Extrahepatic Disease in Hepatocellular Carcinoma: Do We Always Need Whole-Body CT or Is Liver MRI Sufficient? A Subanalysis of the SORAMIC Trial
Abstract
:1. Introduction
2. Materials and Methods
2.1. Study Population
2.2. Imaging
2.3. Clinical Assessment
2.4. Blinded Image Read and Truth Panel Assessment
2.5. Statistical Analysis
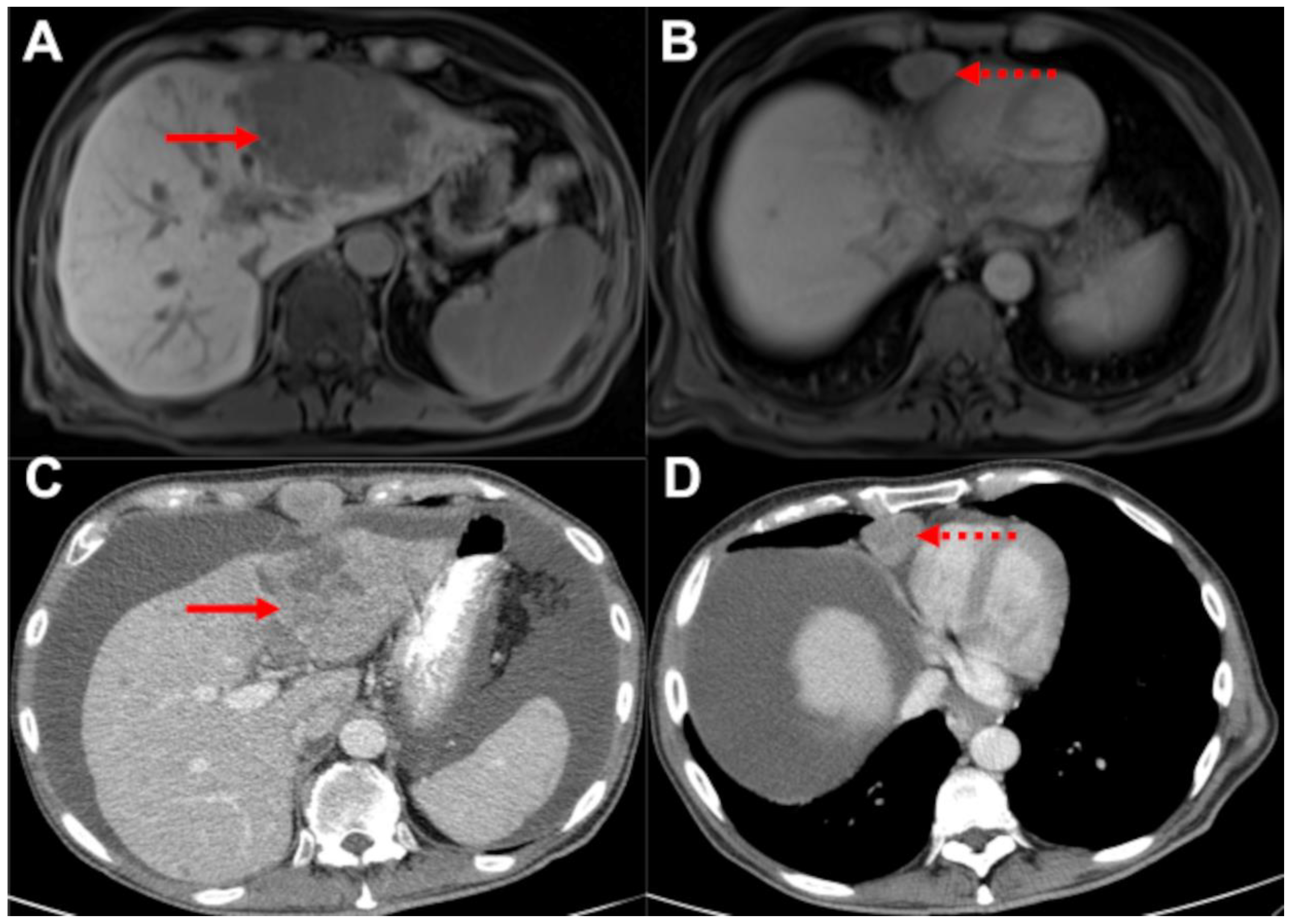
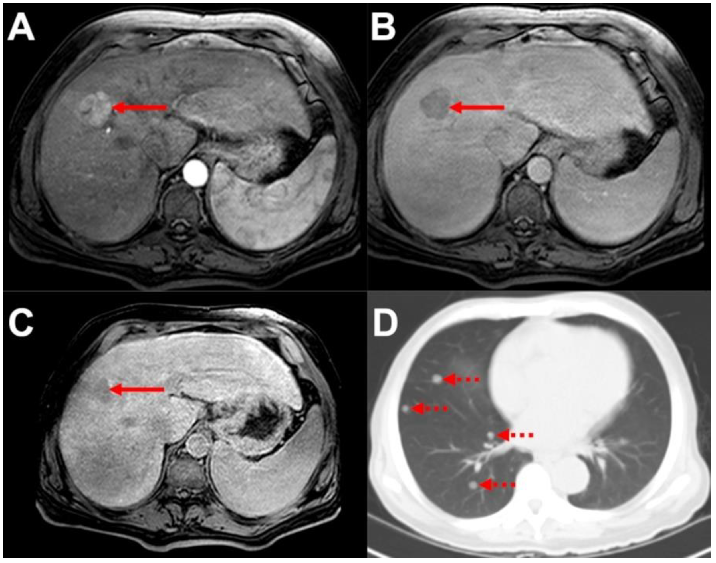
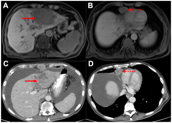
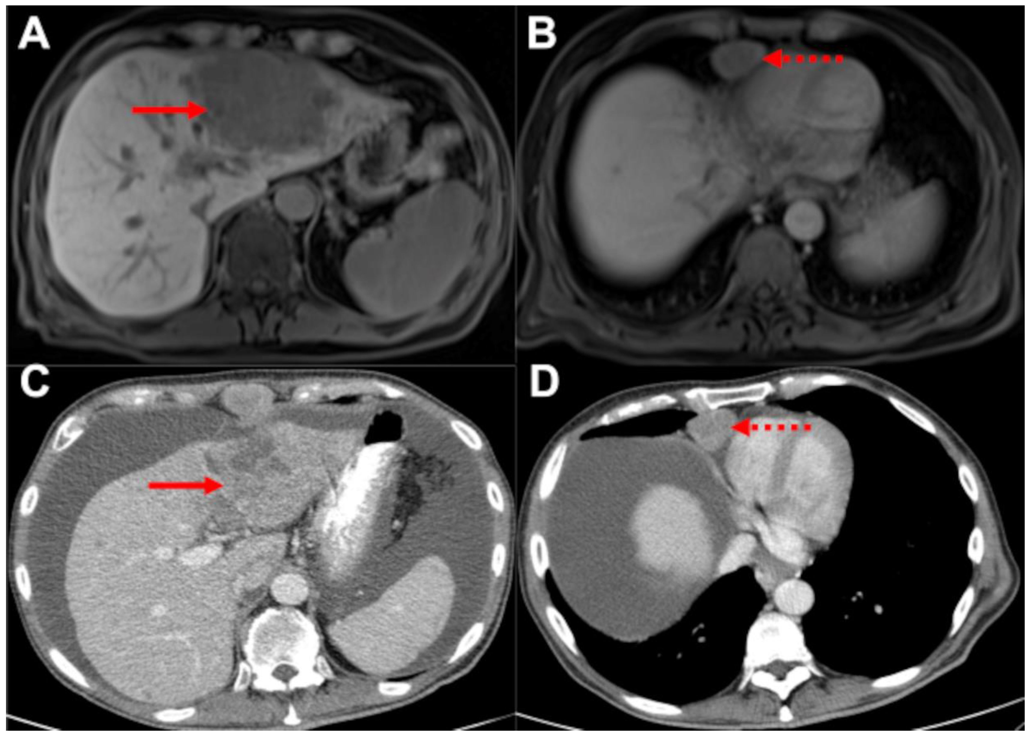
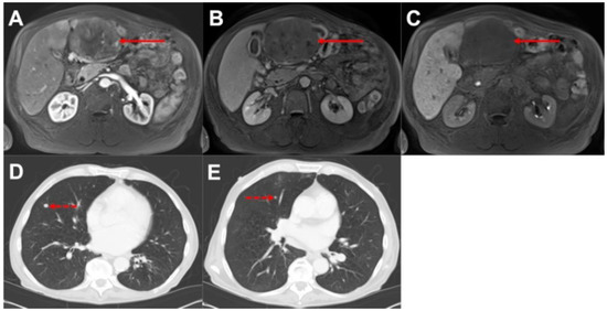
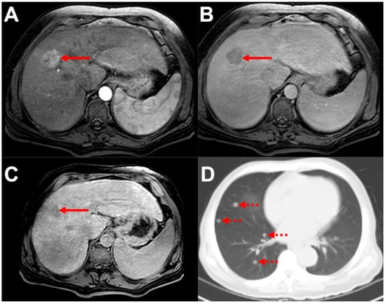
3. Results
- Reader group 1: 105 lesions in CT vs. 35 lesions in MRI, odds ratio 0.29, CI: 0.2–0.44.
- Reader group 2: 98 lesions in CT vs. 53 lesions in MRI, odds ratio 0.48, CI: 0.34–0.67.
4. Discussion
Author Contributions
Funding
Institutional Review Board Statement
Informed Consent Statement
Data Availability Statement
Conflicts of Interest
References
- Ceausu, M.; Socea, B.; Serban, D.; Smarandache, C.G.; Predescu, D.; Bacalbaşa, N.; Slavu, I.; Tulin, A.; Alecu, L.; Ceauşu, Z. Heterogeneity of antigenic constellation in human hepatocellular carcinoma. Exp. Ther. Med. 2021, 21, 270. [Google Scholar] [CrossRef] [PubMed]
- Manini, M.A.; Sangiovanni, A.; Fornari, F.; Piscaglia, F.; Biolato, M.; Fanigliulo, L.; Ravaldi, E.; Grieco, A.; Colombo, M. Clinical and economical impact of 2010 AASLD guidelines for the diagnosis of hepatocellular carcinoma. J. Hepatol. 2014, 60, 995–1001. [Google Scholar] [CrossRef] [PubMed]
- Kanda, M.; Tateishi, R.; Yoshida, H.; Sato, T.; Masuzaki, R.; Ohki, T.; Imamura, J.; Goto, T.; Yoshida, H.; Hamamura, K.; et al. Extrahepatic metastasis of hepatocellular carcinoma: Incidence and risk factors. Liver Int. 2008, 28, 1256–1263. [Google Scholar] [CrossRef] [PubMed]
- Yang, Y.; Nagano, H.; Ota, H.; Morimoto, O.; Nakamura, M.; Wada, H.; Noda, T.; Damdinsuren, B.; Marubashi, S.; Miyamoto, A.; et al. Patterns and clinicopathologic features of extrahepatic recurrence of hepatocellular carcinoma after curative resection. Surgery 2007, 141, 196–202. [Google Scholar] [CrossRef] [PubMed]
- Tonolini, M.; Solbiati, L.; Ierace, T.; Kirn, V.; Croce, F. Extrahepatic recurrence and second malignancies after treatment of hepatocellular carcinoma: Spectrum of imaging findings. Radiol. Med. 2002, 103, 196–205. [Google Scholar]
- Senthilnathan, S.; Memon, K.; Lewandowski, R.J.; Kulik, L.; Mulcahy, M.F.; Riaz, A.; Miller, F.H.; Yaghmai, V.; Nikolaidis, P.; Wang, E.; et al. Extrahepatic metastases occur in a minority of hepatocellular carcinoma patients treated with locoregional therapies: Analyzing patterns of progression in 285 patients. Hepatology 2012, 55, 1432–1442. [Google Scholar] [CrossRef]
- Jin, Y.J.; Lee, H.C.; Lee, D.; Shim, J.H.; Kim, K.M.; Lim, Y.S.; Do, K.H.; Ryu, J.S. Role of the routine use of chest computed tomography and bone scan in staging workup of hepatocellular carcinoma. J. Hepatol. 2012, 56, 1324–1329. [Google Scholar] [CrossRef]
- Yi, J.; Gwak, G.Y.; Sinn, D.H.; Kim, Y.J.; Kim, H.N.; Choi, M.S.; Lee, J.H.; Koh, K.C.; Paik, S.W.; Yoo, B.C. Screening for extrahepatic metastases by additional staging modalities is required for hepatocellular carcinoma patients beyond modified UICC stage T1. Hepatogastroenterology 2013, 60, 328–332. [Google Scholar] [CrossRef]
- Uka, K.; Aikata, H.; Takaki, S.; Shirakawa, H.; Jeong, S.C.; Yamashina, K.; Hiramatsu, A.; Kodama, H.; Takahashi, S.; Chayama, K. Clinical features and prognosis of patients with extrahepatic metastases from hepatocellular carcinoma. World J. Gastroenterol. 2007, 13, 414–420. [Google Scholar] [CrossRef]
- Marrero, J.A.; Kulik, L.M.; Sirlin, C.B.; Zhu, A.X.; Finn, R.S.; Abecassis, M.M.; Roberts, L.R.; Heimbach, J.K. Diagnosis, Staging, and Management of Hepatocellular Carcinoma: 2018 Practice Guidance by the American Association for the Study of Liver Diseases. Hepatology 2018, 68, 723–750. [Google Scholar] [CrossRef] [Green Version]
- European Association for the Study of the Liver (EASL). Clinical Practice Guidelines: Management of hepatocellular carcinoma. J. Hepatol. 2018, 69, 182–236. [Google Scholar] [CrossRef] [PubMed] [Green Version]
- Chou, R.; Cuevas, C.; Fu, R.; Devine, B.; Wasson, N.; Ginsburg, A.; Zakher, B.; Pappas, M.; Graham, E.; Sullivan, S.D. Imaging Techniques for the Diagnosis of Hepatocellular Carcinoma: A Systematic Review and Meta-analysis. Ann. Intern. Med. 2015, 162, 697–711. [Google Scholar] [CrossRef] [PubMed] [Green Version]
- Lee, Y.J.; Lee, J.M.; Lee, J.S.; Lee, H.Y.; Park, B.H.; Kim, Y.H.; Han, J.K.; Choi, B.I. Hepatocellular carcinoma: Diagnostic performance of multidetector CT and MR imaging-a systematic review and meta-analysis. Radiology 2015, 275, 97–109. [Google Scholar] [CrossRef] [PubMed] [Green Version]
- Guo, J.; Seo, Y.; Ren, S.; Hong, S.; Lee, D.; Kim, S.; Jiang, Y. Diagnostic performance of contrast-enhanced multidetector computed tomography and gadoxetic acid disodium-enhanced magnetic resonance imaging in detecting hepatocellular carcinoma: Direct comparison and a meta-analysis. Abdom. Radiol. 2016, 41, 1960–1972. [Google Scholar] [CrossRef] [Green Version]
- Vogel, A.; Cervantes, A.; Chau, I.; Daniele, B.; Llovet, J.M.; Meyer, T.; Nault, J.C.; Neumann, U.; Ricke, J.; Sangro, B.; et al. Hepatocellular carcinoma: ESMO Clinical Practice Guidelines for diagnosis, treatment and follow-up. Ann. Oncol. 2019, 30, 871–873. [Google Scholar] [CrossRef]
- Ricke, J.; Klümpen, H.J.; Amthauer, H.; Bargellini, I.; Bartenstein, P.; de Toni, E.N.; Gasbarrini, A.; Pech, M.; Peck-Radosavljevic, M.; Popovič, P.; et al. Impact of combined selective internal radiation therapy and sorafenib on survival in advanced hepatocellular carcinoma. J. Hepatol. 2019, 71, 1164–1174. [Google Scholar] [CrossRef]
- Ricke, J.; Steffen, I.G.; Bargellini, I.; Berg, T.; Bilbao Jaureguizar, J.I.; Gebauer, B.; Iezzi, R.; Loewe, C.; Karçaaltincaba, M.; Pech, M.; et al. Gadoxetic acid-based hepatobiliary MRI in hepatocellular carcinoma. JHEP Rep. 2020, 2, 100173. [Google Scholar] [CrossRef]
- Ricke, J.; Bulla, K.; Kolligs, F.; Peck-Radosavljevic, M.; Reimer, P.; Sangro, B.; Schott, E.; Schütte, K.; Verslype, C.; Walecki, J.; et al. Safety and toxicity of radioembolization plus Sorafenib in advanced hepatocellular carcinoma: Analysis of the European multicentre trial SORAMIC. Liver Int. 2015, 35, 620–626. [Google Scholar] [CrossRef]
- Katyal, S.; Oliver, J.H., 3rd; Peterson, M.S.; Ferris, J.V.; Carr, B.S.; Baron, R.L. Extrahepatic metastases of hepatocellular carcinoma. Radiology 2000, 216, 698–703. [Google Scholar] [CrossRef]
- Uchino, K.; Tateishi, R.; Shiina, S.; Kanda, M.; Masuzaki, R.; Kondo, Y.; Goto, T.; Omata, M.; Yoshida, H.; Koike, K. Hepatocellular carcinoma with extrahepatic metastasis: Clinical features and prognostic factors. Cancer 2011, 117, 4475–4483. [Google Scholar] [CrossRef]
- Natsuizaka, M.; Omura, T.; Akaike, T.; Kuwata, Y.; Yamazaki, K.; Sato, T.; Karino, Y.; Toyota, J.; Suga, T.; Asaka, M. Clinical features of hepatocellular carcinoma with extrahepatic metastases. J. Gastroenterol. Hepatol. 2005, 20, 1781–1787. [Google Scholar] [CrossRef] [PubMed]
- Hong, S.S.; Kim, T.K.; Sung, K.B.; Kim, P.N.; Ha, H.K.; Kim, A.Y.; Lee, M.G. Extrahepatic spread of hepatocellular carcinoma: A pictorial review. Eur. Radiol. 2003, 13, 874–882. [Google Scholar] [CrossRef] [PubMed]
- Carr, B.I.; Guerra, V. Hepatocellular Carcinoma Extrahepatic Metastasis in Relation to Tumor Size and Alkaline Phosphatase Levels. Oncology 2016, 90, 136–142. [Google Scholar] [CrossRef] [PubMed]
- Hunt, C.H.; Hartman, R.P.; Hesley, G.K. Frequency and severity of adverse effects of iodinated and gadolinium contrast materials: Retrospective review of 456,930 doses. AJR Am. J. Roentgenol. 2009, 193, 1124–1127. [Google Scholar] [CrossRef]
- Nishie, A.; Goshima, S.; Haradome, H.; Hatano, E.; Imai, Y.; Kudo, M.; Matsuda, M.; Motosugi, U.; Saitoh, S.; Yoshimitsu, K.; et al. Cost-effectiveness of EOB-MRI for Hepatocellular Carcinoma in Japan. Clin. Ther. 2017, 39, 738–750.e4. [Google Scholar] [CrossRef]
- Burrel, M.; Llovet, J.M.; Ayuso, C.; Iglesias, C.; Sala, M.; Miquel, R.; Caralt, T.; Ayuso, J.R.; Solé, M.; Sanchez, M.; et al. MRI angiography is superior to helical CT for detection of HCC prior to liver transplantation: An explant correlation. Hepatology 2003, 38, 1034–1042. [Google Scholar] [CrossRef]
- Rode, A.; Bancel, B.; Douek, P.; Chevallier, M.; Vilgrain, V.; Picaud, G.; Henry, L.; Berger, F.; Bizollon, T.; Gaudin, J.L.; et al. Small nodule detection in cirrhotic livers: Evaluation with US, spiral CT, and MRI and correlation with pathologic examination of explanted liver. J. Comput. Assist. Tomogr. 2001, 25, 327–336. [Google Scholar] [CrossRef]
- Di Martino, M.; Marin, D.; Guerrisi, A.; Baski, M.; Galati, F.; Rossi, M.; Brozzetti, S.; Masciangelo, R.; Passariello, R.; Catalano, C. Intraindividual comparison of gadoxetate disodium-enhanced MR imaging and 64-section multidetector CT in the Detection of hepatocellular carcinoma in patients with cirrhosis. Radiology 2010, 256, 806–816. [Google Scholar] [CrossRef]
- Liu, X.; Zou, L.; Liu, F.; Zhou, Y.; Song, B. Gadoxetic acid disodium-enhanced magnetic resonance imaging for the detection of hepatocellular carcinoma: A meta-analysis. PLoS ONE 2013, 8, e70896. [Google Scholar] [CrossRef] [Green Version]
- Haradome, H.; Grazioli, L.; Tinti, R.; Morone, M.; Motosugi, U.; Sano, K.; Ichikawa, T.; Kwee, T.C.; Colagrande, S. Additional value of gadoxetic acid-DTPA-enhanced hepatobiliary phase MR imaging in the diagnosis of early-stage hepatocellular carcinoma: Comparison with dynamic triple-phase multidetector CT imaging. J. Magn. Reson. Imaging 2011, 34, 69–78. [Google Scholar] [CrossRef]
- Ye, F.; Liu, J.; Ouyang, H. Gadolinium Ethoxybenzyl Diethylenetriamine Pentaacetic Acid (Gd-EOB-DTPA)-Enhanced Magnetic Resonance Imaging and Multidetector-Row Computed Tomography for the Diagnosis of Hepatocellular Carcinoma: A Systematic Review and Meta-analysis. Medicine 2015, 94, e1157. [Google Scholar] [CrossRef] [PubMed]
- Ishii, H.; Furuse, J.; Kinoshita, T.; Konishi, M.; Nakagohri, T.; Takahashi, S.; Gotohda, N.; Nakachi, K.; Yoshino, M. Extrahepatic spread from hepatocellular carcinoma: Who are candidates for aggressive anti-cancer treatment? Jpn. J. Clin. Oncol. 2004, 34, 733–739. [Google Scholar] [CrossRef] [PubMed] [Green Version]



| n | % | EHDyes | EHDno | p-Value | ||
|---|---|---|---|---|---|---|
| Sex (17 *) | Female | 69 | 13.2 | 9 | 60 | 0.989 |
| male | 452 | 86.8 | 63 | 389 | ||
| Age (y) (17 *) | Median | 65 | 66 | 1 | ||
| Race (38 *) | White | 468 | 93.6 | 67 | 401 | 0.584 |
| Black | 8 | 1.6 | 0 | 8 | ||
| Asian | 8 | 1.6 | 1 | 7 | ||
| Other | 16 | 3.2 | 3 | 13 | ||
| Previous HCC treatments (19 *) | TACE | 97 | 51.9 | 11 | 86 | 0.549 |
| TAE | 3 | 1.6 | 0 | 3 | 1 | |
| Resection | 41 | 21.9 | 3 | 38 | 0.313 | |
| RFA | 39 | 20.9 | 3 | 36 | 0.368 | |
| Brachytherapy | 7 | 1.3 | 2 | 5 | 0.553 | |
| Liver cirrhosis (23 *) | yes | 418 | 81.2 | 51 | 367 | 0.081 |
| no | 97 | 18.8 | 19 | 78 | ||
| ECOG (31 *) | 0 | 375 | 74 | 42 | 333 | 0.001 |
| 1 | 123 | 24.3 | 22 | 101 | ||
| 2 | 7 | 1.4 | 2 | 5 | ||
| 3 | 1 | 0.2 | 0 | 1 | ||
| 4 | 1 | 0.2 | 0 | 1 | ||
| HCC Diagnosis by (19 *) | Histology | 223 | 43 | 36 | 187 | 0.414 |
| Imaging criteria | 291 | 56.1 | 36 | 255 | 0.541 | |
| Other | 5 | 0.9 | 0 | 5 | 0.009 | |
| Cause of disease | Alcohol abuse | 225 | 41.8 | 28 | 197 | 0.534 |
| Hepatitis B | 57 | 10.6 | 7 | 50 | 0.89 | |
| Hepatitis C | 128 | 23.8 | 14 | 114 | 0.361 | |
| NASH | 49 | 9.1 | 6 | 43 | 0.091 | |
| NAFLD | 27 | 5 | 4 | 23 | 0.05 | |
| Hemochromatosis | 15 | 2.8 | 0 | 15 | 0.028 | |
| Cryptogenic | 50 | 9.3 | 13 | 37 | 0.093 | |
| other | 6 | 1.1 | 1 | 5 | ||
| Child–Pugh Score (23 *) | A | 458 | 88.9 | 62 | 396 | 0.323 |
| B | 55 | 10.7 | 8 | 47 | ||
| C | 2 | 0.4 | 1 | 1 | ||
| Child–Pugh Points (24 *) | 4 | 2 | 0 | 2 | 0.029 | |
| 5 | 330 | 64.2 | 39 | 291 | ||
| 6 | 127 | 24.7 | 25 | 101 | ||
| 7 | 47 | 9.1 | 3 | 44 | ||
| 8 | 6 | 1.2 | 2 | 4 | ||
| 10 | 2 | 0.4 | 1 | 1 | ||
| BCLC stage (25 *) | 0 | 6 | 1.2 | 1 | 5 | <0.001 |
| A | 93 | 18.1 | 2 | 91 | ||
| B | 144 | 28.1 | 19 | 125 | ||
| C | 269 | 52.4 | 48 | 221 | ||
| D | 1 | 0.2 | 1 | 0 | ||
| PVI | y | 174 | 32.3 | 37 | 137 | <0.001 |
| n | 364 | 67.8 | 37 | 327 | ||
| MVI | y | 191 | 35.5 | 42 | 149 | <0.001 |
| n | 347 | 64.4 | 32 | 315 | ||
| Disease spread (21 *) | Unilobar | 222 | 20 | 202 | 0.006 | |
| Bilobar | 295 | 53 | 243 | |||
| Hypervascular lesions | 0–4 | 354 | 44 | 310 | 0.269 | |
| >4 | 184 | 30 | 154 | |||
| Maximum lesion diameter (cm) | Median | 5.9 | 8.2 | 5.8 | 0.002 | |
| IQR | 3.6–9.9 | 5.3–10.5 | 3.4–9.8 | |||
| Up-to-7-criteria (39 *) | Within up-to-7 | 116 | 2 | 114 | <0.001 | |
| Out of up-to-7 | 383 | 67 | 316 |
| EHD Location | Reader Group | Imaging Modality | EHDno | EHDyes | p-Value |
|---|---|---|---|---|---|
| Total | RG1 | CT | 433 | 105 | p < 0.001 |
| MRI | 503 | 35 | |||
| RG2 | CT | 440 | 98 | p < 0.001 | |
| MRI | 485 | 53 | |||
| Truth panel | CT and MRI | 464 | 74 | ||
| Lymph nodes | RG1 | CT | 443 | 95 | p < 0.001 |
| MRI | 504 | 34 | |||
| RG2 | CT | 459 | 79 | p < 0.001 | |
| MRI | 494 | 44 | |||
| Lung | RG1 | CT | 522 | 16 | p < 0.001 |
| MRI | 538 | 0 | |||
| RG2 | CT | 526 | 12 | p = 0.019 | |
| MRI | 535 | 3 | |||
| Bone | RG1 | CT | 537 | 1 | p = 0.002 |
| MRI | 536 | 2 | |||
| RG2 | CT | 534 | 4 | p = 0.161 | |
| MRI | 529 | 9 | |||
| Other | RG1 | CT | 538 | 0 | p = 1 |
| MRI | 538 | 0 | |||
| RG2 | CT | 525 | 13 | p < 0.001 | |
| MRI | 538 | 0 |
| Reader Group | Therapy Recommendation vs. Truth Panel | |||
|---|---|---|---|---|
| Agreement (%) | IQR (%) | |||
| Liver only | RG1 | CT | 80.9 | 77.3–84.1 |
| MRI | 81.8 | 78.3–85.0 | ||
| RG2 | CT | 78.1 | 74.3–81.5 | |
| MRI | 80.3 | 76.7–83.6 | ||
| Liver + EHD | RG1 | CT | 80.7 | 77.1–83.9 |
| MRI | 81.8 | 78.3–85.0 | ||
| RG2 | CT | 77.7 | 73.9–81.1 | |
| MRI | 80.3 | 76.7–83.6 | ||
Publisher’s Note: MDPI stays neutral with regard to jurisdictional claims in published maps and institutional affiliations. |
© 2022 by the authors. Licensee MDPI, Basel, Switzerland. This article is an open access article distributed under the terms and conditions of the Creative Commons Attribution (CC BY) license (https://creativecommons.org/licenses/by/4.0/).
Share and Cite
Geyer, T.; Kazmierczak, P.M.; Steffen, I.G.; Malfertheiner, P.; Peynircioglu, B.; Loewe, C.; Delden, O.v.; Vandecaveye, V.; Gebauer, B.; Pech, M.; et al. Extrahepatic Disease in Hepatocellular Carcinoma: Do We Always Need Whole-Body CT or Is Liver MRI Sufficient? A Subanalysis of the SORAMIC Trial. Biomedicines 2022, 10, 1156. https://doi.org/10.3390/biomedicines10051156
Geyer T, Kazmierczak PM, Steffen IG, Malfertheiner P, Peynircioglu B, Loewe C, Delden Ov, Vandecaveye V, Gebauer B, Pech M, et al. Extrahepatic Disease in Hepatocellular Carcinoma: Do We Always Need Whole-Body CT or Is Liver MRI Sufficient? A Subanalysis of the SORAMIC Trial. Biomedicines. 2022; 10(5):1156. https://doi.org/10.3390/biomedicines10051156
Chicago/Turabian StyleGeyer, Thomas, Philipp M. Kazmierczak, Ingo G. Steffen, Peter Malfertheiner, Bora Peynircioglu, Christian Loewe, Otto van Delden, Vincent Vandecaveye, Bernhard Gebauer, Maciej Pech, and et al. 2022. "Extrahepatic Disease in Hepatocellular Carcinoma: Do We Always Need Whole-Body CT or Is Liver MRI Sufficient? A Subanalysis of the SORAMIC Trial" Biomedicines 10, no. 5: 1156. https://doi.org/10.3390/biomedicines10051156
APA StyleGeyer, T., Kazmierczak, P. M., Steffen, I. G., Malfertheiner, P., Peynircioglu, B., Loewe, C., Delden, O. v., Vandecaveye, V., Gebauer, B., Pech, M., Sengel, C., Bargellini, I., Iezzi, R., Benito, A., Zech, C. J., Gasbarrini, A., Schütte, K., Ricke, J., & Seidensticker, M. (2022). Extrahepatic Disease in Hepatocellular Carcinoma: Do We Always Need Whole-Body CT or Is Liver MRI Sufficient? A Subanalysis of the SORAMIC Trial. Biomedicines, 10(5), 1156. https://doi.org/10.3390/biomedicines10051156

