Coupling CRISPR/Cas9 and Lambda Red Recombineering System for Genome Editing of Salmonella Gallinarum and the Effect of ssaU Knock-Out Mutant on the Virulence of Bacteria
Abstract
1. Introduction
2. Materials and Methods
2.1. Strains, Culture Conditions, Plasmids, and Oligos
2.2. DNA Editing Template Construction, gRNA Cloning and Induction Method
2.3. Mutant Strain Preparation
2.4. Electroporation
2.5. Poultry Experimental Model to Evaluate Virulence
3. Results
3.1. Lethality of Cas9 Induced Double Stranded Break and Efficiency of Repair Plasmids
3.2. Coupling CRISPR/Cas9 with Lambda Red Recombineering Results in Successful Gene Knock Out
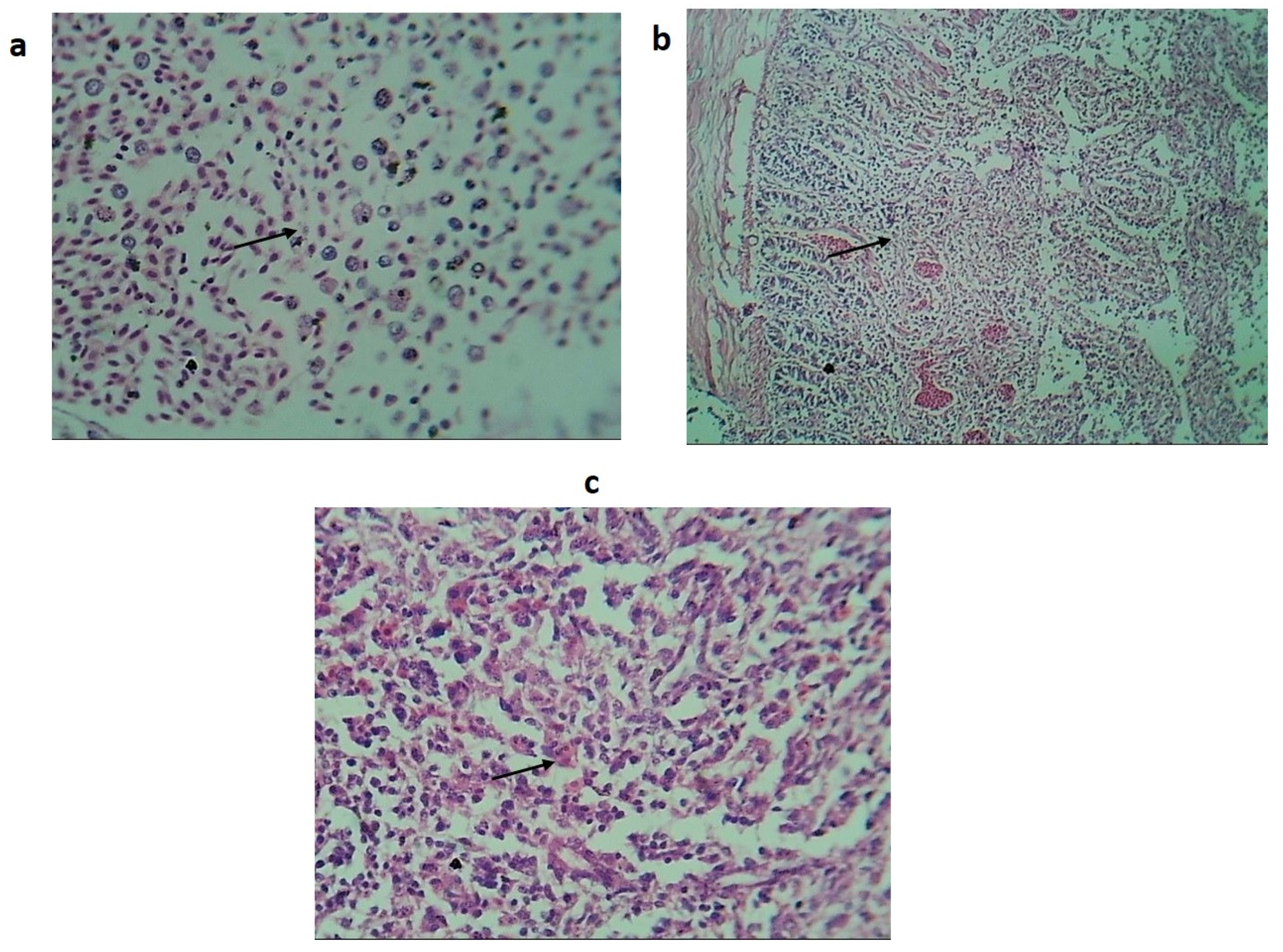
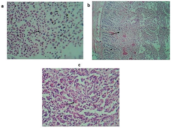
3.3. Clearance of ssaU Mutant Strain from Experimental Birds
4. Discussion
5. Conclusions
Supplementary Materials
Author Contributions
Funding
Institutional Review Board Statement
Data Availability Statement
Acknowledgments
Conflicts of Interest
Abbreviations
References
- Hosen, J.; Rahman, M.; Alam, J.; Das, Z.; Khan, M.; Haider, M. Pathology of Fowl Typhoid and Molecular Detection of its Pathogen. Ann. Bangladesh Agric. 2019, 23, 49–60. [Google Scholar] [CrossRef]
- Maciorowski, K.G.; Jones, F.T.; Pillai, S.D.; Ricke, S.C. Incidence, sources, and control of food-borne Salmonella spp. in poultry feeds. World’s Poult. Sci. J. 2007, 60, 446–457. [Google Scholar] [CrossRef]
- Kaiser, P.; Rothwell, L.; Galyov, E.E.; Barrow, P.A.; Burnside, J.; Wigley, P. Differential cytokine expression in avian cells in response to invasion by Salmonella typhimurium, Salmonella enteritidis and Salmonella gallinarumThe GenBank accession numbers for the sequences reported in this paper are AI982185 for chicken IL-6 cDNA and AJ250838 for the partial chicken IL-6 genomic sequence, respectively. Microbiology 2000, 146, 3217–3226. [Google Scholar] [PubMed]
- Silva, E.; Snoeyenbos, G.; Weinack, O.M.; Smyser, C. Studies on the use of 9R strain of Salmonella gallinarum as a vaccine in chickens. Avian Dis. 1981, 25, 38–52. [Google Scholar] [CrossRef] [PubMed]
- USDA. Animal Health Monitoring & Surveillance-National Animal Health Reporting System; USDA: Washington, DC, USA, 2009.
- Nwiyi, P.; Omadamiro, O. Seroprevalence and isolation of chicken infected with Salmonella: Haematological and Pathological Evaluation. J. Anim. Feed. Res. 2012, 2, 483–487. [Google Scholar]
- Beaudette, F.R. Fowl typhoid and bacillary white diarrhoea. Vet. J. (1900) 1930, 86, 381–383. [Google Scholar] [CrossRef]
- Ezema, W.; Onuoha, E.; Chah, K. Observations on an outbreak of fowl typhoid in commercial laying birds in Udi, South Eastern Nigeria. Comp. Clin. Pathol. 2009, 18, 395–398. [Google Scholar] [CrossRef]
- Ramos-Morales, F. Impact of Salmonella enterica Type III Secretion System Effectors on the Eukaryotic Host Cell. ISRN Cell Biol. 2012, 2012, 787934. [Google Scholar] [CrossRef]
- Hueck, C.J. Type III protein secretion systems in bacterial pathogens of animals and plants. Microbiol. Mol. Biol. Rev. 1998, 62, 379–433. [Google Scholar] [CrossRef]
- Stévenin, V.; Chang, Y.Y.; Le Toquin, Y.; Duchateau, M.; Gianetto, Q.G.; Luk, C.H.; Salles, A.; Sohst, V.; Matondo, M.; Reiling, N.; et al. Dynamic Growth and Shrinkage of the Salmonella-Containing Vacuole Determines the Intracellular Pathogen Niche. Cell Rep. 2019, 29, 3958–3973.e3957. [Google Scholar] [CrossRef]
- Ruiz-Albert, J.; Yu, X.J.; Beuzón, C.R.; Blakey, A.N.; Galyov, E.E.; Holden, D.W. Complementary activities of SseJ and SifA regulate dynamics of the Salmonella typhimurium vacuolar membrane. Mol. Microbiol. 2002, 44, 645–661. [Google Scholar] [CrossRef] [PubMed]
- Shah, D.H.; Lee, M.-J.; Park, J.-H.; Lee, J.-H.; Eo, S.-K.; Kwon, J.-T.; Chae, J.-S. Identification of Salmonella gallinarum virulence genes in a chicken infection model using PCR-based signature-tagged mutagenesis. Microbiology 2005, 151, 3957–3968. [Google Scholar] [CrossRef] [PubMed]
- Hensel, M. Salmonella pathogenicity island 2. Mol. Microbiol. 2000, 36, 1015–1023. [Google Scholar] [CrossRef] [PubMed]
- Darwin, K.H.; Miller, V.L. Molecular basis of the interaction of Salmonella with the intestinal mucosa. Clin. Microbiol. Rev. 1999, 12, 405–428. [Google Scholar] [CrossRef]
- Deltcheva, E.; Chylinski, K.; Sharma, C.M.; Gonzales, K.; Chao, Y.; Pirzada, Z.A.; Eckert, M.R.; Vogel, J.; Charpentier, E. CRISPR RNA maturation by trans-encoded small RNA and host factor RNase III. Nature 2011, 471, 602–607. [Google Scholar] [CrossRef]
- Jinek, M.; Chylinski, K.; Fonfara, I.; Hauer, M.; Doudna, J.A.; Charpentier, E. A programmable dual-RNA–guided DNA endonuclease in adaptive bacterial immunity. Science 2012, 337, 816–821. [Google Scholar] [CrossRef]
- Mojica, F.J.; Díez-Villaseñor, C.; García-Martínez, J.; Almendros, C. Short motif sequences determine the targets of the prokaryotic CRISPR defence system. Microbiology 2009, 155, 733–740. [Google Scholar] [CrossRef]
- Jiang, W.; Bikard, D.; Cox, D.; Zhang, F.; Marraffini, L.A. RNA-guided editing of bacterial genomes using CRISPR-Cas systems. Nat. Biotechnol. 2013, 31, 233–239. [Google Scholar] [CrossRef]
- Copeland, N.G.; Jenkins, N.A.; Court, D.L. Recombineering: A powerful new tool for mouse functional genomics. Nat. Rev. Genet. 2001, 2, 769–779. [Google Scholar] [CrossRef]
- Court, D.L.; Sawitzke, J.A.; Thomason, L.C. Genetic engineering using homologous recombination. Annu. Rev. Genet. 2002, 36, 361–388. [Google Scholar] [CrossRef]
- Derbise, A.; Lesic, B.; Dacheux, D.; Ghigo, J.M.; Carniel, E. A rapid and simple method for inactivating chromosomal genes in Yersinia. FEMS Immunol. Med. Microbiol. 2003, 38, 113–116. [Google Scholar] [CrossRef] [PubMed]
- Hu, K.; Shi, Z.; Wang, H.; Feng, E.; Huang, L. Study on gene knockout using red system in Shigella flexneri. Wei Sheng Wu Xue Bao Acta Microbiol. Sin. 2003, 43, 740–746. [Google Scholar]
- Karlinsey, J.E. λ-Red genetic engineering in Salmonella enterica serovar Typhimurium. Methods Enzymol. 2007, 421, 199–209. [Google Scholar] [PubMed]
- Yin, J.; Xia, J.; Tao, M.; Xu, L.; Li, Q.; Geng, S.; Jiao, X. Construction and characterization of a cigR deletion mutant of Salmonella enterica serovar Pullorum. Avian Pathol. 2016, 45, 569–575. [Google Scholar] [CrossRef] [PubMed]
- Yu, D.; Ellis, H.M.; Lee, E.-C.; Jenkins, N.A.; Copeland, N.G.; Court, D.L. An efficient recombination system for chromosome engineering in Escherichia coli. Proc. Natl. Acad. Sci. USA 2000, 97, 5978–5983. [Google Scholar] [CrossRef]
- Karu, A.; Sakaki, Y.; Echols, H.; Linn, S. The gamma protein specified by bacteriophage gamma. Structure and inhibitory activity for the recBC enzyme of Escherichia coli. J. Biol. Chem. 1975, 250, 7377–7387. [Google Scholar] [CrossRef]
- Murphy, K.C. Lambda Gam protein inhibits the helicase and chi-stimulated recombination activities of Escherichia coli RecBCD enzyme. J. Bacteriol. 1991, 173, 5808–5821. [Google Scholar] [CrossRef]
- Little, J.W. An exonuclease induced by bacteriophage λ: II. Nature of the enzymatic reaction. J. Biol. Chem. 1967, 242, 679–686. [Google Scholar] [CrossRef]
- Katashkina, J.I.; Hara, Y.; Golubeva, L.I.; Andreeva, I.G.; Kuvaeva, T.M.; Mashko, S.V. Use of the lambda Red-recombineering method for genetic engineering of Pantoea ananatis. BMC Mol. Biol. 2009, 10, 34. [Google Scholar] [CrossRef]
- Pyne, M.E.; Moo-Young, M.; Chung, D.A.; Chou, C.P. Coupling the CRISPR/Cas9 system with lambda red recombineering enables simplified chromosomal gene replacement in Escherichia coli. Appl. Environ. Microbiol. 2015, 81, 5103. [Google Scholar] [CrossRef]
- Wang, Y.; Zhang, Z.-T.; Seo, S.-O.; Lynn, P.; Lu, T.; Jin, Y.-S.; Blaschek, H.P. Bacterial genome editing with CRISPR-Cas9: Deletion, integration, single nucleotide modification, and desirable “clean” mutant selection in Clostridium beijerinckii as an example. ACS Synth. Biol. 2016, 5, 721–732. [Google Scholar] [CrossRef] [PubMed]
- Chen, W.; Zhang, Y.; Yeo, W.-S.; Bae, T.; Ji, Q. Rapid and efficient genome editing in Staphylococcus aureus by using an engineered CRISPR/Cas9 system. J. Am. Chem. Soc. 2017, 139, 3790–3795. [Google Scholar] [CrossRef] [PubMed]
- Bae, S.; Park, J.; Kim, J.-S. Cas-OFFinder: A fast and versatile algorithm that searches for potential off-target sites of Cas9 RNA-guided endonucleases. Bioinformatics 2014, 30, 1473–1475. [Google Scholar] [CrossRef] [PubMed]
- Song, X.; Huang, H.; Xiong, Z.; Ai, L.; Yang, S. CRISPR-Cas9D10A nickase-assisted genome editing in Lactobacillus casei. Appl. Environ. Microbiol. 2017, 83, e01259-17. [Google Scholar] [CrossRef]
- Arroyo-Olarte, R.D.; Bravo Rodríguez, R.; Morales-Ríos, E. Genome Editing in Bacteria: CRISPR-Cas and Beyond. Microorganisms 2021, 9, 844. [Google Scholar] [CrossRef]
- Jiang, Y.; Chen, B.; Duan, C.; Sun, B.; Yang, J.; Yang, S. Multigene editing in the Escherichia coli genome via the CRISPR-Cas9 system. Appl. Environ. Microbiol. 2015, 81, 2506–2514. [Google Scholar] [CrossRef]
- Batista, D.F.A.; Freitas Neto, O.C.; Barrow, P.A.; de Oliveira, M.T.; Almeida, A.M.; Ferraudo, A.S.; Berchieri, A., Jr. Identification and characterization of regions of difference between the Salmonella Gallinarum biovar Gallinarum and the Salmonella Gallinarum biovar Pullorum genomes. Infect. Genet. Evol. 2015, 30, 74–81. [Google Scholar] [CrossRef]
- Shivaprasad, H. Fowl typhoid and pullorum disease. Rev. Sci. Et Tech. (Int. Off. Epizoot.) 2000, 19, 405–424. [Google Scholar] [CrossRef]
- Jones, M.A.; Wigley, P.; Page, K.L.; Hulme, S.D.; Barrow, P.A. Salmonella enterica serovar Gallinarum requires the Salmonella pathogenicity island 2 type III secretion system but not the Salmonella pathogenicity island 1 type III secretion system for virulence in chickens. Infect. Immun. 2001, 69, 5471–5476. [Google Scholar] [CrossRef]
- Coburn, B.; Li, Y.; Owen, D.; Vallance, B.A.; Finlay, B.B. Salmonella enterica serovar Typhimurium pathogenicity island 2 is necessary for complete virulence in a mouse model of infectious enterocolitis. Infect. Immun. 2005, 73, 3219–3227. [Google Scholar] [CrossRef]
- Zhang, Y.; Buchholz, F.; Muyrers, J.P.; Stewart, A.F. A new logic for DNA engineering using recombination in Escherichia coli. Nat. Genet. 1998, 20, 123–128. [Google Scholar] [CrossRef] [PubMed]
- Schwartz, M.L.; Davis, M.W.; Rich, M.S.; Jorgensen, E.M. High-efficiency CRISPR gene editing in C. elegans using Cas9 integrated into the genome. PLoS Genet. 2021, 17, e1009755. [Google Scholar] [CrossRef] [PubMed]
- Yao, R.; Liu, D.; Jia, X.; Zheng, Y.; Liu, W.; Xiao, Y. CRISPR-Cas9/Cas12a biotechnology and application in bacteria. Synth. Syst. Biotechnol. 2018, 3, 135–149. [Google Scholar] [CrossRef] [PubMed]
- Feng, X.; Zhao, D.; Zhang, X.; Ding, X.; Bi, C. CRISPR/Cas9 assisted multiplex genome editing technique in Escherichia coli. Biotechnol. J. 2018, 13, 1700604. [Google Scholar] [CrossRef] [PubMed]
- Kim, J.M.; Eckmann, L.; Savidge, T.C.; Lowe, D.C.; Witthöft, T.; Kagnoff, M.F. Apoptosis of human intestinal epithelial cells after bacterial invasion. J. Clin. Investig. 1998, 102, 1815–1823. [Google Scholar] [CrossRef]
- Paesold, G.; Guiney, D.G.; Eckmann, L.; Kagnoff, M.F. Genes in the Salmonella pathogenicity island 2 and the Salmonella virulence plasmid are essential for Salmonella-induced apoptosis in intestinal epithelial cells. Cell. Microbiol. 2002, 4, 771–781. [Google Scholar] [CrossRef]
- Rytkönen, A.; Poh, J.; Garmendia, J.; Boyle, C.; Thompson, A.; Liu, M.; Freemont, P.; Hinton, J.C.; Holden, D.W. SseL, a Salmonella deubiquitinase required for macrophage killing and virulence. Proc. Natl. Acad. Sci. USA 2007, 104, 3502–3507. [Google Scholar] [CrossRef]
- Libby, S.J.; Lesnick, M.; Hasegawa, P.; Weidenhammer, E.; Guiney, D.G. The Salmonella virulence plasmid spv genes are required for cytopathology in human monocyte-derived macrophages. Cell. Microbiol. 2000, 2, 49–58. [Google Scholar] [CrossRef]
- Browne, S.H.; Lesnick, M.L.; Guiney, D.G. Genetic requirements for Salmonella-induced cytopathology in human monocyte-derived macrophages. Infect. Immun. 2002, 70, 7126–7135. [Google Scholar] [CrossRef]
- Browne, S.H.; Hasegawa, P.; Okamoto, S.; Fierer, J.; Guiney, D.G. Identification of Salmonella SPI-2 secretion system components required for SpvB-mediated cytotoxicity in macrophages and virulence in mice. FEMS Immunol. Med. Microbiol. 2008, 52, 194–201. [Google Scholar] [CrossRef]
- Basit, A.; Tahir, H.; Haider, Z.; Tariq, H.; Ullah, A.; Rehman, S.U. CRISPR/Cas9-Based Deletion of SpvB Gene From Salmonella gallinarum Leads to Loss of Virulence in Chicken. Front. Bioeng. Biotechnol. 2022, 10, 885227. [Google Scholar] [CrossRef] [PubMed]





| Sr. No. | Strain/Plasmid | Characteristics | Reference/Source |
|---|---|---|---|
| 1. | E.coli Top 10 | Tetracycline, hsdR, mcrA | Thermofisher Scientific |
| 2. | Salmonella Gallinarum | Poultry origin | Addgene |
| 3. | pCas9 | pACYC184, Chloramphenicol, DH5alpha | Addgene (Plasmid #42876) |
| 4. | pRed | Kanamycin, Lambda Red recombinase, DH5alpha, RepA101ts | This study |
| 5. | pET22b (+) | pelB, His•Tag®, Ampicillin | Addgene (Plasmid # 69744-3) |
| 6. | RP-18 | pelB, His•Tag®, Ampicillin, 1.8 kb HAs | This study |
| 7. | ssaU/G3 | pACYC184 Chloramphenicol, gRNA3 | This study |
| 8. | ssaU/G4 | Chloramphenicol, pACYC184, gRNA4 | This study |
| Oligonucleotide | Sequence (5′–3′) |
|---|---|
| HA1_ssaU_FP | aaaatcTCTAGAAGCGGTATCCTGTTGAATTATACC |
| HA1_ssaU_Rp | AATAACGTTTCAGGAATTTTATCTCTTCttttctgtagtctgttctgttttc |
| HA2_ssaU_Fp | gaaaacagaacagactacagaaaaGAAGAGATAAAATTCCTGAAACGTTATT |
| HA2_ssaU_Rp: | ttatgaCTCGAGTGCTGCTTGCTGCGGTTTACCAGA |
| gRNA3F_ ssaU | aaacTTATTTTTTGAAGTGGAACGg |
| gRNA3R_ ssaU | aaaacCGTTCCACTTCAAAAAATAA |
| gRNA-4F-ssaU | aaacACAGAAAAGAAATTACGTGAg |
| gRNA-4R- ssaU | aaaacTCACGTAATTTCTTTTCTGT |
| ssaU _screening_Fp: | ACGTCTATGCCGGTAGTGTTGGT |
| ssaU _screening_Rp: | CATTTGTATGGCTGTGGTTACCG |
| Cas9_R | ATAGTGACTGGCGATGCTGTC |
| Pcas-red-Fp | ATTCACTTTTTCTTCACAACCG |
| Pcas-red-Rp | TATCACCAGTGGGTTTACTTTC |
| lambda-Fp | AAGCAGACAGGACATGAGCGGATACATATTTG |
| lambda-Rp | CGCTCATGTCCTGTCTGCTTACATAAACAG |
| ssau_seq-Fp | GTATCAGCTTCTCTCTTCCT |
| ssau-seq-Rp | CACCTTTATCGTCAAGCACT |
Publisher’s Note: MDPI stays neutral with regard to jurisdictional claims in published maps and institutional affiliations. |
© 2022 by the authors. Licensee MDPI, Basel, Switzerland. This article is an open access article distributed under the terms and conditions of the Creative Commons Attribution (CC BY) license (https://creativecommons.org/licenses/by/4.0/).
Share and Cite
Tahir, H.; Basit, A.; Tariq, H.; Haider, Z.; Ullah, A.; Hayat, Z.; Rehman, S.U. Coupling CRISPR/Cas9 and Lambda Red Recombineering System for Genome Editing of Salmonella Gallinarum and the Effect of ssaU Knock-Out Mutant on the Virulence of Bacteria. Biomedicines 2022, 10, 3028. https://doi.org/10.3390/biomedicines10123028
Tahir H, Basit A, Tariq H, Haider Z, Ullah A, Hayat Z, Rehman SU. Coupling CRISPR/Cas9 and Lambda Red Recombineering System for Genome Editing of Salmonella Gallinarum and the Effect of ssaU Knock-Out Mutant on the Virulence of Bacteria. Biomedicines. 2022; 10(12):3028. https://doi.org/10.3390/biomedicines10123028
Chicago/Turabian StyleTahir, Hamza, Abdul Basit, Hafsa Tariq, Zulquernain Haider, Asim Ullah, Zafar Hayat, and Shafiq Ur Rehman. 2022. "Coupling CRISPR/Cas9 and Lambda Red Recombineering System for Genome Editing of Salmonella Gallinarum and the Effect of ssaU Knock-Out Mutant on the Virulence of Bacteria" Biomedicines 10, no. 12: 3028. https://doi.org/10.3390/biomedicines10123028
APA StyleTahir, H., Basit, A., Tariq, H., Haider, Z., Ullah, A., Hayat, Z., & Rehman, S. U. (2022). Coupling CRISPR/Cas9 and Lambda Red Recombineering System for Genome Editing of Salmonella Gallinarum and the Effect of ssaU Knock-Out Mutant on the Virulence of Bacteria. Biomedicines, 10(12), 3028. https://doi.org/10.3390/biomedicines10123028

