CrossRef] [PubMed]
- Pałucha-Poniewiera, A.; Szewczyk, B.; Pilc, A. Activation of the mTOR signaling pathway in the antidepressant-like activity of the mGlu5 antagonist MTEP and the mGlu7 agonist AMN082 in the FST in rats. Neuropharmacology 2014, 82, 59–68. [Google Scholar] [CrossRef]
- Gupta, P.; Dutt, V.; Kaur, N.; Kalra, P.; Gupta, S.; Dua, A.; Dabur, R.; Saini, V.; Mittal, A. S-allyl cysteine: A potential compound against skeletal muscle atrophy. Biochim. Biophys. Acta Gen. Subj. 2020, 1864, 129676. [Google Scholar] [CrossRef]
- Chaudhary, P.; Suryakumar, G.; Prasad, R.; Singh, S.N.; Ali, S.; Ilavazhagan, G. Chronic hypobaric hypoxia mediated skeletal muscle atrophy: Role of ubiquitin-proteasome pathway and calpains. Mol. Cell. Biochem. 2012, 364, 101–113. [Google Scholar] [CrossRef]
- Prajapati, P.; Kumar, A.; Singh, J.; Saraf, S.A.; Kushwaha, S. Azilsartan Ameliorates Skeletal Muscle Wasting in High Fat Diet (HFD)-induced Sarcopenic Obesity in Rats via Activating Akt Signalling Pathway. Arch. Gerontol. Geriatr. 2023, 112, 105025. [Google Scholar] [CrossRef]
- Guleria, A.; Pratap, A.; Dubey, D.; Rawat, A.; Chaurasia, S.; Sukesh, E.; Phatak, S.; Ajmani, S.; Kumar, U.; Khetrapal, C.L.; et al. NMR based serum metabolomics reveals a distinctive signature in patients with Lupus Nephritis. Sci. Rep. 2016, 6, 35309. [Google Scholar] [CrossRef]
- Muhammed, H.; Kumar, D.; Dubey, D.; Kumar, S.; Chaurasia, S.; Guleria, A.; Majumder, S.; Singh, R.; Agarwal, V.; Misra, R. Metabolomics analysis revealed significantly higher synovial Phe/Tyr ratio in reactive arthritis and undifferentiated spondyloarthropathy. Rheumatology 2020, 59, 1587–1590. [Google Scholar] [CrossRef]
- Chong, J.; Wishart, D.S.; Xia, J. Using MetaboAnalyst 4.0 for Comprehensive and Integrative Metabolomics Data Analysis. Curr. Protoc. Bioinform. 2019, 68, e86. [Google Scholar] [CrossRef]
- Singh, A.; Prakash, V.; Gupta, N.; Kumar, A.; Kant, R.; Kumar, D. Serum Metabolic Disturbances in Lung Cancer Investigated through an Elaborative NMR-Based Serum Metabolomics Approach. ACS Omega 2022, 7, 5510–5520. [Google Scholar] [CrossRef] [PubMed]
- Kumar, U.; Jain, A.; Guleria, A.; Misra, D.P.; Goel, R.; Danda, D.; Misra, R.; Kumar, D. Circulatory Glutamine/Glucose ratio for evaluating disease activity in Takayasu arteritis: A NMR based serum metabolomics study. J. Pharm. Biomed. Anal. 2020, 180, 113080. [Google Scholar] [CrossRef] [PubMed]
- Kumar, U.; Mehta, P.; Kumar, S.; Jain, A.; Guleria, A.; Kumar, R.V.; Misra, R.; Kumar, D. Circulatory histidine levels as predictive indicators of disease activity in takayasu arteritis. Anal. Sci. Adv. 2021, 2, 527–535. [Google Scholar] [CrossRef]
- Rimachi, R.; Bruzzi de Carvahlo, F.; Orellano-Jimenez, C.; Cotton, F.; Vincent, J.L.; De Backer, D. Lactate/pyruvate ratio as a marker of tissue hypoxia in circulatory and septic shock. Anaesth. Intensive Care 2012, 40, 427–432. [Google Scholar] [CrossRef] [PubMed]
- Schefold, J.C.; Wollersheim, T.; Grunow, J.J.; Luedi, M.M.; Z’Graggen, W.J.; Weber-Carstens, S. Muscular weakness and muscle wasting in the critically ill. J. Cachexia Sarcopenia Muscle 2020, 11, 1399–1412. [Google Scholar] [CrossRef] [PubMed]
- Park, S.; Shin, M.G.; Kim, J.R.; Park, S.Y. Beta-lapachone attenuates immobilization-induced skeletal muscle atrophy in mice. Exp. Gerontol. 2019, 126, 110711. [Google Scholar] [CrossRef]
- Kim, C.; Kim, M.B.; Hwang, J.K. Red Bean Extract Inhibits Immobilization-Induced Muscle Atrophy in C57BL/6N Mice. J. Med. Food 2020, 23, 29–36. [Google Scholar] [CrossRef]
- Sajid, A.; Ahmad, T.; Ikram, M.; Khan, T.; Shah, A.J.; Mahnashi, M.H.; Alhasaniah, A.H.; Al Awadh, A.A.; Almazni, I.A.; Alshahrani, M.M. Cardioprotective Potential of Aqueous Extract of Fumaria indica on Isoproterenol-Induced Myocardial Infarction in SD Rats. Oxid. Med. Cell. Longev. 2022, 2022, 2112956. [Google Scholar] [CrossRef]
- Mohamed, R.; Elshazly, S.M.; Nafea, O.E.; Abd El Motteleb, D.M. Comparative cardioprotective effects of carvedilol versus atenolol in a rat model of cardiorenal syndrome type 4. Naunyn Schmiedebergs Arch. Pharmacol. 2021, 394, 2117–2128. [Google Scholar] [CrossRef]
- Navegantes, L.C.; Resano, N.M.; Migliorini, R.H.; Kettelhut, I.C. Role of adrenoceptors and cAMP on the catecholamine-induced inhibition of proteolysis in rat skeletal muscle. Am. J. Physiol. Endocrinol. Metab. 2000, 279, E663–E668. [Google Scholar] [CrossRef]
- DuBois, D.C.; Almon, R.R. Disuse atrophy of skeletal muscle is associated with an increase in number of glucocorticoid receptors. Endocrinology 1980, 107, 1649–1651. [Google Scholar] [CrossRef] [PubMed]
- Sato, S.; Suzuki, H.; Tsujimoto, H.; Shirato, K.; Tachiyashiki, K.; Imaizumi, K. Casted-immobilization downregulates glucocorticoid receptor expression in rat slow-twitch soleus muscle. Life Sci. 2011, 89, 962–967. [Google Scholar] [CrossRef] [PubMed]
- Deminice, R.; Hyatt, H.; Yoshihara, T.; Ozdemir, M.; Nguyen, B.; Levine, S.; Powers, S. Human and Rodent Skeletal Muscles Express Angiotensin II Type 1 Receptors. Cells 2020, 9, 1688. [Google Scholar] [CrossRef] [PubMed]
- Blumenfeld, J.D.; Sealey, J.E.; Mann, S.J.; Bragat, A.; Marion, R.; Pecker, M.S.; Sotelo, J.; August, P.; Pickering, T.G.; Laragh, J.H. Beta-adrenergic receptor blockade as a therapeutic approach for suppressing the renin-angiotensin-aldosterone system in normotensive and hypertensive subjects. Am. J. Hypertens. 1999, 12, 451–459. [Google Scholar] [CrossRef]
- Wei, L.; Wang, R.; Lin, K.; Jin, X.; Li, L.; Wazir, J.; Pu, W.; Lian, P.; Lu, R.; Song, S.; et al. Creatine modulates cellular energy metabolism and protects against cancer cachexia-associated muscle wasting. Front. Pharmacol. 2022, 13, 1086662. [Google Scholar] [CrossRef]
- Op’t Eijnde, B.; Ursø, B.; Richter, E.A.; Greenhaff, P.L.; Hespel, P. Effect of oral creatine supplementation on human muscle GLUT4 protein content after immobilization. Diabetes 2001, 50, 18–23. [Google Scholar] [CrossRef]
- Smith, I.J.; Dodd, S.L. Calpain activation causes a proteasome-dependent increase in protein degradation and inhibits the Akt signalling pathway in rat diaphragm muscle. Exp. Physiol. 2007, 92, 561–573. [Google Scholar] [CrossRef]
- Miotto, P.M.; McGlory, C.; Bahniwal, R.; Kamal, M.; Phillips, S.M.; Holloway, G.P. Supplementation with dietary ω-3 mitigates immobilization-induced reductions in skeletal muscle mitochondrial respiration in young women. FASEB J. 2019, 33, 8232–8240. [Google Scholar] [CrossRef]
- Kaneguchi, A.; Ozawa, J.; Minamimoto, K.; Yamaoka, K. Morphological and biomechanical adaptations of skeletal muscle in the recovery phase after immobilization in a rat. Clin. Biomech. 2020, 75, 104992. [Google Scholar] [CrossRef]
- Brito, V.C.; de Oliveira, B.D.R.; de Moraes, S.R.A. Effects of immobilization on rat skeletal muscle tissue. J. Morphol. Sci. 2017, 28, 217–221. [Google Scholar]








Disclaimer/Publisher’s Note: The statements, opinions and data contained in all publications are solely those of the individual author(s) and contributor(s) and not of MDPI and/or the editor(s). MDPI and/or the editor(s) disclaim responsibility for any injury to people or property resulting from any ideas, methods, instructions or products referred to in the content. |
© 2023 by the authors. Licensee MDPI, Basel, Switzerland. This article is an open access article distributed under the terms and conditions of the Creative Commons Attribution (CC BY) license (https://creativecommons.org/licenses/by/4.0/).
Share and Cite
Kumar, A.; Raorane, C.J.; Rawat, D.; Prajapati, P.; Raj, R.; Kumar, D.; Kim, S.-C.; Raj, V.; Kushwaha, S. Atenolol Ameliorates Skeletal Muscle Atrophy and Oxidative Stress Induced by Cast Immobilization in Rats. Biomedicines 2023, 11, 1269. https://doi.org/10.3390/biomedicines11051269
Kumar A, Raorane CJ, Rawat D, Prajapati P, Raj R, Kumar D, Kim S-C, Raj V, Kushwaha S. Atenolol Ameliorates Skeletal Muscle Atrophy and Oxidative Stress Induced by Cast Immobilization in Rats. Biomedicines. 2023; 11(5):1269. https://doi.org/10.3390/biomedicines11051269
Chicago/Turabian StyleKumar, Anand, Chaitany Jayprakash Raorane, Deepak Rawat, Priyanka Prajapati, Ritu Raj, Dinesh Kumar, Seong-Cheol Kim, Vinit Raj, and Sapana Kushwaha. 2023. "Atenolol Ameliorates Skeletal Muscle Atrophy and Oxidative Stress Induced by Cast Immobilization in Rats" Biomedicines 11, no. 5: 1269. https://doi.org/10.3390/biomedicines11051269
APA StyleKumar, A., Raorane, C. J., Rawat, D., Prajapati, P., Raj, R., Kumar, D., Kim, S.-C., Raj, V., & Kushwaha, S. (2023). Atenolol Ameliorates Skeletal Muscle Atrophy and Oxidative Stress Induced by Cast Immobilization in Rats. Biomedicines, 11(5), 1269. https://doi.org/10.3390/biomedicines11051269

