Post-Traumatic Cerebral Venous Sinus Thrombosis (PtCVST) Resulting in Increased Intracranial Pressure during Early Post-Traumatic Brain Injury Period: Case Report and Narrative Literature Review
Abstract
1. Introduction
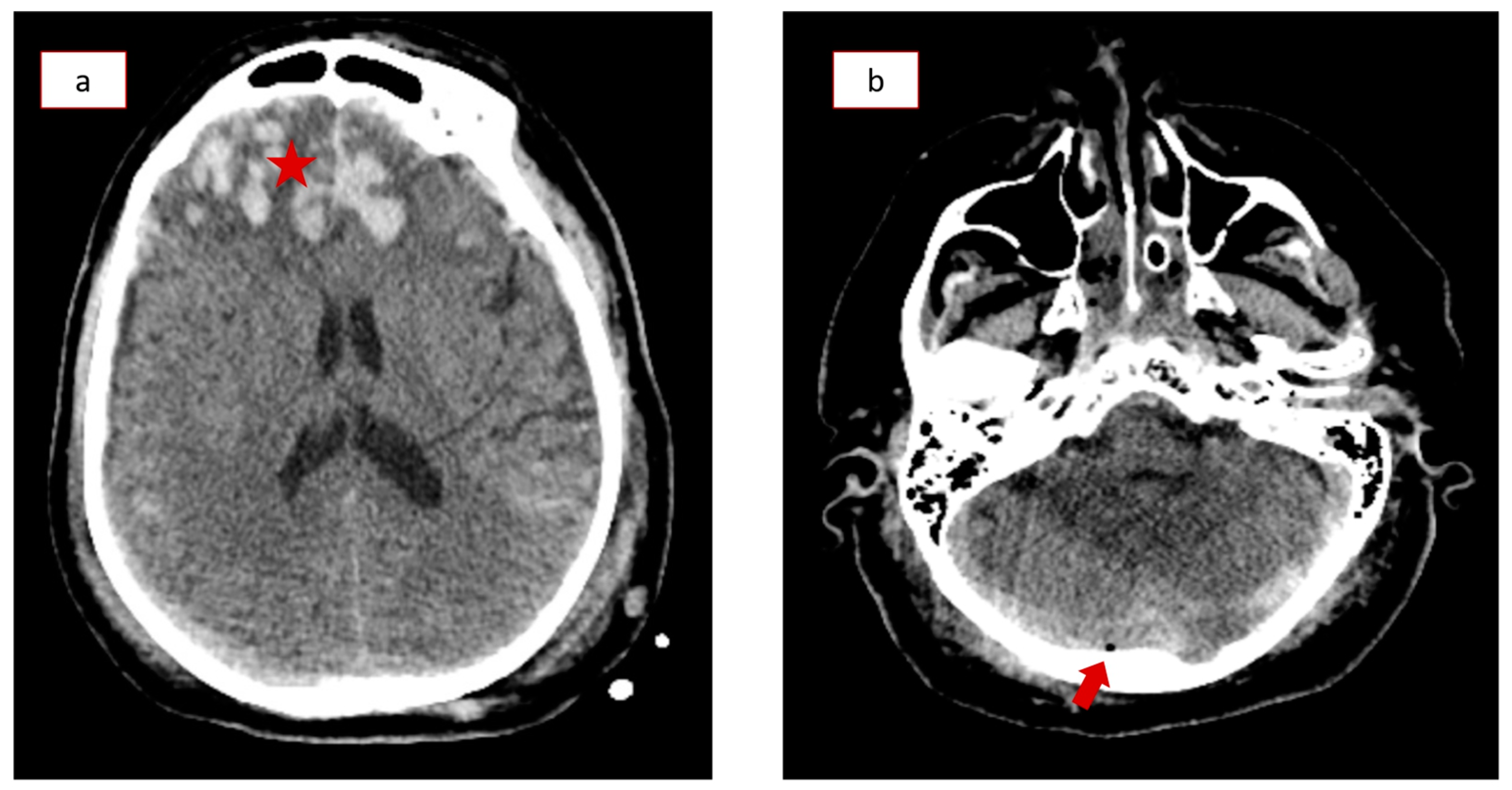
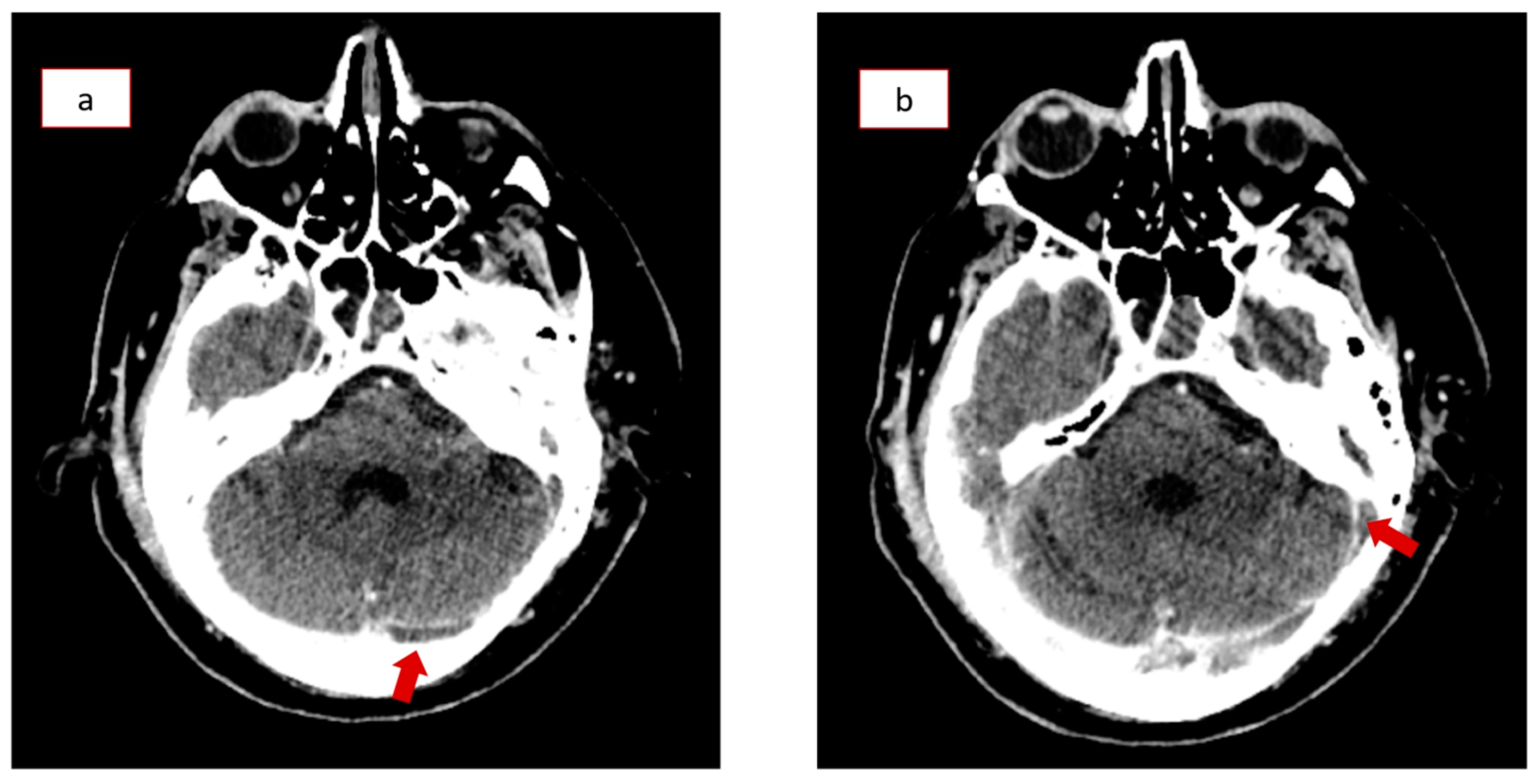
2. Case Presentation
3. Discussion
3.1. Epidemiology
3.2. Prognosis
3.3. Signs and Symptoms
3.4. Diagnosis and Radiological Findings
3.5. The Anatomy of the Cerebral Venous System
3.6. Pathophysiology
3.7. Risk Factors and Etiology
3.8. Relative Frequency of Venous Sinuses Involved
3.9. Non-Surgical Treatment Options
3.10. Surgical and Endovascular Treatment
4. Conclusions
Supplementary Materials
Author Contributions
Funding
Institutional Review Board Statement
Informed Consent Statement
Data Availability Statement
Acknowledgments
Conflicts of Interest
References
- Isan, P.; Mondot, L.; Casolla, B.; Fontaine, D.; Almairac, F. Post-traumatic cerebral venous sinus thrombosis associated with epidural hematoma: A challenging clinical situation. Neurochirurgie 2022, 68, e40–e43. [Google Scholar] [CrossRef] [PubMed]
- Grangeon, L.; Gilard, V.; Ozkul-Wermester, O.; Lefaucheur, R.; Curey, S.; Gerardin, E.; Derrey, S.; Maltete, D.; Magne, N.; Triquenot, A. Management and outcome of cerebral venous thrombosis after head trauma: A case series. Rev. Neurol. 2017, 173, 411–417. [Google Scholar] [CrossRef]
- Netteland, D.F.; Sandset, E.C.; Mejlænder-Evjensvold, M.; Aarhus, M.; Jeppesen, E.; Aguiar de Sousa, D.; Helseth, E.; Brommeland, T. Cerebral venous sinus thrombosis in traumatic brain injury: A systematic review of its complications, effect on mortality, diagnostic and therapeutic management, and follow-up. Front. Neurol. 2022, 13, 1079579. [Google Scholar] [CrossRef] [PubMed]
- Netteland, D.F.; Mejlænder-Evjensvold, M.; Skaga, N.O.; Sandset, E.C.; Aarhus, M.; Helseth, E. Cerebral venous thrombosis in traumatic brain injury: A cause of secondary insults and added mortality. J. Neurosurg. 2020, 134, 1912–1920. [Google Scholar] [CrossRef]
- Khambholja, J.; Panchal, S.S.; Gami, J.I. A Study of Cerebral Venous Sinus Thrombosis with Special Reference to Newer Risk Predictors. J. Assoc. Physicians 2024, 72, 45–56. [Google Scholar]
- Meira Goncalves, J.; Carvalho, V.; Cerejo, A.; Polónia, P.; Monteiro, E. Cerebral Venous Thrombosis in Patients with Traumatic Brain Injury: Epidemiology and Outcome. Cureus 2024, 16, e55775. [Google Scholar] [CrossRef] [PubMed]
- Bokhari, R.; You, E.; Bakhaidar, M.; Bajunaid, K.; Lasry, O.; Zeiler, F.A.; Marcoux, J.; Baeesa, S. Dural Venous Sinus Thrombosis in Patients Presenting with Blunt Traumatic Brain Injuries and Skull Fractures: A Systematic Review and Meta-Analysis. World Neurosurg. 2020, 142, 495–505.e3. [Google Scholar] [CrossRef]
- Poblete, R.A.; Zhong, C.; Patel, A.; Kuo, G.; Sun, P.Y.; Xiao, J.; Fan, Z.; Sanossian, N.; Towfighi, A.; Lyden, P.D. Post-Traumatic Cerebral Infarction: A Narrative Review of Pathophysiology, Diagnosis, and Treatment. Neurol. Int. 2024, 16, 95–112. [Google Scholar] [CrossRef]
- Coutinho, J.M.; Zuurbier, S.M.; Stam, J. Declining mortality in cerebral venous thrombosis: A systematic review. Stroke 2014, 45, 1338–1341. [Google Scholar] [CrossRef]
- Avsenik, J.; Oblak, J.P.; Popovic, K.S. Non-contrast computed tomography in the diagnosis of cerebral venous sinus thrombosis. Radiol. Oncol. 2016, 50, 263–268. [Google Scholar] [CrossRef]
- Alghamdi, S.R.; Cho, A.; Lam, J.; Al-Saadi, T. Cerebral Venous Sinus Thrombosis in Closed Head Injury: Systematic Review and Meta-analysis. J. Clin. Neurosci. 2022, 98, 254–260. [Google Scholar] [CrossRef] [PubMed]
- Theologou, R.; Nteveros, A.; Artemiadis, A.; Faropoulos, K. Rare Causes of Cerebral Venus Sinus Thrombosis: A Systematic Review. Life 2023, 13, 1178. [Google Scholar] [CrossRef] [PubMed]
- Chtara, K.; Bradai, S.; Baccouche, N.; Toumi, N.; Ben Amar, W.; Chelly, H.; Bahloul, M.; Bouaziz, M. Post-traumatic cerebral venous sinus thrombosis in an intensive care unit: A case series of ten patients. J. Med. Vasc. 2023, 48, 62–68. [Google Scholar] [CrossRef]
- Dobbs, T.D.; Barber, Z.E.; Squier, W.L.; Green, A.L. Cerebral venous sinus thrombosis complicating traumatic head injury. J Clin. Neurosci. 2012, 19, 1058–1059. [Google Scholar] [CrossRef] [PubMed]
- Gong, S.; Hong, W.; Wu, J.; Xu, J.; Zhao, J.; Zhang, X.; Liu, Y.; Yu, R.-G. Cerebral venous sinus thrombosis caused by traumatic brain injury complicating thyroid storm: A case report and discussion. BMC Neurol. 2022, 22, 248. [Google Scholar] [CrossRef] [PubMed]
- Harris, L.; Townsend, D.; Ingleton, R.; Kershberg, A.; Uff, C.; O’halloran, P.J.; Offiah, C.; McKenna, G.S. Venous sinus thrombosis in traumatic brain injury: A major trauma centre experience. Acta Neurochir. 2021, 163, 2615–2622. [Google Scholar] [CrossRef]
- Wei, H.; Jiang, H.; Zhou, Y.; Liu, L.; Zhou, C.; Ji, X. Intracranial hypertension after cerebral venous thrombosis-Risk factors and outcomes. CNS Neurosci. Ther. 2023, 29, 2540–2547. [Google Scholar] [CrossRef]
- Buyck, P.-J.; Zuurbier, S.M.; Garcia-Esperon, C.; Barboza, M.A.; Costa, P.; Escudero, I.; Renard, D.; Lemmens, R.; Hinteregger, N.; Fazekas, F.; et al. Diagnostic accuracy of noncontrast CT imaging markers in cerebral venous thrombosis. Neurology 2019, 92, e841–e851. [Google Scholar] [CrossRef]
- Jianu, D.C.; Jianu, S.N.; Dan, T.F.; Munteanu, G.; Copil, A.; Birdac, C.D.; Motoc, A.G.M.; Axelerad, A.D.; Petrica, L.; Arnautu, S.F.; et al. An Integrated Approach on the Diagnosis of Cerebral Veins and Dural Sinuses Thrombosis (a Narrative Review). Life 2022, 12, 717. [Google Scholar] [CrossRef]
- Jacków-Nowicka, J.; Jagiełło, J.; Dziadkowiak, E.; Bladowska, J.; Sąsiadek, M.; Zimny, A. Acute cerebral venous thrombosis—Still an underdiagnosed pathology in emergency computed tomography of the brain. Pol. J. Radiol. 2021, 86, e574–e582. [Google Scholar] [CrossRef]
- Kiliç, T.; Akakin, A. Anatomy of cerebral veins and sinuses. Front. Neurol. Neurosci. 2008, 23, 4–15. [Google Scholar] [CrossRef]
- Bayot, M.L.; Reddy, V.; Zabel, M.K. Neuroanatomy, Dural Venous Sinuses; StatPearls Publishing: Treasure Island, FL, USA, 2024. [Google Scholar]
- Zuurbier, S.M.; Coutinho, J.M. Cerebral Venous Thrombosis. Adv. Exp. Med. Biol. 2017, 906, 183–193. [Google Scholar] [CrossRef]
- Prabhakar, H. (Ed.) Essentials of Neuroanesthesia; Academic Press: Cambridge, MA, USA, 2017. [Google Scholar]
- Pishbin, E.; Ziyaei, M.; Vafadar Moradi, E.; Foroughipour, M.; Javadzadeh, R.; Foroughian, M. Ten-year Causes of Cerebral Venous Sinus Thrombosis in Patients Referred to Ghaem Hospital from 2009 to 2019. Bull. Emerg. Trauma 2024, 12, 8–14. [Google Scholar] [CrossRef]
- Stančiaková, L.; Brisudová, K.; Škorňová, I.; Bolek, T.; Samoš, M.; Biringer, K.; Staško, J.; Sokol, J. Evaluating Thromboprophylaxis Strategies for High-Risk Pregnancy: A Current Perspective. Pharmaceuticals 2024, 17, 773. [Google Scholar] [CrossRef] [PubMed]
- de Barros, V.I.P.V.L.; de Oliveira, A.L.M.L.; Nascimento, D.J.D.; Zlotnik, E.; Teruchkin, M.M.; Marques, M.A.; Margarido, P.F.R. Use of hormones and risk of venous thromboembolism. Rev. Bras. Ginecol. Obstet. 2024, 46, e-FPS02. [Google Scholar] [CrossRef]
- Wakabayashi, T.; Takada, S.; Tsujimoto, Y.; Sadamasa, N.; Taki, W. Cerebral Venous Sinus Thrombosis Associated with Subclinical Hypothyroidism: A Case Report and Literature Review. Cureus 2024, 16, e62333. [Google Scholar] [CrossRef]
- McGuckin, E.; Ho, K.M.; Honeybul, S.; Stuckey, E.; Song, S. A Prospective Cohort Study Characterizing Incidence of Dural Venous Sinus Thrombosis in Traumatic Brain Injury Patients with Skull Fractures. World Neurosurg. 2024, 184, e374–e383. [Google Scholar] [CrossRef] [PubMed]
- Ochiai, K.; Nishiyama, K. Post-traumatic cerebral sinus thrombosis. BMJ Case Rep. 2021, 14, e239783. [Google Scholar] [CrossRef]
- Samuel, S.; Menchaca, C.; Gusdon, A.M. Timing of anticoagulation for venous thromboembolism after recent traumatic and vascular brain Injury. J. Thromb. Thrombolysis 2023, 55, 289–296. [Google Scholar] [CrossRef] [PubMed]
- Cho, Y.-W.; Scrushy, M.; Zhu, M.; DeAtkine, E.; Wan, B.; Fesmire, A.; Cripps, M.; Park, C. Early administration of high dose enoxaparin after traumatic brain injury. Eur. J. Trauma Emerg. Surg. 2023, 49, 2295–2303. [Google Scholar] [CrossRef]
- Baharvahdat, H.; Ganjeifar, B.; Etemadrezaie, H.; Farajirad, M.; Zabihyan, S.; Mowla, A. Enoxaparin in the treatment of severe traumatic brain injury: A randomized clinical trial. Surg. Neurol. Int. 2019, 10, 10. [Google Scholar] [CrossRef] [PubMed]
- Roth, H.; Ränsch, R.; Kossorotoff, M.; Chahine, A.; Tirel, O.; Brossier, D.; Wroblewski, I.; Orliaguet, G.; Chabrier, S.; Mortamet, G. Post traumatic cerebral sinovenous thrombosis in children: A retrospective and multicenter study. Eur. J. Paediatr. Neurol. 2023, 43, 12–15. [Google Scholar] [CrossRef] [PubMed]
- Irugu, D.-V.-K.; Gupta, M.; Sharma, P.; Ramteke, P.-P.-S.; Sharma, S.-C. Temporal Bone Osteomyelitis in a Child Closely Resembles Lateral Sinus Thrombosis: A Case Report. Iran. J. Otorhinolaryngol. 2018, 30, 241–245. [Google Scholar] [PubMed]
- Singh, S.; Ramakrishnaiah, R.H.; Hegde, S.V.; Glasier, C.M. Compression of the posterior fossa venous sinuses by epidural hemorrhage simulating venous sinus thrombosis: CT and MR findings. Pediatr. Radiol. 2016, 46, 67–72. [Google Scholar] [CrossRef]


Disclaimer/Publisher’s Note: The statements, opinions and data contained in all publications are solely those of the individual author(s) and contributor(s) and not of MDPI and/or the editor(s). MDPI and/or the editor(s) disclaim responsibility for any injury to people or property resulting from any ideas, methods, instructions or products referred to in the content. |
© 2024 by the authors. Licensee MDPI, Basel, Switzerland. This article is an open access article distributed under the terms and conditions of the Creative Commons Attribution (CC BY) license (https://creativecommons.org/licenses/by/4.0/).
Share and Cite
Theofanopoulos, A.; Proklou, A.; Miliaraki, M.; Konstantinou, I.; Ntotsikas, K.; Moustakis, N.; Lazarioti, S.; Papadakis, E.; Kypraios, G.; Angelidis, G.; et al. Post-Traumatic Cerebral Venous Sinus Thrombosis (PtCVST) Resulting in Increased Intracranial Pressure during Early Post-Traumatic Brain Injury Period: Case Report and Narrative Literature Review. Healthcare 2024, 12, 1743. https://doi.org/10.3390/healthcare12171743
Theofanopoulos A, Proklou A, Miliaraki M, Konstantinou I, Ntotsikas K, Moustakis N, Lazarioti S, Papadakis E, Kypraios G, Angelidis G, et al. Post-Traumatic Cerebral Venous Sinus Thrombosis (PtCVST) Resulting in Increased Intracranial Pressure during Early Post-Traumatic Brain Injury Period: Case Report and Narrative Literature Review. Healthcare. 2024; 12(17):1743. https://doi.org/10.3390/healthcare12171743
Chicago/Turabian StyleTheofanopoulos, Athanasios, Athanasia Proklou, Marianna Miliaraki, Ioannis Konstantinou, Konstantinos Ntotsikas, Nikolaos Moustakis, Sofia Lazarioti, Eleftherios Papadakis, George Kypraios, Georgios Angelidis, and et al. 2024. "Post-Traumatic Cerebral Venous Sinus Thrombosis (PtCVST) Resulting in Increased Intracranial Pressure during Early Post-Traumatic Brain Injury Period: Case Report and Narrative Literature Review" Healthcare 12, no. 17: 1743. https://doi.org/10.3390/healthcare12171743
APA StyleTheofanopoulos, A., Proklou, A., Miliaraki, M., Konstantinou, I., Ntotsikas, K., Moustakis, N., Lazarioti, S., Papadakis, E., Kypraios, G., Angelidis, G., Vaki, G., Kondili, E., & Tsitsipanis, C. (2024). Post-Traumatic Cerebral Venous Sinus Thrombosis (PtCVST) Resulting in Increased Intracranial Pressure during Early Post-Traumatic Brain Injury Period: Case Report and Narrative Literature Review. Healthcare, 12(17), 1743. https://doi.org/10.3390/healthcare12171743

