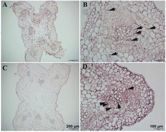
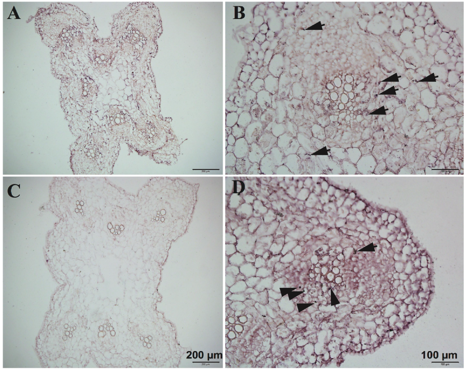
Optimization of RNA In Situ Hybridization for mRNA Localization Detection in Mature Tissue of Cucumber Seedlings
Liu, Z.; Hu, X.; Nie, J.; Li, X.; Wang, Q.; Liu, W.; Wang, T.; Lu, X.; Gao, S.; Gao, L.; Zhang, W. Optimization of RNA In Situ Hybridization for mRNA Localization Detection in Mature Tissue of Cucumber Seedlings. Plants 2020, 9, 1461. https://doi.org/10.3390/plants9111461
Liu Z, Hu X, Nie J, Li X, Wang Q, Liu W, Wang T, Lu X, Gao S, Gao L, Zhang W. Optimization of RNA In Situ Hybridization for mRNA Localization Detection in Mature Tissue of Cucumber Seedlings. Plants. 2020; 9(11):1461. https://doi.org/10.3390/plants9111461
Chicago/Turabian StyleLiu, Zixi, Xi Hu, Jing Nie, Xiaojun Li, Qing Wang, Wenqian Liu, Tao Wang, Xiaohong Lu, Shunli Gao, Lihong Gao, and Wenna Zhang. 2020. "Optimization of RNA In Situ Hybridization for mRNA Localization Detection in Mature Tissue of Cucumber Seedlings" Plants 9, no. 11: 1461. https://doi.org/10.3390/plants9111461


