Rhythm Disturbances in Post-Acute COVID-19 Syndrome in Young Men without Pre-Existing Known Cardiovascular Disease—A Case Series
Abstract
1. Introduction
2. Materials and Methods
3. Presentation of Cases
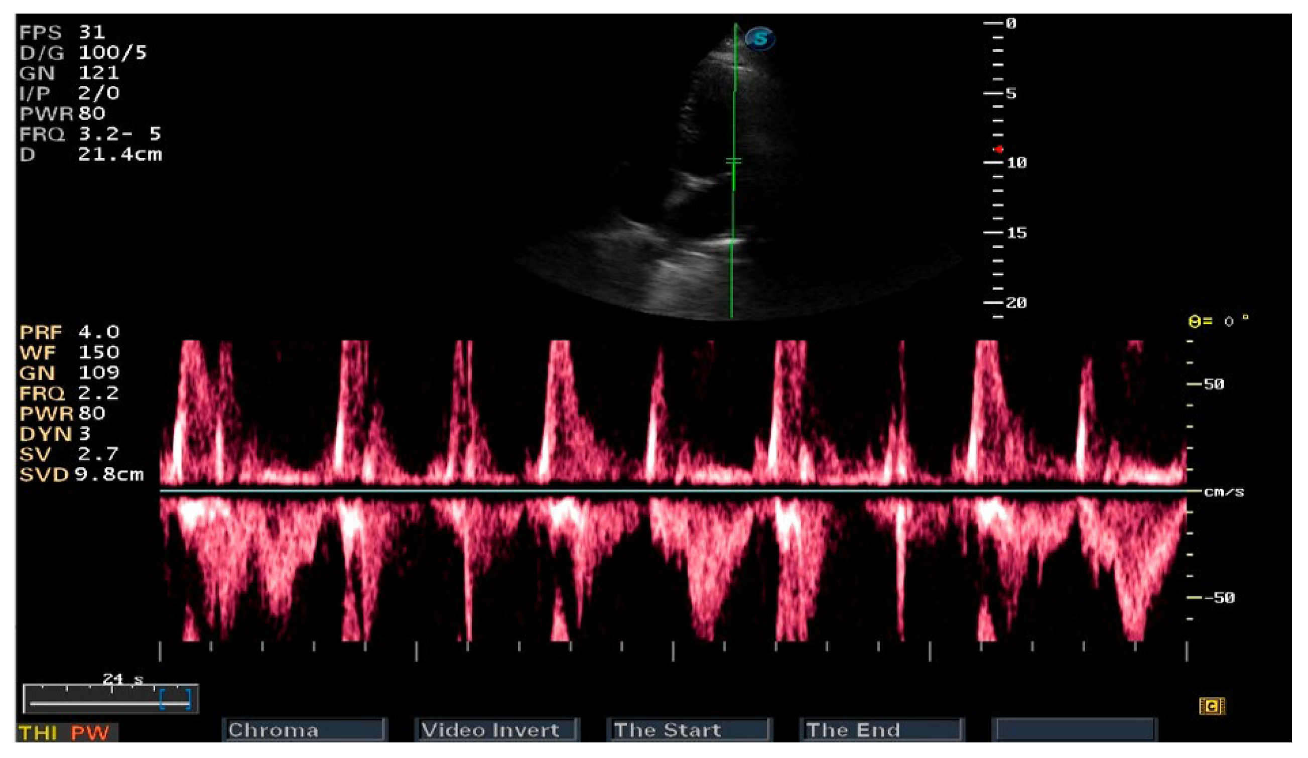
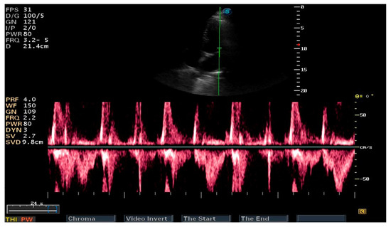
3.1. Case 1
3.2. Case 2
3.3. Case 3
4. Discussion
5. Conclusions
Author Contributions
Funding
Institutional Review Board Statement
Informed Consent Statement
Data Availability Statement
Conflicts of Interest
References
- Timeline of ECDC’s Response to COVID-19. Available online: https://www.ecdc.europa.eu/en/covid-19/timeline-ecdc-response (accessed on 3 January 2023).
- WHO. World Health Statistics 2022: Monitoring Health for the SDGs, Sustainable Development Goals; World Health Organization: Geneva, Switzerland, 2022; 125p. [Google Scholar]
- Soriano, J.B.; Murthy, S.; Marshall, J.C.; Relan, P.; Diaz, J.V. A clinical case definition of post-COVID-19 condition by a Delphi consensus. Lancet Infect. Dis. 2022, 22, e102–e107. [Google Scholar] [CrossRef]
- WHO Emergency Use ICD Codes for COVID-19 Disease Outbreak. Available online: https://www.who.int/standards/classifications/classification-of-diseases/emergency-use-icd-codes-for-covid-19-disease-outbreak (accessed on 2 January 2023).
- van Kessel, S.A.M.; Olde Hartman, T.C.; Lucassen, P.; van Jaarsveld, C.H.M. Post-acute and long-COVID-19 symptoms in patients with mild diseases: A systematic review. Fam. Pract. 2022, 39, 159–167. [Google Scholar] [CrossRef]
- Gavriatopoulou, M.; Korompoki, E.; Fotiou, D.; Ntanasis-Stathopoulos, I.; Psaltopoulou, T.; Kastritis, E.; Terpos, E.; Dimopoulos, M.A. Organ-specific manifestations of COVID-19 infection. Clin. Exp. Med. 2020, 20, 493–506. [Google Scholar] [CrossRef]
- Guo, T.; Fan, Y.; Chen, M.; Wu, X.; Zhang, L.; He, T.; Wang, H.; Wan, J.; Wang, X.; Lu, Z. Cardiovascular Implications of Fatal Outcomes of Patients with Coronavirus Disease 2019 (COVID-19). JAMA Cardiol. 2020, 5, 811–818. [Google Scholar] [CrossRef]
- Goyal, P.; Choi, J.J.; Pinheiro, L.C.; Schenck, E.J.; Chen, R.; Jabri, A.; Satlin, M.J.; Campion, T.R., Jr.; Nahid, M.; Ringel, J.B.; et al. Clinical Characteristics of Covid-19 in New York City. N. Engl. J. Med. 2020, 382, 2372–2374. [Google Scholar] [CrossRef]
- Giudicessi, J.R.; Noseworthy, P.A.; Friedman, P.A.; Ackerman, M.J. Urgent Guidance for Navigating and Circumventing the QTc-Prolonging and Torsadogenic Potential of Possible Pharmacotherapies for Coronavirus Disease 19 (COVID-19). Mayo Clin. Proc. 2020, 95, 1213–1221. [Google Scholar] [CrossRef]
- Zeng, J.H.; Liu, Y.X.; Yuan, J.; Wang, F.X.; Wu, W.B.; Li, J.X.; Wang, L.F.; Gao, H.; Wang, Y.; Dong, C.F.; et al. First case of COVID-19 complicated with fulminant myocarditis: A case report and insights. Infection 2020, 48, 773–777. [Google Scholar] [CrossRef]
- Parvu, S.; Müller, K.; Dahdal, D.; Cosmin, I.; Christodorescu, R.; Duda-Seiman, D.; Man, D.; Sharma, A.; Dragoi, R.; Baneu, P.; et al. COVID-19 and cardiovascular manifestations. Eur. Rev. Med. Pharmacol. Sci. 2022, 26, 4509–4519. [Google Scholar] [CrossRef]
- Davis, H.E.; Assaf, G.S.; McCorkell, L.; Wei, H.; Low, R.J.; Re’em, Y.; Redfield, S.; Austin, J.P.; Akrami, A. Characterizing long COVID in an international cohort: 7 months of symptoms and their impact. EClinicalMedicine 2021, 38, 101019. [Google Scholar] [CrossRef]
- Daugherty, S.E.; Guo, Y.; Heath, K.; Dasmariñas, M.C.; Jubilo, K.G.; Samranvedhya, J.; Lipsitch, M.; Cohen, K. Risk of clinical sequelae after the acute phase of SARS-CoV-2 infection: Retrospective cohort study. BMJ 2021, 373, n1098. [Google Scholar] [CrossRef]
- Yu, C.M.; Wong, R.S.; Wu, E.B.; Kong, S.L.; Wong, J.; Yip, G.W.; Soo, Y.O.; Chiu, M.L.; Chan, Y.S.; Hui, D.; et al. Cardiovascular complications of severe acute respiratory syndrome. Postgrad. Med. J. 2006, 82, 140–144. [Google Scholar] [CrossRef]
- Xie, Y.; Xu, E.; Bowe, B.; Al-Aly, Z. Long-term cardiovascular outcomes of COVID-19. Nat. Med. 2022, 28, 583–590. [Google Scholar] [CrossRef]
- Ingul, C.B.; Grimsmo, J.; Mecinaj, A.; Trebinjac, D.; Berger Nossen, M.; Andrup, S.; Grenne, B.; Dalen, H.; Einvik, G.; Stavem, K.; et al. Cardiac Dysfunction and Arrhythmias 3 Months After Hospitalization for COVID-19. J. Am. Heart Assoc. 2022, 11, e023473. [Google Scholar] [CrossRef]
- Huang, L.; Yao, Q.; Gu, X.; Wang, Q.; Ren, L.; Wang, Y.; Hu, P.; Guo, L.; Liu, M.; Xu, J.; et al. 1-year outcomes in hospital survivors with COVID-19: A longitudinal cohort study. Lancet 2021, 398, 747–758. [Google Scholar] [CrossRef]
- Øvrebotten, T.; Myhre, P.; Grimsmo, J.; Mecinaj, A.; Trebinjac, D.; Nossen, M.B.; Andrup, S.; Josefsen, T.; Einvik, G.; Stavem, K.; et al. Changes in cardiac structure and function from 3 to 12 months after hospitalization for COVID-19. Clin. Cardiol. 2022, 45, 1044–1052. [Google Scholar] [CrossRef]
- Lassen, M.C.H.; Skaarup, K.G.; Lind, J.N.; Alhakak, A.S.; Sengeløv, M.; Nielsen, A.B.; Simonsen, J.; Johansen, N.D.; Davidovski, F.S.; Christensen, J.; et al. Recovery of cardiac function following COVID-19-ECHOVID-19: A prospective longitudinal cohort study. Eur. J. Heart Fail 2021, 23, 1903–1912. [Google Scholar] [CrossRef]
- Capraru, I.D.; Romanescu, M.; Anghel, F.M.; Oancea, C.; Marian, C.; Sirbu, I.O.; Chis, A.R.; Ciordas, P.D. Identification of Genomic Variants of SARS-CoV-2 Using Nanopore Sequencing. Medicina 2022, 58, 1841. [Google Scholar] [CrossRef]
- Caforio, A.L.P.; Pankuweit, S.; Arbustini, E.; Basso, C.; Gimeno-Blanes, J.; Felix, S.B.; Fu, M.; Heliö, T.; Heymans, S.; Jahns, R.; et al. Current state of knowledge on aetiology, diagnosis, management, and therapy of myocarditis: A position statement of the European Society of Cardiology Working Group on Myocardial and Pericardial Diseases. Eur. Heart J. 2013, 34, 2636–2648. [Google Scholar] [CrossRef]
- Khan, M.H.; Aqtash, O.; Harris, D.M.; Costea, A.I.; Gerson, M.C. Ventricular Tachycardia or Fibrillation Storm in Coronavirus Disease. Case Rep. Cardiol. 2022, 2022, 1157728. [Google Scholar] [CrossRef]
- Imazio, M. COVID-19 as a Possible Cause of Myocarditis and Pericarditis. Available online: https://www.acc.org/latest-in-cardiology/articles/2021/02/05/19/37/covid-19-as-a-possible-cause-of-myocarditis-and-pericarditis (accessed on 14 January 2023).
- Beri, A.; Kotak, K. Cardiac injury, arrhythmia, and sudden death in a COVID-19 patient. HeartRhythm Case Rep. 2020, 6, 367–369. [Google Scholar] [CrossRef]
- Duda-Seiman, D.; Kundnani, N.R.; Dugaci, D.; Man, D.E.; Velimirovici, D.; Dragan, S.R. COVID-19 Related Myocarditis and Myositis in a Patient with Undiagnosed Antisynthetase Syndrome. Biomedicines 2023, 11, 95. [Google Scholar] [CrossRef]
- Tunescu, M.; Christodorescu, R.; Sharma, A.; Barsac, C.R.; Rogobete, A.F.; Crisan, D.C.; Popovici, S.E.; Kundnani, N.R.; Sandesc, D.; Bedreag, O. The preoperative evaluation of post-COVID-19 patients scheduled for elective surgery-What is important not to miss! Eur. Rev. Med. Pharmacol. Sci. 2021, 25, 7607–7615. [Google Scholar] [CrossRef]
- de Vries, A.A.F. SARS-CoV-2/COVID-19: A primer for cardiologists. Neth. Heart J. 2020, 28, 366–383. [Google Scholar] [CrossRef]
- Tay, M.Z.; Poh, C.M.; Rénia, L.; MacAry, P.A.; Ng, L.F.P. The trinity of COVID-19: Immunity, inflammation and intervention. Nat. Rev. Immunol. 2020, 20, 363–374. [Google Scholar] [CrossRef]
- Cutler, M.J.; May, H.T.; Bair, T.L.; Crandall, B.G.; Osborn, J.S.; Miller, J.D.; Mallender, C.D.; Muhlestein, J.B.; Anderson, J.L.; Knowlton, K.U.; et al. Atrial fibrillation is a risk factor for major adverse cardiovascular events in COVID-19. Int. J. Cardiol. Heart Vasc. 2022, 43, 101127. [Google Scholar] [CrossRef]
- Mohammad, K.O.; Lin, A.; Rodriguez, J.B.C. Cardiac Manifestations of Post-Acute COVID-19 Infection. Curr. Cardiol. Rep. 2022, 24, 1775–1783. [Google Scholar] [CrossRef]
- Moody, W.E.; Liu, B.; Mahmoud-Elsayed, H.M.; Senior, J.; Lalla, S.S.; Khan-Kheil, A.M.; Brown, S.; Saif, A.; Moss, A.; Bradlow, W.M.; et al. Persisting Adverse Ventricular Remodeling in COVID-19 Survivors: A Longitudinal Echocardiographic Study. J. Am. Soc. Echocardiogr. 2021, 34, 562–566. [Google Scholar] [CrossRef]
- Günay, N.; Demiröz, Ö.; Kahyaoğlu, M.; Başlılar, Ş.; Aydın, M.; Özer, M.; İleri, Ç.; Keskin, M.; Bayam, E.; Uyan, C. The effect of moderate and severe COVID-19 pneumonia on short-term right ventricular functions: A prospective observational single pandemic center analysis. Int. J. Cardiovasc. Imaging 2021, 37, 1883–1890. [Google Scholar] [CrossRef]
- Shirokov, N.E.; Yaroslavskaya, E.I.; Krinochkin, D.V.; Osokina, N.A. Hidden systolic dysfunction of the right ventricle in patients with increased pulmonary vascular resistance 3 months after COVID-19 pneumonia. Kardiologiia 2022, 62, 16–20. [Google Scholar] [CrossRef]
- Shrestha, A.B.; Mehta, A.; Pokharel, P.; Mishra, A.; Adhikari, L.; Shrestha, S.; Yadav, R.S.; Khanal, S.; Sah, R.; Nowrouzi-Kia, B.; et al. Long COVID Syndrome and Cardiovascular Manifestations: A Systematic Review and Meta-Analysis. Diagnostics 2023, 13, 491. [Google Scholar] [CrossRef]
- Asarcikli, L.D.; Hayiroglu, M.İ.; Osken, A.; Keskin, K.; Kolak, Z.; Aksu, T. Heart rate variability and cardiac autonomic functions in post-COVID period. J. Interv. Card. Electrophysiol. Int. J. Arrhythm. Pacing 2022, 63, 715–721. [Google Scholar] [CrossRef] [PubMed]
- Shah, B.; Kunal, S.; Bansal, A.; Jain, J.; Poundrik, S.; Shetty, M.K.; Batra, V.; Chaturvedi, V.; Yusuf, J.; Mukhopadhyay, S.; et al. Heart rate variability as a marker of cardiovascular dysautonomia in post-COVID-19 syndrome using artificial intelligence. Indian Pacing Electrophysiol. J. 2022, 22, 70–76. [Google Scholar] [CrossRef]












| Case 1 | Case 2 | Case 3 | ||
|---|---|---|---|---|
| BP (mmHg) | left arm | 160/85 | 150/70 | 135/85 |
| right arm | 130/85 | 145/75 | 135/80 | |
| HR (bpm) | 110, irregular | 62, regular | 95, irregular | |
| SpO2 (%) | 98 | 95 | 98 | |
| Weight (Kg) | 94 | 91 | 81 | |
| Height (cm) | 176 | 181 | 177 | |
| AC (cm) | 109 | 105 | 103 | |
| BMI (Kg/m2) | 30.34 | 27.78 | 25.85 | |
| Smoking | no | yes, 11 PY | no | |
| Case 1 | Case 2 | Case 3 | |
|---|---|---|---|
| IVS (cm)—PLAX | 1.93 | 1.27 | 1.2 |
| PLVW (cm)—PLAX | 1.38 | 1.16 | 1.05 |
| RV diameter (cm)—PLAX | 4.1 | 3.7 | 3.59 |
| LVTDV (ml/m2bs)—A4C | 114.5 | 100.7 | 90.8 |
| LVTSV (ml/m2bs)—A4C | 63.8 | 54.07 | 50.9 |
| LVEF (%)—A4C | 43 | 46 | 44 |
| RVTDV (ml/m2bs)—A4C | 33.3 | 50.5 | 22.2 |
| RVTSV (ml/m2bs)—A4C | 15 | 20.6 | 13.5 |
| LATSV (ml/m2bs)—A4C (*) | 38.2 | 44.5 | 37.1 |
| RATDS (ml/m2bs)—A4C (*) | 22.7 | 50 | 10.4 |
Disclaimer/Publisher’s Note: The statements, opinions and data contained in all publications are solely those of the individual author(s) and contributor(s) and not of MDPI and/or the editor(s). MDPI and/or the editor(s) disclaim responsibility for any injury to people or property resulting from any ideas, methods, instructions or products referred to in the content. |
© 2023 by the authors. Licensee MDPI, Basel, Switzerland. This article is an open access article distributed under the terms and conditions of the Creative Commons Attribution (CC BY) license (https://creativecommons.org/licenses/by/4.0/).
Share and Cite
Rosca, C.I.; Branea, H.S.; Sharma, A.; Nicoras, V.A.; Borza, C.; Lighezan, D.F.; Morariu, S.I.; Kundnani, N.R. Rhythm Disturbances in Post-Acute COVID-19 Syndrome in Young Men without Pre-Existing Known Cardiovascular Disease—A Case Series. Biomedicines 2023, 11, 1146. https://doi.org/10.3390/biomedicines11041146
Rosca CI, Branea HS, Sharma A, Nicoras VA, Borza C, Lighezan DF, Morariu SI, Kundnani NR. Rhythm Disturbances in Post-Acute COVID-19 Syndrome in Young Men without Pre-Existing Known Cardiovascular Disease—A Case Series. Biomedicines. 2023; 11(4):1146. https://doi.org/10.3390/biomedicines11041146
Chicago/Turabian StyleRosca, Ciprian Ilie, Horia Silviu Branea, Abhinav Sharma, Violeta Ariana Nicoras, Claudia Borza, Daniel Florin Lighezan, Stelian I. Morariu, and Nilima Rajpal Kundnani. 2023. "Rhythm Disturbances in Post-Acute COVID-19 Syndrome in Young Men without Pre-Existing Known Cardiovascular Disease—A Case Series" Biomedicines 11, no. 4: 1146. https://doi.org/10.3390/biomedicines11041146
APA StyleRosca, C. I., Branea, H. S., Sharma, A., Nicoras, V. A., Borza, C., Lighezan, D. F., Morariu, S. I., & Kundnani, N. R. (2023). Rhythm Disturbances in Post-Acute COVID-19 Syndrome in Young Men without Pre-Existing Known Cardiovascular Disease—A Case Series. Biomedicines, 11(4), 1146. https://doi.org/10.3390/biomedicines11041146

