Swimmer’s Shoulder: Ultrasound Anatomical Description of Shoulder Tendons in Elite Swimmers and Water Polo Players
Abstract
1. Introduction
2. Materials and Methods
2.1. Participants
2.2. Experimental Design and Procedures
2.3. Statistical Analysis
3. Results
3.1. Description of the Studied Participants
3.2. Sex Differences in the Ultrasonographic Shoulder Parameters in Controls, Swimmers and Water Polo Players
3.3. Group Differences in the Ultrasonographic Shoulder Parameters of Females and Males
3.4. Breathing and Non-Breathing Side Comparison in the Swimmer’s Ultrasonographic Parameters
3.5. Throwing and Non-Throwing Arm Comparison in the Water Polo Player’s Ultrasonographic Parameters
3.6. Association Between Pain Scales and Ultrasonographic Shoulder Parameters in Aquatic Athletes
3.7. VAS
3.8. Jobe Test
4. Discussion
5. Conclusions
Author Contributions
Funding
Institutional Review Board Statement
Informed Consent Statement
Data Availability Statement
Acknowledgments
Conflicts of Interest
References
- Suzuki, Y.; Maeda, N.; Sasadai, J.; Kaneda, K.; Shirakawa, T.; Urabe, Y. Ultrasonographic Evaluation of the Shoulders and Its Associations with Shoulder Pain, Age, and Swim Training in Masters Swimmers. Medicina 2020, 57, 29. [Google Scholar] [CrossRef] [PubMed]
- Longo, D.; Branchi, E.; Matucci-Cerinic, P.; Bagni, M.A.; Matucci-Cerinic, M.; Melchiorre, D. Shoulder impingement syndrome in water polo players: Muscle shortening manoeuvre controls pain intensity, recovers function and normalizes sonographic parameters. J. Ultrasound 2022, 25, 667–673. [Google Scholar] [CrossRef] [PubMed]
- Webster, M.J.; Morris, M.E.; Galna, B. Shoulder pain in water polo: A systematic review of the literature. J. Sci. Med. Sport 2009, 12, 3–11. [Google Scholar] [CrossRef] [PubMed]
- Hill, L.; Collins, M.; Posthumus, M. Risk factors for shoulder pain and injury in swimmers: A critical systematic review. Physician Sportsmed. 2015, 43, 412–420. [Google Scholar] [CrossRef]
- Pollard, H.; Croker, D. Shoulder Pain in Elite Swimmers. Australas. Chiropr. Osteopat. 1999, 8, 91–95. [Google Scholar]
- Hibberd, E.E.; Laudner, K.; Berkoff, D.J.; Kucera, K.L.; Yu, B.; Myers, J.B. Comparison of Upper Extremity Physical Characteristics Between Adolescent Competitive Swimmers and Nonoverhead Athletes. J. Athl. Train. 2016, 51, 65–69. [Google Scholar] [CrossRef]
- Feijen, S.; Tate, A.; Kuppens, K.; Claes, A.; Struyf, F. Swim-Training Volume and Shoulder Pain Across the Life Span of the Competitive Swimmer: A Systematic Review. J. Athl. Train. 2020, 55, 32–41. [Google Scholar] [CrossRef]
- Porter, K.N.; Blanch, P.D.; Walker, H.M.; Shield, A.J. The effect of previous shoulder pain on supraspinatus tendon thickness changes following swimming practice. Scand. J. Med. Sci. Sports 2020, 30, 1442–1448. [Google Scholar] [CrossRef]
- So, B.C.L.; Lau, S.C.T.; Kwok, W.Y.; Tse, D.H.T.; Man, S.S. Investigating The Association Between Supraspinatus Tendon Abnormality, Shoulder Pain and Isokinetic Strength in Elite Swimmers: A Cross-Sectional Study. J. Sports Sci. Med. 2023, 22, 17–27. [Google Scholar] [CrossRef]
- Colville, J.M.; Markman, B.S. Competitive water polo. Upper extremity injuries. Clin. Sports Med. 1999, 18, 305–312, vi. [Google Scholar] [CrossRef]
- Sein, M.L.; Walton, J.; Linklater, J.; Appleyard, R.; Kirkbride, B.; Kuah, D.; Murrell, G.A. Shoulder pain in elite swimmers: Primarily due to swim-volume-induced supraspinatus tendinopathy. Br. J. Sports Med. 2010, 44, 105–113. [Google Scholar] [CrossRef]
- Couanis, G.; Breidahl, W.; Burnham, S. The relationship between subacromial bursa thickness on ultrasound and shoulder pain in open water endurance swimmers over time. J. Sci. Med. Sport 2015, 18, 373–377. [Google Scholar] [CrossRef]
- Galluccio, F.; Bellucci, E.; Porta, F.; Tofani, L.; De Paulis, A.; Bianchedi, D.; Barskova, T.; Matucci-Cerinic, M. The waterpolo shoulder paradigm: Results of ultrasound surveillance at poolside. BMJ Open Sport Exerc. Med. 2017, 3, e000211. [Google Scholar] [CrossRef][Green Version]
- Klich, S.; Kisilewicz, A.; Pożarowszczyk, B.; Zatoń, M.; Kawczyński, A.; Michener, L.A. Shoulder tendon characteristics in disabled swimmers in high functional classes—Preliminary report. Phys. Ther. Sport 2019, 35, 23–28. [Google Scholar] [CrossRef]
- Tovin, B.J. Prevention and Treatment of Swimmer’s Shoulder. N. Am. J. Sports Phys. Ther. NAJSPT 2006, 1, 166–175. [Google Scholar]
- McCreesh, K.M.; Purtill, H.; Donnelly, A.E.; Lewis, J.S. Increased supraspinatus tendon thickness following fatigue loading in rotator cuff tendinopathy: Potential implications for exercise therapy. BMJ Open Sport Exerc. Med. 2017, 3, e000279. [Google Scholar] [CrossRef]
- Michener, L.A.; Subasi Yesilyaprak, S.S.; Seitz, A.L.; Timmons, M.K.; Walsworth, M.K. Supraspinatus tendon and subacromial space parameters measured on ultrasonographic imaging in subacromial impingement syndrome. Knee Surg. Sports Traumatol. Arthrosc. 2015, 23, 363–369. [Google Scholar] [CrossRef]
- Cholewinski, J.J.; Kusz, D.J.; Wojciechowski, P.; Cielinski, L.S.; Zoladz, M.P. Ultrasound measurement of rotator cuff thickness and acromio-humeral distance in the diagnosis of subacromial impingement syndrome of the shoulder. Knee Surg. Sports Traumatol. Arthrosc. 2008, 16, 408–414. [Google Scholar] [CrossRef]
- Gupta, H.; Robinson, P. Normal shoulder ultrasound: Anatomy and technique. Semin. Musculoskelet. Radiol. 2015, 19, 203–211. [Google Scholar]
- Bom, H.-S.H.; Jeong, Y.H.; Cho, S. Injuries and Illness during the 2019 Gwangju FINA and Masters World Championships in Elite and Amateur Athletes. Chonnam Med. J. 2023, 59, 83–86. [Google Scholar] [CrossRef]
- McKay, A.K.A.; Stellingwerff, T.; Smith, E.S.; Martin, D.T.; Mujika, I.; Goosey-Tolfrey, V.L.; Sheppard, J.; Burke, L.M. Defining Training and Performance Caliber: A Participant Classification Framework. Int. J. Sports Physiol. Perform. 2022, 17, 317–331. [Google Scholar] [CrossRef]
- Wang, H.; Lin, J.; Pan, S.; Wang, T. Sonographic evaluations in elite college baseball athletes. Scand. J. Med. Sci. Sports 2005, 15, 29–35. [Google Scholar] [CrossRef]
- Arrillaga, B.; Miguel-Pérez, M.; Möller, I.; Rubio, L.; Blasi, J.; Pérez-Bellmunt, A.; Ortiz-Sagristà, J.C.; Ortiz-Miguel, S.; Martinoli, C. Human shoulder anatomy: New ultrasound, anatomical, and microscopic perspectives. Anat. Sci. Int. 2024, 99, 290–304. [Google Scholar] [CrossRef]
- Hopkins, W.G.; Marshall, S.W.; Batterham, A.M.; Hanin, J. Progressive statistics for studies in sports medicine and exercise science. Med. Sci. Sports Exerc. 2009, 41, 3–13. [Google Scholar] [CrossRef]
- Cohen, J. Statistical Power Analysis for the Behavioral Sciences, 2nd ed.; Routledge: New York, NY, USA, 1988. [Google Scholar] [CrossRef]
- Oh, J.H.; Kim, J.Y.; Nam, K.P.; Kang, H.D.; Yeo, J.H. Immediate Changes and Recovery of the Supraspinatus, Long Head Biceps Tendon, and Range of Motion after Pitching in Youth Baseball Players: How Much Rest Is Needed after Pitching? Sonoelastography on the Supraspinatus Muscle-Tendon and Biceps Long Head Tendon. Clin. Orthop. Surg. 2021, 13, 385–394. [Google Scholar]
- Rodeo, S.A.; Nguyen, J.T.; Cavanaugh, J.T.; Patel, Y.; Adler, R.S. Clinical and Ultrasonographic Evaluations of the Shoulders of Elite Swimmers. Am. J. Sports Med. 2016, 44, 3214–3221. [Google Scholar] [CrossRef]
- Klein, M.; Tarantino, I.; Warschkow, R.; Berger, C.J.; Zdravkovic, V.; Jost, B.; Badulescu, M. Specific Shoulder Pathoanatomy in Semiprofessional Water Polo Players. Orthop. J. Sports Med. 2014, 2, 2325967114531213. [Google Scholar] [CrossRef]
- Dischler, J.D.; Baumer, T.G.; Finkelstein, E.; Siegal, D.S.; Bey, M.J. Association Between Years of Competition and Shoulder Function in Collegiate Swimmers. Sports Health 2018, 10, 113–118. [Google Scholar] [CrossRef]
- Porter, K.N.; Talpey, S.; Pascoe, D.; Blanch, P.D.; Walker, H.M.; Shield, A.J. The effect of swimming volume and intensity on changes in supraspinatus tendon thickness. Phys. Ther. Sport 2021, 47, 173–177. [Google Scholar] [CrossRef]
- Riley, G.; Harrall, R.L.; Constant, C.R.; Chard, M.D.; Cawston, T.E.; Hazleman, B.L. Tendon degeneration and chronic shoulder pain: Changes in the collagen composition of the human rotator cuff tendons in rotator cuff tendinitis. Ann. Rheum. Dis. 1994, 53, 359–366. [Google Scholar] [CrossRef]
- Dubé, M.O.; Ingwersen, K.G.; Roy, J.S.; Desmeules, F.; Lewis, J.; Juul-Kristensen, B.; Vobbe, J.; Jensen, S.L.; McCreesh, K. Do therapeutic exercises impact supraspinatus tendon thickness? Secondary analyses of the combined dataset from two randomized controlled trials in patients with rotator cuff-related shoulder pain. J. Shoulder Elb. Surg. 2024, 33, 1918–1927. [Google Scholar] [CrossRef]
- Porter, K.; Shield, A.; Pascoe, D.; Harvey, J.; Talpey, S. Does an Increase in Supraspinatus Tendon Thickness After Swimming Increase the Likelihood of Future Shoulder Pain? Sports Health 2023, 16, 358–362. [Google Scholar] [CrossRef]
- Manske, R.C.; Lewis, S.; Wolff, S.; Smith, B. Effects of a dry-land strengthening program in competitive adolescent swimmers. Int. J. Sports Phys. Ther. 2015, 10, 858–867. [Google Scholar]
- Klintberg, I.H.; Cools, A.M.J.; Holmgren, T.M.; Holzhausen, A.-C.G.; Johansson, K.; Maenhout, A.G.; Moser, J.S.; Spunton, V.; Ginn, K. Consensus for physiotherapy for shoulder pain. Int. Orthop. 2015, 39, 715–720. [Google Scholar] [CrossRef]
- Özçadırcı, A.; Doğan, Y.; Öztürk, F.; Cinemre, S.A.; Coşkun, G.; Özçakar, L. Shoulder structures and strength in competitive preadolescent swimmers: A longitudinal ultrasonographic study. PM&R 2024, 16, 47–53. [Google Scholar] [CrossRef]
- Rentz, C.; Legerlotz, K. Handball-specific loading acutely reduces the acromiohumeral distance in experienced handball players and in non-handball experienced athletes. Front. Sports Act. Living 2022, 4, 997401. [Google Scholar] [CrossRef]
- Seitz, A.L.; Michener, L.A. Ultrasonographic measures of subacromial space in patients with rotator cuff disease: A systematic review. J. Clin. Ultrasound JCU 2011, 39, 146–154. [Google Scholar] [CrossRef]
- Maenhout, A.; van Cingel, R.; De Mey, K.; Van Herzeele, M.; Dhooge, F.; Cools, A. Sonographic evaluation of the acromiohumeral distance in elite and recreational female overhead athletes. Clin. J. Sport Med. 2013, 23, 178–183. [Google Scholar] [CrossRef]
- Miller, A.H.; Evans, K.; Adams, R.; Waddington, G.; Witchalls, J. Shoulder injury in water polo: A systematic review of incidence and intrinsic risk factors. J. Sci. Med. Sport 2018, 21, 368–377. [Google Scholar] [CrossRef]
- Malanga, G.A.; Chu, S.K.; Del Toro, J.R.; Karnaugh, R.D.; Dentico, R.; Komaroff, E. Sonographic evaluation of supraspinatus cross-sectional area in collegiate baseball players. PM R 2012, 4, 488–492. [Google Scholar] [CrossRef]
- Jobe, F.W.; Giangarra, C.E.; Kvitne, R.S.; Glousman, R.E. Anterior capsulolabral reconstruction of the shoulder in athletes in overhand sports. Am. J. Sports Med. 1991, 19, 428–434. [Google Scholar] [CrossRef] [PubMed]
- Tate, A.; Sarver, J.; DiPaola, L.; Yim, J.; Paul, R.; Thomas, S.J. Changes in clinical measures and tissue adaptations in collegiate swimmers across a competitive season. J. Shoulder Elb. Surg. 2020, 29, 2375–2384. [Google Scholar] [CrossRef] [PubMed]



| Muscle | Anatomic Reference | US Image | US Transducer |
|---|---|---|---|
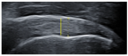
| SSB tendon | Long axis: The midpoint between the LT of the humerus and the beginning of JC. Arm at 45° of external rotation. | ![]() | ![]() |
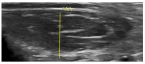
| LHBB tendon | Short axis: US image at the highest and most defined point of the LT and GT. Arm with supinated hand resting on thigh. | ![]() | ![]() |
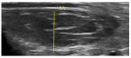
| SSP tendon | Short axis: The average of the measures taken at 10, 15 and 20 mm lateral to the biceps tendon. Hand on the ipsilateral posterior hip [17]. | ![]() | ![]() |
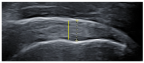
| ISP tendon | Long axis: Transducer below the level of the posterior surface of the acromion, parallel to the ISP. Hand of the recruit placed on the contralateral shoulder [22]. | ![]() | ![]() |
| Tm tendon | Short axis: The midpoint between the LT’s inferior facet and the JC’s beginning. Arm in the contralateral shoulder. | ![]() | ![]() |
| SSP fascia | Short axis: The perpendicular point to the deepest area of the SSPF. Arm resting in a neutral position. | ![]() | ![]() |
| ISP fascia | Short axis: The perpendicular point to the deepest area of the ISPF. Arm resting in a neutral position. | ![]() | ![]() |
| Tm fascia | Short axis: The perpendicular point to the deepest area of the TmF. Arm resting in a neutral position. | ![]() | ![]() |
| Controls | Swimmers | Water Polo Players | ||||
|---|---|---|---|---|---|---|
| Females (n = 18) | Males (n = 16) | Females (n = 30) | Males (n = 20) | Females (n = 26) | Males (n = 18) | |
| LHBB tendon (mm) | 2.72 ± 0.60 | 3.35 ± 0.45 ** | 2.66 ± 0.61 | 3.21 ± 0.71 | 2.63 ± 0.61 | 3.63 ± 0.69 ** |
| SSB tendon (mm) | 3.43 ± 0.68 | 4.27 ± 0.43 ** | 5.81 ± 0.91 | 6.91 ± 1.36 | 4.79 ± 0.83 | 6.27 ± 0.87 ** |
| SSP tendon (mm) | 4.47 ± 0.50 | 4.67 ± 0.95 | 6.24 ± 1.06 | 6.81 ± 1.30 | 5.99 ± 0.84 | 6.31 ± 1.35 |
| ISP tendon (mm) | 4.05 ± 0.66 | 4.46 ± 0.60 | 5.58 ± 0.77 | 6.63 ± 1.04 ** | 5.48 ± 0.81 | 6.21 ± 1.14 * |
| Tm tendon (mm) | 2.58 ± 0.39 | 2.92 ± 0.57 * | 3.67 ± 0.56 | 4.19 ± 1.29 | 3.25 ± 0.58 | 3.87 ± 0.99 |
| SSP fascia (mm) | 0.62 ± 0.11 | 0.64 ± 0.12 | 0.61 ± 0.19 | 0.59 ± 0.15 | 0.61 ± 0.14 | 0.62 ± 0.13 |
| ISP fascia (mm) | 0.62 ± 0.14 | 0.61 ± 0.12 | 0.47 ± 0.15 | 0.50 ± 0.14 | 0.51 ± 0.11 | 0.46 ± 0.12 |
| Tm fascia (mm) | 0.55 ± 0.11 | 0.61 ± 0.14 | 0.50 ± 0.14 | 0.48 ± 0.12 | 0.53 ± 0.10 | 0.51 ± 0.15 |
| AHD (mm) | 10.62 ± 2.31 | 10.58 ± 2.11 | 11.83 ± 1.83 | 13.39 ± 2.01 | 12.30 ± 1.92 | 13.48 ± 1.80 ** |
| OR (SSP/AHD) | 0.44 ± 0.10 | 0.45 ± 0.09 | 0.52 ± 0.12 | 0.48 ± 0.12 | 0.43 ± 0.21 | 0.47 ± 0.09 |
| Swimmers (n = 36) | ||||
|---|---|---|---|---|
| Females (n = 20) | Males (n = 16) | |||
| Breathing side | Non-breathing side | Breathing side | Non-breathing side | |
| LHBB tendon (mm) | 2.94 ± 0.54 | 2.89 ± 0.60 | 3.56 ± 0.72 | 3.06 ± 0.46 |
| SSB tendon (mm) | 5.41 ± 0.92 | 6.07 ± 1.07 | 6.35 ± 1.01 | 6.8 ± 1.4 |
| SSP tendon (mm) | 6.06 ± 1.20 | 6.31 ± 1.19 | 6.43 ± 1.03 | 6.68 ± 1.57 |
| ISP tendon (mm) | 5.09 ± 0.69 | 5.48 ± 0.71 | 6.08 ± 1.15 | 6.63 ± 0.72 |
| Tm tendon (mm) | 3.67 ± 0.64 | 3.29 ± 0.23 | 4.30 ± 1.15 | 4.09 ± 1.78 |
| SSP fascia (mm) | 0.67 ± 0.18 | 0.55 ± 0.20 | 0.61 ± 0.17 | 0.58 ± 0.13 |
| ISP fascia (mm) | 0.47 ± 0.15 | 0.47 ± 0.16 | 0.51 ± 0.15 | 0.49 ± 0.14 |
| Tm fascia (mm) | 0.49 ± 0.14 | 0.50 ± 0.13 | 0.46 ± 0.09 | 0.50 ± 0.15 |
| AHD (mm) | 12.33 ± 1.94 | 12.02 ± 1.96 | 14.00 ± 2.04 | 13.70 ± 1.78 |
| OR (SSP/AHD) | 0.50 ± 0.13 | 0.53 ± 0.11 | 0.47 ± 0.10 | 0.49 ± 0.13 |
| Water Polo Players (n = 44) | ||||
|---|---|---|---|---|
| Females (n = 26) | Males (n = 18) | |||
| Throwing | Non-throwing | Throwing | Non-throwing | |
| LHBB tendon (mm) | 2.63 ± 0.53 | 2.61 ± 0.64 | 3.24 ± 0.66 | 4.02 ± 0.50 * |
| SSB tendon (mm) | 4.95 ± 0.65 | 4.84 ± 0.90 | 0.62 ± 0.07 | 0.64 ± 0.09 |
| SSP tendon (mm) | 6.16 ± 0.95 | 5.81 ± 0.72 | 6.66 ± 1.39 | 5.96 ± 1.28 |
| ISP tendon (mm) | 5.69 ± 0.93 | 5.27 ± 0.65 | 6.23 ± 0.87 | 6.18 ± 1.41 |
| Tm tendon (mm) | 3.10 ± 0.31 | 3.53 ± 0.56 * | 3.97 ± 1.24 | 3.77 ± 0.72 |
| SSP fascia (mm) | 0.65 ± 0.17 | 0.60 ± 0.12 | 0.63 ± 0.15 | 0.61 ± 0.11 |
| ISP fascia (mm) | 0.53 ± 0.13 | 0.49 ± 0.10 | 0.47 ± 0.16 | 0.44 ± 0.09 |
| Tm fascia (mm) | 0.52 ± 0.12 | 0.54 ± 0.10 | 0.54 ± 0.17 | 0.48 ± 0.13 |
| AHD (mm) | 11.70 ± 1.55 | 12.66 ± 2.23 | 12.72 ± 1.23 | 14.24 ± 2.01 |
| OR (SSP/AHD) | 0.53 ± 0.10 | 0.41 ± 0.20 | 0.52 ± 0.09 | 0.42 ± 0.06 |
Disclaimer/Publisher’s Note: The statements, opinions and data contained in all publications are solely those of the individual author(s) and contributor(s) and not of MDPI and/or the editor(s). MDPI and/or the editor(s) disclaim responsibility for any injury to people or property resulting from any ideas, methods, instructions or products referred to in the content. |
© 2025 by the authors. Licensee MDPI, Basel, Switzerland. This article is an open access article distributed under the terms and conditions of the Creative Commons Attribution (CC BY) license (https://creativecommons.org/licenses/by/4.0/).
Share and Cite
Arrillaga, B.; Pérez-Bellmunt, A.; García, I.; Rodríguez-Adalia, L.; Möller, I.; Miguel-Pérez, M. Swimmer’s Shoulder: Ultrasound Anatomical Description of Shoulder Tendons in Elite Swimmers and Water Polo Players. Healthcare 2025, 13, 151. https://doi.org/10.3390/healthcare13020151
Arrillaga B, Pérez-Bellmunt A, García I, Rodríguez-Adalia L, Möller I, Miguel-Pérez M. Swimmer’s Shoulder: Ultrasound Anatomical Description of Shoulder Tendons in Elite Swimmers and Water Polo Players. Healthcare. 2025; 13(2):151. https://doi.org/10.3390/healthcare13020151
Chicago/Turabian StyleArrillaga, Beatriz, Albert Pérez-Bellmunt, Iker García, Luis Rodríguez-Adalia, Ingrid Möller, and Maribel Miguel-Pérez. 2025. "Swimmer’s Shoulder: Ultrasound Anatomical Description of Shoulder Tendons in Elite Swimmers and Water Polo Players" Healthcare 13, no. 2: 151. https://doi.org/10.3390/healthcare13020151
APA StyleArrillaga, B., Pérez-Bellmunt, A., García, I., Rodríguez-Adalia, L., Möller, I., & Miguel-Pérez, M. (2025). Swimmer’s Shoulder: Ultrasound Anatomical Description of Shoulder Tendons in Elite Swimmers and Water Polo Players. Healthcare, 13(2), 151. https://doi.org/10.3390/healthcare13020151

















