Computer-Aided Design/Computer-Aided Manufacturing of Customized Abutment for Rehabilitating a Malpositioned Implant Using Digital Flow: A Case Report
Abstract
1. Introduction
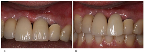
2. Case Report
3. Discussion
4. Conclusions
Author Contributions
Funding
Institutional Review Board Statement
Informed Consent Statement
Data Availability Statement
Acknowledgments
Conflicts of Interest
References
- Yilmaz, B.; Ozcelik, B.T.; Sarantopoulos, D.M.; McGlumphy, E. Importance of CT scans in diagnosing symptoms from misplaced implants. Implant. Dent. 2012, 10, 108–111. [Google Scholar] [CrossRef] [PubMed]
- Askary, A.S.; Meffert, R.M.; Griffin, T. Why do dental implants fail? Part I. Implant. Dent. 1999, 8, 173–185. [Google Scholar] [CrossRef] [PubMed]
- Askary, A.S.; Meffert, R.M.; Griffin, T. Why do dental implants fail? Part II. Implant. Dent. 1999, 8, 265–277. [Google Scholar] [CrossRef] [PubMed]
- Grunder, U.; Gracis, S.; Capelli, M. Influence of 3-D bone to implant relationship on esthetic. Int. J. Periodontics Restor. Dent. 2005, 25, 113–119. [Google Scholar]
- Gualini, F.; Berglundh, T. Immunohistochemical characteristics of inflammatory lesions at implants. J. Clin. Periodontol. 2003, 30, 14–18. [Google Scholar] [CrossRef]
- Avila, E.D.; Molon, R.S.; Barros-Filho, L.A.; Andrade, M.F.; Mollo, F.A.J.; Barros, L.A. Correction of Malpositioned Implants through Periodontal Surgery and Prosthetic Rehabilitation Using Angled Abutment. Case Rep. Dent. 2014, 2014, 14–18. [Google Scholar]
- Block, M.S.; Emery, R.W.; Cullum, D.R.; Sheikh, A. Implant Placement Is More Accurate Using Dynamic Navigation. J. Oral Maxillofac. Surg. 2017, 75, 1377–1386. [Google Scholar] [CrossRef]
- Chen, W.; Taezi, K.A.A.; Chu, C.H.; Shen, Y.; Wu, J.; Cai, K.; Chen, P.; Tang, C. Accuracy of dental implant placement with a robotic system in partially edentulous patients: A prospective, single-arm clinical trial. Clin. Oral Implants Res. 2023, 34, 707–718. [Google Scholar] [CrossRef]
- Maló, P.; Rangert, B.; Dvärsäter, L. Function concept immediate “All-on-Four” with Brånemark System® Jaw Implants totally edentulous: A study clinical retrospective. Clin. Implant. Dent. Relat. Res. 2003, 5, 2–9. [Google Scholar] [CrossRef]
- Park, S.E.; Silva, D.J.D.; Weber, H.; Ishikawa-Nagai, S. Optical phenomenon of peri-implant soft tissue—Part I: Spectrophotometric assessment of natural tooth gingiva and peri-implant mucosa. Clin. Oral Implant. Res. 2007, 18, 569–574. [Google Scholar] [CrossRef]
- Li, K.; Liu, F.; Liu, P.; Wei, C.; Li, X. Clinical Effect and Aesthetic Evaluation of Minimally Invasive Implant Therapy. Emerg. Med. Int. 2023, 2023, 9917311. [Google Scholar] [CrossRef] [PubMed]
- Corsalini, M.; D’Agostino, S.; Favia, G.; Dolci, M.; Tempesta, A.; Di Venere, D.; Limongelli, L.; Capodiferro, S. A Minimally Invasive Technique for Short Spiral Implant Insertion with Contextual Crestal Sinus Lifting in the Atrophic Maxilla: A Preliminary Report. Healthcare 2020, 9, 11. [Google Scholar] [CrossRef] [PubMed]
- Smitkarn, P.; Subbalekha, K.; Mattheos, N.; Pimkhaokham, A. The accuracy of single-tooth implants placed using fully digital-guided surgery and freehand implant surgery. J. Clin. Periodontol. 2019, 46, 949–957. [Google Scholar] [CrossRef] [PubMed]
- Kapos, T.; Evans, C. CAD/CAM technology for implant abutments, crowns, and superstructures. Int. J. Oral. Maxillofac. Implants 2014, 29, 117–136. [Google Scholar] [CrossRef] [PubMed]
- Joda, T.; Wittneben, J.G.; Brägger, U. Digital implant impressions with the “Individualized Scanbody Technique” for emergence profile support. Clin. Oral Implants Res. 2014, 25, 395–397. [Google Scholar] [CrossRef]
- Morton, D.; Chen, S.T.; Martin, W.C.; Levine, R.A.; Buser, D. Consensus statements and recommended clinical procedures regarding optimizing esthetic outcomes in implant dentistry. Int. J. Oral Maxillofac. Implants 2014, 29, 216–220. [Google Scholar] [CrossRef]
- Lops, D.; Parpaiola, A.; Paniz, G.; Sbricoli, L.; Magaz, V.R.; Venezze, A.C.; Bressan, E.; Stellini, E. Interproximal Papilla Stability Around CAD/CAM and Stock Abutments in Anterior Regions: A 2-Year Prospective Multicenter Cohort Study. Int. J. Periodontics Restor. Dent. 2017, 37, 657–665. [Google Scholar] [CrossRef][Green Version]
- Marchack, C.B. A custom titanium abutment for the anterior single-tooth implant. J. Prosthet. Dent. 1996, 76, 288–291. [Google Scholar] [CrossRef]
- Benic, G.I.; Mir-Mari, J.; Hammerle, C.H.F. Loading Protocols for Single-Implant Crowns: A Systematic Review and Meta-Analysis. Int. J. Oral Maxillofac. Implants 2014, 29, 222–238. [Google Scholar] [CrossRef]
- Neves, F.D.; Silveira-Júnior, C.D.; Coró, V.; Silva-Neto, J.P.; Simamoto-Júnior, P.C.; Prado, C.J. Gingival conditioning in an implant-supported prosthesis: A clinical report. J. Oral Implantol. 2013, 39, 483–485. [Google Scholar] [CrossRef]
- Mishra, S.K.; Chowdhary, R.; Chrcanovic, B.R.; Brånemark, P.I. Osseoperception in Dental Implants: A Systematic Review. J. Prosthodont. 2016, 25, 185–195. [Google Scholar] [CrossRef] [PubMed]
- Bornstein, M.M.; Balsiger, R.; Sendi, P.; von Arx, T. Morphology of the nasopalatine canal and dental implant surgery: A radiographic analysis of 100 consecutive patients using limited cone-beam computed tomography. Clin. Oral Implants Res. 2011, 22, 295–301. [Google Scholar] [CrossRef] [PubMed]
- Grunder, U. Crestal ridge width changes when placing implants at the time of tooth extraction with and without soft tissue augmentation after a healing period of 6 months: Report of 24 consecutive cases. Int. J. Periodontics Restor. Dent. 2011, 31, 9–17. [Google Scholar]
- Arora, H.; Ivanovski, S. Clinical and aesthetic outcomes of immediately placed single-tooth implants with immediate vs. delayed restoration in the anterior maxilla: A retrospective cohort study. Clin. Oral Implants Res. 2018, 29, 346–352. [Google Scholar] [PubMed]
- De Rouck, T.; Collys, K.; Cosyn, J. Single-tooth replacement in the anterior maxilla by means of immediate implantation and provisionalization: A review. Int. J. Oral Maxillofac. Implants. 2008, 23, 897–904. [Google Scholar]
- Santosa, R.E. Provisional restoration options in implant dentistry. Aust. Dent. J. 2007, 52, 234–254. [Google Scholar] [CrossRef]
- Priest, G. Esthetic potential of single-implant provisional restorations: Selection criteria of available alternatives. J. Esthet. Restor. Tooth. 2006, 18, 326–339. [Google Scholar] [CrossRef]
- Berroeta, E.; Zabalegui, I.; Donovan, T.; Chee, W. Dynamic Abutment: A method of redirecting screw access for implant-supported restorations: Technical details and a clinical report. J. Prosthet. Dent. 2015, 113, 516–519. [Google Scholar] [CrossRef]
- Cavallaro, J., Jr.; Greenstein, G. Angled implant abutments: A practical application of available knowledge. J. Am. Dent. Assoc. 2011, 142, 150–158. [Google Scholar] [CrossRef]
- Ha, C.Y.; Lim, Y.J.; Kim, M.J.; Choi, J.H. The influence of abutment angulation on screw loosening of implants in the anterior maxilla. Int. J. Oral Maxillofac. Implants 2011, 26, 45–55. [Google Scholar]
- Imakita, C.; Shiota, M.; Yamaguchi, Y.; Kasugai, S.; Wakabayashi, N. Failure analysis of an abutment fracture on single implant restoration. Implant Dent. 2013, 15, 326–331. [Google Scholar] [CrossRef] [PubMed]
- Kitamura, E.; Stegaroiu, R.; Nomura, S.; Miyakawa, O. Biomechanical aspects of marginal bone resorption around osseointegrated implants: Considerations based on a three-dimensional finite element analysis. Clin. Oral Implants Res. 2004, 15, 401–412. [Google Scholar] [CrossRef] [PubMed]
- Rungtanakiat, P.; Thitaphanich, N.; Chengprapakorn, W.; Janda, M.; Arksornnukit, M.; Mattheos, N. Association of prosthetic angles of the Implant Supracrestal Complex with peri-implant tissue mucositis. Clin. Exp. Dent. Res. 2023, 3, 425–436. [Google Scholar] [CrossRef] [PubMed]
- Naert, I.; Duyck, J.; Vandamme, K. Occlusal overload and bone/implant loss. Clin. Oral Implants Res. 2012, 23, 95–107. [Google Scholar] [CrossRef]
- Di Fiore, A.; Montagner, M.; Sivolella, S.; Stellini, E.; Yilmaz, B.; Brunello, G. Peri-Implant Bone Loss and Overload: A Systematic Review Focusing on Occlusal Analysis through Digital and Analogic Methods. J. Clin. Med. 2022, 11, 4812. [Google Scholar] [CrossRef]
- França, D.G.; Morais, M.H.; das Neves, F.D.; Barbosa, G.A. Influence of CAD/CAM on the fit accuracy of implant-supported zirconia and cobalt-chromium fixed dental prostheses. J. Prosthet. Dent. 2015, 113, 22–28. [Google Scholar] [CrossRef]
- Neves, F.D.; Prado, C.J.; Prudente, M.S.; Carneiro, T.A.; Zancopé, K.; Davi, L.R. Micro-computed tomography evaluation of marginal fit of lithium disilicate crowns fabricated by using chairside CAD/CAM systems or the heat-pressing technique. J. Prosthet. Dent. 2014, 112, 1134–1140. [Google Scholar] [CrossRef]
- das Neves, F.D.; de Almeida, T.A.P.N.; do Prado, C.J.; Prudente, M.S.; Zancopé, K.; Davi, L.R. Micrometric precision of prosthetic dental crowns obtained by optical scanning and computer-aided design/computer-aided manufacturing system. J. Prosthet. Dent. 2014, 19, 088003. [Google Scholar]
- das Neves, F.D.; do Prado, C.J.; Prudente, M.S.; Carneiro, T.A.; Zancope, K.; Davi, L.R. Microcomputed tomography marginal fit evaluation of computer-aided design/computer-aided manufacturing crowns with different methods of virtual model acquisition. Gen. Dent. 2015, 63, 39–42. [Google Scholar]
- Carneiro, T.A.P.N.; Prado, C.J.; Prudente, M.S.; Zancope, K.; Davi, L.R.; Mendonca, G.; Cooper, L.F.; Soares, C.J.; Neves, F.D. Micro CT analysis of in-office computer aided designed/computer aided manufactured dental restorations. Comput. Methods Biomech. Biomed. Eng. Imaging Vis. 2016, 6, 68–73. [Google Scholar] [CrossRef]
- Fuster-Torres, M.A.; Albalat-Estela, S.; Alcañiz-Raya, M.; Peñarrocha-Diago, M. CAD/CAM dental systems in implant dentistry: Update. Med. Oral Patol. Oral Cirugía Bucal 2009, 14, 141–145. [Google Scholar]
- Patel, N. Integrating three-dimensional digital technologies for comprehensive implant dentistry. J. Am. Dent. Assoc. 2010, 141, 20S–24S. [Google Scholar] [CrossRef] [PubMed]
- Drago, C.; Saldarriaga, R.L.; Domagala, D.; Almasri, R. Volumetric determination of the amount of misfit in CAD/CAM and cast implant frameworks: A multicenter laboratory study. J. Am. Int. J. Oral Maxillofac. Implants 2010, 25, 920–929. [Google Scholar]
- Abduo, J.; Lyons, K.; Bennani, V.; Waddell, N.; Swain, M. Fit of screw-retained fixed implant frameworks fabricated by different methods: A systematic review. Int. J. Prosthodont. 2011, 24, 207–220. [Google Scholar]
- Wesemann, C.; Muallah, J.; Mah, J.; Bumann, A. Accuracy and efficiency of full-arch digitalization and 3D printing: A comparison between desktop model scanners, an intraoral scanner, a CBCT model scan, and stereolithographic 3D printing. Quintessence Int. 2017, 48, 41–50. [Google Scholar]
- Eftekhar, A.R.; Nasiri, K.L.; Mahshid, M.; Moshaverinia, A. Comparison of dimensional accuracy of conventionally and digitally manufactured intracoronal restorations. J. Prosthet. Dent. 2017, 119, 233–238. [Google Scholar] [CrossRef]
- Kim, D.Y.; Lee, H.N.; Kim, J.H.; Kim, H.Y.; Kim, W.C. Evaluation of marginal and internal gaps in single and three-unit metal frameworks made by micro-stereolithography. J. Adv. Prosthodont. 2017, 9, 239–243. [Google Scholar] [CrossRef]
- Revilla-León, M.; Gonzalez-Martín, Ó.; Pérez López, J.; Sánchez-Rubio, J.L.; Özcan, M. Position Accuracy of Implant Analogs on 3D Printed Polymer versus Conventional Dental Stone Casts Measured Using a Coordinate Measuring Machine. J. Prosthodont. 2018, 27, 560–567. [Google Scholar] [CrossRef]
- Tomita, Y.; Uechi, J.; Konno, M.; Sasamoto, S.; Iijima, M.; Mizoguchi, I. Accuracy of digital models generated by conventional impression/plaster-model methods and intraoral scanning. Dent. Mater. J. 2018, 37, 628–633. [Google Scholar] [CrossRef]
- Deeb, G.R.; Allen, R.K.; Hall, V.P.; Whitley, D., 3rd; Laskin, D.M.; Bencharit, S. How Accurate Are Implant Surgical Guides Produced With Desktop Stereolithographic 3-Dimentional Printers? J. Oral Maxillofac. Surg. 2017, 75, 2559.e1–2559.e8. [Google Scholar] [CrossRef]
- Mangano, F.; Gandolfi, A.; Luongo, G.; Logozzo, S. Intraoral scanners in dentistry: Review of the current literature. BMC Oral Health 2017, 17, 149. [Google Scholar] [CrossRef] [PubMed]
- Chen, Z.; Li, J.; Ceolin-Meneghetti, P.; Galli, M.; Mendonça, G.; Wang, H.L. Does guided level (fully or partially) influence implant placement accuracy at post-extraction sockets and healed sites? An in vitro study. Clin. Oral Investig. 2022, 26, 5449–5458. [Google Scholar] [CrossRef] [PubMed]







Disclaimer/Publisher’s Note: The statements, opinions and data contained in all publications are solely those of the individual author(s) and contributor(s) and not of MDPI and/or the editor(s). MDPI and/or the editor(s) disclaim responsibility for any injury to people or property resulting from any ideas, methods, instructions or products referred to in the content. |
© 2023 by the authors. Licensee MDPI, Basel, Switzerland. This article is an open access article distributed under the terms and conditions of the Creative Commons Attribution (CC BY) license (https://creativecommons.org/licenses/by/4.0/).
Share and Cite
Lopo Barros, J.H.; Oliveira, M.N.d.; Cardoso, I.O.; Oliveira, G.J.P.L.d.; Prado, C.J.d.; Neves, F.D.D. Computer-Aided Design/Computer-Aided Manufacturing of Customized Abutment for Rehabilitating a Malpositioned Implant Using Digital Flow: A Case Report. Healthcare 2023, 11, 2472. https://doi.org/10.3390/healthcare11182472
Lopo Barros JH, Oliveira MNd, Cardoso IO, Oliveira GJPLd, Prado CJd, Neves FDD. Computer-Aided Design/Computer-Aided Manufacturing of Customized Abutment for Rehabilitating a Malpositioned Implant Using Digital Flow: A Case Report. Healthcare. 2023; 11(18):2472. https://doi.org/10.3390/healthcare11182472
Chicago/Turabian StyleLopo Barros, José Henrique, Murilo Navarro de Oliveira, Igor Oliveiros Cardoso, Guilherme José Pimentel Lopes de Oliveira, Célio Jesus do Prado, and Flávio Domingues Das Neves. 2023. "Computer-Aided Design/Computer-Aided Manufacturing of Customized Abutment for Rehabilitating a Malpositioned Implant Using Digital Flow: A Case Report" Healthcare 11, no. 18: 2472. https://doi.org/10.3390/healthcare11182472
APA StyleLopo Barros, J. H., Oliveira, M. N. d., Cardoso, I. O., Oliveira, G. J. P. L. d., Prado, C. J. d., & Neves, F. D. D. (2023). Computer-Aided Design/Computer-Aided Manufacturing of Customized Abutment for Rehabilitating a Malpositioned Implant Using Digital Flow: A Case Report. Healthcare, 11(18), 2472. https://doi.org/10.3390/healthcare11182472
