Assessment of the Extent of Intracerebral Hemorrhage Using 3D Modeling Technology
Abstract
:1. Introduction
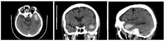
1.1. Intracerebral Hemorrhage
1.2. Three-Dimensional Modeling
1.3. Animation
2. Methodology
- 3D Slicer (version 4.9.0)—obtaining 3D brain models from patients’ CT scans;
- Blender (version 2.78c)—model improvement and animation;
- Visual Studio 2017, using Windows Presentation Foundation (WPF), C# programming language and XAML—development of simply application;
- Autodesk Meshmixer—obtaining cross-sectional images;
- Jupyter, using the Python 3.6 programming language—model quality analysis.
2.1. Examination of Dataset and Possible Solutions
2.2. Determining the Project Assumptions
2.3. Multi-Criteria Analysis
- k—number of objective functions;
- x—solutions vector;
- —weighted coefficients; i = 1, …, n; expressed as Formula (2):
- Column a—assessment of fulfillment of the criterion by each variant, assigning a value between 1 and 5 (where 1 does not meet the criterion);
- Column b—calculation of the significance ratio of the criterion with the value in column a;
- Variant evaluation—summed up values from column b;
- Value—the percentage value of the significance of the solution relative to the ideal solution.
- Solution 2—the worst accuracy, because of the semi-automatic segmentation. Using the level tracing tool, by moving the mouse, a user defines an outline where the pixels all have the same background value as the current background pixel, which, in the case of noise, results in the appearance of a significant number of misclassified elements and extends the time needed to create the model—various corrections must be made;
- Solution 3—the need to use a large number of images (the number of which in this project is limited)—the number of CT scans needed to train a UNet model for segmentation depends on several factors, such as the complexity of the structures to be segmented, the quality of the annotations, and the size of the network. In general, more data is better, as this allows the network to learn more comprehensive features. As a rough estimate, it is not uncommon to use hundreds or even thousands of CT scans to train a UNet model for medical image segmentation. Moreover, more computing power is needed than in the case of manual segmentation.
- Image processing—techniques such as checking the resolution of data set images, defining the region of interest (ROI), denoising, or filtering can be used to reduce noise or artifacts in the images before segmentation;
- Correction of topological errors—can be used to fill in missing data or resolve inconsistencies;
- Quality control—measures such as review of the segmentation results by an expert or similarity metrics can be used to identify and correct errors or inconsistencies in the segmentation process;
- Expert knowledge—expert knowledge about the anatomy or pathology being segmented can be used to inform the manual segmentation process and correct for any image defects or anomalies.
2.4. Designing 3D Models
2.4.1. Image Pre-Processing
2.4.2. Segmentation
- Initialization—the user selects one or more seed points in the image, which serve as starting points for the segmentation process;
- Segmentation growth—the algorithm then grows the segmentation region from the seed points based on some criterion, such as intensity, color, or texture;
- Termination—the segmentation process terminates when the region has reached a specified size, or when it reaches a boundary defined by a stopping criterion, such as an intensity gradient or a boundary in the image.
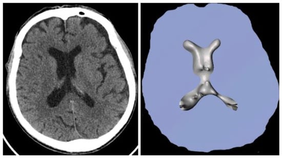
2.4.3. Model Creation and Visualization
2.4.4. Model Correction and Export
2.4.5. Model Refinement and Animation
2.5. Developing the Application
- Scientific and medical visualization—applications are used to visualize and analyze medical and scientific data, such as CT scans, MRI scans, and microscopy images. This allows researchers and medical professionals to understand complex 3D structures better and to identify patterns and relationships that are not easily apparent in 2D images;
- Education and training—applications are used in educational and training settings to visualize 3D structures and systems, such as anatomy and biology, and to help learners understand complex concepts better.
- The first window, with the animated brain model, opens after starting the application and allows the user to go to the functional part of the program (Figure 9);
- Patient window—the user can select the patient’s brain model to be visualized (Figure 10);
- Selection window—this allows the user to go to the next application modules (Figure 11);
- The fourth window is designed to visualize and to manipulate the brain model and its components in three dimensions (Figure 12).
2.6. Model Quality Analysis
- x—individual value;
- —the arithmetic mean of the values;
- n—number of values.
3. Discussion
4. Conclusions and Outlook
- Manual segmentation: time-consuming—can be a slow and labor-intensive process, especially for large and complex models. Lack of reproducibility—can be subjective and may vary from operator to operator, making it difficult to reproduce results and compare results from different studies. Limited scalability—not well-suited for large-scale studies or for creating models for very large data sets, as it can become impractical to perform manually for such large data sets. Operator dependence—the quality of the manual segmentation can depend heavily on the skill and experience of the operator, making it difficult to ensure consistent results across different studies and operators;
- Semi-automated segmentation: dependence on initial segmentation—the quality of the final segmentation result depends heavily on the quality of the initial segmentation provided by the automated algorithm. If the initial segmentation is poor, it can be difficult to correct or improve it through human interaction. Limited automation—while semi-automated segmentation provides some benefits of automation, it still requires human interaction to refine the segmentation. This can still be time-consuming and may not always be practical for large data sets or for situations where speed is of the essence. User bias—the human operator can influence the final segmentation result, potentially introducing bias or subjective judgment into the process. This can affect the accuracy and reproducibility of the segmentation. Lack of standardization—there is currently no standard method for performing semi-automated segmentation, making it difficult to compare results from different studies and to ensure consistent results across different operators;
- Fully automated segmentation: lack of flexibility—automated algorithms may not be able to adapt to variations in the data or to the specific requirements of a particular task, leading to sub-optimal results in some cases. Limited accuracy—automated algorithms can be limited by the quality and availability of training data, and may not always produce accurate results. In some cases, manual correction may still be necessary to obtain an acceptable level of accuracy. Uninterpretable results—automated algorithms can be difficult to interpret and understand, making it challenging to assess the quality of the segmentation and to diagnose and correct errors. Lack of control—with fully-automated segmentation, the user has limited control over the segmentation process, making it difficult to make specific adjustments or to correct errors. Generalizability—automated algorithms may not generalize well to new data or to different imaging modalities, leading to sub-optimal results in these cases. Computational resources—automated segmentation algorithms can be computationally intensive, requiring significant processing power and memory, making it challenging to perform on large or complex data sets.
Author Contributions
Funding
Institutional Review Board Statement
Informed Consent Statement
Data Availability Statement
Acknowledgments
Conflicts of Interest
References
- An, S.J.; Kim, T.J.; Yoon, B.W. Epidemiology, Risk Factors, and Clinical Features of Intracerebral Hemorrhage: An Update. Stroke 2017, 19, 3–10. [Google Scholar] [CrossRef] [PubMed]
- Rymer, M.M. Hemorrhagic Stroke: Intracerebral Hemorrhage. Mo. Med. 2011, 108, 50–54. [Google Scholar] [PubMed]
- Alfredo Caceres, J.; Goldstein, J.N. Intracranial Hemorrhage, Massachusetts General Hospital Department of Emergency Medicine Zero Emerson Place. Emerg. Med. Clin. N. Am. 2012, 30, 771–794. [Google Scholar] [CrossRef]
- Broderick, J.P.; Brott, T.G.; Duldner, J.E.; Tomsick, T.; Huster, G. Volume of intracerebral hemorrhage. A powerful and easy-to-use predictor of 30-day mortality. Stroke 1993, 24, 987–993. [Google Scholar] [CrossRef]
- Fogelholm, R.; Murros, K.; Rissanen, A.; Avikainen, S. Long term survival after primary intracerebral haemorrhage: A retrospective population based study. J. Neurol. Neurosurg. Psychiatry 2005, 76, 1534–1538. [Google Scholar] [CrossRef] [PubMed]
- Hemphill, J.C., III; Bonovich, D.C.; Besmertis, L.; Manley, G.T.; Johnston, S.C. The ICH score: A simple, reliable grading scale for intracerebral hemorrhage. Stroke 2001, 32, 891–897. [Google Scholar] [CrossRef] [PubMed]
- Broderick, J.; Connolly, S.; Feldmann, E.; Hanley, D.; Kase, C.; Krieger, D.; Mayberg, M.; Morgenstern, L.; Ogilvy, C.S.; Vespa, P.; et al. Guidelines for the management of spontaneous intracerebral hemorrhage in adults: 2007 update: A guideline from the American Heart Association/American Stroke Association Stroke Council, High Blood Pressure Research Council, and the Quality of Care and Outcomes in Research Interdisciplinary Working group. Stroke 2007, 38, 2001–2023. [Google Scholar]
- Mayer, S.A.; Rincon, F. Treatment of intracerebral haemorrhage. Lancet Neurol. 2005, 4, 662–672. [Google Scholar] [CrossRef]
- Rajashekar, D.; Liang, J.W. Intracerebral Hemorrhage, [Updated 10 February 2022]. In StatPearls [Internet]; StatPearls Publishing: Treasure Island, FL, USA, 2022. Available online: https://www.ncbi.nlm.nih.gov/books/NBK553103/ (accessed on 14 June 2023).
- Flower, O.; Smith, M. The acute management of intracerebral hemorrhage. Curr. Opin. Crit. Care 2011, 17, 106–114. [Google Scholar] [CrossRef]
- Hemphill, J.C.; Greenberg, S.M.; Anderson, C.S.; Becker, K.; Bendok, B.R.; Cushman, M.; Fung, G.L.; Goldstein, J.N.; Macdonald, R.L.; Mitchell, P.H.; et al. Guidelines for the Management of Spontaneous Intracerebral Hemorrhage: A Guideline for Healthcare Professionals From the American Heart Association/American Stroke Association. Stroke 2015, 46, 2032–2060. [Google Scholar] [CrossRef]
- Remondino, F.; El-Hakim, S. Image-based 3D modelling: A review. Photogramm. Rec. 2006, 21, 269–291. [Google Scholar] [CrossRef]
- Abramova, V.; Clerigues, A.; Quiles, A.; Figueredo, D.G.; Silva, Y.; Pedraza, S.; Oliver, A.; Lladó, X. Hemorrhagic stroke lesion segmentation using a 3D U-Net with squeeze-and-excitation blocks. Comput. Med. Imaging Graph. 2021, 90, 101908. [Google Scholar] [CrossRef] [PubMed]
- de Oliveira Manoel, A.L.; Goffi, A.; Zampieri, F.G.; Turkel-Parrella, D.; Duggal, A.; Marotta, T.R.; Macdonald, R.L.; Abrahamson, S. The critical care management of spontaneous intracranial hemorrhage: A contemporary review. Crit. Care 2016, 20, 272. [Google Scholar] [CrossRef] [PubMed]
- Vernon, T.; Peckham, D. The benefits of 3D modelling and animation in medical teaching. J. Audiov. Media Med. 2003, 25, 142–148. [Google Scholar] [CrossRef] [PubMed]
- Battulga, B.; Konishi, T.; Tamura, Y.; Moriguchi, H. The Effectiveness of an Interactive 3-Dimensional Computer Graphics Model for Medical Education. Interact. J. Med. Res. 2012, 1, e2172. [Google Scholar] [CrossRef] [PubMed]
- Alfares, H.K.; Duffuaa, S.O. Simulation-based evaluation of criteria rank-weighting methods in multi-criteria decision-making. Int. J. Inf. Technol. Decis. Mak. 2016, 15, 43–61. [Google Scholar] [CrossRef]
- Wang, J.J.; Jing, Y.Y.; Zhang, C.F.; Zhao, J.H. Review on multi-criteria decision analysis aid in sustainable energy decision making. Renew. Sustain. Energy Rev. 2009, 13, 2263–2278. [Google Scholar] [CrossRef]
- Ginevicius, R. A new determining method for the criteria weights in multicriteria evaluation. Int. J. Inf. Technol. Decis. Mak. 2011, 10, 1067–1095. [Google Scholar] [CrossRef]
- Mrówczyńska, B. Comparison of pareto efficiency and weighted objectives method to solve the multi-criteria vehicle routing problem using the artificial immune system. Appl. Comput. Sci. 2016, 12, 78–87. [Google Scholar]
- Wang, Y.; Wang, H.; Shen, K.; Chang, J.; Cui, J. Brain CT image segmentation based on 3D slicer. J. Complex. Health Sci. 2020, 3, 34–42. [Google Scholar] [CrossRef]
- Pinter, C.; Lasso, A.; Fichtinger, G. Polymorph segmentation representation for medical image computing. Comput. Methods Programs Biomed. 2019, 171, 19–26. [Google Scholar] [CrossRef]
- Zhu, L.; Kolesov, I.; Gao, Y.; Kikinis, R.; Tannenbaum, A. An Effective Interactive Medical Image Segmentation Method Using Fast GrowCut. In Proceedings of the International Conference on Medical Image Computing and Computer Assisted Intervention (MICCAI), Interactive Medical Image Computing Workshop, Boston, MA, USA, 14–18 September 2014. [Google Scholar]
- Sun, J.; Liang, L.; Wen, F.; Shum, H.Y. Image Vectorization using Optimized Gradient Meshes. ACM Trans. Graph. 2007, 26, 11-es. [Google Scholar] [CrossRef]
- Kim, H.; Jung, J.; Kim, J.; Cho, B.; Kwak, J.; Jang, J.Y.; Lee, S.W.; Lee, J.G.; Yoon, S.M. Abdominal multi-organ auto-segmentation using 3D-patch-based deep convolutional neural network. Sci. Rep. 2020, 10, 6204. [Google Scholar] [CrossRef] [PubMed]
- Rosenhain, S.; Magnuska, Z.A.; Yamoah, G.G.; Rawashdeh, W.; Kiessling, F.; Gremse, F. A preclinical micro-computed tomography database including 3D whole body organ segmentations. Sci. Data 2018, 5, 180294. [Google Scholar] [CrossRef] [PubMed]
- Taha, A.A.; Hanbury, A. Metrics for evaluating 3D medical image segmentation: Analysis, selection, and tool. BMC Med. Imaging 2015, 15, 29. [Google Scholar] [CrossRef] [PubMed]
- Huttenlocher, D.P.; Klanderman, G.A.; Rucklidge, W.J. Comparing Images Using the Hausdorff Distance. IEEE Trans. Pattern Anal. Mach. Intell. 1993, 15, 850–863. [Google Scholar] [CrossRef]
- Sun, Z. 3D printing in medicine: Current applications and future directions. Quant. Imaging Med. Surg. 2018, 8, 1069–1077. [Google Scholar] [CrossRef]
- Chwał, J. Anatomical Heart Model. Bachelor’s Thesis, Silesian University of Technology, Gliwice, Poland, 2019. [Google Scholar]
- Huang, J.; Li, G.; Wang, W.; Wu, K.; Le, T. 3D printing guiding stent graft fenestration: A novel technique for fenestration in endovascular aneurysm repair. Vascular 2017, 25, 442–446. [Google Scholar] [CrossRef]
- Sun, Z.; Ng, C.K.; Squelch, A. Synchrotron radiation computed tomography assessment of calcified plaques and coronary stenosis with different slice thicknesses and beam energies on 3D printed coronary models. Quant. Imaging Med. Surg. 2019, 9, 6. [Google Scholar] [CrossRef]
- Mohankumar, P.; Leong, W.Y. 3D modelling with ct and mri images of a scoliotic vertebrae. J. Eng. Sci. Technol. 2016, 11, 188–198. [Google Scholar]
- Sun, Z.; Aldosari, S. Three-dimensional printing in medicine: Opportunities for development of optimal CT scanning protocols. Australas. Med. J. 2018, 11, 529–532. [Google Scholar] [CrossRef]













| K1 | K2 | K3 | K4 | K5 | K6 | SUM | |
|---|---|---|---|---|---|---|---|
| K1 | X | 0.5 | 0.5 | 1 | 0 | 0.5 | 2.5 |
| K2 | 0.5 | X | 1 | 1 | 0 | 1 | 3.5 |
| K3 | 0.5 | 0 | X | 0.5 | 0 | 0.5 | 1.5 |
| K4 | 0 | 0 | 0.5 | X | 0 | 0.5 | 1 |
| K5 | 1 | 1 | 1 | 1 | X | 1 | 5 |
| K6 | 0.5 | 0 | 0.5 | 0.5 | 0 | X | 1.5 |
| Criteria | Materiality Criteria | Ideal Solution | Solution 1 | Solution 2 | Solution 3 | ||||
|---|---|---|---|---|---|---|---|---|---|
| a | b | a | b | a | b | a | b | ||
| K1 | 2.5 | 5 | 12.5 | 3 | 7.5 | 2 | 5 | 4 | 10 |
| K2 | 3.5 | 5 | 17.5 | 5 | 17.5 | 5 | 17.5 | 2 | 9 |
| K3 | 1.5 | 5 | 7.5 | 5 | 7.5 | 5 | 7.5 | 1 | 1.5 |
| K4 | 1 | 5 | 10 | 4 | 4 | 4 | 4 | 3 | 3 |
| K5 | 5 | 5 | 25 | 4 | 20 | 1 | 5 | 3 | 15 |
| K6 | 1.5 | 5 | 7.5 | 4 | 6 | 4 | 6 | 2 | 3 |
| Variant evaluation | 80 | 62.5 | 45 | 41.5 | |||||
| Value | 100% | 78.125% | 56.25% | 51.875% | |||||
| Sørensen–Dice Similarity Coefficient [%] | Sørensen–Dice Similarity Coefficient—Standard Deviation | Hausdorff Distance [mm] | Hausdorff Distance—Standard Deviation | |
|---|---|---|---|---|
| Model 1 | 91 | 3.20 | ||
| Model 2 | 92 | 3.23 | ||
| Model 3 | 94 | 1.17 | 2.33 | 0.44 |
| Model 4 | 94 | 2.15 | ||
| Model 5 | 93 | 2.60 |
| ICH Volume [cm] after First Diagnosis | ICH Volume [cm] after a Week | Approximate Percentage Change of ICH Volume after Week [%] | |
|---|---|---|---|
| Patient 1 | 17.0607 | 7.7141 | −55 |
| Patient 2 | 76.4668 | 33.1258 | −57 |
| Patient 3 | 17.5321 | 8.2503 | −53 |
| Patient 4 | 8.5965 | 0 | −100 |
| Patient 5 | 52.9358 | 26.0897 | −51 |
Disclaimer/Publisher’s Note: The statements, opinions and data contained in all publications are solely those of the individual author(s) and contributor(s) and not of MDPI and/or the editor(s). MDPI and/or the editor(s) disclaim responsibility for any injury to people or property resulting from any ideas, methods, instructions or products referred to in the content. |
© 2023 by the authors. Licensee MDPI, Basel, Switzerland. This article is an open access article distributed under the terms and conditions of the Creative Commons Attribution (CC BY) license (https://creativecommons.org/licenses/by/4.0/).
Share and Cite
Chwał, J.; Kostka, P.; Tkacz, E. Assessment of the Extent of Intracerebral Hemorrhage Using 3D Modeling Technology. Healthcare 2023, 11, 2441. https://doi.org/10.3390/healthcare11172441
Chwał J, Kostka P, Tkacz E. Assessment of the Extent of Intracerebral Hemorrhage Using 3D Modeling Technology. Healthcare. 2023; 11(17):2441. https://doi.org/10.3390/healthcare11172441
Chicago/Turabian StyleChwał, Joanna, Paweł Kostka, and Ewaryst Tkacz. 2023. "Assessment of the Extent of Intracerebral Hemorrhage Using 3D Modeling Technology" Healthcare 11, no. 17: 2441. https://doi.org/10.3390/healthcare11172441
APA StyleChwał, J., Kostka, P., & Tkacz, E. (2023). Assessment of the Extent of Intracerebral Hemorrhage Using 3D Modeling Technology. Healthcare, 11(17), 2441. https://doi.org/10.3390/healthcare11172441

