Investigating Acute Hepatitis after SARS-CoV-2 Vaccination or Infection: A Genetic Case Series
Abstract
:1. Introduction
2. Patients and Methods
- Case Report 1
- Case Report 2
- Case Report 3
- Case Report 4
- Case Report 5
- Case Report 6
- Case Report 7
- Case Report 8
3. Discussion
4. Conclusions
Author Contributions
Funding
Institutional Review Board Statement
Informed Consent Statement
Data Availability Statement
Conflicts of Interest
References
- Ehrenfeld, M.; Tincani, A.; Andreoli, L.; Cattalini, M.; Greenbaum, A.; Kanduc, D.; Alijotas-Reig, J.; Zinserling, V.; Semenova, N.; Amital, H.; et al. COVID-19 and autoimmunity. Autoimmun. Rev. 2020, 19, 102597. [Google Scholar] [CrossRef] [PubMed]
- Chen, Y.; Xu, Z.; Wang, P.; Li, X.M.; Shuai, Z.W.; Ye, D.Q.; Pan, H.F. New-onset autoimmune phenomena post-COVID-19 vaccination. Immunology 2022, 165, 386–401. [Google Scholar] [CrossRef] [PubMed]
- Bril, F.; Al Diffalha, S.; Dean, M.; Fettig, D.M. Autoimmune hepatitis developing after coronavirus disease 2019 (COVID-19) vaccine: Causality or casualty? J. Hepatol. 2021, 75, 222–224. [Google Scholar] [CrossRef] [PubMed]
- Rocco, A.; Sgamato, C.; Compare, D.; Nardone, G. Autoimmune hepatitis following SARS-CoV-2 vaccine: May not be a casuality. J. Hepatol. 2021, 75, 728–729. [Google Scholar] [CrossRef]
- Londoño, M.C.; Gratacós-Ginès, J.; Sáez-Peñataro, J. Another case of autoimmune hepatitis after SARS-CoV-2 vaccination—Still casualty? J. Hepatol. 2021, 75, 1248–1249. [Google Scholar] [CrossRef]
- Clayton-Chubb, D.; Schneider, D.; Freeman, E.; Kemp, W.; Roberts, S.K. Autoimmune hepatitis developing after the ChAdOx1 nCoV-19 (Oxford-AstraZeneca) vaccine. J. Hepatol. 2021, 75, 1249–1250. [Google Scholar] [CrossRef]
- Tan, C.K.; Wong, Y.J.; Wang, L.M.; Ang, T.L.; Kumar, R. Autoimmune hepatitis following COVID-19 vaccination: True causality or mere association? J. Hepatol. 2021, 75, 1250–1252. [Google Scholar] [CrossRef]
- McShane, C.; Kiat, C.; Rigby, J.; Crosbie, Ó. The mRNA COVID-19 vaccine—A rare trigger of autoimmune hepatitis? J. Hepatol. 2021, 75, 1252–1254. [Google Scholar] [CrossRef]
- Lodato, F.; Larocca, A.; D’Errico, A.; Cennamo, V. An unusual case of acute cholestatic hepatitis after m-RNABNT162b2 (Comirnaty) SARS-CoV-2 vaccine: Coincidence, autoimmunity or drug-related liver injury. J. Hepatol. 2021, 75, 1254–1256. [Google Scholar] [CrossRef]
- Vuille-Lessard, É.; Montani, M.; Bosch, J.; Semmo, N. Autoimmune hepatitis triggered by SARS-CoV-2 vaccination. J. Autoimmun. 2021, 123, 102710. [Google Scholar] [CrossRef]
- Ghielmetti, M.; Schaufelberger, H.D.; Mieli-Vergani, G.; Cerny, A.; Dayer, E.; Vergani, D.; Terziroli Beretta-Piccoli, B. Acute autoimmune-like hepatitis with atypical anti-mitochondrial antibody after mRNA COVID-19 vaccination: A novel clinical entity? J. Autoimmun. 2021, 123, 102706. [Google Scholar] [CrossRef] [PubMed]
- Garrido, I.; Lopes, S.; Simões, M.S.; Liberal, R.; Lopes, J.; Carneiro, F.; Macedo, G. Autoimmune hepatitis after COVID-19 vaccine—More than a coincidence. J. Autoimmun. 2021, 125, 102741. [Google Scholar] [CrossRef]
- Avci, E.; Abasiyanik, F. Autoimmune hepatitis after SARS-CoV-2 vaccine: New-onset or flare-up? J. Autoimmun. 2021, 125, 102745. [Google Scholar] [CrossRef] [PubMed]
- Cao, Z.; Gui, H.; Sheng, Z.; Xin, H.; Xie, Q. Letter to the editor: Exacerbation of autoimmune hepatitis after COVID-19 vaccination. Hepatology. 2022, 75, 757–759. [Google Scholar] [CrossRef]
- Goulas, A.; Kafiri, G.; Kranidioti, H.; Manolakopoulos, S. A typical autoimmune hepatitis (AIH) case following COVID-19 mRNA vaccination. More than a coincidence? Liver Int. 2022, 42, 254–255. [Google Scholar] [CrossRef]
- Zin Tun, G.S.; Gleeson, D.; Al-Joudeh, A.; Dube, A. Immune-mediated hepatitis with the Moderna vaccine, no longer a coincidence but confirmed. J. Hepatol. 2022, 76, 747–749. [Google Scholar] [CrossRef] [PubMed]
- Suzuki, Y.; Kakisaka, K.; Takikawa, Y. Letter to the editor: Autoimmune hepatitis after COVID-19 vaccination: Need for population-based epidemiological study. Hepatology 2022, 75, 759–760. [Google Scholar] [CrossRef]
- Torrente, S.; Castiella, A.; Garmendia, M.; Zapata, E. Probable autoimmune hepatitis reactivated after COVID-19 vaccination. Gastroenterol. Hepatol. 2022, 45, 115–116. [Google Scholar] [CrossRef]
- Rigamonti, C.; Coco, B.; Brunetto, M.; Labanca, S.; Giannini, E.G.; Magro, B.; Fagiuoli, S.; Baroni, G.S.; Sgamato, C.; Miele, L.; et al. Clinical features of patients with new onset of autoimmune hepatitis following SARS-CoV-2 vaccination. Dig. Liver Dis. 2022, 54, S48. [Google Scholar] [CrossRef]
- Efe, C.; Harputluoğlu, M.; Soylu, N.K.; Yilmaz, S. Letter to the editor: Liver transplantation following severe acute respiratory syndrome-coronavirus-2 vaccination-induced liver failure. Hepatology 2022, 75, 1669–1671. [Google Scholar] [CrossRef]
- Fimiano, F.; D’Amato, D.; Gambella, A.; Marzano, A.; Saracco, G.M.; Morgando, A. Autoimmune hepatitis or drug-induced autoimmune hepatitis following Covid-19 vaccination? Liver Int. 2022, 42, 1204–1205. [Google Scholar] [CrossRef]
- Hong, J.K.; Chopra, S.; Kahn, J.A.; Kim, B.; Khemichian, S. Autoimmune hepatitis triggered by COVID. Intern. Med. J. 2021, 51, 1182–1183. [Google Scholar] [CrossRef]
- Erard, D.; Villeret, F.; Lavrut, P.M.; Dumortier, J. Autoimmune hepatitis developing after COVID 19 vaccine: Presumed guilty? Clin. Res. Hepatol. Gastroenterol. 2022, 46, 101841. [Google Scholar] [CrossRef] [PubMed]
- Zhou, T.; Fronhoffs, F.; Dold, L.; Strassburg, C.P.; Weismüller, T.J. New-onset autoimmune hepatitis following mRNA COVID-19 vaccination in a 36-year-old woman with primary sclerosing cholangitis—Should we be more vigilant? J. Hepatol. 2022, 76, 218–220. [Google Scholar] [CrossRef] [PubMed]
- Mahalingham, A.; Duckworth, A.; Griffiths, W.J.H. First report of post-transplant autoimmune hepatitis recurrence following SARS-CoV-2 mRNA vaccination. Transpl. Immunol. 2022, 72, 101600. [Google Scholar] [CrossRef]
- Kabaçam, G.; Wahlin, S.; Efe, C. Autoimmune hepatitis triggered by COVID-19: A report of two cases. Liver Int. 2021, 41, 2527–2528. [Google Scholar] [CrossRef]
- European Association for the Study of the Liver. EASL Clinical Practice Guidelines: Autoimmune hepatitis. J. Hepatol. 2015, 63, 971–1004. [Google Scholar] [CrossRef]
- Trivedi, P.J.; Hirschfield, G.M. Recent advances in clinical practice: Epidemiology of autoimmune liver diseases. Gut 2021, 70, 1989–2003. [Google Scholar] [CrossRef] [PubMed]
- Zachou, K.; Arvaniti, P.; Lyberopoulou, A.; Dalekos, G.N. Impact of genetic and environmental factors on autoimmune hepatitis. J. Transl. Autoimmun. 2021, 4, 100125. [Google Scholar] [CrossRef]
- Filippidis, P.; van Ouwenaller, F.; Cerutti, A.; Geiger-Jacquod, A.; Sempoux, C.; Pantaleo, G.; Moradpour, D.; Lamoth, F. Case Report: SARS-CoV-2 as an unexpected causal agent of predominant febrile hepatitis. F1000Research 2021, 10, 400. [Google Scholar] [CrossRef]
- Balaja, W.R., 3rd; Jacob, S.; Hamidpour, S.; Masoud, A. COVID-19 Presenting as Acute Icteric Hepatitis. Cureus 2021, 13, 16359. [Google Scholar] [CrossRef] [PubMed]
- Zhou, F.; Xia, J.; Yuan, H.X.; Sun, Y.; Zhang, Y. Liver injury in COVID-19: Known and unknown. World J. Clin. Cases. 2021, 9, 4980–4989. [Google Scholar] [CrossRef] [PubMed]
- Wander, P.; Epstein, M.; Bernstein, D. COVID-19 Presenting as Acute Hepatitis. Am. J. Gastroenterol. 2020, 115, 941–942. [Google Scholar] [CrossRef] [PubMed]
- Khan, A.; Qayum, I.; Khan, A.W.; Hanif, M.; Naeem, A. Acute Hepatitis as a Rare Presentation of COVID. J. Coll. Physicians Surg. Pak. 2021, 31, S125–S126. [Google Scholar] [CrossRef]
- Mann, R.; Sekhon, S.; Sekhon, S. Drug-Induced Liver Injury After COVID-19 Vaccine. Cureus 2021, 13, 16491. [Google Scholar] [CrossRef]
- Nyein, C.M.; Liew, Z.H.S.; Leow, W.Q.; Yeong, P.S.J.; Ho, G.H. Severe de novo liver injury after Moderna vaccination—Not always autoimmune hepatitis. J. Hepatol. 2022, 77, 556–558. [Google Scholar] [CrossRef]
- European Association for the Study of the Liver; Andrade, R.J.; Clinical Practice Guideline Panel Members; Karlsen, T.H. EASL Clinical Practice Guidelines: Drug-induced liver injury. J. Hepatol. 2019, 70, 1222–1261. [Google Scholar] [CrossRef]
- Castiella, A.; Zapata, E.; Lucena, M.I.; Andrade, R.J. Drug-induced autoimmune liver disease: A diagnostic dilemma of an increasingly reported disease. World J. Hepatol. 2014, 6, 160–168. [Google Scholar] [CrossRef]
- Alvarez, F.; Berg, P.A.; Bianchi, F.B.; Bianchi, L.; Burroughs, A.K.; Cancado, E.L.; Chapman, R.W.; Cooksley, W.G.; Czaja, A.J.; Desmet, V.J.; et al. International Autoimmune Hepatitis Group Report: Review of criteria for diagnosis of autoimmune hepatitis. J. Hepatol. 1999, 31, 929–938. [Google Scholar] [CrossRef]
- Czaja, A.J. Examining pathogenic concepts of autoimmune hepatitis for cues to future investigations and interventions. World J. Gastroenterol. 2019, 25, 6579–6606. [Google Scholar] [CrossRef]
- Vojdani, A.; Kharrazian, D. Potential antigenic cross-reactivity between SARS-CoV-2 and human tissue with a possible link to an increase in autoimmune diseases. Clin. Immunol. 2020, 217, 108480. [Google Scholar] [CrossRef]
- Teijaro, J.R.; Farber, D.L. COVID-19 vaccines: Modes of immune activation and future challenges. Nat. Rev. Immunol. 2021, 21, 195–197. [Google Scholar] [CrossRef]
- Luo, M.; Ballester, M.P.; Soffientini, U.; Jalan, R.; Mehta, G. SARS-CoV-2 infection and liver involvement. Hepatol. Int. 2022, 16, 755–774. [Google Scholar] [CrossRef]
- Covelli, C.; Sacchi, D.; Sarcognato, S.; Cazzagon, N.; Grillo, F.; Baciorri, F.; Fanni, D.; Cacciatore, M.; Maffeis, V.; Guido, M. Pathology of autoimmune hepatitis. Pathologica 2021, 113, 185–193. [Google Scholar] [CrossRef] [PubMed]
- Jiang, Y.G.; Wang, Y.M.; Liu, T.H.; Liu, J. Association between HLA class II gene and susceptibility or resistance to chronic hepatitis B. World J. Gastroenterol. 2003, 9, 2221–2225. [Google Scholar] [CrossRef] [PubMed]
- Marangon, A.V.; Silva, G.F.; de Moraes, C.F.; Grotto, R.M.; Pardini, M.I.; de Pauli, D.S.; Visentainer, J.E.; Sell, A.M.; Moliterno, R.A. Protective effect of HLA-DRB1 11 and predisposition of HLA-C 04 in the development of severe liver damage in Brazilian patients with chronic hepatitis C virus infection. Scand. J. Immunol. 2012, 76, 440–447. [Google Scholar] [CrossRef] [PubMed]
- Ibraheem, M.F.; Ahmed, S.J. The association between juvenile autoimmune hepatitis and HLA-DRB1 alleles: Iraqi tertiary center experience. Clin. Exp. Hepatol. 2021, 7, 178–182. [Google Scholar] [CrossRef]
- Baharlou, R.; Faghihi-Kashani, A.; Faraji, F.; Najafi-Samei, M.; Setareh, M.; Zamani, F.; Tajik, N. HLA-DRB1 alleles of susceptibility and protection in Iranians with autoimmune hepatitis. Hum. Immunol. 2016, 77, 330–335. [Google Scholar] [CrossRef]
- Loddo, I.; Romano, C.; Cutrupi, M.C.; Sciveres, M.; Riva, S.; Salpietro, A.; Ferraù, V.; Gallizzi, R.; Briuglia, S. Autoimmune liver disease in Noonan Syndrome. Eur. J. Med. Genet. 2015, 58, 188–190. [Google Scholar] [CrossRef]
- Izagirre, A.; Arzallus, T.; Garmendia, M.; Torrente, S.; Castiella, A.; Zapata, E.M. Autoimmune hepatitis following COVID-19 vaccination. J. Autoimmun. 2022, 132, 102874. [Google Scholar] [CrossRef]



| Clinical Characteristics | Vaccine/ Infection | Time to Symptoms Onset (Days) | AST/ALT (U/L) a | ALP/GGT (U/L) a | Auto-Antibodies (+) | IgG (mg/dL) a | Histology for AIH b | AIH Score c | HLA DRB1 | Steroid Treatment |
|---|---|---|---|---|---|---|---|---|---|---|
| 1. Female, 36 Asymptomatic | Viral vector vaccine | 7 | 1500/2087 | 331/113 | SMA | 2948 | Compatible | 19 | *07 *11 | Yes |
| 2. Female, 65 Symptomatic | mRNA vaccine | 28 | 320/344 | 170/286 | ANA, SMA, ANCA | 2450 | Not performed | - | *03 *11 | Yes |
| 3. Male, 14 Asymptomatic | mRNA vaccine | 15 | 970/1276 | 216/126 | ANA, SMA | 2167 | Compatible | 15 | *03 *07 | Yes |
| 4. Female, 44 Symptomatic | mRNA vaccine Infection | 15 3 | 1885/1211 | 109/165 | ANA, SLA/LP | 2180 | Compatible | 17 | *13 *14 | Yes |
| 5. Male, 61 Symptomatic | mRNA vaccine | 42 | 818/1024 | 310/- | ANA, ANCA | 1384 | Compatible | 16 | *07 *11 | Yes |
| 6. Male, 44 Asymptomatic | mRNA vaccine | 15 | 131/335 | 151/86 | ANA, SMA | - | Typical (2018) | - | *03 | No |
| 7. Male, 46 Symptomatic | Infection mRNA vaccine | 7 1 | -/500 -/311 | -/660 -/- | Negative | - | Atypical | 3 | *11 *15 | No |
| 8. Female, 65 Symptomatic | mRNA vaccine | 28 | 141/123 | 518/303 | Negative | - | Atypical | 11 | *11 | No |
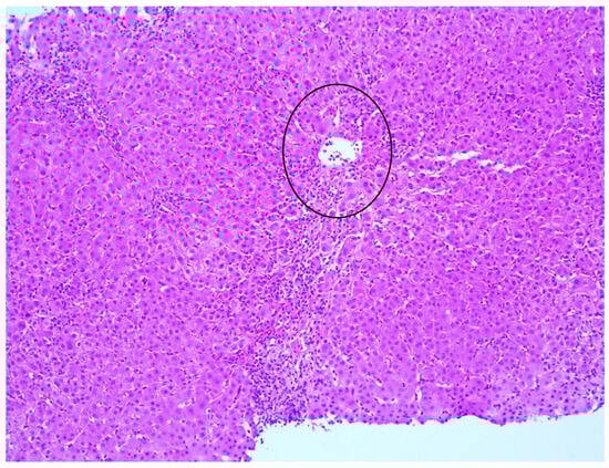
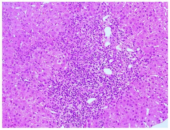
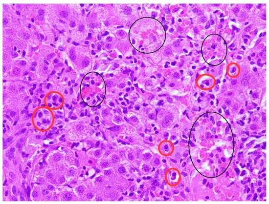
| Clinical Characteristics | Interface Hepatitis (Figure 1) | Lym | Plasmacells (Figure 2) | Eos | PAS-pos MP | Centrilobular Necrosis (Figure 3) | Emperipolesis | Rosettes | Ductular Reaction | Fibrosis | AIH Score |
|---|---|---|---|---|---|---|---|---|---|---|---|
| 1. Female, 36 | Moderate, focal | Yes | Moderate | Yes | No | Yes | No | Yes | Minimal bile ducts neogenesis | Yes | 19 |
| 3. Male, 14 | Mild, focal | Yes | Mild | Yes | Yes | Yes | No | No | Bile ducts neogenesis, ductal metaplasia | Yes | 15 |
| 4. Female, 44 | Moderate, focal | Yes | Mild | No | Yes | Yes | No | No | Minimal bile ducts neogenesis | Yes | 17 |
| 5. Male, 61 | Moderate | Yes | Moderate | Yes | Yes | Yes | No | No | No | Yes | 16 |
| 7. Male, 46 | No | No | No | No | Yes | No | No | No | No | No | 3 |
| 8. Female, 65 | Mild, focal | Yes | Few | Yes | Yes | No | No | No | No | No | 11 |
Disclaimer/Publisher’s Note: The statements, opinions and data contained in all publications are solely those of the individual author(s) and contributor(s) and not of MDPI and/or the editor(s). MDPI and/or the editor(s) disclaim responsibility for any injury to people or property resulting from any ideas, methods, instructions or products referred to in the content. |
© 2023 by the authors. Licensee MDPI, Basel, Switzerland. This article is an open access article distributed under the terms and conditions of the Creative Commons Attribution (CC BY) license (https://creativecommons.org/licenses/by/4.0/).
Share and Cite
Bernasconi, E.; Biagi, M.; Di Agostino, S.; Cursaro, C.; Felicani, C.; Ronconi, E.; Franchi, E.; Costanzo, A.C.; Gabrielli, F.; Cavicchioli, A.; et al. Investigating Acute Hepatitis after SARS-CoV-2 Vaccination or Infection: A Genetic Case Series. Biomedicines 2023, 11, 2848. https://doi.org/10.3390/biomedicines11102848
Bernasconi E, Biagi M, Di Agostino S, Cursaro C, Felicani C, Ronconi E, Franchi E, Costanzo AC, Gabrielli F, Cavicchioli A, et al. Investigating Acute Hepatitis after SARS-CoV-2 Vaccination or Infection: A Genetic Case Series. Biomedicines. 2023; 11(10):2848. https://doi.org/10.3390/biomedicines11102848
Chicago/Turabian StyleBernasconi, Elisa, Matteo Biagi, Stefania Di Agostino, Carmela Cursaro, Cristina Felicani, Enrico Ronconi, Elena Franchi, Arianna Carmen Costanzo, Filippo Gabrielli, Alessia Cavicchioli, and et al. 2023. "Investigating Acute Hepatitis after SARS-CoV-2 Vaccination or Infection: A Genetic Case Series" Biomedicines 11, no. 10: 2848. https://doi.org/10.3390/biomedicines11102848
APA StyleBernasconi, E., Biagi, M., Di Agostino, S., Cursaro, C., Felicani, C., Ronconi, E., Franchi, E., Costanzo, A. C., Gabrielli, F., Cavicchioli, A., Ienopoli, G., Marenghi, P., Bartoli, A., Serra, B., Scalabrini, D., Sighinolfi, P., & Andreone, P. (2023). Investigating Acute Hepatitis after SARS-CoV-2 Vaccination or Infection: A Genetic Case Series. Biomedicines, 11(10), 2848. https://doi.org/10.3390/biomedicines11102848

