Changes in the Saliva Proteome of Pigs with Diarrhoea Caused by Escherichia coli
Abstract
1. Introduction
2. Materials and Methods
2.1. Population of Animals
2.2. Saliva Collection and Sample Processing
2.3. SDS PAGE
2.4. Two-Dimensional (2-DE) Gel Electrophoresis
2.5. In-Gel Trypsin Digestion
2.6. Protein Identification through HPLC-MS/MS Analysis
2.7. Statistical Analysis
2.8. Validation
3. Results
3.1. Total Protein Concentration
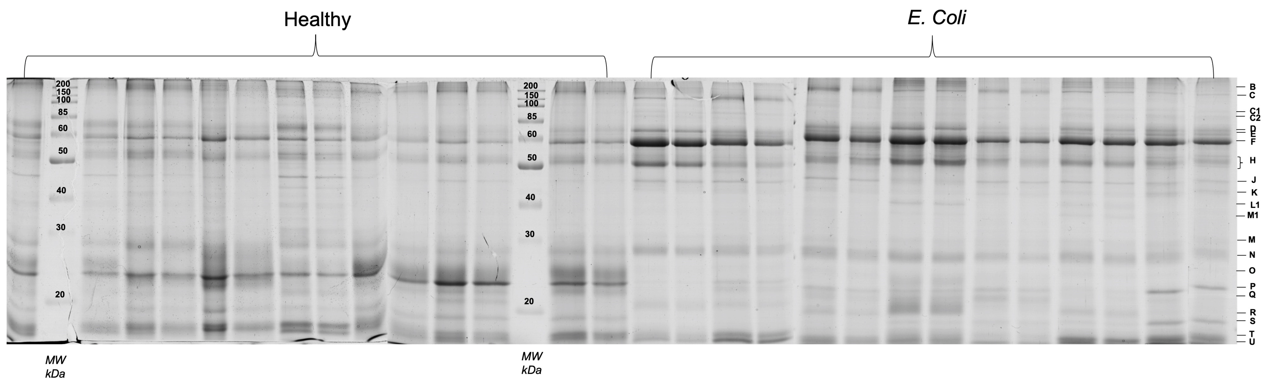
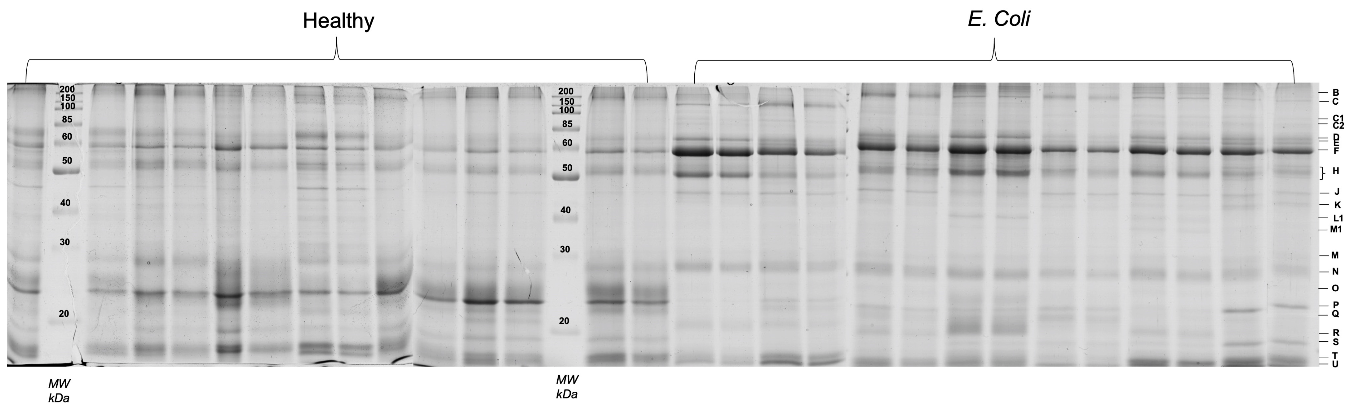
3.2. SDS-PAGE Profile
3.3. Two-Dimensional Protein Profile (2-DE)
3.4. Validation
4. Discussion
5. Conclusions
Supplementary Materials
Author Contributions
Funding
Institutional Review Board Statement
Informed Consent Statement
Conflicts of Interest
References
- Lamy, E.; Mau, M. Saliva proteomics as an emerging, non-invasive tool to study livestock physiology, nutrition and diseases. J. Proteom. 2012, 75, 4251–4258. [Google Scholar] [CrossRef] [PubMed]
- Cerón, J.J.; Contreras-Aguilar, M.D.; Escribano, D.; Martínez-Miró, S.; López-Martínez, M.J.; Ortín-Bustillo, A.; Franco-Martínez, L.; Rubio, C.P.; Muñoz-Prieto, A.; Tvarijonaviciute, A.; et al. Basics for the potential use of saliva to evaluate stress, inflammation, immune system, and redox homeostasis in pigs. BMC Vet. Res. 2022, 18, 81. [Google Scholar] [CrossRef] [PubMed]
- López-Martínez, M.J.; Cerón, J.J.; Ortín-Bustillo, A.; Escribano, D.; Kuleš, J.; Beletić, A.; Rubić, I.; González-Sánchez, J.C.; Mrljak, V.; Martínez-Subiela, S.; et al. A Proteomic Approach to Elucidate the Changes in Saliva and Serum Proteins of Pigs with Septic and Non-Septic Inflammation. Int. J. Mol. Sci. 2022, 23, 6738. [Google Scholar] [CrossRef] [PubMed]
- López-Martínez, M.J.; Beletić, A.; Kuleš, J.; Rešetar-Maslov, D.; Rubić, I.; Mrljak, V.; Manzanilla, E.G.; Goyena, E.; Martínez-Subiela, S.; Cerón, J.J.; et al. Revealing the Changes in Saliva and Serum Proteins of Pigs with Meningitis Caused by Streptococcus Suis: A Proteomic Approach. Int. J. Mol. Sci. 2022, 23, 13700. [Google Scholar] [CrossRef] [PubMed]
- Escribano, D.; Horvatić, A.; Contreras-Aguilar, M.D.; Guillemin, N.; Cerón, J.J.; Tecles, F.; Martinez-Miró, S.; Eckersall, P.D.; Manteca, X.; Mrljak, V. Changes in saliva proteins in two conditions of compromised welfare in pigs: An experimental induced stress by nose snaring and lameness. Res. Vet. Sci. 2019, 125, 227–234. [Google Scholar] [CrossRef] [PubMed]
- Ren, W.; Yin, J.; Chen, S.; Duan, J.; Liu, G.; Li, T.; Li, N.; Peng, Y.; Tan, B.; Yin, Y. Proteome analysis for the global proteins in the jejunum tissues of enterotoxigenic Escherichia coli -infected piglets. Sci. Rep. 2016, 6, 25640. [Google Scholar] [CrossRef]
- Zhu, C.; Lv, Y.; Yang, J.; Bai, Y.; Ye, J.; Wang, Z.; Chen, Z.; Jiang, Z. Proteomic alteration of porcine intestinal epithelial cells after pretreatment with Lactobacillus plantarum followed by infection with enterotoxigenic Escherichia coli F4. Vet. Immunol. Immunopathol. 2020, 222, 109943. [Google Scholar] [CrossRef]
- Hartadi, E.B.; Helmi Effendi, M.; Plumeriastuti, H.; Sofiana, E.D.; Wibisono, F.M.; Hidayatullah, A.R.; Helmi, M. A Review of Enterotoxigenic Escherichia Coli Infection in Piglets: Public Health Importance. Syst. Rev. Pharm. 2020, 11, 687–698. [Google Scholar]
- Mesonero-Escuredo, S.; Strutzberg-Minder, K.; Casanovas, C.; Segalés, J. Viral and bacterial investigations on the aetiology of recurrent pig neonatal diarrhoea cases in Spain. Porc. Heal. Manag. 2018, 4, 5. [Google Scholar] [CrossRef]
- Lucena, S.; Coelho, A.V.; Capela-Silva, F.; Tvarijonaviciute, A.; Lamy, E. The Effect of Breed, Gender, and Acid Stimulation in Dog Saliva Proteome. BioMed Res. Int. 2018, 2018, 7456894. [Google Scholar] [CrossRef]
- Contreras-Aguilar, M.D.; Tvarijonaviciute, A.; Monkeviciene, I.; Martín-Cuervo, M.; González-Arostegui, L.G.; Franco-Martínez, L.; Cerón, J.J.; Tecles, F.; Escribano, D. Characterization of total adenosine deaminase activity (ADA) and its isoenzymes in saliva and serum in health and inflammatory conditions in four different species: An analytical and clinical validation pilot study. BMC Vet. Res. 2020, 16, 384. [Google Scholar] [CrossRef]
- Wang, L.; Xie, W.; Li, G.; Hu, B.; Wu, W.; Zhan, L.; Zou, H. Lipocalin 10 as a New Prognostic Biomarker in Sepsis-Induced Myocardial Dysfunction and Mortality: A Pilot Study. Mediat. Inflamm. 2021, 2021, 6616270. [Google Scholar] [CrossRef]
- Abella, V.; Scotece, M.; Conde, J.; Gómez, R.; Lois, A.; Pino, J.; Gómez-Reino, J.J.; Lago, F.; Mobasheri, A.; Gualillo, O. The potential of lipocalin-2/NGAL as biomarker for inflammatory and metabolic diseases. Biomarkers 2015, 20, 565–571. [Google Scholar] [CrossRef]
- Stallhofer, J.; Friedrich, M.; Konrad-Zerna, A.; Wetzke, M.; Lohse, P.; Glas, J.; Tillack-Schreiber, C.; Schnitzler, F.; Beigel, F.; Brand, S. Lipocalin-2 Is a Disease Activity Marker in Inflammatory Bowel Disease Regulated by IL-17A, IL-22, and TNF-α and Modulated by IL23R Genotype Status. Inflamm. Bowel Dis. 2015, 21, 2327–2340. [Google Scholar] [CrossRef]
- Oikonomou, K.A.; Kapsoritakis, A.N.; Theodoridou, C.; Karangelis, D.; Germenis, A.; Stefanidis, I.; Potamianos, S.P. Neutrophil gelatinase-associated lipocalin (NGAL) in inflammatory bowel disease: Association with pathophysiology of inflammation, established markers, and disease activity. J. Gastroenterol. 2011, 47, 519–530. [Google Scholar] [CrossRef]
- Moschen, A.R.; Adolph, T.E.; Gerner, R.R.; Wieser, V.; Tilg, H. Lipocalin-2: A Master Mediator of Intestinal and Metabolic Inflammation. Trends Endocrinol. Metab. 2017, 28, 388–397. [Google Scholar] [CrossRef]
- Mitchell, G.B.; Clark, M.E.; Lu, R.; Caswell, J.L. Localization and Functional Characterization of Pulmonary Bovine Odorant-Binding Protein. Vet. Pathol. 2010, 48, 1054–1060. [Google Scholar] [CrossRef]
- Yousuf, M.; Ali, A.; Khan, P.; Anjum, F.; Elasbali, A.M.; Islam, A.; Yadav, D.K.; Shafie, A.; Haque, Q.M.R.; Hassan, I. Insights into the Antibacterial Activity of Prolactin-Inducible Protein against the Standard and Environmental MDR Bacterial Strains. Microorganisms 2022, 10, 597. [Google Scholar] [CrossRef]
- Hassan, I.; Waheed, A.; Yadav, S.; Singh, T.P.; Ahmad, F. Prolactin inducible protein in cancer, fertility and immunoregulation: Structure, function and its clinical implications. Cell. Mol. Life Sci. 2008, 66, 447–459. [Google Scholar] [CrossRef]
- Kaiser, M.; Jacobsen, S.; Andersen, P.H.; Bækbo, P.; Cerón, J.J.; Dahl, J.; Escribano, D.; Theil, P.K.; Jacobson, M. Hormonal and metabolic indicators before and after farrowing in sows affected with postpartum dysgalactia syndrome. BMC Vet. Res. 2018, 14, 334. [Google Scholar] [CrossRef]
- Elmasry, R.; Negm, F.; Soliman, D.; Ahmed, E. Assessment of serum zinc, selenium, and prolactin concentrations in critically ill children. Pediatr. Health Med. Ther. 2016, 7, 17–23. [Google Scholar] [CrossRef] [PubMed]
- Tecles, F.; Rubio, C.P.; Contreras-Aguilar, M.D.; López-Arjona, M.; Miro, S.M.; Martinez-Subiela, S.; Cerón, J.J. Adenosine deaminase activity in pig saliva: Analytical validation of two spectrophotometric assays. J. Vet. Diagn. Investig. 2017, 30, 175–179. [Google Scholar] [CrossRef] [PubMed]
- Pietrzak, B.; Tomela, K.; Olejnik-Schmidt, A.; Mackiewicz, A.; Schmidt, M. Secretory IgA in Intestinal Mucosal Secretions as an Adaptive Barrier against Microbial Cells. Int. J. Mol. Sci. 2020, 21, 9254. [Google Scholar] [CrossRef] [PubMed]
- Fonti, R.; Latella, G.; Caprilli, R.; Frieri, G.; Marcheggiano, A.; Sambuy, M.Y.; Giovanni, R.F.; Renzo, L.; Giuseppe, C.; Adriana, F. Carbonic Anhydrase I Reduction in Colonic Mucosa of Patients with Active Ulcerative Colitis. Dig. Dis. Sci. 1998, 43, 2086–2092. [Google Scholar] [CrossRef]
- Contreras-Aguilar, M.D.; Escribano, D.; Martínez-Miró, S.; López-Arjona, M.; Rubio, C.P.; Martínez-Subiela, S.; Cerón, J.J.; Tecles, F. Application of a score for evaluation of pain, distress and discomfort in pigs with lameness and prolapses: Correlation with saliva biomarkers and severity of the disease. Res. Vet. Sci. 2019, 126, 155–163. [Google Scholar] [CrossRef]
- Contreras-Aguilar, M.D.; Escribano, D.; Martínez-Subiela, S.; Martínez-Miró, S.; Rubio, M.; Tvarijonaviciute, A.; Tecles, F.; Cerón, J.J. Influence of the way of reporting alpha-Amylase values in saliva in different naturalistic situations: A pilot study. PLoS ONE 2017, 12, e0180100. [Google Scholar] [CrossRef]
- Donadio, E.; Piccolomini, F.; Dimuccio, V.; Felicioli, A.; Balestreri, E.; Cianti, R.; Armini, A.; Bini, L.; Felicioli, R.; Donadio, C. Serum albumin fragmentation in end-stage renal disease patients—A pilot study. Clin. Chem. Lab. Med. 2009, 47, 1373–1379. [Google Scholar] [CrossRef]



| Band | Healthy | E. coli | p-Value | UNIPROT Protein Accession Number | Protein (Entry Name) | Seq Coverage (%) | ID Score | Theoretical MW (kDa) | Apparent MW (kDa) |
|---|---|---|---|---|---|---|---|---|---|
| B | 1.62 ± 0.80 | 5.36 ± 3.06 | 0.001 | 018758 | Submaxillary apomucin | 1.3 | 238.4 | 1184.1 | >200 kDa |
| C1 | - | ni | 120 | ||||||
| H | 3.74 ± 0.59 | 9.77 ± 2.91 | 0.0005 | A0A287B626 | IgA constant region | 39.3 | 209.6 | 44.2 | 54 |
| M # | 1.35 ± 1.09 | 2.94 ± 0.75 | 0.015 | A0A0A0MY58 and F1SN92 | Immunoglobulin heavy constant mu and Salivary lipocalin | 28.5 and 25.1 | 75.1 and 43.5 | 32.7 and 21.6 | 28.5 |
| N | 6.88 ± 2.44 | 10.20 ± 1.43 | 0.009 | F1SN92 | Salivary lipocalin | 54.9 | 152.5 | 21.6 | 26 |
| P | 17.51 ± 4.27 | 3.40 ± 2.10 | 0.0005 | P81245 | Odorant-binding protein | 75.1 | 199.5 | 17.7 | 18 |
| R | 1.22 ± 1.63 | 4.00 ± 2.47 | 0.033 | A0A4X1TU02 | Salivary lipocalin | 57.5 | 143.4 | 21.6 | 16.5 |
| T # | 14.15 ± 4.91 | 8.33 ± 4.70 | 0.043 | A0A286ZRW6 and A0A287ASS4 | Double-headed protease inhibitor, submandibular gland-like and Prolactin inducible protein | 29.4 and 36 | 58.31 and 56.35 | 13.3 and 12.4 | 13 |
| Spot Number | Fold Change | Group with Higher Level | p-Value | Protein (Entry Name) | UNIPROT Protein Accession Number | Seq Coverage (%) | ID Score | Theoretical MW (kDa) | Apparent MW (kDa) |
|---|---|---|---|---|---|---|---|---|---|
| 237 | 4.24 | E. coli | 5.24 × 10–5 | Adenosine deaminase and salivary lipocalin | A0A0B8RW47 and A0A4X1TU02 | 22.5 and 15.7 | 39.5 and 23.8 | 40.9 and 21.6 | 17.5 |
| 33 | 1.72 | Healthy control | 0.000222 | n.i. | |||||
| 185 | 2.30 | E. coli | 0.00063 | IgA constant region | A0A287B626 | 3.8 | 23.6 | 44.2 | 27.5 |
| 188 | 2.41 | E. coli | 0.000733 | IgA constant region | A0A287B626 | 2.6 | 20.0 | 44.2 | 27.5 |
| 41 | 3.29 | Healthy control | 0.000763 | Albumin (whole) | A0A286ZT13 | 41.1 | 327.8 | 68.2 | 74.5 |
| 145 | 1.56 | Healthy control | 0.000794 | Carbonate dehydratase VI | A0A4X1W7S7 | 15.1 | 39.5 | 34.7 | 36.0 |
| 40 | 2.72 | Healthy control | 0.000871 | Albumin (whole) | A0A286ZT13 | 41.1 | 327.8 | 68.2 | 74.5 |
| 202 | 2.28 | E. coli | 0.000887 | Ig-like domain-containing protein | A0A287A4Y3 | 15.4 | 41.4 | 24.7 | 26.0 |
| 44 | 3.03 | Healthy control | 0.001118 | Lactoperoxidase | A0A480RK36 | 6.6 | 48.7 | 80.3 | 74.5 |
| 196 | 2.97 | E. coli | 0.001675 | Albumin (fragment) and salivary lipocalin | A0A286ZT13 and A0A4X1TU02 | 13.6 and 23.5 | 100.5 and 31.5 | 68.2 and 21.6 | 26.0 |
| 200 | 2.34 | E. coli | 0.002233 | Albumin (fragment) and salivary lipocalin | A0A286ZT13 and A0A4X1TU02 | 13.6 and 23.5 | 100.5 and 31.5 | 68.2 and 21.6 | 26.0 |
| 45 | 2.10 | Healthy control | 0.002679 | Lactoperoxidase | A0A480RK36 | 6.7 | 48.8 | 80.3 | 74.5 |
| 43 | 3.30 | Healthy control | 0.003706 | Lactoperoxidase and polymeric immunoglobulin receptor | A0A480RK36 and A0A0E3M2Q4 | 7.5 and 6.5 | 45.5 and 37.3 | 80.3 and 67.3 | 74.5 |
| 194 | 1.71 | E. coli | 0.004477 | Albumin (fragment) | A0A286ZT13 | 7.8 | 64.3 | 68.2 | 26.5 |
| 31 | 2.29 | Healthy control | 0.005324 | n.i. | |||||
| 47 | 1.66 | Healthy control | 0.005441 | Lactoperoxidase and polymeric immunoglobulin receptor and | A0A0E3M2Q4 and A0A480RK36 | 12.3 and 4.9 | 86.1 and 34.7 | 67.3 and 80.3 | 74.0 |
| 184 | 1.86 | E. coli | 0.007066 | n.i. | |||||
| 203 | 2.94 | E. coli | 0.007897 | Ig-like domain-containing protein | A0A287A4Y3 | 18.5 | 34.0 | 24.7 | 26.0 |
| 38 | 2.12 | Healthy control | 0.009251 | Albumin (whole) | A0A286ZT13 | 41.1 | 327.8 | 68.2 | 101.0 |
| 32 | 1.50 | Healthy control | 0.012577 | n.i. | |||||
| 37 | 2.03 | Healthy control | 0.01381 | n.i. | |||||
| 155 | 1.51 | Healthy control | 0.015799 | Carbonic anhydrase | A0A4X1W9S1 | 11.0 | 27.7 | 36.3 | 36.0 |
| 179 | 1.96 | Healthy control | 0.020918 | Carbonate dehydratase VI | A0A4X1W7S7 | 11.5 | 47.2 | 34.7 | 27.5 |
| 73 | 1.78 | Healthy control | 0.021757 | Alpha-amylase | F1S573 | 30.1 | 146.0 | 55.8 | 58.0 |
| 74 | 1.39 | Healthy control | 0.026339 | Alpha-amylase | F1S573 | 30.9 | 123.4 | 55.8 | 58.0 |
| 235 | 2.49 | E. coli | 0.030702 | Adenosine deaminase and salivary lipocalin | A0A0B8RW47 and A0A4X1TU02 | 22.5 and 15.7 | 39.5 and 23.8 | 40.86 and 21.61 | 18.0 |
| 130 | 2.26 | E. coli | 0.033046 | n.i. | |||||
| 146 | 1.38 | Healthy control | 0.037883 | Carbonate dehydratase VI | A0A4X1W7S7 | 9.8 | 25.6 | 34.7 | 36.0 |
| 77 | 1.67 | Healthy control | 0.039092 | n.i. | |||||
| 190 | 1.75 | E. coli | 0.040238 | Albumin (fragment) | A0A286ZT13 | 9.2 | 61.0 | 68.2 | 26.0 |
| 239 | 2.94 | E. coli | 0.042094 | Salivary lipocalin | F1SN92 | 4.4 | 24.51 | 21.6 | 17.5 |
| 170 | 1.36 | E. coli | 0.046073 | n.i. | |||||
| 72 | 2.01 | Healthy control | 0.046326 | n.i. | |||||
Disclaimer/Publisher’s Note: The statements, opinions and data contained in all publications are solely those of the individual author(s) and contributor(s) and not of MDPI and/or the editor(s). MDPI and/or the editor(s) disclaim responsibility for any injury to people or property resulting from any ideas, methods, instructions or products referred to in the content. |
© 2023 by the authors. Licensee MDPI, Basel, Switzerland. This article is an open access article distributed under the terms and conditions of the Creative Commons Attribution (CC BY) license (https://creativecommons.org/licenses/by/4.0/).
Share and Cite
Rodrigues, M.; López-Martinez, M.J.; Ortin-Bustillo, A.; Cerón, J.J.; Martinez-Subiela, S.; Muñoz-Prieto, A.; Lamy, E. Changes in the Saliva Proteome of Pigs with Diarrhoea Caused by Escherichia coli. Proteomes 2023, 11, 14. https://doi.org/10.3390/proteomes11020014
Rodrigues M, López-Martinez MJ, Ortin-Bustillo A, Cerón JJ, Martinez-Subiela S, Muñoz-Prieto A, Lamy E. Changes in the Saliva Proteome of Pigs with Diarrhoea Caused by Escherichia coli. Proteomes. 2023; 11(2):14. https://doi.org/10.3390/proteomes11020014
Chicago/Turabian StyleRodrigues, Miguel, Maria José López-Martinez, Alba Ortin-Bustillo, Jose Joaquin Cerón, Silvia Martinez-Subiela, Alberto Muñoz-Prieto, and Elsa Lamy. 2023. "Changes in the Saliva Proteome of Pigs with Diarrhoea Caused by Escherichia coli" Proteomes 11, no. 2: 14. https://doi.org/10.3390/proteomes11020014
APA StyleRodrigues, M., López-Martinez, M. J., Ortin-Bustillo, A., Cerón, J. J., Martinez-Subiela, S., Muñoz-Prieto, A., & Lamy, E. (2023). Changes in the Saliva Proteome of Pigs with Diarrhoea Caused by Escherichia coli. Proteomes, 11(2), 14. https://doi.org/10.3390/proteomes11020014

