Generalized Telangiectasia as a Hallmark of Intravascular Lymphoma: A Case Report and Literature Review
Abstract
1. Introduction
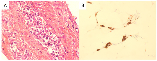
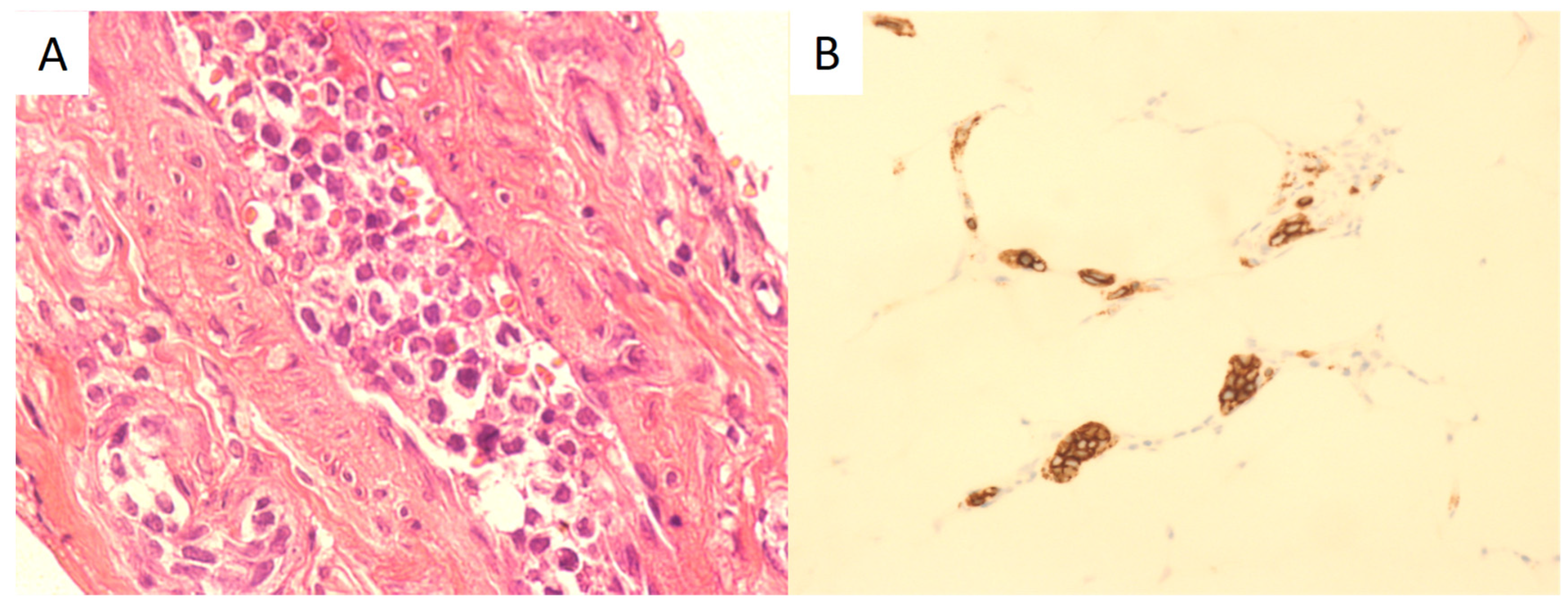
2. Case Presentation
3. Discussion
4. Conclusions
Author Contributions
Funding
Institutional Review Board Statement
Informed Consent Statement
Data Availability Statement
Conflicts of Interest
References
- Pfleger, L.; Tappeiner, J. On the recognition of systematized endotheliomatosis of the cutaneous blood vessels (reticuloendotheliosis? Hautarzt Z. Dermatol. Venerol. Verwandte Geb. 1959, 10, 359–363. [Google Scholar]
- Sheibani, K.; Battifora, H.; Winberg, C.D.; Burke, J.S.; Ben-Ezra, J.; Ellinger, G.M.; Quigley, N.J.; Fernandez, B.B.; Morrow, D.; Rappaport, H. Further evidence that malignant angioendotheliomatosis is an angiotropic large-cell lymphoma. N. Engl. J. Med. 1986, 314, 943–948. [Google Scholar] [CrossRef] [PubMed]
- Reyes-Castro, M.; Vega-Memije, E. Intravascular large cell lymphoma. Int. J. Dermatol. 2007, 46, 619–621. [Google Scholar] [CrossRef] [PubMed]
- Alaggio, R.; Amador, C.; Anagnostopoulos, I.; Attygalle, A.D.; de Oliveira Araujo, I.B.; Berti, E.; Bhagat, G.; Borges, A.M.; Boyer, D.; Calaminici, M.; et al. The 5th edition of the World Health Organization classification of haemato-lymphoid tumours: Lymphoid neoplasms. Leukemia 2022, 36, 1720–1748. [Google Scholar] [CrossRef] [PubMed]
- Ponzoni, M.; Ferreri, A.J.; Campo, E.; Facchetti, F.; Mazzucchelli, L.; Yoshino, T.; Murase, T.; Pileri, S.A.; Doglioni, C.; Zucca, E.; et al. Definition, diagnosis, and management of intravascular large B-cell lymphoma: Proposals and perspectives from an international consensus meeting. J. Clin. Oncol. 2007, 25, 3168–3173. [Google Scholar] [CrossRef] [PubMed]
- Shimada, K.; Kinoshita, T.; Naoe, T.; Nakamura, S. Presentation and management of intravascular large B-cell lymphoma. Lancet Oncol. 2009, 10, 895–902. [Google Scholar] [CrossRef] [PubMed]
- Röglin, J.; Böer, A. Skin manifestations of intravascular lymphoma mimic inflammatory diseases of the skin. Br. J. Dermatol. 2007, 157, 16–25. [Google Scholar] [CrossRef] [PubMed]
- Ponzoni, M.; Campo, E.; Nakamura, S. Intravascular large B-cell lymphoma: A chameleon with multiple faces and many masks. Blood. J. Am. Soc. Hematol. 2018, 132, 1561–1567. [Google Scholar] [CrossRef] [PubMed]
- Ferreri, A.J.; Campo, E.; Seymour, J.F.; Willemze, R.; Ilariucci, F.; Ambrosetti, A.; Zucca, E.; Rossi, G.; López-Guillermo, A.; Pavlovsky, M.A. Intravascular lymphoma: Clinical presentation, natural history, management and prognostic factors in a series of 38 cases, with special emphasis on the ‘cutaneous variant’1. Br. J. Haematol. 2004, 127, 173–183. [Google Scholar] [CrossRef]
- Requena, L.; Yus, E.S. Panniculitis. part II. mostly lobular panniculitis. J. Am. Acad. Dermatol. 2001, 45, 325–364. [Google Scholar] [CrossRef]
- Alhumidi, A. Cutaneous Intravascular NK/T-cell lymphoma mimic panniculitis clinically, case report and literature brief review. Diagn. Pathol. 2015, 10, 107. [Google Scholar] [CrossRef] [PubMed]
- Satzger, I.; Völker, B.; Kofahl-Krause, D.; Ganser, A.; Kapp, A.; Gutzmer, R. Intravascular lymphoma: Two case reports demonstrating the heterogeneity of the disease. Der Hautarzt Z. Fur Dermatol. Venerol. Und Verwandte Geb. 2009, 60, 131–136. [Google Scholar]
- Dědič, K.; Belada, D.; Žák, P.; Nožička, Z. Intravascular large B-cell lymphoma presenting as cutaneous panniculitis. A Comp. Neuroprot. Effic. Pharmacol. Pretreat. 2003, 46, 121–123. [Google Scholar] [CrossRef]
- Erös, N.; Károlyi, Z.; Kovács, A.; Takács, I.; Radványi, G.; Kelényi, G. Intravascular B-cell lymphoma. J. Am. Acad. Dermatol. 2002, 47, S260–S262. [Google Scholar] [CrossRef] [PubMed]
- Sanna, P.; Bertoni, F.; Roggero, E.; Quattropani, C.; Rusca, T.; Pedrinis, E.; Monotti, R.; Mombelli, G.; Cavalli, F.; Zucca, E. Angiotropic (intravascular) large cell lymphoma: Case report and short discussion of the literature. Tumori 1996, 83, 772–775. [Google Scholar] [CrossRef] [PubMed]
- Chuffart, M.; Stephan, A.; Comoz, F.; Salaun, V.; Baldolli, A.; Reman, O.; Verneuil, L. Intravascular large B-cell lymphoma. Ann. De Dermatol. Et De Vénéréol. 2013, 140, 328–330. [Google Scholar] [CrossRef] [PubMed]
- Nishiyama, H.; Tanei, R.; Motegi, T.; Ohta, M.; Sawabe, M. Angiotropic B-Cell Lymphoma with Telangiectasia, Accompanied by Panniculitic Formation. J. Dermatol. 2004, 31, 1032–1035. [Google Scholar] [CrossRef] [PubMed]
- Lu, P.H.; Kuo, T.t.; Yu, K.H.; Lin, T.L.; Chang, S.L.; Yang, C.H. Intravascular large B-cell lymphoma presenting in subcutaneous fat tissue and simulating panniculitis clinically. Int. J. Dermatol. 2009, 48, 1349–1352. [Google Scholar] [CrossRef]
- Tsuda, M.; Nakashima, Y.; Ikeda, M.; Shimada, S.; Nomura, M.; Matsushima, T.; Takahashi, S.; Aishima, S.; Oda, Y.; Shiratsuchi, M. Intravascular Large B-Cell Lymphoma Complicated by Anti-Neutrophil Cytoplasmic Antibody-Associated Vasculitis that was Successfully Treated with Rituximab-Containing Chemotherapy. J. Clin. Exp. Hematop. 2015, 55, 39–43. [Google Scholar] [CrossRef][Green Version]
- Hundsberger, T.; Cogliatti, S.; Kleger, G.-R.; Fretz, C.; Gähler, A.; Anliker, M.; Fournier, J.-Y.; von Moos, R.; Tettenborn, B.; Driessen, C. Intravascular lymphoma mimicking cerebral stroke: Report of two cases. Case Rep. Neurol. 2011, 3, 278–283. [Google Scholar] [CrossRef]
- Jitpratoom, P.; Yuckpan, P.; Sitthinamsuwan, P.; Chotinaiwattarakul, W.; Chinthammitr, Y. Progressive multifocal cerebral infarction from intravascular large B cell lymphoma presenting in a man: A case report. J. Med. Case Rep. 2011, 20, 24. [Google Scholar] [CrossRef]
- Song, D.K.; Boulis, N.M.; McKeever, P.E.; Quint, D.J. Angiotropic large cell lymphoma with imaging characteristics of CNS vasculitis. Am. J. Neuroradiol. 2002, 23, 239–242. [Google Scholar] [PubMed]
- Kiyohara, T.; Kumakiri, M.; Kobayashi, H.; Shimizu, T.; Ohkawara, A.; Ohnuki, M. A case of intravascular large B-cell lymphoma mimicking erythema nodosum: The importance of multiple skin biopsies. J. Cutan. Pathol. 2000, 27, 413–418. [Google Scholar] [CrossRef] [PubMed]
- Walker, U.; Herbst, E.; Ansorge, O.; Peter, H. Intravascular lymphoma simulating vasculitis. Rheumatol. Int. 1994, 14, 131–133. [Google Scholar] [CrossRef] [PubMed]
- Roux, S.; Grossin, M.; De Bandt, M.; Palazzo, E.; Vachon, F.; Kahn, M. Angiotropic large cell lymphoma with mononeuritis multiplex mimicking systemic vasculitis. J. Neurol. Neurosurg. Psychiatry 1995, 58, 363–366. [Google Scholar] [CrossRef] [PubMed]
- Kao, N.; Broy, S.; Tillawi, I. Malignant angioendotheliomatosis mimicking systemic necrotizing vasculitis. J. Rheumatol. 1992, 19, 1133–1135. [Google Scholar] [PubMed]
- Jang, Y.H.; Lee, S.J.; Choi, Y.H.; Lee, W.J.; Kim, D.W.; Kim, J.; Park, T.I.; Chae, Y.S. Intravascular cytotoxic T-cell lymphoma in a young immunocompetent woman. Ann. Dermatol. 2014, 26, 496–500. [Google Scholar] [CrossRef] [PubMed]
- Matsue, K.; Asada, N.; Takeuchi, M.; Yamakura, M.; Kimura, S.; Odawara, J.; Aoki, T. A clinicopathological study of 13 cases of intravascular lymphoma: Experience in a single institution over a 9-yr period. Eur. J. Haematol. 2008, 80, 236–244. [Google Scholar] [CrossRef] [PubMed]
- Niiyama, S.; Amoh, Y.; Katsuoka, K. Generalized telangiectasia as the manifestation of intravascular large B-cell lymphoma complicated with breast cancer. Eur. J. Dermatol. EJD 2012, 22, 566–567. [Google Scholar] [CrossRef]
- Wolter, M.; Badoual, C.; Wechsler, J.; Lambolez, T.; Haioun, C.; Bouloc, A.; Authier, F.J.; Revuz, J.; Bagot, M. Intravascular large cell lymphoma revealed by diffuse telangiectasia and cauda equina syndrome. Ann. Dermatol. Venereol. 2002, 129, 320–324. [Google Scholar]
- Eto, M.; Toyooka, K.; Kosugi, S.; Ota, T.; Ogawa, M.; Tamaki, T.; Kishino, B.; Fujimura, H. Intravascular malignant lymphomatosis: An autopsy case with generalized telangiectasia and various neurological manifestations. Rinsho Shinkeigaku Clin. Neurol. 2001, 41, 107–112. [Google Scholar]
- Vercambre-Darras, S.; Mortier, L.; Lambert, M.; Delattre, C.; Gaxotte, V.; Morell-Dubois, S.; Paccou, J.; Terriou, L.; Morschhauser, F.; Piette, F. Intravascular lymphoma revealed by generalized arborescent telangiectasia and repeated venous thrombosis. Ann. Dermatol. Venereol. 2008, 135, 397–401. [Google Scholar] [CrossRef] [PubMed]
- Barnett, C.R.; Seo, S.; Husain, S.; Grossman, M.E. Intravascular B-cell lymphoma: The role of skin biopsy. Am. J. Dermatopathol. 2008, 30, 295–299. [Google Scholar] [CrossRef] [PubMed]
- Ozguroglu, E.; Buyulbabani, N.; Ozguroglu, M.; Baykal, C. Generalized telangiectasia as the major manifestation of angiotropic (intravascular) lymphoma. Br. J. Dermatol. 1997, 137, 422–425. [Google Scholar] [CrossRef] [PubMed]
- Wilson, B.B. Indurated telangiectatic plaques. Malignant angioendotheliomatosis (MAE). Arch. Dermatol. 1992, 128, 255–258. [Google Scholar] [CrossRef] [PubMed]
- Weichert, G.; Martinka, M.; Rivers, J.K. Intravascular lymphoma presenting as telangectasias: Response to rituximab and combination chemotherapy. J. Cutan. Med. Surg. 2003, 7, 460–463. [Google Scholar] [CrossRef] [PubMed]
- Wahie, S.; Dayala, S.; Husain, A.; Summerfield, G.; Hervey, V.; Langtry, J.A. Cutaneous features of intravascular lymphoma. Clin. Exp. Dermatol. 2011, 36, 288–291. [Google Scholar] [CrossRef] [PubMed]
- Han, K.; Haley, J.C.; Carlson, K.; Pinter-Brown, L.; Soriano, T. Regression of cutaneous intravascular lymphoma with rituximab. Cutis 2003, 72, 137–140. [Google Scholar] [PubMed]
- Cathebras, P.; Laurent, H.; Guichard, I. Generalized telangiectasia revealing intravascular large B-cell lymphoma. Br. J. Haematol. 2013, 161, 155. [Google Scholar] [CrossRef]
- Szuba, A.; Koba, M.; Rzeszutko, M.; Rzeszutko, W.; Dziegiel, P.; Loboda, A.; Dulak, J.; Andrzejak, R. Cutaneous angiogenesis in patient with intravascular lymphoma (IVL): A case report. Dermatol. Online J. 2010, 16, 2. [Google Scholar] [CrossRef]
- Saleh, Z.; Kurban, M.; Ghosn, S.; Awar, G.; Kibbi, A.G. Generalized telangiectasia: A manifestation of intravascular B-cell lymphoma. Dermatology 2008, 217, 318–320. [Google Scholar] [CrossRef] [PubMed]
- Takacs, I.; Eros, N.; Bene, I.; Bozso, F.; Tordai, L.; Karolyi, Z.; Radvanyi, G.; Matolcsy, A. Successful treatment of relapse of an intravascular B-cell lymphoma with rituximab-CHOP polychemotherapy. Ann. Hematol. 2004, 83, 608–610. [Google Scholar] [CrossRef] [PubMed]
- Perniciarc, C.; Winkelmann, R.; Daoud, M.S.; Su, W.D. Malignant Angioendotheliomatosis Is an Angiotropic Intravascular Lymphoma: Immunohistochemical, Ultrastructural, and Molecular Genetics Studies. Am. J. Dermatopathol. 1995, 17, 242–248. [Google Scholar] [CrossRef] [PubMed]
- Johanna, V.; Romero, V.; Vilas, P.; Serra-Rexach, J.A.; Vidán, M.T. Progressive edemas and generalized telangiectasia: A presentation of Intravascular B-cell Lymphoma. Clin. Case Rep. 2019, 7, 2429–2432. [Google Scholar] [CrossRef]
- Sanchez-Cano, D.; Callejas-Rubio, J.; Vilanova-Mateu, A.; Gómez-Morales, M.; Ortego-Centeno, N. Intravascular lymphoma in a patient with systemic lupus erythematosus: A case report. Lupus 2007, 16, 525–528. [Google Scholar] [CrossRef] [PubMed]
- Skibola, C.F. Obesity, diet and risk of non-Hodgkin lymphoma. Cancer Epidemiol. Biomark. Prev. 2007, 16, 392–395. [Google Scholar] [CrossRef] [PubMed]
- Hedström, G.; Hagberg, O.; Jerkeman, M.; Enblad, G.; Swedish Lymphoma Study Group. The impact of age on survival of diffuse large B-cell lymphoma–a popula-tion-based study. Acta Oncol. 2015, 54, 916–923. [Google Scholar] [CrossRef] [PubMed]
- Thieu, K.P.; Haynes, H.A. Generalized essential telangiectasia with predilection for surgical scar. J. Am. Acad. Dermatol. 2009, 60, 710–711. [Google Scholar] [CrossRef] [PubMed]
- Pereira, R.A.; Dantas, E.O.; Loekmanwidjaja, J.; Mazzucchelli, J.T.L.; Aranda, C.S.; Serrano, M.E.G.; Córdoba, E.A.D.L.C.; Bezrodnik, L.; Moreira, I.; Ferreira, J.F.S.; et al. Ataxia-telangiectasia in Latin America: Clinical features, immunodeficiency, and mortality in a multicenter study. Immunol. Res. 2024, 1–10. [Google Scholar] [CrossRef]
- Silveira, L.; Muse, J.; Ducis, K. Hereditary Hemorrhagic Telangiectasia, Clinical Presentations, and Management. Stroke 2023, 54, 512–515. [Google Scholar] [CrossRef]
- Salama, S.; Rosenthal, D. Cutaneous collagenous vasculopathy with generalized telangiectasia: An immunohistochemical and ultrastructural study. J. Cutan. Pathol. 2000, 27, 40–48. [Google Scholar] [CrossRef] [PubMed]
- Alfonso, P.; Wain, M.E.; Alistair, R.; Groves, R.W.; Stefanato, C.M. Cutaneous collagenous vasculopathy with generalized telangiectasia in two female patients. J. Am. Acad. Dermatol. 2010, 63, 882–885. [Google Scholar]
- Fallon, T.; Abell, E.; Kingsley, L.; Ho, M.; Winkelstein, A.; Jensen, F.; Rinaldo, C. Telangiectases [corrected] of the anterior chest in homosexual men. Ann. Intern. Med. 1986, 105, 679–682. [Google Scholar] [CrossRef] [PubMed]
- Kannangara, A.P.; Yosipovitch, G. Photo-distributed painful eruptive telangiectasia and red finger syndrome in a woman with acquired immunodeficiency syndrome. J. Eur. Acad. Dermatol. Venereol. Jeadv 2009, 23, 193–195. [Google Scholar] [CrossRef] [PubMed]
- Macfarlane, D.F.; Gregory, N. Telangiectases in human immunodeficiency virus-positive patients. Cutis 1994, 53, 79–80. [Google Scholar] [PubMed]
- Ruiz-Avila, P.; Tercedor, J.; Fuentes, E.; Villar, A.; Ródenas, J.M. Painful periungual telangiectasias in a patient with acquired immunodeficiency syndrome. Int. J. Dermatol. 1995, 34, 199–200. [Google Scholar] [CrossRef]
- Cohn, M.S.; Mahon, M.J. Telangiectasia macularis eruptiva perstans. J. Am. Osteopath. Assoc. 1994, 94, 246–248. [Google Scholar] [CrossRef]


| Cases | Nation | Age Sex | Type | Sites of Telangiectasia | Other Skin Lesions | Neurological Symptoms | Therapy | Outcome |
|---|---|---|---|---|---|---|---|---|
| Jang et al. [27] | Korea | 23/F | T | breast, abdomen, back, extremities | erythematous patches | No | CHOP | Death |
| Cathebras et al. [39] | France | 75/F | B | generalized | edema | No | N/A | N/A |
| Niiyama et al. [29] | Japan | 72/F | B | entire body excepting face | N/A | No | R-CHOP | CR |
| Szuba et al. [40] | Poland | 79/F | B | breasts, trunk, extremities, | edema | No | corticosteroids | Death |
| Vercambre-Darras et al. [32] | France | 79/M | B | trunk, upper arms, thighs | induration, edema | No | R-CHOP | PR |
| Saleh et al. [41] | Lebanon | 58/M | B | entire body | edema | No | N/A | Death |
| Barnett et al. [33] | America | 68/F | B | lower extremities, breasts, abdomen | plaques, ulceration, edema | Yes | R-CHOP | N/A |
| Takacs et al. [42] | Hungary | 79/F | B | chest, abdomen, lower extremities | orange-like skin, edema | Yes | R-CHOP | CR |
| Nishiyama et al. [17] | Japan | 67/F | B | generalized | indurated plaques, edema | Yes | CHOP | PR |
| Wolter et al. [30] | Vietnam | 64/F | B | trunk, lower limbs | N/A | Yes | corticosteroids | Death |
| Eros et al. [14] | Hungary | 74/F | B | entire body | panniculitis-like lesions, orange-like skin, edema | Yes | PUVA therapy | CR |
| Eto et al. [31] | Japan | 73/F | B | generalized | N/A | Yes | chemotherapy | Death |
| Sanna et al. [15] | Switzerland | 84/F | B | widespread | panniculities-like lymphedema | N/A | polychemotherapy | CR |
| Ozguroglu et al. [34] | turkey | 60/F | B | trunk | violaceous, infiltrated plaques | No | CHOP | PR |
| Walker et al. [24] | Germany | 46/F | B | face, trunk | edema | Yes | cyclophospha | Death |
| Perniciarc et al. [43] | America | 84/M | B | legs, thighs | redness of the legs, edema | No | CHOP | PR |
| Wilson et al. [35] | America | 60/F | B | abdomen, thighs | induration of skin, edema | No | N/A | N/A |
| Weichert et al. [36] | Canada | 73/M | B | lower abdomen, thighs | induration of skin | No | CHOP | C |
| Wahie et al. [37] | England | 59/F | B | flanks, tights, lower abdomen | painful, indurated erythematous rash | No | R-CHOP | Death |
| Matsue et al. [28] | Japan | 73/M | N/A | N/A | N/A | No | N/A | N/A |
| Han et al. [38] | America | 81/M | B | bilateral thighs, waist, lower back | eruptions, patches, plaques | No | rituximab | CR |
| Sanchez-Cano et al. [45] | Spain | 60/F | B | neck, thorax, back | lupus erythematosus skin lesion | Yes | R-CHOP | Death |
| Chuffart et al. [16] | France | 80/F | B | thighs, abdomen | panniculitis-like skin lesions | N/A | R-CHOP | PR |
| Johanna et al. [44] | Spain | 91/F | B | chest , back, abdomen | edema | N/A | N/A | PR |
Disclaimer/Publisher’s Note: The statements, opinions and data contained in all publications are solely those of the individual author(s) and contributor(s) and not of MDPI and/or the editor(s). MDPI and/or the editor(s) disclaim responsibility for any injury to people or property resulting from any ideas, methods, instructions or products referred to in the content. |
© 2024 by the authors. Licensee MDPI, Basel, Switzerland. This article is an open access article distributed under the terms and conditions of the Creative Commons Attribution (CC BY) license (https://creativecommons.org/licenses/by/4.0/).
Share and Cite
Zhang, W.; Tang, Y. Generalized Telangiectasia as a Hallmark of Intravascular Lymphoma: A Case Report and Literature Review. Healthcare 2024, 12, 1455. https://doi.org/10.3390/healthcare12141455
Zhang W, Tang Y. Generalized Telangiectasia as a Hallmark of Intravascular Lymphoma: A Case Report and Literature Review. Healthcare. 2024; 12(14):1455. https://doi.org/10.3390/healthcare12141455
Chicago/Turabian StyleZhang, Weiwei, and Ying Tang. 2024. "Generalized Telangiectasia as a Hallmark of Intravascular Lymphoma: A Case Report and Literature Review" Healthcare 12, no. 14: 1455. https://doi.org/10.3390/healthcare12141455
APA StyleZhang, W., & Tang, Y. (2024). Generalized Telangiectasia as a Hallmark of Intravascular Lymphoma: A Case Report and Literature Review. Healthcare, 12(14), 1455. https://doi.org/10.3390/healthcare12141455
