Deep Learning Approaches for the Segmentation of Glomeruli in Kidney Histopathological Images
Abstract
:1. Introduction and Background
2. Materials and Methods
2.1. Patient Data Collection
2.2. Method: DeepLab V2
2.3. Performance Evaluation
3. Results
3.1. Data Preparation
3.2. Experimental Setting
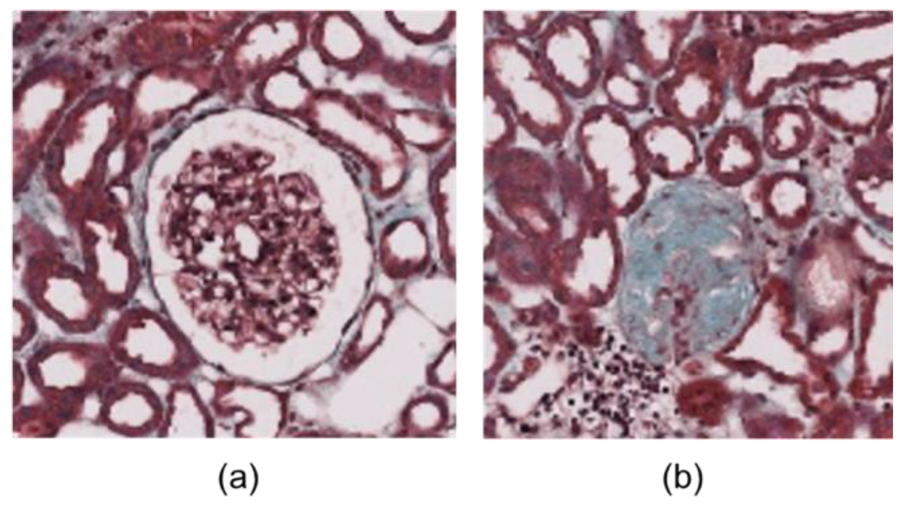
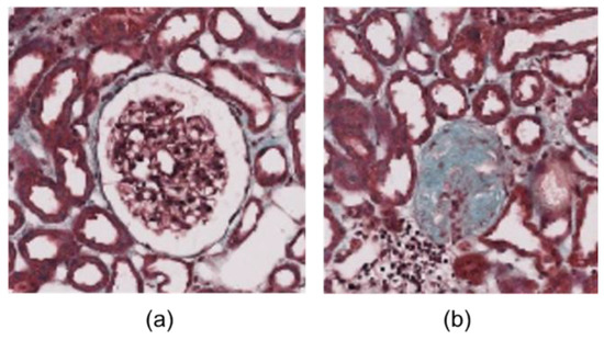
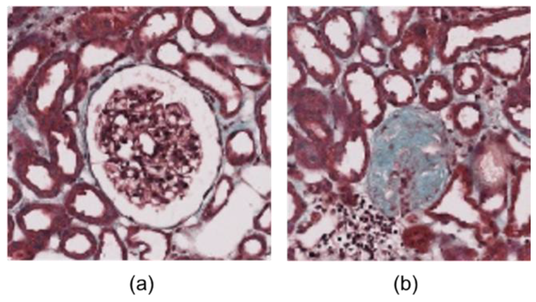
3.2.1. Segmentation of Masson Non-Sclerotic Glomeruli
3.2.2. Segmentation of CD10 Non-Sclerotic Glomeruli
3.2.3. Segmentation of Masson Sclerotic Glomeruli
3.2.4. Segmentation of CD10 Sclerotic Glomeruli
4. Discussion
5. Conclusions
Author Contributions
Funding
Institutional Review Board Statement
Informed Consent Statement
Data Availability Statement
Acknowledgments
Conflicts of Interest
References
- Larrañaga, P.; Calvo, B.; Santana, R.; Bielza, C.; Galdiano, J.; Inza, I.; Lozano, J.A.; Armañanzas, R.; Santafé, G.; Pérez, A.; et al. Machine learning in bioinformatics. Brief. Bioinform. 2006, 7, 86–112. [Google Scholar] [CrossRef] [PubMed] [Green Version]
 - Su, C.; Tong, J.; Zhu, Y.; Cui, P.; Wang, F. Network embedding in biomedical data science. Brief. Bioinform. 2020, 21, 182–197. [Google Scholar] [CrossRef] [PubMed]
 - Dimitri, G.M.; Agrawal, S.; Young, A.; Donnelly, J.; Liu, X.; Smielewski, P.; Hutchinson, P.; Czosnyka, M.; Lió, P.; Haubrich, C. A multiplex network approach for the analysis of intracranial pressure and heart rate data in traumatic brain injured patients. Appl. Netw. Sci. 2017, 2, 29. [Google Scholar] [CrossRef] [PubMed]
 - Dimitri, G.M.; Agrawal, S.; Young, A.; Donnelly, J.; Liu, X.; Smielewski, P.; Hutchinson, P.; Czosnyka, M.; Lio, P.; Haubrich, C. Simultaneous Transients of Intracranial Pressure and Heart Rate in Traumatic Brain Injury: Methods of Analysis. In Intracranial Pressure & Neuromonitoring XVI; Springer: Cham, Switzerland, 2018; pp. 147–151. [Google Scholar]
 - Peterson, E.D. Machine learning, predictive analytics, and clinical practice: Can the past inform the present? JAMA 2019, 322, 2283–2284. [Google Scholar] [CrossRef] [PubMed]
 - Scott, I.A.; Cook, D.; Coiera, E.W.; Richards, B. Machine learning in clinical practice: Prospects and pitfalls. Med. J. Aust. 2019, 211, 203–205. [Google Scholar] [CrossRef] [PubMed]
 - Maenosono, R.; Tullius, S.G. Saving lives by saving kidneys for transplant. JAMA Intern. Med. 2019, 179, 1374–1375. [Google Scholar] [CrossRef] [PubMed]
 - Becker, J.U.; Mayerich, D.; Padmanabhan, M.; Barratt, J.; Ernst, A.; Boor, P.; Cicalese, P.A.; Mohan, C.; Nguyen, H.V.; Roysam, B. Artificial intelligence and machine learning in nephropathology. Kidney Int. 2020, 98, 65–75. [Google Scholar] [CrossRef] [PubMed]
 - Cun, Y.L.; Bengio, Y.; Hinton, G. Deep learning. Nature 2015, 521, 436–444. [Google Scholar]
 - Available online: http://optn.transplant.hrsa.gov/ (accessed on 1 April 2022).
 - Available online: https://www.kidney.org (accessed on 1 March 2022).
 - Karpinski, J.; Lajoie, G.; Cattran, D.; Fenton, S.; Zaltzman, J.; Cardella, C.; Cole, E. Outcome of kidney transplantation from high-risk donors is determined by both structure and function. Transplantation 1999, 67, 1162–1167. [Google Scholar] [CrossRef] [PubMed]
 - Falkson, S.R.; Bordoni, B. Anatomy, Abdomen and Pelvis, Bowman Capsule’s StatPearls Publishing. 2022. Available online: https://www.ncbi.nlm.nih.gov/books/NBK554474/ (accessed on 1 May 2022).
 - Bonechi, S.; Andreini, P.; Mecocci, A.; Giannelli, N.; Scarselli, F.; Neri, E.; Bianchini, M.; Dimitri, G.M. Segmentation of Aorta 3D CT Images Based on 2D Convolutional Neural Networks. Electronics 2021, 10, 2559. [Google Scholar] [CrossRef]
 - Dimitri, G.M.; Spasov, S.; Duggento, A.; Passamonti, L.; Liò, P.; Toschi, N. Unsupervised stratification in neuroimaging through deep latent embeddings. In Proceedings of the 2020 42nd Annual International Conference of the IEEE Engineering in Medicine & Biology Society (EMBC), Montreal, QC, Canada, 20–24 July 2020. [Google Scholar]
 - Guo, Y.; Liu, Y.; Oerlemans, A.; Lao, S.; Wu, S.; Lew, M.S. Deep learning for visual understanding: A review. Neurocomputing 2016, 187, 27–48. [Google Scholar] [CrossRef]
 - Altini, N.; Cascarano, G.D.; Brunetti, A.; Marino, F.; Rocchetti, M.T.; Matino, S.; Venere, U.; Rossini, M.; Pesce, F.; Gesualdo, L.; et al. Semantic segmentation framework for glomeruli detection and classification in kidney histological sections. Electronics 2020, 9, 503. [Google Scholar] [CrossRef] [Green Version]
 - Bueno, G.; Fernandez-Carrobles, M.M.; Gonzalez-Lopez, L.; Deniz, O. Glomerulosclerosis identification in whole slide images using semantic segmentation. Comput. Methods Programs Biomed. 2020, 184, 105273. [Google Scholar] [CrossRef] [PubMed]
 - Temerinac-Ott, M.; Forestier, G.; Schmitz, J.; Hermsen, M.; Bräsen, J.H.; Feuerhake, F.; Wemmert, C. Detection of glomeruli in renal pathology by mutual comparison of multiple staining modalities. In Proceedings of the 10th International Symposium on Image and Signal Processing and Analysis, Ljubljana, Slovenia, 18–20 September 2017. [Google Scholar]
 - Gallego, J.; Pedraza, A.; Lopez, S.; Steiner, G.; Gonzalez, L.; Laurinavicius, A.; Bueno, G. Glomerulus classification and detection based on convolutional neural networks. J. Imaging 2018, 4, 20. [Google Scholar] [CrossRef] [Green Version]
 - Gu, Y.; Ruan, R.; Yan, Y.; Zhao, J.; Sheng, W.; Liang, L.; Huang, B. Glomerulus Semantic Segmentation Using Ensemble of Deep Learning Models. Arab. J. Sci. Eng. 2022, 1–12. [Google Scholar] [CrossRef]
 - Bukowy, J.D.; Dayton, A.; Cloutier, D.; Manis, A.D.; Staruschenko, A.; Lombard, J.H.; Solberg Woods, L.C.; Beard, D.A.; Cowley, A.W., Jr. Region-based convolutional neural nets for localization of glomeruli in trichrome-stained whole kidney sections. J. Am. Soc. Nephrol. 2018, 29, 2081–2088. [Google Scholar] [CrossRef] [PubMed] [Green Version]
 - Stritt, M.; Stalder, A.K.; Vezzali, E. Orbit image analysis: An open-source whole slide image analysis tool. PLoS Comput. Biol. 2020, 16, e1007313. [Google Scholar] [CrossRef] [PubMed]
 - Chen, L.-C.; Papandreou, G.; Kokkinos, I.; Murphy, K.; Yuille, A. DeepLab: Semantic image segmentation with deep convolutional nets, atrous convolution, and fully connected crfs. IEEE Trans. Pattern Anal. Mach. Intell. 2017, 40, 834–848. [Google Scholar] [CrossRef] [PubMed] [Green Version]
 - Available online: https://cocodataset.org/#home (accessed on 1 May 2022).
 - Bankhead, P.; Loughrey, M.B.; Fernández, J.A.; Dombrowski, Y.; McArt, D.G.; Dunne, P.D.; McQuaid, S.; Gray, R.T.; Murray, L.J.; Coleman, H.G.; et al. QuPath: Open source software for digital pathology image analysis. Sci. Rep. 2017, 7, 16878. [Google Scholar] [CrossRef] [PubMed] [Green Version]
 







| Abbreviation | Explanation | 
|---|---|
| CAD | Computer-Aided-Diagnosis | 
| CNN | Convolutional Neural Network | 
| CRF | Conditional Random Field | 
| FCN | Fully Convolutional Network | 
| IOU | Intersection Over Union | 
| PAS | Periodic Acid-Schiff stain | 
| WSI | Whole Slide Image | 
| Center and Image Type | Healthy Glomeruli | Sclerotic Glomeruli | 
|---|---|---|
| Trieste, Masson | 1811 | 168 | 
| Siena, Masson | 2189 | 355 | 
| Siena, CD10 | 7436 | 2317 | 
| Image Type | IOU (Mean ± s.d.) | DICE (Mean ± s.d.) | 
|---|---|---|
| Masson, Non-Sclerotic | 0.98 (±0.024) | 0.98 (±0.012) | 
| CD10, Non-Sclerotic | 0.77 (±0.15) | 0.85 (±0.14) | 
| Masson, Sclerotic | 0.37 (±0.29) | 0.46 (±0.34) | 
| CD10, Sclerotic | 0.66 (±0.24) | 0.53 (±0.22) | 
Publisher’s Note: MDPI stays neutral with regard to jurisdictional claims in published maps and institutional affiliations.  | 
© 2022 by the authors. Licensee MDPI, Basel, Switzerland. This article is an open access article distributed under the terms and conditions of the Creative Commons Attribution (CC BY) license (https://creativecommons.org/licenses/by/4.0/).
Share and Cite
Dimitri, G.M.; Andreini, P.; Bonechi, S.; Bianchini, M.; Mecocci, A.; Scarselli, F.; Zacchi, A.; Garosi, G.; Marcuzzo, T.; Tripodi, S.A. Deep Learning Approaches for the Segmentation of Glomeruli in Kidney Histopathological Images. Mathematics 2022, 10, 1934. https://doi.org/10.3390/math10111934
Dimitri GM, Andreini P, Bonechi S, Bianchini M, Mecocci A, Scarselli F, Zacchi A, Garosi G, Marcuzzo T, Tripodi SA. Deep Learning Approaches for the Segmentation of Glomeruli in Kidney Histopathological Images. Mathematics. 2022; 10(11):1934. https://doi.org/10.3390/math10111934
Chicago/Turabian StyleDimitri, Giovanna Maria, Paolo Andreini, Simone Bonechi, Monica Bianchini, Alessandro Mecocci, Franco Scarselli, Alberto Zacchi, Guido Garosi, Thomas Marcuzzo, and Sergio Antonio Tripodi. 2022. "Deep Learning Approaches for the Segmentation of Glomeruli in Kidney Histopathological Images" Mathematics 10, no. 11: 1934. https://doi.org/10.3390/math10111934
APA StyleDimitri, G. M., Andreini, P., Bonechi, S., Bianchini, M., Mecocci, A., Scarselli, F., Zacchi, A., Garosi, G., Marcuzzo, T., & Tripodi, S. A. (2022). Deep Learning Approaches for the Segmentation of Glomeruli in Kidney Histopathological Images. Mathematics, 10(11), 1934. https://doi.org/10.3390/math10111934
        
                                                
