Maxillary Impacted Canine and Upper Lateral Incisor Agenesis Treatment with “Canine First Technique” and Clear Aligners: A Case Report
Abstract
:1. Introduction
2. Case Report
2.1. Patient Information
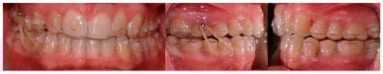
2.2. Clinical Findings
2.3. Diagnostic Assessment
2.4. Therapeutic Interventions
2.5. Follow-Up and Outcomes
3. Discussion
4. Conclusions
Author Contributions
Funding
Institutional Review Board Statement
Informed Consent Statement
Data Availability Statement
Conflicts of Interest
References
- Madariaga, A.C.P.; Bucci, R.; Rongo, R.; Simeon, V.; D’Antò, V.; Valletta, R. Impact of Fixed Orthodontic Appliance and Clear Aligners on the Periodontal Health: A Prospective Clinical Study. Dent. J. 2020, 8, 4. [Google Scholar] [CrossRef] [PubMed]
- D’Antò, V.; Bucci, R.; De Simone, V.; Huanca Ghislanzoni, L.; Michelotti, A.; Rongo, R. Evaluation of Tooth Movement Accuracy with Aligners: A Prospective Study. Materials 2022, 15, 2646. [Google Scholar] [CrossRef]
- Robertson, L.; Kaur, H.; Fagundes, N.C.F.; Romanyk, D.; Major, P.; Flores Mir, C. Effectiveness of Clear Aligner Therapy for Orthodontic Treatment: A Systematic Review. Orthod. Craniofac. Res. 2020, 23, 133–142. [Google Scholar] [CrossRef] [PubMed]
- D’Antò, V.; Valletta, R.; Ferretti, R.; Bucci, R.; Kirlis, R.; Rongo, R. Predictability of Maxillary Molar Distalization and Derotation with Clear Aligners: A Prospective Study. Int. J. Environ. Res. Public Health 2023, 20, 2941. [Google Scholar] [CrossRef]
- Di Spirito, F.; Scelza, G.; Amato, A.; Rosa, D.; Gallotti, A.; Martina, S. Prevalence of Dental Anomalies in a Sample of Growing Subjects: A Retrospective Study. Epidemiol. Prev. 2022, 46, 376–381. [Google Scholar] [CrossRef] [PubMed]
- Grisar, K.; Luyten, J.; Preda, F.; Martin, C.; Hoppenreijs, T.; Politis, C.; Jacobs, R. Interventions for Impacted Maxillary Canines: A Systematic Review of the Relationship between Initial Canine Position and Treatment Outcome. Orthod. Craniofac. Res. 2021, 24, 180–193. [Google Scholar] [CrossRef]
- Ericson, S.; Kurol, J. Radiographic examination of ectopically erupting maxillary canines. Am. J. Orthod. Dentofac. Orthop. 1987, 91, 483–492. [Google Scholar] [CrossRef] [PubMed]
- Counihan, K.; Al-Awadhi, E.A.; Butler, J. Guidelines for the Assessment of the Impacted Maxillary Canine. Dent. Update 2013, 40, 770–772, 775–777. [Google Scholar] [CrossRef] [PubMed]
- Becker, A.; Chaushu, S. Etiology of Maxillary Canine Impaction: A Review. Am. J. Orthod. Dentofac. Orthop. 2015, 148, 557–567. [Google Scholar] [CrossRef]
- Becker, A.; Smith, P.; Behar, R. The Incidence of Anomalous Maxillary Lateral Incisors in Relation to Palatally-Displaced Cuspids. Angle Orthod. 1981, 51, 24–29. [Google Scholar]
- Gupta, S.P.; Rauniyar, S. Orthodontic Space Closure of a Missing Maxillary Lateral Incisor Followed by Canine Lateralization. Case Rep. Dent. 2020, 2020, 8820711. [Google Scholar] [CrossRef] [PubMed]
- Wilmes, B.; Schwarze, J.; Vasudavan, S.; Drescher, D. Maxillary Space Closure Using Aligners and Palatal Mini-Implants in Patients with Congenitally Missing Lateral Incisors. J. Clin. Orthod. 2021, 55, 20–33. [Google Scholar]
- Silveira, G.S.; De Almeida, N.V.; Pereira, D.M.T.; Mattos, C.T.; Mucha, J.N. Prosthetic Replacement vs. Space Closure for Maxillary Lateral Incisor Agenesis: A Systematic Review. Am. J. Orthod. Dentofac. Orthop. 2016, 150, 228–237. [Google Scholar] [CrossRef] [PubMed]
- Machado, R.M. Space Closure Using Aligners. Dent. Press. J. Orthod. 2020, 25, 85–100. [Google Scholar] [CrossRef] [PubMed]
- Ravera, S.; Castroflorio, T.; Garino, F.; Daher, S.; Cugliari, G.; Deregibus, A. Maxillary Molar Distalization with Aligners in Adult Patients: A Multicenter Retrospective Study. Prog. Orthod. 2016, 17, 12. [Google Scholar] [CrossRef] [PubMed]
- Simon, M.; Keilig, L.; Schwarze, J.; Jung, B.A.; Bourauel, C. Forces and Moments Generated by Removable Thermoplastic Aligners: Incisor Torque, Premolar Derotation, and Molar Distalization. Am. J. Orthod. Dentofac. Orthop. 2014, 145, 728–736. [Google Scholar] [CrossRef]
- Bocchino, T.; Perrotta, S.; Martina, S.; D’Antò, V.; Valletta, R. “Canine First Technique”, An Innovative Approach in Maxillary Impacted Canines: A Case Report. Open Dent. J. 2022, 16, e1874210622091402022. [Google Scholar] [CrossRef]
- Schroeder, D.K.; Schroeder, M.A.; Vasconcelos, V. Agenesis of Maxillary Lateral Incisors: Diagnosis and Treatment Options. Dent. Press. J. Orthod. 2022, 27, e22spe1. [Google Scholar] [CrossRef]
- Naoum, S.; Allan, Z.; Yeap, C.K.; Razza, J.M.; Murray, K.; Turlach, B.; Goonewardene, M.S. Trends in Orthodontic Management Strategies for Patients with Congenitally Missing Lateral Incisors and Premolars. Angle Orthod. 2021, 91, 477–483. [Google Scholar] [CrossRef]
- Rosa, M.; Zachrisson, B.U. Integrating Space Closure and Esthetic Dentistry in Patients with Missing Maxillary Lateral Incisors. J. Clin. Orthod. 2007, 41, 563–573, quiz 424. [Google Scholar]
- Zachrisson, B.U.; Rosa, M.; Toreskog, S. Congenitally Missing Maxillary Lateral Incisors: Canine Substitution. Point. Am. J. Orthod. Dentofac. Orthop. 2011, 139, 434, 436, 438 passim. [Google Scholar] [CrossRef]
- Kokich, V.O.; Kinzer, G.A. Managing Congenitally Missing Lateral Incisors. Part I: Canine Substitution. J. Esthet. Restor. Dent. 2005, 17, 5–10. [Google Scholar] [CrossRef] [PubMed]
- Qadri, S.; Parkin, N.A.; Benson, P.E. Space Closing versus Space Opening for Bilateral Missing Upper Laterals—Aesthetic Judgments of Laypeople: A Web-Based Survey. J. Orthod. 2016, 43, 137–146. [Google Scholar] [CrossRef] [PubMed]
- Zheng, M.; Liu, R.; Ni, Z.; Yu, Z. Efficiency, Effectiveness and Treatment Stability of Clear Aligners: A Systematic Review and Meta-Analysis. Orthod. Craniofac. Res. 2017, 20, 127–133. [Google Scholar] [CrossRef] [PubMed]
- Di Spirito, F.; D’Ambrosio, F.; Cannatà, D.; D’Antò, V.; Giordano, F.; Martina, S. Impact of Clear Aligners versus Fixed Appliances on Periodontal Status of Patients Undergoing Orthodontic Treatment: A Systematic Review of Systematic Reviews. Healthcare 2023, 11, 1340. [Google Scholar] [CrossRef]
- Ke, Y.; Zhu, Y.; Zhu, M. A Comparison of Treatment Effectiveness between Clear Aligner and Fixed Appliance Therapies. BMC Oral. Health 2019, 19, 24. [Google Scholar] [CrossRef]
- White, D.W.; Julien, K.C.; Jacob, H.; Campbell, P.M.; Buschang, P.H. Discomfort Associated with Invisalign and Traditional Brackets: A Randomized, Prospective Trial. Angle Orthod. 2017, 87, 801–808. [Google Scholar] [CrossRef]
- Wheeler, T.T. Invisalign Material Studies. Am. J. Orthod. Dentofac. Orthop. 2004, 125, 19A. [Google Scholar] [CrossRef]
- Kravitz, N.D.; Miller, S.; Bowman, S.J.; Wilmes, B. Hybrid Aligner Treatment. J. Clin. Orthod. 2023, 57, 9–15. [Google Scholar]
- Burstone, C.J.; Koenig, H.A. Force Systems from an Ideal Arch. Am. J. Orthod. 1974, 65, 270–289. [Google Scholar] [CrossRef]
- Martina, S.; Martini, M.; Bordegoni, M.; Razionale, A.V. Predictability of Root Movements Using Virtual Root Setup in a Patient with Periodontal Disease Treated with Clear Aligners. Open Dent. J. 2021, 15, 605–611. [Google Scholar] [CrossRef]







| Cephalometric Parameter | Pretreatment | Posttreatment |
|---|---|---|
| Maxillary Position SNA^ | 81.6° | 82.1° |
| Mandibular Position SNPg^ | 78.9° | 79.6° |
| Sagittal Jaw Relation ANPg^ | 2.7° | 2.5° |
| Maxillary inclination SN^ANS-PNS | 10.3° | 9.0° |
| Mandibular inclination SN^GoGn | 34.8° | 33.8° |
| Vertical Jaw Relation ANS-PNS^GoGn | 24.5° | 24.9° |
| Maxillary Incisor Inclination | 105.2° | 108.9° |
| Mandibular Incisor Inclination | 89.1° | 95.4° |
| Mandibular incisor compensation | −0.3 mm | −1 mm |
| Mandibular incisor position | 1.2 mm | 3.9 mm |
| Maxillary incisor position | −1.6 mm | 3.0 mm |
| Overjet | 4.3 mm | 3.9 mm |
| Overbite | 3.1 mm | 3.0 mm |
| Interincisal Angle | 141.2° | 130.8° |
| Lower lip protrusion | −4.1 mm | −4.5 mm |
| Co-Go-Me Angle | 125.9° | 123.4° |
Disclaimer/Publisher’s Note: The statements, opinions and data contained in all publications are solely those of the individual author(s) and contributor(s) and not of MDPI and/or the editor(s). MDPI and/or the editor(s) disclaim responsibility for any injury to people or property resulting from any ideas, methods, instructions or products referred to in the content. |
© 2023 by the authors. Licensee MDPI, Basel, Switzerland. This article is an open access article distributed under the terms and conditions of the Creative Commons Attribution (CC BY) license (https://creativecommons.org/licenses/by/4.0/).
Share and Cite
Bocchino, T.; Martina, S.; Sangiuolo, C.; Galdi, M.; Valletta, A.; D’Antò, V. Maxillary Impacted Canine and Upper Lateral Incisor Agenesis Treatment with “Canine First Technique” and Clear Aligners: A Case Report. Healthcare 2023, 11, 2345. https://doi.org/10.3390/healthcare11162345
Bocchino T, Martina S, Sangiuolo C, Galdi M, Valletta A, D’Antò V. Maxillary Impacted Canine and Upper Lateral Incisor Agenesis Treatment with “Canine First Technique” and Clear Aligners: A Case Report. Healthcare. 2023; 11(16):2345. https://doi.org/10.3390/healthcare11162345
Chicago/Turabian StyleBocchino, Tecla, Stefano Martina, Carolina Sangiuolo, Marzio Galdi, Alessandra Valletta, and Vincenzo D’Antò. 2023. "Maxillary Impacted Canine and Upper Lateral Incisor Agenesis Treatment with “Canine First Technique” and Clear Aligners: A Case Report" Healthcare 11, no. 16: 2345. https://doi.org/10.3390/healthcare11162345
APA StyleBocchino, T., Martina, S., Sangiuolo, C., Galdi, M., Valletta, A., & D’Antò, V. (2023). Maxillary Impacted Canine and Upper Lateral Incisor Agenesis Treatment with “Canine First Technique” and Clear Aligners: A Case Report. Healthcare, 11(16), 2345. https://doi.org/10.3390/healthcare11162345

