Botulinum Toxin Injection into the Digastric Muscle: Current Clinical Use and a Report of Five Cases
Abstract
:1. Introduction
2. Materials and Methods
2.1. Eligibility Criteria
2.2. Search Strategy
2.3. Study Selection
2.4. Statistical Analysis of the Case Series
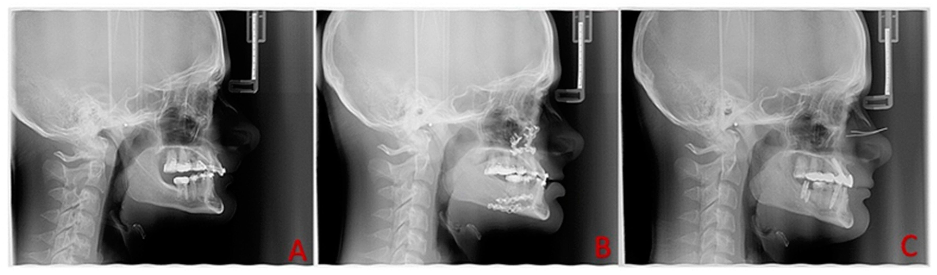
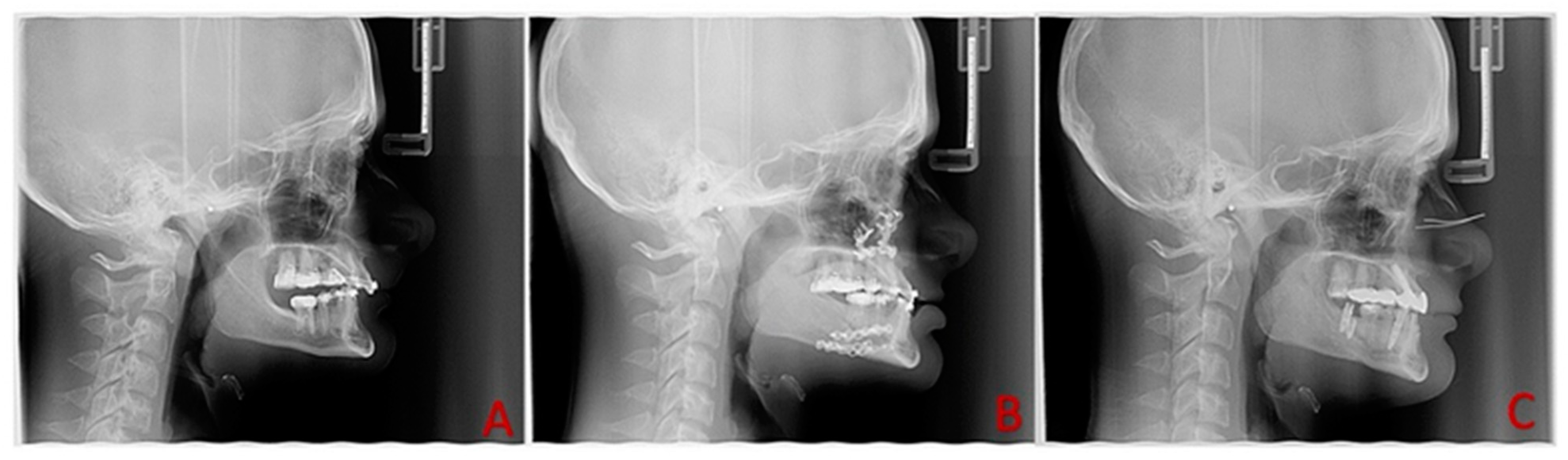
3. Results
3.1. Data Collection
3.2. Description of the Studies
3.3. Demographic Information
3.4. Protocol of BTX-A Injection
4. Discussion
5. Conclusions
Author Contributions
Funding
Institutional Review Board Statement
Informed Consent Statement
Data Availability Statement
Acknowledgments
Conflicts of Interest
References
- Sowman, P.F.; Flavel, S.C.; McShane, C.L.; Sakuma, S.; Miles, T.S.; Nordstrom, M.A. Asymmetric Activation of Motor Cortex Controlling Human Anterior Digastric Muscles during Speech and Target-Directed Jaw Movements. J. Neurophysiol. 2009, 102, 159–166. [Google Scholar] [CrossRef]
- Tranchito, E.N.; Bordoni, B. Anatomy, Head and Neck, Digastric Muscle. In StatPearls; StatPearls Publishing: Treasure Island, FL, USA, 2023. [Google Scholar]
- Tighe, A.P.; Schiavo, G. Botulinum Neurotoxins: Mechanism of Action. Toxicon 2013, 67, 87–93. [Google Scholar] [CrossRef] [PubMed]
- Park, S.-Y.; Park, Y.-W.; Ji, Y.-J.; Park, S.-W.; Kim, S.-G. Effects of a Botulinum Toxin Type A Injection on the Masseter Muscle: An Animal Model Study. Maxillofac. Plast. Reconstr. Surg. 2015, 37, 10. [Google Scholar] [CrossRef] [PubMed]
- Casabona, G.; Kaye, K.; Barreto Marchese, P.; Boggio, R.; Cotofana, S. Six Years of Experience Using an Advanced Algorithm for Botulinum Toxin Application. J. Cosmet. Dermatol. 2019, 18, 21–35. [Google Scholar] [CrossRef] [PubMed]
- Kim, S.-Y.; Kim, Y.-K.; Yun, P.-Y.; Bae, J.-H. Treatment of Non-Odontogenic Orofacial Pain Using Botulinum Toxin-A: A Retrospective Case Series Study. Maxillofac. Plast. Reconstr. Surg. 2018, 40, 21. [Google Scholar] [CrossRef]
- Song, P.C.; Schwartz, J.; Blitzer, A. The Emerging Role of Botulinum Toxin in the Treatment of Temporomandibular Disorders. Oral Dis. 2007, 13, 253–260. [Google Scholar] [CrossRef]
- Prechel, U.; Ottl, P.; Ahlers, O.M.; Neff, A. The Treatment of Temporomandibular Joint Dislocation. Dtsch. Arztebl. Int. 2018, 115, 59–64. [Google Scholar] [CrossRef]
- Fernández-Núñez, T.; Amghar-Maach, S.; Gay-Escoda, C. Efficacy of Botulinum Toxin in the Treatment of Bruxism: Systematic Review. Med. Oral Patol. Oral Cir. Bucal 2019, 24, e416–e424. [Google Scholar] [CrossRef]
- Seok, H.; Park, Y.-T.; Kim, S.-G.; Park, Y.-W. Correction of Post-Traumatic Anterior Open Bite by Injection of Botulinum Toxin Type A into the Anterior Belly of the Digastric Muscle: Case Report. J. Korean Assoc. Oral Maxillofac. Surg. 2013, 39, 188–192. [Google Scholar] [CrossRef]
- Shin, S.-H.; Kang, Y.-J.; Kim, S.-G. The Effect of Botulinum Toxin-A Injection into the Masseter Muscles on Prevention of Plate Fracture and Post-Operative Relapse in Patients Receiving Orthognathic Surgery. Maxillofac. Plast. Reconstr. Surg. 2018, 40, 36. [Google Scholar] [CrossRef]
- Ihde, S.K.A.; Konstantinovic, V.S. The Therapeutic Use of Botulinum Toxin in Cervical and Maxillofacial Conditions: An Evidence-Based Review. Oral Surg. Oral Med. Oral Pathol. Oral Radiol. Endod. 2007, 104, e1–e11. [Google Scholar] [CrossRef]
- Coclici, A.; Roman, R.A.; Bran, S.; Crasnean, E.; Baciut, M.; Dinu, C.; Hedesiu, M. Ultrasound Dimensional Changes of the Anterior Belly of the Digastric Muscle Induced by Orthognathic Surgery and Botulinum Toxin A Injection in Class II Malocclusion. Oral Radiol. 2021, 37, 625–630. [Google Scholar] [CrossRef] [PubMed]
- Breuel, W.; Krause, M.; Schneider, M.; Harzer, W. Genetic Stretching Factors in Masseter Muscle after Orthognathic Surgery. Br. J. Oral. Maxillofac. Surg. 2013, 51, 530–535. [Google Scholar] [CrossRef] [PubMed]
- Carlson, D.S.; Ellis, E.; Dechow, P.C.; Nemeth, P.A. Short-Term Stability and Muscle Adaptation after Mandibular Advancement Surgery with and without Suprahyoid Myotomy in Juvenile Macaca Mulatta. Oral Surg. Oral Med. Oral Pathol. 1989, 68, 135–149. [Google Scholar] [CrossRef]
- Wessberg, G.A.; Schendel, S.A.; Epker, B.N. The Role of Suprahyoid Myotomy in Surgical Advancement of the Mandible via Sagittal Split Ramus Osteotomies. J. Oral Maxillofac. Surg. 1982, 40, 273–277. [Google Scholar] [CrossRef]
- Mücke, T.; Löffel, A.; Kanatas, A.; Karnezi, S.; Rana, M.; Fichter, A.; Haarmann, S.; Wolff, K.-D.; Loeffelbein, D.J. Botulinum Toxin as a Therapeutic Agent to Prevent Relapse in Deep Bite Patients. J. Craniomaxillofac. Surg. 2016, 44, 584–589. [Google Scholar] [CrossRef] [PubMed]
- Kang, Y.-J.; Cha, B.K.; Choi, D.S.; Jang, I.S.; Kim, S.-G. Botulinum Toxin-A Injection into the Anterior Belly of the Digastric Muscle for the Prevention of Post-Operative Open Bite in Class II Malocclusions: A Case Report and Literature Review. Maxillofac. Plast. Reconstr. Surg. 2019, 41, 17. [Google Scholar] [CrossRef] [PubMed]
- Page, M.J.; McKenzie, J.E.; Bossuyt, P.M.; Boutron, I.; Hoffmann, T.C.; Mulrow, C.D.; Shamseer, L.; Tetzlaff, J.M.; Akl, E.A.; Brennan, S.E.; et al. The PRISMA 2020 Statement: An Updated Guideline for Reporting Systematic Reviews. BMJ 2021, 372, n71. [Google Scholar] [CrossRef]
- Ouzzani, M.; Hammady, H.; Fedorowicz, Z.; Elmagarmid, A. Rayyan—A Web and Mobile App for Systematic Reviews. Syst. Rev. 2016, 5, 210. [Google Scholar] [CrossRef]
- Marion, M.-H.; Hicklin, L.A. Botulinum Toxin Treatment of Dystonic Anterocollis: What to Inject. Park. Relat. Disord. 2021, 88, 34–39. [Google Scholar] [CrossRef]
- Pescarini, E.; Butler, D.P.; Perusseau-Lambert, A.; Nduka, C.; Kannan, R.Y. Targeted Chemodenervation of the Posterior Belly of the Digastric Muscle for the Management of Jaw Discomfort in Facial Synkinesis. J. Plast. Reconstr. Aesthet. Surg. 2021, 74, 3437–3442. [Google Scholar] [CrossRef] [PubMed]
- Fernández-Pajarín, G.; Martínez-Castrillo, J.C.; Dominguez-Lorenzo, J.M.; Vaamonde, P. Invalidating Hyoid Dystonia: Successful Treatment with IncobotulintoxinA. Mov. Disord. Clin. Pract. 2021, 8, 264–266. [Google Scholar] [CrossRef] [PubMed]
- Watson, N.A.; Hicklin, L.A.; Marion, M.-H. Breathing Dystonia in Meige Syndrome. Clin. Park Relat. Disord. 2021, 5, 100106. [Google Scholar] [CrossRef] [PubMed]
- Tarsy, D.; Ro, S.I. Unusual Position-Sensitive Jaw Tremor Responsive to Botulinum Toxin. Mov. Disord. 2006, 21, 277–278. [Google Scholar] [CrossRef]
- Klocheva, E.; Goldobin, V. Myogenic Compression of Internal Jugular Vein—An Unrecognised Condition—Is It the New Indication for Botulinum Toxin Treatment? Eur. J. Neurol. 2014, 21, 477. [Google Scholar]
- Coclici, A.; Hedeşiu, M.; Bran, S.; Băciuţ, M.; Dinu, C.; Rotaru, H.; Roman, R. Early and Long-Term Changes in the Muscles of the Mandible Following Orthognathic Surgery. Clin. Oral Investig. 2019, 23, 3437–3444. [Google Scholar] [CrossRef]
- Epker, B.N.; Wolford, L.M.; Fish, L.C. Mandibular Deficiency Syndrome. II. Surgical Considerations for Mandibular Advancement. Oral Surg. Oral Med. Oral Pathol. 1978, 45, 349–363. [Google Scholar] [CrossRef]
- Schendel, S.A.; Epker, B.N. Results after Mandibular Advancement Surgery: An Analysis of 87 Cases. J. Oral Surg. 1980, 38, 265–282. [Google Scholar]
- van der Linden, C.; van der Linden, W.J.; Reyneke, J.P. Skeletal Stability Following Mandibular Advancement with and without Advancement Genioplasty. Int. J. Oral Maxillofac. Surg. 2015, 44, 621–626. [Google Scholar] [CrossRef]
- Lamphier, J.; Ziccardi, V.; Ruvo, A.; Janel, M. Complications of Mandibular Fractures in an Urban Teaching Center. J. Oral Maxillofac. Surg. 2003, 61, 745–749. [Google Scholar] [CrossRef]
- Joss, C.U.; Thüer, U.W. Stability of the Hard and Soft Tissue Profile after Mandibular Advancement in Sagittal Split Osteotomies: A Longitudinal and Long-Term Follow-Up Study. Eur. J. Orthod. 2008, 30, 16–23. [Google Scholar] [CrossRef] [PubMed]
- Gautam, P.; Bhatia, M.S.; Kaur, J.; Rathi, A. Meige’s Syndrome. Ind. Psychiatry J. 2016, 25, 232–233. [Google Scholar] [CrossRef] [PubMed]
- Czyz, C.N.; Burns, J.A.; Petrie, T.P.; Watkins, J.R.; Cahill, K.V.; Foster, J.A. Long-Term Botulinum Toxin Treatment of Benign Essential Blepharospasm, Hemifacial Spasm, and Meige Syndrome. Am. J. Ophthalmol. 2013, 156, 173–177.e2. [Google Scholar] [CrossRef]
- Zdilla, M.J. Screening for Variations in Anterior Digastric Musculature Prior to Correction of Post-Traumatic Anterior Open Bite by Injection of Botulinum Toxin Type A: A Technical Note. J. Korean Assoc. Oral Maxillofac. Surg. 2015, 41, 165–167. [Google Scholar] [CrossRef] [PubMed]
- Macrae, P.R.; Jones, R.D.; Myall, D.J.; Melzer, T.R.; Huckabee, M.-L. Cross-Sectional Area of the Anterior Belly of the Digastric Muscle: Comparison of MRI and Ultrasound Measures. Dysphagia 2013, 28, 375–380. [Google Scholar] [CrossRef] [PubMed]
- Larsson, S.G.; Lufkin, R.B. Anomalies of Digastric Muscles: CT and MR Demonstration. J. Comput. Assist. Tomogr. 1987, 11, 422–425. [Google Scholar] [CrossRef]
- Coban, A.; Matur, Z.; Hanagasi, H.A.; Parman, Y. Iatrogenic Botulism after Botulinum Toxin Type A Injections. Clin. Neuropharmacol. 2010, 33, 158–160. [Google Scholar] [CrossRef]
- Ferrari, A.; Manca, M.; Tugnoli, V.; Alberto, L. Pharmacological Differences and Clinical Implications of Various Botulinum Toxin Preparations: A Critical Appraisal. Funct. Neurol. 2018, 33, 7–18. [Google Scholar] [CrossRef]
- Brin, M.F.; James, C.; Maltman, J. Botulinum Toxin Type A Products Are Not Interchangeable: A Review of the Evidence. Biologics 2014, 8, 227–241. [Google Scholar] [CrossRef]


| PubMed (n = 20) |
| “botulinum toxins”[MeSH Terms] OR (“botulinum”[All Fields] AND “toxins”[All Fields]) OR “botulinum toxins”[All Fields] OR (“botulinum”[All Fields] AND “toxin”[All Fields]) OR “botulinum toxin”[All Fields] “digastric”[All Fields] OR “digastrics”[All Fields] “muscle’s”[All Fields] OR “muscles”[MeSH Terms] OR “muscles”[All Fields] OR “muscle”[All Fields] |
| Cochrane (n = 1) |
| “botulinum toxins”[MeSH Terms] OR (“botulinum”[All Fields] AND “toxins”[All Fields]) OR “botulinum toxins”[All Fields] OR (“botulinum”[All Fields] AND “toxin”[All Fields]) OR “botulinum toxin”[All Fields] “digastric”[All Fields] OR “digastrics”[All Fields] “muscle’s”[All Fields] OR “muscles”[MeSH Terms] OR “muscles”[All Fields] OR “muscle”[All Fields] |
| Embase (n = 33) |
| (‘botulinum toxin’/exp OR ‘botulinum toxin’ OR (botulinum AND (‘toxin’/exp OR toxin))) AND digastric AND ‘digastric muscle’ |
| Authors, Year of Publication | Type of the Study | Patients (n) | Part of Digastric | Dose (U) | BTX-A | Diagnosis | Method | Spots of Infiltration | Number of Sessions | Conclusion |
|---|---|---|---|---|---|---|---|---|---|---|
| Seok et al., 2013 [10] | case report | 1 | ABDM | 20 | Meditoxin Type A | posttraumatic anterior open bite | palpation | 2 spots/bilaterally | 1 | “BTX-A injection into the anterior belly of the digastric muscle successfully corrected post-traumatic open bite” |
| Coclici et al., 2021 [13] | prospective | 5 | ABDM | 20 | Abobotulinumtoxin A | Class II malocclusion | palpation | 2 spots/bilaterally | 1 | “the postoperative muscular changes indicated consistency and potential benefit of using BTX-A in reducing the risk of surgical relapse” |
| Kang et al., 2019 [18] | case report | 1 | ABDM | 20 | Meditoxin Type A | Class II malocclusion/open bite | NA | 2 spots/bilaterally | 1 | “BTX-A injection into the anterior belly of the digastric muscle demonstrated postoperative stability in case of class II open-bite patient” |
| Marion et al., 2021 [21] | prospective | 15 | ABDM | 10–30 | Abobotulinumtoxin A | anterocollis | ultrasound and EMG guidance | NA/bilaterally | 1 | “the key to successfully injecting patients with anterocollis is a joint Neuro-ENT clinic, by focusing on every dystonic muscle, in the same session” |
| Pescarini et al., 2021 [22] | prospective | 33 | PBDM | 5 | Incobotulinumtoxin A | facial synkinesis | ultrasound-guided | 1 spot/ipsilaterally | 1 | “lower lip asymmetry is treated by using chemodenervation or surgery, both methods being clinically efficient” |
| Fernández-Pajarín et al., 2020 [23] | case report | 1 | ABDM | 15 | Incobotulinumtoxin A | Meige syndrome | NA | NA/bilaterally | 2 | “BTX injections into the hyoid muscles showed good results” |
| Watson et al., 2021 [24] | retrospective case note review | 13 | ABDM | 10–30 | Abobotulinumtoxin A | Meige syndrome | NA | NA/NA | 1 | “upper airway obstruction from palatal, suprahyoid muscles or tongue base dystonia could cause breathing dystonia” |
| Tarsy et al., 2006 [25] | case report | 1 | NA | 20 | Onabotulinum toxin A | jaw tremor | EMG guidance | 1 spot/bilaterally | 3 | “a patient with jaw tremor was responsive to BTX-A treatment” |
| Klocheva et al., 2014 [26] | prospective | 17 | PBDM | 50–70 | NA | internal jugular vein compression | NA | NA/ipsilaterally | 1 | “BTX injection could be the optimal treatment for patients with internal jugular vein compression” |
| Measurement | Definition |
|---|---|
| SNA (°) | the angle between Sella–Nasion–point A |
| SNB (°) | the angle between Sella–Nasion–point B |
| ANB (°) | the angle between point A–Nasion–point B |
| Mandibular length (mm) | the linear distance from Gonion to Menton |
| Sagittal mandibular position (°) | the angle between Sella–Nasion–Pogonion |
| Mandibular plane (°) | the angle between the anatomic Frankfurt horizontal plane and the line drawn along Gonion and Menton |
| Saddle angle (°) | the angle between the anterior and posterior cranial base |
| Gonial angle (°) | the angle between ramus height and mandibular plane (Ar-Go-Me) |
| Articular angle (°) | the angle between the posterior cranial base and ramus height (S-Ar-Go) |
| Sum int angles (°) | sum of angles (Saddle angle + Articular angle + Gonial angle) |
| Y-axis to SN (°) | the angle connecting Gnathion–Sella–Nasion |
| Posterior face height (mm) | the linear distance from Sella to Gonion |
| Anterior face height (mm) | the linear distance from Nasion to Menton |
| Jarabak ratio (%) | the ratio of the Posterior and Anterior facial height |
| Patient Sample (n = 5) | ||||||||
|---|---|---|---|---|---|---|---|---|
| Variables | T0 | T1 | T2 | p-Value | ||||
| Mean | SD | Mean | SD | Mean | SD | T1–T0 | T2–T1 | |
| Sagittal relation | ||||||||
| SNA (°) | 80.8 | 2.2 | 81.6 | 2 | 81.2 | 2 | 0.0161 * | 0.1778 |
| SNB (°) | 74.6 | 3.6 | 78.6 | 4.8 | 78.8 | 4.7 | 0.00187 * | 0.3739 |
| ANB (°) | 6 | 3.7 | 2.8 | 4.6 | 2.6 | 4.6 | 0.00284 * | 0.3739 |
| Mandibular length (mm) | 65.6 | 2.6 | 73.4 | 2 | 73.2 | 1.9 | 0.00082 * | 0.3739 |
| Sagittal mandibular position (°) | 77.6 | 4.9 | 80.4 | 5.5 | 80.6 | 5.3 | 0.0071 * | 0.37 |
| Vertical relation | ||||||||
| Mandibular plane (°) | 25.4 | 14.2 | 28.6 | 13 | 28.4 | 12.7 | 1.933191 | 0.186950 |
| Saddle angle (°) | 128 | 6.7 | 128.8 | 8 | 128.8 | 7.7 | 0.202512 | 0.500000 |
| Gonial angle (°) | 116.4 | 11.3 | 119.2 | 6 | 119.8 | 7.8 | 0.207962 | 0.345153 |
| Articular angle (°) | 140.8 | 14.7 | 140.6 | 16.5 | 139.8 | 14.2 | 0.470484 | 0.324131 |
| Sum int angles (°) | 385.4 | 14.2 | 388.6 | 13 | 388.4 | 12.7 | 0.062677 | 0.081804 |
| Y-axis to SN (°) | 66.8 | 6 | 65.8 | 5.9 | 65.6 | 5.9 | 0.115100 | 0.310654 |
| Posterior face height (mm) | 60.3 | 34.9 | 58.7 | 34.1 | 59.5 | 34.9 | 0.029057 * | 0.115100 |
| Anterior face height (mm) | 81.2 | 45.3 | 83.8 | 46.7 | 84.4 | 47 | 0.115100 | 0.186950 |
| Jarabak ratio (%) | 60.32 | 35.6 | 56.5 | 33.5 | 56.7 | 33.6 | 0.015010 * | 0.088904 |
Disclaimer/Publisher’s Note: The statements, opinions and data contained in all publications are solely those of the individual author(s) and contributor(s) and not of MDPI and/or the editor(s). MDPI and/or the editor(s) disclaim responsibility for any injury to people or property resulting from any ideas, methods, instructions or products referred to in the content. |
© 2023 by the authors. Licensee MDPI, Basel, Switzerland. This article is an open access article distributed under the terms and conditions of the Creative Commons Attribution (CC BY) license (https://creativecommons.org/licenses/by/4.0/).
Share and Cite
Ban, A.; Roman, R.; Bran, S.; Băciuț, M.; Dinu, C.; Crasnean, E.; Almășan, O.; Hedeșiu, M. Botulinum Toxin Injection into the Digastric Muscle: Current Clinical Use and a Report of Five Cases. Biomedicines 2023, 11, 2767. https://doi.org/10.3390/biomedicines11102767
Ban A, Roman R, Bran S, Băciuț M, Dinu C, Crasnean E, Almășan O, Hedeșiu M. Botulinum Toxin Injection into the Digastric Muscle: Current Clinical Use and a Report of Five Cases. Biomedicines. 2023; 11(10):2767. https://doi.org/10.3390/biomedicines11102767
Chicago/Turabian StyleBan, Alina, Raluca Roman, Simion Bran, Mihaela Băciuț, Cristian Dinu, Emil Crasnean, Oana Almășan, and Mihaela Hedeșiu. 2023. "Botulinum Toxin Injection into the Digastric Muscle: Current Clinical Use and a Report of Five Cases" Biomedicines 11, no. 10: 2767. https://doi.org/10.3390/biomedicines11102767
APA StyleBan, A., Roman, R., Bran, S., Băciuț, M., Dinu, C., Crasnean, E., Almășan, O., & Hedeșiu, M. (2023). Botulinum Toxin Injection into the Digastric Muscle: Current Clinical Use and a Report of Five Cases. Biomedicines, 11(10), 2767. https://doi.org/10.3390/biomedicines11102767

