Inflatable Penile Prosthesis Complication in the Emergency Department
Abstract
1. Introduction
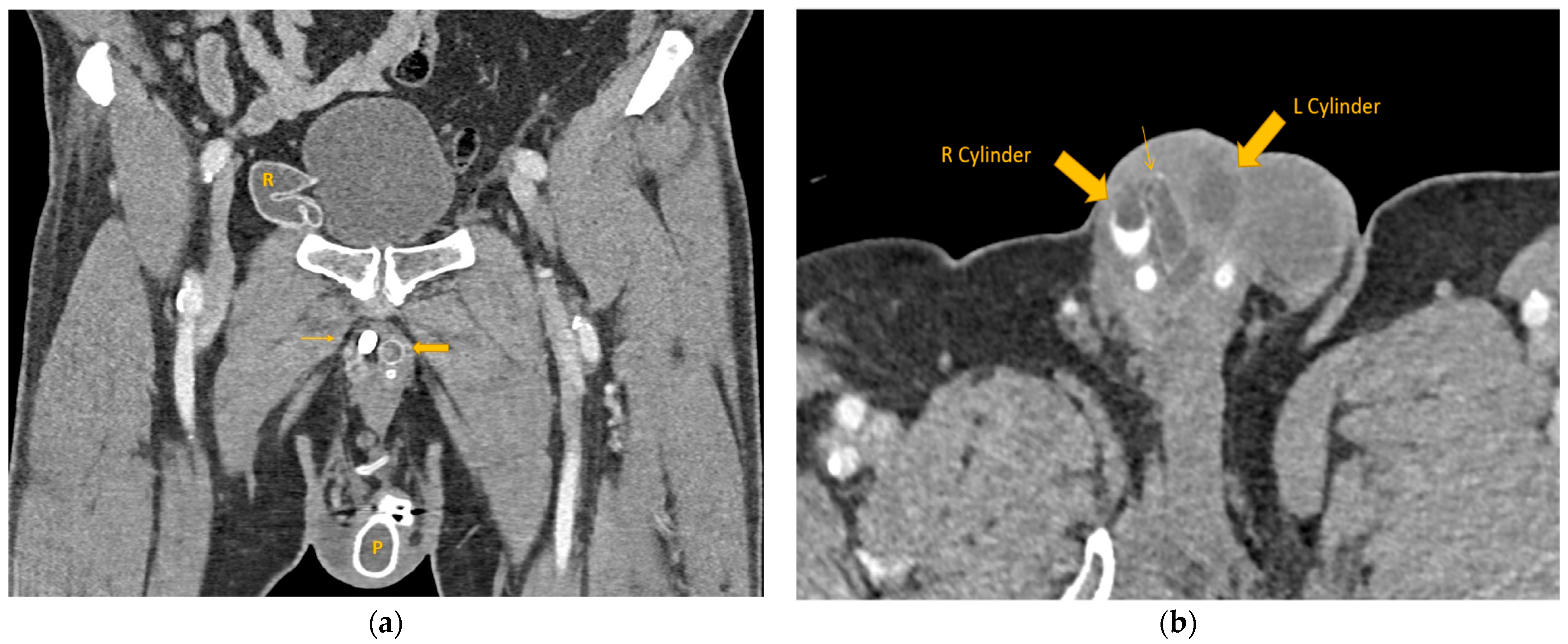
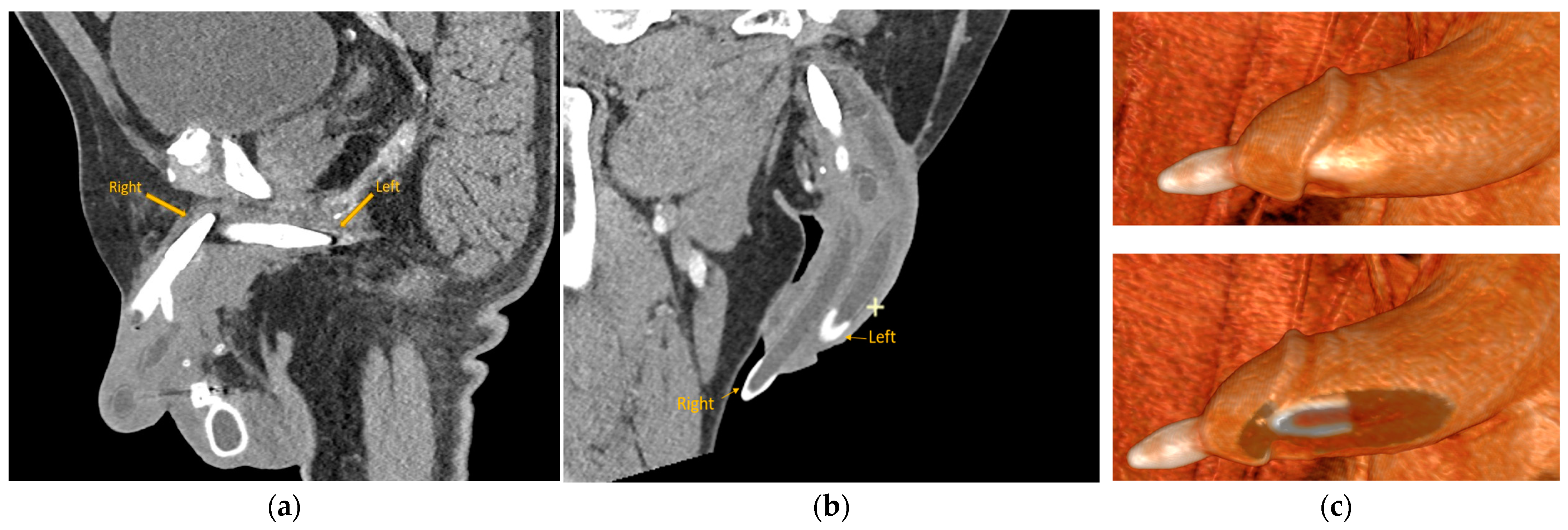
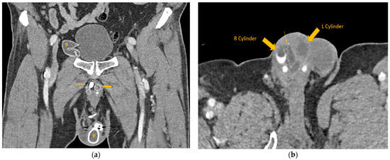
2. Case Report
3. Discussion
3.1. Mechanical Failure
3.2. Malpositioning
3.3. Infection
4. Conclusions
Author Contributions
Funding
Institutional Review Board Statement
Informed Consent Statement
Data Availability Statement
Conflicts of Interest
References
- Gurtner, K.; Saltzman, A.; Hebert, K.; Laborde, E. Erectile Dysfunction: A Review of Historical Treatments With a Focus on the Development of the Inflatable Penile Prosthesis. Am. J. Men’s Health 2017, 11, 479–486. [Google Scholar] [CrossRef]
- Ramanathan, S.; Bertolotto, M.; Shamsodini, A.; Heidous MAl Dogra, V.; Ramchandani, P. Introduction to imaging of penile prostheses: A primer for the radiologist. Am. J. Roentgenol. 2018, 210, 1192–1199. [Google Scholar] [CrossRef]
- Chorney, E.T.; Ramchandani, P.; Jaffe, W.I.; Siegelman, E.S. CT and MR imaging features of artificial urinary sphincters, penile prostheses, and other devices in the male lower genitourinary tract. Radiographics 2018, 38, 794–805. [Google Scholar] [CrossRef] [PubMed]
- Uski, A.C.V.R.; Piccolo, L.M.; Abud, C.P.; Pedroso, M.H.N.I.; Seidel Albuquerque, K.; Gomes, N.B.N.; Fernandes, J.D.Á. MRI of Penile Prostheses: The Challenge of Diagnosing Postsurgical Complications. Radiographics 2022, 42, 159–175. [Google Scholar] [CrossRef] [PubMed]
- Ramanathan, S.; Bertolotto, M.; Shamsodini, A.; Heidous, M.; Dogra, V.; Ramchandani, P. Comprehensive multimodality imaging review of complications of penile prostheses. Am. J. Roentgenol. 2018, 210, 1200–1207. [Google Scholar] [CrossRef]
- Carlos, E.C.; Sexton, S.J.; Lentz, A.C. Urethral Injury and the Penile Prosthesis. Sex. Med. Rev. 2019, 7, 360–368. [Google Scholar] [CrossRef] [PubMed]
- Chou, H.L.; Mohsen, N.A.; Garber, B.B.; Feldstein, D.C. CT imaging of inflatable penile prosthesis complications: A pictorial essay. Abdom. Radiol. 2019, 44, 739–748. [Google Scholar] [CrossRef]



Disclaimer/Publisher’s Note: The statements, opinions and data contained in all publications are solely those of the individual author(s) and contributor(s) and not of MDPI and/or the editor(s). MDPI and/or the editor(s) disclaim responsibility for any injury to people or property resulting from any ideas, methods, instructions or products referred to in the content. |
© 2024 by the authors. Licensee MDPI, Basel, Switzerland. This article is an open access article distributed under the terms and conditions of the Creative Commons Attribution (CC BY) license (https://creativecommons.org/licenses/by/4.0/).
Share and Cite
Sedaghat, F.; Kamona, A. Inflatable Penile Prosthesis Complication in the Emergency Department. Healthcare 2024, 12, 964. https://doi.org/10.3390/healthcare12100964
Sedaghat F, Kamona A. Inflatable Penile Prosthesis Complication in the Emergency Department. Healthcare. 2024; 12(10):964. https://doi.org/10.3390/healthcare12100964
Chicago/Turabian StyleSedaghat, Farzad, and Aws Kamona. 2024. "Inflatable Penile Prosthesis Complication in the Emergency Department" Healthcare 12, no. 10: 964. https://doi.org/10.3390/healthcare12100964
APA StyleSedaghat, F., & Kamona, A. (2024). Inflatable Penile Prosthesis Complication in the Emergency Department. Healthcare, 12(10), 964. https://doi.org/10.3390/healthcare12100964

