Gastrocnemius Medial Head Stiffness Is Associated with Potential Fall Risk in Community-Dwelling Older Adults
Abstract
1. Introduction
2. Materials and Methods
2.1. Study Design and Ethical Considerations
2.2. Participants and Procedures
2.3. Outcome Measurement
2.3.1. Mini-Mental State Examination
2.3.2. Balance Ability
2.3.3. Muscle Strength
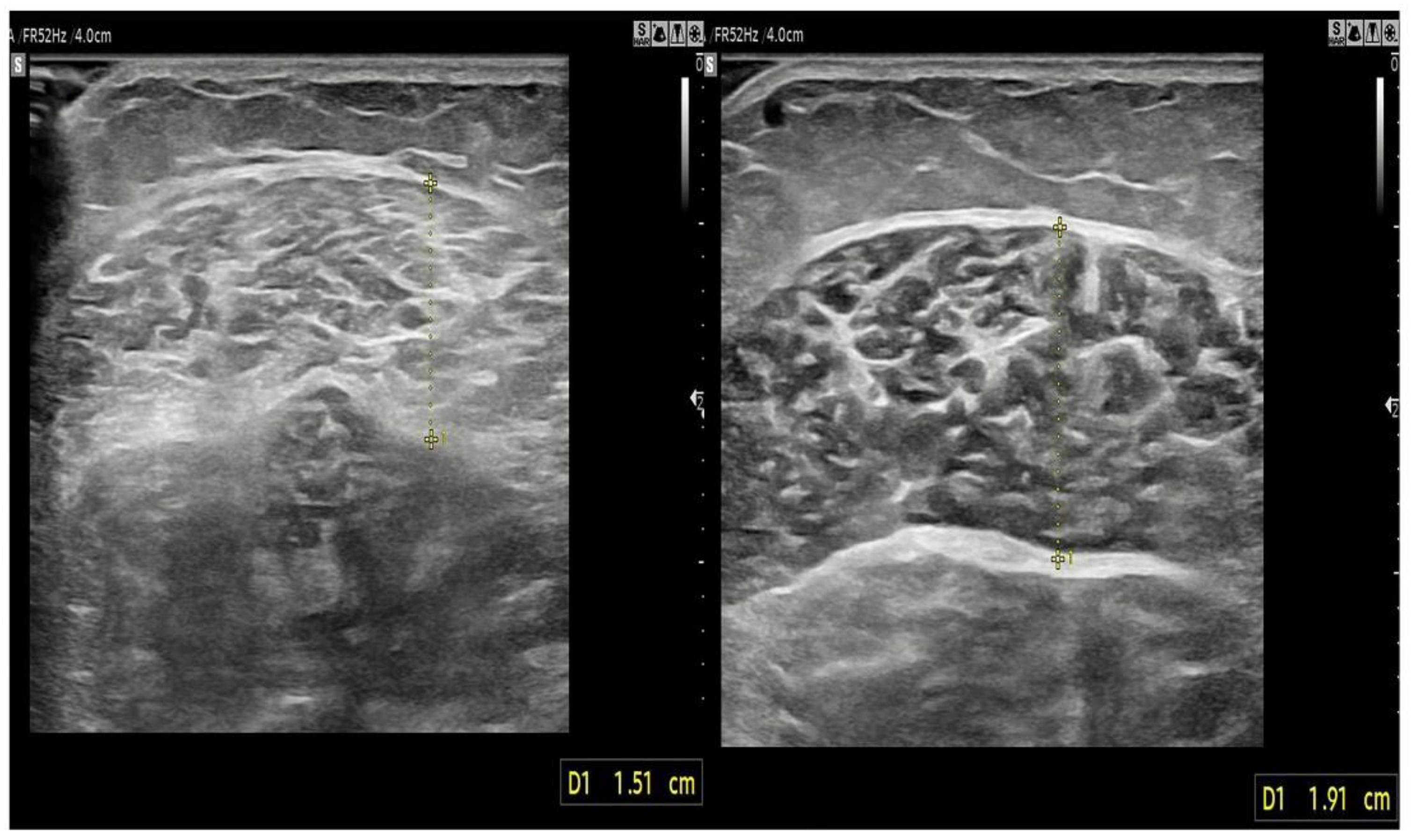
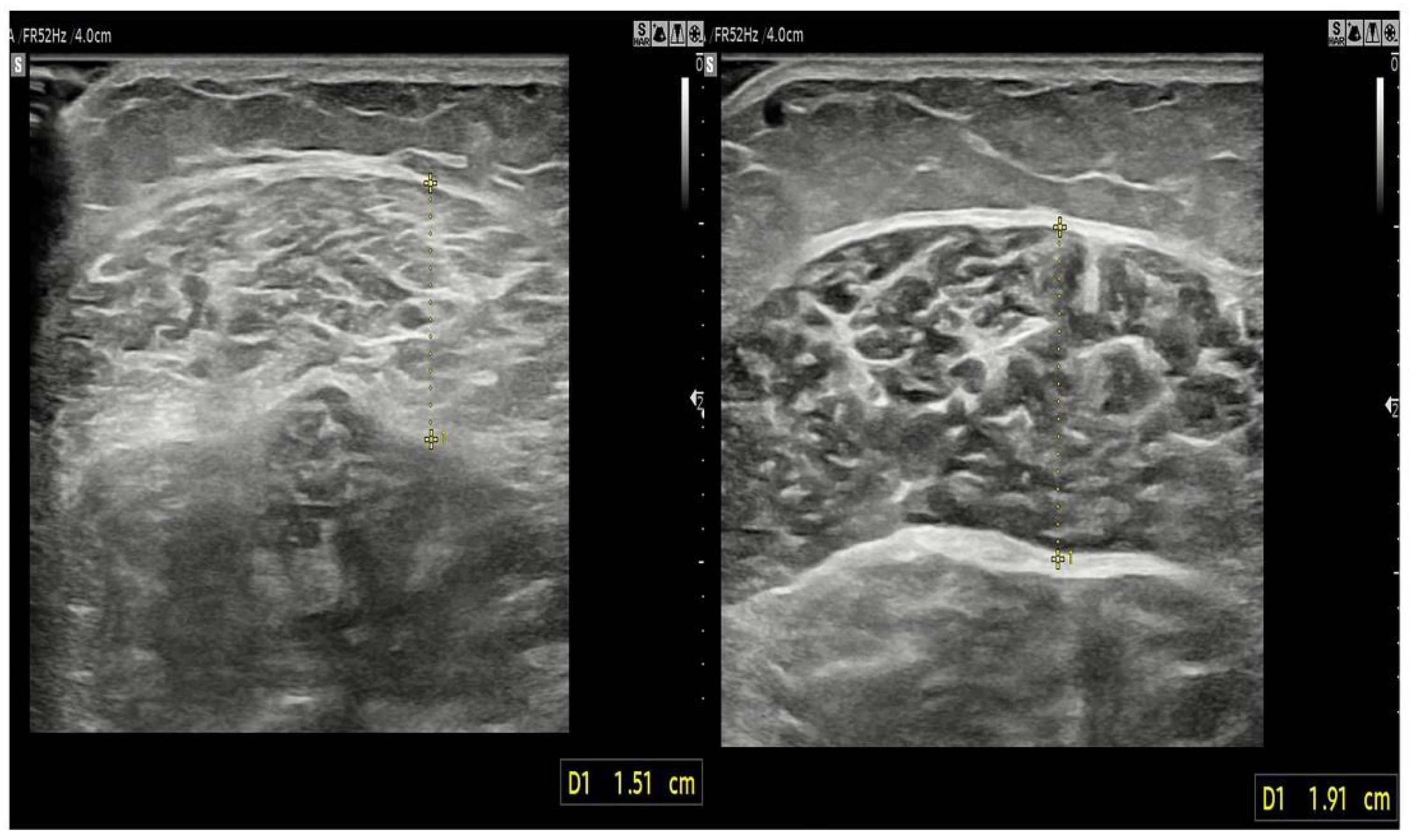
2.3.4. Stiffness and Thickness of the Muscle
2.4. Statistical Analyses
3. Results
3.1. Comparison of Physical Function and Muscle Thickness and Stiffness of Fallers and Non-Fallers
3.2. Correlation between Physical Function and Muscle Thickness and Stiffness in Fallers
4. Discussion
5. Conclusions
Author Contributions
Funding
Institutional Review Board Statement
Informed Consent Statement
Data Availability Statement
Acknowledgments
Conflicts of Interest
References
- Talarska, D.; Strugała, M.; Szewczyczak, M.; Tobis, S.; Michalak, M.; Wróblewska, I.; Wieczorowska–Tobis, K. Is independence of older adults safe considering the risk of falls? BMC Geriatr. 2017, 17, 1–7. [Google Scholar] [CrossRef] [PubMed]
- Wong, C.A.; Recktenwald, A.J.; Jones, M.L.; Waterman, B.M.; Bollini, M.L.; Dunagan, W.C. The cost of serious fall-related injuries at three Midwestern hospitals. Jt. Comm. J. Qual. Patient Saf. 2011, 37, 81–87. [Google Scholar] [CrossRef]
- Kim, M.-S.; Jung, H.-M.; Lee, H.-Y.; Kim, J. Risk factors for fall-related serious injury among Korean adults: A cross-sectional retrospective analysis. Int. J. Environ. Res. Public Health 2021, 18, 1239. [Google Scholar] [CrossRef] [PubMed]
- Öztürk, Z.A.; Türkbeyler, İ.H.; Abiyev, A.; Kul, S.; Edizer, B.; Yakaryılmaz, F.D.; Soylu, G. Health-related quality of life and fall risk associated with age-related body composition changes; sarcopenia, obesity and sarcopenic obesity. Intern. Med. J. 2018, 48, 973–981. [Google Scholar] [CrossRef]
- Johnson, C.; Hallemans, A.; Verbecque, E.; De Vestel, C.; Herssens, N.; Vereeck, L. Aging and the Relationship between Balance Performance, Vestibular Function and Somatosensory Thresholds. J. Int. Adv. Otol. 2020, 16, 328. [Google Scholar] [CrossRef]
- Landi, F.; Liperoti, R.; Russo, A.; Giovannini, S.; Tosato, M.; Capoluongo, E.; Bernabei, R.; Onder, G. Sarcopenia as a risk factor for falls in elderly individuals: Results from the ilSIRENTE study. Clin. Nutr. 2012, 31, 652–658. [Google Scholar] [CrossRef]
- Trombetti, A.; Reid, K.; Hars, M.; Herrmann, F.; Pasha, E.; Phillips, E.; Fielding, R. Age-associated declines in muscle mass, strength, power, and physical performance: Impact on fear of falling and quality of life. Osteoporos. Int. 2016, 27, 463–471. [Google Scholar] [CrossRef]
- Lee, A.; Lee, K.-W.; Khang, P. Preventing falls in the geriatric population. Perm. J. 2013, 17, 37. [Google Scholar] [CrossRef]
- Tieland, M.; Trouwborst, I.; Clark, B.C. Skeletal muscle performance and ageing. J. Cachexia Sarcopenia Muscle 2018, 9, 3–19. [Google Scholar] [CrossRef]
- Brooks, S.V.; Faulkner, J.A. Skeletal muscle weakness in old age: Underlying mechanisms. Med. Sci. Sports Exerc. 1994, 26, 432–439. [Google Scholar] [CrossRef]
- Moreira, N.B.; Rodacki, A.L.F.; Pereira, G.; Bento, P.C.B. Does functional capacity, fall risk awareness and physical activity level predict falls in older adults in different age groups? Arch. Gerontol. Geriatr. 2018, 77, 57–63. [Google Scholar] [CrossRef] [PubMed]
- Prevention, O.F.; Panel, O.S. Guideline for the prevention of falls in older persons. J. Am. Geriatr. Soc 2001, 49, 664. [Google Scholar]
- Saito, A.; Wakasa, M.; Kimoto, M.; Ishikawa, T.; Tsugaruya, M.; Kume, Y.; Okada, K. Age-related changes in muscle elasticity and thickness of the lower extremities are associated with physical functions among community-dwelling older women. Geriatr. Gerontol. Int. 2019, 19, 61–65. [Google Scholar] [CrossRef] [PubMed]
- Pang, J.; Wu, M.; Liu, X.; Gao, K.; Liu, Y.; Zhang, Y.; Zhang, E.; Zhang, T. Age-Related Changes in Shear Wave Elastography Parameters of the Gastrocnemius Muscle in Association with Physical Performance in Healthy Adults. Gerontology 2021, 67, 306–313. [Google Scholar] [CrossRef] [PubMed]
- Yuguchi, S.; Asahi, R.; Kamo, T.; Azami, M.; Ogihara, H. Gastrocnemius thickness by ultrasonography indicates the low skeletal muscle mass in Japanese elderly people. Arch. Gerontol. Geriatr. 2020, 90, 104093. [Google Scholar] [CrossRef]
- Yoshitake, Y.; Takai, Y.; Kanehisa, H.; Shinohara, M. Muscle shear modulus measured with ultrasound shear-wave elastography across a wide range of contraction intensity. Muscle Nerve 2014, 50, 103–113. [Google Scholar] [CrossRef]
- Shumway-Cook, A.; Woollacott, M. Motor Control: Theory and Practical Applications; Williams & Wilkins: Philadelphia, PA, USA, 2001. [Google Scholar]
- Afschrift, M.; van Deursen, R.; De Groote, F.; Jonkers, I. Increased use of stepping strategy in response to medio-lateral perturbations in the elderly relates to altered reactive tibialis anterior activity. Gait Posture 2019, 68, 575–582. [Google Scholar] [CrossRef]
- Gulle, H.; Daskapan, A.; Arik, M. Muscle tibialis anterior fatigue protocol effects on kinetic and kinematic parameters of gait and balance: A laboratory study. Physiotherapy 2019, 105, e49. [Google Scholar] [CrossRef]
- Hof, A.; Duysens, J. Responses of human ankle muscles to mediolateral balance perturbations during walking. Hum. Mov. Sci. 2018, 57, 69–82. [Google Scholar] [CrossRef]
- Kim, T.H.; Jhoo, J.H.; Park, J.H.; Kim, J.L.; Ryu, S.H.; Moon, S.W.; Choo, I.H.; Lee, D.W.; Yoon, J.C.; Do, Y.J. Korean version of mini mental status examination for dementia screening and its’ short form. Psychiatry Investig. 2010, 7, 102. [Google Scholar] [CrossRef]
- Han, C.; Jo, S.A.; Jo, I.; Kim, E.; Park, M.H.; Kang, Y. An adaptation of the Korean mini-mental state examination (K-MMSE) in elderly Koreans: Demographic influence and population-based norms (the AGE study). Arch. Gerontol. Geriatr. 2008, 47, 302–310. [Google Scholar] [CrossRef] [PubMed]
- Tombaugh, T.N.; McIntyre, N.J. The mini-mental state examination: A comprehensive review. J. Am. Geriatr. Soc. 1992, 40, 922–935. [Google Scholar] [CrossRef]
- Cruz, D.T.d.; Cruz, F.M.d.; Ribeiro, A.L.; Veiga, C.L.d.; Leite, I.C.G. Associação entre capacidade cognitiva e ocorrência de quedas em idosos. Cad. Saúde Coletiva 2015, 23, 386–393. [Google Scholar] [CrossRef][Green Version]
- Tavares, G.M.S.; Pacheco, B.P.; Gottlieb, M.G.V.; Müller, D.V.K.; Santos, G.M. Interaction between cognitive status, fear of falling, and balance in elderly persons. Clinics 2020, 75. [Google Scholar] [CrossRef] [PubMed]
- Duncan, P.W.; Weiner, D.K.; Chandler, J.; Studenski, S. Functional reach: A new clinical measure of balance. J. Gerontol. 1990, 45, M192–M197. [Google Scholar] [CrossRef] [PubMed]
- Sugihara, T.; Mishima, S.; Tanaka, M.; Tsushima, E.; Matsuya, A. Physical ability estimation and falling in the elderly. J. Phys. Ther. Sci. 2006, 18, 137–141. [Google Scholar] [CrossRef]
- Kristensen, M.T.; Bloch, M.L.; Jønsson, L.R.; Jakobsen, T.L. Interrater reliability of the standardized Timed Up and Go Test when used in hospitalized and community-dwelling older individuals. Physiother. Res. Int. 2019, 24, e1769. [Google Scholar] [CrossRef]
- Bergland, A.; Strand, B.H. Norwegian reference values for the short physical performance battery (SPPB): The Tromsø study. BMC Geriatr. 2019, 19, 1–10. [Google Scholar] [CrossRef]
- Lauretani, F.; Ticinesi, A.; Gionti, L.; Prati, B.; Nouvenne, A.; Tana, C.; Meschi, T.; Maggio, M. Short-Physical Performance Battery (SPPB) score is associated with falls in older outpatients. Aging Clin. Exp. Res. 2019, 31, 1435–1442. [Google Scholar] [CrossRef]
- Peters, D.M.; Fritz, S.L.; Krotish, D.E. Assessing the reliability and validity of a shorter walk test compared with the 10-Meter Walk Test for measurements of gait speed in healthy, older adults. J. Geriatr. Phys. Ther. 2013, 36, 24–30. [Google Scholar] [CrossRef]
- Kolber, M.J.; Beekhuizen, K.; Cheng, M.-S.S.; Fiebert, I.M. The reliability of hand-held dynamometry in measuring isometric strength of the shoulder internal and external rotator musculature using a stabilization device. Physiother. Theory Pract. 2007, 23, 119–124. [Google Scholar] [CrossRef] [PubMed]
- Hislop, H.; Avers, D.; Brown, M. Daniels and Worthingham’s Muscle Testing-10th: Techniques of Manual Examination and Performance Testing; Elsevier Health Sciences: Amsterdam, The Netherlands, 2019. [Google Scholar]
- Mentiplay, B.F.; Perraton, L.G.; Bower, K.J.; Adair, B.; Pua, Y.-H.; Williams, G.P.; McGaw, R.; Clark, R.A. Assessment of lower limb muscle strength and power using hand-held and fixed dynamometry: A reliability and validity study. PLoS ONE 2015, 10, e0140822. [Google Scholar] [CrossRef] [PubMed]
- Halder, A.; Gao, C.; Miller, M. Effects of cooling on ankle muscle strength, electromyography, and gait ground reaction forces. J. Sports Med. 2014, 2014. [Google Scholar] [CrossRef] [PubMed]
- Buckinx, F.; Croisier, J.L.; Reginster, J.Y.; Dardenne, N.; Beaudart, C.; Slomian, J.; Leonard, S.; Bruyère, O. Reliability of muscle strength measures obtained with a hand-held dynamometer in an elderly population. Clin. Physiol. Funct. Imaging 2017, 37, 332–340. [Google Scholar] [CrossRef] [PubMed]
- Okino, K.; Aoki, M.; Yamane, M.; Kohmura, C. Effect of prolonged sitting immobility on shear wave velocity of the lower leg muscles in healthy adults: A proof-of-concept study. PLoS ONE 2021, 16, e0251532. [Google Scholar] [CrossRef] [PubMed]
- Lee, Y.; Kim, M.; Lee, H. The measurement of stiffness for major muscles with shear wave elastography and myoton: A quantitative analysis study. Diagnostics 2021, 11, 524. [Google Scholar] [CrossRef] [PubMed]
- Akazawa, N.; Harada, K.; Okawa, N.; Tamura, K.; Moriyama, H. Muscle mass and intramuscular fat of the quadriceps are related to muscle strength in non-ambulatory chronic stroke survivors: A cross-sectional study. PLoS ONE 2018, 13, e0201789. [Google Scholar] [CrossRef]
- Visser, M.; Deeg, D.J.; Lips, P.; Harris, T.B.; Bouter, L.M. Skeletal muscle mass and muscle strength in relation to lower-extremity performance in older men and women. J. Am. Geriatr. Soc. 2000, 48, 381–386. [Google Scholar] [CrossRef]
- Manini, T.M.; Clark, B.C. Dynapenia and aging: An update. J. Gerontol. Ser. A: Biomed. Sci. Med. Sci. 2012, 67, 28–40. [Google Scholar] [CrossRef]
- Jeon, M.; Gu, M.O.; Yim, J. Comparison of walking, muscle strength, balance, and fear of falling between repeated fall group, one-time fall group, and nonfall group of the elderly receiving home care service. Asian Nurs. Res. 2017, 11, 290–296. [Google Scholar] [CrossRef]
- Soto-Varela, A.; Faraldo-García, A.; Rossi-Izquierdo, M.; Lirola-Delgado, A.; Vaamonde-Sánchez-Andrade, I.; del-Río-Valeiras, M.; Gayoso-Diz, P.; Santos-Pérez, S. Can we predict the risk of falls in elderly patients with instability? Auris Nasus Larynx 2015, 42, 8–14. [Google Scholar] [CrossRef] [PubMed]
- Allen, B.; Derveloy, R.; Lowry, K.; Handley, H.; Fell, N.; Gasior, W.; Yu, G.; Sartipi, M. Evaluation of fall risk for post-stroke patients using bluetooth low-energy wireless sensor. In Proceedings of the 2013 IEEE Global Communications Conference (GLOBECOM), Atlanta, GA, USA, 9–13 December 2013; pp. 2598–2603. [Google Scholar]
- Nightingale, C.J.; Mitchell, S.N.; Butterfield, S.A. Validation of the timed up and go test for assessing balance variables in adults aged 65 and older. J. Aging Phys. Act. 2019, 27, 230–233. [Google Scholar] [CrossRef] [PubMed]
- Guccione, A.A.; Avers, D.; Wong, R. Geriatric Physical Therapy-Ebook; Elsevier Health Sciences: Amsterdam, The Netherlands, 2011. [Google Scholar]
- Kyrdalen, I.L.; Thingstad, P.; Sandvik, L.; Ormstad, H. Associations between gait speed and well-known fall risk factors among community-dwelling older adults. Physiother. Res. Int. 2019, 24, e1743. [Google Scholar] [CrossRef] [PubMed]
- Skelton, D.A.; Kennedy, J.; Rutherford, O.M. Explosive power and asymmetry in leg muscle function in frequent fallers and non-fallers aged over 65. Age Ageing 2002, 31, 119–125. [Google Scholar] [CrossRef]
- Hug, F.; Tucker, K.; Gennisson, J.-L.; Tanter, M.; Nordez, A. Elastography for muscle biomechanics: Toward the estimation of individual muscle force. Exerc. Sport Sci. Rev. 2015, 43, 125–133. [Google Scholar] [CrossRef]
- Héroux, M.E.; Dakin, C.J.; Luu, B.L.; Inglis, J.T.; Blouin, J.-S. Absence of lateral gastrocnemius activity and differential motor unit behavior in soleus and medial gastrocnemius during standing balance. J. Appl. Physiol. 2014, 116, 140–148. [Google Scholar] [CrossRef]
- Ahn, A.N.; Kang, J.; Quitt, M.A.; Davidson, B.; Nguyen, C. Variability of neural activation during walking in humans: Short heels and big calves. Biol. Lett. 2011, 7, 539–542. [Google Scholar] [CrossRef]
- Warren, G.L.; Maher, R.M.; Higbie, E.J. Temporal patterns of plantar pressures and lower-leg muscle activity during walking: Effect of speed. Gait Posture 2004, 19, 91–100. [Google Scholar] [CrossRef]
- Farris, D.J.; Sawicki, G.S. Human medial gastrocnemius force–velocity behavior shifts with locomotion speed and gait. Proc. Natl. Acad. Sci. USA 2012, 109, 977–982. [Google Scholar] [CrossRef]






| Variables (Unit) | Faller Group (n = 40) | Non-Faller Group (n = 82) |
|---|---|---|
| Demographic characteristics | ||
| Age (year) | 75.50 ± 5.80 a | 73.53 ± 5.36 |
| Sex | Male: 7 (17.5) b Female: 33 (26.9) | Male: 20 (24.4) Female: 62 (75.6) |
| Weight (cm) | 59.08 ± 9.42 | 62.36 ± 10.82 |
| Height (kg) | 152.76 ± 6.54 | 153.41 ± 17.31 |
| BMI c (kg/m2) | 25.23 ± 2.95 | 25.89 ± 3.49 |
| K-MMSE d (score) | 26.15 ± 2.95 | 26.30 ± 2.72 |
| Number of falls | 1.55 ± 1.06 | 0 |
| Marital status | ||
| Married | 24 (60.0) | 53 (64.6) |
| Divorce | 3 (7.5) | 3 (3.7) |
| widowed | 13 (32.5) | 24 (29.3) |
| Never married | 0 (0) | 2 (2.4) |
| Health condition | ||
| Current health condition | ||
| Good | 15 (37.5) | 33 (40.2) |
| average | 11(27.5) | 25 (30.5) |
| Bad | 14 (35.0) | 24 (29.3) |
| Taking medication | ||
| Hypertension | 23 (87.5) | 56 (68.3) |
| Diabetes | 8 (20.0) | 18 (22.0) |
| Musculoskeletal Disease | 6 (15.0) | 7 (8.5) |
| Digestive system disease | 2 (2.4) | 4 (4.9) |
| Pain killer | 1 (2.5) | 2 (2.4) |
| No | 6 (15.0) | 12 (14.6) |
| Variables (Unit) | Faller | Non-Faller | p | Difference (95% CI) |
|---|---|---|---|---|
| Balance ability parameter | ||||
| Functional reach test (cm) | 23.40 ± 6.58 | 27.52 ± 5.72 | 0.001 | 4.127 (6.427~1.828) |
| TUG (sec) | 13.73 ± 3.51 | 12.31 ± 2.72 | 0.015 | 1.425 (0.277~2.574) |
| SPPB (score) | 9.57 ± 1.94 | 10.48 ± 1.75 | 0.011 | 0.901 (0.207~1.594) |
| Gait speed (m/s) | 1.19 ± 0.73 | 0.98 ±0.26 | 0.027 | 0.821 (0.096~1.547) |
| Muscle strength (N/kg) | ||||
| Tibialis anterior | 3.06 ± 0.60 | 3.11 ± 0.74 | 0.701 | 0.051 (−0.215~0.319) |
| Gastrocnemius | 2.79 ± 0.56 | 2.89 ± 0.61 | 0.424 | 0.009 (−0.136~0.323) |
| Muscle thickness and stiffness | ||||
| Tibialis anterior | ||||
| thickness (mm) | 23.72 ± 0.36 | 24.97 ± 0.33 | 0.062 | 0.125 (0.257~0.006) |
| rest stiffness (kPa) | 28.63 ± 6.29 | 30.37 ± 8.43 | 0.021 | 1.745 (−1.235~4.727) |
| contractive stiffness (kPa) | 129.04 ± 22.32 | 138.15 ± 19.11 | 0.021 | 9.113 (16.831~1.395) |
| Gastrocnemius medial head | ||||
| thickness (mm) | 17.65 ± 0.27 | 19.05 ± 0.28 | 0.008 | 0.145 (0.037~0.253) |
| rest stiffness (kPa) | 16.29 ± 3.72 | 16.41 ± 3.66 | 0.861 | 0.124 (−1.281~1.530) |
| contractive stiffness (kPa) | 79.72 ± 23.03 | 92.98 ± 21.01 | 0.002 | 13.259 (21.549~4.976) |
| Gastrocnemius lateral head | ||||
| thickness (mm) | 14.30 ± 0.29 | 15.89 ± 0.34 | 0.014 | 0.159 (0.284~0.033) |
| rest stiffness (kPa) | 18.14 ± 4.68 | 17.03 ± 5.66 | 0.286 | 1.019 (0.940~3.159) |
| contractive stiffness (kPa) | 90.98 ± 25.25 | 107.04 ± 31.36 | 0.006 | 16.062 (4.790~27.335) |
| Variables | p Value | Correlation Coefficient |
|---|---|---|
| Gamed thickness vs. FRT | 0.017 | 0.375 |
| Gamed thickness vs. gait speed | 0.038 | 0.329 |
| Gamed rest stiffness vs. SPPB | 0.034 | 0.337 |
| Gamed contraction stiffness vs. gait speed | 0.045 | 0.319 |
| Gamed contraction stiffness vs. SPPB | 0.035 | 0.334 |
Publisher’s Note: MDPI stays neutral with regard to jurisdictional claims in published maps and institutional affiliations. |
© 2022 by the authors. Licensee MDPI, Basel, Switzerland. This article is an open access article distributed under the terms and conditions of the Creative Commons Attribution (CC BY) license (https://creativecommons.org/licenses/by/4.0/).
Share and Cite
Kim, N.; Park, J.; Shin, H.; Bae, Y. Gastrocnemius Medial Head Stiffness Is Associated with Potential Fall Risk in Community-Dwelling Older Adults. Healthcare 2022, 10, 785. https://doi.org/10.3390/healthcare10050785
Kim N, Park J, Shin H, Bae Y. Gastrocnemius Medial Head Stiffness Is Associated with Potential Fall Risk in Community-Dwelling Older Adults. Healthcare. 2022; 10(5):785. https://doi.org/10.3390/healthcare10050785
Chicago/Turabian StyleKim, Naryeong, Joohwan Park, Heejin Shin, and Youngsook Bae. 2022. "Gastrocnemius Medial Head Stiffness Is Associated with Potential Fall Risk in Community-Dwelling Older Adults" Healthcare 10, no. 5: 785. https://doi.org/10.3390/healthcare10050785
APA StyleKim, N., Park, J., Shin, H., & Bae, Y. (2022). Gastrocnemius Medial Head Stiffness Is Associated with Potential Fall Risk in Community-Dwelling Older Adults. Healthcare, 10(5), 785. https://doi.org/10.3390/healthcare10050785

