Abdominal Muscles and Metabolic Syndrome According to Patient Sex: A Retrospective Cross-Sectional Study
Abstract
1. Introduction
2. Materials and Methods
2.1. Study Participants
2.2. Clinical and Laboratory Measurements
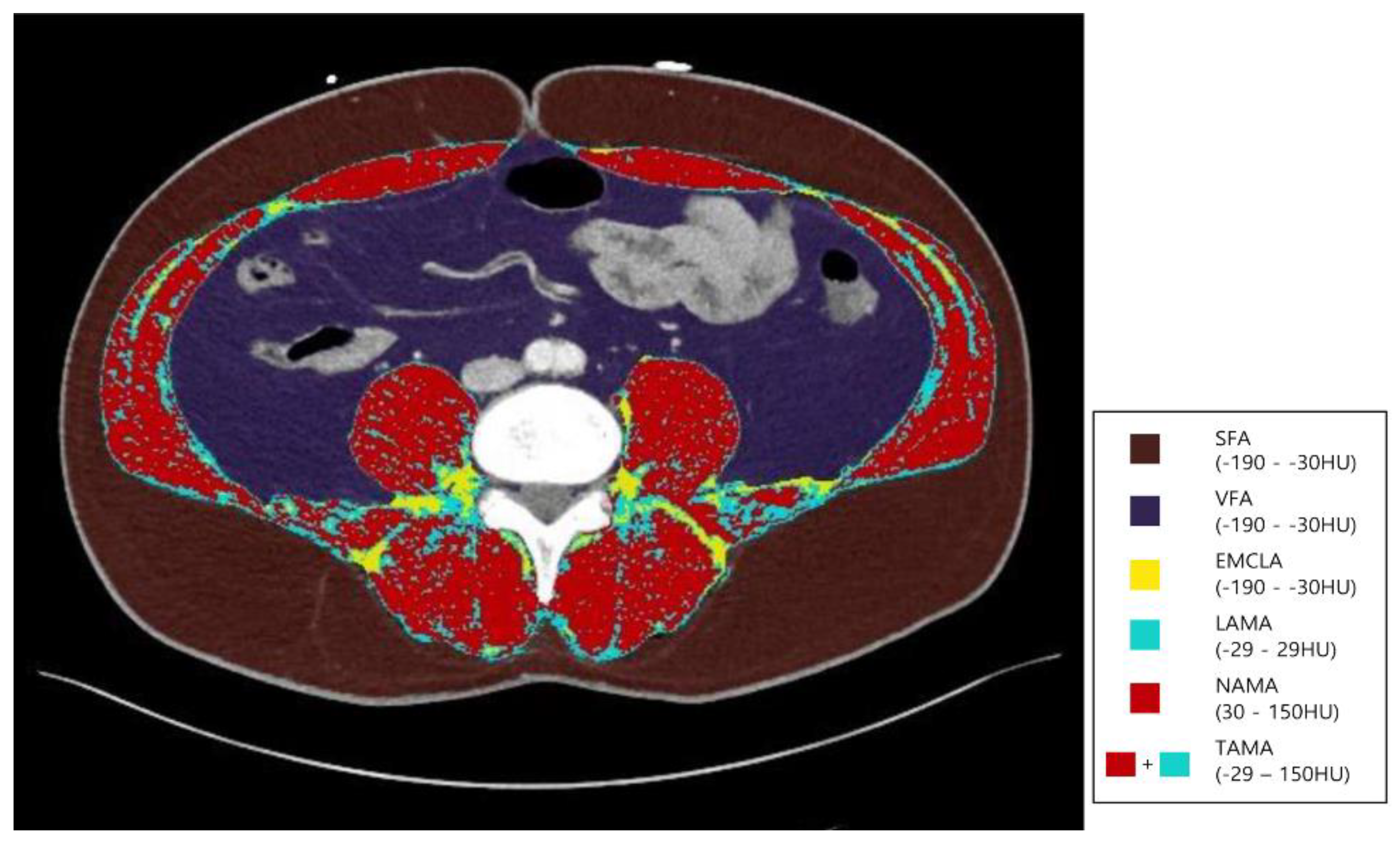
2.3. APCT Image Acquisition and Analysis
2.4. Statistical Analysis
3. Results
3.1. Participant Characteristics
3.2. CT Findings
3.3. Correlation between Metabolic Risk Factors and the TAMAI, NAMAI, LAMAI, SFAI, VFAI, and EMCLAI
3.4. Association between MetS and Abdominal Muscles and Fat Area
4. Discussion
5. Conclusions
Author Contributions
Funding
Institutional Review Board Statement
Informed Consent Statement
Acknowledgments
Conflicts of Interest
Appendix A
| Variables | Male | Female | ||||
|---|---|---|---|---|---|---|
| (n = 2591) | Postmenopause (n = 1164) | Premenopause (n = 890) | ||||
| OR (95% CI) | p-Value | OR (95% CI) | p-Value | OR (95% CI) | p-Value | |
| Total abdominal muscle area index, cm2/(kg/m2) | 0.836 | 0.056 | 0.817 | 0.285 | 0.628 | 0.179 |
| (0.696–1.005) | (0.563–1.184) | (0.319–1.238) | ||||
| Normal-attenuation muscle | 0.784 | 0.011 | 0.863 | 0.447 | 0.636 | 0.194 |
| index, cm2/(kg/m2) | (0.651–0.946) | (0.590–1.262) | (0.321–1.259) | |||
| Low-attenuation muscle index, cm2/(kg/m2) | 1.402 | 0.142 | 0.810 | 0.797 | 0.868 | 0.887 |
| (0.894–2.199) | (0.163–4.031) | (0.123–6.144) | ||||
| The ratio of low-attenuation | 1.032 | 0.034 | 0.994 | 0.767 | 1.014 | 0.737 |
| muscle area to total abdominal muscle area, % | (1.002–1.063) | (0.956–1.034) | (0.933–1.103) | |||
References
- Beaudry, K.M.; Devries, M.C. Sex-based differences in hepatic and skeletal muscle triglyceride storage and metabolism. Appl. Physiol. Nutr. Metab. 2019, 44, 805–813. [Google Scholar] [CrossRef]
- Engelke, K.; Museyko, O.; Wang, L.; Laredo, J.-D. Quantitative analysis of skeletal muscle by computed tomography imaging—State of the art. J. Orthop. Transl. 2018, 15, 91–103. [Google Scholar] [CrossRef] [PubMed]
- Laurens, C.; Moro, C. Intramyocellular fat storage in metabolic diseases. Horm. Mol. Biol. Clin. Investig. 2015, 26, 43–52. [Google Scholar] [CrossRef]
- Machann, J.; Haring, H.; Schick, F.; Stumvoll, M. Intramyocellular lipids and insulin resistance. Diabetes Obes. Metab. 2004, 6, 239–248. [Google Scholar] [CrossRef]
- Schorr, M.; Dichtel, L.E.; Gerweck, A.V.; Valera, R.D.; Torriani, M.; Miller, K.K.; Bredella, M.A. Sex differences in body composition and association with cardiometabolic risk. Biol. Sex Differ. 2018, 9, 28. [Google Scholar] [CrossRef] [PubMed]
- Moore, M.C.; Cherrington, A.D.; Wasserman, D.H. Regulation of hepatic and peripheral glucose disposal. Best Pr. Res. Clin. Endocrinol. Metab. 2003, 17, 343–364. [Google Scholar] [CrossRef]
- Srikanthan, P.; Karlamangla, A.S. Relative Muscle Mass Is Inversely Associated with Insulin Resistance and Prediabetes. Findings from the Third National Health and Nutrition Examination Survey. J. Clin. Endocrinol. Metab. 2011, 96, 2898–2903. [Google Scholar] [CrossRef]
- Zhang, H.; Lin, S.; Gao, T.; Zhong, F.; Cai, J.; Sun, Y.; Ma, A. Association between Sarcopenia and Metabolic Syndrome in Middle-Aged and Older Non-Obese Adults: A Systematic Review and Meta-Analysis. Nutrients 2018, 10, 364. [Google Scholar] [CrossRef]
- Lim, S.; Kim, J.H.; Yoon, J.W.; Kang, S.M.; Choi, S.H.; Park, Y.J.; Kim, K.W.; Lim, J.-Y.; Park, K.S.; Jang, H.C. Sarcopenic Obesity: Prevalence and Association with Metabolic Syndrome in the Korean Longitudinal Study on Health and Aging (KLoSHA). Diabetes Care 2010, 33, 1652–1654. [Google Scholar] [CrossRef] [PubMed]
- Yilmaz, O.; Bahat, G. Muscle mass adjustment method affects association of sarcopenia and sarcopenic obesity with metabolic syndrome. Geriatr. Gerontol. Int. 2019, 19, 272. [Google Scholar] [CrossRef]
- Park, S.-J.; Ryu, S.-Y.; Park, J.; Choi, S.-W. Association of Sarcopenia with Metabolic Syndrome in Korean Population Using 2009–2010 Korea National Health and Nutrition Examination Survey. Metab. Syndr. Relat. Disord. 2019, 17, 494–499. [Google Scholar] [CrossRef]
- Kim, K.; Park, S.M. Association of muscle mass and fat mass with insulin resistance and the prevalence of metabolic syndrome in Korean adults: A cross-sectional study. Sci. Rep. 2018, 8, 1–8. [Google Scholar] [CrossRef]
- Ramírez-Vélez, R.; Garcia-Hermoso, A.; Prieto-Benavides, D.H.; Correa-Bautista, J.E.; Quino-Ávila, A.C.; Rubio-Barreto, C.M.; González-Ruíz, K.; Carrillo, H.A.; Correa-Rodríguez, M.; González-Jiménez, E.; et al. Muscle mass to visceral fat ratio is an important predictor of the metabolic syndrome in college students. Br. J. Nutr. 2018, 121, 330–339. [Google Scholar] [CrossRef]
- Lee, M.J.; Kim, E.-H.; Bae, S.-J.; Choe, J.; Jung, C.H.; Lee, W.J.; Kim, H.-K. Protective role of skeletal muscle mass against progression from metabolically healthy to unhealthy phenotype. Clin. Endocrinol. 2019, 90, 102–113. [Google Scholar] [CrossRef]
- Goodpaster, B.H.; Kelley, D.E.; Thaete, F.L.; He, J.; Ross, R. Skeletal muscle attenuation determined by computed tomography is associated with skeletal muscle lipid content. J. Appl. Physiol. 2000, 89, 104–110. [Google Scholar] [CrossRef] [PubMed]
- Kim, D.; Nam, S.; Ahn, C.; Kim, K.; Yoon, S.; Kim, J.; Cha, B.; Lim, S.; Kim, K.; Lee, H.; et al. Correlation Between Midthigh Low- Density Muscle and Insulin Resistance in Obese Nondiabetic Patients in Korea. Diabetes Care 2003, 26, 1825–1830. [Google Scholar] [CrossRef]
- Goodpaster, B.H.; Thaete, F.L.; Kelley, D.E. Thigh adipose tissue distribution is associated with insulin resistance in obesity and in type 2 diabetes mellitus. Am. J. Clin. Nutr. 2000, 71, 885–892. [Google Scholar] [CrossRef] [PubMed]
- Maltais, A.; Lemieux, I.; Alméras, N.; Tremblay, A.; Bergeron, J.; Poirier, P.; Després, J.-P. One-Year Lifestyle Intervention, Muscle Lipids, and Cardiometabolic Risk. Med. Sci. Sports Exerc. 2019, 51, 2156–2165. [Google Scholar] [CrossRef] [PubMed]
- Maltais, A.; Alméras, N.; Lemieux, I.; Tremblay, A.; Bergeron, J.; Poirier, P.; Després, J.-P. Trunk muscle quality assessed by computed tomography: Association with adiposity indices and glucose tolerance in men. Metabolism 2018, 85, 205–212. [Google Scholar] [CrossRef]
- Tanaka, M.; Okada, H.; Hashimoto, Y.; Kumagai, M.; Nishimura, H.; Oda, Y.; Fukui, M. Relationship between metabolic syndrome and trunk muscle quality as well as quantity evaluated by computed tomography. Clin. Nutr. 2020, 39, 1818–1825. [Google Scholar] [CrossRef]
- National Institute on Alcohol Abuse and Alcoholism. Helping Patients Who Drink Too Much: A Clinician’s Guide. Available online: http://pubs.niaaa.nih.gov/publications/Practitioner/CliniciansGuide2005/guide.pdf (accessed on 27 September 2020).
- Garber, C.E.; Blissmer, B.; Deschenes, M.R.; Franklin, B.A.; LaMonte, M.J.; Lee, I.-M.; Nieman, D.C.; Swain, D.P.; American College of Sports Medicine position stand. Quantity and Quality of Exercise for Developing and Maintaining Cardiorespiratory, Musculoskeletal, and Neuromotor Fitness in Apparently Healthy Adults: Guidance for Prescribing Exercise. Med. Sci. Sports Exerc. 2011, 43, 1334–1359. [Google Scholar] [CrossRef]
- World Health Organization. Regional Office for the Western Pacific. The Asia-Pacific Perspective: Redefining Obesity and Its Treatment. Health Communications: Sydney, Australia. 2000. Available online: https://apps.who.int/iris/handle/10665/206936 (accessed on 27 August 2021).
- Grundy, S.M.; Cleeman, J.I.; Daniels, S.R.; Donato, K.A.; Eckel, R.H.; Franklin, B.A.; Gordon, D.J.; Krauss, R.M.; Savage, P.J.; Smith, S.C., Jr.; et al. Diagnosis and Management of the Metabolic Syndrome: An American Heart Association/National Heart, Lung, and Blood Institute scientific statement. Circulation 2005, 112, 2735–2752. [Google Scholar] [CrossRef]
- Lee, K.; Kim, K.W.; Lee, J.-B.; Shin, Y.; Jang, J.K.; Yook, J.-H.; Kim, B.-S.; Lee, I.-S. Impact of remnant stomach volume and anastomosis on nutrition and body composition in gastric cancer patients. Surg. Oncol. 2019, 31, 75–82. [Google Scholar] [CrossRef] [PubMed]
- Lee, K.; Shin, Y.; Huh, J.; Sung, Y.S.; Lee, I.-S.; Yoon, K.-H.; Kim, K.W. Recent Issues on Body Composition Imaging for Sarcopenia Evaluation. Korean J. Radiol. 2019, 20, 205–217. [Google Scholar] [CrossRef]
- Matsha, T.E.; Ismail, S.; Speelman, A.; Hon, G.M.; Davids, S.; Erasmus, R.T.; Kengne, A.P. Visceral and subcutaneous adipose tissue association with metabolic syndrome and its components in a South African population. Clin. Nutr. ESPEN 2019, 32, 76–81. [Google Scholar] [CrossRef] [PubMed]
- Fox, C.S.; Massaro, J.M.; Hoffmann, U.; Pou, K.M.; Maurovich-Horvat, P.; Liu, C.-Y.; Vasan, R.S.; Murabito, J.M.; Meigs, J.B.; Cupples, L.A.; et al. Abdominal Visceral and Subcutaneous Adipose Tissue Compartments: Association with metabolic risk factors in the Framingham Heart Study. Circulation 2007, 116, 39–48. [Google Scholar] [CrossRef] [PubMed]
- Carr, D.B.; Utzschneider, K.M.; Hull, R.L.; Kodama, K.; Retzlaff, B.M.; Brunzell, J.D.; Shofer, J.B.; Fish, B.E.; Knopp, R.H.; Kahn, S.E. Intra-Abdominal Fat Is a Major Determinant of the National Cholesterol Education Program Adult Treatment Panel III Criteria for the Metabolic Syndrome. Diabetes 2004, 53, 2087–2094. [Google Scholar] [CrossRef] [PubMed]
- Miljkovic, I.; Cauley, J.A.; Wang, P.Y.; Holton, K.F.; Lee, C.G.; Sheu, Y.; Barrett-Connor, E.; Hoffman, A.R.; Lewis, C.B.; Orwoll, E.; et al. Abdominal myosteatosis is independently associated with hyperinsulinemia and insulin resistance among older men without diabetes. Obesity 2013, 21, 2118–2125. [Google Scholar] [CrossRef]
- Miljkovic-Gacic, I.; Gordon, C.L.; Goodpaster, B.H.; Bunker, C.H.; Patrick, A.L.; Kuller, L.H.; Wheeler, V.W.; Evans, R.W.; Zmuda, J.M. Adipose tissue infiltration in skeletal muscle: Age patterns and association with diabetes among men of African ancestry. Am. J. Clin. Nutr. 2008, 87, 1590–1595. [Google Scholar] [CrossRef] [PubMed]
- Larson-Meyer, D.E.; Smith, S.R.; Heilbronn, L.K.; Kelley, D.E.; Ravussin, E.; Newcomer, B.R.; Look AHEAD Adipose Research Group. Muscle-associated Triglyceride Measured by Computed Tomography and Magnetic Resonance Spectroscopy. Obesity 2006, 14, 73–87. [Google Scholar] [CrossRef]
- Dériaz, O.; Dumont, M.; Bergeron, N.; Després, J.-P.; Brochu, M.; Prud’Homme, D. Skeletal muscle low attenuation area and maximal fat oxidation rate during submaximal exercise in male obese individuals. Int. J. Obes. 2001, 25, 1579–1584. [Google Scholar] [CrossRef] [PubMed][Green Version]
- Therkelsen, K.E.; Pedley, A.; Speliotes, E.K.; Massaro, J.M.; Murabito, J.; Hoffmann, U.; Fox, C.S. Intramuscular Fat and Associations with Metabolic Risk Factors in the Framingham Heart Study. Arter. Thromb. Vasc. Biol. 2013, 33, 863–870. [Google Scholar] [CrossRef] [PubMed]


| Variables | Total | Male (n = 4835) | Female (n = 3246) | ||||
|---|---|---|---|---|---|---|---|
| MetS (n = 1296) | No MetS (n = 3539) | p-Value | MetS (n = 737) | No MetS (n = 2509) | p-Value | ||
| Age, year | 52.8 ± 9.4 | 53.1 ± 8.9 | 52.2 ± 9.5 | 0.03 | 58.6 ± 8.5 | 51.9 ± 9.1 | <0.01 |
| BMI, kg/m2 | 24.0 ± 3.1 | 26.5 ± 2.8 | 23.9 ± 2.6 | <0.01 | 25.4 ± 2.9 | 22.3 ± 2.7 | <0.01 |
| <0.01 | <0.01 | ||||||
| Normal (BMI < 23 kg/m2) | 3097 (38.3) | 110 (8.5) | 1261 (35.6) | 146 (19.8) | 1580 (63.0) | ||
| Overweight (BMI ≥ 23 and <25 kg/m2) | 2206 (27.3) | 260 (20.1) | 1200 (33.9) | 208 (28.2) | 538 (21.4) | ||
| Obese (BMI ≥ 25 kg/m2) | 2778 (34.4) | 926 (71.5) | 1078 (30.5) | 383 (52.0) | 391 (15.6) | ||
| Waist circumference, cm | 84.9 ± 8.2 | 92.6 ± 6.8 | 85.1 ± 6.9 | <0.01 | 88.0 ± 6.7 | 79.8 ± 7.2 | <0.01 |
| Systolic blood pressure, mmHg | 124.5 ± 13.3 | 131.3 ± 11.7 | 125.4 ± 11.5 | <0.01 | 131.1 ± 13.5 | 117.9 ± 13.3 | <0.01 |
| Diastolic blood pressure, mmHg | 78.1 ± 9.4 | 82.3 ± 8.8 | 78.9 ± 8.6 | <0.01 | 80.8 ± 9.4 | 74.2 ± 9.3 | <0.01 |
| Comorbidity (%) | 3436 (42.5) | 913 (70.4) | 1331 (37.6) | <0.01 | 521 (70.7) | 671 (26.7) | <0.01 |
| Hypertension | 2248 (27.8) | 674 (52.0) | 830 (23.5) | <0.01 | 395 (53.6) | 349 (13.9) | <0.01 |
| Diabetes | 923 (11.4) | 386 (29.8) | 279 (7.9) | <0.01 | 202 (27.4) | 56 (2.2) | <0.01 |
| Dyslipidemia | 1023 (12.7) | 242 (18.7) | 328 (9.3) | <0.01 | 155 (21.0) | 298 (11.9) | <0.01 |
| Cardiovascular disease | 196 (2.4) | 60 (4.6) | 95 (2.7) | 0.001 | 13 (1.8) | 28 (1.1) | 0.188 |
| Smoking status (%) | <0.01 | 0.944 | |||||
| Never smoker | 4154 (52.0) | 210 (16.5) | 838 (24.1) | 704 (95.9) | 2402 (96.0) | ||
| Ex-smoker | 2130 (26.7) | 545 (42.8) | 1523 (43.8) | 15 (2.0) | 47 (1.9) | ||
| Current smoker | 1705 (21.3) | 519 (40.7) | 1117 (32.1) | 15 (2.0) | 54 (2.2) | ||
| Alcohol consumption | <0.01 | <0.01 | |||||
| Never | 3202 (39.6) | 262 (20.2) | 740 (20.9) | 570 (77.3) | 1630 (65.0) | ||
| Moderate | 2622 (32.5) | 419 (32.3) | 1425 (40.3) | 120 (16.3) | 658 (26.2) | ||
| Heavy | 2256 (27.9) | 615 (47.5) | 1374 (38.8) | 47 (6.4) | 220 (8.8) | ||
| Physical activity (%) | <0.01 | 0.051 | |||||
| Sedentary | 3065 (37.9) | 514 (39.7) | 1106 (31.3) | 357 (48.4) | 1088 (43.4) | ||
| Light | 2463 (30.5) | 427 (32.9) | 1179 (33.3) | 180 (24.4) | 677 (27.0) | ||
| Moderate-to-vigorous | 2553 (31.6) | 355 (27.4) | 1254 (35.4) | 200 (27.1) | 744 (29.7) | ||
| Fasting blood glucose, mg/dL | 95.0 ± 22.5 | 111.4 ± 30.7 | 93.0 ± 19.6 | <0.01 | 105.0 ± 26.4 | 86.5 ± 12.6 | <0.01 |
| Triglyceride, mg/dL | 110.5 ± 73.9 | 186.2 ± 102.7 | 101.2 ± 56.2 | <0.01 | 86.0 ± 3.2 | 77.6 ± 34.6 | <0.01 |
| High-density lipoprotein, mg/dL | 53.9 ± 15.9 | 41.3 ± 11.2 | 52.5 ± 13.4 | <0.01 | 48.5 ± 13.0 | 64.0 ± 15.7 | <0.01 |
| Variables | Total (n = 8081) | Male (n = 4835) | Female (n = 3246) | p-Value * | ||||
|---|---|---|---|---|---|---|---|---|
| MetS (n = 1296) | No MetS (n = 3539) | p-Value | MetS (n = 737) | No MetS (n = 2509) | p-Value | |||
| Subcutaneous fat area, cm2 | 143.7 ± 60.1 | 158.6 ± 62.0 | 124.8 ± 53.9 | <0.01 | 188.6 ± 59.6 | 149.6 ± 57.2 | <0.01 | <0.01 |
| Visceral fat area, cm2 | 104.8 ± 61.4 | 171.2 ± 57.6 | 111.6 ± 54.6 | <0.01 | 110.4 ± 43.9 | 59.3 ± 35.2 | <0.01 | <0.01 |
| Extramyocellular lipids area, cm2 | 5.5 ± 4.0 | 6.7 ± 4.4 | 5.0 ± 3.5 | <0.01 | 7.2 ± 4.6 | 5.2 ± 4.0 | <0.01 | 0.023 |
| Total abdominal muscle area, cm2 | 137.0 ± 34.4 | 168.0 ± 24.1 | 156.9 ± 22.3 | <0.01 | 107.1 ± 15.2 | 101.7 ± 13.2 | <0.01 | <0.01 |
| Normal-attenuation muscle area, cm2 | 112.1 ± 32.0 | 135.0 ± 24.0 | 132.0 ± 21.9 | <0.01 | 80.0 ± 16.4 | 81.6 ± 13.8 | 0.009 | <0.01 |
| Low-attenuation muscle area, cm2 | 24.9 ± 10.5 | 33.1 ± 11.7 | 24.9 ± 9.8 | <0.01 | 27.0 ± 9.6 | 20.0 ± 7.6 | ||
| Adipose tissue index, cm2/(kg/m2) | ||||||||
| Subcutaneous fat area index | 5.9 ± 2.0 | 5.9 ± 1.8 | 5.1 ± 1.8 | <0.01 | 7.4 ± 1.9 | 6.6 ± 2.0 | <0.01 | <0.01 |
| Visceral fat area index | 4.2 ± 2.2 | 6.4 ± 1.9 | 4.6 ± 2.0 | <0.01 | 4.3 ± 1.5 | 2.6 ± 1.3 | <0.01 | <0.01 |
| Extramyocellular lipids area index | 0.15 ± 0.22 | 0.25 ± 0.16 | 0.21 ± 0.13 | <0.01 | 0.28 ± 0.17 | 0.23 ± 0.16 | <0.01 | <0.01 |
| Skeletal muscle index, cm2/(kg/m2) | ||||||||
| Total abdominal muscle area index | 5.7 ± 1.2 | 6.4 ± 0.7 | 6.6 ± 0.7 | <0.01 | 4.2 ± 0.5 | 4.6 ± 0.6 | <0.01 | <0.01 |
| Normal-attenuation muscle index | 4.7 ± 1.2 | 5.1 ± 0.8 | 5.5 ± 0.9 | <0.01 | 3.2 ± 0.7 | 3.7 ± 0.7 | <0.01 | <0.01 |
| Low-attenuation muscle area index | 1.0 ± 0.4 | 1.2 ± 0.4 | 1.0 ± 0.4 | <0.01 | 1.1 ± 0.3 | 0.9 ± 0.3 | <0.01 | <0.01 |
| The ratio of low-attenuation muscle area to total abdominal muscle area, % | 18.7 ± 7.6 | 19.8 ± 7.0 | 15.9 ± 7.0 | <0.01 | 25.6 ± 9.3 | 19.9 ± 7.5 | <0.01 | <0.01 |
| Variables | Male | Female | ||||||||||
|---|---|---|---|---|---|---|---|---|---|---|---|---|
| TAMA Index | NAMA Index | LAMA Index | SFA Index | VFA Index | EMCLA Index | TAMA Index | NAMA Index | LAMA Index | SFA Index | VFA Index | EMCLA Index | |
| Waist circumference | −0.205 | −0.360 | 0.441 | 0.323 | 0.601 | 0.323 | −0.455 | −0.545 | 0.406 | 0.358 | 0.608 | 0.358 |
| Log triglycerides | −0.089 | −0.135 | 0.141 | 0.095 | 0.376 | 0.095 | −0.189 | −0.216 | 0.144 | 0.119 | 0.422 | 0.119 |
| Log HDL cholesterol | 0.089 | 0.136 | −0.144 | −0.060 | −0.272 | −0.060 | 0.189 | 0.211 | −0.133 | −0.071 | −0.373 | −0.071 |
| Log fasting blood glucose | −0.117 | −0.160 | 0.147 | 0.065 | 0.238 | 0.065 | −0.198 | −0.250 | 0.209 | 0.143 | 0.388 | 0.143 |
| Diastolic blood pressure | −0.053 | −0.099 | 0.128 | 0.074 | 0.154 | 0.074 | −0.187 | −0.221 | 0.158 | 0.140 | 0.264 | 0.140 |
| Systolic blood pressure | −0.076 | −0.125 | 0.144 | 0.100 | 0.153 | 0.100 | −0.246 | −0.303 | 0.241 | 0.189 | 0.348 | 0.189 |
| Variables | Male | Female | ||||
|---|---|---|---|---|---|---|
| (n = 4835) | Postmenopause (n = 2197) | Premenopause (n = 1049) | ||||
| OR (95% CI) | p-Value | OR (95% CI) | p-Value | OR (95% CI) | p-Value | |
| Total abdominal muscle area index, cm2/(kg/m2) | 0.937 (0.835–1.052) | 0.271 | 0.820 (0.658–1.022) | 0.077 | 0.546 (0.352–0.941) | 0.028 |
| Normal-attenuation muscle index, cm2/(kg/m2) | 0.836 (0.743–0.940) | 0.003 | 0.754 (0.601–0.946) | 0.015 | 0.534 (0.321–0.887) | 0.015 |
| Low-attenuation muscle index, cm2/(kg/m2) | 1.771 (1.359–2.308) | <0.01 | 1.402 (0.861–2.284) | 0.174 | 1.420 (0.350–5.765) | 0.623 |
| The ratio of low-attenuation muscle area to total abdominal muscle area, % | 1.040 (1.023–1.058) | <0.01 | 1.025 (1.004–1.046) | 0.022 | 1.050 (0.987–1.117) | 0.124 |
Publisher’s Note: MDPI stays neutral with regard to jurisdictional claims in published maps and institutional affiliations. |
© 2021 by the authors. Licensee MDPI, Basel, Switzerland. This article is an open access article distributed under the terms and conditions of the Creative Commons Attribution (CC BY) license (https://creativecommons.org/licenses/by/4.0/).
Share and Cite
Lee, T.Y.; Jeon, Y.-J.; Kim, C.R.; Kang, B.J.; Park, G.-M. Abdominal Muscles and Metabolic Syndrome According to Patient Sex: A Retrospective Cross-Sectional Study. Healthcare 2021, 9, 1197. https://doi.org/10.3390/healthcare9091197
Lee TY, Jeon Y-J, Kim CR, Kang BJ, Park G-M. Abdominal Muscles and Metabolic Syndrome According to Patient Sex: A Retrospective Cross-Sectional Study. Healthcare. 2021; 9(9):1197. https://doi.org/10.3390/healthcare9091197
Chicago/Turabian StyleLee, Tae Young, Young-Jee Jeon, Chung Reen Kim, Byung Ju Kang, and Gyung-Min Park. 2021. "Abdominal Muscles and Metabolic Syndrome According to Patient Sex: A Retrospective Cross-Sectional Study" Healthcare 9, no. 9: 1197. https://doi.org/10.3390/healthcare9091197
APA StyleLee, T. Y., Jeon, Y.-J., Kim, C. R., Kang, B. J., & Park, G.-M. (2021). Abdominal Muscles and Metabolic Syndrome According to Patient Sex: A Retrospective Cross-Sectional Study. Healthcare, 9(9), 1197. https://doi.org/10.3390/healthcare9091197

