Next Article in Journal
Research on Clothing Image Retrieval Combining Topology Features with Color Texture Features
Previous Article in Journal
Bilingual–Visual Consistency for Multimodal Neural Machine Translation
 
 
Font Type:
Arial Georgia Verdana
Font Size:
Aa Aa Aa
Line Spacing:
Column Width:
Background:
Article

An Unsupervised Computed Tomography Kidney Segmentation with Multi-Region Clustering and Adaptive Active Contours

1
School of Computer Science and Engineering, Central South University, Changsha 410083, China
2
School of Automation, Central South University, Changsha 410083, China
*
Author to whom correspondence should be addressed.
Mathematics 2024, 12(15), 2362; https://doi.org/10.3390/math12152362
Submission received: 30 May 2024 / Revised: 14 July 2024 / Accepted: 26 July 2024 / Published: 29 July 2024
(This article belongs to the Section E1: Mathematics and Computer Science)

Abstract

Kidney segmentation from abdominal computed tomography (CT) images is essential for computer-aided kidney diagnosis, pathology detection, and surgical planning. This paper introduces a kidney segmentation method for clinical contrast-enhanced CT images. First, it begins with shape-based preprocessing to remove the spine and ribs. Second, a novel clustering algorithm and an initial kidney selection strategy are utilized to locate the initial slices and contours. Finally, an adaptive narrow-band approach based on active contours is developed, followed by a clustering postprocessing to address issues with concave parts. Experimental results demonstrate the high segmentation performance of the proposed method, achieving a Dice Similarity Coefficient of 97.4 ± 1.0% and an Average Symmetric Surface Distance of 0.5 ± 0.2 mm across twenty sequences. Notably, this method eliminates the need for manually setting initial contours and can handle intensity inhomogeneity and varying kidney shapes without extensive training or statistical modeling.

1. Introduction

Accurate kidney segmentation in computed tomography (CT) scans is a crucial task for computer-aided systems that assist physicians and doctors in various tasks, including diagnosing renal diseases, locating pathological tissues, and planning radiotherapy [1]. However, effective kidney segmentation presents significant challenges due to several factors: (i) Poor image quality and intensity inhomogeneity within the kidney, where different regions, such as the cortex and medulla, have distinct gray levels, as illustrated in Figure 1a. (ii) Similarity in intensity between the kidneys and neighboring tissues, as shown in Figure 1b. (iii) Low intensity of kidney tissues, as depicted in Figure 1c. Additionally, variability in CT image reconstruction kernels can further complicate segmentation accuracy, affecting how kidney structures are delineated across different scans.
Several methods have been proposed for kidney segmentation in CT images, including thresholding-based [2], region-based [3], model-based [4,5,6,7], graph-based [8,9,10,11,12], and deep learning-based methods [13,14,15,16,17]. Kim et al. [2] used thresholding to segment the kidneys by identifying the valley between the second and third peaks in the CT image histogram. Lin et al. [3] developed a coarse-to-fine segmentation approach, which involves extracting an elliptical candidate kidney region based on the kidney’s statistical geometric location, followed by an adaptive region-growing method. However, thresholding or region-based techniques face challenges with the intensity similarity between kidneys and surrounding tissues, as well as differences in intensity between various kidney structures.
To overcome the limitations of thresholding-based and region-based methods, researchers proposed numerous model-based and graph-based approaches. Spiegel et al. [4] introduced an active shape model generation technique based on non-rigid image registration, treating the correspondence issue as a registration task. Huang et al. [5] proposed a multiphase level set technique combined with multi-dynamic shape models to include the calyx region in the level set curve. Khalifa et al. [6] improved the level set using 3D probabilistic shape, first-order intensity, and second-order spatial interaction with a speed function. Zhao et al. [7] utilized the Chan-Vese level set approach and a local iterative thresholding method for CT kidney segmentation. Additionally, Freiman et al. [8] proposed a non-parametric model-based graph min-cut technique based on maximum a posteriori estimation of a Markov Random Field MAP-MRF estimation of the CT image to segment the kidneys in CT images, while Cuingnet et al. [9] employed regression forests to locate the kidneys, followed by a classification forest to obtain a probability map of each kidney for the next template deformation algorithm. Chen et al. [10] developed a hybrid technique that combined active appearance models, live wire, and graph cut (GC) algorithms to detect kidneys. Dakua et al. [11] enhanced the image contrast and then used a modified graph-based method. Dai et al. [12] utilized a fast GrowCut algorithm to segment the kidneys in 3D CT volumes requiring user-defined labels. Various methods have been proposed for kidney segmentation from CT volumes using contextual continuity [7], assuming that adjacent slices in a sequence have slight variation. These methods typically start by selecting and segmenting an initial slice and then perform up-segmentation and bottom-segmentation in the remaining slices. However, incorrect segmentation in the initial slice can lead to errors in subsequent slices. The initial slice is usually chosen by users or based on prior knowledge, which is suitable for most cases but not universal. In general, most graph-based and model-based methods belong to the category of unsupervised methods, requiring minimal training and offering real-time performance. However, they rely on manual acquisition of initial contours and are sensitive to the quality of these contours.
With the development of computer technology, medical image processing methods based on deep learning, especially on convolutional neural networks (CNNs) [18], have achieved significant success [19,20]. Various studies have explored the use of deep neural networks for segmenting kidneys from CT images. For instance, Xia et al. [13] proposed a two-stage approach using a Siamese convolutional neural network (SCNN) and ResNet [21] model to segment both the kidney and space-occupying lesion areas in CT images. Similarly, Sandfort et al. [14] introduced an approach that leverages generative adversarial networks (CycleGAN) [22] for data augmentation to improve the generalizability of CT segmentation. The method trains a 3D U-Net [23] model after separately applying data augmentation using CycleGAN and standard augmentation methods. Cruz et al. [15] introduced a coarse-to-fine image segmentation approach, beginning with the utilization of AlexNet [24] to isolate the region of interest (ROI) in kidney CT images, followed by the application of the U-Net network [25] for segmentation, effectively minimizing segmentation errors. Kim et al. [16] presented a cascaded 3D U-Net-based method that uses optimal experimental design to improve training effectiveness with a small amount of data. This approach significantly reduces the cost of labeling. Additionally, Türk et al. [17] proposed a hybrid V-Net model for kidney segmentation that incorporates an encoder block developed using a fusion V-Net model and a decoder block using the Edge-Attention Guidance Network (ET-Net). The training of deep networks relies on extensive labeled data, which is time-consuming and expensive to acquire. Moreover, deep learning methods are computationally intensive and difficult to interpret, posing challenges in fields like law or medicine, where interpretability is crucial.
In this paper, we propose a new method for kidney segmentation from contrast-enhanced abdominal CT volumes. First, shape-based preprocessing is developed to remove the spine and ribs. Next, the initial kidney contour is obtained from the initial slice, which is automatically selected and segmented by applying multi-region clustering and prior knowledge. Subsequently, all the slices in the volume are segmented using an improved graph cut-based active contour (GCBAC) algorithm. To compensate for any potential under-segmentation of adipose tissue, the proposed clustering method is also applied for postprocessing. The main contributions include the following:
(1)
A novel kidney segmentation method is proposed with a novel initial contour searching strategy and a modified GCBAC algorithm. This method eliminates the need for manual initialization by automatically selecting optimal initial contours, thus reducing the risk of manual error and ensuring consistent results across different datasets;
(2)
A clustering algorithm based on a multi-region volume histogram is developed for the automatic clustering of CT volumes. The algorithm adaptively determines the number and cluster centers of the CT volume by capturing and analyzing histogram peaks to achieve optimal clustering results;
(3)
We introduce a novel unsupervised and training-free approach for kidney segmentation on CT volumes, achieving segmentation without the need for extensive training or statistical modeling.

2. Methodology

Our methodology ensures accurate and efficient kidney segmentation through several key steps. First, the spine and ribs are removed. Next, a multi-region volume histogram clustering algorithm is used to retain the brightest cluster. An initial kidney selection strategy then precisely locates the initial kidney slices and contours without manual interaction. Finally, up-segmentation and bottom-segmentation are performed on each slice using an improved GCBAC algorithm, followed by postprocessing.

2.1. Shape-Based Spine and Ribs Removal

In abdominal CT images, the spine and ribs surround kidneys and often have similar brightness levels. Sometimes, it is difficult to distinguish the intensity difference between the spine, the ribs, and the kidneys due to the influence of contrast media. Therefore, we remove the spine and ribs during the preprocessing stage to reduce their impact on kidney segmentation.
Thresholding is commonly used to remove the spine and ribs due to their high intensity. However, this algorithm may inadvertently remove other enhanced tissues, such as the kidneys or the heart, due to the brightening effect of contrast media. Since the spine and ribs enclose the enhanced tissues, a topology-based algorithm [26] is utilized. This algorithm first thresholds the original image to a binary image, denoted as I , using a threshold value of 245. The resulting image I includes the spine, ribs, and contrast-enhanced tissues such as heart and kidneys. Then, the row and column projections of image I are calculated to obtain a binary image f p , whose foreground is a solid rectangular region covering the foreground of the binary image I. By performing a NOT operation and dilatation on this binary image f p , the resulting binary image is identified as the marker image f m . Subsequently, morphological reconstruction [27], utilizing the marker image f m and the mask image I , is applied to isolate the spine and ribs. Dilation is a necessary step to include points of the region of interest in the marker image f m . This inclusion is crucial for the reconstruction process to extract the region of interest. If we perform only the NOT operation on f p without dilation, the resulting binary image f m will have a foreground that does not include any part of the spine and ribs. When this binary image f m is used as the marker image for reconstruction with the mask image I , the ribs cannot be reconstructed due to the principles of morphological reconstruction. However, manual selection of the dilation structuring element easily affects segmentation accuracy. If the element size is too small, ribs in the four corners of the rectangular area may remain unsegmented, as depicted in the first row of Figure 2. Conversely, if the size is too large, certain contrast-enhanced tissues, such as the heart, may be erroneously segmented, as shown in the second row of Figure 2. These segmentation errors are caused by the mismatch in shape between the rectangular region and the spine and ribs.
To mitigate the above issue, we refine the algorithm by replacing the rectangle with the smallest enclosing polygon. By assigning a small value to the structuring element size, the spine and ribs are accurately segmented, as demonstrated in the third row of Figure 2. In our experiments, we used a square-shaped structuring element with a size of 3 × 3 pixels. The rationale behind selecting a specific dilation size is rooted in the structural alignment of our shape-based spine and ribs removal method with the contours of the spine and ribs. This algorithm is applied to the initial slice, where the area of the smallest enclosing polygon is maximized across the entire sequence. Leveraging contextual continuity, adjacent slices exhibit similar shapes and positions, facilitating the segmentation of spine and ribs through morphological reconstruction. The segmentation result of the previous slice serves as the marker image, while the binary image of the current slice acts as the mask image.

2.2. Initial Contour Selection

The automatic search for initial kidney contours consists of two steps: clustering based on multi-region volume histograms and initial kidney contour selection strategy. First, a clustering algorithm is employed to cluster the preprocessed volume, using multi-region volume histograms to retain the brightest cluster as the resulting binary volume. Next, initial kidney contour selection strategy searches for the optimal contours among the candidate contours in the binary images obtained from the previous step. The contours that best fit our segmentation criteria then serve as the initial contours for the kidney segmentation step, and the left and right kidneys each have an initial contour selected based on these criteria.

2.2.1. Clustering Based on Multi-Region Volume Histograms

Traditional clustering algorithms, such as K-Means [28], require specifying the number of clusters and the initial clustering centers. To address this limitation, we present a novel adaptive clustering algorithm based on multi-region volume histograms, which can automatically determine the optimal cluster number and centers. The volume histogram of an abdominal CT sequence illustrates the frequency distribution of all intensities within the sequence. In CT scans, the intensities of a specific organ typically fall within a certain range and follow a Gaussian distribution [29]. Therefore, the number of peaks in the volume histogram determines the number of clustering centers. To focus on the kidney area, we analyze only the lower portion of each transverse CT slice, where the kidneys are typically located, of the abdominal CT images. For a sequence with larger kidney areas, there is a peak corresponding to the kidneys. However, compared to the liver and spleen, the kidney area is still small, and its Gaussian center might not be prominently featured in the volume histogram. To address this, multi-region volume histograms are proposed to obtain the coordinates of the Gaussian center of the kidneys.
Multi-region volume histograms involve dividing the whole volume of an entire sequence into several regions. Each region contains L slices, and the interval between the starting slices of two adjacent regions is G slices, allowing for possible overlap if G < L . Mathematically, region R i can be expressed as follows:
R i = { S i , S i + 1 , , S L } i = 0 , G , 2 G ,
where R i represents the i th region consisting of L slices starting from slice S i . By this method, the regions can overlap if G < L . After dividing the volume, we obtain volume histograms for each region and identify the peaks in each histogram, as illustrated in Figure 3. The final set of peaks P 3 is obtained by applying a three-step filtering process to the initial set of peaks P :
Step 1. Height Threshold: Ignore peaks with heights below a specified threshold T 1 . This results in the set P 1 :
P 1 = p p P   a n d   H ( P ) T 1 }
Step 2. Prominence Threshold: Ignore peaks with prominence values lower than a specified threshold T 2 . This results in the set P 2 :
P 2 = p p P 1   a n d   P r ( P ) T 2 }
Step 3 Distance Threshold: For peaks in P 2 , if two adjacent peaks P i and P j are closer than a specified distance T 3 , keep the higher peak. This results in the final set P 3 :
P 3 = p i p i P 2   a n d   f o r   a l l   p j P 2   w h e r e   j i , d p i , p j T 3   o r   H ( p i ) > H ( p j ) }
The final set of peaks was obtained after collecting the peaks of all the volume histograms, such that they are used as the K-mean centers for the entire abdominal CT sequence. The clustering process utilizes the Euclidean distance as the similarity measurement and the resulting clustering is depicted in Figure 4. Our adaptive clustering algorithm ensures that the kidneys are always assigned to the brightest cluster, thanks to the preprocessing step that removes the spine and ribs.

2.2.2. Initial Kidney Contour Selection Strategy

Based on the clustering segmentation results, each slice of the abdominal CT sequence is classified into different classes. While the highest cluster center includes accurately segmented kidney contours, it also contains many interfering contours, such as those of the heart, liver, spleen, abdominal aorta, and inaccurately segmented kidneys. Our goal is to select a large and smooth kidney contour from these candidates. To achieve this, we introduce an automatic selection strategy. Initially, region filling is performed in all connected components of the brightest cluster. Subsequently, to reduce computation time, only the connected regions whose areas range between area min , area max are analyzed. Anatomically, one kidney is located between the spine and liver, while the other is located between the spine and spleen. Additionally, to obtain accurate kidney contours, features based on their area, smoothness, shape, and location are taken into account. The selection formula is expressed as follows:
E ( i ) = A i / P i × R s h a p e ( f c i r c l e ( i ) ) × R l o c a t i o n ( i )
where A i and P i represent the area and the perimeter of the connection component i . The ratio of the area to the perimeter A i / P i provides insights into the component’s size and smoothness, thus filtering out small or non-smooth contours such as the abdominal aorta and improperly segmented kidneys. Kidneys typically have an ellipsoidal shape with smooth edges. Then, R s h a p e f c i r c l e i is defined as follows:
R s h a p e f c i r c l e i = 1 ,     i f   f c i r c l e i > 0.6 0 ,     i f   f c i r c l e i 0.6
where f c i r c l e i = 4 × A i / ( π × L i 2 ) , known as circularity, and L i is the long axis length of region i . Anatomically, one kidney is located between the spine and liver, while the other is located between the spine and spleen. We define R l o c a t i o n ( i ) as follows:
R l o c a t i o n i = 1 ,   i f   c i R l e f t 1 ,   i f   c i R r i g h t 0 ,   o t h e r w i s e
where c i is the centroid of the connection component i , and R l e f t and R r i g h t represent the expected anatomical locations of the centroids of the left and right kidneys, respectively. As shown in Figure 5, the blue rectangle indicates the minimum bounding box of the smallest convex polygon enclosing the spine and ribs. We divide this bounding box into two vertical halves and five horizontal sections. The region in the bottom-left of the bounding box is referred to as R l e f t , while the region in the bottom-right is referred to as R r i g h t . The spatial constraint R l o c a t i o n ( i ) helps filter out contours like the heart, while the circularity constraint R s h a p e ( f c i r c l e ( i ) ) helps filter out contours like the kidney and spleen.
The selection of the left and right kidneys is separated, as the best left and right kidneys may not be on the same slice. The most reliable contours of the left and right kidneys can be selected using the following formula:
i l e f t = arg m a x i E ( i ) i r i g h t = arg m i n i E ( i )
Figure 6 shows five contours with red color in two images from two different sequences. The green points are their centroids. By examining the features listed in the yellow rectangle, we can observe that the location restriction and circularity feature help filter out non-kidney regions (regions 2, 4, 5) and a segmentation error in region 3. The final selection of the most reliable contour is based on the highest E value, which corresponds to region 1. This approach ensures accurate and reliable selection of the left and right kidneys, even when they are not on the same slice.
Through the above strategy, we select a kidney with a large area and a clear boundary as the initial contour and assume its slice as the initial segmentation slice. Figure 7 shows the search results of the initial kidney contours from four sequences. The first row displays the left kidney contour, and the second row displays the right.

2.3. Segmentation Based on Improved GCBAC Algorithm

In this study, the segmentation of two kidneys in a sequence is separated, and the same segmentation process is adopted. For the left kidney segmentation, the algorithm first performs the initial slice segmentation and then up-segment and bottom-segment all the remaining slices according to the context continuity. The procedure includes the following steps: (1) obtain the initial left contour without manual initialization by using the automatic searching algorithm described in Section 2.2; (2) segment the left kidney region of the slice with the initial contour by improved graph cut-based active contour (GCBAC) algorithm; (3) take the contour of the last slice as the initial contour and repeat steps (2) until all slices are segmented for the remaining slices; and (4) postprocess.

2.3.1. GCBAC Algorithm with Adaptive Narrow Band

Graph cut-based active contours (GCBACs) [30] differ from the well-known active contours by deforming the target contour iteratively through graph cuts. The main idea behind GCBACs is to find the desired segmentation contour within the contour neighborhood (CN), which is a belt-shaped region around the contour. Within this CN, image pixels are represented by an adjacency graph. The problem of finding the global minimum contour within the CN is formulated as a multi-source multi-sink s−t minimum cut problem on this graph. Here, the pixels on the interior boundary are treated as multiple sources, while the pixels on the exterior boundary are multiple sinks. Subsequently, the multi-source multi-sink minimum cut problem is transformed into a single-source single-sink minimum cut problem. According to the Ford–Fulkerson Theorem [31], the s−t minimum cut problem can be solved using existing max-flow algorithms [32].
The contour neighborhood (CN) in the GCBAC algorithm is a belt-shaped region around the contour, and its size is determined by the user-defined bandwidth parameter. This bandwidth is crucial as it directly affects segmentation performance. To illustrate its impact, we conducted tests with different bandwidths, and we present the results in Figure 8. Figure 8a shows initial contours, while Figure 8b–d display segmentation results with widths of 2, 4, and 6, respectively. The choice of bandwidth significantly influences the segmentation performance, indicating that a single fixed width is suboptimal for all cases.
According to [30], the narrow bandwidth should depend on the size of the object and the image noise level. Since the kidney areas vary in each slice, a fixed width is not suitable for all slices. Additionally, dilating the current contour inwards and outwards with the same width is not reasonable, as demonstrated in Figure 9. The white object in Figure 9a represents the object to be segmented, and the green contour shows its initial contour. After dilating the current contour inwards and outwards with the same width of 10 pixels, we obtain proper sources, which are the interior boundary in the orange narrow band, but the external boundary of the orange narrow band forms poor sinks due to their low probability of belonging to the background. Therefore, this study proposes an adaptive narrow band with two adaptive widths: one for outward dilation and the other for inward dilation. To determine the two widths, the initial kidney slice in CT images is analyzed. Based on the initial segmented kidney, we present an intensity model that analyzes different gray level probabilities on kidneys, which can be expressed as follows:
p o b j i = n i / m
where n i represents the number of pixels with gray level i , and m is the total number of pixels in the initial kidney region. The reason why the bandwidth affects segmentation results is that varying widths will lead to different sources and sinks. A good narrow band is characterized by the inner boundary having more pixels with a high probability of belonging to kidneys, while the outer boundary has more pixels with a low probability. Taking this into account, we introduce two adaptive widths that are defined as follows:
w i n = arg m a x w p C i n ( w ) p o b j ( G p ) w o u t = arg m i n w p C o u t ( w ) p o b j ( G p )
where the dilation width w ranges from 0 to a , where a is the maximum dilation width set to 10 in our paper. Let P be a pixel in the pixel set of the contour C . C i n ( w ) represents the inner boundary of the narrow band acquired by dilating the current contour with width w , while C o u t ( w ) is the outer boundary. G   is a mapping function from the set of voxels p to the set of intensities. In Figure 8, the last column shows the segmentation results of kidneys with two adaptive widths. As observed, the improved GCBAC with adaptive narrow band can achieve good segmentation results.
Our improved GCBAC model can be summarized as follows:
Step 1. Set the initial contour.
Step 2. Search for two dilation widths w i n and w o u t inwards and outwards.
Step 3. Form the current narrow band. After dilating the current contour with width w i n , the inner boundary is treated as the interior contour. And after dilating the current contour with width w o u t , the outer boundary is treated as the exterior contour. The interior contour, the exterior contour, and the region between them form the current narrow band.
Step 4. Represent the image in the current narrow band as an adjacency graph G. Identify all vertices in the inner boundary as a single source s and all vertices in the outer boundary as a single sink t .
Step 5. Apply a max-flow/min-cut algorithm to obtain a new boundary.
Step 6. Update the current contour.
Repeat Steps 2–6 until the algorithm converges.
Figure 10 shows the corresponding schematic of the graph cut-based active contour model with an adaptive narrow band. The input yellow contour is an initial contour in the current slice, and the red contour is the new contour.

2.3.2. Postprocessing

The GCBAC algorithm is efficient but struggles to evolve its contour to the concave areas of the target object. In Figure 11a, the green contour represents the initial contour, and the narrow band is the area between the two red contours. In Figure 11b, the blue contour represents the improved GCBAC segmentation result, while Figure 11c shows the manual segmentation result by experts. It is evident that the curve failed to evolve to the indentation of the kidney, primarily composed of adipose tissue. To address this issue, we incorporate postprocessing to the GCBAC result using the multi-regions volume histogram algorithm. Adipose tissue is low density and will cluster to the class with the smallest clustering center value. Therefore, removing this class from the GCBAC algorithm’s outcome will yield better results.

3. Experimental Results and Analysis

3.1. Datasets and Experimental Setting

The proposed method is implemented in an environment on a Windows-based personal computer with an i7-4710MQ 2.5 GHz CPU, NVidia GeForce 940 GPU, and 8 GB RAM. The code was executed in the PyCharm (version 2021.2.3). To evaluate the performance of our method, we utilize 20 clinical Computed Tomography Angiography (CTA) datasets, which are collected from different patients in Xiangya Hospital of Central South University in China. The datasets are acquired using two types of CT scanners, Philips Brilliance 64 and SOMATOM Sensation 64, after contrast agent injection. The in-plane resolution of all sequences is 512 × 512 pixels, and the inner-slice pixel spacing is within the range of [0.5313, 0.7402] mm. The slice thickness of eleven CT volumes is 1.0 mm, and the other nine volumes are 1.5 mm. The ground truth of the database is provided by radiological experts who performed manual segmentation. To retain the kidney tissues while removing irrelevant structures, we truncate the intensities of all volumes to the range of [−200, 250] and then normalize them to 8-bit images with a grayscale range of [0, 255]. This study was approved by the Ethics Committee of Xiangya Hospital of Central South University, and the requirement to obtain written informed consent was waived.

3.2. Evaluation Metrics

The segmentation results are evaluated by two measures: Dice Similarity Coefficient (DSC) [33] and Average Symmetric Surface Distance (ASD) [34]. These measures can be formulated as follows:
DSC = 2 × | A B | A + | B | × 100 %
where A and B, respectively, represent the segmented kidney regions acquired by the proposed method and truth kidney regions segmented by the radiologists. The DSC is a widely used measure with a range of [0,1]. The higher the value of DSC, the lower the segmentation error. The Average Surface Distance (ASD) is a metric used to quantify the accuracy of segmentation by measuring the average distance between the boundaries of two regions. It is defined as follows:
ASD = 1 S ( A ) + S ( B ) p A S ( A ) d ( p A , S ( B ) ) + p B S ( B ) d ( p B , S ( A ) )
where S ( A ) and S ( B ) , respectively, represent the boundary pixel set of A and B . d ( p ,   S ) denote the shortest Euclidean distance between pixel p and set S . The ASDs are measured in millimeters, and the smaller their value, the closer the segmentation result is to the truth region.

3.3. Experiments and Evaluation

The kidney is surrounded by various tissues and organs, such as the spleen, muscle, spine, blood vessels, and others, and its grayscale is similar to that of the surrounding tissue. Figure 12a–d displays the results of three consecutive slices from four different sequences, respectively. The red curve represents the segmentation contour of the kidney. Despite the challenges posed by the adjacent tissues and organs, our kidney segmentation method is able to achieve desirable results. Moreover, it is reasonable to begin with the initial slice and proceed to segment all the slices in a volume in sequence.

3.3.1. Effect of the Number of L in Multi-Region Volume Histograms

The proposed method utilizes multi-region volume histograms as a crucial clustering algorithm. To assess the impact of varying L values on kidney segmentation, experiments were conducted with L ranging from 20 to 60 in increments of 10. Figure 13 illustrates the segmentation results evaluated using the Dice Similarity Coefficient (DSC). The accompanying box plot summarizes the data distribution, showcasing the median (blue line), average (green triangle), interquartile range (magenta box), maximum, minimum, and outliers. As depicted in Figure 13, different parameter settings demonstrated relatively stable outcomes. Our observations indicate that the average DSC initially rises and then declines with increasing L values. The peak average dice was observed at L = 40. Therefore, it is appropriate to set the number of transformer layers as 40.

3.3.2. Comparison with Unsupervised Segmentation Approaches

To demonstrate the high performance of our kidney segmentation framework, we compare our proposed method with the multi-atlas [35] and kernel graph cuts (KGCs) [36]. For the KGC experiment, the K-Means cluster result is utilized to construct the graph and perform the postprocessing of the filling operation to achieve the best possible results. Figure 14 depicts the kidney segmentation results of four kidneys, where the three rows indicate the corresponding segmentation results of the multi-atlas method, the KGC method, and the proposed method, respectively. The manual ground truth is shown in green, while the segmentation result is in red. From Figure 14a, it can be observed that the multi-atlas method fails to segment the right kidney and the right kidney is over-segmented. The KGC method, as seen from the results, has over- or under-segmentation problems. Additionally, it could not handle low-contrast images, as demonstrated in Figure 14f, and the intensity inhomogeneity of kidneys, particularly the renal medulla, which is not surrounded by the cortex (see Figure 14g). For kidneys with tumors, the multi-atlas method fails to segment the entire kidney, as shown in Figure 14d, and the KGC method cannot segment the tumor part, as shown in Figure 14h. In comparison, our method accurately segments not only the healthy kidneys but also the tumors, as shown in Figure 14l. In comparison with the multi-atlas method and the KGC model, our proposed approach could segment kidneys accurately.
The mean segmentation performances of the chosen three different methods are presented in Table 1. It can be observed that the proposed method achieves higher values of DSC (97.4%) and lower values of ASD (0.5 mm), compared to multi-atlas and KGC, with an improvement of 19.5% and 12.9% in DSC and a reduction of 4.3 mm and 5 mm in ASD, respectively. Figure 15 presents the results of the multi-atlas method (in red), KGC (in green), and our proposed method (in blue) for each sequence. Our method achieves stable and consistent DSC values, with only a small variation observed. In contrast, the results of the multi-atlas and KGC methods are less stable, with the former depending on the specific kidney database used and the latter failing to handle low-contrast sequences and intensity inhomogeneity. Overall, the DSC and ASD results in Table 1 show that our proposed method outperforms the other two ones. Based on the quantitative results above, it can be concluded that the proposed method performs well in terms of similarity to the ground truth labels, as well as the edge segmentation effect of the segmented targets.
Three-dimensional visualization of medical images plays an increasingly important role in the field of computer-aided diagnosis, with extensive applications in virtual endoscopy, surgical planning, and telemedicine. This paper utilizes three-dimensional volume rendering techniques [37,38] to reconstruct the segmented results of the kidney series. Figure 16 shows the three-dimensional reconstruction results of kidney segmentations from two CT series. The successful reconstruction demonstrates the practicality of our proposed method for kidney segmentation.

3.3.3. Comparison with Deep Learning Methods

Furthermore, we compare the segmentation performance of the proposed method with that of some deep neural networks, specifically DeepLab v3+ [39], nnUNet 2D UNet [40], nnUNet 3D UNet [40], TransUNet [41], and TotalSegmentator [42]. We directly use the pre-trained TotalSegmentator for prediction, while the other models are trained with data from ten volumes from scratch: five volumes are used for validation, and the data from the remaining five volumes are used for testing. To avoid model overfitting, training and validation data are augmented. This augmentation includes flipping the images vertically and horizontally, rotating the images with different angles (±45°, ±90°, 180°), and performing image translation in the x and y directions. The experiments are executed on the same device (12 vCPU Intel(R) Xeon(R) Gold 5320 CPU, 32 GB, and NVIDIA GeForce RTX A4000 GPU). We use the RMSprop optimizer with decay = 1 × 10−8 and momentum = 0.9 to optimize trainable parameters. Additionally, a cosine annealing strategy [43] with an initial learning rate of 0.001 is employed. The size of input images is down-sampled to 224 × 224 with cubic spline interpolation. The network is trained with a batch size of 32 for 100 epochs. The model with the smallest loss on the validation data is then used to predict the kidney regions in the testing data.
Figure 17 presents the visual comparison of the segmentation results between the proposed approach and some deep learning-based ones. It is evident from the figure that the performance of TotalSegmentator is relatively lower. While it shows strong performance on general datasets, our experiments indicate potential degradation on datasets not specifically tailored to its training. Other models exhibit varying degrees of over- or under-segmentation. Among these models, 3D UNet performs admirably by leveraging three-dimensional kidney features, although it shows limitations in delayed segmentation results. Our proposed method demonstrates strong capability in segmenting kidneys with varying locations, shapes, and sizes. The segmentation results produced by our method are much closer to the ground truth (GT) compared to those obtained by other networks.
The quantitative evaluation for different methods is reported in Table 2. As can be seen, our proposed method achieves a good performance compared with the existing models. We exceed the TotalSegmentator, DeepLab v3, UNet, TransUNet, and 3D UNet by 37.6%, 8.2%, 4.0%, 2.5%, and 1.7%, respectively. In terms of ASD, the reduction is 4.7 mm, 1.2 mm, 0.5 mm, 0.3 mm, and 0.2 mm, respectively. In addition, the standard deviation (SD) of the mean dice between our model and others is shown in Table 2. As seen, there is not much difference in SD between our model and the comparison model, and they are both stable and balanced.

4. Conclusions

In the clinical diagnosis of kidney disease, the development of an automatic segmentation system is of great importance for medical diagnosis and operation planning. Manual delineation of kidneys by clinicians is laborious and time-consuming due to the large number of image slices generated from the CT scanning. Hence, this paper presents an automatic kidney segmentation method designed for CT images to facilitate closer integration of automatic kidney segmentation into clinical practice.
However, our method has several limitations that deserve attention. Firstly, our method currently relies on specific CT acquisition directions. While it is robust to minor rotations and shifts, its performance degrades significantly with larger variations in image orientation or acquisition angles. This dependency can limit the generalizability of our method to other imaging setups that do not follow the same acquisition protocols. Future work should explore methods to reduce or eliminate this dependency, potentially by incorporating orientation-agnostic techniques or normalization procedures to standardize input data. Secondly, some parameters in our method were chosen empirically because they provided good results in our specific experimental setup. This empirical approach may not ensure optimal performance across different datasets or clinical settings. To address this, future research should focus on developing a more systematic approach to parameter selection. This could involve using adaptive algorithms or machine learning techniques to dynamically adjust parameters based on the specific characteristics of the input data. Additionally, our current study is based on a preliminary set of 20 tests. Due to the limited data, the training data for comparing deep learning models is limited, making the comparison biased. While these initial results are promising, a larger and more diverse dataset would provide a more comprehensive validation of our method’s effectiveness and reliability across various scenarios. Expanding the dataset in future studies will enhance the statistical significance and generalizability of our findings, enabling broader clinical applications. Furthermore, since a kidney comprises four compartments (cortex, column, medulla, and pelvis), future research could focus on the further segmentation of each component of the kidney. This comprehensive approach will provide a more detailed understanding of kidney anatomy and function, enhancing the utility of our segmentation method in clinical practice.

Author Contributions

Methodology, J.H.; Writing—original draft, J.H.; Writing—review & editing, Y.Z., F.Z. and F.H.; Funding acquisition, Y.Z. All authors have read and agreed to the published version of the manuscript.

Funding

This work is partially supported by the National Natural Science Foundation of China (Grant Nos. U23B2063, 62076256, and 62272161), the Key R&D Plan Program of Hunan Province (Grant No. 2023GK2021), the Scientific Research Project of Hunan Provincial Education Department (23A0011), and the 111 Project (Grant No. B18059).

Institutional Review Board Statement

All procedures performed in studies involving human participants were in accordance with the ethical standards of the institutional and/or national research committee and with the 1964 Helsinki Declaration and its later amendments or comparable ethical standards.

Data Availability Statement

The raw data supporting the conclusions of this article will be made available by the authors on request.

Conflicts of Interest

The authors declare no conflicts of interest.

References

  1. Pham, D.L.; Xu, C.; Prince, J.L. Current methods in medical image segmentation. Annu. Rev. Biomed. Eng. 2000, 2, 315–337. [Google Scholar] [CrossRef]
  2. Kim, D.-Y.; Park, J.-W. Computer-aided detection of kidney tumor on abdominal computed tomography scans. Acta Radiol. 2004, 45, 791–795. [Google Scholar] [CrossRef]
  3. Lin, D.-T.; Lei, C.-C.; Hung, S.-W. Computer-aided kidney segmentation on abdominal CT images. IEEE Trans. Inf. Technol. Biomed. 2006, 10, 59–65. [Google Scholar] [CrossRef]
  4. Spiegel, M.; Hahn, D.A.; Daum, V.; Wasza, J.; Hornegger, J. Segmentation of kidneys using a new active shape model generation technique based on non-rigid image registration. Comput. Med. Imaging Graph. 2009, 33, 29–39. [Google Scholar] [CrossRef] [PubMed]
  5. Huang, Y.-P.; Chung, P.-C.; Huang, C.-L.; Huang, C.-R. Multiphase level set with multi dynamic shape models on kidney segmentation of CT image. In 2009 IEEE Biomedical Circuits and Systems Conference; IEEE: Piscataway, NJ, USA, 2009; pp. 141–144. [Google Scholar]
  6. Khalifa, F.; Elnakib, A.; Beache, G.M.; Gimel’farb, G.; El-Ghar, M.A.; Ouseph, R.; Sokhadze, G.; Manning, S.; McClure, P.; El-Baz, A. 3D kidney segmentation from CT images using a level set approach guided by a novel stochastic speed function. In Medical Image Computing and Computer-Assisted Intervention–MICCAI 2011: 14th International Conference, Toronto, Canada, 18–22 September 2011, Proceedings, Part III 14; Springer: Berlin/Heidelberg, Germany, 2011; pp. 587–594. [Google Scholar]
  7. Zhao, E.; Liang, Y.; Fan, H. Contextual information-aided kidney segmentation in CT sequences. Opt. Commun. 2013, 290, 55–62. [Google Scholar] [CrossRef]
  8. Freiman, M.; Kronman, A.; Esses, S.J.; Joskowicz, L.; Sosna, J. Non-parametric iterative model constraint graph min-cut for automatic kidney segmentation. In Medical Image Computing and Computer-Assisted Intervention–MICCAI 2010: 13th International Conference, Beijing, China, 20–24 September 2010, Proceedings, Part III 13; Springer: Berlin/Heidelberg, Germany, 2010; pp. 73–80. [Google Scholar]
  9. Cuingnet, R.; Prevost, R.; Lesage, D.; Cohen, L.D.; Mory, B.; Ardon, R. Automatic detection and segmentation of kidneys in 3D CT images using random forests. In Proceedings of the International Conference on Medical Image Computing and Computer-Assisted Intervention, Nice, France, 1–5 October 2012; Springer: Berlin/Heidelberg, Germany, 2012; pp. 66–74. [Google Scholar]
  10. Chen, X.; Udupa, J.K.; Bagci, U.; Zhuge, Y.; Yao, J. Medical image segmentation by combining graph cuts and oriented active appearance models. IEEE Trans. Image Process. 2012, 21, 2035–2046. [Google Scholar] [CrossRef]
  11. Dakua, S.P.; Abi-Nahed, J. Patient oriented graph-based image segmentation. Biomed. Signal Process. Control. 2013, 8, 325–332. [Google Scholar] [CrossRef]
  12. Dai, G.Y.; Li, Z.C.; Gu, J.; Wang, L.; Li, X.M.; Xie, Y.Q. Segmentation of kidneys from computed tomography using 3D fast growcut algorithm. Appl. Mech. Mater. 2013, 333, 1145–1150. [Google Scholar] [CrossRef]
  13. Xia, K.-J.; Yin, H.-S.; Zhang, Y.-D. Deep semantic segmentation of kidney and space-occupying lesion area based on SCNN and ResNet models combined with SIFT-flow algorithm. J. Med. Syst. 2019, 43, 2. [Google Scholar] [CrossRef]
  14. Sandfort, V.; Yan, K.; Pickhardt, P.J.; Summers, R.M. Data augmentation using generative adversarial networks (CycleGAN) to improve generalizability in CT segmentation tasks. Sci. Rep. 2019, 9, 16884. [Google Scholar] [CrossRef]
  15. da Cruz, L.B.; Araújo, J.D.L.; Ferreira, J.L.; Diniz, J.O.B.; Silva, A.C.; de Almeida, J.D.S.; de Paiva, A.C.; Gattass, M. Kidney segmentation from computed tomography images using deep neural network. Comput. Biol. Med. 2020, 123, 103906. [Google Scholar] [CrossRef]
  16. Kim, T.; Lee, K.H.; Ham, S.; Park, B.; Lee, S.; Hong, D.; Kim, G.B.; Kyung, Y.S.; Kim, C.-S.; Kim, N. Active learning for accuracy enhancement of semantic segmentation with CNN-corrected label curations: Evaluation on kidney segmentation in abdominal CT. Sci. Rep. 2020, 10, 366. [Google Scholar] [CrossRef]
  17. Türk, F.; Lüy, M.; Barışçı, N. Kidney and renal tumor segmentation using a hybrid V-Net-Based model. Mathematics 2020, 8, 1772. [Google Scholar] [CrossRef]
  18. LeCun, Y.; Boser, B.; Denker, J.S.; Henderson, D.; Howard, R.E.; Hubbard, W.; Jackel, L.D. Backpropagation applied to handwritten zip code recognition. Neural Comput. 1989, 1, 541–551. [Google Scholar] [CrossRef]
  19. Anwar, S.M.; Majid, M.; Qayyum, A.; Awais, M.; Alnowami, M.; Khan, M.K. Medical image analysis using convolutional neural networks: A review. J. Med. Syst. 2018, 42, 1–13. [Google Scholar] [CrossRef]
  20. Elyan, E.; Vuttipittayamongkol, P.; Johnston, P.; Martin, K.; McPherson, K.; Jayne, C.; Sarker, M.K. Computer vision and machine learning for medical image analysis: Recent advances, challenges, and way forward. Artif. Intell. Surg. 2022, 2, 24–45. [Google Scholar] [CrossRef]
  21. He, K.; Zhang, X.; Ren, S.; Sun, J. Deep residual learning for image recognition. In Proceedings of the IEEE Conference on Computer Vision and Pattern Recognition, Las Vegas, NV, USA, 26 June–1 July 2016; pp. 770–778. [Google Scholar]
  22. Zhu, J.-Y.; Park, T.; Isola, P.; Efros, A.A. Unpaired image-to-image translation using cycle-consistent adversarial networks. In Proceedings of the IEEE International Conference on Computer Vision, Venice, Italy, 22–29 October 2017; pp. 2223–2232. [Google Scholar]
  23. Çiçek, Ö.; Abdulkadir, A.; Lienkamp, S.S.; Brox, T.; Ronneberger, O. 3D U-Net: Learning dense volumetric segmentation from sparse annotation. In Medical Image Computing and Computer-Assisted Intervention–MICCAI 2016: 19th International Conference, Athens, Greece, 17–21 October 2016, Proceedings, Part II 19; Springer: Berlin/Heidelberg, Germany, 2016; pp. 424–432. [Google Scholar]
  24. Krizhevsky, A.; Sutskever, I.; Hinton, G.E. ImageNet classification with deep convolutional neural networks. Commun. ACM 2017, 60, 84–90. [Google Scholar] [CrossRef]
  25. Ronneberger, O.; Fischer, P.; Brox, T. U-net: Convolutional networks for biomedical image segmentation. In Medical Image Computing and Computer-Assisted Intervention–MICCAI 2015: 18th International Conference, Munich, Germany, 5–9 October 2015, Proceedings, Part III 18; Springer: Berlin/Heidelberg, Germany, 2015; pp. 234–241. [Google Scholar]
  26. Selver, M.A.; Kocaoğlu, A.; Demir, G.K.; Doğan, H.; Dicle, O.; Güzeliş, C. Patient oriented and robust automatic liver segmentation for pre-evaluation of liver transplantation. Comput. Biol. Med. 2008, 38, 765–784. [Google Scholar] [CrossRef]
  27. Vincent, L. Morphological grayscale reconstruction in image analysis: Applications and efficient algorithms. IEEE Trans. Image Process. 1993, 2, 176–201. [Google Scholar] [CrossRef]
  28. Hartigan, J.A.; Wong, M.A.; As, A. Journal of the royal statistical society. R. Stat. Soc. 1979, 28, 100–108. [Google Scholar]
  29. Li, C.; Wang, X.; Li, J.; Eberl, S.; Fulham, M.; Yin, Y.; Feng, D.D. Joint probabilistic model of shape and intensity for multiple abdominal organ segmentation from volumetric CT images. IEEE J. Biomed. Health Inform. 2012, 17, 92–102. [Google Scholar]
  30. Xu, N.; Ahuja, N.; Bansal, R. Object segmentation using graph cuts based active contours. Comput. Vis. Image Underst. 2007, 107, 210–224. [Google Scholar] [CrossRef]
  31. Ford, L.; Fulkerson, D. Flows in Networks; FordFlows in Networks1962; Princeton University Press: Princeton, NJ, USA, 1962. [Google Scholar]
  32. Boykov, Y.; Kolmogorov, V. An experimental comparison of min-cut/max-flow algorithms for energy minimization in vision. IEEE Trans. Pattern Anal. Mach. Intell. 2004, 26, 1124–1137. [Google Scholar] [CrossRef]
  33. Dice, L.R. Measures of the amount of ecologic association between species. Ecology 1945, 26, 297–302. [Google Scholar] [CrossRef]
  34. Zöllner, F.G.; Kociński, M.; Hansen, L.; Golla, A.-K.; Trbalić, A.Š.; Lundervold, A.; Materka, A.; Rogelj, P. Kidney segmentation in renal magnetic resonance imaging-current status and prospects. IEEE Access 2021, 9, 71577–71605. [Google Scholar] [CrossRef]
  35. Yang, G.; Gu, J.; Chen, Y.; Liu, W.; Tang, L.; Shu, H.; Toumoulin, C. Automatic kidney segmentation in CT images based on multi-atlas image registration. In Proceedings of the 2014 36th Annual International Conference of the IEEE Engineering in Medicine and Biology Society, Chicago, IL, USA, 26–30 August 2014; IEEE: Piscataway, NJ, USA, 2014; pp. 5538–5541. [Google Scholar]
  36. Salah, M.B.; Mitiche, A.; Ayed, I.B. Multiregion image segmentation by parametric kernel graph cuts. IEEE Trans. Image Process. 2010, 20, 545–557. [Google Scholar] [CrossRef]
  37. We, L. Marching cubes: A high resolution 3D surface construction algorithm. Comput. Graph. 1987, 21, 7–12. [Google Scholar]
  38. Drebin, R.A.; Carpenter, L.; Hanrahan, P. Volume rendering. ACM Siggraph Comput. Graph. 1988, 22, 65–74. [Google Scholar] [CrossRef]
  39. Chen, L.-C.; Zhu, Y.; Papandreou, G.; Schroff, F.; Adam, H. Encoder-decoder with atrous separable convolution for semantic image segmentation. In Proceedings of the European Conference on Computer Vision (ECCV), Munich, Germany, 8–10 September 2018; pp. 801–818. [Google Scholar]
  40. Isensee, F.; Jaeger, P.F.; Kohl, S.A.; Petersen, J.; Maier-Hein, K.H. nnU-Net: A self-configuring method for deep learning-based biomedical image segmentation. Nat. Methods 2021, 18, 203–211. [Google Scholar] [CrossRef]
  41. Chen, J.; Lu, Y.; Yu, Q.; Luo, X.; Adeli, E.; Wang, Y.; Lu, L.; Yuille, A.L.; Zhou, Y. Transunet: Transformers make strong encoders for medical image segmentation. arXiv 2021, arXiv:2102.04306. [Google Scholar]
  42. Wasserthal, J.; Breit, H.-C.; Meyer, M.T.; Pradella, M.; Hinck, D.; Sauter, A.W.; Heye, T.; Boll, D.T.; Cyriac, J.; Yang, S. TotalSegmentator: Robust segmentation of 104 anatomic structures in CT images. Radiol. Artif. Intell. 2023, 5, e230024. [Google Scholar] [CrossRef]
  43. He, T.; Zhang, Z.; Zhang, H.; Zhang, Z.; Xie, J.; Li, M. Bag of tricks for image classification with convolutional neural networks. In Proceedings of the IEEE/CVF Conference on Computer Vision and Pattern Recognition, Long Beach, CA, USA, 15–20 June 2019; pp. 558–567. [Google Scholar]
Figure 1. Typical kidney CT images displaying different challenges: (a) intensity inhomogeneity, (b) intensity similarity between kidneys and their adjacent tissues, and (c) low intensity of kidneys.
Figure 1. Typical kidney CT images displaying different challenges: (a) intensity inhomogeneity, (b) intensity similarity between kidneys and their adjacent tissues, and (c) low intensity of kidneys.
Mathematics 12 02362 g001
Figure 2. Spine and rib segmentation results of algorithm [26] (the first and second rows) and our shape-based spine and rib removal algorithm (the third row). (a) Original images. (b) Binary images I obtained with a threshold value of 245. (c) Binary images f p with different shapes to identify potential spine and rib regions. (d) Marker images f m created by reversing the binary image f p and dilating with different sizes of the structural element. (e) Segmentation results of the spine and ribs.
Figure 2. Spine and rib segmentation results of algorithm [26] (the first and second rows) and our shape-based spine and rib removal algorithm (the third row). (a) Original images. (b) Binary images I obtained with a threshold value of 245. (c) Binary images f p with different shapes to identify potential spine and rib regions. (d) Marker images f m created by reversing the binary image f p and dilating with different sizes of the structural element. (e) Segmentation results of the spine and ribs.
Mathematics 12 02362 g002
Figure 3. A schematic illustration of multi-region volume histograms.
Figure 3. A schematic illustration of multi-region volume histograms.
Mathematics 12 02362 g003
Figure 4. Cluster result based on multi-region volume histograms. (a) Original abdominal CT image. (b) Cluster result.
Figure 4. Cluster result based on multi-region volume histograms. (a) Original abdominal CT image. (b) Cluster result.
Mathematics 12 02362 g004
Figure 5. The left kidney region R l e f t is indicated by the red color, and the right kidney region R r i g h t is indicated by the green color.
Figure 5. The left kidney region R l e f t is indicated by the red color, and the right kidney region R r i g h t is indicated by the green color.
Mathematics 12 02362 g005
Figure 6. Examples of five contours from two images.
Figure 6. Examples of five contours from two images.
Mathematics 12 02362 g006
Figure 7. (ad) Automatic searching results of the initial kidney contours from four sequences. The first row displays the left kidney contour, and the second row displays the right. The red outline represents the initial contour results.
Figure 7. (ad) Automatic searching results of the initial kidney contours from four sequences. The first row displays the left kidney contour, and the second row displays the right. The red outline represents the initial contour results.
Mathematics 12 02362 g007
Figure 8. Segmentation results with different widths: (a) provides the initial contours, while (be) display segmentation results with widths of 2, 4, 6, and adaptive, respectively. The red contours represent the segmentation results.
Figure 8. Segmentation results with different widths: (a) provides the initial contours, while (be) display segmentation results with widths of 2, 4, 6, and adaptive, respectively. The red contours represent the segmentation results.
Mathematics 12 02362 g008
Figure 9. An example of the generation procedure of a narrow band. The white object represents the segmenting target, while the gray area is the background. (a) The initial contour is marked in green. (b) The generated narrow band is the yellow region.
Figure 9. An example of the generation procedure of a narrow band. The white object represents the segmenting target, while the gray area is the background. (a) The initial contour is marked in green. (b) The generated narrow band is the yellow region.
Mathematics 12 02362 g009
Figure 10. Improved GCBAC algorithm.
Figure 10. Improved GCBAC algorithm.
Mathematics 12 02362 g010
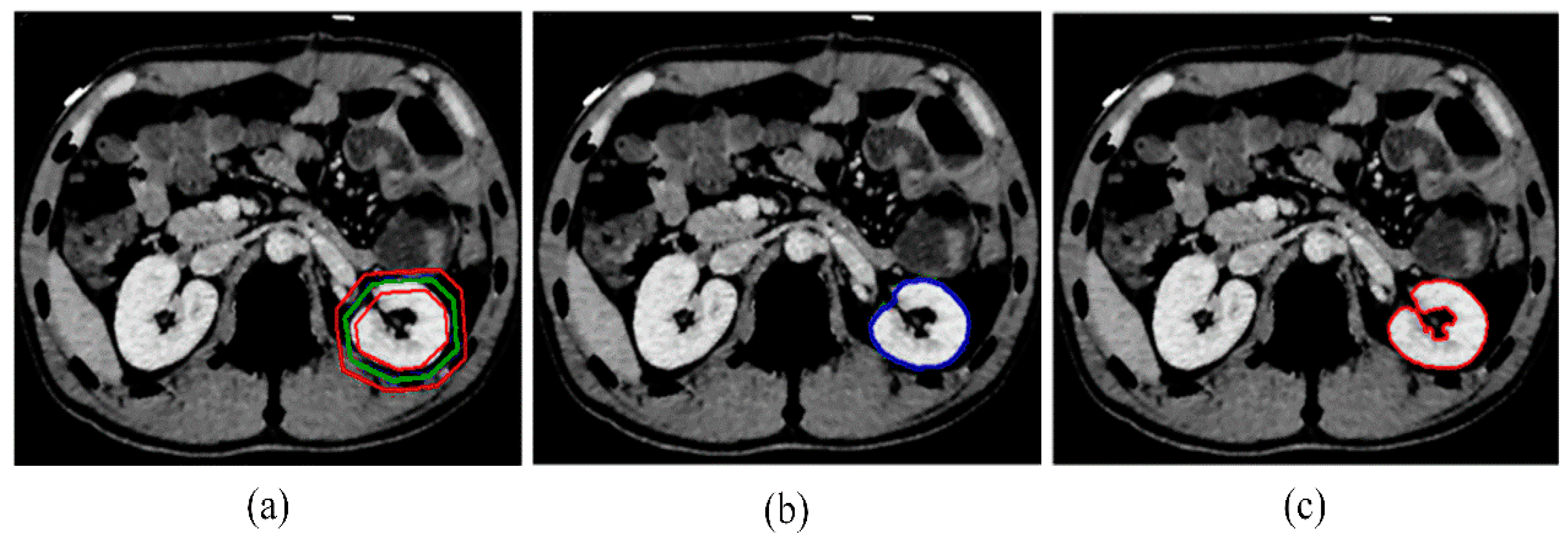
Figure 11. The evolution of GCBAC algorithm. (a) Initial contour is marked in green with its narrow band between red contours. (b) Modified GCBAC algorithm segmentation result is marked in blue. (c) Manual segmentation by experts is marked in red.
Figure 11. The evolution of GCBAC algorithm. (a) Initial contour is marked in green with its narrow band between red contours. (b) Modified GCBAC algorithm segmentation result is marked in blue. (c) Manual segmentation by experts is marked in red.
Mathematics 12 02362 g011
Figure 12. (ad) Results of three consecutive slices from four sequences, respectively. The red curve represents the segmentation contour of the kidney.
Figure 12. (ad) Results of three consecutive slices from four sequences, respectively. The red curve represents the segmentation contour of the kidney.
Mathematics 12 02362 g012
Figure 13. Box-plot illustrating the Dice Similarity Coefficient (DSC) across varying L values in the multi-region volume histograms. It includes the median (blue line), average (green triangle), interquartile range (blue box), maximum, minimum, and outlier.
Figure 13. Box-plot illustrating the Dice Similarity Coefficient (DSC) across varying L values in the multi-region volume histograms. It includes the median (blue line), average (green triangle), interquartile range (blue box), maximum, minimum, and outlier.
Mathematics 12 02362 g013
Figure 14. Comparative segmentation results of four randomly chosen CT slices for the multi-atlas [34] (ad), the KGC [35] (eh), and the proposed approach (il). The segmentation result is shown in red, while the manual ground truth is shown in green.
Figure 14. Comparative segmentation results of four randomly chosen CT slices for the multi-atlas [34] (ad), the KGC [35] (eh), and the proposed approach (il). The segmentation result is shown in red, while the manual ground truth is shown in green.
Mathematics 12 02362 g014
Figure 15. DSC of the segmentation results by the multi-atlas method [35] (red), KGC method [36] (green), and the proposed method (blue) from 20 datasets.
Figure 15. DSC of the segmentation results by the multi-atlas method [35] (red), KGC method [36] (green), and the proposed method (blue) from 20 datasets.
Mathematics 12 02362 g015
Figure 16. Three-dimensional visualization of kidneys according to the segmentation results of the proposed method. (a,b) are the 3D segmentation results for two CT series, respectively.
Figure 16. Three-dimensional visualization of kidneys according to the segmentation results of the proposed method. (a,b) are the 3D segmentation results for two CT series, respectively.
Mathematics 12 02362 g016
Figure 17. Visualization results with some deep learning methods.
Figure 17. Visualization results with some deep learning methods.
Mathematics 12 02362 g017
Table 1. Segmentation performance comparison with results obtained by three different methods.
Table 1. Segmentation performance comparison with results obtained by three different methods.
MethodsDSC [%]↑ASD [mm]↓
Multi-atlas [35]77.9 ± 26.84.8 ± 6.2
KGC [36]84.5 ± 19.15.5 ± 13.9
Ours97.4 ± 1.00.5 ± 0.2
Table 2. Accuracy comparison with deep learning methods.
Table 2. Accuracy comparison with deep learning methods.
MethodsDSC [%]↑ASD [mm]↓
DeepLab v3+ [39]90.0 ± 7.11.5 ± 0.7
UNet [40]94.20 ± 3.10.8 ± 0.3
3D UNet [40]96.5 ± 1.20.5 ± 0.2
TransUNet [39]95.7 ± 1.10.6 ± 0.1
TotalSegmentator [42]60.6 ± 31.45.0 ± 4.5
Ours98.2 ± 0.90.3 ± 0.1
Disclaimer/Publisher’s Note: The statements, opinions and data contained in all publications are solely those of the individual author(s) and contributor(s) and not of MDPI and/or the editor(s). MDPI and/or the editor(s) disclaim responsibility for any injury to people or property resulting from any ideas, methods, instructions or products referred to in the content.

Share and Cite

MDPI and ACS Style

He, J.; Zhao, Y.; Zhang, F.; Hou, F. An Unsupervised Computed Tomography Kidney Segmentation with Multi-Region Clustering and Adaptive Active Contours. Mathematics 2024, 12, 2362. https://doi.org/10.3390/math12152362

AMA Style

He J, Zhao Y, Zhang F, Hou F. An Unsupervised Computed Tomography Kidney Segmentation with Multi-Region Clustering and Adaptive Active Contours. Mathematics. 2024; 12(15):2362. https://doi.org/10.3390/math12152362

Chicago/Turabian Style

He, Jinmei, Yuqian Zhao, Fan Zhang, and Feifei Hou. 2024. "An Unsupervised Computed Tomography Kidney Segmentation with Multi-Region Clustering and Adaptive Active Contours" Mathematics 12, no. 15: 2362. https://doi.org/10.3390/math12152362

APA Style

He, J., Zhao, Y., Zhang, F., & Hou, F. (2024). An Unsupervised Computed Tomography Kidney Segmentation with Multi-Region Clustering and Adaptive Active Contours. Mathematics, 12(15), 2362. https://doi.org/10.3390/math12152362

Note that from the first issue of 2016, this journal uses article numbers instead of page numbers. See further details here.

Article Metrics

Back to TopTop