Comparative Label-Based Proteomics of Venoms from Echis ocellatus, Naja nigricollis, and Bitis arietans
Abstract
1. Introduction
2. Materials and Methods
2.1. Snake Venom Samples
2.2. Chemicals and Reagents
2.3. Venom Protein Extraction and Solubilization
2.4. Quality Control of Protein Extraction
2.5. One-Dimensional SDS-PAGE
2.6. In-Solution Protein Digestion
2.7. Isobaric Peptide Labeling
2.8. Peptide Fractionation
2.9. Liquid Chromatography
2.10. Mass Spectrometry (MS/MS) Analysis
2.11. Database Search
2.12. Protein Quantification and Data Analysis
3. Results
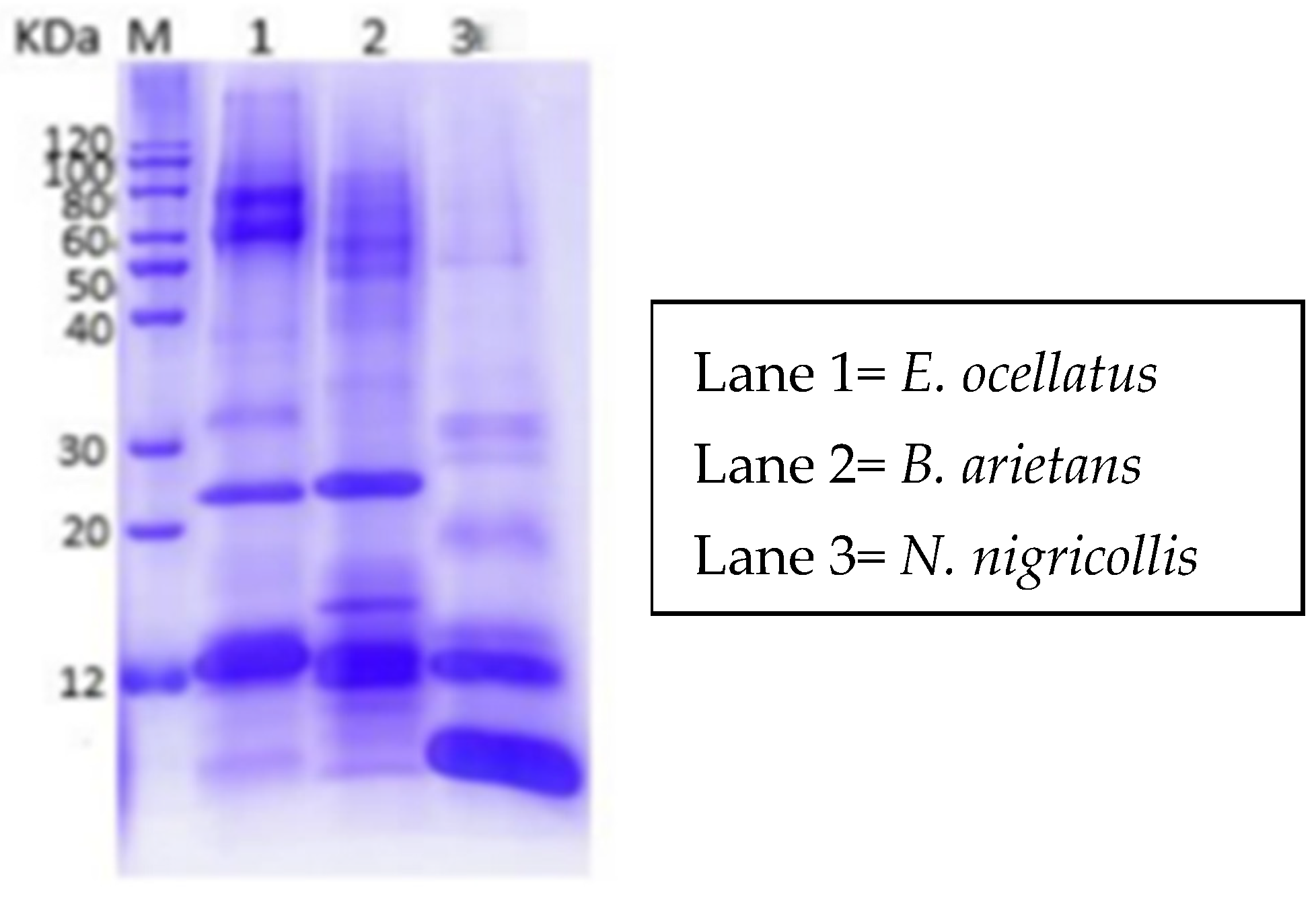
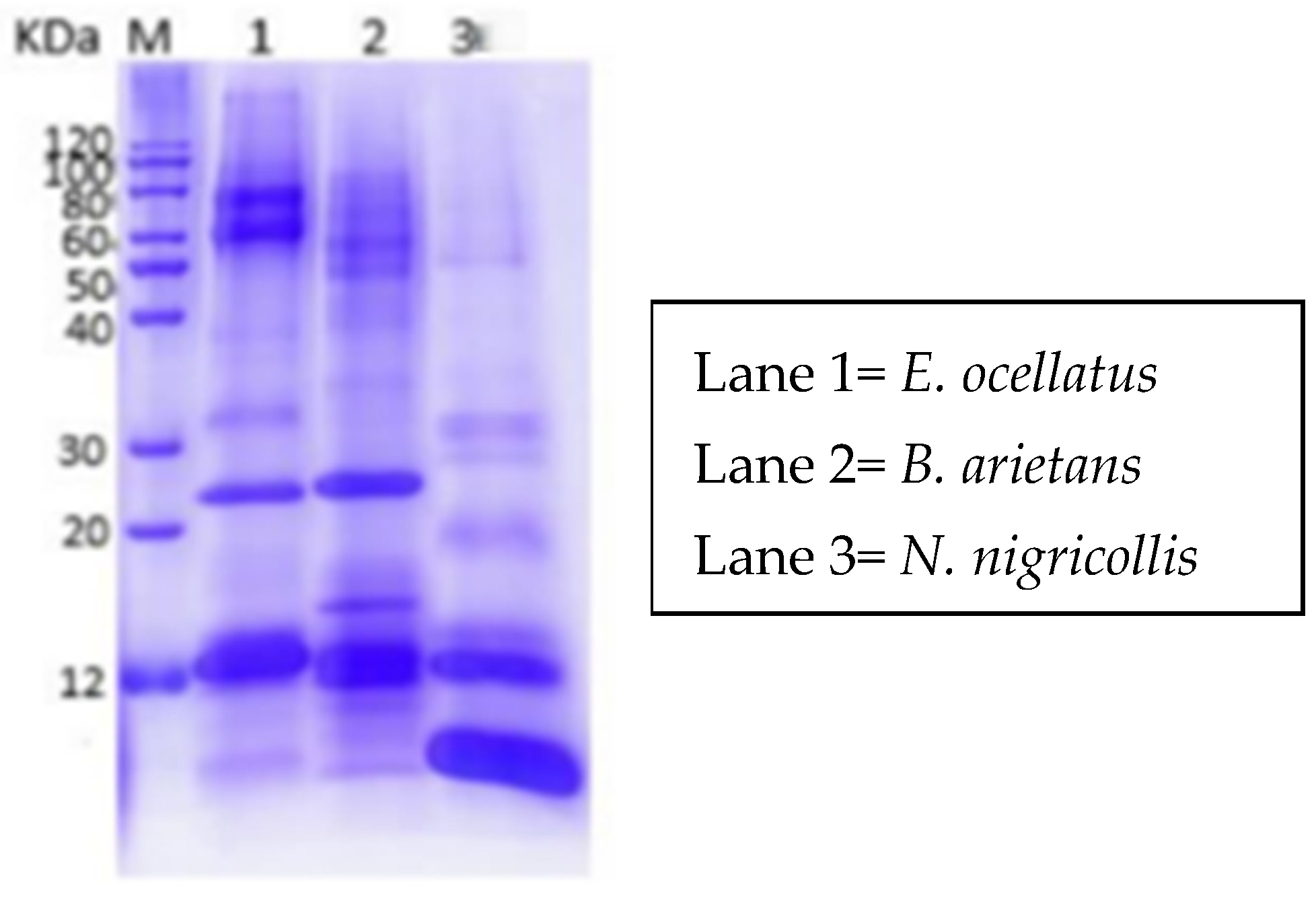
3.1. One-Dimensional SDS-PAGE of the Crude Snake Venoms
3.2. Snake Venom Proteomic Characterization Using LC-MS/MS
3.3. Relative Distribution of the Protein Families
3.4. Relative Distribution of Protein Families Based on Protein Sequence Coverage
3.5. Protein Mass Distribution, Unique Peptide Number and Protein Coverage Distribution
4. Discussion
4.1. Proteome Identification
4.2. Pathological Mechanisms of the Toxin Families
- Only one iTRAQ experiment was conducted without technical or biological replicates due to sample and cost constraints. Although this may raise concerns about reproducibility, several studies have demonstrated that iTRAQ experiments, when carefully executed, are highly reproducible even in the absence of replicates. Accordingly, Karp et al. [13] and Mertins et al. [14] all reported strong consistency and low technical variability in iTRAQ quantification. Similarly, to enhance confidence in our findings, we implemented rigorous quality control measures, including cross-database searches (SwissProt, PDB, NCBI), stringent peptide/protein FDR thresholds (<1%), and robust data normalization and statistical validation.
- The bottom-up proteomics approach used in this study effectively identifies a wide range of proteins but may overlook proteoform diversity resulting from post-translational modifications (PTMs) or alternative splicing events. Future studies incorporating top-down proteomics or PTM-specific enrichment strategies may provide a more complete view of venom complexity.
- Venom samples were pooled by species prior to analysis. While this approach enhances protein representation, it may mask individual or population-level variability in venom composition.
- Although iTRAQ labeling allows for efficient multiplexing, it may introduce ratio distortion and quantification bias under certain conditions. Nonetheless, our normalization and statistical analysis steps were designed to mitigate these effects.
- Several proteins, especially from N. nigricollis venom, remain functionally unannotated. These proteins require further characterization through functional assays and structural studies to clarify their biological roles and potential therapeutic or toxicological significance.
- Some protein identifications were based on single unique peptides, which are inherently less robust and more susceptible to changes in database annotation. We addressed this by applying strict FDR control, using high-confidence scores, and focusing on biologically relevant proteins, but these identifications should be validated through targeted proteomic methods such as SRM or PRM.
5. Conclusions
Supplementary Materials
Author Contributions
Funding
Institutional Review Board Statement
Informed Consent Statement
Data Availability Statement
Acknowledgments
Conflicts of Interest
References
- Fernández C, E.A.; Youssef, P. Snakebites in the Americas: A Neglected Problem in Public Health. Curr. Trop. Med. Rep. 2024, 11, 19–27. [Google Scholar] [CrossRef]
- World Health Organization. Target Product Profiles for Animal Plasma-Derived Antivenoms: Antivenoms for Treatment of Snakebite Envenoming in Sub-Saharan Africa. apps.who.int. 2023. Available online: https://apps.who.int/iris/bitstream/handle/10665/369786/9789240074569-eng.pdf?sequence=1 (accessed on 11 November 2024).
- Panchagnula, U.; Thomas, A.N. The wrong arterial line flush solution. Anaesthesia 2007, 62, 1077–1078. [Google Scholar] [CrossRef] [PubMed]
- Habib, A.G. Public health aspects of snakebite care in West Africa: Perspectives from Nigeria. J. Venom. Anim. Toxins Incl. Trop. Dis. 2013, 19, 27. [Google Scholar] [CrossRef]
- WHO. Guidelines for the Prevention and Clinical Management of Snakebite in Africa. Available online: https://www.who.int/publications/i/item/9789290231684 (accessed on 20 December 2024).
- Slagboom, J.; Kool, J.; Harrison, R.A.; Casewell, N.R. Haemotoxic snake venoms: Their functional activity, impact on snakebite victims and pharmaceutical promise. Br. J. Haematol. 2017, 177, 947–959. [Google Scholar] [CrossRef] [PubMed]
- Escoubas, P.; Quinton, L.; Nicholson, G.M. Venomics: Unravelling the complexity of animal venoms with mass spectrometry. J. Mass Spectrom. 2008, 43, 279–295. [Google Scholar] [CrossRef]
- Calvete, J.J.; Lomonte, B.; Saviola, A.J.; Celis, F.C.; Encinar, J.R. Quantification of snake venom proteomes by mass spectrometry-considerations and perspectives. Mass Spectrom. Rev. 2024, 43, 977–997. [Google Scholar] [CrossRef]
- Gygi, S.P.; Rist, B.; Gerber, S.A.; Turecek, F.; Gelb, M.H.; Aebersold, R. Quantitative analysis of complex protein mixtures using isotope-coded affinity tags. Nat. Biotechnol. 1999, 17, 994–999. [Google Scholar] [CrossRef]
- Han, D.K.; Eng, J.; Zhou, H.; Aebersold, R. Quantitative profiling of differentiation-induced microsomal proteins using isotope-coded affinity tags and mass spectrometry. Nat. Biotechnol. 2001, 19, 946–951. [Google Scholar] [CrossRef]
- Zelanis, A.; Tashima, A.K.; Pinto, A.F.M.; Leme, A.F.P.; Stuginski, D.R.; Furtado, M.F.; Sherman, N.E.; Ho, P.L.; Fox, J.W.; Serrano, S.M.T. Bothrops jararaca venom proteome rearrangement upon neonate to adult transition. Proteomics 2011, 11, 4218–4228. [Google Scholar] [CrossRef]
- Gao, J.-F.; Qu, Y.-F.; Zhang, X.-Q.; He, Y.; Ji, X. Neonate-to-adult transition of snake venomics in the short-tailed pit viper, Gloydius brevicaudus. J. Proteom. 2013, 84, 148–157. [Google Scholar] [CrossRef]
- Unwin, R.D.; Griffiths, J.R.; Whetton, A.D. Simultaneous analysis of relative protein expression levels across multiple samples using iTRAQ isobaric tags with 2D nano LC–MS/MS. Nat. Protoc. 2010, 5, 1574–1582. [Google Scholar] [CrossRef] [PubMed]
- Wühr, M.; Haas, W.; McAlister, G.C.; Peshkin, L.; Rad, R.; Kirschner, M.W.; Gygi, S.P. Accurate multiplexed proteomics at the MS2 level using the complement reporter ion cluster. Anal. Chem. 2012, 84, 9214–9221. [Google Scholar] [CrossRef] [PubMed]
- McGrath, J.; Drummond, G.; McLachlan, E.; Kilkenny, C.; Wainwright, C. Guidelines for reporting experiments involving animals: The ARRIVE guidelines. Br. J. Pharmacol. 2010, 160, 1573–1576. [Google Scholar] [CrossRef]
- Bradford, M.M. A rapid and sensitive method for the quantitation of microgram quantities of protein utilizing the principle of protein-dye binding. Anal. Biochem. 1976, 72, 248–254. [Google Scholar] [CrossRef]
- Sivanich, M.K.; Gu, T.; Tabang, D.N.; Li, L. Recent advances in isobaric labeling and applications in quantitative proteomics. Proteomics 2022, 22, e2100256. [Google Scholar] [CrossRef]
- Mertins, P.; Udeshi, N.D.; Clauser, K.R.; Mani, D.R.; Patel, J.; Ong, S.-E.; Jaffe, J.D.; Carr, S.A. iTRAQ labeling is superior to mTRAQ for quantitative global proteomics and phosphoproteomics. Mol. Cell. Proteom. 2012, 11, M111.014423. [Google Scholar] [CrossRef]
- Karp, N.A.; Huber, W.; Sadowski, P.G.; Charles, P.D.; Hester, S.V.; Lilley, K.S. Addressing accuracy and precision issues in iTRAQ quantitation. Mol. Cell. Proteom. 2010, 9, 1885–1897. [Google Scholar] [CrossRef]
- Tasoulis, T.; Isbister, G.K. A review and database of snake venom proteomes. Toxins 2017, 9, 290. [Google Scholar] [CrossRef]
- Petras, D.; Sanz, L.; Segura, Á.; Herrera, M.; Villalta, M.; Solano, D.; Vargas, M.; León, G.; Warrell, D.A.; Theakston, R.D.G.; et al. Snake venomics of African spitting cobras: Toxin composition and assessment of congeneric cross-reactivity of the Pan-African EchiTAb-Plus-ICP antivenom by antivenomics and neutralization approaches. J. Proteome Res. 2011, 10, 1266–1280. [Google Scholar] [CrossRef]
- Chowdhury, A.; Zdenek, C.N.; Lewin, M.R.; Carter, R.; Jagar, T.; Ostanek, E.; Harjen, H.; Aldridge, M.; Soria, R.; Haw, G.; et al. Venom-Induced Blood Disturbances by Palearctic Viperid Snakes, and Their Relative Neutralization by Antivenoms and Enzyme-Inhibitors. Front. Immunol. 2021, 12, 688802. [Google Scholar] [CrossRef]
- Gutiérrez, J.M.; Calvete, J.J.; Habib, A.G.; Harrison, R.A.; Williams, D.J.; Warrell, D.A. Snakebite envenoming. Nat. Rev. Dis. Prim. 2017, 3, nrdp201764. [Google Scholar] [CrossRef] [PubMed]
- Tsiatsiani, L.; Heck, A.J.R. Proteomics beyond trypsin. FEBS J. 2015, 282, 2612–2626. [Google Scholar] [CrossRef] [PubMed]
- Negi, S.S.; Schein, C.H.; Ladics, G.S.; Mirsky, H.; Chang, P.; Rascle, J.-B.; Kough, J.; Sterck, L.; Papineni, S.; Jez, J.M.; et al. Functional classification of protein toxins as a basis for bioinformatic screening. Sci. Rep. 2017, 7, 13940. [Google Scholar] [CrossRef] [PubMed]
- Thompson, A.; Schäfer, J.; Kuhn, K.; Kienle, S.; Schwarz, J.; Schmidt, G.; Neumann, T.; Hamon, C. Tandem mass tags: A novel quantification strategy for comparative analysis of complex protein mixtures by MS/MS. Anal. Chem. 2003, 75, 1895–1904. [Google Scholar] [CrossRef]
- Wen, B.; Zhou, R.; Feng, Q.; Wang, Q.; Wang, J.; Liu, S. IQuant: An automated pipeline for quantitative proteomics based upon isobaric tags. Proteomics 2014, 14, 2280–2285. [Google Scholar] [CrossRef]
- Aebersold, R.; Mann, M. Mass spectrometry-based proteomics. Nature 2003, 422, 198–207. [Google Scholar] [CrossRef]
- Katali, O.; Shipingana, L.; Nyarangó, P.; Pääkkönen, M.; Haindongo, E.; Rennie, T.; James, P.; Eriksson, J.; Hunter, C.J. Protein identification of venoms of the African spitting cobras, naja mossambica and naja nigricincta nigricincta. Toxins 2020, 12, 520. [Google Scholar] [CrossRef]
- Burin, S.M.; Menaldo, D.L.; Sampaio, S.V.; Frantz, F.G.; Castro, F.A. An overview of the immune modulating effects of enzymatic toxins from snake venoms. Int. J. Biol. Macromol. 2018, 109, 664–671. [Google Scholar] [CrossRef]
- Gasanov, S.E. Snake Venom Cytotoxins, Phospholipase A2s, and Zn2+-dependent Metalloproteinases: Mechanisms of Action and Pharmacological Relevance. J. Clin. Toxicol. 2014, 4, 1000181. [Google Scholar] [CrossRef]
- Calvete, J.J.; Juárez, P.; Sanz, L. Snake venomics. Strategy and applications. J. Mass Spectrom. 2007, 42, 1405–1414. [Google Scholar] [CrossRef]
- Dingwoke, E.J.; Adamude, F.A.; Mohamed, G.; Klein, A.; Salihu, A.; Abubakar, M.S.; Sallau, A.B. Venom proteomic analysis of medically important Nigerian viper Echis ocellatus and Bitis arietans snake species. Biochem. Biophys. Rep. 2021, 28, 101164. [Google Scholar] [CrossRef] [PubMed]
- Casewell, N.R.; Harrison, R.A.; Wüster, W.; Wagstaff, S.C. Comparative venom gland transcriptome surveys of the saw-scaled vipers (Viperidae: Echis) reveal substantial intra-family gene diversity and novel venom transcripts. BMC Genom. 2009, 10, 564. [Google Scholar] [CrossRef] [PubMed]
- Patel, V.J.; Thalassinos, K.; Slade, S.E.; Connolly, J.B.; Crombie, A.; Murrell, J.C.; Scrivens, J.H. A comparison of labeling and label-free mass spectrometry-based proteomics approaches. J. Proteome Res. 2009, 8, 3752–3759. [Google Scholar] [CrossRef] [PubMed]
- Meyer, B.; Papasotiriou, D.G.; Karas, M. 100% protein sequence coverage: A modern form of surrealism in proteomics. Amino Acids 2011, 41, 291–310. [Google Scholar] [CrossRef]
- Boja, E.S.; Rodriguez, H. Mass spectrometry-based targeted quantitative proteomics: Achieving sensitive and reproducible detection of proteins. Proteomics 2012, 12, 1093–1110. [Google Scholar] [CrossRef]
- Chippaux, J.P. Ophidian envenomations and emergencies in Sub-Saharan Africa. Bull. Soc. Pathol. Exot. 2005, 98, 263–268. [Google Scholar]
- Kini, R.M. Excitement ahead: Structure, function and mechanism of snake venom phospholipase A2 enzymes. Toxicon 2003, 42, 827–840. [Google Scholar] [CrossRef]
- Tsetlin, V. Snake venom α-neurotoxins and other ‘three-finger’ proteins. Eur. J. Biochem. 1999, 264, 281–286. [Google Scholar] [CrossRef]
- Kini, R.M.; Doley, R. Structure, function and evolution of three-finger toxins: Mini proteins with multiple targets. Toxicon 2010, 56, 855–867. [Google Scholar] [CrossRef]
- Calvete, J.J. Snake venomics: From the inventory of toxins to biology. Toxicon 2013, 75, 44–62. [Google Scholar] [CrossRef]
- Gutiérrez, J.M.; Rucavado, A. Snake venom metalloproteinases: Their role in the pathogenesis of local tissue damage. Biochimie 2000, 82, 841–850. [Google Scholar] [CrossRef] [PubMed]
- Kini, R.M.; Koh, C.Y. Metalloproteases affecting blood coagulation, fibrinolysis and platelet aggregation from snake venoms: Definition and nomenclature of interaction sites. Toxins 2016, 8, 284. [Google Scholar] [CrossRef] [PubMed]
- Terra, R.M.; Pinto, A.F.; Guimarães, J.A.; Fox, J.W. Proteomic profiling of snake venom metalloproteinases (SVMPs): Insights into venom induced pathology. Toxicon 2009, 54, 836–844. [Google Scholar] [CrossRef]
- Astudillo, A.M.; Balboa, M.A.; Balsinde, J. Selectivity of phospholipid hydrolysis by phospholipase A2 enzymes in activated cells leading to polyunsaturated fatty acid mobilization. Biochim. Biophys. Acta (BBA)-Mol. Cell Biol. Lipids 2019, 1864, 772–783. [Google Scholar] [CrossRef]
- Schaloske, R.H.; Dennis, E.A. The phospholipase A2 superfamily and its group numbering system. Biochim. Biophys. Acta (BBA)-Mol. Cell Biol. Lipids 2006, 1761, 1246–1259. [Google Scholar] [CrossRef]
- Brown, G.D.; Willment, J.A.; Whitehead, L. C-type lectins in immunity and homeostasis. Nat. Rev. Immunol. 2018, 18, 374–389. [Google Scholar] [CrossRef]
- Brust, A.; Sunagar, K.; Undheim, E.A.; Vetter, I.; Yang, D.C.; Casewell, N.R.; Jackson, T.N.W.; Koludarov, I.; Alewood, P.F.; Hodgson, W.C.; et al. Differential evolution and neofunctionalization of snake venom metalloprotease domains. Mol. Cell. Proteom. 2013, 12, 651–663. [Google Scholar] [CrossRef]
- Yamazaki, Y.; Morita, T. Structure and function of snake venom cysteine-rich secretory proteins. Toxicon 2004, 44, 227–231. [Google Scholar] [CrossRef]
- Valenta, J.; Hlavackova, A.; Stach, Z.; Stikarova, J.; Havlicek, M.; Michalek, P. Fibrinogenolysis in Venom-Induced Consumption Coagulopathy after Viperidae Snakebites: A Pilot Study. Toxins 2022, 14, 538. [Google Scholar] [CrossRef]
- Kini, R.M. Serine proteases affecting blood coagulation and fibrinolysis from snake venoms. Pathophysiol. Haemost. Thromb. 2006, 34, 200–204. [Google Scholar] [CrossRef]
- Wegner, J. Biochemistry of Serine Protease Inhibitors and Their Mechanisms of Action: A Review. J. Extracorpor. Technol. 2003, 35, 326–338. [Google Scholar] [CrossRef]
- Dhananjaya, B.L.; D’SOuza, C.J.M. The pharmacological role of nucleotidases in snake venoms. Cell Biochem. Funct. 2010, 28, 171–177. [Google Scholar] [CrossRef] [PubMed]
- Fung, S.-Y.; Tan, N.-H. Snake Venom L-Amino Acid Oxidases. In Handbook of Venoms and Toxins of Reptiles; CRC Press: Boca Raton, FL, USA, 2009; pp. 221–235. [Google Scholar] [CrossRef]
- Paloschi, M.V.; Pontes, A.S.; Soares, A.M.; Zuliani, J.P. An Update on Potential Molecular Mechanisms Underlying the Actions of Snake Venom L-amino Acid Oxidases (LAAOs). Curr. Med. Chem. 2018, 25, 2520–2530. [Google Scholar] [CrossRef] [PubMed]
- Chernyshenko, V.; Petruk, N.; Korolova, D.; Kasatkina, L.; Gornytska, O.; Platonova, T.; Chernyshenko, T.; Rebriev, A.; Dzhus, O.; Garmanchuk, L.; et al. Antiplatelet and anti-proliferative action of disintegrin from Echis multisquamatis snake venom. Croat. Med. J. 2017, 58, 118–127. [Google Scholar] [CrossRef]
- Levi-Montalcini, R. The Nerve Growth Factor: Its Role in Growth, Differentiation and Function of the Sympathetic Adrenergic Neuron. Prog. Brain Res. 1976, 45, 235–258. [Google Scholar] [CrossRef]
- Pawlak, J.; Kini, R.M. Snake venom glutaminyl cyclase. Toxicon 2006, 48, 278–286. [Google Scholar] [CrossRef]
- Van Gent, D.; Sharp, P.; Morgan, K.; Kalsheker, N. Serpins: Structure, function and molecular evolution. Int. J. Biochem. Cell Biol. 2003, 35, 1536–1547. [Google Scholar] [CrossRef]
- Harvey, A.L. Snake Peptides. In Handbook of Biologically Active Peptides; Elsevier: Amsterdam, The Netherlands, 2013; pp. 451–460. [Google Scholar] [CrossRef]
- Brömme, D.; Wilson, S. Role of Cysteine Cathepsins in Extracellular Proteolysis. Biol. Extracell. Matrix 2011, 2, 23–51. [Google Scholar] [CrossRef]
- Wajcman, H.; Kiger, L.; Marden, M.C. Structure and function evolution in the superfamily of globins. Comptes Rendus Biol. 2009, 332, 273–282. [Google Scholar] [CrossRef]








| Abbreviation | Snake Venom Toxin Family | Identification Status | PSC (%) | MM (kDa) | ||
|---|---|---|---|---|---|---|
| E. ocellatus | B. arietans | N. nigricollis | ||||
| Major toxin families | ||||||
| PLA2 | Phospholipase A2 | ✔ | ✔ | ✔ | 29–46 | 29–43 |
| SVMP | Snake venom metalloproteinase | ✔ | ✔ | ✔ | 5–12 | 94–2135 |
| SVSP | Snake venom serine protease | ✔ | ✔ | ✔ | 16–21 | 31–210 |
| CTL | C-type lectin | ✔ | ✔ | ✔ | 4–29 | 19–24 |
| 3FTX | 3-finger toxin | ✗ | ✗ | ✔ | 27 | 78.9 |
| Secondary toxin families | ||||||
| DI | Disintegrin | ✔ | ✔ | ✗ | 30–40 | 14–21 |
| LAAO | L-amino acid oxidase | ✔ | ✗ | ✔ | 21–32 | 58–113 |
| CRISP | Cysteine-rich secretory protein | ✔ | ✗ | ✔ | 18–48 | 25–29 |
| VEGFs | Vascular endothelial growth factors | ✗ | ✔ | ✔ | 2–17 | 17–48 |
| PIs | Protease Inhibitors | ✗ | ✔ | ✔ | 16–27 | 27–114 |
| Minor toxin families | ||||||
| NGF | Nerve growth factor | ✗ | ✔ | ✔ | 15–30 | 25–27 |
| 5NTD | 5′-nucleotidase | ✗ | ✗ | ✔ | 34 | 121 |
| PDE | Phosphodiesterase | ✗ | ✗ | ✔ | 9.5 | 18 |
| PLB | Phospholipase B | ✔ | ✗ | ✔ | 24–26 | 35–64 |
| HYAL | Hyaluronidase | ✔ | ✗ | ✗ | 9 | 52 |
| CYS | Cystatin | ✗ | ✔ | ✔ | 8–17 | 16–29 |
| Rare families (selection) | ||||||
| QC | Glutaminyl cyclotransferase | ✗ | ✗ | ✔ | 34 | 42 |
| CVF | Cobra venom factor | ✗ | ✗ | ✔ | 19 | 211 |
| Cathepsin | ✔ | ✗ | ✔ | 3–10 | 44–77 | |
Disclaimer/Publisher’s Note: The statements, opinions and data contained in all publications are solely those of the individual author(s) and contributor(s) and not of MDPI and/or the editor(s). MDPI and/or the editor(s) disclaim responsibility for any injury to people or property resulting from any ideas, methods, instructions or products referred to in the content. |
© 2025 by the authors. Licensee MDPI, Basel, Switzerland. This article is an open access article distributed under the terms and conditions of the Creative Commons Attribution (CC BY) license (https://creativecommons.org/licenses/by/4.0/).
Share and Cite
Adio, A.A.-I.; Uko, S.O.; Lawal, J.M.; Malami, I.; Lawal, N.; Jega, A.J.Y.; Abubakar, B.; Bello, M.B.; Ibrahim, K.G.; Abubakar, M.B.; et al. Comparative Label-Based Proteomics of Venoms from Echis ocellatus, Naja nigricollis, and Bitis arietans. Proteomes 2025, 13, 31. https://doi.org/10.3390/proteomes13030031
Adio AA-I, Uko SO, Lawal JM, Malami I, Lawal N, Jega AJY, Abubakar B, Bello MB, Ibrahim KG, Abubakar MB, et al. Comparative Label-Based Proteomics of Venoms from Echis ocellatus, Naja nigricollis, and Bitis arietans. Proteomes. 2025; 13(3):31. https://doi.org/10.3390/proteomes13030031
Chicago/Turabian StyleAdio, Abdulbaki Alfa-Ibrahim, Samuel Odo Uko, Jiddah Muhammad Lawal, Ibrahim Malami, Nafiu Lawal, Amina Jega Yusuf Jega, Bilyaminu Abubakar, Muhammad Bashir Bello, Kasimu Ghandi Ibrahim, Murtala Bello Abubakar, and et al. 2025. "Comparative Label-Based Proteomics of Venoms from Echis ocellatus, Naja nigricollis, and Bitis arietans" Proteomes 13, no. 3: 31. https://doi.org/10.3390/proteomes13030031
APA StyleAdio, A. A.-I., Uko, S. O., Lawal, J. M., Malami, I., Lawal, N., Jega, A. J. Y., Abubakar, B., Bello, M. B., Ibrahim, K. G., Abubakar, M. B., Abdussamad, A. M., Abubakar, M. S., & Imam, M. U. (2025). Comparative Label-Based Proteomics of Venoms from Echis ocellatus, Naja nigricollis, and Bitis arietans. Proteomes, 13(3), 31. https://doi.org/10.3390/proteomes13030031

