Splice-Switching Antisense Oligonucleotides Targeting Extra- and Intracellular Domains of Epidermal Growth Factor Receptor in Cancer Cells
Abstract
1. Introduction
2. Materials and Methods
2.1. Antisense Oligonucleotide Design and Synthesis
2.2. Cell Lines and ASO Transfection
2.3. RNA Extraction and PCR
2.4. Sequencing Analysis
2.5. Western Blotting
2.6. Synergistic Effect of ASOs Targeting the EGFR Tyrosine Domain-Encoding Transcript Sequence
2.7. Migration Assay
2.8. Statistical Analysis
3. Results
3.1. Antisense Oligonucleotide Design and Synthesis
3.2. Antisense Oligonucleotide Screening for Splice Modulation of EGFR
3.3. Sequencing of ASO-Induced EGFR Transcript Products
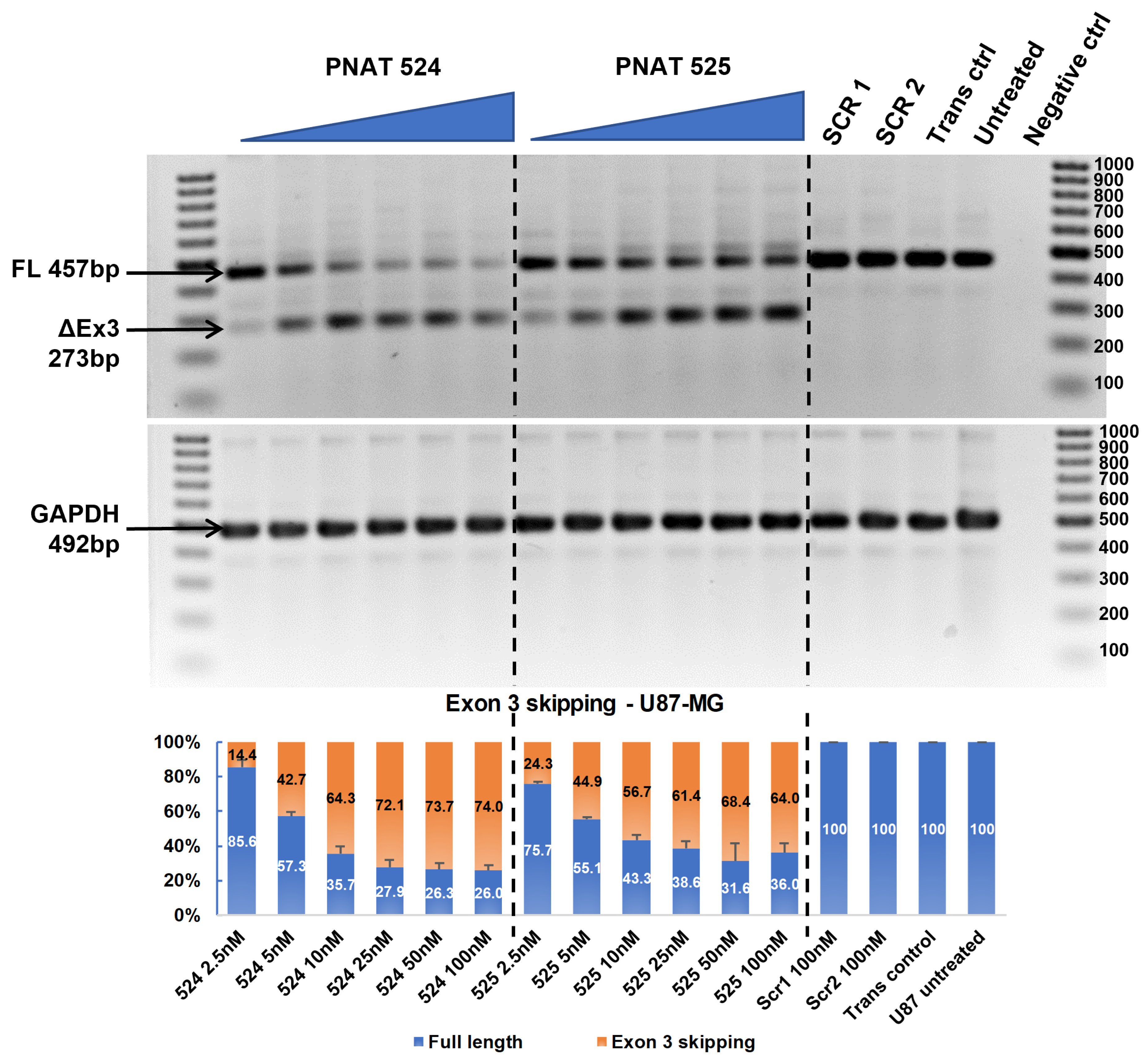
3.4. Dose-Dependent ASO-Induced EGFR Exon 3 Skipping
3.5. Dose-Dependent ASO-Induced EGFR Exon 18 Skipping
3.6. Dose-Dependent ASO-Induced EGFR Exon 21 Skipping
3.7. Synergistic Effect of Tyrosine Kinase Domain-Targeting ASOs
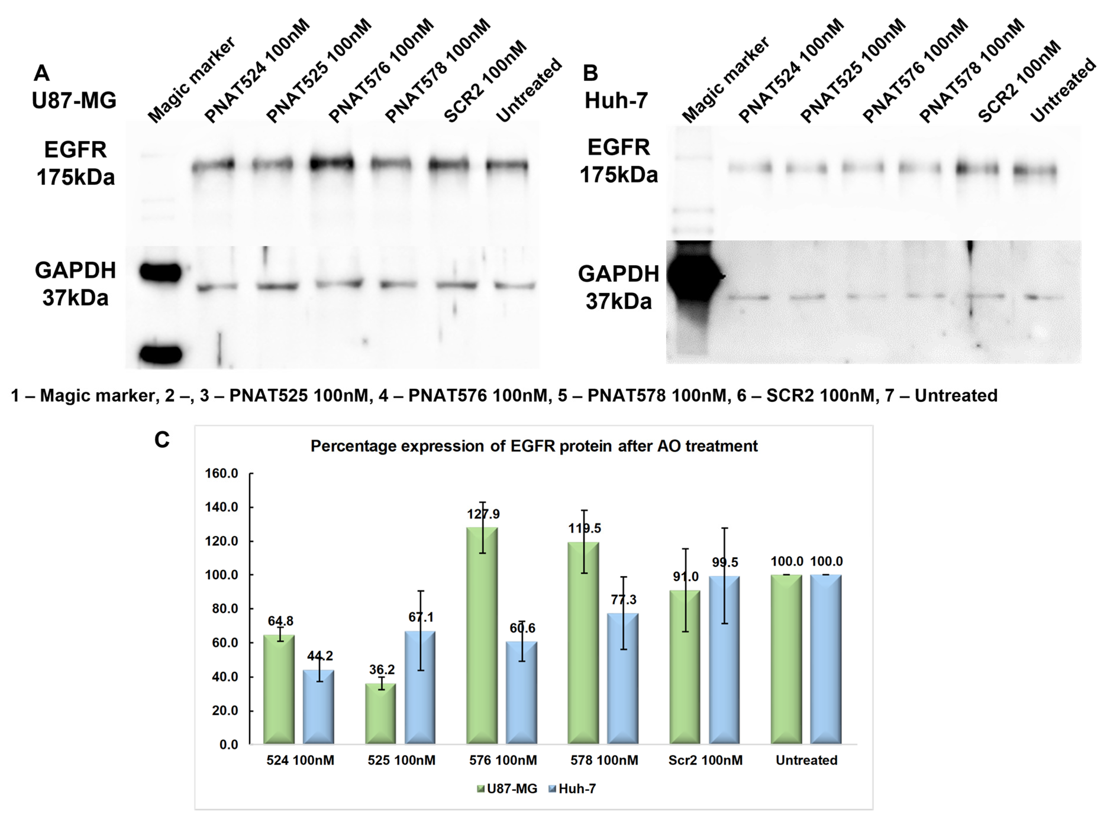
3.8. Effect of Exon-Skipping ASOs on EGFR Protein Expression
3.9. Effect of Exon-Skipping ASOs on Cancer Cell Migration
4. Discussion
5. Conclusions
Supplementary Materials
Author Contributions
Funding
Institutional Review Board Statement
Informed Consent Statement
Data Availability Statement
Conflicts of Interest
References
- Laskin, J.J.; Sandler, A.B. Epidermal growth factor receptor: A promising target in solid tumours. Cancer Treat. Rev. 2004, 30, 1–17. [Google Scholar] [CrossRef]
- Boch, T.; Köhler, J.; Janning, M.; Loges, S. Targeting the EGF receptor family in non-small cell lung cancer-increased complexity and future perspectives. Cancer Biol. Med. 2022, 19, 1543–1564. [Google Scholar] [CrossRef]
- Thomas, R.; Weihua, Z. Rethink of EGFR in Cancer With Its Kinase Independent Function on Board. Front. Oncol. 2019, 9, 800. [Google Scholar] [CrossRef]
- Pan, P.C.; Magge, R.S. Mechanisms of EGFR resistance in glioblastoma. Int. J. Mol. Sci. 2020, 21, 8471. [Google Scholar] [CrossRef] [PubMed]
- Wang, H.; Jiang, H.; Zhou, M.; Xu, Z.; Liu, S.; Shi, B.; Yao, X.; Yao, M.; Gu, J.; Li, Z. Epidermal growth factor receptor vIII enhances tumorigenicity and resistance to 5-fluorouracil in human hepatocellular carcinoma. Cancer Lett. 2009, 279, 30–38. [Google Scholar] [CrossRef]
- Gan, H.K.; Cvrljevic, A.N.; Johns, T.G. The epidermal growth factor receptor variant III (EGFRvIII): Where wild things are altered. FEBS J. 2013, 280, 5350–5370. [Google Scholar] [CrossRef] [PubMed]
- Ou, C.; Wu, F.-X.; Luo, Y.; Cao, J.; Zhao, Y.; Yuan, W.-P.; Li, Y.; Su, J.-J. Expression and significance of epidermal growth factor receptor variant type III in hepatocellular carcinoma. Ai Zheng = Aizheng = Chin. J. Cancer 2005, 24, 166–169. [Google Scholar]
- Ge, H.; Gong, X.; Tang, C.K. Evidence of high incidence of EGFRvIII expression and coexpression with EGFR in human invasive breast cancer by laser capture microdissection and immunohistochemical analysis. Int. J. Cancer 2002, 98, 357–361. [Google Scholar] [CrossRef] [PubMed]
- Uribe, M.L.; Marrocco, I.; Yarden, Y. EGFR in cancer: Signaling mechanisms, drugs, and acquired resistance. Cancers 2021, 13, 2748. [Google Scholar] [CrossRef] [PubMed]
- Ayati, A.; Moghimi, S.; Salarinejad, S.; Safavi, M.; Pouramiri, B.; Foroumadi, A. A review on progression of epidermal growth factor receptor (EGFR) inhibitors as an efficient approach in cancer targeted therapy. Bioorg. Chem. 2020, 99, 103811. [Google Scholar] [CrossRef]
- Abourehab, M.A.S.; Alqahtani, A.M.; Youssif, B.G.M.; Gouda, A.M. Globally approved EGFR inhibitors: Insights into their syntheses, target kinases, biological activities, receptor interactions, and metabolism. Molecules 2021, 26, 6677. [Google Scholar] [CrossRef]
- Xu, M.J.; Johnson, D.E.; Grandis, J.R. EGFR-targeted therapies in the post-genomic era. Cancer Metastasis Rev. 2017, 36, 463–473. [Google Scholar] [CrossRef] [PubMed]
- Fala, L. Portrazza (Necitumumab), an IgG1 monoclonal antibody, FDA approved for advanced squamous non-small-cell lung cancer. Am. Health Drug Benefits 2016, 9, 119–122. [Google Scholar] [PubMed]
- Cai, W.Q.; Zeng, L.S.; Wang, L.F.; Wang, Y.Y.; Cheng, J.T.; Zhang, Y.; Han, Z.W.; Zhou, Y.; Huang, S.L.; Wang, X.W.; et al. The latest battles between EGFR monoclonal antibodies and resistant tumor cells. Front. Oncol. 2020, 10, 1249. [Google Scholar] [CrossRef] [PubMed]
- An, Z.; Aksoy, O.; Zheng, T.; Fan, Q.W.; Weiss, W.A. Epidermal growth factor receptor and EGFRvIII in glioblastoma: Signaling pathways and targeted therapies. Oncogene 2018, 37, 1561–1575. [Google Scholar] [CrossRef] [PubMed]
- Padfield, E.; Ellis, H.P.; Kurian, K.M. Current therapeutic advances targeting EGFR and EGFRvIII in glioblastoma. Front. Oncol. 2015, 5, 5. [Google Scholar] [CrossRef] [PubMed]
- Halatsch, M.E.; Schmidt, U.; Behnke-Mursch, J.; Unterberg, A.; Wirtz, C.R. Epidermal growth factor receptor inhibition for the treatment of glioblastoma multiforme and other malignant brain tumours. Cancer Treat. Rev. 2006, 32, 74–89. [Google Scholar] [CrossRef]
- Raguraman, P.; Balachandran, A.A.; Chen, S.; Diermeier, S.D.; Veedu, R.N. Antisense oligonucleotide-mediated splice switching: Potential therapeutic approach for cancer mitigation. Cancers 2021, 13, 5555. [Google Scholar] [CrossRef]
- Rinaldi, C.; Wood, M.J.A. Antisense oligonucleotides: The next frontier for treatment of neurological disorders. Nat. Rev. Neurol. 2018, 14, 9–21. [Google Scholar] [CrossRef]
- Bennett, C.F.; Swayze, E.E. RNA targeting therapeutics: Molecular mechanisms of antisense oligonucleotides as a therapeutic platform. Annu. Rev. Pharmacol. Toxicol. 2010, 50, 259–293. [Google Scholar] [CrossRef]
- Kher, G.; Trehan, S.; Misra, A. Antisense oligonucleotides and RNA interference. In Challenges in Delivery of Therapeutic Genomics and Proteomics; Elsevier: Amsterdam, The Netherlands, 2011; pp. 325–386. [Google Scholar]
- Lundin, K.E.; Gissberg, O.; Smith, C.I. Oligonucleotide therapies: The past and the present. Hum. Gene Ther. 2015, 26, 475–485. [Google Scholar] [CrossRef] [PubMed]
- Bauman, J.; Jearawiriyapaisarn, N.; Kole, R. Therapeutic potential of splice-switching oligonucleotides. Oligonucleotides 2009, 19, 1–13. [Google Scholar] [CrossRef] [PubMed]
- Li, D.; Mastaglia, F.L.; Fletcher, S.; Wilton, S.D. Precision medicine through antisense oligonucleotide-mediated exon skipping. Trends Pharmacol. Sci. 2018, 39, 982–994. [Google Scholar] [CrossRef]
- Siva, K.; Covello, G.; Denti, M.A. Exon-skipping antisense oligonucleotides to correct missplicing in neurogenetic diseases. Nucleic Acid Ther. 2014, 24, 69–86. [Google Scholar] [CrossRef] [PubMed]
- Black, A.J.; Gamarra, J.R.; Giudice, J. More than a messenger: Alternative splicing as a therapeutic target. Biochim. Biophys. Acta Gene Regul. Mech. 2019, 1862, 194395. [Google Scholar] [CrossRef] [PubMed]
- Bao, T.L.; Veedu, R.N.; Fletcher, S.; Wilton, S.D. Antisense oligonucleotide development for the treatment of muscular dystrophies. Expert Opin. Orphan Drugs 2016, 4, 139–152. [Google Scholar] [CrossRef]
- Roberts, T.C.; Langer, R.; Wood, M.J.A. Advances in oligonucleotide drug delivery. Nat. Rev. Drug Discov. 2020, 19, 673–694. [Google Scholar] [CrossRef]
- Igarashi, J.; Niwa, Y.; Sugiyama, D. Research and development of oligonucleotide therapeutics in Japan for rare diseases. Future Rare Dis. 2022, 2, FRD19. [Google Scholar] [CrossRef]
- Miettinen, P.J.; Berger, J.E.; Meneses, J.; Phung, Y.; Pedersen, R.A.; Werb, Z.; Derynck, R. Epithelial immaturity and multiorgan failure in mice lacking epidermal growth factor receptor. Nature 1995, 376, 337–341. [Google Scholar] [CrossRef]
- Leu, M.; Bellmunt, E.; Schwander, M.; Fariñas, I.; Brenner, H.R.; Müller, U. Erbb2 regulates neuromuscular synapse formation and is essential for muscle spindle development. Development 2003, 130, 2291–2301. [Google Scholar] [CrossRef]
- Chakravarthy, M.; Veedu, R.N. BACE1 inhibition using 2′-OMePS steric blocking antisense oligonucleotides. Genes 2019, 10, 705. [Google Scholar] [CrossRef] [PubMed]
- Wilton, S.D.; Lim, L.; Dye, D.; Laing, N. Bandstab: A PCR-based alternative to cloning PCR products. BioTechniques 1997, 22, 642–645. [Google Scholar] [CrossRef] [PubMed]
- The UniProt Consortium. UniProt: The universal protein knowledgebase in 2021. Nucleic Acids Res. 2021, 49, D480–D489. [Google Scholar] [CrossRef] [PubMed]
- Desmet, F.-O.; Hamroun, D.; Lalande, M.; Collod-Béroud, G.; Claustres, M.; Béroud, C. Human Splicing Finder: An online bioinformatics tool to predict splicing signals. Nucleic Acids Res. 2009, 37, e67. [Google Scholar] [CrossRef] [PubMed]
- Liang, C.C.; Park, A.Y.; Guan, J.L. In vitro scratch assay: A convenient and inexpensive method for analysis of cell migration in vitro. Nat. Protoc. 2007, 2, 329–333. [Google Scholar] [CrossRef] [PubMed]
- Yewale, C.; Baradia, D.; Vhora, I.; Patil, S.; Misra, A. Epidermal growth factor receptor targeting in cancer: A review of trends and strategies. Biomaterials 2013, 34, 8690–8707. [Google Scholar] [CrossRef]
- Chakravarthy, M.; Chen, S.; Wang, T.; Veedu, R.N. Development of novel chemically modified nucleic acid molecules for efficient inhibition of human MAPT gene expression. Genes 2020, 11, 667. [Google Scholar] [CrossRef]
- Le, B.T.; Murayama, K.; Shabanpoor, F.; Asanuma, H.; Veedu, R.N. Antisense oligonucleotide modified with serinol nucleic acid (SNA) induces exon skipping in mdx myotubes. RSC Adv. 2017, 7, 34049–34052. [Google Scholar] [CrossRef]
- Chen, S.; Le, B.T.; Chakravarthy, M.; Kosbar, T.R.; Veedu, R.N. Systematic evaluation of 2′-Fluoro modified chimeric antisense oligonucleotide-mediated exon skipping in vitro. Sci. Rep. 2019, 9, 6078. [Google Scholar] [CrossRef]
- Le, B.T.; Kosbar, T.R.; Veedu, R.N. Novel disulfide-bridged bioresponsive antisense oligonucleotide induces efficient splice modulation in muscle myotubes in vitro. ACS Omega 2020, 5, 18035–18039. [Google Scholar] [CrossRef]
- Raguraman, P.; Wang, T.; Ma, L.; Jorgensen, P.T.; Wengel, J.; Veedu, R.N. Alpha-l-locked nucleic acid-modified antisense oligonucleotides induce efficient splice modulation in vitro. Int. J. Mol. Sci. 2020, 21, 2434. [Google Scholar] [CrossRef]
- Le, B.T.; Agarwal, S.; Veedu, R.N. Evaluation of DNA segments in 2′-modified RNA sequences in designing efficient splice switching antisense oligonucleotides. RSC Adv. 2021, 11, 14029–14035. [Google Scholar] [CrossRef] [PubMed]
- Coulson, J.M.; Poyner, D.R.; Chantry, A.; Irwin, W.J.; Akhtar, S. A nonantisense sequence-selective effect of a phosphorothioate oligodeoxynucleotide directed against the epidermal growth factor receptor in A431 cells. Mol. Pharmacol. 1996, 50, 314. [Google Scholar] [PubMed]
- Rubin Grandis, J.; Chakraborty, A.; Melhem, M.F.; Zeng, Q.; Tweardy, D.J. Inhibition of epidermal growth factor receptor gene expression and function decreases proliferation of head and neck squamous carcinoma but not normal mucosal epithelial cells. Oncogene 1997, 15, 409–416. [Google Scholar] [CrossRef] [PubMed][Green Version]
- Witters, L.; Kumar, R.; Mandal, M.; Bennett, C.F.; Miraglia, L.; Lipton, A. Antisense oligonucleotides to the epidermal growth factor receptor. Breast Cancer Res. Treat. 1999, 53, 41–50. [Google Scholar] [CrossRef] [PubMed]
- He, Y.; Zhou, J.; Wu, J.-S.; Dou, K.-F. Inhibitory effects of EGFR antisense oligodeox ynucleotide in human colorectal cancer cell line. World J. Gastroenterol. 2000, 6, 747–749. [Google Scholar] [CrossRef] [PubMed]
- Moroni, M.C.; Willingham, M.C.; Beguinot, L. EGF-R antisense RNA blocks expression of the epidermal growth factor receptor and suppresses the transforming phenotype of a human carcinoma cell line. J. Biol. Chem. 1992, 267, 2714–2722. [Google Scholar] [CrossRef] [PubMed]
- Normanno, N.; Bianco, C.; Damiano, V.; de Angelis, E.; Selvam, M.P.; Grassi, M.; Magliulo, G.; Tortora, G.; Bianco, A.R.; Mendelsohn, J.; et al. Growth inhibition of human colon carcinoma cells by combinations of anti-epidermal growth factor-related growth factor antisense oligonucleotides. Clin. Cancer Res. 1996, 2, 601–609. [Google Scholar]
- Madanayake, T.W.; Welsh, E.A.; Darville, L.N.F.; Koomen, J.M.; Chalfant, C.E.; Haura, E.B.; Robinson, T.J. Inhibition of epidermal growth factor receptor signaling by antisense oligonucleotides as a novel approach to epidermal growth factor receptor inhibition. Nucleic Acid Ther. 2022, 32, 391–400. [Google Scholar] [CrossRef]
- Kalota, A.; Shetzline, S.E.; Gewirtz, A.M. Progress in the development of nucleic acid therapeutics for cancer. Cancer Biol. Ther. 2004, 3, 4–12. [Google Scholar] [CrossRef][Green Version]
- Monia, B.P.; Lesnik, E.A.; Gonzalez, C.; Lima, W.F.; McGee, D.; Guinosso, C.J.; Kawasaki, A.M.; Cook, P.D.; Freier, S.M. Evaluation of 2′-modified oligonucleotides containing 2′-deoxy gaps as antisense inhibitors of gene expression. J. Biol. Chem. 1993, 268, 14514–14522. [Google Scholar] [CrossRef] [PubMed]
- Passaro, A.; Jänne, P.A.; Mok, T.; Peters, S. Overcoming therapy resistance in EGFR-mutant lung cancer. Nat. Cancer 2021, 2, 377–391. [Google Scholar] [CrossRef] [PubMed]
- Matini, A.h.; Tayebi, M.s.; Rezvani, Z.; Vakili, Z.; Haddad Kashani, H. Association of EGFR gene mutations exons 18–21 with glioblastoma multiform cancer: A descriptive and cross-sectional study. Gene Rep. 2019, 17, 100526. [Google Scholar] [CrossRef]
- Sueangoen, N.; Tantiwetrueangdet, A.; Panvichian, R. HCC-derived EGFR mutants are functioning, EGF-dependent, and erlotinib-resistant. Cell Biosci. 2020, 10, 41. [Google Scholar] [CrossRef]
- Keller, S.; Schmidt, M.H.H. EGFR and EGFRvIII Promote Angiogenesis and Cell Invasion in Glioblastoma: Combination Therapies for an Effective Treatment. Int. J. Mol. Sci. 2017, 18, 1295. [Google Scholar] [CrossRef]









| PNAT No. | ASO Name | Sequence 5′–3′ |
|---|---|---|
| Exon 2 | ||
| PNAT520 | EGFR 1H2A (+08+32) | CUG CGU GAG CUU GUU ACU CGU GCC U |
| PNAT521 | EGFR 1H2A (+33+58) | GAA AAU GAU CUU CAA AAG UGC CCA A |
| PNAT522 | EGFR 1H2A (+65+89) | CUC ACA GUU AUU GAA CAU CCU CUG G |
| PNAT523 | EGFR 1H2A (+111+135) | CAU AAU UCC UCU GCA CAU AGG UAA U |
| Exon 3 | ||
| PNAT524 | EGFR 1H3A (−04+21) | ACC AGC CAC CUC CUG GAU GGU CUA A |
| PNAT525 | EGFR 1H3A (+25+49) | CCA CUG UGU UGA GGG CAA UGA GGA C |
| PNAT526 | EGFR 1H3A (+60+84) | UCU GAU GAU CUG CAG GUU UUC CAA A |
| PNAT527 | EGFR 1H3A (+141+165) | CAG CUC CUU CAG UCC GGU UUU AUU U |
| PNAT528 | EGFR 1H3A (+156+180) | UAA AUU UCU CAU GGG CAG CUC CUU C |
| Exon 18 | ||
| PNAT575 | EGFR H18A (+16+40) | GGU UGG GAG CUU CUC CAC UGG GUG U |
| PNAT576 | EGFR H18A (+50+74) | AAU UCA GUU UCC UUC AAG AUC CUC A |
| PNAT577 | EGFR H18A (+90+114) | CGU GCC GAA CGC ACC GGA GCC CAG C |
| Exon 21 | ||
| PNAT578 | EGFR H21A (+7+31) | CCA AGC GAC GGU CCU CCA AGU AGU U |
| PNAT579 | EGFR H21A (+40+64) | CCA GUA CGU UCC UGG CUG CCA GGU C |
| PNAT580 | EGFR H21A (+114+138) | GUA UUC UUU CUC UUC CGC ACC CAG C |
| PNAT581 | EGFR H21A (+132+156) | UUU GCC UCC UUC UGC AUG GUA UUC U |
| SCR1 | UCA UCG AUG GCA GCU GCG UGU CGU U | |
| SCR2 | UCA CCU GAG CGG AGG GGA CCU GUG G |
Disclaimer/Publisher’s Note: The statements, opinions and data contained in all publications are solely those of the individual author(s) and contributor(s) and not of MDPI and/or the editor(s). MDPI and/or the editor(s) disclaim responsibility for any injury to people or property resulting from any ideas, methods, instructions or products referred to in the content. |
© 2023 by the authors. Licensee MDPI, Basel, Switzerland. This article is an open access article distributed under the terms and conditions of the Creative Commons Attribution (CC BY) license (https://creativecommons.org/licenses/by/4.0/).
Share and Cite
Balachandran, A.A.; Raguraman, P.; Rahimizadeh, K.; Veedu, R.N. Splice-Switching Antisense Oligonucleotides Targeting Extra- and Intracellular Domains of Epidermal Growth Factor Receptor in Cancer Cells. Biomedicines 2023, 11, 3299. https://doi.org/10.3390/biomedicines11123299
Balachandran AA, Raguraman P, Rahimizadeh K, Veedu RN. Splice-Switching Antisense Oligonucleotides Targeting Extra- and Intracellular Domains of Epidermal Growth Factor Receptor in Cancer Cells. Biomedicines. 2023; 11(12):3299. https://doi.org/10.3390/biomedicines11123299
Chicago/Turabian StyleBalachandran, Akilandeswari Ashwini, Prithi Raguraman, Kamal Rahimizadeh, and Rakesh N. Veedu. 2023. "Splice-Switching Antisense Oligonucleotides Targeting Extra- and Intracellular Domains of Epidermal Growth Factor Receptor in Cancer Cells" Biomedicines 11, no. 12: 3299. https://doi.org/10.3390/biomedicines11123299
APA StyleBalachandran, A. A., Raguraman, P., Rahimizadeh, K., & Veedu, R. N. (2023). Splice-Switching Antisense Oligonucleotides Targeting Extra- and Intracellular Domains of Epidermal Growth Factor Receptor in Cancer Cells. Biomedicines, 11(12), 3299. https://doi.org/10.3390/biomedicines11123299

