Comparing the Biology of Young versus Old Age Estrogen-Receptor-Positive Breast Cancer through Gene and Protein Expression Analyses
Abstract
1. Introduction
2. Materials and Methods
2.1. Breast Cancer Tissues
2.2. RNA Extraction
2.3. Transcriptomic Profiling
2.4. Differential Gene Expression Analysis
2.5. In Silico Validation for the Differentially Expressed Genes by Young Age Breast Cancer Tissues
2.6. Analysis of Prognostic Significance of the Differentially Expressed Genes by ER-Positive Young-Age Breast Cancer
2.7. Protein Expression Analysis Using Immunohistochemical (IHC) Staining
2.7.1. Breast Cancer Tissue Blocks
2.7.2. Immunohistochemical Staining
2.7.3. IHC Scoring
2.8. Statistical Analysis
3. Results
3.1. Patients and Clinicopathological Characteristics of Breast Cancer Samples
3.2. Differentially Expressed Genes
3.3. In Silico Validation of the Differentially Expressed Genes by Young-Age Breast Cancer
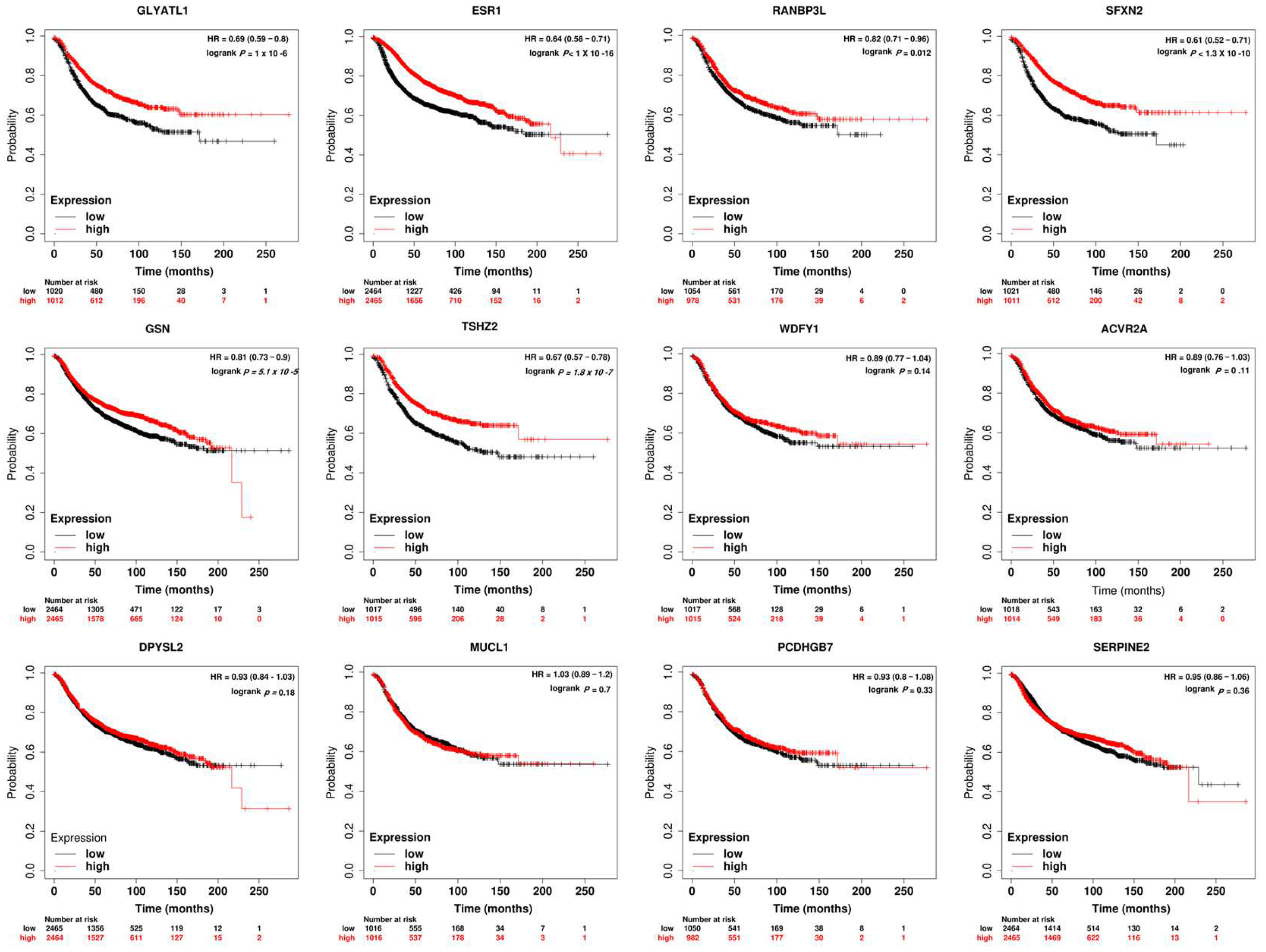
3.4. Prognostic Significance of the Differentially Expressed Genes by Young Age ER-Positive Breast Cancer
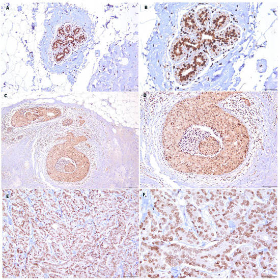
3.5. Evaluation of GLYALT-1 and RANBP3L Protein Expression Using Immunohistochemical Analysis
3.5.1. GLYATL-1 Expression in Breast Carcinoma Tissues
3.5.2. Association between GLYATL-1 Expression with the Age and Other Clinicopathological Parameters of Patients with Breast Carcinoma
3.5.3. Expression of RANBP3L in Breast Cancer Tissues
3.5.4. Association between RANBP3L Expression and Age and Other Clinicopathological Parameters of Patients with Breast Carcinoma
4. Discussion
5. Conclusions
Supplementary Materials
Author Contributions
Funding
Institutional Review Board Statement
Informed Consent Statement
Data Availability Statement
Acknowledgments
Conflicts of Interest
References
- Bleyer, A.; on behalf of the Biology and Clinical Trials Subgroups of the US National Cancer Institute Progress Review Group in Adolescent and Young Adult Oncology; Barr, R.; Hayes-Lattin, B.; Thomas, D.; Ellis, C.; Anderson, B. The distinctive biology of cancer in adolescents and young adults. Nat. Rev. Cancer 2008, 8, 288–298. [Google Scholar] [CrossRef]
- Beadle, B.M.; Woodward, W.; Buchholz, T.A. The Impact of Age on Outcome in Early-Stage Breast Cancer. Semin. Radiat. Oncol. 2011, 21, 26–34. [Google Scholar] [CrossRef] [PubMed]
- Yıldırım, E.; Dalgıç, T.; Berberoğlu, U. Prognostic significance of young age in breast cancer. J. Surg. Oncol. 2000, 74, 267–272. [Google Scholar] [CrossRef] [PubMed]
- Kataoka, A.; Iwamoto, T.; Tokunaga, E.; Tomotaki, A.; Kumamaru, H.; Miyata, H.; Niikura, N.; Kawai, M.; Anan, K.; Hayashi, N.; et al. Young adult breast cancer patients have a poor prognosis independent of prognostic clinicopathological factors: A study from the Japanese Breast Cancer Registry. Breast Cancer Res. Treat. 2016, 160, 163–172. [Google Scholar] [CrossRef] [PubMed]
- Maggard, M.A.; O’Connell, J.B.; Lane, K.E.; Liu, J.H.; Etzioni, D.A.; Ko, C.Y. Do young breast cancer patients have worse outcomes? J. Surg. Res. 2003, 113, 109–113. [Google Scholar] [CrossRef] [PubMed]
- Bertheau, P.; Steinberg, S.M.; Cowan, K.; Merino, M.J. Breast cancer in young women: Clinicopathologic correlation. Semin. Diagn. Pathol. 1999, 16, 248–256. [Google Scholar]
- Ahn, S.H.; Son, B.H.; Kim, S.W.; Kim, S.I.; Jeong, J.; Ko, S.-S.; Han, W. Poor Outcome of Hormone Receptor–Positive Breast Cancer at Very Young Age Is Due to Tamoxifen Resistance: Nationwide Survival Data in Korea—A Report From the Korean Breast Cancer Society. J. Clin. Oncol. 2007, 25, 2360–2368. [Google Scholar] [CrossRef]
- Partridge, A.H.; Hughes, M.E.; Warner, E.T.; Ottesen, R.A.; Wong, Y.-N.; Edge, S.B.; Theriault, R.L.; Blayney, D.W.; Niland, J.C.; Winer, E.P.; et al. Subtype-Dependent Relationship Between Young Age at Diagnosis and Breast Cancer Survival. J. Clin. Oncol. 2016, 34, 3308–3314. [Google Scholar] [CrossRef]
- Anders, C.K.; Hsu, D.S.; Broadwater, G.; Acharya, C.R.; Foekens, J.A.; Zhang, Y.; Wang, Y.; Marcom, P.K.; Marks, J.R.; Febbo, P.G.; et al. Young Age at Diagnosis Correlates With Worse Prognosis and Defines a Subset of Breast Cancers With Shared Patterns of Gene Expression. J. Clin. Oncol. 2008, 26, 3324–3330. [Google Scholar] [CrossRef] [PubMed]
- Anders, C.K.; Fan, C.; Parker, J.S.; Carey, L.A.; Blackwell, K.L.; Klauber-Demore, N.; Perou, C. Breast Carcinomas Arising at a Young Age: Unique Biology or a Surrogate for Aggressive Intrinsic Subtypes? J. Clin. Oncol. 2011, 29, e18–e20. [Google Scholar] [CrossRef]
- Azim, H.A.; Michiels, S.; Bedard, P.L.; Singhal, S.K.; Criscitiello, C.; Ignatiadis, M.; Haibe-Kains, B.; Piccart, M.J.; Sotiriou, C.; Loi, S. Elucidating Prognosis and Biology of Breast Cancer Arising in Young Women Using Gene Expression Profiling. Clin. Cancer Res. 2012, 18, 1341–1351. [Google Scholar] [CrossRef] [PubMed]
- Johnson, R.H.; Hu, P.; Fan, C.; Anders, C.K. Gene expression in ‘young adult type’ breast cancer: A retrospective analysis. Oncotarget 2015, 6, 13688. [Google Scholar] [CrossRef] [PubMed]
- Liao, S.; Hartmaier, R.J.; McGuire, K.P.; Puhalla, S.L.; Luthra, S.; Chandran, U.R.; Ma, T.; Bhargava, R.; Modugno, F.; Davidson, N.E.; et al. The molecular landscape of premenopausal breast cancer. Breast Cancer Res. 2015, 17, 104. [Google Scholar] [CrossRef] [PubMed]
- Malvia, S.; Bagadi, S.A.R.; Pradhan, D.; Chintamani, C.; Bhatnagar, A.; Arora, D.; Sarin, R.; Saxena, S. Study of Gene Expression Profiles of Breast Cancers in Indian Women. Sci. Rep. 2019, 9, 10018. [Google Scholar] [CrossRef]
- Ingebriktsen, L.M.; Finne, K.; Akslen, L.A.; Wik, E. A novel age-related gene expression signature associates with proliferation and disease progression in breast cancer. Br. J. Cancer 2022, 127, 1865–1875. [Google Scholar] [CrossRef]
- Lumachi, F.; Brunello, A.; Maruzzo, M.; Basso, U.; Basso, S.M.M. Treatment of Estrogen Receptor-Positive Breast Cancer. Curr. Med. Chem. 2013, 20, 596–604. [Google Scholar] [CrossRef]
- Irizarry, R.A.; Bolstad, B.M.; Collin, F.; Cope, L.M.; Hobbs, B.; Speed, T.P. Summaries of Affymetrix GeneChip probe level data. Nucleic Acids Res. 2003, 31, e15. [Google Scholar] [CrossRef]
- Chandrashekar, D.S.; Karthikeyan, S.K.; Korla, P.K.; Patel, H.; Shovon, A.R.; Athar, M.; Netto, G.J.; Qin, Z.S.; Kumar, S.; Manne, U.; et al. UALCAN: An update to the integrated cancer data analysis platform. Neoplasia 2022, 25, 18–27. [Google Scholar] [CrossRef]
- Győrffy, B. Survival analysis across the entire transcriptome identifies biomarkers with the highest prognostic power in breast cancer. Comput. Struct. Biotechnol. J. 2021, 19, 4101–4109. [Google Scholar] [CrossRef]
- Azim, H.A.; Peccatori, F.A.; Brohée, S.; Branstetter, D.; Loi, S.; Viale, G.; Piccart, M.; Dougall, W.C.; Pruneri, G.; Sotiriou, C. RANK-ligand (RANKL) expression in young breast cancer patients and during pregnancy. Breast Cancer Res. 2015, 17, 24. [Google Scholar] [CrossRef]
- de la Nava, J.G.; van Hijum, S.; Trelles, O. Saturation and quantization reduction in microarray experiments using two scans at different sensitivities. Stat. Appl. Genet. Mol. Biol. 2004, 3. [Google Scholar] [CrossRef]
- Rmaileh, A.A.; Solaimuthu, B.; Ben Yosef, M.; Khatib, A. Dihydropyrimidinase-like 2 (DPYSL2) regulates breast cancer migration via a JAK/STAT3/vimentin axis. bioRxiv 2021, 2. [Google Scholar] [CrossRef]
- Conley, S.J.; Bosco, E.E.; Tice, D.A.; Hollingsworth, R.E.; Herbst, R.; Xiao, Z. HER2 drives Mucin-like 1 to control proliferation in breast cancer cells. Oncogene 2016, 35, 4225–4234. [Google Scholar] [CrossRef]
- Chen, C.; Wang, S.; Liu, P. Deferoxamine Enhanced Mitochondrial Iron Accumulation and Promoted Cell Migration in Triple-Negative MDA-MB-231 Breast Cancer Cells Via a ROS-Dependent Mechanism. Int. J. Mol. Sci. 2019, 20, 4952. [Google Scholar] [CrossRef] [PubMed]
- Borhan, A.; Nozarian, Z.; Abdollahi, A.; Shahsiah, R.; Mohammadpour, H.; Borhan, A. Evaluation of the Relationship Between Expression of Villin and Gelsolin Genes and Axillary Lymph Node Metastasis in Patients with Breast Cancer. Iran. J. Pathol. 2021, 16, 27–32. [Google Scholar] [CrossRef] [PubMed]
- Chernyakov, D.; Groß, A.; Fischer, A.; Bornkessel, N.; Schultheiss, C.; Gerloff, D.; Edemir, B. Loss of RANBP3L leads to transformation of renal epithelial cells towards a renal clear cell carcinoma like phenotype. J. Exp. Clin. Cancer Res. 2021, 40, 226. [Google Scholar] [CrossRef] [PubMed]
- Chernyakov, D.; Bornkessel, N.; Fischer, A.; Groß, A.; Edemir, B. RanBP3L is a NFAT5 target gene and its deficiency in principal cells promotes epithelial mesenchymal transition through MAPK signaling. FASEB J. 2020, 34, 1. [Google Scholar] [CrossRef]
- Kim, C.; Tang, G.; Pogue-Geile, K.L.; Costantino, J.P.; Baehner, F.L.; Baker, J.; Cronin, M.T.; Watson, D.; Shak, S.; Bohn, O.L.; et al. Estrogen Receptor (ESR1) mRNA Expression and Benefit From Tamoxifen in the Treatment and Prevention of Estrogen Receptor–Positive Breast Cancer. J. Clin. Oncol. 2011, 29, 4160–4167. [Google Scholar] [CrossRef]
- Wodziński, D.; Wosiak, A.; Pietrzak, J.; Świechowski, R.; Jeleń, A.; Balcerczak, E. Does the expression of the ACVR2A gene affect the development of colorectal cancer? Genet. Mol. Biol. 2019, 42, 32–39. [Google Scholar] [CrossRef]
- Guan, R.; Hong, W.; Huang, J.; Peng, T.; Zhao, Z.; Lin, Y.; Yu, M.; Jian, Z. The expression and prognostic value of GLYATL1 and its potential role in hepatocellular carcinoma. J. Gastrointest. Oncol. 2020, 11, 1305–1321. [Google Scholar] [CrossRef]
- Eich, M.L.; Chandrashekar, D.S.; Rodriguez Peña, M.D.C.; Robinson, A.D.; Siddiqui, J.; Daignault-Newton, S.; Chakravarthi, B.V.S.K.; Kunju, L.P.; Netto, G.J.; Varambally, S. Characterization of glycine-N-acyltransferase like 1 (GLYATL1) in prostate cancer. Prostate 2019, 79, 1629–1639. [Google Scholar] [CrossRef] [PubMed]
- Uribe, M.L.; Dahlhoff, M.; Batra, R.N.; Nataraj, N.B.; Haga, Y.; Drago-Garcia, D.; Marrocco, I.; Sekar, A.; Ghosh, S.; Yarden, Y.; et al. TSHZ2 is an EGF-regulated tumor suppressor that binds to the cytokinesis regulator PRC1 and inhibits metastasis. Sci. Signal. 2021, 14, eabe6156. [Google Scholar] [CrossRef] [PubMed]
- Smirnova, T.; Bonapace, L.; MacDonald, G.; Kondo, S.; Wyckoff, J.; Ebersbach, H.; Fayard, B.; Doelemeyer, A.; Coissieux, M.-M.; Heideman, M.R.; et al. Serpin E2 promotes breast cancer metastasis by remodeling the tumor matrix and polarizing tumor associated macrophages. Oncotarget 2016, 7, 82289–82304. [Google Scholar] [CrossRef] [PubMed]
- Haricharan, S.; Brown, P. TLR4 has a TP53-dependent dual role in regulating breast cancer cell growth. Proc. Natl. Acad. Sci. USA 2015, 112, E3216–E3225. [Google Scholar] [CrossRef] [PubMed]
- Li, A.-M.; Tian, A.-X.; Zhang, R.-X.; Ge, J.; Sun, X.; Cao, X.-C. Protocadherin-7 induces bone metastasis of breast cancer. Biochem. Biophys. Res. Commun. 2013, 436, 486–490. [Google Scholar] [CrossRef]
- Yang, Y.; Wei, W.; Jin, L.; He, H.; Wei, M.; Shen, S.; Pi, H.; Liu, Z.; Li, H.; Liu, J. Comparison of the Characteristics and Prognosis Between Very Young Women and Older Women With Breast Cancer: A Multi-Institutional Report From China. Front. Oncol. 2022, 12. [Google Scholar] [CrossRef]
- Copeland, J.; Oyedeji, A.; Powell, N.; Cherian, C.J.; Tokumaru, Y.; Murthy, V.; Takabe, K.; Young, J. Breast Cancer in Jamaica: Stage, Grade and Molecular Subtype Distributions Across Age Blocks, the Implications for Screening and Treatment. World J. Oncol. 2021, 12, 93–103. [Google Scholar] [CrossRef]
- Bollet, M.A.; Sigal-Zafrani, B.; Mazeau, V.; Savignoni, A.; de la Rochefordière, A.; Vincent-Salomon, A.; Salmon, R.; Campana, F.; Kirova, Y.M.; Dendale, R.; et al. Age remains the first prognostic factor for loco-regional breast cancer recurrence in young (<40 years) women treated with breast conserving surgery first. Radiother. Oncol. 2007, 82, 272–280. [Google Scholar] [CrossRef]
- Azim, H.A.; Partridge, A.H. Biology of breast cancer in young women. Breast Cancer Res. 2014, 16, 427. [Google Scholar] [CrossRef]
- Gabriel, C.; Domchek, S. Breast cancer in young women. Breast Cancer Res. 2010, 12, 212. [Google Scholar] [CrossRef]
- Chen, F.; Lin, X.; Xu, P.; Zhang, Z.; Chen, Y.; Wang, C.; Han, J.; Zhao, B.; Xiao, M.; Feng, X.-H. Nuclear Export of Smads by RanBP3L Regulates Bone Morphogenetic Protein Signaling and Mesenchymal Stem Cell Differentiation. Mol. Cell. Biol. 2015, 35, 1700–1711. [Google Scholar] [CrossRef] [PubMed]
- Stossi, F.; Madak-Erdoğan, Z.; Katzenellenbogen, B.S. Macrophage-elicited loss of estrogen receptor-α in breast cancer cells via involvement of MAPK and c-Jun at the ESR1 genomic locus. Oncogene 2011, 31, 1825–1834. [Google Scholar] [CrossRef] [PubMed]
- Chen, Y.; Qian, J.; Ding, P.; Wang, W.; Li, X.; Tang, X.; Tang, C.; Yang, Y.; Gu, C. Elevated SFXN2 limits mitochondrial autophagy and increases iron-mediated energy production to promote multiple myeloma cell proliferation. Cell Death Dis. 2022, 13, 1–14. [Google Scholar] [CrossRef]
- Colpitts, T.L.; Billing, P.; Granados, E.; Hayden, M.; Hodges, S.; Roberts, L.; Russell, J.; Friedman, P.; Stroupe, S. Identification and Immunohistochemical Characterization of a Mucin-Like Glycoprotein Expressed in Early Stage Breast Carcinoma. Tumor Biol. 2002, 23, 263–278. [Google Scholar] [CrossRef]
- Koussounadis, A.; Langdon, S.P.; Um, I.H.; Harrison, D.; Smith, V.A. Relationship between differentially expressed mRNA and mRNA-protein correlations in a xenograft model system. Sci. Rep. 2015, 5, srep10775. [Google Scholar] [CrossRef]
- Gry, M.; Rimini, R.; Strömberg, S.; Asplund, A.; Pontén, F.; Uhlén, M.; Nilsson, P. Correlations between RNA and protein expression profiles in 23 human cell lines. BMC Genom. 2009, 10, 365. [Google Scholar] [CrossRef] [PubMed]
- Tian, X.; Wu, L.; Jiang, M.; Zhang, Z.; Wu, R.; Miao, J.; Liu, C.; Gao, S. Downregulation of GLYAT Facilitates Tumor Growth and Metastasis and Poor Clinical Outcomes Through the PI3K/AKT/Snail Pathway in Human Breast Cancer. Front. Oncol. 2021, 11. [Google Scholar] [CrossRef] [PubMed]
- Sotiriou, C.; Neo, S.-Y.; McShane, L.M.; Korn, E.L.; Long, P.M.; Jazaeri, A.; Martiat, P.; Fox, S.B.; Harris, A.L.; Liu, E.T. Breast cancer classification and prognosis based on gene expression profiles from a population-based study. Proc. Natl. Acad. Sci. USA 2003, 100, 10393–10398. [Google Scholar] [CrossRef]
- Magbanua, M.J.M.; Wolf, D.M.; Yau, C.; Davis, S.E.; Crothers, J.; Au, A.; Haqq, C.M.; Livasy, C.; Rugo, H.S.; Esserman, L.; et al. Serial expression analysis of breast tumors during neoadjuvant chemotherapy reveals changes in cell cycle and immune pathways associated with recurrence and response. Breast Cancer Res. 2015, 17, 1–13. [Google Scholar] [CrossRef]





| Patients ID | Age/Year | Age Group | Tumor Size/cm | TNM Stage | Bloom Richardson Grading | Lymph Node Status | Histological Subtype | ER | PR | HER-2 |
|---|---|---|---|---|---|---|---|---|---|---|
| 2 | 58 | Old | 2 to 5 | pT1N1 | Grade 2 | Positive | IDC-NST | Positive | Positive | 3+ |
| 3 | 82 | Old | 2 to 5 | Unknown | Grade 1 | Negative | Mucinous | Positive | Positive | 1+ |
| 5 | 45 | Young | 2 to 5 | pT2N3a | Grade 2 | Positive | IDC-NST | Positive | Positive | 3+ |
| 7 | 39 | Young | >5 cm | pT3N0Mx | Grade 3 | Negative | IDC-NST | Positive | Negative | 3+ |
| 8 | 43 | Young | 2 to 5 | PT2N2a | Grade 2 | Positive | IDC-NST | Positive | Positive | 3+ |
| 9 | 67 | Old | <2 cm | pT1cN3a | Grade 2 | Positive | IDC-NST | Positive | Positive | 1+ |
| 10 | 45 | Young | 2 to 5 | pT2N1 | Grade 3 | Positive | IDC-NST | Positive | Positive | 3+ |
| 12 | 60 | Old | >5 cm | Unknown | Grade 1 | Negative | IDC-NST | Positive | Positive | 1+ |
| 13 | 38 | Young | <2 cm | pT1N2aMx | Grade 2 | Positive | IDC-NST | Positive | Positive | 3+ |
| 17 | 69 | Old | <2 cm | pT2pN0 | Grade 3 | Negative | IDC-NST | Positive | Negative | 3+ |
| 18 | 45 | Young | <2 cm | pT2N2aMx | Grade 2 | Positive | IDC-NST | Positive | Positive | 1+ |
| 19 | 61 | Old | >5 cm | pT3N3a | Grade 3 | Positive | IDC-NST | Positive | Positive | 1+ |
| Young Average (log2) | Old Average (log2) | Fold Change | p-Value | FDR p-Value | Gene Symbol | Description |
|---|---|---|---|---|---|---|
| 9.99 | 7.91 | 4.25 | 7.30 × 10−7 | 0.0099 | DPYSL2 | Dihydropyrimidinase-like 2 |
| 15.26 | 6.45 | 448.69 | 9.25 × 10−7 | 0.0099 | MUCL1 | Mucin-like 1 |
| 6.59 | 8.84 | −4.76 | 5.35 × 10−6 | 0.0247 | SFXN2 | Sideroflexin 2 |
| 12.42 | 10.69 | 3.32 | 5.47 × 10−6 | 0.0247 | GSN | Gelsolin |
| 6.61 | 10.44 | −14.28 | 6.71 × 10−6 | 0.0247 | RANBP3L | RAN binding protein 3-like |
| 8.63 | 13.13 | −22.62 | 6.90 × 10−6 | 0.0247 | ESR1 | Estrogen receptor 1 |
| 10.7 | 8.5 | 4.6 | 1.30 × 10−5 | 0.0332 | ACVR2A | Activin A receptor type IIA |
| 5.17 | 9.59 | −21.37 | 1.35 × 10−5 | 0.0332 | GLYATL1 | Glycine-N-acyltransferase-like 1 |
| 9.76 | 6.68 | 8.44 | 1.39 × 10−5 | 0.0332 | TSHZ2 | Teashirt zinc finger homeobox 2 |
| 9.96 | 6.75 | 9.27 | 2.60 × 10−5 | 0.0497 | SERPINE2 | Serpin peptidase inhibitor, clade E |
| 10.1 | 8.77 | 2.52 | 2.63 × 10−5 | 0.0497 | WDFY1 | WD repeat and FYVE domain containing 1 |
| 8.41 | 6.55 | 3.63 | 2.78 × 10−5 | 0.0497 | PCDHGB7 | Protocadherin gamma subfamily B, 7 |
| Gene ID | Expression Status in Young-Age Breast Cancer | Fold Change | FDR p-Value | Significance from Previous Literature | References |
|---|---|---|---|---|---|
| DPYSL2 | Up-regulated | 4.25 | 0.0099 | DYYSL2 is a regulator of cytoskeletal dynamics in growing axons. DPYSL2 knockout in mesenchymal-like cells inhibits cell migration, invasion, stemness features, tumour growth rate, and metastasis. Interaction between DPYSL2 and Janus kinase 1 induces the expression of vimentin which is a marker for epithelial-mesenchymal transition (EMT) and involved in cancer progression. | [22] |
| MUCL1 | Up-regulated | 448.69 | 0.0099 | Higher expression of MUCL1 was observed in HER2-amplified breast tumors. MUCL1 plays an essential role for MUCL1 in the proliferation of breast cancer cells, through the FAK/JNK signaling pathway. | [23] |
| SFXN2 | Down-regulated | −4.76 | 0.0247 | Loss of SFXN2 resulted in the accumulation of mitochondrial iron, and increased mitochondrial iron levels in TNBC generated large amounts of ROS that activated the NF-κB and TGF-β signaling pathways, which eventually promoted cell migration. | [24] |
| GSN | Up-regulated | 3.32 | 0.0247 | Higher expression of gelsolin was reported to be associated with axillary lymph node metastasis. | [25] |
| RANBP3L | Down-regulated | 14.28 | 0.0277 | In murine renal cells, loss of Ranbp3L expression resulted in the loss of epithelial characteristics, enhanced migration behavior and colony-forming capacity, and substantially altered gene expression profiles. | [26,27] |
| ESR1 | Down-regulated | −22.62 | 0.0247 | In estrogen receptor-positive breast cancer, a low level of ESR1 mRNA expression was a determinant of tamoxifen resistance in both adjuvant treatment and prevention settings. | [28] |
| ACVR2A | Up-regulated | 4.65 | 0.0259 | Over-expression of ACVR2A was associated with larger tumors (T3 and T4) in colorectal cancer clinical samples. This indicates an association between ACVR2A expression and the tumor growth process. | [29] |
| GLYATL1 | Down-regulated | −21.37 | 0.0332 | Down-regulated in several cancers and loss of expression was associated with higher tumor grade and poor prognosis in prostate adenocarcinoma and hepatocellular carcinoma patients. | [30,31] |
| TSHZ2 | Up-regulated | 8.44 | 0.0332 | Up-regulation of TSHZ2 was found to repress tumor growth and metastasis and induce mammary gland development in mice. | [32] |
| SERPINE2 | Up-regulated | 9.27 | 0.0497 | SerpinE2 overexpression in breast cancer was shown to promote metastatic spread by modulating the extracellular matrix. | [33] |
| WDFY1 | Up-regulated | 2.52 | 0.0497 | WDFY1 positively regulated Toll-like receptor (TLR) 3 and 4 signalings. TLR signaling regulates breast cancer cell proliferation in TP53 mutated cells. | [34] |
| PCDHGB7 | Up-regulated | 3.63 | 0.0497 | Overexpression of PCDH7 stimulated breast cancer cell proliferation and invasion in vitro and the formation of bone metastasis in vivo. PCDH7 was found to play role in bone metastasis in breast cancer. | [35] |
| Demographic and Clinicopathological Characteristics | Frequency (Percentage) |
|---|---|
| Age | |
| Old (≥55 years) | 25 (44.6) |
| Young (≤45 years) | 31 (55.4) |
| Tumor size | |
| <2 cm | 9 (16.1) |
| >5 cm | 8 (14.3) |
| 2–5 cm | 30 (53.6) |
| Unknown | 9 (16.1) |
| Histopathological grade (Modified Bloom Richardson Grading system) | |
| Grade 1 | 12 (21.4) |
| Grade 2 | 25 (44.6) |
| Grade 3 | 13 (23.2) |
| Unknown | 6 (10.7) |
| Histopathological subtype | |
| Invasive carcinoma, No Special Type (NST) | 48 (85.7) |
| Other subtypes | 7 (12.5) |
| Unknown | 1 (1.8) |
| Lymph node positivity | |
| Negative | 18 (32.1) |
| Positive | 29 (51.8) |
| Unknown | 9 (16.1) |
| Progesterone receptor status | |
| Negative | 9 (16.1) |
| Positive | 47 (83.9) |
| HER-2 expression | |
| Negative | 35 (62.5) |
| Positive | 14 (25.0) |
| Unknown | 7 (12.5) |
| GLYATL-1 expression | |
| High | 23 (41.1) |
| Low | 33 (58.9) |
| Demographic and Clinicopathological Characteristics | Frequency (Percentage) |
|---|---|
| Age | |
| Old (≥55 years) | 41 (55.4) |
| Young (≤45 years) | 33 (44.6) |
| Tumor size | |
| <2 cm | 11 (14.9) |
| >5 cm | 13 (17.6) |
| 2–5 cm | 38 (51.4) |
| Unknown | 12 (16.2) |
| Histopathological grade (Modified Bloom Richardson Grading system) | |
| Grade 1 | 24 (32.4) |
| Grade 2 | 31 (41.9) |
| Grade 3 | 14 (18.9) |
| Unknown | 5 (6.8) |
| Histopathological subtype | |
| Invasive carcinoma, No Special Type (NST) | 62 (83.8) |
| Other subtypes | 12 (16.2) |
| Lymph node positivity | |
| Negative | 27 (36.5) |
| Positive | 31 (41.9) |
| Unknown | 16 (21.6) |
| Progesterone receptor status | |
| Negative | 12 (16.2) |
| Positive | 60 (81.1) |
| Unknown | 2 (2.7) |
| HER-2 expression | |
| Negative | 49 (66.2) |
| Positive | 16 (21.6) |
| Unknown | 9 (12.2) |
| RANBP3L expression | |
| High | 47 (63.5) |
| Low | 27 (36.5) |
| Parameters | N | GLYATL-1 Expression | p-Value | |
|---|---|---|---|---|
| High | Low | |||
| Total, n (%) | 56 | 23 (41.1) | 33 (58.9) | |
| Age (years) | 0.551 | |||
| ≥55 | 25 (44.6) | 10 (43.5) | 15 (45.5) | |
| ≤ 45 | 31 (55.4) | 13 (56.5) | 18 (54.5) | |
| Tumor size | 0.507 | |||
| <2 cm | 9 (16.1) | 2 (8.7) | 7 (21.2) | |
| >5 cm | 8 (14.3) | 4 (17.4) | 4 (12.1) | |
| 2–5 cm | 30 (53.6) | 12 (52.2) | 18 (54.5) | |
| Unknown | 9 (16.1) | 5 (21.7) | 4 (12.1) | |
| Histopathological grade | 0.574 | |||
| Grade 1 | 12 (21.4) | 5 (21.7) | 7 (21.2) | |
| Grade 2 | 25 (44.6) | 10 (43.5) | 15 (45.5) | |
| Grade 3 | 13 (23.2) | 4 (17.4) | 9 (27.3) | |
| Unknown | 6 (10.7) | 4 (17.4) | 2 (6.1) | |
| Histopathological Subtype | 0.11 | |||
| Invasive carcinoma, No Special Type (NST) | 48 (15.2) | 18 (78.3) | 30 (90.9) | |
| Other subtypes | 7 (67.5) | 5 (21.7) | 2 (6.1) | |
| Unknown | 1 (1.8) | 0 (0.0) | 1 (3.0) | |
| Lymph node status | 0.005 | |||
| Negative | 18 (32.1) | 12 (52.2) | 6 (18.2) | |
| Positive | 29 (51.8) | 6 (26.1) | 23 (69.7) | |
| Unknown | 9 (16.1) | 5 (21.7) | 4 (12.1) | |
| PR status | 0.449 | |||
| Negative | 9 (16.1) | 3 (13.0) | 6 (18.2) | |
| Positive | 47 (83.9) | 20 (87.0) | 27 (81.8) | |
| HER-2 | 0.786 | |||
| Negative | 35 (62.5) | 13 (56.5) | 22 (66.7) | |
| Positive | 14 (25.0) | 7 (30.4) | 7 (21.2) | |
| Unknown | 7 (12.5) | 3 (13.0) | 4 (12.1) | |
| Parameters | N | RANBP3L Expression | p-Value | |
|---|---|---|---|---|
| High | Low | |||
| Total, n (%) | 74 | 47 (63.5) | 27 (36.5) | |
| Age (years) | 0.108 | |||
| ≥55 | 41 (55.4) | 23 (48.9) | 18 (66.7) | |
| ≤45 | 33 (44.6) | 24 (51.1) | 9 (33.3) | |
| Tumor size | 0.088 | |||
| <2 cm | 11 (14.9) | 5 (10.6) | 6 (22.2) | |
| >5 cm | 13 (17.6) | 7 (14.9) | 6 (22.2) | |
| 2–5 cm | 38 (51.4) | 24 (51.1) | 14 (51.9) | |
| Unknown | 12 (16.2) | 11 (23.4) | 1 (3.7) | |
| Histopathological grade | 0.038 | |||
| Grade I | 24 (32.4) | 20 (42.6) | 4(18.4) | |
| Grade II | 31 (41.9) | 19 (40.4) | 12 (44.4) | |
| Grade III | 14 (18.9) | 6 (12.8) | 8 (29.6) | |
| Unknown | 5 (6.8) | 2 (4.3) | 3 (11.1) | |
| Histopathological Subtype | 0.54 | |||
| Invasive carcinoma, No Special Type (NST) | 62 (83.8) | 39 (83.0) | 23 (85.2) | |
| Other subtypes | 12 (16.2) | 8 (17.0) | 4 (14.8) | |
| Lymph node status | 0.202 | |||
| Negative | 27 (36.5) | 19 (40.4) | 8 (29.6) | |
| Positive | 31 (41.9) | 16 (34.0) | 15 (55.6) | |
| Unknown | 16 (21.6) | 12 (25.5) | 4 (14.8) | |
| PR status | 0.108 | |||
| Negative | 12 (16.2) | 9 (19.1) | 3 (11.1) | |
| Positive | 60 (81.1) | 38 (80.9) | 22 (81.5) | |
| Unknown | 2 (2.7) | 0 (0.0) | 2 (7.4) | |
| HER-2 | 0.584 | |||
| Negative | 49 (66.2) | 29 (61.7) | 20 (74.1) | |
| Positive | 16 (21.6) | 11 (23.4) | 5 (18.5) | |
| Unknown | 9 (12.2) | 7 (14.9) | 2 (7.4) | |
Disclaimer/Publisher’s Note: The statements, opinions and data contained in all publications are solely those of the individual author(s) and contributor(s) and not of MDPI and/or the editor(s). MDPI and/or the editor(s) disclaim responsibility for any injury to people or property resulting from any ideas, methods, instructions or products referred to in the content. |
© 2023 by the authors. Licensee MDPI, Basel, Switzerland. This article is an open access article distributed under the terms and conditions of the Creative Commons Attribution (CC BY) license (https://creativecommons.org/licenses/by/4.0/).
Share and Cite
Siddig, A.; Wan Abdul Rahman, W.F.; Mohd Nafi, S.N.; Sulong, S.; Yahya, M.M.; Al-Astani Tengku Din, T.A.D.; Razali, R.; Musa, K.I. Comparing the Biology of Young versus Old Age Estrogen-Receptor-Positive Breast Cancer through Gene and Protein Expression Analyses. Biomedicines 2023, 11, 200. https://doi.org/10.3390/biomedicines11010200
Siddig A, Wan Abdul Rahman WF, Mohd Nafi SN, Sulong S, Yahya MM, Al-Astani Tengku Din TAD, Razali R, Musa KI. Comparing the Biology of Young versus Old Age Estrogen-Receptor-Positive Breast Cancer through Gene and Protein Expression Analyses. Biomedicines. 2023; 11(1):200. https://doi.org/10.3390/biomedicines11010200
Chicago/Turabian StyleSiddig, Alaa, Wan Faiziah Wan Abdul Rahman, Siti Norasikin Mohd Nafi, Sarina Sulong, Maya Mazuwin Yahya, Tengku Ahmad Damitri Al-Astani Tengku Din, Rozaimi Razali, and Kamarul Imran Musa. 2023. "Comparing the Biology of Young versus Old Age Estrogen-Receptor-Positive Breast Cancer through Gene and Protein Expression Analyses" Biomedicines 11, no. 1: 200. https://doi.org/10.3390/biomedicines11010200
APA StyleSiddig, A., Wan Abdul Rahman, W. F., Mohd Nafi, S. N., Sulong, S., Yahya, M. M., Al-Astani Tengku Din, T. A. D., Razali, R., & Musa, K. I. (2023). Comparing the Biology of Young versus Old Age Estrogen-Receptor-Positive Breast Cancer through Gene and Protein Expression Analyses. Biomedicines, 11(1), 200. https://doi.org/10.3390/biomedicines11010200

