Multiple Sclerosis and MEN2 Neoplasia in a Female Patient: A Unique Co-Existence with Expanded Immunological Interest and Therapeutical Challenges, before and after Patient’s COVID-19 Infection
Abstract
1. Introduction
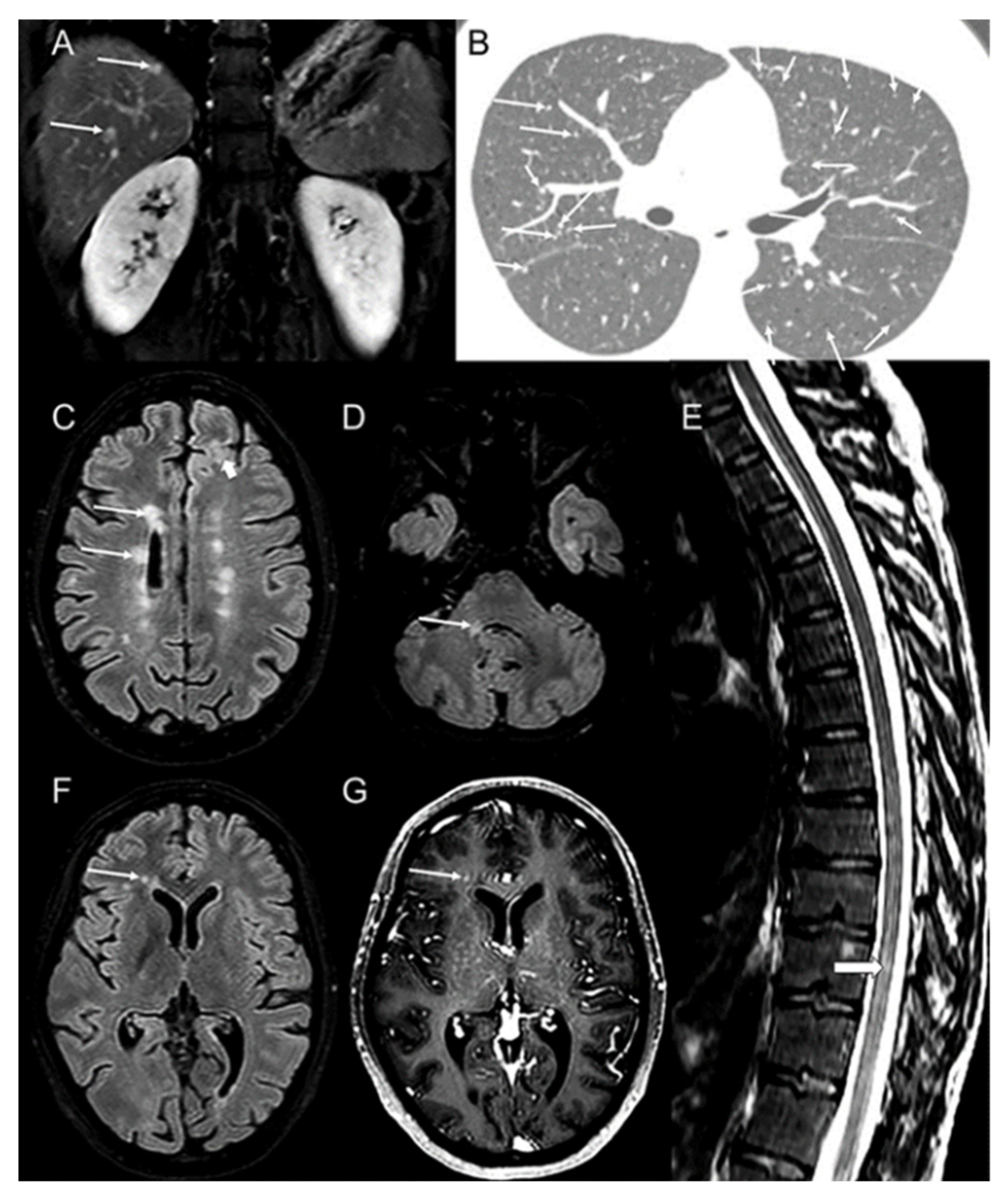
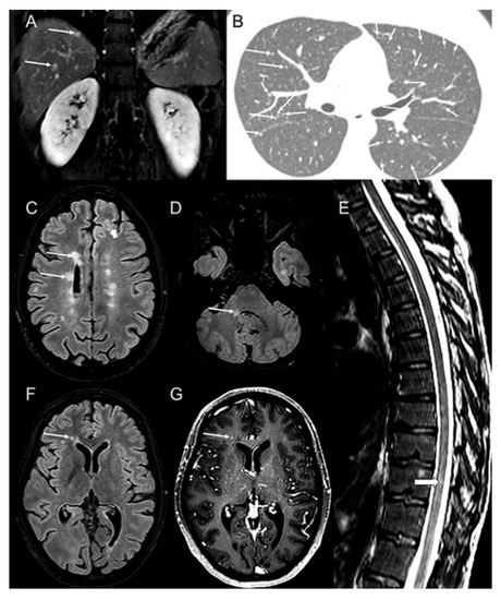
2. Case Illustration
Next Generation Sequencing HLA Genotyping
3. Discussion
4. Conclusions
Author Contributions
Funding
Institutional Review Board Statement
Informed Consent Statement
Data Availability Statement
Acknowledgments
Conflicts of Interest
Abbreviations
| MS | multiple sclerosis |
| POMS | pediatric-onset multiple sclerosis |
| RRMS | relapsing remitting multiple sclerosis |
| CNS | central nervous system |
| HLA | human leucocyte antigen |
| MHC | major histocompatibility complex |
| DMTs | disease-modifying treatments |
| MEN | multiple endocrine neoplasia |
| MTC | medullary thyroid carcinoma |
| PC | phaeochromocytoma |
| HPT | hyperparathyroidism |
| RET | rearranged during transfection |
| NK | natural killer |
| WBC | white blood cell |
| Tregs | T regulatory cells |
| KIR | killer Immunoglobulin-like receptors |
| PD-1 | programmed cell death protein 1 |
| TIM-3 | T-cell immunoglobulin and mucin-domain containing-3 |
| Lag-3 | lymphocyte-activation gene 3 |
| TIGIT | T-cell immunoreceptor with immunoglobulin and ITIM domain |
References
- Pugliatti, M.; Ferri, C. The epidemiology of acquired demyelinating syndrome in children: A complex opportunity to investigate the etiopathogenesis of multiple sclerosis. Dev. Med. Child Neurol. 2022, 64, 409–410. [Google Scholar] [CrossRef] [PubMed]
- Anagnostouli, M.C.; Manouseli, A.; Artemiadis, A.K.; Katsavos, S.; Fillipopoulou, C.; Youroukos, S.; Efthimiopoulos, S.; Doxiadis, I. HLA-DRB1* Allele Frequencies in Pediatric, Adolescent and Adult-Onset Multiple Sclerosis Patients, in a Hellenic Sample. Evidence for New and Established Associations. J. Mult. Scler. 2014, 1, 104. [Google Scholar] [CrossRef]
- Stamatelos, P.; Anagnostouli, M. HLA-Genotype in Multiple Sclerosis: The Role in Disease Onset, Clinical Course, Cognitive Status and Response to Treatment: A Clear Step Towards Personalized Therapeutics. Immunogenet. Open Access 2017, 2, 1. [Google Scholar]
- Anagnostouli, M.; Anagnostoulis, G.; Katsavos, S.; Panagiotou, M.; Kararizou, E.; Davaki, P. HLA-DRB1*15:01 and Epstein–Barr virus in a multiple sclerosis patient with psoriasis, nasopharyngeal and breast cancers. Lessons for possible hidden links for autoimmunity and cancer. J. Neurol. Sci. 2014, 339, 26–31. [Google Scholar] [CrossRef] [PubMed]
- Al-Salameh, A.; Baudry, C.; Cohen, R. Update on multiple endocrine neoplasia Type 1 and 2. La Presse Médicale 2018, 47, 722–731. [Google Scholar] [CrossRef]
- Biondi, B.; Cosentini, E.; Lupoli, G.; Panza, N.; Cacciapuoti, C.; Russo, V.M.; Formisano, S.; Lombardi, G. Identical HLA antigens in two sisters with MEN IIA syndrome. J. Endocrinol. Investig. 1994, 17, 205–206. [Google Scholar] [CrossRef]
- Naoum, G.E.; Morkos, M.; Kim, B.; Arafat, W. Novel targeted therapies and immunotherapy for advanced thyroid cancers. Mol. Cancer 2018, 17, 51. [Google Scholar] [CrossRef]
- Dębska-Zielkowska, J.; Moszkowska, G.; Zieliński, M.; Zielińska, H.; Dukat-Mazurek, A.; Trzonkowski, P.; Stefańska, K. KIR Receptors as Key Regulators of NK Cells Activity in Health and Disease. Cells 2021, 10, 1777. [Google Scholar] [CrossRef]
- Lebrun, C.; Vermersch, P.; Brassat, D.; Defer, G.; Rumbach, L.; Clavelou, P.; Debouverie, M.; de Seze, J.; Wiertlevsky, S.; Heinzlef, O.; et al. Cancer and multiple sclerosis in the era of disease-modifying treatments. J. Neurol. 2011, 258, 1304–1311. [Google Scholar] [CrossRef]
- Skarlis, C.; Markoglou, N.; Gontika, M.; Bougea, A.; Katsavos, S.; Artemiadis, A.; Chrousos, G.; Dalakas, M.; Stefanis, L.; Anagnostouli, M. First-line disease modifying treatments in pediatric-onset multiple sclerosis in Greece: Therapy initiation at more advanced age is the main cause of treatment failure, in a retrospective observational study, with a cohort from a single Multiple Sclerosis Center. Neurol. Sci. 2022. [Google Scholar] [CrossRef]
- Nasehi, M.M.; Sahraian, M.A.; Moghadasi, A.N.; Ghofranni, M.; Ashtari, F.; Taghidiri, M.M.; Tonekaboni, S.H.; Karimzadeh, P.; Afshari, M.; Moosazadeh, M. Clinical and Epidemiological Aspects of Multiple Sclerosis in Children. Iran. J. Child Neurol. 2017, 11, 37–43. [Google Scholar] [PubMed]
- Anagnostouli, M. Multiple Sclerosis with Comorbid Other Autoimmune Diseases or Cancer: Need for Enhanced Alertness during COVID-19 Pandemic. COVID19 Pandemic Case Stud. Opin. 2020, 1, 1–3. [Google Scholar]
- Vakrakou, A.; Chatzistamatiou, T.; Koros, C.; Karathanasis, D.; Tentolouris-Piperas, V.; Tzanetakos, D.; Stathopoulos, P.; Koutsis, G.; Spyropoulou-Vlachou, M.; Evangelopoulos, M.; et al. HLA-genotyping by Next-Generation-Sequencing reveals shared and unique HLA alleles in two patients with coexisting neuromyelitis optica spectrum disorder and thymectomized myasthenia gravis: Immunological implications for mutual aetiopathogenesis? Mult. Scler. Relat. Disord. 2022, 63, 103858. [Google Scholar] [CrossRef] [PubMed]
- Azkur, A.K.; Akdis, M.; Azkur, D.; Sokolowska, M.; van de Veen, W.; Brüggen, M.; O’Mahony, L.; Gao, Y.; Nadeau, K.; Akdis, C.A. Immune response to SARS-CoV-2 and mechanisms of immunopathological changes in COVID-19. Allergy 2020, 75, 1564–1581. [Google Scholar] [CrossRef] [PubMed]
- Dedoni, S.; Olianas, M.C.; Onali, P. Interferon-β induces apoptosis in human SH-SY5Y neuroblastoma cells through activation of JAK–STAT signaling and down-regulation of PI3K/Akt pathway. J. Neurochem. 2010, 115, 1421–1433. [Google Scholar] [CrossRef]
- Kingwell, E.; Evans, C.; Zhu, F.; Oger, J.; Hashimoto, S.; Tremlett, H. Assessment of cancer risk with beta-interferon treatment for multiple sclerosis. J. Neurol. Neurosurg. Psychiatry 2014, 85, 1096–1102. [Google Scholar] [CrossRef]
- Esther, M.; William, L.M. Multiple Sclerosis and Cancer: The Ying-Yang Effect of Disease Modifying Therapies. Front. Immunol. 2020, 10, 2954. [Google Scholar]
- Loewe, R.; Valero, T.; Kremling, S.; Pratscher, B.; Kunstfeld, R.; Pehamberger, H.; Petzelbauer, P. Dimethyl fumarate impairs melanoma growth and metastasis. Cancer Res. 2006, 66, 11888–11896. [Google Scholar] [CrossRef]
- O’Connor, P.; Wolinsky, J.S.; Confavreux, C.; Comi, G.; Kappos, L.; Olsson, T.P.; Benzerdjeb, H.; Truffinet, P.; Wang, L.; Miller, A.; et al. Randomized trial of oral teriflunomide for relapsing multiple sclerosis. N. Engl. J. Med. 2011, 365, 1293–1303. [Google Scholar] [CrossRef]
- Anagnostouli, M.; Artemiadis, A.; Gontika, M.; Skarlis, C.; Markoglou, N.; Katsavos, S.; Kilindireas, K.; Doxiadis, I.; Stefanis, L. HLA-DPB1*03 as Risk Allele and HLA-DPB1*04 as Protective Allele for Both Early and Adult-Onset Multiple Sclerosis in a Hellenic Cohort. Brain Sci. 2020, 10, 374. [Google Scholar] [CrossRef]
- Selmi, C. Autoimmunity in 2016. Clin. Rev. Allergy Immunol. 2017, 53, 126–139. [Google Scholar] [CrossRef] [PubMed]
- Polman, C.H.; O’Connor, P.W.; Havrdova, E.; Hutchinson, M.; Kappos, L.; Miller, D.H.; Phillips, J.T.; Lublin, F.D.; Giovannoni, G.; Wajgt, A.; et al. A randomized, placebo-controlled trial of natalizumab for relapsing multiple sclerosis. N. Engl. J. Med. 2006, 354, 899–910. [Google Scholar] [CrossRef] [PubMed]
- Dasanu, C.A.; Alexandrescu, D.T. Risk of additional cancers in untreated and treated hairy cell leukemia patients. Expert Opin. Pharmacother. 2010, 11, 41–50. [Google Scholar] [CrossRef]
- Salles, G.; Barrett, M.; Foà, R.; Maurer, J.; O’Brien, S.; Valente, N.; Wenger, M.; Maloney, D.G. Rituximab in B-cell hematologic malignancies: A review of 20 years of clinical experience. Adv. Ther. 2017, 34, 2232–2273. [Google Scholar] [CrossRef]
- Kannaiyan, R.; Mahadevan, D. A comprehensive review of protein kinase inhibitors for cancer therapy. Expert Rev. Anticancer Ther. 2018, 18, 1249–1270. [Google Scholar] [CrossRef] [PubMed]
- Makangaa, D.R.; Jullien, M.; Davida, G.; Legranda, N.; Willema, C.; Dubreuil, L.; Walencik, A.; Touzeau, C.; Gastinne, T.; Tessoulin, B.; et al. Low number of KIR ligands in lymphoma patients favors a good rituximab-dependent NK cell response. Oncoimmunology 2021, 10, 1936392. [Google Scholar] [CrossRef]

| Type | Clinical Characteristics | Prevalence | Genetic Burden |
|---|---|---|---|
| MEN1 | Affects the parathyroid gland, the pancreas and the pituitary gland | 1:30,000 | Mutation in the MEN1 gene |
| MEN2A | Medullary thyroid carcinoma (MTC), phaeochromocytoma (PC), hyperparathyroidism (HPT) | 1:25,000 | Mutations in the RET |
| MEN2B | MTC, PC, diffuse ganglioneuromatosis of the gastrointestinal tract | 1:600,000 | Mutations in the RET |
| MEN3 | MTC | 0,2:100,000 | Mutations in the RET |
| MEN4 | Parathyroid tumors, anterior pituitary tumors in association with tumors of the kidneys, adrenals and reproductive organs | Unknown | Mutations in CDNK1B |
| Timepoint | WBC | ALC | CD4 | CD8 | CD19 | NK |
|---|---|---|---|---|---|---|
| One month before SARS-CoV-2 infection–Teriflunomide(+) | 9780/μL | 1600/μL N.V: (1200–3800) | ||||
| During SARS-CoV-2 infection–Teriflunomide(−) | 11230/μL | 1627/μL | ||||
| One month after infection/ Before re-initiation of Teriflunomide | 10490/μL | 1476/μL N.V: (1200–3800) | 705/μL N.V:(489–1666) | 239/μL N.V: (188–1082) | 158/μL N.V: (47–493) | 205/μL N.V: (145–678) |
| Six months after infection/ After re-initiation of Teriflunomide | 8610/μL | 1717/μL N.V: (1200–3800) | 968/μL N.V: (489–1666) | 281/μL N.V: (188–1082) | 240/μL N.V: (47–493) | 120/μL N.V: (145–678) |
| Sample | Allele | HLA-A | HLA-B | HLA-C | HLA-DPB1 | HLA-DQA1 | HLA-DQB1 | HLA-DRB1 |
|---|---|---|---|---|---|---|---|---|
| Allele 1 | A*33:03:01 | B*18:01:01 | C*12:03:01 | DPB1*04:01:01 | DQA1*01:02:01 | DQB1*03:01:01 | DRB1*11:04:01 | |
| Allele2 | A*68:01:02 | B*41:01:01 | C*17:01:01 | DPB1*04:02:01 | DQA1*05:01:01 | DQB1*06:02:01 | DRB1*15:01:01 |
| DMTs | Immunologic Function in MS | Anti-Tumor Effects | Cancer Type Correlated with |
|---|---|---|---|
| IFNs | Decrease in antigen presentation and change in the expression of Th1 lymphocytes | Inhibition of tumor cell differentiation and proliferation | Breast |
| GA | Blockage of MHC-II * in immunological synapsis and shift from Th1 to Th2 immune responses | Upregulation of anti-inflammatory M2 monocytes, Th2 cells and T regulatory cells (Tregs) | Breast, skin |
| DMF | Antioxidant properties and reduction in inflammatory molecules | Apoptosis of tumor cells | Breast, basal cell carcinoma |
| Teriflunomide | Inhibition of the proliferation of autoreactive B and T cells | Downregulation of anti-apoptotic proteins in tumor cells | Cervical |
| Fingolimod | Entrapment of T lymphocytes in lymph nodes. Reduction in circulating lymphocytes in the peripheral blood | Immunosuppression against Treg cells that contribute to tolerance of malignant tumor cells | Basal cell carcinoma, breast, thyroid |
| Natalizumab | Inhibition of the migration of lymphocytes through the BBB * | Blocks cell adhesion | Breast, melanoma, diffused B-cell lymphoma |
| Cladribine | Depletion of T and B lymphocytes | Chain termination and cell-death | Melanoma, ovarian, pancreatic |
| Anti-B cell | Depletion of B lymphocytes | Promotes tumor cell-death | Renal, melanoma, breast |
Publisher’s Note: MDPI stays neutral with regard to jurisdictional claims in published maps and institutional affiliations. |
© 2022 by the authors. Licensee MDPI, Basel, Switzerland. This article is an open access article distributed under the terms and conditions of the Creative Commons Attribution (CC BY) license (https://creativecommons.org/licenses/by/4.0/).
Share and Cite
Markoglou, N.; Simeakis, G.; Alevizaki, M.; Velonakis, G.; Chatzistamatiou, T.; Spyropoulou-Vlachou, M.; Stavropoulos-Giokas, C.; Stefanis, L.; Anagnostouli, M. Multiple Sclerosis and MEN2 Neoplasia in a Female Patient: A Unique Co-Existence with Expanded Immunological Interest and Therapeutical Challenges, before and after Patient’s COVID-19 Infection. Biomedicines 2022, 10, 2850. https://doi.org/10.3390/biomedicines10112850
Markoglou N, Simeakis G, Alevizaki M, Velonakis G, Chatzistamatiou T, Spyropoulou-Vlachou M, Stavropoulos-Giokas C, Stefanis L, Anagnostouli M. Multiple Sclerosis and MEN2 Neoplasia in a Female Patient: A Unique Co-Existence with Expanded Immunological Interest and Therapeutical Challenges, before and after Patient’s COVID-19 Infection. Biomedicines. 2022; 10(11):2850. https://doi.org/10.3390/biomedicines10112850
Chicago/Turabian StyleMarkoglou, Nikolaos, George Simeakis, Maria Alevizaki, Georgios Velonakis, Theofanis Chatzistamatiou, Maria Spyropoulou-Vlachou, Catherine Stavropoulos-Giokas, Leonidas Stefanis, and Maria Anagnostouli. 2022. "Multiple Sclerosis and MEN2 Neoplasia in a Female Patient: A Unique Co-Existence with Expanded Immunological Interest and Therapeutical Challenges, before and after Patient’s COVID-19 Infection" Biomedicines 10, no. 11: 2850. https://doi.org/10.3390/biomedicines10112850
APA StyleMarkoglou, N., Simeakis, G., Alevizaki, M., Velonakis, G., Chatzistamatiou, T., Spyropoulou-Vlachou, M., Stavropoulos-Giokas, C., Stefanis, L., & Anagnostouli, M. (2022). Multiple Sclerosis and MEN2 Neoplasia in a Female Patient: A Unique Co-Existence with Expanded Immunological Interest and Therapeutical Challenges, before and after Patient’s COVID-19 Infection. Biomedicines, 10(11), 2850. https://doi.org/10.3390/biomedicines10112850

