Prurigo Pigmentosa Associated with a Ketogenic Diet in a Romanian Patient: A Case Report
Abstract
1. Introduction
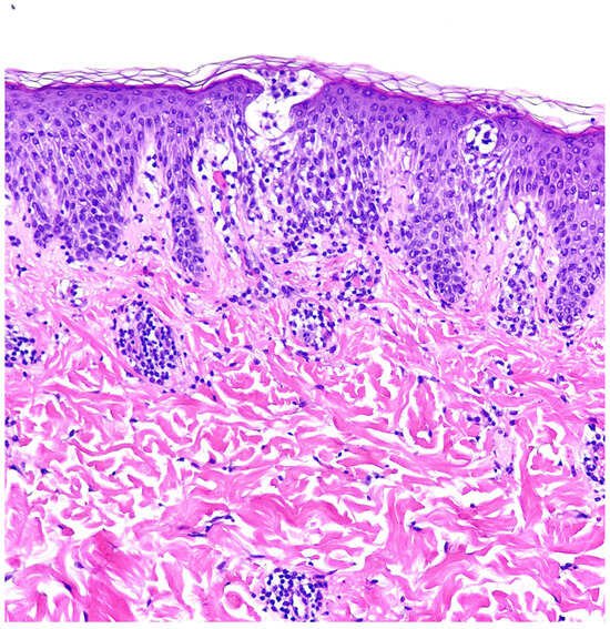
2. Case Report
3. Discussion
4. Conclusions
Author Contributions
Funding
Institutional Review Board Statement
Informed Consent Statement
Data Availability Statement
Conflicts of Interest
References
- Wollert, E.; Tronnier, M. Prurigo pigmentosa. Aktuelle Dermatol. 2021, 47, 103–105. [Google Scholar] [CrossRef]
- Beutler, B.D.; Cohen, P.R.; Lee, R.A. Prurigo Pigmentosa: Literature Review. Am. J. Clin. Dermatol. 2015, 16, 533–543. [Google Scholar] [CrossRef] [PubMed]
- Almaani, N.; Al-Tarawneh, A.H.; Msallam, H. Prurigo Pigmentosa: A Clinicopathological Report of Three Middle Eastern Patients. Case Rep. Dermatol. Med. 2018, 2018, 1–6. [Google Scholar] [CrossRef] [PubMed]
- Satter, E.; Rozelle, C.; Sperling, L. Prurigo Pigmentosa: An under-Recognized Inflammatory Dermatosis Characterized by an Evolution of Distinctive Clinicopathological Features. J. Cutan. Pathol. 2016, 43, 809–814. [Google Scholar] [CrossRef]
- Kim, J.K.; Chung, W.K.; Chang, S.E.; Ko, J.Y.; Lee, J.H.; Won, C.H.; Lee, M.W.; Choi, J.H.; Moon, K.C. Prurigo Pigmentosa: Clinicopathological Study and Analysis of 50 Cases in Korea. J. Dermatol. 2012, 39, 891–897. [Google Scholar] [CrossRef] [PubMed]
- Alshaya, M.A.; Turkmani, M.G.; Alissa, A.M. Prurigo Pigmentosa Following Ketogenic Diet and Bariatric Surgery: A Growing Association. JAAD Case Rep. 2019, 5, 504–507. [Google Scholar] [CrossRef] [PubMed]
- Yazawa, N.; Ihn, H.; Yamane, K.; Etoh, T.; Tamaki, K. The Successful Treatment of Prurigo Pigmentosa with Macrolide Antibiotics. Dermatology 2001, 202, 67–69. [Google Scholar] [CrossRef] [PubMed]
- Mufti, A.; Mirali, S.; Abduelmula, A.; McDonald, K.A.; Alabdulrazzaq, S.; Sachdeva, M.; Yeung, J. Clinical Manifestations and Treatment Outcomes in Prurigo Pigmentosa (Nagashima Disease): A Systematic Review of the Literature. JAAD Int. 2021, 3, 79–87. [Google Scholar] [CrossRef]
- Hijazi, M.; Kehdy, J.; Kibbi, A.G.; Ghosn, S. Prurigo Pigmentosa: A Clinicopathologic Study of 4 Cases from the Middle East. Am. J. Dermatopathol. 2014, 36, 800–806. [Google Scholar] [CrossRef]
- Alkhouri, F.; Alkhouri, S.; Potts, G.A. Prurigo Pigmentosa Following a Keto Diet and Bariatric Surgery. Cureus 2022, 14, 4–6. [Google Scholar] [CrossRef] [PubMed]
- Requena Caballero, C.; Nagore, E.; Sanmartín, O.; Botella-Estrada, R.; Serra, C.; Guillén, C. Vesiculous Prurigo Pigmentosa in a 13-Year-Old Girl: Good Response to Isotretinoin. J. Eur. Acad. Dermatol. Venereol. 2005, 19, 474–476. [Google Scholar] [CrossRef]
- Wang, X.; Xu, C. Bullous Prurigo Pigmentosa. Open Life Sci. 2019, 14, 214–216. [Google Scholar] [CrossRef] [PubMed]
- Shevchenko, A.; Valdes-Rodriguez, R.; Hsu, S.; Motaparthi, K. Prurigo Pigmentosa: Case Series and Differentiation from Confluent and Reticulated Papillomatosis. JAAD Case Rep. 2018, 4, 77–80. [Google Scholar] [CrossRef]
- Cota, C.; Donati, P.; Amantea, A. Prurigo Pigmentosa Associated with an Atopic Diathesis in a 13-Year-Old Girl. Pediatr. Dermatol. 2007, 24, 277–279. [Google Scholar] [CrossRef]
- Erbagci, Z. Prurigo Pigmentosa in Association with Helicobacter Pylori Infection in a Caucasian Turkish Woman. Acta Derm. Venereol. 2002, 82, 302–303. [Google Scholar] [CrossRef] [PubMed]
- Togawa, Y.; Shinkai, H.; Utani, A. Prurigo Pigmentosa in a Patient with Primary Biliary Cirrhosis and Sjögren Syndrome. J. Dermatol. 2004, 31, 815–819. [Google Scholar] [CrossRef] [PubMed]
- Teraki, Y.; Hitomi, K. Unilateral Prurigo Pigmentosa: A Report of Two Cases. J. Dermatol. 2016, 43, 846–847. [Google Scholar] [CrossRef] [PubMed]
- Teraki, Y.; Teraki, E.; Kawashima, M.; Nagashima, M.; Shiohara, T. Ketosis Is Involved in the Origin of Prurigo Pigmentosa. J. Am. Acad. Dermatol. 1996, 34, 509–511. [Google Scholar] [CrossRef] [PubMed]
- Oba, M.C.; Arican, C.D. Clinical Features and Follow-Up of Prurigo Pigmentosa: A Case Series. Cureus 2022, 14, 4–8. [Google Scholar] [CrossRef] [PubMed]
- Pirrone, J.; Böer-Auer, A. Promyelocytic Differentiation in Infiltrates of Prurigo Pigmentosa: An Analogy to Histiocytoid Sweet Syndrome. Am. J. Dermatopathol. 2020, 42, 86–91. [Google Scholar] [CrossRef]
- Gironi, L.C.; Farinelli, P.; Giacalone, A.; Colombo, E. The Efficacy of Minocycline in Inflammatory Dermatoses: A Case of Prurigo Pigmentosa of Prepubescent Onset in Western World. Dermatol. Ther. 2015, 28, 239–242. [Google Scholar] [CrossRef]
- Shannon, J.F.; Weedon, D.; Sharkey, M.P. Prurigo Pigmentosa. Australas. J. Dermatol. 2006, 47, 289–290. [Google Scholar] [CrossRef] [PubMed]
- Kim, T.I.; Choi, J.W.; Jeong, K.H.; Shin, M.K.; Lee, M.H. Pustular Prurigo Pigmentosa Treated with Doxycycline. J. Dermatol. 2016, 43, 965–966. [Google Scholar] [CrossRef] [PubMed]
- Leite, L.M.; Carvalho, A.G.G.; Tavares Ferreira, P.L.F.; Pessoa, I.X.; Gonçalves, D.O.; De Araújo Lopes, A.; Dos Santos Góes, J.G.; De Castro Alves, V.C.; Leal, L.K.A.M.; Brito, G.A.; et al. Anti-Inflammatory Properties of Doxycycline and Minocycline in Experimental Models: An in Vivo and in Vitro Comparative Study. Inflammopharmacology 2011, 19, 99–110. [Google Scholar] [CrossRef]
- Page, G.; Page, B.; Beltraminelli, H.; Borradori, L.; Schlapbach, C. Prurigo Pigmentosa: Demographics and Characteristics in 14 Caucasian Patients. Dermatology 2021, 237, 878–883. [Google Scholar] [CrossRef]
- Akoglu, G.; Boztepe, G.; Karaduman, A. Prurigo Pigmentosa Successfully Treated with Low-Dose Isotretinoin. Dermatology 2006, 213, 331–333. [Google Scholar] [CrossRef] [PubMed]
- Böer, A.; Misago, N.; Wolter, M.; Kiryu, H.; Wang, X.D.; Ackerman, A.B. Prurigo Pigmentosa: A Distinctive Inflammatory Disease of the Skin. Am. J. Dermatopathol. 2003, 25, 117–129. [Google Scholar] [CrossRef] [PubMed]
- Yamada, D.; Fujikawa, T. Prurigo Pigmentosa. Am. J. Med. 2018, 131, e11–e12. [Google Scholar] [CrossRef] [PubMed]



| Endogenous Factors | Exogenous Factors |
|---|---|
| Atopic diathesis | Mechanical friction |
| Sjögren syndrome | Sweating |
| Infections (Helicobacter pylori and Borrelia spirochetes) | Physical trauma |
| Hormonal changes (pregnancy and the menstrual cycle) | Contact allergens (nickel, para-amino substances, etc.) |
| Ketotic states (diabetes mellitus, intermittent fasting, anorexia nervosa, a low-carbohydrate diet, and post-bariatric surgery) |
Disclaimer/Publisher’s Note: The statements, opinions and data contained in all publications are solely those of the individual author(s) and contributor(s) and not of MDPI and/or the editor(s). MDPI and/or the editor(s) disclaim responsibility for any injury to people or property resulting from any ideas, methods, instructions or products referred to in the content. |
© 2025 by the authors. Licensee MDPI, Basel, Switzerland. This article is an open access article distributed under the terms and conditions of the Creative Commons Attribution (CC BY) license (https://creativecommons.org/licenses/by/4.0/).
Share and Cite
Iliescu, C.A.; Beiu, C.; Tebeică, T.; Popa, L.G. Prurigo Pigmentosa Associated with a Ketogenic Diet in a Romanian Patient: A Case Report. Healthcare 2025, 13, 300. https://doi.org/10.3390/healthcare13030300
Iliescu CA, Beiu C, Tebeică T, Popa LG. Prurigo Pigmentosa Associated with a Ketogenic Diet in a Romanian Patient: A Case Report. Healthcare. 2025; 13(3):300. https://doi.org/10.3390/healthcare13030300
Chicago/Turabian StyleIliescu, Carmen Andrada, Cristina Beiu, Tiberiu Tebeică, and Liliana Gabriela Popa. 2025. "Prurigo Pigmentosa Associated with a Ketogenic Diet in a Romanian Patient: A Case Report" Healthcare 13, no. 3: 300. https://doi.org/10.3390/healthcare13030300
APA StyleIliescu, C. A., Beiu, C., Tebeică, T., & Popa, L. G. (2025). Prurigo Pigmentosa Associated with a Ketogenic Diet in a Romanian Patient: A Case Report. Healthcare, 13(3), 300. https://doi.org/10.3390/healthcare13030300

