Managing Surgical Risks in Hemophilic Elbow Arthropathy: An In-Depth Case Study and Literature Review
Abstract
1. Introduction
2. Case Presentation
2.1. History
2.2. Clinical Presentation
- Evidence from the Scientific Literature
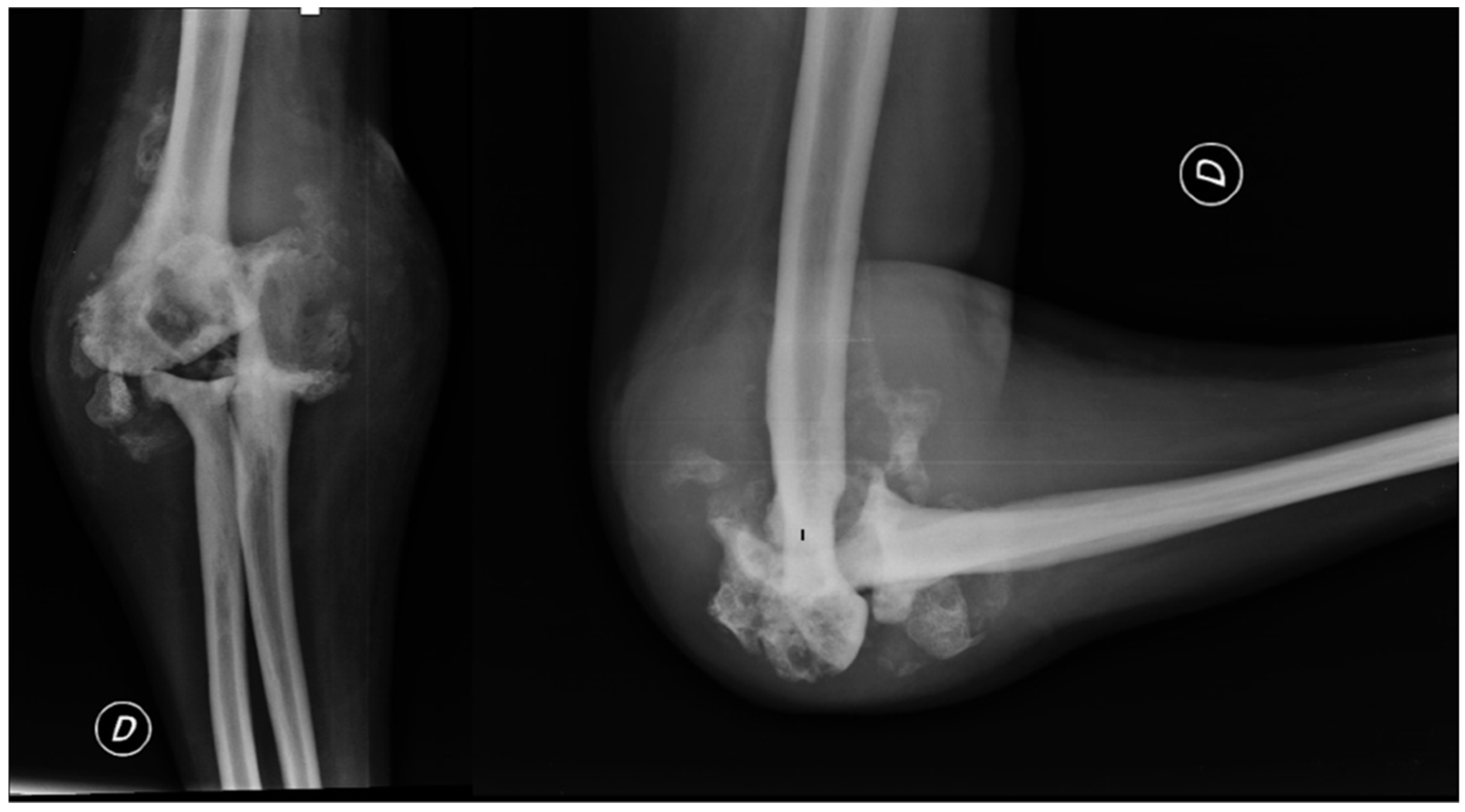
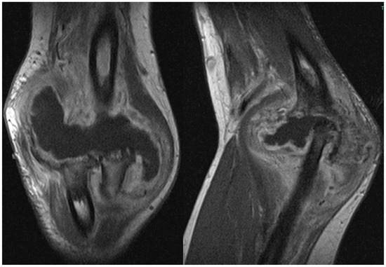
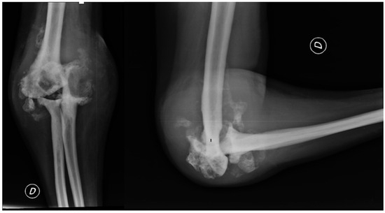
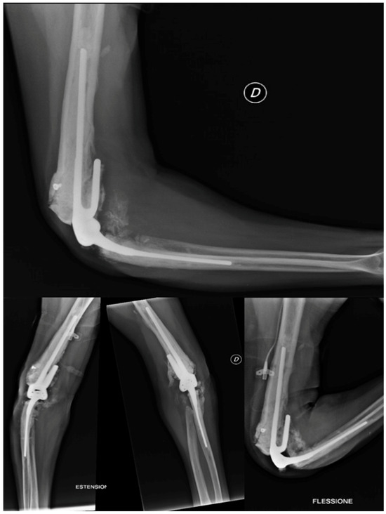
2.3. Further Investigations
- Evidence from the Scientific Literature
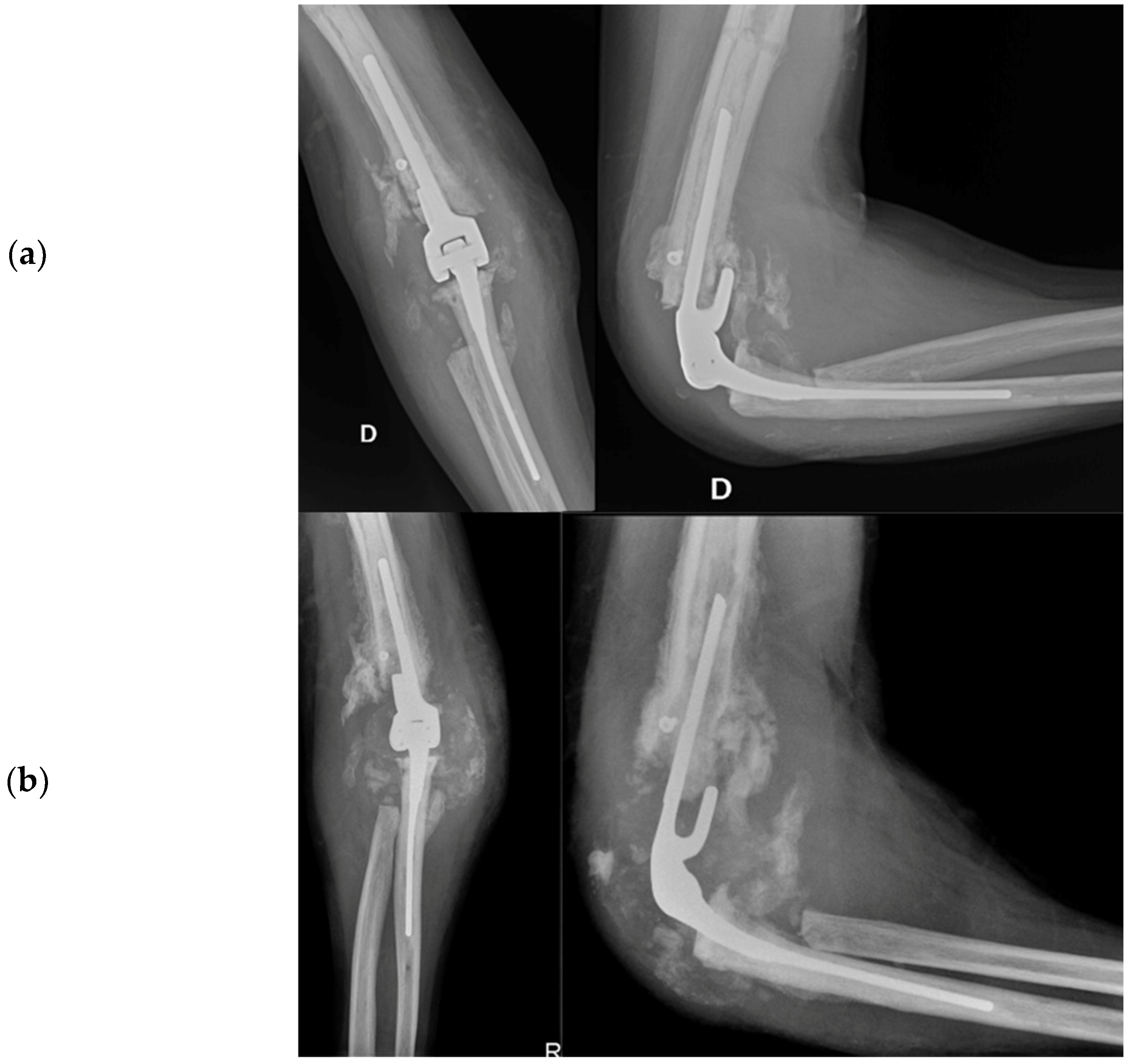
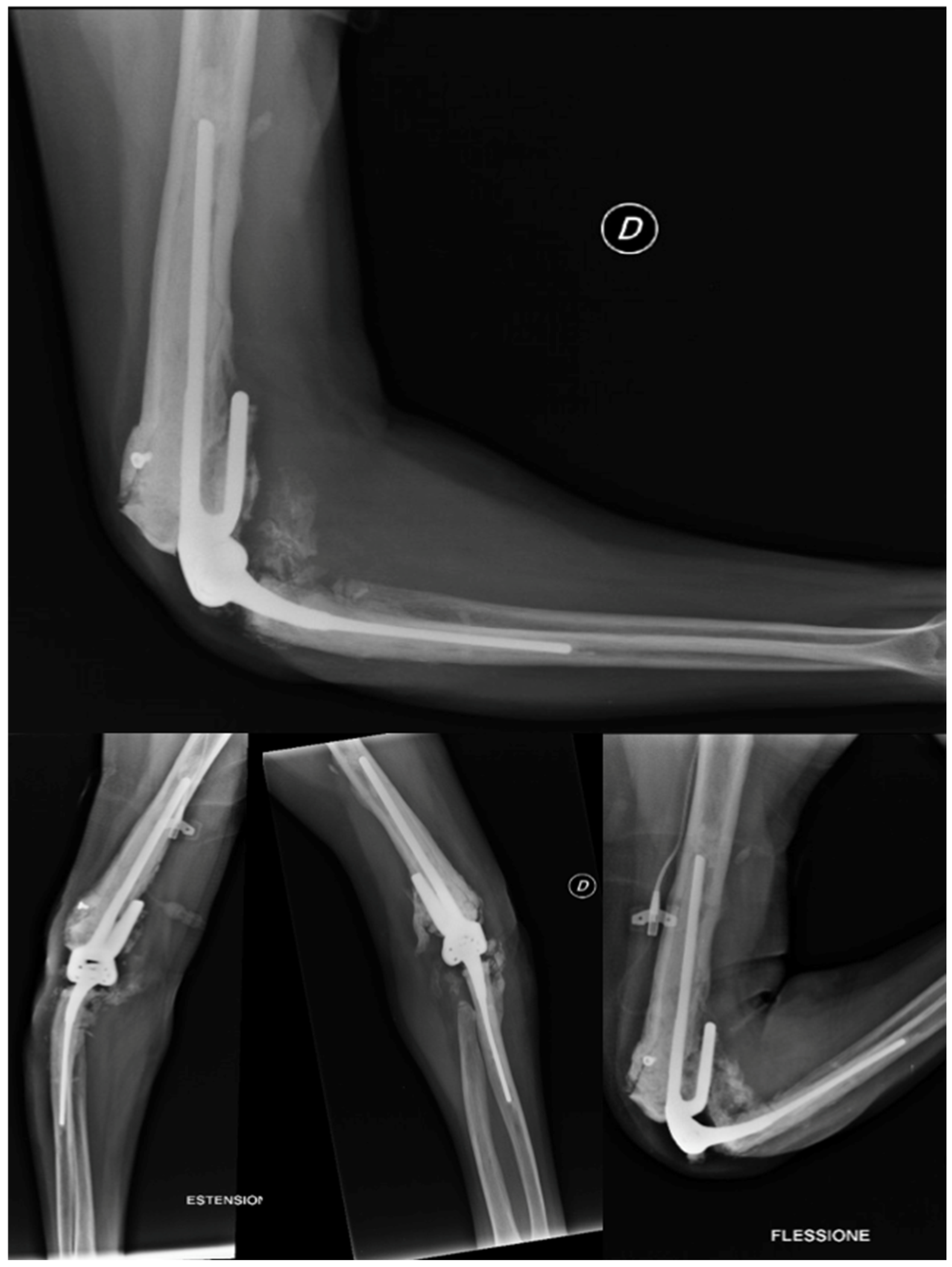
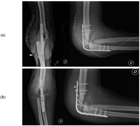
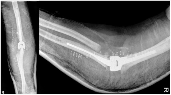
2.4. Treatments
2.4.1. Available Treatment Options Are Shown in Figure 4
2.4.2. Hematological Treatment
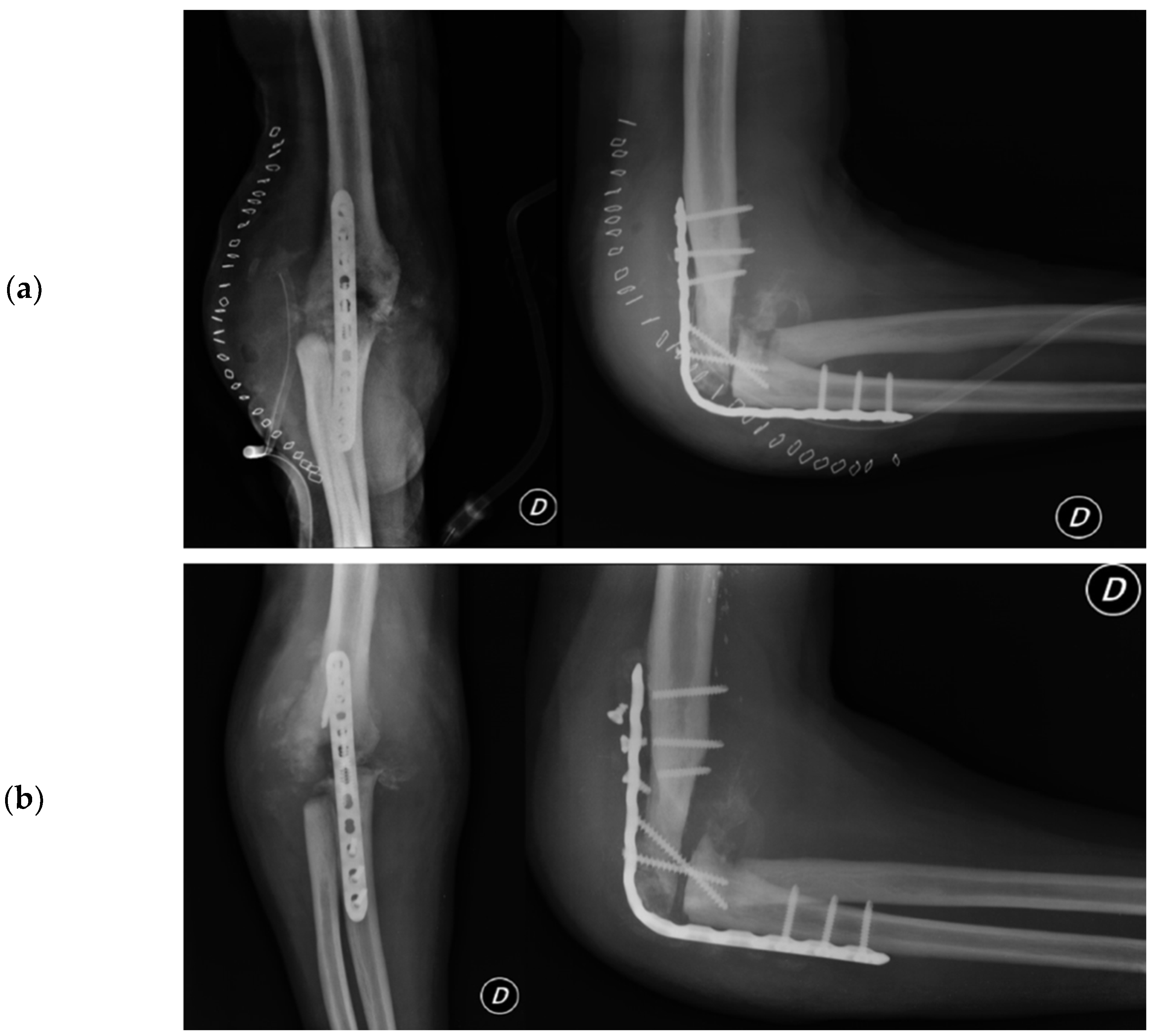
2.4.3. Open Debridement
- Evidence from the Scientific Literature
Joint Debridement and Complications
- Evidence from the Scientific Literature
2.4.4. Arthrodesis
- Evidence from the Scientific Literature
Arthrodesis and Complications
- Evidence from the Scientific Literature
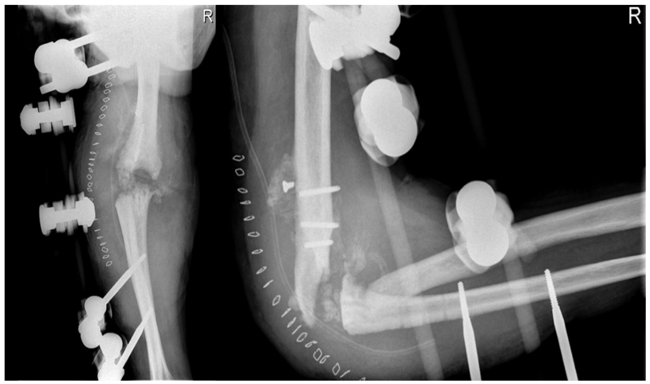
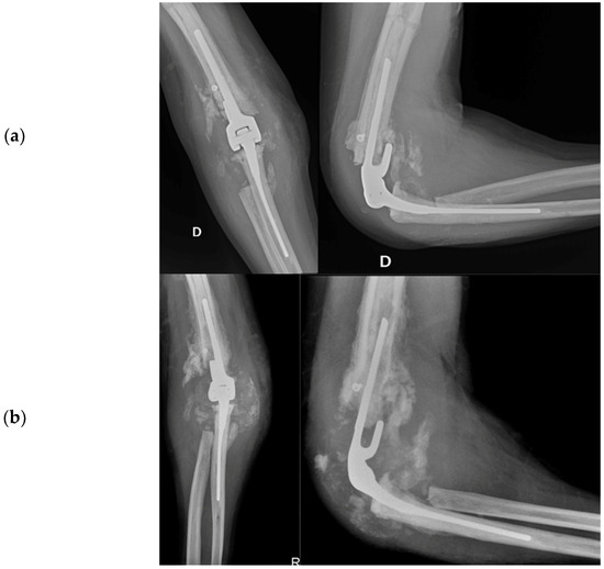
2.4.5. Total Elbow Arthroplasty
- Evidence from the Scientific Literature
Total Elbow Arthroplasty and Complications
- Evidence from the Scientific Literature
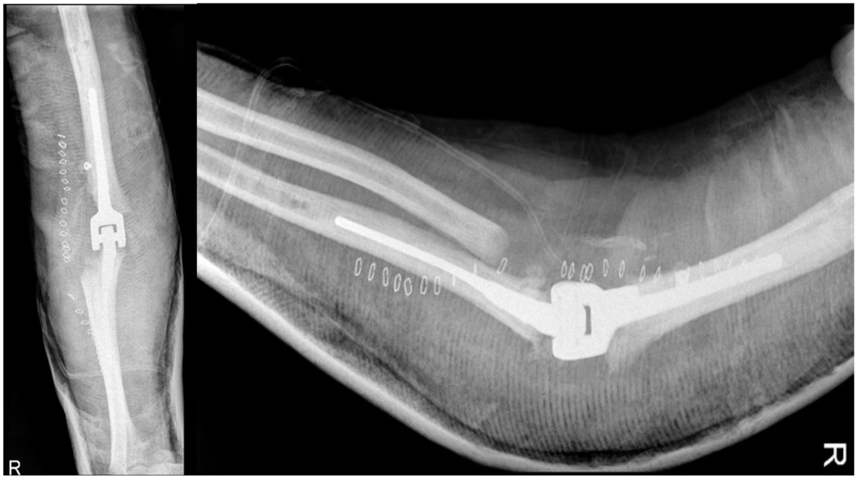
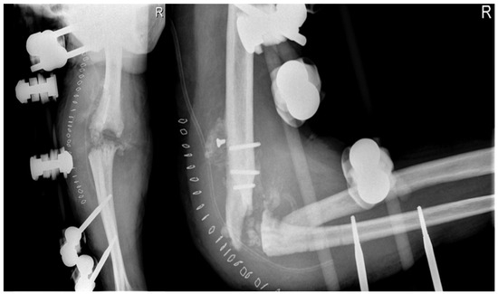
2.4.6. Revision Total Elbow Arthroplasty
- Evidence from the Scientific Literature
3. Discussion
4. Conclusions
Author Contributions
Funding
Institutional Review Board Statement
Informed Consent Statement
Data Availability Statement
Conflicts of Interest
References
- Madhok, R.; York, J.; Sturrock, R. Haemophilic Arthritis. Ann. Rheum. Dis. 1991, 50, 588–591. [Google Scholar] [CrossRef] [PubMed]
- Manco-Johnson, M.; Abshire, T.; Shapiro, A.; Riske, B.; Hacker, M.; Kilcoyne, R.; Ingram, J.; Manco Johnson, M.; Funk, S.; Jacobson, L.; et al. Prophylaxis versus Episodic Treatment to Prevent Joint Disease in Boys with Severe Hemophilia. N. Engl. J. Med. 2007, 357, 535–544. [Google Scholar] [CrossRef] [PubMed]
- Aledort, L.; Haschmeyer, R.; Petterson, H.; The Orthopaedic Outcome Study Group. A Longitudinal Study of Orthopaedic Outcomes for Severe Factor-VIII-Deficient Haemophiliacs. J. Intern. Med. 1994, 236, 391–399. [Google Scholar] [CrossRef] [PubMed]
- Högh, J.; Ludlam, C.; Macnicol, M. Hemophilic Arthropaty of the Upper Limb. Clin. Orthop. Relat. Res. 1987, 218, 225–231. [Google Scholar] [CrossRef]
- Gilbert, M.; Glass, K. Hemophilic Arthropaty in the Elbow. Mt. Sinai J. Med. N. Y. 1977, 44, 389–396. [Google Scholar]
- Cuesta-Barriuso, R.; Gómez-Conesa, A.; López-Pina, J.-A. Manual and Educational Therapy in the Treatment of Hemophilic Arthropathy of the Elbow: A Randomized Pilot Study. Orphanet J. Rare Dis. 2018, 13, 151. [Google Scholar] [CrossRef]
- Raffini, L.; Manno, C. Modern Management of Haemophilic Arthropathy. Br. J. Haematol. 2007, 136, 777–787. [Google Scholar] [CrossRef] [PubMed]
- Letizia, G.; Piccione, F.; Ridola, C.; Zummo, G. Ultrastructural Appearance of Human Synovial Membrane in the Reabsorption Phase of Acute Haemarthrosis. Ital. J. Orthop. Traumatol. 1980, 6, 275–277. [Google Scholar]
- Hooveld, M.; Rosendall, G.; Vianen, M.; Van den Berg, M.; Bijlsma, J.; Lafeber, F. Blood Induced Joint Damage: Longterm Effects In Vitro and In Vivo. J. Rheumatol. 2003, 30, 339–344. [Google Scholar]
- AICE Online. La Gestione Dell’angiogenesi Nella Sinovite in Corso Di Artropatia Emofilica: Nuove Prospettive Patogenetiche e Terapeutiche, La Diagnostica per Immagini. Available online: https://aiceonline.org/?p=6236 (accessed on 5 May 2024).
- Hakobyan, N.; Kazarian, T.; Valentino, L. Synovitis in a Murine Model of Human Factor VIII Deficiency. Haemoph. Off. J. World Fed. Hemoph. 2005, 11, 227–232. [Google Scholar] [CrossRef]
- Acharya, S.; Rule, B.; McMillan, O.; Humphries, T. Point of Care Ultrasonograpy (POCUS) in haemophiliaA: A Commentary on Current Status and Its Potential Role for Improving Prophylaxis Management in Severe Haemophilia A. Ther. Adv. Hematol. 2017, 8, 153–156. [Google Scholar] [CrossRef] [PubMed]
- Wen, F.; Jabbar, A.; Chen, Y.; Kazarian, T.; Patel, D.; Valentino, L. C-Myc Proto-Oncogene Expression in Hemophilic Synovitis:In Vitro Studies of Effects of Iron and Ceramide. Blood 2002, 100, 912–916. [Google Scholar] [CrossRef]
- Rosendall, G.; Lafeber, F. Pathogenesis of Haemophilic Arthropathy. Haemoph. Off. J. World Fed. Hemoph. 2006, 12, 117–121. [Google Scholar] [CrossRef] [PubMed]
- Rosendall, G.; Tekoppelle, J.; Vianen, M.; Van den Berg, H.; Lafeber, F.; Bijlsma, J. Articular Cartilage Is More Susceptible to Blood Induced Damage at Young than at Old Age. J. Rheumatol. 2000, 27, 1740–1744. [Google Scholar] [PubMed]
- Fischer, K.; Van der Bom, J.; Mauser Bunschoten, E.; Roosendal, G.; Prejs, R.; de Kleijn, P.; Grobbee, D.; Van den Berg, M. The Effects of Postponing Prophylactic Treatment on Long-Term Outcome in Patients with Severe Haemophilia. Blood 2002, 99, 2337–2341. [Google Scholar] [CrossRef] [PubMed]
- Rosendall, G.; Lafeber, F. Blood Induced Joint Demage in Haemophilia. Semin. Thromb. Hemost. 2003, 29, 37–42. [Google Scholar] [CrossRef]
- Rodriguez-Merchan, E. Haemophilic Arthropathy: Contemporary Management Challenges and a Future Scenario. Haemophilia 2021, 27, e765–e767. [Google Scholar] [CrossRef]
- Duarte, M.; Duarte, E.; Solorzano, E. Hemophilic Pseudotumor—A Rare Complication. Rev. Bras. Hematol. Hemoter. 2017, 39, 84–85. [Google Scholar] [CrossRef]
- Yeung, C.; Blazar, P. Unusual Olecranon Mass with Ulnar Nerve Compressive Neuropathy Caused by a Haemophilic Pseudotumour. BMJ Case Rep. 2019, 12, e231589. [Google Scholar] [CrossRef]
- Papatheodorou, L.; Baratz, M.; Sotereanos, D. Elbow Arthritis: Current Concepts. J. Hand Surg. Am. 2013, 38, 605–613. [Google Scholar] [CrossRef]
- Utukuri, M.; Goddard, N. Haemophilic Arthropathy of the Elbow. Haemophilia 2005, 11, 565–570. [Google Scholar] [CrossRef]
- Adams, J.; Reding, M. Hemophilic Arthropathy of the Elbow. Hand Clin. 2011, 27, 151–163. [Google Scholar] [CrossRef] [PubMed]
- Ishiguro, N.; Yasuo, S.; Takamatu, S.; Iwata, H. Hemophilic Arthropathy of the Elbow. J. Pediatr. Orthop. 1995, 15, 821–825. [Google Scholar] [CrossRef] [PubMed]
- Heim, M.; Beeton, K.; Blamey, G.; Goddard, N. Management of the Elbow Joint. Haemophilia 2012, 18, 101–104. [Google Scholar] [CrossRef] [PubMed]
- Arnold, W.; Hilgartner, M. Hemophilic Artrhopaty. Current Concepts of Pathogenesis and Management. J. Bone Jt. Surg. Am. 1977, 59, 287–305. [Google Scholar] [CrossRef]
- Petterson, H.; Ahlberg, A.; Nilsson, I. A Radiologic Classification of Hemophilic Arthropathy. Clin. Orthop. Relat. Res. 1980, 149, 153–159. [Google Scholar] [CrossRef]
- Dale, T.; Saucedo, J.; Rodriguez-Merchan, E. Hemophilic Arthropathy of the Elbow: Prophylaxis, Imaging, and the Role of Invasive Management. J. Shoulder Elbow Surg. 2015, 24, 1669–1678. [Google Scholar] [CrossRef]
- Bossard, D.; Carrillon, Y.; Stieltjes, N.; Larbre, J.; Laurian, Y.; Molina; Dirat, G. Management of Haemophilis Arthropaty. Haemoph. Off. J. World Fed. Hemoph. 2008, 14, 11–19. [Google Scholar] [CrossRef]
- Kerr, R. Imaging of Musculoskeletal Complications of Hemophilia. Semin. Musculoskelet. Radiol. 2003, 7, 127–136. [Google Scholar] [CrossRef]
- Acharya, S. Exploration of the Pathogenesis of Haemolitic Joint Arthropathy: Understanding Implications for Optimal Clinical Management. Br. J. Haematol. 2012, 156, 13–23. [Google Scholar] [CrossRef]
- Lundin, B.; Pettersson, H.; Ljung, R. A New Magnetic Resonance Imaging Scoring Method for Assessment of Haemophilic Arthropaty. Haemophilia 2004, 10, 383–389. [Google Scholar] [CrossRef]
- Lundin, B.; Manco Johnson, M.; Ignas, D.; Moineddin, R.; Blanchette, V.; Dunn, A.; Gibikote, S.; Keshava, S.; Ljung, R.; Manco-Johnson, M.; et al. An MRI Scale for Assessment of Haemophilic Arthropaty from the International Prophylaxis Study Group. Haemophilia 2012, 18, 962–970. [Google Scholar] [CrossRef] [PubMed]
- Soler, R.; Loper Fernandez, F.; Rodriguez-Merchan, E.; Marini, M. Hemophilic Arthropathy. A Scoring System for Magnetic Resonance Imaging. Eur. Radiol. 2002, 12, 836–843. [Google Scholar] [CrossRef]
- Cittadini, G.; Cittadini, G.; Sardanelli, F. Diagnostica per Immagini; Edra S.p.a.: Pisa, Italy, 2016; pp. 144–145. [Google Scholar]
- Iwamoto, T.; Suzuki, T.; Oki, S.; Matsumura, N.; Nakamura, M.; Matsumoto, M.; Sato, K. Computed Tomography-Based 3-Dimensional Preoperative Planning for Unlinked Total Elbow Arthroplasty. J. Shoulder Elbow Surg. 2018, 27, 1792–1799. [Google Scholar] [CrossRef] [PubMed]
- Rodriguez-Merchan, E.; Jimenez-Yuste, V. The Role of Selective Angiographic Embolization of the Musculo-Skeletal System in Haemophilia. Haemophilia 2009, 15, 864–868. [Google Scholar] [CrossRef]
- Badulescu, O.V.; Sirbu, P.D.; Ungureanu, C.; Pȋnzariu, A.; Cojocaru, E.; Filip, N.; Bararu-Bojan, I.; Vladeanu, M.; Ciocoiu, M. Orthopedic Surgery in Hemophilic Patients with Musculoskeletal Disorders: A Systematic Review. Exp. Ther. Med. 2021, 22, 995. [Google Scholar] [CrossRef] [PubMed]
- Sandford, F.; Barlow, N.; Lewis, J. A Study to Examine Patient Adherence to Wearing 24-Hour Forearm Thermoplastic Splints after Tendon Repairs. J. Hand Ther. Off. J. Am. Soc. Hand Ther. 2008, 21, 44–52. [Google Scholar] [CrossRef]
- Zelada, F.; de Almeida, A.; Pailo, A.; Neto, R.; Okazaki, E.; de Rezende, M. Viscosupplementation in Patients with Hemophilic Arthropathy.I. Acta Ortop. Bras. 2013, 21, 12–17. [Google Scholar] [CrossRef][Green Version]
- Rodríguez-Merchán, E.C.; Magallón, M.; Galindo, E.; López-Cabarcos, C. Hemophilic Synovitis of the Knee and the Elbow. Clin. Orthop. 1997, 343, 47–53. [Google Scholar]
- Luck, J. Traumatic Arthrofibrosis; the Fibroplastic Response of Joints to Trauma. Bull. Hosp. Jt. Dis. 1951, 12, 394–403. [Google Scholar]
- van Vulpen, L.; Thomas, S.; Keny, S.; Mohanty, S. Synovitis and Synovectomy in Haemophilia. Haemophilia 2021, 27, 96–102. [Google Scholar] [CrossRef] [PubMed]
- AlSalhi, M.S.; Sandhanasamy, D.; Muhammad, A.; Naveed, M.A.S.; Tahir, N.K.; Fatmah, S.A.; Vadivel, M. Detection of Hemophilia by Fluorescence Spectroscopy: A Photodiagnosis Approach. Photodiagnosis Photodyn. Ther. 2019, 29, 101598. [Google Scholar] [CrossRef] [PubMed]
- Makris, M.; Kasper, C. The World Federation of Hemophilia Guideline on Management of Haemophilia. Haemophilia 2013, 19, 1. [Google Scholar] [CrossRef] [PubMed]
- Schmitt, C.; Adamkewicz, J.; Xu, J.; Petry, C.; Catalani, O.; Young, G.; Negrier, C.; Callaghan, M.; Levy, G. Pharmacokinetics and Pharmacodynamics of Emicizumab in Persons with Hemophilia A with Factor VIII Inhibitors: HAVEN 1 Study. Thromb. Haemost. 2021, 121, 351–360. [Google Scholar] [CrossRef] [PubMed]
- Melchiorre, D.; Manetti, M.; Matucci-Cerinic, M. Pathophysiology of Hemophilic Arthropathy. J. Clin. Med. 2017, 6, 63. [Google Scholar] [CrossRef]
- Rodriguez-Merchan, E. Hemophilic Pseudotumors: Diagnosis and Management. Arch. Bone Jt. Surg. 2020, 8, 121–130. [Google Scholar] [CrossRef]
- Poonit, K.; Zhou, X.; Zhao, B.; Yao, C.; Zhang, F.; Zheng, J.; Yan, H. Treatment of Osteoarthritis of the Elbow with Open or Arthroscopic Debridement: A Narrative Review. BMC Musculoskelet. Disord. 2018, 19, 394. [Google Scholar] [CrossRef]
- White, C.; Ravi, V.; Watson, J.; Badhrinarayanan, S.; Phadnis, J. A Systematic Review of Arthroscopic Versus Open Debridement of the Arthritic Elbow. Arthroscopy 2021, 37, 747–758. [Google Scholar] [CrossRef]
- Kovack, T.; Jacob, P.; Mighell, M. Elbow Arthrodesis: A Novel Technique and Review of the Literature. Orthopedics 2014, 37, 313–319. [Google Scholar] [CrossRef]
- Leschinger, T.; Ott, N.; Hackl, M.; Müller, L.; Wegmann, K. Fixateur Externe Am Ellenbogen. Oper. Orthop. Traumatol. 2020, 32, 387–395. [Google Scholar] [CrossRef]
- Burkhart, K.; Dargel, J.; Wegmann, K. Konvertierung Einer Ellenbogen Arthrodese Zur Ellenbogenprothese. Unfallchirurg 2013, 116, 371–375. [Google Scholar] [CrossRef]
- Aldridge, J.; Lightdale, N.; Mallon, W.; Coonrad, R. Total Elbow Arthroplasty with the Coonrad/Coonrad-Morrey Prosthesis: A 10 to 31 Years Survival Analysis. J. Bone Jt. Surg. Br. 2006, 88, 509–514. [Google Scholar] [CrossRef]
- Dee, R. Total Replacement Arthroplasty of the Elbow for Rheumatoid Arthritis. J. Bone Jt. Surg. Br. 1972, 54, 88–95. [Google Scholar] [CrossRef]
- Kamineni, S.; Morrey, B. Distal Humeral Fractures Treated with Noncustom Total Elbow Replacement. Surgical Technique. J. Bone Jt. Surg. Am. 2005, 87, 41–50. [Google Scholar] [CrossRef]
- Sanchez-Sotelo, J. Total Elbow Arthroplasty. Open Orthop. J. 2011, 5, 115–123. [Google Scholar] [CrossRef] [PubMed]
- Marshall Brooks, M.; Tobase, P.; Karp, S.; Francis, D.; Fogarty, P. Outcomes in Total Elbow Arthroplasty in Patients with Haemophilia at the University of California, San Francisco: A Retrospective Review. Haemoph. Off. J. World Fed. Hemoph. 2011, 17, 118–123. [Google Scholar] [CrossRef]
- Ernstbrunner, L.; Hingsammer, A.; Imam, M.; Sutter, R.; Brand, B.; Meyer, D.; Wieser, K. Long-Term Results of Total Elbow Arthroplasty in Patients with Hemophilia. J. Shoulder Elbow Surg. 2018, 27, 126–132. [Google Scholar] [CrossRef] [PubMed]
- Kwak, J.; Koh, K.; Jeon, I. Total Elbow Arthroplasty: Clinical Outcomes, Complications, and Revision Surgery, ReviewArticle. Clin. Orthop. Surg. 2019, 11, 369–379. [Google Scholar] [CrossRef]
- Chin, K.; Lambert, S. Revision Total Elbow Replacement. J. Clin. Orthop. Trauma 2021, 20, 101495. [Google Scholar] [CrossRef]
- Rodriguez-Merchan, E.C. Hemophilic Arthropathy: Current Treatment Challenges and Future Prospects. Expert Opin. Orphan Drugs 2018, 6, 477–483. [Google Scholar] [CrossRef]
- Rodriguez-Merchan, E.C.; Liddle, A.D. Pathogenesis and Treatment Options for Hemophilic Synovitis. Expert Opin. Orphan Drugs 2017, 5, 173–179. [Google Scholar] [CrossRef]
- Pasta, G.; Annunziata, S.; Forini, G.; Jannelli, E.; Minen, A.; Preti, P.; Mosconi, M.; Benazzo, F. A Rare Case of a Patient with Hemophilia Presenting Elbow Ankylosing Heterotopic Ossification:Surgery and Functional Outcomes. JSES Int. 2020, 4, 1021–1025. [Google Scholar] [CrossRef] [PubMed]
- Journeycake, J.M.; Miller, K.L.; Anderson, A.M.; Buchanan, G.R.; Finnegan, M. Arthroscopic Synovectomy in Children and Adolescents with Hemophilia. J. Pediatr. Hematol. Oncol. 2003, 25, 726–731. [Google Scholar] [CrossRef] [PubMed]
- Complications of Hemophilia in the Elbow: Current Management—PubMed. Available online: https://pubmed.ncbi.nlm.nih.gov/32723183/ (accessed on 11 November 2021).
- Karuppaiah, K. Is There a Role for Elbow Arthrodesis in 21st Century—Current Concepts and Overview of Surgical Techniques. J. Clin. Orthop. Trauma 2021, 20, 101466. [Google Scholar] [CrossRef]
- Tajika, T.; Kuboi, T.; Sakane, H.; Hatori, Y.; Saida, R.; Shinagawa, S.; Shitara, H.; Ogawa, Y.; Chikuda, H. Total Elbow Arthroplasty for Hemophilic Osteoproliferative Elbow Arthritis with Severe Flexion Contracture: A Case Report. SAGE Open Med. Case Rep. 2023, 11, 2050313X231216597. [Google Scholar] [CrossRef]
- Cai, G.; Song, L.; Chen, G.; Yuan, S.; Cai, L.; Ning, X.; Wang, J.; Jiang, W. Short-Term Effectiveness of a Modified Osteotomy for Total Elbow Joint Replacement in Patients of Hemophilic Elbow Arthritis with Severe Flexion Contracture Deformity: A Three-Cases Series Report. Orthop. Surg. 2022, 14, 2741–2749. [Google Scholar] [CrossRef]











Disclaimer/Publisher’s Note: The statements, opinions and data contained in all publications are solely those of the individual author(s) and contributor(s) and not of MDPI and/or the editor(s). MDPI and/or the editor(s) disclaim responsibility for any injury to people or property resulting from any ideas, methods, instructions or products referred to in the content. |
© 2024 by the authors. Licensee MDPI, Basel, Switzerland. This article is an open access article distributed under the terms and conditions of the Creative Commons Attribution (CC BY) license (https://creativecommons.org/licenses/by/4.0/).
Share and Cite
Pasta, G.; Annunziata, S.; Ruggieri, R.; Abruzzi, D.; Arrigoni, P.; Jannelli, E.; Benazzo, F.; Pedrotti, L.; Viola, E.M.; Rodriguez-Merchan, E.C.; et al. Managing Surgical Risks in Hemophilic Elbow Arthropathy: An In-Depth Case Study and Literature Review. Healthcare 2024, 12, 1776. https://doi.org/10.3390/healthcare12171776
Pasta G, Annunziata S, Ruggieri R, Abruzzi D, Arrigoni P, Jannelli E, Benazzo F, Pedrotti L, Viola EM, Rodriguez-Merchan EC, et al. Managing Surgical Risks in Hemophilic Elbow Arthropathy: An In-Depth Case Study and Literature Review. Healthcare. 2024; 12(17):1776. https://doi.org/10.3390/healthcare12171776
Chicago/Turabian StylePasta, Gianluigi, Salvatore Annunziata, Roberta Ruggieri, Dario Abruzzi, Paolo Arrigoni, Eugenio Jannelli, Francesco Benazzo, Luisella Pedrotti, Erika Maria Viola, Emérito Carlos Rodriguez-Merchan, and et al. 2024. "Managing Surgical Risks in Hemophilic Elbow Arthropathy: An In-Depth Case Study and Literature Review" Healthcare 12, no. 17: 1776. https://doi.org/10.3390/healthcare12171776
APA StylePasta, G., Annunziata, S., Ruggieri, R., Abruzzi, D., Arrigoni, P., Jannelli, E., Benazzo, F., Pedrotti, L., Viola, E. M., Rodriguez-Merchan, E. C., & Mosconi, M. (2024). Managing Surgical Risks in Hemophilic Elbow Arthropathy: An In-Depth Case Study and Literature Review. Healthcare, 12(17), 1776. https://doi.org/10.3390/healthcare12171776

