Chemopreventive Effects of Oral Pterostilbene in Multistage Carcinogenesis of Skin Squamous Cell Carcinoma Mouse Model Induced by DMBA/TPA
Abstract
1. Introduction
2. Materials and Methods
2.1. Chemicals
2.2. Animal Experimental Research Design
2.3. Hematoxylin and Eosin (H&E Staining)
2.4. Measurement of Epidermal Thickness
2.5. Histopathological Scoring
2.6. Immunohistochemistry Staining of Ki-67
2.7. Statistical Analysis
3. Results
3.1. Inhibitory Effect of Orally Administered Pterostilbene on Specific Multistage Carcinogenesis of DMBA/TPA Induced Skin SCC Mouse Model
3.2. Orally Administered Pterostilbene during Initiation, Promotion or Continuous Reduced the Thickness of the Epidermis Layer
3.3. Effect of Oral Administered Pterostilbene on Semi-Quantitative Histopathological Scoring Based on H&E Staining
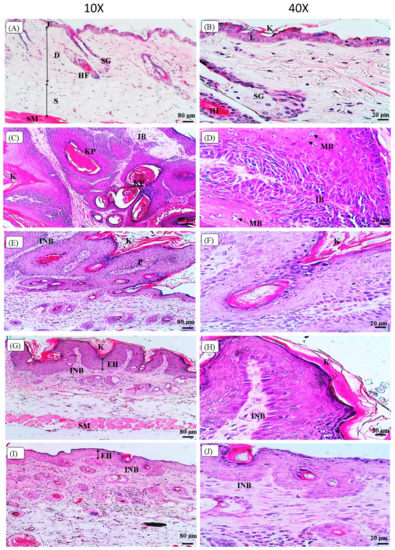
3.4. Effect of Orally Administered Pterostilbene during Initiation, Promotion or Continuous on Histopathological Observation against Carcinogenesis of Skin SCC Induced by DMBA/TPA
3.5. Effect of Orally Administered Pterostilbene during Initiation, Promotion and Continuous in Chemically DMBA/TPA Induced Skin SCC Mouse Model on the Cell Proliferation Marker of Ki-67
4. Discussion
5. Conclusions
Author Contributions
Funding
Institutional Review Board Statement
Informed Consent Statement
Data Availability Statement
Conflicts of Interest
References
- Maranduca, M.A.; Hurjui, L.L.; Branisteanu, D.C.; Serban, D.N.; Branisteanu, D.E.; Dima, N.; Serban, I.L. Skin-a Vast Organ with Immunological Function. Exp. Ther. Med. 2020, 20, 18–23. [Google Scholar] [CrossRef]
- Ferlay, J.; Colombet, M.; Soerjomataram, I.; Mathers, C.; Parkin, D.M.; Piñeros, M.; Znaor, A.; Bray, F. Estimating the Global Cancer Incidence and Mortality in 2018: GLOBOCAN Sources and Methods. Int. J. Cancer 2019, 144, 1941–1953. [Google Scholar] [CrossRef]
- Losquadro, W.D. Anatomy of the Skin and the Pathogenesis of Nonmelanoma Skin Cancer. Facial Plast. Surg. Clin. 2017, 25, 283–289. [Google Scholar] [CrossRef]
- Wollina, U.; Koch, A.; Schönlebe, J.; Tchernev, G. Carcinosarcoma of Skin (Sarcomatoid Carcinoma)—A Rare Non-Melanoma Skin Cancer (Case Review). Georgian Med. News 2017, 263, 7–10. [Google Scholar]
- Ciążyńska, M.; Kamińska-Winciorek, G.; Lange, D.; Lewandowski, B.; Reich, A.; Sławińska, M.; Pabianek, M.; Szczepaniak, K.; Hankiewicz, A.; Ułańska, M. The Incidence and Clinical Analysis of Non-Melanoma Skin Cancer. Sci. Rep. 2021, 11, 4337. [Google Scholar] [CrossRef]
- Aggarwal, P.; Knabel, P.; Fleischer, A.B., Jr. United States Burden of Melanoma and Non-Melanoma Skin Cancer from 1990 to 2019. J. Am. Acad. Derm. 2021, 85, 388–395. [Google Scholar] [CrossRef]
- Weinstock, M.A. Nonmelanoma Skin Cancer Mortality in the United States, 1969 through 1988. Arch. Derm. 1993, 129, 1286–1290. [Google Scholar] [CrossRef]
- Alam, M.; Ratner, D. Cutaneous Squamous-Cell Carcinoma. N. Engl. J. Med. 2001, 344, 975–983. [Google Scholar] [CrossRef]
- Shapira, N. The Potential Contribution of Dietary Factors to Breast Cancer Prevention. Eur. J. Cancer Prev. 2017, 26, 385–395. [Google Scholar] [CrossRef]
- Chen, C.-Y.; Kao, C.-L.; Liu, C.-M. The Cancer Prevention, Anti-Inflammatory and Anti-Oxidation of Bioactive Phytochemicals Targeting the TLR4 Signaling Pathway. Int. J. Mol. Sci. 2018, 19, 2729. [Google Scholar] [CrossRef]
- Akinwumi, B.C.; Bordun, K.-A.M.; Anderson, H.D. Biological Activities of Stilbenoids. Int. J. Mol. Sci. 2018, 19, 792. [Google Scholar] [CrossRef]
- Tastekin, B.; Pelit, A.; Polat, S.; Tuli, A.; Sencar, L.; Alparslan, M.M.; Daglioglu, Y.K. Therapeutic Potential of Pterostilbene and Resveratrol on Biomechanic, Biochemical, and Histological Parameters in Streptozotocin-Induced Diabetic Rats. Evid.-Based Complement. Altern. Med. 2018, 2018, 9012352. [Google Scholar] [CrossRef]
- Balasubramani, S.P.; Rahman, M.A.; Basha, S.M. Synergistic Action of Stilbenes in Muscadine Grape Berry Extract Shows Better Cytotoxic Potential against Cancer Cells than Resveratrol Alone. Biomedicines 2019, 7, 96. [Google Scholar] [CrossRef]
- Ghazali, A.R.; Lee, W.X.; Chen, X.Y.; Ahmad, A.; Nagapan, T.S. Effects of Pterostilbene on Activities and Protein Expression of Cytochrome P450 1A1 (CYP1A1) and Glutathione S-Transferase (GST) in Benzo [a] Pyrene-Induced HT-29 Colorectal Cancer Cell Line. J. Sains Kesihat. Malays. (Malays. J. Health Sci.) 2018, 16, 27–33. [Google Scholar]
- Nagapan, T.S.; Lim, W.N.; Ghazali, A.R.; Basri, D.F. Pterostilbene Supplementation Inhibits Early Inflammatory Response and Oxidative Stress in UVB-Induced BALB/C Mice. Sains Malays. 2021, 50, 1407–1414. [Google Scholar] [CrossRef]
- Joseph, J.A.; Fisher, D.R.; Cheng, V.; Rimando, A.M.; Shukitt-Hale, B. Cellular and Behavioral Effects of Stilbene Resveratrol Analogues: Implications for Reducing the Deleterious Effects of Aging. J. Agric. Food Chem. 2008, 56, 10544–10551. [Google Scholar] [CrossRef]
- Peng, R.; Lin, G.; Ting, Y.; Hu, J. Oral Delivery System Enhanced the Bioavailability of Stilbenes: Resveratrol and Pterostilbene. BioFactors 2018, 44, 5–15. [Google Scholar] [CrossRef]
- Kapetonovic, I.; Muzzio, M.; Huang, Z.; Thompson, T.; McCormick, D. Pharmacokinetics, Oral Bioavailability, and Metabolic Profile of Resveratrol and Its Dimethylether Analog, Pterostilbene, in Rats. Cancer Chemother. Pharmcol. 2012, 68, 593–601. [Google Scholar] [CrossRef]
- Lin, W.-S.; Leland, J.V.; Ho, C.-T.; Pan, M.-H. Occurrence, Bioavailability, Anti-Inflammatory, and Anticancer Effects of Pterostilbene. J. Agric. Food Chem. 2020, 68, 12788–12799. [Google Scholar] [CrossRef]
- Hansch, C.; Leo, A. Substituent Constants for Correlation Analysis in Chemistry and Biology; Wiley: Hoboken, NJ, USA, 1979; ISBN 0471050628. [Google Scholar]
- Martin, Y.C. Exploring QSAR: Hydrophobic, Electronic, and Steric Constants C. Hansch, A. Leo, and D. Hoekman. American Chemical Society, Washington, DC. 1995. Xix + 348 pp. 22 × 28.5 cm. Exploring QSAR: Fundamentals and Applications in Chemistry and Biology. C. Hansch and A. Leo. American Chemical Society, Washington, DC. 1995. Xvii + 557 pp. 18.5 × 26 cm. ISBN 0-8412-2993-7 (Set). $99.95 (Set). J. Med. Chem. 1996, 39, 1189–1190. [Google Scholar]
- Bazzini, P.; Wermuth, C.G. Substituent Groups. In The Practice of Medicinal Chemistry; Elsevier: Amsterdam, The Netherlands, 2008; pp. 429–463. [Google Scholar]
- Shibutani, S.; Bonala, R.R.; Rosenquist, T.; Rieger, R.; Suzuki, N.; Johnson, F.; Miller, F.; Grollman, A.P. Detoxification of Aristolochic Acid I by O-demethylation: Less Nephrotoxicity and Genotoxicity of Aristolochic Acid Ia in Rodents. Int. J. Cancer 2010, 127, 1021–1027. [Google Scholar] [CrossRef] [PubMed]
- Stiborová, M.; Bárta, F.; Levová, K.; Hodek, P.; Schmeiser, H.H.; Arlt, V.M.; Martínek, V. A Mechanism of O-Demethylation of Aristolochic Acid I by Cytochromes P450 and Their Contributions to This Reaction in Human and Rat Livers: Experimental and Theoretical Approaches. Int. J. Mol. Sci. 2015, 16, 27561–27575. [Google Scholar] [CrossRef] [PubMed]
- Chiou, Y.-S.; Tsai, M.-L.; Nagabhushanam, K.; Wang, Y.-J.; Wu, C.-H.; Ho, C.-T.; Pan, M.-H. Pterostilbene Is More Potent than Resveratrol in Preventing Azoxymethane (AOM)-Induced Colon Tumorigenesis via Activation of the NF-E2-Related Factor 2 (Nrf2)-Mediated Antioxidant Signaling Pathway. J. Agric. Food Chem. 2011, 59, 2725–2733. [Google Scholar] [CrossRef] [PubMed]
- Tsai, M.-L.; Lai, C.-S.; Chang, Y.-H.; Chen, W.-J.; Ho, C.-T.; Pan, M.-H. Pterostilbene, a Natural Analogue of Resveratrol, Potently Inhibits 7,12-Dimethylbenz[a]Anthracene (DMBA)/12-O-Tetradecanoylphorbol-13-Acetate (TPA)-Induced Mouse Skin Carcinogenesis. Food Funct. 2012, 3, 1185–1194. [Google Scholar] [CrossRef] [PubMed]
- Surien, O.; Ghazali, A.R.; Masre, S.F. Histopathological Effect of Pterostilbene as Chemoprevention in N-Nitroso-Tri-Chloroethylurea (NTCU)-Induced Lung Squamous Cell Carcinoma (SCC) Mouse Model. Histol. Histopathol. 2020, 35, 1159–1170. [Google Scholar]
- Harun, Z.; Ghazali, A.R. Potential Chemoprevention Activity of Pterostilbene by Enhancing the Detoxifying Enzymes in the HT-29 Cell Line. Asian Pac. J. Cancer Prev. 2012, 13, 6403–6407. [Google Scholar] [CrossRef]
- Duke, S.O. Benefits of Resveratrol and Pterostilbene to Crops and Their Potential Nutraceutical Value to Mammals. Agriculture 2022, 12, 368. [Google Scholar] [CrossRef]
- Siddiqui, I.A.; Sanna, V.; Ahmad, N.; Sechi, M.; Mukhtar, H. Resveratrol Nanoformulation for Cancer Prevention and Therapy. Ann. N. Y. Acad. Sci. 2015, 1348, 20–31. [Google Scholar] [CrossRef]
- Ko, C.-N.; Li, G.; Leung, C.-H.; Ma, D.-L. Dual Function Luminescent Transition Metal Complexes for Cancer Theranostics: The Combination of Diagnosis and Therapy. Coord. Chem. Rev. 2019, 381, 79–103. [Google Scholar] [CrossRef]
- Brown, D.C.; Gatter, K.C. Ki67 Protein: The Immaculate Deception? Histopathology 2002, 40, 2–11. [Google Scholar] [CrossRef]
- Li, L.T.; Jiang, G.; Chen, Q.; Zheng, J.N. Ki67 Is a Promising Molecular Target in the Diagnosis of Cancer. Mol. Med. Rep. 2015, 11, 1566–1572. [Google Scholar] [CrossRef] [PubMed]
- Abel, E.L.; Angel, J.M.; Kiguchi, K.; DiGiovanni, J. Multi-Stage Chemical Carcinogenesis in Mouse Skin: Fundamentals and Applications. Nat. Protoc. 2009, 4, 1350–1362. [Google Scholar] [CrossRef] [PubMed]
- DiGiovanni, J. Modification of Multistage Skin Carcinogenesis in Mice. Prog. Exp. Tumor Res. 1991, 33, 192–229. [Google Scholar] [PubMed]
- Vähätupa, M.; Pemmari, T.; Junttila, I.; Pesu, M.; Järvinen, T.A.H. Chemical-Induced Skin Carcinogenesis Model Using Dimethylbenz [a] Anthracene and 12-o-Tetradecanoyl Phorbol-13-Acetate (DMBA-TPA). JoVE (J. Vis. Exp.) 2019, 154, e60445. [Google Scholar] [CrossRef]
- Thomas, G.; Tuk, B.; Song, J.-Y.; Truong, H.; Gerritsen, H.C.; de Gruijl, F.R.; Sterenborg, H.J.C.M. Studying Skin Tumourigenesis and Progression in Immunocompetent Hairless SKH1-Hr Mice Using Chronic 7, 12-Dimethylbenz (a) Anthracene Topical Applications to Develop a Useful Experimental Skin Cancer Model. Lab. Anim. 2017, 51, 24–35. [Google Scholar] [CrossRef]
- Gibson-Corley, K.N.; Olivier, A.K.; Meyerholz, D.K. Principles for Valid Histopathologic Scoring in Research. Vet. Pathol. 2013, 50, 1007–1015. [Google Scholar] [CrossRef]
- Peterson, J.M.; Bryner, R.W.; Alway, S.E. Satellite Cell Proliferation Is Reduced in Muscles of Obese Zucker Rats but Restored with Loading. Am. J. Physiol.-Cell Physiol. 2008, 295, C521–C528. [Google Scholar] [CrossRef]
- Rundhaug, J.E.; Fischer, S.M. Molecular Mechanisms of Mouse Skin Tumor Promotion. Cancers 2010, 2, 436–482. [Google Scholar] [CrossRef]
- Kemp, C.J. Multistep Skin Cancer in Mice as a Model to Study the Evolution of Cancer Cells. Semin. Cancer Biol. 2005, 15, 460–473. [Google Scholar] [CrossRef]
- Balmain, A.; Pragnell, I.B. Mouse Skin Carcinomas Induced in Vivo by Chemical Carcinogens Have a Transforming Harvey-Ras Oncogene. Nature 1983, 303, 72–74. [Google Scholar] [CrossRef]
- Scheffzek, K.; Ahmadian, M.R.; Kabsch, W.; Wiesmuller, L.; Lautwein, A.; Schmitz, F.; Wittinghofer, A. The Ras-RasGAP Complex: Structural Basis for GTPase Activation and Its Loss in Oncogenic Ras Mutants. Science 1997, 277, 333–339. [Google Scholar] [CrossRef] [PubMed]
- Goel, G.; Makkar, H.P.S.; Francis, G.; Becker, K. Phorbol Esters: Structure, Occurrence and Biological Activity. Int. J. Toxicol 2007, 26, 279–288. [Google Scholar] [CrossRef] [PubMed]
- Poli, A.; Mongiorgi, S.; Cocco, L.; Follo, M.Y. Protein Kinase C Involvement in Cell Cycle Modulation. Biochem. Soc. Trans. 2014, 42, 1471–1476. [Google Scholar] [CrossRef] [PubMed]
- Prakash, J.; Gupta, S.K.; Dinda, A.K. Withania Somnifera Root Extract Prevents DMBA-Induced Squamous Cell Carcinoma of Skin in Swiss Albino Mice. Nutr. Cancer 2002, 42, 91–97. [Google Scholar] [CrossRef]
- Indra, A.K.; Castaneda, E.; Antal, M.C.; Jiang, M.; Messaddeq, N.; Meng, X.; Loehr, C.V.; Gariglio, P.; Kato, S.; Wahli, W. Malignant Transformation of DMBA/TPA-Induced Papillomas and Nevi in the Skin of Mice Selectively Lacking Retinoid-X-Receptor α in Epidermal Keratinocytes. J. Investig. Dermatol. 2007, 127, 1250–1260. [Google Scholar] [CrossRef]
- Nonaka, T.; Toda, Y.; Hiai, H.; Uemura, M.; Nakamura, M.; Yamamoto, N.; Asato, R.; Hattori, Y.; Bessho, K.; Minato, N. Involvement of Activation-Induced Cytidine Deaminase in Skin Cancer Development. J. Clin. Investig. 2016, 126, 1367–1382. [Google Scholar] [CrossRef]
- Vincent, T.L.; Gatenby, R.A. An Evolutionary Model for Initiation, Promotion, and Progression in Carcinogenesis. Int. J. Oncol. 2008, 32, 729–737. [Google Scholar]
- Sati, J.; Mohanty, B.P.; Garg, M.L.; Koul, A. Pro-Oxidant Role of Silibinin in DMBA/TPA Induced Skin Cancer: 1H NMR Metabolomic and Biochemical Study. PLoS ONE 2016, 11, e0158955. [Google Scholar] [CrossRef]
- Burton, K.A.; Ashack, K.A.; Khachemoune, A. Cutaneous Squamous Cell Carcinoma: A Review of High-Risk and Metastatic Disease. Am. J. Clin. Derm. 2016, 17, 491–508. [Google Scholar] [CrossRef]
- Li, Y.Y.; Hanna, G.J.; Laga, A.C.; Haddad, R.I.; Lorch, J.H.; Hammerman, P.S. Genomic Analysis of Metastatic Cutaneous Squamous Cell CarcinomaGenomics of Metastatic Cutaneous Squamous Carcinomas. Clin. Cancer Res. 2015, 21, 1447–1456. [Google Scholar] [CrossRef]
- Johnson, T.M.; Rowe, D.E.; Nelson, B.R.; Swanson, N.A. Squamous Cell Carcinoma of the Skin (Excluding Lip and Oral Mucosa). J. Am. Acad. Derm. 1992, 26, 467–484. [Google Scholar] [CrossRef]
- Qian, Y.-Y.; Liu, Z.-S.; Pan, D.-Y.; Li, K. Tumoricidal Activities of Pterostilbene Depend upon Destabilizing the MTA1-NuRD Complex and Enhancing P53 Acetylation in Hepatocellular Carcinoma. Exp. Med. 2017, 14, 3098–3104. [Google Scholar] [CrossRef] [PubMed]
- Wen, W.; Lowe, G.; Roberts, C.M.; Finlay, J.; Han, E.S.; Glackin, C.A.; Dellinger, T.H. Pterostilbene, a Natural Phenolic Compound, Synergizes the Antineoplastic Effects of Megestrol Acetate in Endometrial Cancer. Sci. Rep. 2017, 7, 12754. [Google Scholar] [CrossRef] [PubMed]
- McCormack, D.; McFadden, D. Pterostilbene and Cancer: Current Review. J. Surg. Res. 2012, 173, e53–e61. [Google Scholar] [CrossRef]
- Pan, C.; Hu, Y.; Li, J.; Wang, Z.; Huang, J.; Zhang, S.; Ding, L. Estrogen Receptor-A36 Is Involved in Pterostilbene-Induced Apoptosis and Anti-Proliferation in in Vitro and in Vivo Breast Cancer. PLoS ONE 2014, 9, e104459. [Google Scholar] [CrossRef]
- Lapouge, G.; Youssef, K.K.; Vokaer, B.; Achouri, Y.; Michaux, C.; Sotiropoulou, P.A.; Blanpain, C. Identifying the Cellular Origin of Squamous Skin Tumors. Proc. Natl. Acad. Sci. USA 2011, 108, 7431–7436. [Google Scholar] [CrossRef]
- Chen, R.-J.; Wu, P.-H.; Ho, C.-T.; Way, T.-D.; Pan, M.-H.; Chen, H.-M.; Ho, Y.-S.; Wang, Y.-J. P53-Dependent Downregulation of HTERT Protein Expression and Telomerase Activity Induces Senescence in Lung Cancer Cells as a Result of Pterostilbene Treatment. Cell Death Dis. 2017, 8, e2985. [Google Scholar] [CrossRef]
- Jackson, S.P.; Bartek, J. The DNA-Damage Response in Human Biology and Disease. Nature 2009, 461, 1071–1078. [Google Scholar] [CrossRef]
- Williams, A.B.; Schumacher, B. P53 in the DNA-Damage-Repair Process. Cold Spring Harb. Perspect. Med. 2016, 6, a026070. [Google Scholar] [CrossRef]
- Guo, L.; Tan, K.; Wang, H.; Zhang, X. Pterostilbene Inhibits Hepatocellular Carcinoma through P53 / SOD2 / ROS-Mediated Mitochondrial Apoptosis. Oncol. Rep. 2016, 36, 3233–3240. [Google Scholar] [CrossRef]
- Surien, O.; Ghazali, A.R.; Masre, S.F. Chemopreventive Effects of Pterostilbene through P53 and Cell Cycle in Mouse Lung of Squamous Cell Carcinoma Model. Sci. Rep. 2021, 11, 14862. [Google Scholar] [CrossRef]
- Speidel, D. Transcription-Independent P53 Apoptosis: An Alternative Route to Death. Trends Cell Biol. 2010, 20, 14–24. [Google Scholar] [CrossRef] [PubMed]
- Yang, G.; Li, S.; Yang, Y.; Yuan, L.; Wang, P.; Zhao, H.; Ho, C.-T.; Lin, C.-C. Nobiletin and 5-Hydroxy-6,7,8,3′,4′-Pentamethoxyflavone Ameliorate 12-O-Tetradecanoylphorbol-13-Acetate-Induced Psoriasis-like Mouse Skin Lesions by Regulating the Expression of Ki-67 and Proliferating Cell Nuclear Antigen and the Differentiation of CD4+ T Cells through Mitogen-Activated Protein Kinase Signaling Pathways. J. Agric. Food Chem. 2018, 66, 8299–8306. [Google Scholar] [PubMed]
- Paul, S.; Rimando, A.M.; Hong, J.L.; Ji, Y.; Reddy, B.S.; Suh, N. Anti-Inflammatory Action of Pterostilbene Is Mediated through the P38 Mitogen-Activated Protein Kinase Pathway in Colon Cancer Cells. Cancer Prev. Res. 2009, 2, 650–657. [Google Scholar] [CrossRef] [PubMed]
- Liu, K.; Li, C.; Dai, L.; Liu, J.; Wang, L.; Lei, J.; Guo, L. Design, Synthesis and in Vivo Antitumor Efficacy of Novel Eight-Arm-Polyethylene Glycol–Pterostilbene Prodrugs. RSC Adv. 2015, 5, 51592–51599. [Google Scholar] [CrossRef]
- Lin, C.-W.; Chou, Y.-E.; Chiou, H.-L.; Chen, M.-K.; Yang, W.-E.; Hsieh, M.-J.; Yang, S.-F. Pterostilbene Suppresses Oral Cancer Cell Invasion by Inhibiting MMP-2 Expression. Expert Opin. Ther. Targets 2014, 18, 1109–1120. [Google Scholar] [CrossRef]
- Kim, C.; Pasparakis, M. Epidermal P65/NF-κB Signalling Is Essential for Skin Carcinogenesis. EMBO Mol. Med. 2014, 6, 970–983. [Google Scholar] [CrossRef]
- Jin, B.; Zhang, Y.; Miller, H.D.; He, L.; Ge, D.; Wang, A.R.; You, Z. Defect of IL17 Signaling, but Not Centrinone, Inhibits the Development of Psoriasis and Skin Papilloma in Mouse Models. Biomedicines 2022, 10, 1976. [Google Scholar] [CrossRef]
- Scholzen, T.; Gerdes, J. The Ki-67 Protein: From the Known and the Unknown. J. Cell. Physiol. 2000, 182, 311–322. [Google Scholar] [CrossRef]
- Esteva, F.J.; Hortobagyi, G.N. Prognostic Molecular Markers in Early Breast Cancer. Breast Cancer Res. 2004, 6, 109–118. [Google Scholar] [CrossRef]
- Ma, G.-Z.; Liu, C.-H.; Wei, B.; Qiao, J.; Lu, T.; Wei, H.-C.; Chen, H.-D.; He, C.-D. Baicalein Inhibits DMBA/TPA-Induced Skin Tumorigenesis in Mice by Modulating Proliferation, Apoptosis, and Inflammation. Inflammation 2013, 36, 457–467. [Google Scholar] [CrossRef] [PubMed]
- Dhar, S.; Kumar, A.; Zhang, L.; Rimando, A.M.; Lage, J.M.; Lewin, J.R.; Atfi, A.; Zhang, X.; Levenson, A.S. Dietary Pterostilbene Is a Novel MTA1-Targeted Chemopreventive and Therapeutic Agent in Prostate Cancer. Oncotarget 2016, 7, 18469–18484. [Google Scholar] [CrossRef] [PubMed]
- Hu, Y.Q.; Wang, J.; Wu, J.H. Administration of Resveratrol Enhances Cell-Cycle Arrest Followed by Apoptosis in DMBA-Induced Skin Carcinogenesis in Male Wistar Rats. Eur. Rev. Med. Pharm. Sci. 2016, 20, 2935–2946. [Google Scholar]
- Lee, P.-S.; Chiou, Y.-S.; Chou, P.-Y.; Nagabhushanam, K.; Ho, C.-T.; Pan, M.-H. 3′-Hydroxypterostilbene Inhibits 7, 12-Dimethylbenz [a] Anthracene (DMBA)/12-O-Tetradecanoylphorbol-13-Acetate (TPA)-Induced Mouse Skin Carcinogenesis. Phytomedicine 2021, 81, 153432. [Google Scholar] [CrossRef] [PubMed]






| Groups | Histopathological Score | Skin Lesions |
|---|---|---|
| VEHICLE | 0 | Normal |
| CANCER | 2.87 ± 0.07 | Squamous cell carcinoma |
| INITIATION | 1.53 ± 0.15 | Papilloma |
| PROMOTION | 1.27 ± 0.18 | Hyperplasia |
| CONTINUOUS | 1.15 ± 0.07 | Hyperplasia |
Publisher’s Note: MDPI stays neutral with regard to jurisdictional claims in published maps and institutional affiliations. |
© 2022 by the authors. Licensee MDPI, Basel, Switzerland. This article is an open access article distributed under the terms and conditions of the Creative Commons Attribution (CC BY) license (https://creativecommons.org/licenses/by/4.0/).
Share and Cite
Surien, O.; Masre, S.F.; Basri, D.F.; Ghazali, A.R. Chemopreventive Effects of Oral Pterostilbene in Multistage Carcinogenesis of Skin Squamous Cell Carcinoma Mouse Model Induced by DMBA/TPA. Biomedicines 2022, 10, 2743. https://doi.org/10.3390/biomedicines10112743
Surien O, Masre SF, Basri DF, Ghazali AR. Chemopreventive Effects of Oral Pterostilbene in Multistage Carcinogenesis of Skin Squamous Cell Carcinoma Mouse Model Induced by DMBA/TPA. Biomedicines. 2022; 10(11):2743. https://doi.org/10.3390/biomedicines10112743
Chicago/Turabian StyleSurien, Omchit, Siti Fathiah Masre, Dayang Fredalina Basri, and Ahmad Rohi Ghazali. 2022. "Chemopreventive Effects of Oral Pterostilbene in Multistage Carcinogenesis of Skin Squamous Cell Carcinoma Mouse Model Induced by DMBA/TPA" Biomedicines 10, no. 11: 2743. https://doi.org/10.3390/biomedicines10112743
APA StyleSurien, O., Masre, S. F., Basri, D. F., & Ghazali, A. R. (2022). Chemopreventive Effects of Oral Pterostilbene in Multistage Carcinogenesis of Skin Squamous Cell Carcinoma Mouse Model Induced by DMBA/TPA. Biomedicines, 10(11), 2743. https://doi.org/10.3390/biomedicines10112743

