Factors Predicting Type I Gastric Neuroendocrine Neoplasia Recurrence: A Single-Center Study
Abstract
1. Introduction
2. Materials and Methods
2.1. Study Population and Design
2.2. Clinical Evaluation
2.3. Tissue Processing and Immunohistochemistry
2.4. Data Analysis
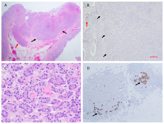
3. Results
4. Discussion
5. Conclusions
Author Contributions
Funding
Institutional Review Board Statement
Informed Consent Statement
Data Availability Statement
Conflicts of Interest
References
- Exarchou, K.; Stephens, N.A.; Moore, A.R.; Howes, N.R.; Pritchard, D.M. New Developments in Gastric Neuroendocrine Neoplasms. Curr. Oncol. Rep. 2022, 24, 77–88. [Google Scholar] [CrossRef]
- Campana, D.; Ravizza, D.; Ferolla, P.; Faggiano, A.; Grimaldi, F.; Albertelli, M.; Berretti, D.; Castellani, D.; Cacciari, G.; Fazio, N.; et al. Clinical management of patients with gastric neuroendocrine neoplasms associated with chronic atrophic gastritis: A retrospective, multicentre study. Endocrine 2016, 51, 131–139. [Google Scholar] [CrossRef]
- Kaltsas, G.; Grozinsky-Glasberg, S.; Alexandraki, K.I.; Thomas, D.; Tsolakis, A.V.; Gross, D.; Grossman, A.B. Current concepts in the diagnosis and management of type 1 gastric neuroendocrine neoplasms. Clin. Endocrinol. 2014, 81, 157–168. [Google Scholar] [CrossRef]
- Ellis, L.; Shale, M.J.; Coleman, M.P. Carcinoid tumors of the gastrointestinal tract: Trends in incidence in England since 1971. Am. J. Gastroenterol. 2010, 105, 2563–2569. [Google Scholar] [CrossRef]
- Kidd, M.; Gustafsson, B.; Modlin, I.M. Gastric Carcinoids (Neuroendocrine Neoplasms). Gastroenterol. Clin. N. Am. 2013, 42, 381–397. [Google Scholar] [CrossRef]
- Granberg, D.; Wilander, E.; Stridsberg, M.; Granerus, G.; Skogseid, B.; Öberg, K. Clinical symptoms, hormone profiles, treatment, and prognosis in patients with gastric carcinoids. Gut 1998, 43, 223–228. [Google Scholar] [CrossRef]
- Hu, P.; Bai, J.; Liu, M.; Xue, J.; Chen, T.; Li, R.; Kuai, X.; Zhao, H.; Li, X.; Tian, Y.; et al. Trends of incidence and prognosis of gastric neuroendocrine neoplasms: A study based on SEER and our multicenter research. Gastric. Cancer 2020, 23, 591–599. [Google Scholar] [CrossRef]
- Niederle, M.B.; Hackl, M.; Kaserer, K.; Niederle, B. Gastroenteropancreatic neuroendocrine tumours: The current incidence and staging based on the WHO and European Neuroendocrine Tumour Society classification: An analysis based on prospectively collected parameters. Endocr. Relat. Cancer 2010, 17, 909–918. [Google Scholar] [CrossRef]
- Exarchou, K.; Howes, N.; Pritchard, D.M. Systematic review: Management of localised low-grade upper gastrointestinal neuroendocrine tumours. Aliment. Pharmacol. Ther. 2020, 51, 1247–1267. [Google Scholar] [CrossRef]
- Yao, J.C.; Hassan, M.; Phan, A.; Dagohoy, C.; Leary, C.; Mares, J.E.; Abdalla, E.K.; Fleming, J.B.; Vauthey, J.N.; Rashid, A.; et al. One hundred years after “carcinoid”: Epidemiology of and prognostic factors for neuroendocrine tumors in 35,825 cases in the United States. J. Clin. Oncol. 2008, 26, 3063–3072. [Google Scholar] [CrossRef]
- Delle Fave, G.; O’Toole, D.; Sundin, A.; Taal, B.; Ferolla, P.; Ramage, J.K.; Ferone, D.; Ito, T.; Weber, W.; Zheng-Pei, Z.; et al. Vienna Consensus Conference participants. ENETS Consensus Guidelines Update for Gastroduodenal Neuroendocrine Neoplasms. Neuroendocrinology 2016, 103, 119–124. [Google Scholar] [CrossRef]
- Merola, E.; Sbrozzi-Vanni, A.; Panzuto, F.; D’Ambra, G.; Di Giulio, E.; Pilozzi, E.; Capruso, G.; Lahner, E.; Bordi, C.; Annibale, B.; et al. Type I gastric carcinoids: A prospective study on endoscopic management and recurrence rate. Neuroendocrinology 2012, 95, 207–213. [Google Scholar] [CrossRef]
- Daskalakis, K.; Tsoli, M.; Karapanagioti, A.; Chrysochoou, M.; Thomas, D.; Sougioultzis, S.; Karoumpalis, I.; Kaltsas, G.A.; Alexandraki, K.I. Recurrence and metastatic potential in Type 1 gastric neuroendocrine neoplasms. Clin. Endocrinol. 2019, 91, 534–543. [Google Scholar] [CrossRef]
- Noh, J.H.; Kim, D.H.; Yoon, H.; Hsing, L.C.; Na, H.K.; Ahn, J.Y.; Lee, J.H.; Jung, K.W.; Choi, K.D.; Song, H.J.; et al. Clinical Outcomes of Endoscopic Treatment for Type 1 Gastric Neuroendocrine Tumor. J. Gastrointest. Surg. 2021, 25, 2495–2502. [Google Scholar] [CrossRef]
- Esposito, G.; Cazzato, M.; Rinzivillo, M.; Pilozzi, E.; Lahner, E.; Annibale, B.; Panzuto, F. Management of type-I gastric neuroendocrine neoplasms: A 10-years prospective single centre study. Dig. Liver Dis. 2021, 54, 890–895. [Google Scholar] [CrossRef]
- Hanna, A.; Kim-Kiselak, C.; Tang, R.; Metz, D.C.; Yang, Z.; DeMatteo, R.; Fraker, D.L.; Roses, R.E. Gastric Neuroendocrine Tumors: Reappraisal of Type in Predicting Outcome. Ann. Surg. Oncol. 2021, 28, 8838–8846. [Google Scholar] [CrossRef]
- Tsolakis, A.V.; Ragkousi, A.; Vujasinovic, M.; Kaltsas, G.; Daskalakis, K. Gastric neuroendocrine neoplasms type 1: A systematic review and meta-analysis. World J. Gastroenterol. 2019, 25, 5376–5387. [Google Scholar] [CrossRef]
- Chen, W.C.; Warner, R.R.P.; Ward, S.C.; Harpaz, N.; Divino, C.M.; Itzkowitz, S.H.; Kim, M.L. Management and disease outcome of type I gastric neuroendocrine tumors: The Mount Sinai experience. Dig. Dis. Sci. 2015, 60, 996–1003. [Google Scholar] [CrossRef]
- Panzuto, F.; Campana, D.; Massironi, S.; Faggiano, A.; Rinzivillo, M.; Lamberti, G.; Sciola, V.; Lahner, E.; Manuzzi, L.; Colao, A.; et al. Tumour type and size are prognostic factors in gastric neuroendocrine neoplasia: A multicentre retrospective study. Dig. Liver Dis. 2019, 51, 1456–1460. [Google Scholar] [CrossRef]
- Trinh, V.Q.; Shi, C.; Ma, C. Gastric neuroendocrine tumours from long-term proton pump inhibitor users are indolent tumours with good prognosis. Histopathology 2020, 77, 865–876. [Google Scholar] [CrossRef]
- Pape, U.F.; Berndt, U.; Müller-Nordhorn, J.; Böhmig, M.; Roll, S.; Koch, M.; Willich, S.N.; Wiedenmann, B. Prognostic factors of long-term outcome in gastroenteropancreatic neuroendocrine tumours. Endocr. Relat. Cancer 2008, 15, 1083–1097. [Google Scholar] [CrossRef]
- Grozinsky-Glasberg, S.; Thomas, D.; Strosberg, J.R.; Pape, U.F.; Felder, S.; Tsolakis, A.V.; Alexandraki, K.I.; Fraenkel, M.; Saiegh, L.; Reissman, P.; et al. Metastatic type 1 gastric carcinoid: A real threat or just a myth? World J. Gastroenterol. 2013, 19, 8687–8695. [Google Scholar] [CrossRef]
- Thomas, D.; Tsolakis, A.V.; Grozinsky-Glasberg, S.; Fraenkel, M.; Alexandraki, K.; Sougioultzis, S.; Gross, D.J.; Kaltsas, G. Long-term follow-up of a large series of patients with type 1 gastric carcinoid tumors: Data from a multicenter study. Eur. J. Endocrinol. 2013, 168, 185–193. [Google Scholar] [CrossRef]
- Khan, M.S.; Luong, T.V.; Watkins, J.; Toumpanakis, C.; Caplin, M.E.; Meyer, T. A comparison of Ki-67 and mitotic count as prognostic markers for metastatic pancreatic and midgut neuroendocrine neoplasms. Br. J. Cancer 2013, 108, 1838–1845. [Google Scholar] [CrossRef]
- Govind, D.; Jen, K.Y.; Matsukuma, K.; Gao, G.; Olson, K.A.; Gui, D.; Wilding, G.E.; Border, S.P.; Sarder, P. Improving the accuracy of gastrointestinal neuroendocrine tumor grading with deep learning. Sci. Rep. 2020, 10, 11064. [Google Scholar] [CrossRef]
- Köseoğlu, H.; Duzenli, T.; Sezikli, M. Gastric neuroendocrine neoplasms: A review. World J. Clin. Cases 2021, 9, 7973–7985. [Google Scholar] [CrossRef]
- Ekeblad, S.; Skogseid, B.; Dunder, K.; Oberg, K.; Eriksson, B. Prognostic factors and survival in 324 patients with pancreatic endocrine tumor treated at a single institution. Clin. Cancer Res. 2008, 14, 7798–7803. [Google Scholar] [CrossRef]
- Pape, U.F.; Jann, H.; Müller-Nordhorn, J.; Bockelbrink, A.; Berndt, U.; Willich, S.N.; Koch, M.; Röcken, C.; Rindi, G.; Wiedermann, B. Prognostic relevance of a novel TNM classification system for upper gastroenteropancreaticneuroendocrine tumors. Cancer 2008, 113, 256–265. [Google Scholar] [CrossRef]
- Caplin, M.E.; Baudin, E.; Ferolla, P.; Filosso, P.; Garcia-Yuste, M.; Lim, E.; Oberg, K.; Pelosi, G.; Perren, A.; Rossi, R.E.; et al. Pulmonary neuroendocrine (carcinoid) tumors: European Neuroendocrine Tumor Society expert consensus and recommendations for best practice for typical and atypical pulmonary carcinoids. Ann. Oncol. 2015, 26, 1604–1620. [Google Scholar] [CrossRef]
- Magi, L.; Mazzuca, F.; Rinzivillo, M.; Arrivi, G.; Pilozzi, E.; Prosperi, D.; Iannicelli, E.; Mercantini, P.; Rossi, M.; Pizzichini, P.; et al. Multidisciplinary Management of Neuroendocrine Neoplasia: A Real-World Experience from a Referral Center. J. Clin. Med. 2019, 8, 910. [Google Scholar] [CrossRef]
- Boyce, M.; Moore, A.R.; Sagatun, L.; Parsons, B.N.; Varro, A.; Campbell, F.; Fossmark, R.; Waldum, H.L.; Pritchard, D.M. Netazepide, a gastrin/cholecystokinin-2 receptor antagonist, can eradicate gastric neuroendocrine tumours in patients with autoimmune chronic atrophic gastritis. Br. J. Clin. Pharmacol. 2017, 83, 466–475. [Google Scholar] [CrossRef]


| Characteristic | Median (IQR) 1 | Range (min.–max.) |
|---|---|---|
| Age at diagnosis (years) | 63 (52–68) | 35–75 |
| Tumor size (mm) | 7 (5–13) | 2–30 |
| Mitotic count (IQR, SD 1) | 0 (0–1, ±1.65) | 0–8 |
| Ki-67 index | 1% (1–5%) | 0–20% |
| Gastrin 2 (ng/L) | 598 (350–1100) | 107–2893 |
| Chromogranin A 3 (ng/mL) | 299 (171–509) | 42–4820 |
| n (%) | ||
| Gender | ||
| Female | 19 (70.4) | |
| Male | 8 (29.8) | |
| Grade | ||
| 1 | 18 (66.7) | |
| 2 | 9 (33.3) | |
| Invasiveness of tumor | ||
| Tumor invading lamina propria or submucosa | 23 (85.2) | |
| Tumor invading the muscularis propria | 4 (14.8) | |
| Procedure | ||
| Endoscopic US 1 performed | 8 (29.6) | |
| Endoscopic resection | 21 (77.8) | |
| Surgical resection | 6 (22.2) | |
| Metastatic disease | 1 (3.7) | |
| Recurrences | 13 (48.15) |
| No Recurrence (n = 14) | Recurrence (n = 13) | p | |
|---|---|---|---|
| Age (years) (mean ± SD) | 62.2 ± 11.6 | 57.0 ± 11.3 | p = 0.35 |
| Gender, n (%) | p = 0.68 | ||
| Female | 9 (64.3%) | 10 (76.9%) | |
| Male | 5 (35.7%) | 3 (23.1%) | |
| Mitotic count, n (%) | p = 0.21 | ||
| 0 | 8 (57%) | 11 (85%) | |
| ≥1 | 6 (43%) | 2 (15%) | |
| 0–1 | 10 (71%) | 12 (92%) | p = 0.33 |
| ≥2 | 4 (29%) | 1 (8%) | |
| Ki-67 index, n (%) | p = 0.035 | ||
| <3% | 7 (50%) | 12 (92%) | |
| ≥3% | 7 (50%) | 1 (8%) | |
| Ki-67 index * | 3.5% [1–8.5] | 1% [1–1] | |
| Gastrin level * (ng/L) | 394 [195–925] | 788 [569–1000] | p = 0.047 |
| Chromogranin A level * (ng/mL) | 422 [197–633] | 258 [137–494] | p = 0.34 |
| Size of tumor (mm), n (%) | p = 0.38 | ||
| <10 | 9 (64%) | 11 (85%) | |
| ≥10 | 5 (34%) | 2 (15%) | |
| Size of tumor *, (mm) | 8 [4.7–21.2] | 7 [5–8] | p = 0.26 |
| Invasiveness of tumor | |||
| Tumor invading lamina propria or submucosa | 11 (78.6%) | 12 (92.3%) | p = 1.00 |
| Tumor invading the muscularis propria | 3 (21.4%) | 1 (7.7%) | |
| Resection approach | p = 0.17 | ||
| Endoscopy | 9 (64%) | 12 (92%) | |
| Surgery | 5 (36%) | 1 (8%) | |
| Follow up * (months) | 41.5 [24–73.75] | 41 [24–70.5] | p = 0.94 |
| Study | Recurrence Rate | Follow Up (Median) | Factors Correlated with Recurrence |
|---|---|---|---|
| Merola et al., 2012 [12] | 21/33 (63.6%) | 46 months | No risk factors were identified |
| Daskalakis et al., 2019 [13] | 44/84 (52%) | 45 months | High serum gastrin levels |
| Noh et al., 2021 [14] | 5/103 (4.9%) | 63 months | Incomplete endoscopic resection |
| Esposito et al., 2022 [15] | 37/65 (56.9%) | 48 months | Presence of multiple gNENs |
| Hanna et al., 2021 [16] | 48/74 (64.9%) | 63.7 months | Lesions 5 mm or larger |
| Tsolakis et al., 2019 [17] | Meta analysis of 8 studies: 75/422 (17.8%) | 47–87 months | Non-surgical resection |
Disclaimer/Publisher’s Note: The statements, opinions and data contained in all publications are solely those of the individual author(s) and contributor(s) and not of MDPI and/or the editor(s). MDPI and/or the editor(s) disclaim responsibility for any injury to people or property resulting from any ideas, methods, instructions or products referred to in the content. |
© 2023 by the authors. Licensee MDPI, Basel, Switzerland. This article is an open access article distributed under the terms and conditions of the Creative Commons Attribution (CC BY) license (https://creativecommons.org/licenses/by/4.0/).
Share and Cite
Sheikh-Ahmad, M.; Saiegh, L.; Shalata, A.; Bejar, J.; Kreizman-Shefer, H.; Sirhan, M.F.; Matter, I.; Swaid, F.; Laniado, M.; Mubariki, N.; et al. Factors Predicting Type I Gastric Neuroendocrine Neoplasia Recurrence: A Single-Center Study. Biomedicines 2023, 11, 828. https://doi.org/10.3390/biomedicines11030828
Sheikh-Ahmad M, Saiegh L, Shalata A, Bejar J, Kreizman-Shefer H, Sirhan MF, Matter I, Swaid F, Laniado M, Mubariki N, et al. Factors Predicting Type I Gastric Neuroendocrine Neoplasia Recurrence: A Single-Center Study. Biomedicines. 2023; 11(3):828. https://doi.org/10.3390/biomedicines11030828
Chicago/Turabian StyleSheikh-Ahmad, Mohammad, Leonard Saiegh, Anan Shalata, Jacob Bejar, Hila Kreizman-Shefer, Majd F. Sirhan, Ibrahim Matter, Forat Swaid, Monica Laniado, Nama Mubariki, and et al. 2023. "Factors Predicting Type I Gastric Neuroendocrine Neoplasia Recurrence: A Single-Center Study" Biomedicines 11, no. 3: 828. https://doi.org/10.3390/biomedicines11030828
APA StyleSheikh-Ahmad, M., Saiegh, L., Shalata, A., Bejar, J., Kreizman-Shefer, H., Sirhan, M. F., Matter, I., Swaid, F., Laniado, M., Mubariki, N., Rainis, T., Rosenblatt, I., Yovanovich, E., & Agbarya, A. (2023). Factors Predicting Type I Gastric Neuroendocrine Neoplasia Recurrence: A Single-Center Study. Biomedicines, 11(3), 828. https://doi.org/10.3390/biomedicines11030828

