Carnosic Acid Ameliorates Indomethacin-Induced Gastric Ulceration in Rats by Alleviating Oxidative Stress and Inflammation
Abstract
1. Introduction
2. Materials and Methods
2.1. Chemicals and Reagents
2.2. Animals
2.3. Experimental Design
2.4. Generation of Gastric Ulcer Model
2.5. Macroscopic Examination
2.6. Ulcer Index and Preventive Index
2.7. Histopathology
2.8. Immunohistochemical Analyse
2.9. Double-Immunofluorescence Assays
2.10. Determination of Oxidative Markers and Antioxidant Enzyme
2.11. Determination of Inflammatory Markers and Cytokines
2.12. Statistical Analysis
3. Results
3.1. The Effects of CA on IND-Induced Gastric Tissue Macroscopic Alterations
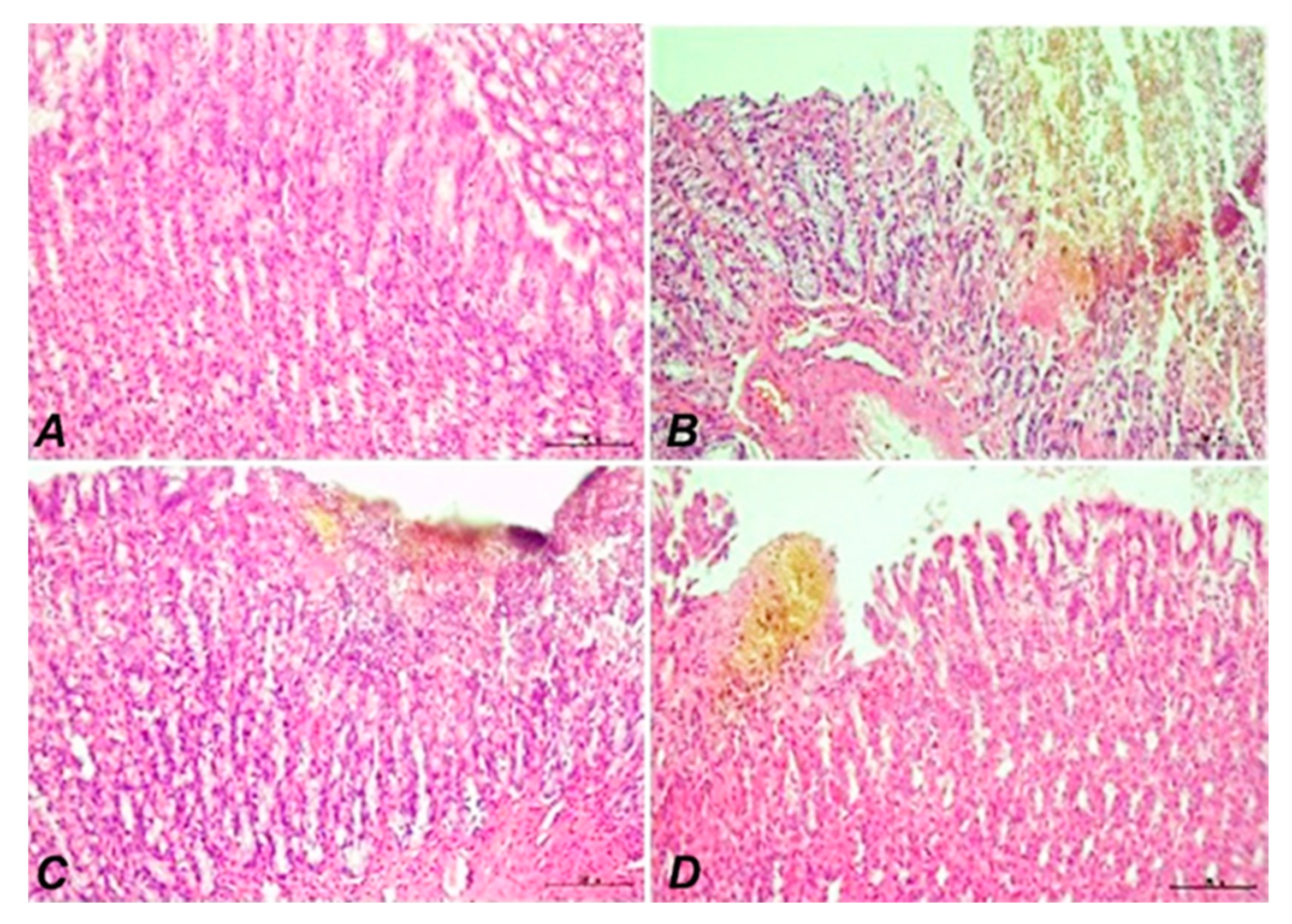
3.2. Histopathological Evaluation of CA Effects
3.3. The Effect of CA on TNF-α Expression
3.4. Biochemical Results
3.4.1. Gastric Tissue Oxidant and Antioxidant Parameters
3.4.2. Inflammation Markers
4. Discussion
5. Conclusions
Author Contributions
Funding
Institutional Review Board Statement
Informed Consent Statement
Data Availability Statement
Acknowledgments

Conflicts of Interest
References
- Hudson, N.; Hawthorne, A.B.; Cole, A.T.; Jones, P.D.; Hawkey, C.J. Mechanisms of gastric and duodenal damage and protection. Hepato-Gastroenterology 1992, 39, 31–36. [Google Scholar]
- Çomaklı, S.; Sevim, Ç.; Kontadakis, G.; Doğan, E.; Taghizadehghalehjoughi, A.; Özkaraca, M.; Aschner, M.; Nikolouzakis, T.K.; Tsatsakis, A. Acute glufosinate-based herbicide treatment in rats leads to increased ocular interleukin-1β and c-Fos protein levels, as well as intraocular pressure. Toxicol. Rep. 2019, 6, 155–160. [Google Scholar] [CrossRef]
- Koyyada, A. Long-term use of proton pump inhibitors as a risk factor for various adverse manifestations. Therapies 2021, 76, 13–21. [Google Scholar] [CrossRef]
- Trifan, A.; Stanciu, C.; Girleanu, I.; Stoica, O.C.; Singeap, A.M.; Maxim, R.; Chiriac, S.A.; Ciobica, A.; Boiculese, L. Proton pump inhibitors therapy and risk of Clostridium difficile infection: Systematic review and meta-analysis. WJG World J. Gastroenterol. 2017, 23, 6500. [Google Scholar] [CrossRef]
- Toh, J.W.T.; Ong, E.; Wilson, R. Hypomagnesaemia associated with long-term use of proton pump inhibitors. Gastroenterol. Rep. 2015, 3, 243–253. [Google Scholar] [CrossRef] [PubMed]
- Kenngott, S.; Olze, R.; Kollmer, M.; Bottheim, H.; Laner, A.; Holinski-Feder, E.; Gross, M. Clopidogrel and proton pump inhibitor (PPI) interaction: Separate intake and a non-omeprazole PPI the solution? Eur. J. Med. Res. 2010, 15, 220–224. [Google Scholar] [CrossRef]
- Lim, I.H.; Lee, S.J.; Shin, B.-S.; Kang, H.G. Ilaprazole and Clopidogrel Resistance in Acute Stroke Patients. Biomedicines 2022, 10, 1366. [Google Scholar] [CrossRef] [PubMed]
- Kantor, E.D.; O’Connell, K.; Du, M.; Mendelsohn, R.B.; Liang, P.S.; Braunstein, L.Z. Ranitidine Use and Cancer Risk: Results From UK Biobank. Gastroenterology 2021, 160, 1856–1859.e5. [Google Scholar] [CrossRef] [PubMed]
- Yeni, Y.; Cakir, Z.; Hacimuftuoglu, A.; Taghizadehghalehjoughi, A.; Okkay, U.; Genc, S.; Yildirim, S.; Saglam, Y.S.; Calina, D.; Tsatsakis, A.; et al. A Selective Histamine H4 Receptor Antagonist, JNJ7777120, Role on glutamate Transporter Activity in Chronic Depression. J. Pers. Med. 2022, 12, 246. [Google Scholar] [CrossRef] [PubMed]
- Sabiu, S.; Garuba, T.; Sunmonu, T.; Ajani, E.; Sulyman, A.; Nurain, I.; Balogun, A. Indomethacin-induced gastric ulceration in rats: Protective roles of Spondias mombin and Ficus exasperata. Toxicol. Rep. 2015, 2, 261–267. [Google Scholar] [CrossRef]
- Choi, E.-Y.; Hwang, H.-J.; Kim, I.-H.; Nam, T.-J. Protective effects of a polysaccharide from Hizikia fusiformis against ethanol toxicity in rats. FCT 2009, 47, 134–139. [Google Scholar] [CrossRef] [PubMed]
- El-Ashmawy, N.E.; Khedr, E.; El-Bahrawy, H.A.; Selim, H.M. Gastroprotective effect of garlic in indomethacin induced gastric ulcer in rats. Nutrition 2016, 32, 849–854. [Google Scholar] [CrossRef] [PubMed]
- Cicek, B.; Genc, S.; Yeni, Y.; Kuzucu, M.; Cetin, A.; Yildirim, S.; Bolat, I.; Kantarci, M.; Hacimuftuoglu, A.; Lazopoulos, G.; et al. Artichoke (Cynara Scolymus) Methanolic Leaf Extract Alleviates Diethylnitrosamine-Induced Toxicity in BALB/c Mouse Brain: Involvement of Oxidative Stress and Apoptotically Related Klotho/PPARγ Signaling. J. Pers. Med. 2022, 12, 2012. [Google Scholar] [CrossRef]
- Allegra, A.; Tonacci, A.; Pioggia, G.; Musolino, C.; Gangemi, S. Anticancer Activity of Rosmarinus officinalis L.: Mechanisms of Action and Therapeutic Potentials. Nutrients 2020, 12, 1739. [Google Scholar] [CrossRef] [PubMed]
- Birtić, S.; Dussort, P.; Pierre, F.-X.; Bily, A.C.; Roller, M. Carnosic acid. Phytochemistry 2015, 115, 9–19. [Google Scholar] [CrossRef] [PubMed]
- Tounekti, T.; Munné-Bosch, S. Enhanced Phenolic Diterpenes Antioxidant Levels Through Non-transgenic Approaches. Crit. Rev. Plant Sci. 2012, 31, 505–519. [Google Scholar] [CrossRef]
- Machado, D.G.; Cunha, M.P.; Neis, V.B.; Balen, G.O.; Colla, A.; Bettio, L.E.; Oliveira, Á.; Pazini, F.L.; Dalmarco, J.B.; Simionatto, E.L.; et al. Antidepressant-like effects of fractions, essential oil, carnosol and betulinic acid isolated from Rosmarinus officinalis L. Food Chem. 2013, 136, 999–1005. [Google Scholar] [CrossRef] [PubMed]
- Satoh, T.; Trudler, D.; Oh, C.-K.; Lipton, S.A. Potential therapeutic use of the rosemary diterpene carnosic acid for Alzheimer’s disease, Parkinson’s disease, and long-COVID through NRF2 activation to counteract the NLRP3 inflammasome. Antioxidants 2022, 11, 124. [Google Scholar] [CrossRef]
- Cuvelier, M.E.; Berset, C.; Richard, H. Antioxidant Constituents in Sage (Salvia officinalis). J. Agric. Food Chem. 1994, 42, 665–669. [Google Scholar] [CrossRef]
- Erkan, N.; Ayranci, G.; Ayranci, E. A kinetic study of oxidation development in sunflower oil under microwave heating: Effect of natural antioxidants. Food Res. Int. 2009, 42, 1171–1177. [Google Scholar] [CrossRef]
- Luis, J.G.; Quiñones, W.; Grillo, T.A.; Kishi, M.P. Diterpenes from the aerial part of Salvia columbariae. Phytochemistry 1994, 35, 1373–1374. [Google Scholar] [CrossRef]
- Munné-Bosch, S.; Alegre, L. Subcellular Compartmentation of the Diterpene Carnosic Acid and Its Derivatives in the Leaves of Rosemary. Plant Physiol. 2001, 125, 1094–1102. [Google Scholar] [CrossRef]
- Genc, S.; Pennisi, M.; Yeni, Y.; Yildirim, S.; Gattuso, G.; Altinoz, M.A.; Taghizadehghalehjoughi, A.; Bolat, I.; Tsatsakis, A.; Hacımüftüoğlu, A.; et al. Potential Neurotoxic Effects of Glioblastoma-Derived Exosomes in Primary Cultures of Cerebellar Neurons via Oxidant Stress and Glutathione Depletion. Antioxidants 2022, 11, 1225. [Google Scholar] [CrossRef] [PubMed]
- Oh, J.; Yu, T.; Choi, S.J.; Yang, Y.; Baek, H.S.; An, S.A.; Kwon, L.K.; Kim, J.; Rho, H.S.; Shin, S.S.; et al. Syk/Src Pathway-Targeted Inhibition of Skin Inflammatory Responses by Carnosic Acid. Mediat. Inflamm. 2012, 2012, 781375. [Google Scholar] [CrossRef] [PubMed]
- Bauer, J.; Kuehnl, S.; Rollinger, J.M.; Scherer, O.; Northoff, H.; Stuppner, H.; Werz, O.; Koeberle, A. Carnosol and Carnosic Acids from Salvia officinalis Inhibit Microsomal Prostaglandin E2Synthase-1. Experiment 2012, 342, 169–176. [Google Scholar] [CrossRef] [PubMed]
- Hosokawa, I.; Hosokawa, Y.; Ozaki, K.; Matsuo, T. Carnosic acid inhibits inflammatory cytokines production in human perio-dontal ligament cells. Immunopharmacol. Immunotoxicol. 2020, 42, 373–378. [Google Scholar] [CrossRef]
- Celebi, D.; Taghizadehghalehjoughi, A.; Baser, S.; Genc, S.; Yilmaz, A.; Yeni, Y.; Yesilyurt, F.; Yildirim, S.; Bolat, I.; Kordali, S.; et al. Effects of boric acid and potassium metaborate on cytokine levels and redox stress parameters in a wound model infected with methicillin-resistant Staphylococcus aureus. Mol. Med. Rep. 2022, 26, 294. [Google Scholar] [CrossRef]
- Chae, I.G.; Yu, M.H.; Im, N.K.; Jung, Y.T.; Lee, J.; Chun, K.S.; Lee, I.S. Effect of Rosemarinus officinalis L. on MMP-9, MCP-1 levels, and cell migration in RAW 264.7 and smooth muscle cells. J. Med. Food 2012, 15, 879–886. [Google Scholar] [CrossRef] [PubMed]
- Estévez, M.; Ventanas, S.; Ramírez, R.; Cava, R. Analysis of Volatiles in Porcine Liver Pâtés with Added Sage and Rosemary Essential Oils by Using SPME-GC-MS. J. Agric. Food Chem. 2004, 52, 5168–5174. [Google Scholar] [CrossRef] [PubMed]
- Guo, Q.; Shen, Z.; Yu, H.; Lu, G.; Yu, Y.; Liu, X.; Zheng, P. Carnosic acid protects against acetaminophen-induced hepatotoxicity by po-tentiating Nrf2-mediated antioxidant capacity in mice. KJPP 2016, 20, 15. [Google Scholar]
- Badr, A.M.; El Orabi, N.F.; Ali, R.A. The implication of the crosstalk of Nrf2 with NOXs, and HMGB1 in ethanol-induced gastric ulcer: Potential protective effect is afforded by Raspberry Ketone. PLoS ONE 2019, 14, e0220548. [Google Scholar] [CrossRef] [PubMed]
- Asma, B.; Ranajoy, C.; Shankar, M. Oxidative stress: An essential factor in the pathogenesis of gastrointestinal mucosal disease. Physiol. Rev. 2014, 94, 329–354. [Google Scholar]
- Yang, N.; Xia, Z.; Shao, N.; Li, B.; Xue, L.; Peng, Y.; Zhi, F.; Yang, Y. Carnosic acid prevents dextran sulfate sodium-induced acute colitis associated with the regulation of the Keap1/Nrf2 pathway. Sci. Rep. 2017, 7, 11032. [Google Scholar]
- Okkay, I.F.; Okkay, U.; Karatas, O. Effects of Rhodiola rosea on indomethacin-induced gastric injury. Dicle Tıp Derg. 2021, 48, 732–739. [Google Scholar] [CrossRef]
- Theoduloz, C.; Pertino, M.W.; Rodríguez, J.A.; Schmeda-Hirschmann, G. Gastroprotective Effect and Cytotoxicity of Carnosic Acid Derivatives. Planta Med. 2011, 77, 882–887. [Google Scholar] [CrossRef] [PubMed]
- Balaha, M.F.; Almalki, Z.S.; Alahmari, A.K.; Ahmed, N.J.; Balaha, M.F. AMPK/mTOR-driven autophagy & Nrf2/HO-1 cascade mod-ulation by amentoflavone ameliorates indomethacin-induced gastric ulcer. Biomed. Pharmacother. 2022, 151, 113200. [Google Scholar] [PubMed]
- Schafer, K.A.; Eighmy, J.; Fikes, J.D.; Halpern, W.G.; Hukkanen, R.R.; Long, G.G.; Meseck, E.K.; Patrick, D.J.; Thibodeau, M.S.; Wood, C.E.; et al. Use of severity grades to characterize histo-pathologic changes. Toxicol. Pathol. 2018, 46, 256–265. [Google Scholar] [CrossRef] [PubMed]
- Erel, O. A novel automated direct measurement method for total antioxidant capacity using a new generation, more stable ABTS radical cation. Clin. Biochem. 2004, 37, 277–285. [Google Scholar] [CrossRef]
- Erel, O. A new automated colorimetric method for measuring total oxidant status. Clin. Biochem. 2005, 38, 1103–1111. [Google Scholar] [CrossRef]
- Khalaf, H.M.; Ahmed, S.M.; Welson, N.N.; Abdelzaher, W.Y. Rivastigmine ameliorates indomethacin experimentally induced gastric mucosal injury via activating α7nAChR with inhibiting oxidative stress and apoptosis. J. Biochem. Mol. Toxicol. 2022, 36, e23147. [Google Scholar] [CrossRef]
- Jafari, A.; Andishfar, N.; Esmaeilzadeh, Z.; Khezri, M.R.; Ghasemnejad-Berenji, M. Gastroprotective effect of topiramate on indo-methacin-induced peptic ulcer in rats: Biochemical and histological analyses. Basic Clin. Pharmacol. Toxicol. 2022, 130, 559–568. [Google Scholar] [CrossRef]
- Simões, S.; Lopes, R.; Campos, M.C.D.; Marruz, M.J.; Da Cruz, M.E.M.; Corvo, L. Animal models of acute gastric mucosal injury: Macroscopic and microscopic evaluation. Anim. Model. Exp. Med. 2019, 2, 121–126. [Google Scholar] [CrossRef]
- Juránek, I.; Nikitovic, D.; Kouretas, D.; Hayes, A.W.; Tsatsakis, A.M. Biological importance of reactive oxygen species in relation to difficulties of treating pathologies involving oxidative stress by exogenous antioxidants. Food Chem. Toxicol. 2013, 61, 240–247. [Google Scholar] [CrossRef] [PubMed]
- Nikitovic, D.; Corsini, E.; Kouretas, D.; Tsatsakis, A.; Tzanakakis, G. ROS-major mediators of extracellular matrix remodeling during tumor progression. Food Chem. Toxicol. 2013, 61, 178–186. [Google Scholar] [CrossRef] [PubMed]
- Corsini, E.; Engin, A.B.; Neagu, M.; Galbiati, V.; Nikitovic, D.; Tzanakakis, G.; Tsatsakis, A.M. Chemical-induced contact allergy: From mech-anistic understanding to risk prevention. Arch. Toxicol. 2018, 92, 3031–3050. [Google Scholar] [CrossRef]
- Rodriguez-Rodriguez, A.; Egea-Guerrero, J.J.; Murillo-Cabezas, F.; Carrillo-Vico, A. Oxidative Stress in Traumatic Brain Injury. Curr. Med. Chem. 2014, 21, 1201–1211. [Google Scholar] [CrossRef]
- Küçükler, S.; Kandemir, F.M.; Yıldırım, S. Protective effect of chrysin on indomethacin induced gastric ulcer in rats: Role of multi-pathway regulation. Biotech. Histochem. 2022, 97, 490–503. [Google Scholar] [CrossRef] [PubMed]
- AlKahtane, A.A.; Ghanem, E.; Bungau, S.G.; Alarifi, S.; Ali, D.; AlBasher, G.; Alkahtani, S.; Aleya, L.; Abdel-Daim, M.M. Carnosic acid alleviates chlorpyrifos-induced oxi-dative stress and inflammation in mice cerebral and ocular tissues. ESPR 2020, 27, 11663–11670. [Google Scholar] [PubMed]
- Donmez, D.B.; Kacar, S.; Bagci, R.; Sahinturk, V. Protective effect of carnosic acid on acrylamide-induced liver toxicity in rats: Mechanistic approach over Nrf2-Keap1 pathway. JBMT 2020, 34, e22524. [Google Scholar] [CrossRef] [PubMed]
- Kim, J.-H.; Jin, S.; Kwon, H.J.; Kim, B.W. Curcumin Blocks Naproxen-Induced Gastric Antral Ulcerations through Inhibition of Lipid Peroxidation and Activation of Enzymatic Scavengers in Rats. J. Microbiol. Biotechnol. 2016, 26, 1392–1397. [Google Scholar] [CrossRef]
- Sahiner, U.M.; Birben, E.; Erzurum, S.; Sackesen, C.; Kalayci, Ö. Oxidative stress in asthma: Part of the puzzle. Pediatr. Allergy Immunol. 2018, 29, 789–800. [Google Scholar] [CrossRef] [PubMed]
- Franco, R.; Sánchez-Olea, R.; Reyes-Reyes, E.M.; Panayiotidis, M.I. Environmental toxicity, oxidative stress and apoptosis: Menage a trois. Mutat. Res.Genet. Toxicol. Environ. Mutagen. 2009, 674, 3–22. [Google Scholar] [CrossRef]
- Lee, D.-Y.; Song, M.-Y.; Kim, E.-H. Role of oxidative stress and Nrf2/keap1 signaling in colorectal cancer: Mechanisms and ther-apeutic perspectives with phytochemicals. Antioxidants 2021, 10, 743. [Google Scholar] [CrossRef]
- Miller, D.M.; Singh, I.N.; Wang, J.A.; Hall, E.D. Administration of the Nrf2–ARE activators sulforaphane and carnosic acid attenuates 4-hydroxy-2-nonenal-induced mitochondrial dysfunction ex vivo. Free. Radic. Biol. Med. 2013, 57, 1–9. [Google Scholar] [CrossRef] [PubMed]
- Rahman, Z.; Dwivedi, D.; Jena, G.B. Ethanol-induced gastric ulcer in rats and intervention of tert-butylhydroquinone: Involvement of Nrf2/HO-1 signalling pathway. Hum. Exp. Toxicol. 2020, 39, 547–562. [Google Scholar] [CrossRef] [PubMed]
- Yu, L.; Li, R.; Liu, W.; Zhou, Y.; Li, Y.; Qin, Y.; Chen, Y.; Xu, Y. Protective Effects of Wheat Peptides against Ethanol-Induced Gastric Mucosal Lesions in Rats: Vasodilation and Anti-Inflammation. Nutrients 2020, 12, 2355. [Google Scholar] [CrossRef]
- Xu, N.; Zhang, C.; Jing, L.; Mou, S.; Cao, X.; Yu, Z. Protective effect and mechanism of rebamipide on NSAIDs associated small bowel injury. Int. Immunopharmacol. 2021, 90, 107136. [Google Scholar] [CrossRef]




| Ulcer Score | Ulcer Index | Preventive Index | |
|---|---|---|---|
| Control | - | - | - |
| IND | 29.00 ± 0.86 a | 2380 | - |
| IND + ESP | 1.45 ± 0.76 b | 140 | %91.39 |
| IND + CA | 1.84 ± 0.69 b | 170 | %87.65 |
| Erosion | Ulceration | Oedema in the Serosa | Bleeding and Hyperemia | |
|---|---|---|---|---|
| Conrtol | - | - | - | - |
| IND | +++ | +++ | +++ | +++ |
| IND + ESP | + | + | + | + |
| IND + CA | + | + | + | + |
| Tnf-α | Nrf-2 | HO-1 | |
|---|---|---|---|
| Conrtol | 20.27 ± 0.18 a | 44.85 ± 1.65 a | 40.12 ± 1.26 a |
| IND | 79.25 ± 2.92 b | 30.41 ± 0.77 b | 25.37 ± 0.49 b |
| IND + ESP | 39.22 ± 1.12 c | 83.71 ± 1.85 c | 77.19 ± 2.17 c |
| IND + CA | 38.93 ± 1.66 c | 80.97 ± 2.19 c | 75.6 ± 2.49 c |
| Groups/Parameters | Control | IND | IND + ESP | IND + CA |
|---|---|---|---|---|
| TAS (U/mg protein) | 1.04 ± 0.03 | 0.66 ± 0.05 * | 1.12 ± 0.12 # | 0.78 ± 0.10 *,# |
| TOS (µmol H2O2 Equiv/L) | 4.39 ± 0.33 | 5.66 ± 0.18 * | 4.76 ± 1.90 # | 4.50 ± 2.56 # |
| CAT (U/mg protein) | 1110.73 ± 207 | 597.10 ± 91.57 *** | 1062.21 ± 128.56 ### | 1081.57 ± 139.27 ### |
| MDA (nmol/mg protein) | 6.89 ± 0.96 | 21.32 ± 1.48 *** | 9.12 ± 1.79 *,### | 6.38 ± 0.09 ### |
| GSH (nmol/mg protein) | 0.28 ± 0.04 | 0.13 ± 0.02 ** | 0.24 ± 0.03 ## | 0.19 ± 0.03 *,# |
| GPx (U/mg protein) | 103.26 ± 12.99 | 46.20 ± 12.23 ** | 73.18 ± 7.24 **,### | 88.21 ± 10.93 **,### |
| Groups/Parameters | Control | IND | IND + ESP | IND + CA |
|---|---|---|---|---|
| IL-1β (nmol/mprotein) | 26.08 ± 2.10 | 39.38 ± 1.74 ** | 26.50 ± 0.81 **,## | 32.52 ± 1.22 **,## |
| TNFα (ng/L) | 64.50 ± 10.41 | 163.7 ± 17.70 *** | 103.3 ± 4.328 ***,### | 152.1 ± 16.28 ***,### |
| IL-6 (U/mg protein) | 21.78 ± 3.15 | 41.63 ± 3.24 ** | 29 ± 3.03 **,### | 36.67 ± 2 **,## |
Disclaimer/Publisher’s Note: The statements, opinions and data contained in all publications are solely those of the individual author(s) and contributor(s) and not of MDPI and/or the editor(s). MDPI and/or the editor(s) disclaim responsibility for any injury to people or property resulting from any ideas, methods, instructions or products referred to in the content. |
© 2023 by the authors. Licensee MDPI, Basel, Switzerland. This article is an open access article distributed under the terms and conditions of the Creative Commons Attribution (CC BY) license (https://creativecommons.org/licenses/by/4.0/).
Share and Cite
Danisman, B.; Cicek, B.; Yildirim, S.; Bolat, I.; Kantar, D.; Golokhvast, K.S.; Nikitovic, D.; Tsatsakis, A.; Taghizadehghalehjoughi, A. Carnosic Acid Ameliorates Indomethacin-Induced Gastric Ulceration in Rats by Alleviating Oxidative Stress and Inflammation. Biomedicines 2023, 11, 829. https://doi.org/10.3390/biomedicines11030829
Danisman B, Cicek B, Yildirim S, Bolat I, Kantar D, Golokhvast KS, Nikitovic D, Tsatsakis A, Taghizadehghalehjoughi A. Carnosic Acid Ameliorates Indomethacin-Induced Gastric Ulceration in Rats by Alleviating Oxidative Stress and Inflammation. Biomedicines. 2023; 11(3):829. https://doi.org/10.3390/biomedicines11030829
Chicago/Turabian StyleDanisman, Betul, Betul Cicek, Serkan Yildirim, Ismail Bolat, Deniz Kantar, Kirill S. Golokhvast, Dragana Nikitovic, Aristidis Tsatsakis, and Ali Taghizadehghalehjoughi. 2023. "Carnosic Acid Ameliorates Indomethacin-Induced Gastric Ulceration in Rats by Alleviating Oxidative Stress and Inflammation" Biomedicines 11, no. 3: 829. https://doi.org/10.3390/biomedicines11030829
APA StyleDanisman, B., Cicek, B., Yildirim, S., Bolat, I., Kantar, D., Golokhvast, K. S., Nikitovic, D., Tsatsakis, A., & Taghizadehghalehjoughi, A. (2023). Carnosic Acid Ameliorates Indomethacin-Induced Gastric Ulceration in Rats by Alleviating Oxidative Stress and Inflammation. Biomedicines, 11(3), 829. https://doi.org/10.3390/biomedicines11030829

