Assessment of Thyroid Stiffness and Viscosity in Autoimmune Thyroiditis Using Novel Ultrasound-Based Techniques
Abstract
1. Introduction
2. Material and Methods
2.1. Patients
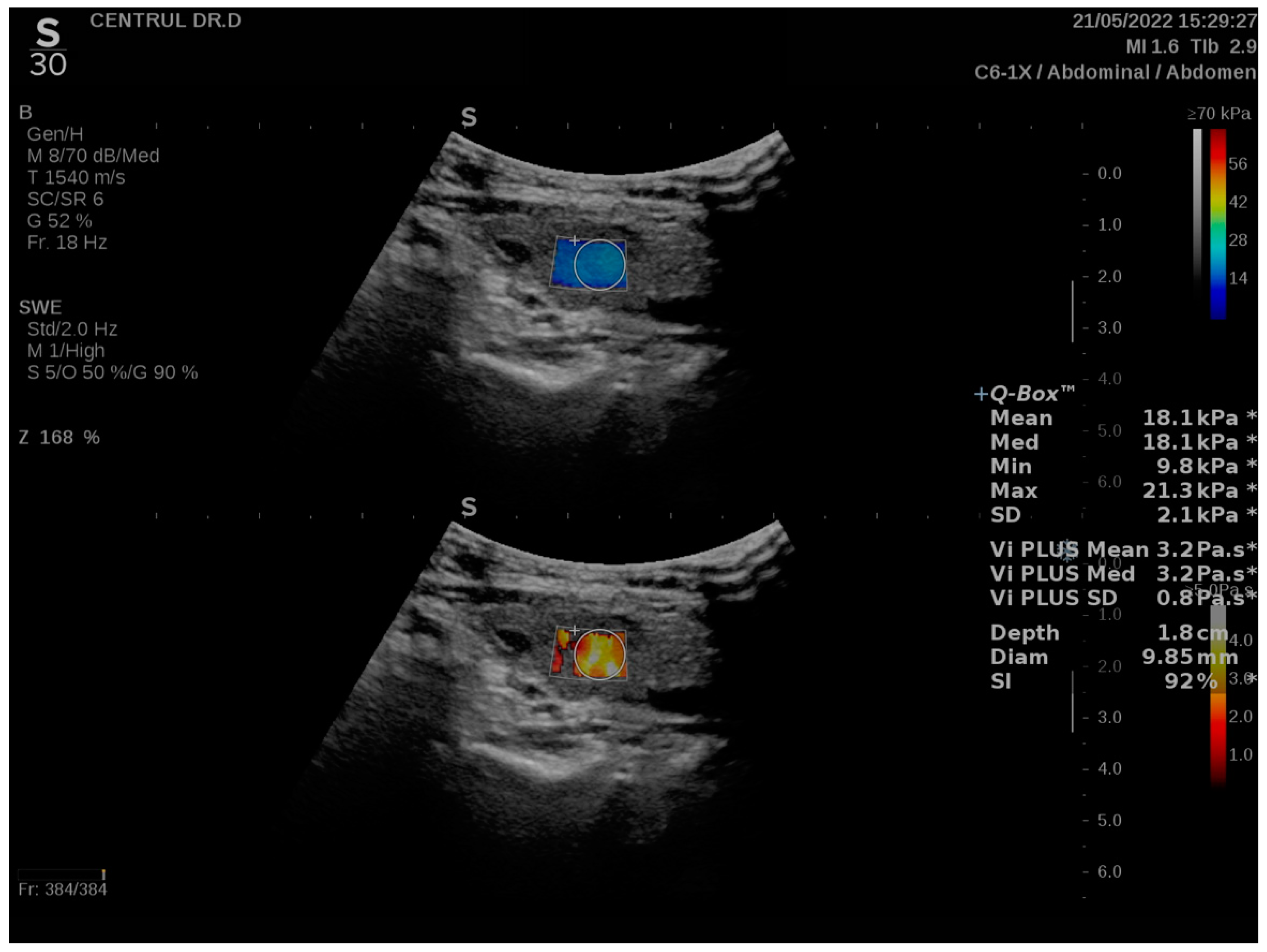
2.2. Ultrasound, 2D Shear-Wave and Vi PLUS Evaluation
2.3. Statistical Analysis
3. Results
3.1. Baseline Characteristics and Feasibility of the SWE-Based Methods
3.2. 2D SWE PLUS and Vi PLUS Values in Patients with Normal Thyroid and in Patients with Autoimmune Thyroiditis
3.3. 2D SWE PLUS and Vi PLUS Values in Patients with CAT with and without Levothyroxine Replacement
3.4. Factors Affecting the Vi PLUS and 2D-SWE PLUS Assessment
4. Discussion
5. Conclusions
Author Contributions
Funding
Institutional Review Board Statement
Informed Consent Statement
Conflicts of Interest
References
- Fink, H.; Hintze, G. Die Autoimmunthyreoiditis (Hashimoto-Thyreoiditis): Aktuelle diagnostik und therapie [Autoimmune thyroiditis (Hashimoto’s thyroiditis): Current diagnostics and therapy]. Med. Klin. 2010, 105, 485–493. [Google Scholar] [CrossRef] [PubMed]
- Hu, X.; Chen, Y.; Shen, Y.; Tian, R.; Sheng, Y.; Que, H. Global prevalence and epidemiological trends of Hashimoto’s thyroiditis in adults: A systematic review and meta-analysis. Front. Public Health 2022, 10, 3858. [Google Scholar] [CrossRef]
- Ragusa, F.; Fallahi, P.; Elia, G.; Gonnella, D.; Paparo, S.R.; Giusti, C.; Churilov, L.P.; Ferrari, S.M.; Antonelli, A. Hashimotos’ thyroiditis: Epidemiology, pathogenesis, clinic and therapy. Best Pract. Res. Clin. Endocrinol. Metab. 2019, 33, 101367. [Google Scholar] [CrossRef] [PubMed]
- Feldkamp, J. Autoimmunthyreoiditis: Diagnostik und Therapie. DMW—Dtsch. Med. Wochenschr. 2009, 134, 2504–2509. [Google Scholar] [CrossRef]
- Lerner, A.; Jeremias, P.; Matthias, T. The World Incidence and Prevalence of Autoimmune Diseases is Increasing. Int. J. Celiac Dis. 2015, 3, 151–155. [Google Scholar] [CrossRef]
- Bladowska, J.; Waliszewska-Prosół, M.; Ejma, M.; Sąsiadek, M. The metabolic alterations within the normal appearing brain in patients with Hashimoto’s thyroiditis are correlated with hormonal changes. Metab. Brain Dis. 2019, 34, 53–60. [Google Scholar] [CrossRef]
- Waliszewska-Prosół, M.; Ejma, M. Hashimoto Encephalopathy—Still More Questions than Answers. Cells 2022, 11, 2873. [Google Scholar] [CrossRef]
- Dighe, M.; Barr, R.; Bojunga, J.; Cantisani, V.; Cristina Chammas, M.; Cosgrove, D.; Cui, X.W.; Dong, Y.; Fenner, F.; Radzina, M.; et al. Thyroid Ultrasound: State of the Art Part 1—Thyroid Ultrasound reporting and Diffuse Thyroid Diseases. Med. Ultrason 2017, 19, 79–93. [Google Scholar] [CrossRef]
- Wu, G.; Zou, D.; Cai, H.; Liu, Y. Ultrasonography in the diagnosis of Hashimoto’s thyroiditis. FBL 2016, 21, 1006–1012. [Google Scholar]
- Mahmoud, R.; Azeem, K.M.; Sayed, A.S.A.; Ali, F.M. Role of ultrasound and Doppler findings as a predictor of thyroid hormonal levels in cases of Hashimoto thyroiditis. Beni Suef Univ. J. Basic Appl. Sci. 2022, 11, 28. [Google Scholar] [CrossRef]
- Muntean, D.; Lenghel, M.; Ciurea, A.; Dudea, S. Viscosity Plane-wave UltraSound (ViPLUS) in the assessment of parotid and submandibular glands in healthy subjects—preliminary results. Med. Ultrason 2022, 24, 300–304. [Google Scholar] [CrossRef]
- Popa, A.; Bende, F.; Șirli, R.; Popescu, A.; Bâldea, V.; Lupușoru, R.; Cotrău, R.; Fofiu, R.; Foncea, C.; Sporea, I. Quantification of Liver Fibrosis, Steatosis, and Viscosity Using Multiparametric Ultrasound in Patients with Non-Alcoholic Liver Disease: A “Real-Life” Cohort Study. Diagnostics 2021, 11, 783. [Google Scholar] [CrossRef]
- Stoian, D.; Moisa, L.; Taban, L.; Sporea, I.; Popa, A.; Bende, F.; Popescu, A.; Borlea, A. Quantification of Thyroid Viscosity in Healthy Subjects Using Ultrasound Shear Wave Dispersion (Viscosity PLUS). Diagnostics 2022, 12, 2194. [Google Scholar] [CrossRef] [PubMed]
- Petea-Balea, D.R.; Solomon, C.; Muntean, D.D.; Dulgheriu, I.T.; Silaghi, C.A.; Dudea, S.M. Viscosity Plane-Wave UltraSound (Vi PLUS) in the Evaluation of Thyroid Gland in Healthy Volunteers—A Preliminary Study. Diagnostics 2022, 12, 2474. [Google Scholar] [CrossRef]
- Simescu, M.; Popescu, R.; Ionitiu, D.; Zbranca, E.; Grecu, E.; Marinescu, E.; Tintea, L.; Nicolaescu, E.; Purice, M.; Popa, M.; et al. The Status of Iodine Nutrition in Romania. In odine Deficiency in Europe: A Continuing Concern; Delange, F., Dunn, J.T., Glinoer, D., Eds.; Springer: Boston, MA, USA, 1993; pp. 383–388. [Google Scholar] [CrossRef]
- Cantisani, V.; D’Andrea, V.; Biancari, F.; Medvedyeva, O.; di Segni, M.; Olive, M.; Patrizi, G.; Redler, A.; De Antoni, E.E.; Masciangelo, R.; et al. Prospective evaluation of multiparametric ultrasound and quantitative elastosonography in the differential diagnosis of benign and malignant thyroid nodules: Preliminary experience. Eur. J. Radiol. 2012, 81, 2678–2683. [Google Scholar] [CrossRef] [PubMed]
- Cantisani, V.; Lodise, P.; di Rocco, G.; Grazhdani, H.; Giannotti, D.; Patrizi, G.; Patrizi, G.; Redler, A.; De Antoni, E.E.; Masciangelo, R.; et al. Diagnostic Accuracy and Interobserver Agreement of Quasistatic Ultrasound Elastography in the Diagnosis of Thyroid Nodules TT—Diagnostische Genauigkeit und Interobserver-Übereinstimmung der Quasistatischen-Ultraschall-Elastografie bei der Diagnose von. Ultraschall Med. 2015, 36, 162–167. [Google Scholar]
- Swan, K.Z.; Nielsen, V.E.; Bonnema, S.J. Evaluation of thyroid nodules by shear wave elastography: A review of current knowledge. J. Endocrinol. Investig. 2021, 44, 2043–2056. [Google Scholar] [CrossRef]
- Borlea, A.; Borcan, F.; Sporea, I.; Dehelean, C.A.; Negrea, R.; Cotoi, L.; Stoian, D. TI-RADS Diagnostic Performance: Which Algorithm is Superior and How Elastography and 4D Vascularity Improve the Malignancy Risk Assessment. Diagnostics 2020, 10, 180. [Google Scholar] [CrossRef] [PubMed]
- Cepeha, C.M.; Paul, C.; Borlea, A.; Borcan, F.; Fofiu, R.; Dehelean, C.A.; Stoian, D. The Value of Strain Elastography in Predicting Autoimmune Thyroiditis. Diagnostics 2020, 10, 874. [Google Scholar] [CrossRef] [PubMed]
- Hefeda, M.M. Value of the New Elastography Technique using Acoustic Radiation Force Impulse in Differentiation between Hashimoto’s Thyroiditis and Graves’ Disease. J. Clin. Imaging Sci. 2019, 9, 17. [Google Scholar] [CrossRef]
- Sugimoto, K.; Moriyasu, F.; Oshiro, H.; Takeuchi, H.; Yoshimasu, Y.; Kasai, Y.; Itoi, T. Clinical utilization of shear wave dispersion imaging in diffuse liver disease. Ultrasonography 2019, 39, 3–10. [Google Scholar] [CrossRef]
- Ruchała, M.; Szmyt, K.; Sławek, S.; Zybek, A.; Szczepanek-Parulska, E. Ultrasound sonoelastography in the evaluation of thyroiditis and autoimmune thyroid disease. Endokrynol. Pol. 2014, 65, 520–531. [Google Scholar] [CrossRef] [PubMed]
- Ruchala, M.; Szczepanek-Parulska, E.; Zybek, A.; Moczko, J.; Czarnywojtek, A.; Kaminski, G.; Sowinski, J. The role of sonoelastography in acute, subacute and chronic thyroiditis: A novel application of the method. Eur. J. Endocrinol. 2012, 166, 425–432. [Google Scholar] [CrossRef] [PubMed]
- Kara, T.; Ateş, F.; Durmaz, M.S.; Akyürek, N.; Durmaz, F.G.; Özbakır, B.; Öztürk, M. Assessment of thyroid gland elasticity with shear-wave elastography in Hashimoto’s thyroiditis patients. J. Ultrasound 2020, 23, 543–551. [Google Scholar] [CrossRef] [PubMed]
- Liu, J.; Zhang, Y.; Ji, Y.; Wan, Q.; Dun, G. The value of shear wave elastography in diffuse thyroid disease. Clin. Imaging 2018, 49, 187–192. [Google Scholar] [CrossRef]
- Kandemirli, S.G.; Bayramoglu, Z.; Caliskan, E.; Sari, Z.N.A.; Adaletli, I. Quantitative assessment of thyroid gland elasticity with shear-wave elastography in pediatric patients with Hashimoto’s thyroiditis. J. Med. Ultrason 2018, 45, 417–423. [Google Scholar] [CrossRef]
- Magri, F.; Chytiris, S.; Capelli, V.; Alessi, S.; Nalon, E.; Rotondi, M.; Cassibba, S.; Calliada, F.; Chiovato, L. Shear wave elastography in the diagnosis of thyroid nodules: Feasibility in the case of coexistent chronic autoimmune Hashimoto’s thyroiditis. Clin. Endocrinol. 2012, 76, 137–141. [Google Scholar] [CrossRef]
- Rianna, C.; Radmacher, M. Comparison of viscoelastic properties of cancer and normal thyroid cells on different stiffness substrates. Eur. Biophys. J. 2017, 46, 309–324. [Google Scholar] [CrossRef]
- Dulgheriu, I.T.; Solomon, C.; Muntean, D.D.; Petea-Balea, R.; Lenghel, M.; Ciurea, A.I.; Dudea, S.M. Shear-Wave Elastography and Viscosity PLUS for the Assessment of Peripheric Muscles in Healthy Subjects: A Pre- and Post-Contraction Study. Diagnostics 2022, 12, 2138. [Google Scholar] [CrossRef]
- Maralescu, F.M.; Bende, F.; Sporea, I.; Popescu, A.; Șirli, R.; Schiller, A.; Petrica, L.; Moga, T.V.; Mare, R.; Grosu, I.; et al. Assessment of Renal Allograft Stiffness and Viscosity Using 2D SWE PLUS and Vi PLUS Measures—A Pilot Study. J. Clin. Med. 2022, 11, 4370. [Google Scholar] [CrossRef]
- Hirooka, M.; Koizumi, Y.; Nakamura, Y.; Yano, R.; Okazaki, Y.; Sunago, K.; Imai, Y.; Watanabe, T.; Yoshida, O.; Tokumoto, Y.; et al. Spleen stiffness in patients with chronic liver disease evaluated by 2-D shear wave elastography with ultrasound multiparametric imaging. Hepatol. Res. 2023, 53, 93–103. [Google Scholar] [CrossRef] [PubMed]









| Normal Thyroid | CAT | Significance Level (p) | |
|---|---|---|---|
| Number of evaluated patients | 160 | 161 | - |
| Valid Vi PLUS…measurements | 155 (96.8%) | 153 (95%) | 0.5950 |
| Female gender | 104 (67%) | 143 (93.4%) | <0.0001 |
| Age (years) | 34.6 ± 12 | 44.4 ± 13.3 | <0.0001 |
| Thyroid volume (ml) | 12.74 ± 3.27 | 17.37 ± 6.16 | <0.0001 |
| Number of patients with LT4—RT | 0 (0%) | 65 (40.3%) | - |
| BMI (kg/m2) | 23.8 ± 3.8 | 24 ± 3.7 | 0.6402 |
| US-Based Parameter | Normal Thyroid | CAT | Significance Level (p) | |
|---|---|---|---|---|
| Mean 2D-SWE PLUS (kPa) | Mean ± SD | 13.5 ± 3.3 | 23.1 ± 8.3 | <0.0001 |
| Median (95%CI) | 13.8 (12.28–14.10) | 22.9 (20.00–23.96) | ||
| Min | 6 | 8 | ||
| Max | 22.1 | 46.4 | ||
| ViPLUS (Pa·s) | Mean ± SD | 2.5 ± 0.4 | 2.8 ± 0.5 | <0.0001 |
| Median (95%CI) | 2.5 | 2.8 | ||
| Min | 1.33 | 1.7 | ||
| Max | 3.58 | 4.1 | ||
| Depth (cm) | Mean ± SD | 1.6 ± 0.3 | 1.7 ± 0.3 | 0.0037 |
| Median (95%CI) | 1.6 | 1.7 | ||
| Min | 1.1 | 1.2 | ||
| Max | 2.6 | 2.6 | ||
| CAT with LT4 Replacement | CAT without LT4 Replacement | Significance Level (p) | |
|---|---|---|---|
| Mean 2D-SWE PLUS (kPa) | 24.74 ± 8.33 | 21.93 ± 8.12 | 0.0380 |
| ViPLUS (Pa·s) | 3 ± 0.5 | 2.7 ± 0.4 | 0.0193 |
| Thyroid volume | 18 ± 6.7 | 16.8 ± 5.7 | 0.2470 |
| Mean Vi Plus | Mean 2D SWE | Cat | Depth | BMI | LT4 Replacement | Gender | AGE | ||
|---|---|---|---|---|---|---|---|---|---|
| Mean 2D SWE | r | 0.510 | |||||||
| p | <0.0001 | ||||||||
| n | 308 | ||||||||
| Cat | r | 0.340 | 0.607 | ||||||
| p | <0.0001 | <0.0001 | |||||||
| n | 308 | 308 | |||||||
| Depth | r | 0.112 | 0.098 | 0.101 | |||||
| p | 0.0499 | 0.0845 | 0.0774 | ||||||
| n | 308 | 308 | 308 | ||||||
| BMI | r | −0.020 | 0.030 | 0.024 | 0.102 | ||||
| p | 0.7204 | 0.5966 | 0.6757 | 0.0750 | |||||
| n | 308 | 308 | 308 | 308 | |||||
| LT4 Replacement | r | 0.218 | 0.168 | 0.000 | −0.020 | 0.049 | |||
| p | 0.0068 | 0.0381 | - | 0.8071 | 0.5502 | ||||
| n | 153 | 153 | - | 153 | 153 | ||||
| Gender | r | −0.069 | −0.203 | −0.331 | 0.233 | 0.021 | −0.013 | ||
| p | 0.2258 | 0.0003 | <0.0001 | <0.0001 | 0.7189 | 0.8705 | |||
| n | 308 | 308 | 308 | 308 | 308 | 153 | |||
| AGE | r | 0.160 | 0.338 | 0.361 | 0.060 | 0.035 | 0.252 | −0.226 | |
| p | 0.0050 | <0.0001 | <0.0001 | 0.2945 | 0.5456 | 0.0017 | 0.0001 | ||
| n | 308 | 308 | 308 | 308 | 308 | 153 | 308 | ||
| Volume | r | 0.210 | 0.408 | 0.426 | 0.089 | 0.047 | 0.094 | −0.152 | 0.136 |
| p | 0.0002 | <0.0001 | <0.0001 | 0.1183 | 0.4092 | 0.2470 | 0.0074 | 0.0172 | |
| n | 308 | 308 | 308 | 308 | 308 | 153 | 308 | 308 | |
Disclaimer/Publisher’s Note: The statements, opinions and data contained in all publications are solely those of the individual author(s) and contributor(s) and not of MDPI and/or the editor(s). MDPI and/or the editor(s) disclaim responsibility for any injury to people or property resulting from any ideas, methods, instructions or products referred to in the content. |
© 2023 by the authors. Licensee MDPI, Basel, Switzerland. This article is an open access article distributed under the terms and conditions of the Creative Commons Attribution (CC BY) license (https://creativecommons.org/licenses/by/4.0/).
Share and Cite
Stoian, D.; Borlea, A.; Sporea, I.; Popa, A.; Moisa-Luca, L.; Popescu, A. Assessment of Thyroid Stiffness and Viscosity in Autoimmune Thyroiditis Using Novel Ultrasound-Based Techniques. Biomedicines 2023, 11, 938. https://doi.org/10.3390/biomedicines11030938
Stoian D, Borlea A, Sporea I, Popa A, Moisa-Luca L, Popescu A. Assessment of Thyroid Stiffness and Viscosity in Autoimmune Thyroiditis Using Novel Ultrasound-Based Techniques. Biomedicines. 2023; 11(3):938. https://doi.org/10.3390/biomedicines11030938
Chicago/Turabian StyleStoian, Dana, Andreea Borlea, Ioan Sporea, Alexandru Popa, Luciana Moisa-Luca, and Alina Popescu. 2023. "Assessment of Thyroid Stiffness and Viscosity in Autoimmune Thyroiditis Using Novel Ultrasound-Based Techniques" Biomedicines 11, no. 3: 938. https://doi.org/10.3390/biomedicines11030938
APA StyleStoian, D., Borlea, A., Sporea, I., Popa, A., Moisa-Luca, L., & Popescu, A. (2023). Assessment of Thyroid Stiffness and Viscosity in Autoimmune Thyroiditis Using Novel Ultrasound-Based Techniques. Biomedicines, 11(3), 938. https://doi.org/10.3390/biomedicines11030938

