Oligomicrodontia in a Pediatric Cancer Survivor after Chemotherapy: A Case Report
Abstract
:1. Introduction
2. Case Report
2.1. Anamnestic History
2.2. Physical Examination
2.3. Intraoral Examination
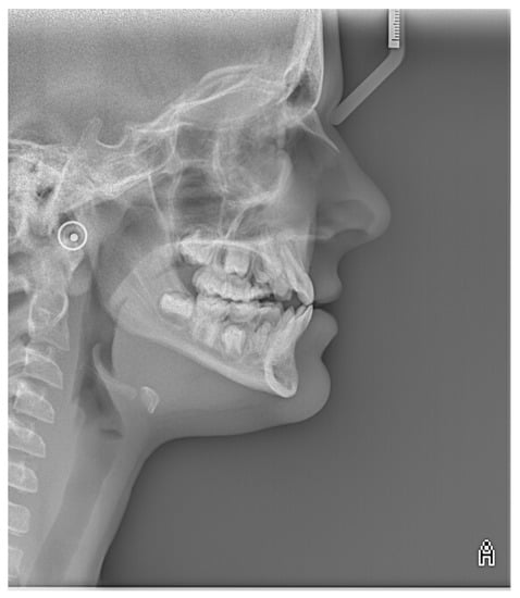
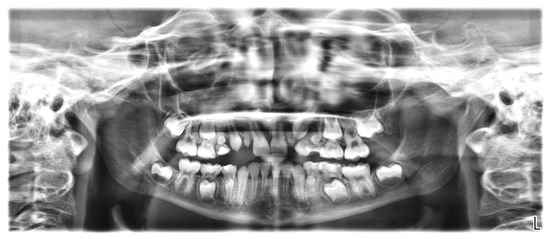
2.4. Radiological Examination
3. Discussion
4. Conclusions
Author Contributions
Funding
Institutional Review Board Statement
Informed Consent Statement
Data Availability Statement
Conflicts of Interest
References
- Howlader, N.; Noone, A.M.; Krapcho, M.; Garshell, J.; Neyman, N.; Altekruse, S.F.; Kosary, C.L.; Yu, M.; Ruhl, J.; Tatalovich, Z.; et al. (Eds.) SEER Cancer Statistics Review, 1975–2010; Based on November 2012 SEER Data Submission, Posted to the SEER Web Site; National Cancer Institute: Bethesda, MD, USA, 2013. Available online: https://seer.cancer.gov/archive/csr/1975_2010/ (accessed on 28 April 2022).
- Goho, C. Chemoradiation therapy: Effect on dental development. Pediatr. Dent. 1993, 15, 6–12. [Google Scholar] [PubMed]
- Oeffinger, K.C.; Mertens, A.C.; Sklar, C.A.; Kawashima, T.; Hudson, M.M.; Meadows, A.T.; Friedman, D.L.; Marina, N.; Hobbie, W.; Kadan-Lottick, N.S.; et al. Childhood Cancer Survivor Study. Chronic health conditions in adult survivors of childhood cancer. N. Engl. J. Med. 2006, 355, 1572–1582. [Google Scholar] [CrossRef] [PubMed]
- Seremidi, K.; Kloukos, D.; Polychronopoulou, A.; Kattamis, A.; Kavvadia, K. Late effects of chemo and radiation treatment on dental structures of childhood cancer survivors. A systematic review and meta-analysis. Head Neck. 2019, 41, 3422–3433. [Google Scholar] [CrossRef]
- Yeazel, M.W.; Gurney, J.G.; Oeffinger, K.C.; Mitby, P.A.; Mertens, A.C.; Hudson, M.M.; Robison, L.L. An examination of the dental utilization practices of adult survivors of childhood cancer: A report from the Childhood Cancer Survivor Study. J. Public Health Dent. 2004, 64, 50–54. [Google Scholar] [CrossRef]
- Kaste, S.C.; Goodman, P.; Leisenring, W.; Stovall, M.; Hayashi, R.J.; Yeazel, M.; Beiraghi, S.; Hudson, M.M.; Sklar, C.A.; Robison, L.L.; et al. Impact of radiation and chemotherapy on risk of dental abnormalities: A report from the Childhood Cancer Survivor Study. Cancer 2009, 115, 5817–5827. [Google Scholar] [CrossRef] [PubMed]
- Giovannetti, F.; Aboh, I.V.; Chisci, G.; Gennaro, P.; Gabriele, G.; Cascino, F.; Di Curzio, P.; Iannetti, G. Langerhans cell histiocytosis: Treatment strategies. J. Craniofac. Surg. 2014, 25, 1134–1136. [Google Scholar] [CrossRef] [PubMed]
- Harris, D.; Carr, A.T. Prevalence of concern about physical appearance in the general population. Brit. J. Plast. Surg. 2001, 54, 223–226. [Google Scholar] [CrossRef] [PubMed]
- Beall, A.E. Can a new smille make you look more intelligent and successful? Dent. Clin. N. Am. 2007, 51, 289–297. [Google Scholar] [CrossRef] [PubMed]
- Stolze, J.; Vlaanderen, K.; Holtbach, F.; Teepen, J.C.; Kremer, L.; Loonen, J.J.; van Dulmen-den Broeder, E.; Heuvel-Eibrink, M.; Pal, H.; Versluys, B.; et al. Long-Term Effects of Childhood Cancer Treatment on Dentition and Oral Health: A Dentist Survey Study from the DCCSS LATER 2 Study. Cancers 2021, 13, 5264. [Google Scholar] [CrossRef] [PubMed]
- Nemeth, O.; Hermann, P.; Kivovics, P.; Garami, M. Long-term effects of chemotherapy on dental status of children cancer survivors. Pediatr. Hematol. Oncol. 2013, 30, 208–215. [Google Scholar] [CrossRef]
- Jensen, S.B.; Pedersen, A.M.; Vissink, A.; Andersen, E.; Brown, C.G.; Davies, A.N.; Dutilh, J.; Fulton, J.S.; Jankovic, L.; Lopes, N.N.; et al. Salivary Gland Hypofunction/Xerostomia Section, Oral Care Study Group, Multinational Association of Supportive Care in Cancer (MASCC)/International Society of Oral Oncology (ISOO). A systematic review of salivary gland hypofunction and xerostomia induced by cancer therapies: Prevalence, severity and impact on quality of life. Support Care Cancer 2010, 18, 1039–1060. [Google Scholar] [PubMed]
- Halperson, E.; Matalon, V.; Goldstein, G.; Saieg Spilberg, S.; Herzog, K.; Fux-Noy, A.; Shmueli, A.; Ram, D.; Moskovitz, M. The prevalence of dental developmental anomalies among childhood cancer survivors according to types of anticancer treatment. Sci. Rep. 2022, 12, 4485. [Google Scholar] [CrossRef]
- Hölttä, P.; Alaluusua, S.; Saarinen-Pihkala, U.M.; Wolf, J.; Nyström, M.; Hovi, L. Long-term adverse effects on dentition in children with poor-risk neuroblastoma treated with high-dose chemotherapy and autologous stem cell transplantation with or without total body irradiation. Bone Marrow Transplant. 2002, 29, 121–127. [Google Scholar] [CrossRef]
- Maguire, A.; Murray, J.J.; Craft, A.W.; Kernahan, J.; Welbury, R.R. Radiological features of the long-term effects from treatment of malignant disease in childhood. Br. Dent. J. 1987, 162, 99–102. [Google Scholar] [CrossRef] [PubMed]
- Logan, W.H.G.; Kronfeld, R. Development of the human jaws and surrounding structures from birth to the age fifteen years. JADA 1933, 20, 379–428. [Google Scholar]
- Hölttä, P.; Alaluusua, S.; Saarinen-Pihkala, U.M.; Peltola, J.; Hovi, L. Agenesis and microdontia of permanent teeth as late adverse effects after stem cell transplantation in young children. Cancer 2005, 103, 181–190. [Google Scholar] [CrossRef]
- Proc, P.; Szczepańska, J.; Skiba, A.; Zubowska, M.; Fendler, W.; Młynarski, W. Dental Anomalies as Late Adverse Effect among Young Children Treated for Cancer. Cancer Res. Treat. 2016, 48, 658–667. [Google Scholar] [CrossRef]
- Fekonja, A. Prevalence of dental developmental anomalies of permanent teeth in children and their influence on esthetics. J. Esthet. Restor. Dent. 2017, 29, 276–283. [Google Scholar] [CrossRef] [PubMed]
- Choi, S.J.; Lee, J.W.; Song, J.H. Dental anomaly patterns associated with tooth agenesis. Acta Odontol. Scand. 2017, 75, 161–165. [Google Scholar] [CrossRef]
- Laverty, D.P.; Thomas, M.B. The restorative management of microdontia. The restorative management of microdontia. Br. Dent. J. 2016, 221, 160–166. [Google Scholar] [CrossRef] [PubMed]
- Remmers, D.; Bökkerink, J.P.; Katsaros, C. Microdontia after chemotherapy in a child treated for neuroblastoma. Orthod. Craniofac. Res. 2006, 9, 206–210. [Google Scholar] [CrossRef]
- Hassan, A.H.; Hobani, N.M.; Almokri, S.M.; Almokri, N.M.; Alotibi, F.G.; Alshouibi, E.N. Effect of anterior crowding or spacing on oral health-related quality of life: A cross-sectional study. Patient Prefer. Adherence 2018, 12, 461–465. [Google Scholar] [CrossRef]
- Sardenberg, F.; Martins, M.T.; Bendo, C.B.; Pordeus, I.A.; Paiva, S.M.; Auad, S.M.; Vale, M.P. Malocclusion and oral health-related quality of life in Brazilian school children. Angle Orthod. 2013, 83, 83–89. [Google Scholar] [CrossRef]
- Johal, A.; Cheung, M.Y.; Marcene, W. The impact of two different malocclusion traits on quality of life. Br. Dent. J. 2007, 202, E2. [Google Scholar] [CrossRef]
- Pirinen, S.; Kentala, A.; Nieminen, P.; Varilo, T.; Thesleff, I.; Arte, S. Recessively inherited lower incisor hypodontia. J. Med. Genet. 2001, 38, 551–556. [Google Scholar] [CrossRef]
- Sonis, A.L.; Tarbell, N.; Valachovic, R.W.; Gelber, R.; Schwenn, M.; Sallan, S. Dentofacial development in long-term survivors of acute lymphoblastic leukemia. A comparison of three treatment modalities. Cancer 1990, 66, 2645–2652. [Google Scholar] [CrossRef]
- Seremidi, K.; Kavvadia, K.; Kattamis, A.; Polychronopoulou, A. Dental late effects of antineoplastic treatment on childhood cancer survivors: Radiographic findings. Int. J. Paediatr. Dent. 2021, 31, 742–751. [Google Scholar] [CrossRef]
- Hölttä, P.; Hovi, L.; Saarinen-Pihkala, U.M.; Peltola, J.; Alaluusua, S. Disturbed root development of permanent teeth after pediatric stem cell transplantation. Dental root development after SCT. Cancer 2005, 103, 1484–1493. [Google Scholar] [CrossRef]
- Brook, A.H. Multilevel complex interactions between genetic, epigenetic and environmental factors in the aetiology of anomalies of dental development. Arch. Oral Biol. 2009, 54, S3–S17. [Google Scholar] [CrossRef]
- Koppang, H.S. Histomorphologic investigations on the effect of cyclophosphamide on dentinogenesis of the rat incisor. Scand. J. Dent. Res. 1973, 81, 383–396. [Google Scholar]
- Vahlsing, H.L.; Kim, S.-K.; Feringa, E.R. Cyclophosphamide-induced abnormalities in the incisors of the rat. J. Dent. Res. 1977, 56, 809–816. [Google Scholar] [CrossRef]
- Stene, T.; Koppang, H.S. Autoradiographic investigation of dentin production in rat incisors after vincristine administration. Scand. J. Dent Res. 1980, 88, 104–112. [Google Scholar] [CrossRef]
- Seifrtová, M.; Havelek, R.; Cmielová, J.; Jiroutová, A.; Soukup, T.; Brůčková, L.; Mokrý, J.; English, D.; Rezáčová, M. The response of human ectomesenchymal dental pulp stem cells to cisplatin treatment. Int. Endod. J. 2012, 45, 401–412. [Google Scholar] [CrossRef]
- Kang, C.M.; Hahn, S.M.; Kim, H.S.; Lyu, C.J.; Lee, J.H.; Lee, J.; Han, J.W. Clinical risk factors influencing dental developmental disturbances in childhood cancer survivors. Cancer Res. Treat. 2018, 50, 926–935. [Google Scholar] [CrossRef]
- Proc, P.; Szczepanska, J.; Herud, A.; Zubowska, M.; Fendler, W.; Lukomska-Szymanska, M.; Mlynarski, W. Comparative Study of Malocclusions between Cancer Patients and Healthy Peers. Int. J. Environ. Res. Public Health 2022, 19, 4045. [Google Scholar] [CrossRef]
- American Academy of Pediatric Dentistry (AAPD). Guideline on dental management of pediatric patients receiving chemotherapy, hematopoietic cell transplantation, and/or radiation therapy. Pediatr. Dent. 2016, 6, 380–388. [Google Scholar]






Publisher’s Note: MDPI stays neutral with regard to jurisdictional claims in published maps and institutional affiliations. |
© 2022 by the authors. Licensee MDPI, Basel, Switzerland. This article is an open access article distributed under the terms and conditions of the Creative Commons Attribution (CC BY) license (https://creativecommons.org/licenses/by/4.0/).
Share and Cite
Zulijani, A.; Žigante, M.; Morelato, L.; Perić, B.; Milardović, A. Oligomicrodontia in a Pediatric Cancer Survivor after Chemotherapy: A Case Report. Healthcare 2022, 10, 1521. https://doi.org/10.3390/healthcare10081521
Zulijani A, Žigante M, Morelato L, Perić B, Milardović A. Oligomicrodontia in a Pediatric Cancer Survivor after Chemotherapy: A Case Report. Healthcare. 2022; 10(8):1521. https://doi.org/10.3390/healthcare10081521
Chicago/Turabian StyleZulijani, Ana, Martina Žigante, Luka Morelato, Berislav Perić, and Ana Milardović. 2022. "Oligomicrodontia in a Pediatric Cancer Survivor after Chemotherapy: A Case Report" Healthcare 10, no. 8: 1521. https://doi.org/10.3390/healthcare10081521
APA StyleZulijani, A., Žigante, M., Morelato, L., Perić, B., & Milardović, A. (2022). Oligomicrodontia in a Pediatric Cancer Survivor after Chemotherapy: A Case Report. Healthcare, 10(8), 1521. https://doi.org/10.3390/healthcare10081521

