Defying Death: A Multi-Omics Approach to Understanding Desiccation Tolerance and Senescence in Eragrostis nindensis
Abstract
1. Introduction
2. Results
2.1. Physiological Changes Across a Desiccation–Rehydration Cycle
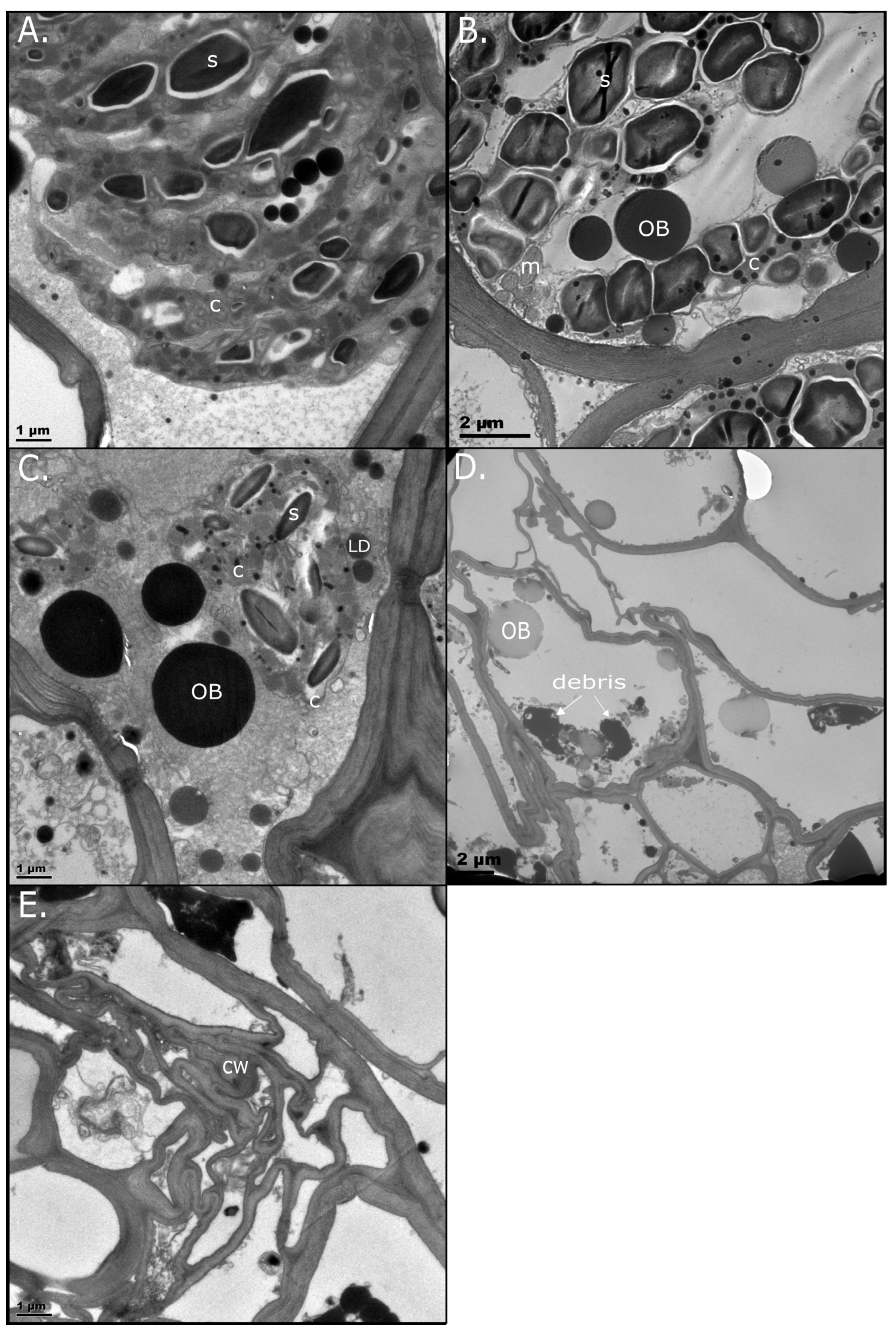
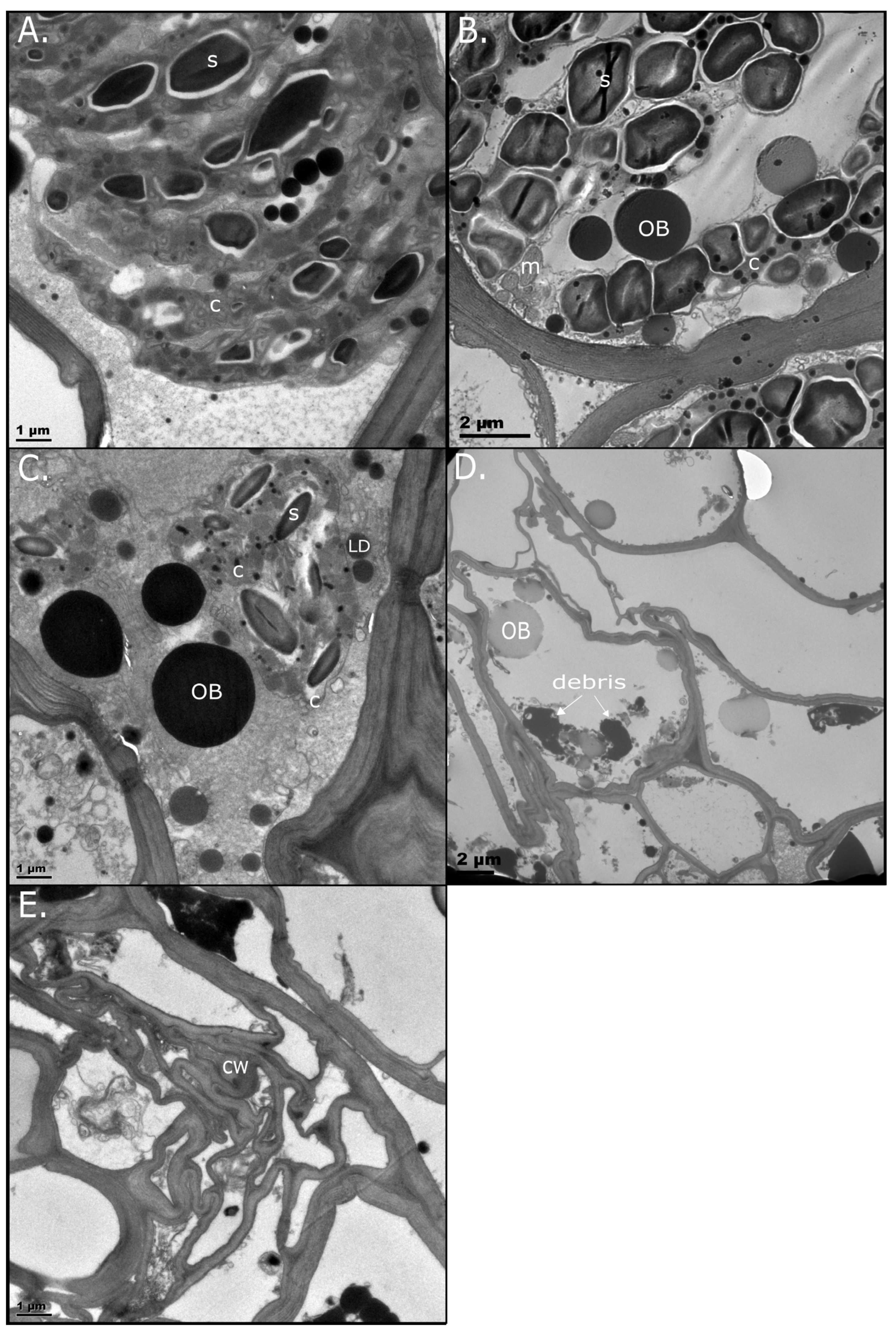
2.2. Ultrastructural Changes During Drying and Rehydration
2.2.1. Non-Senescent Tissue
2.2.2. Senescent Tissue
2.3. Transcriptomic Response to Drying and Rehydration
2.3.1. Overview of DEG Patterns
2.3.2. Core Desiccation Tolerance Mechanisms in NST
2.3.3. Rehydration and Recovery
2.3.4. Genes Suppressed During Dehydration
2.3.5. Exclusive Gene Expression in NST and ST
2.4. Lipidomic Shifts During Drying and Rehydration
2.5. Protein Expression as a Proxy for Translational Regulation in NST
Oleosin Protein Expression
3. Discussion
3.1. Cellular Ultrastructure
3.2. Desiccation Tolerance Signature
3.3. Seed-Related Signature
3.4. Translational Regulation and Senescence
3.5. Energy Metabolism and Rehydration
3.6. Desiccation-Induced Lipid Droplet Formation and Ultrastructural Remodelling
4. Materials and Methods
4.1. Germination and Propagation
4.2. Determination of Leaf Phenotype
4.3. Desiccation and Rehydration Treatment
4.4. Transmission Electron Microscopy
4.5. RNA Extraction and Transcriptomics
4.6. Annotation and Quality Control
4.7. Functional Enrichment Analysis of Co-Expressed Genes
4.8. Lipidomic Profiling and Analysis
4.9. Western Blot Analysis
Supplementary Materials
Author Contributions
Funding
Institutional Review Board Statement
Data Availability Statement
Acknowledgments
Conflicts of Interest
Abbreviations
| AD | Air-dry |
| AWC | Absolute water content |
| BiNGO | Biological networks gene ontology |
| BS | Bundle sheath |
| DEGs | Differentially expressed genes |
| ELIPS | Early light inducible proteins |
| FA | Fatty acid |
| FDR | False discovery rate |
| FFA | Free fatty acid |
| GO | Gene ontology |
| HSP | Heat shock protein |
| kDa | Kilodaltons |
| LDs | Lipid droplets |
| LEA | Late embryogenesis abundant |
| NST | Non-senescent leaf tissues |
| OB | Osmophilic body |
| P-bodies | Processing bodies |
| ROS | Reactive oxygen species |
| RWC | Relative water content |
| SMP | Seed maturation proteins |
| snRNP | Small nuclear ribonucleoprotein family protein |
| ST | Senescent leaf tissues |
| TAG | Triacylglycerol |
| TEM | Transmission electron micrographs/microscopy |
References
- Zia, A.; Walker, B.J.; Oung, H.M.O.; Charuvi, D.; Jahns, P.; Cousins, A.B.; Farrant, J.M.; Reich, Z.; Kirchhoff, H. Protection of the Photosynthetic Apparatus against Dehydration Stress in the Resurrection Plant Craterostigma pumilum. Plant J. 2016, 87, 664–680. [Google Scholar] [CrossRef]
- Charuvi, D.; Nevo, R.; Aviv-Sharon, E.; Gal, A.; Kiss, V.; Shimoni, E.; Farrant, J.M.; Kirchhoff, H.; Reich, Z. Chloroplast Breakdown during Dehydration of a Homoiochlorophyllous Resurrection Plant Proceeds via Senescence-like Processes. Environ. Exp. Bot. 2019, 157, 100–111. [Google Scholar] [CrossRef]
- Oliver, M.J.; Farrant, J.M.; Hilhorst, H.W.M.; Mundree, S.; Williams, B.; Bewley, J.D. Desiccation Tolerance: Avoiding Cellular Damage During Drying and Rehydration. Annu. Rev. Plant Biol. 2020, 71, 435–460. [Google Scholar] [CrossRef] [PubMed]
- Farrant, J.M. A Comparison of Mechanisms of Desiccation Tolerance among Three Angiosperm Resurrection Plant Species. Plant Ecol. 2000, 151, 29–39. [Google Scholar] [CrossRef]
- Willigen, C.V.; Pammenter, N.W.; Mundree, S.G.; Farrant, J.M. Mechanical Stabilization of Desiccated Vegetative Tissues of the Resurrection Grass Eragrostis nindensis: Does a TIP 3;1 and/or Compartmentalization of Subcellular Components and Metabolites Play a Role? J. Exp. Bot. 2004, 55, 651–661. [Google Scholar] [CrossRef]
- Farrant, J.M.; Cooper, K.; Hilgart, A.; Abdalla, K.O.; Bentley, J.; Thomson, J.A.; Dace, H.J.W.; Peton, N.; Mundree, S.G.; Rafudeen, M.S. A Molecular Physiological Review of Vegetative Desiccation Tolerance in the Resurrection Plant Xerophyta viscosa (Baker). Planta 2015, 242, 407–426. [Google Scholar] [CrossRef] [PubMed]
- Giarola, V.; Hou, Q.; Bartels, D. Angiosperm Plant Desiccation Tolerance: Hints from Transcriptomics and Genome Sequencing. Trends Plant Sci. 2017, 22, 705–717. [Google Scholar] [CrossRef]
- Farrant, J.M.; Hilhorst, H. Crops for Dry Environments. Curr. Opin. Biotechnol. 2022, 74, 84–91. [Google Scholar] [CrossRef]
- Dace, H.J.W. Metabolic Aspects of Vegetative Desiccation Tolerance. Ph.D. Thesis, Wageningen University, Wageningen, The Netherlands, 2024. [Google Scholar]
- Shumayla; Alejo-Jacuinde, G.; Silva-Villatoro, P.; Nwoko, C.L.; Oliver, M.J.; Herrera-Estrella, L. The Promise of Resurrection Plants in Enhancing Crop Tolerance to Water Scarcity. Philos. Trans. R. Soc. B Biol. Sci. 2025, 380, 20240231. [Google Scholar] [CrossRef] [PubMed]
- Tuba, Z.; Protor, M.C.F.; Csintalan, Z. Ecophysiological Responses of Homoiochlorophyllous and Poikilochlorophyllous Desiccation Tolerant Plants: A Comparison and an Ecological Perspective. Plant Growth Regul. 1998, 24, 211–217. [Google Scholar] [CrossRef]
- Willigen, C.V.; Pammenter, N.W.; Mundree, S.; Farrant, J.M. Some Physiological Comparisons between the Resurrection Grass, Eragrostis Nindensis, and the Related Desiccation-Sensitive Species, E. curvula. Plant Growth Regul. 2001, 35, 121–129. [Google Scholar] [CrossRef]
- Willigen, C.V.; Farrant, J.M.; Pammenter, N.W. Anomalous Pressure Volume Curves of Resurrection Plants Do Not Suggest Negative Turgor. Ann. Bot. 2001, 88, 537–543. [Google Scholar] [CrossRef]
- Willigen, C.V.; Pammenter, N.W.; Jaffer, M.A.; Mundree, S.G.; Farrant, J.M. An Ultrastructural Study Using Anhydrous Fixation of Eragrostis nindensis, a Resurrection Grass with Both Desiccation-Tolerant and -Sensitive Tissues. Funct. Plant Biol. 2003, 30, 281–290. [Google Scholar] [CrossRef]
- Sah, S.K.; Fan, J.; Blanford, J.; Shanklin, J.; Xu, C. Physiological Functions of Phospholipid:Diacylglycerol Acyltransferases. Plant Cell Physiol. 2024, 65, 863–871. [Google Scholar] [CrossRef]
- Lu, J.; Xu, Y.; Wang, J.; Singer, S.D.; Chen, G. The Role of Triacylglycerol in Plant Stress Response. Plants 2020, 9, 472. [Google Scholar] [CrossRef]
- Balogh, G.; Péter, M.; Glatz, A.; Gombos, I.; Török, Z.; Horváth, I.; Harwood, J.L.; Vígh, L. Key Role of Lipids in Heat Stress Management. FEBS Lett. 2013, 587, 1970–1980. [Google Scholar] [CrossRef] [PubMed]
- Tshabuse, F.; Farrant, J.M.; Humbert, L.; Moura, D.; Rainteau, D.; Espinasse, C.; Idrissi, A.; Merlier, F.; Acket, S.; Rafudeen, M.S.; et al. Glycerolipid Analysis during Desiccation and Recovery of the Resurrection Plant Xerophyta humilis (Bak) Dur and Schinz. Plant Cell Environ. 2018, 41, 533–547. [Google Scholar] [CrossRef] [PubMed]
- Gasulla, F.; Dorp, K.; Dombrink, I.; Za, U.; Gisch, N.; Do, P.; Bartels, D. The Role of Lipid Metabolism in the Acquisition of Desiccation Tolerance in Craterostigma plantagineum: A Comparative Approach. Plant J. 2013, 75, 726–741. [Google Scholar] [CrossRef]
- Navari-Izzo, F.; Quartacci, M.F.; Pinzino, C.; Rascio, N.; Vazzana, C.; Sgherri, C.L.M. Protein Dynamics in Thylakoids of the Desiccation-Tolerant Plant Boea hygroscopica during Dehydration and Rehydration. Plant Physiol. 2000, 124, 1427–1436. [Google Scholar] [CrossRef] [PubMed]
- Li, A.; Wang, D.; Yu, B.; Yu, X.; Li, W. Maintenance or Collapse: Responses of Extraplastidic Membrane Lipid Composition to Desiccation in the Resurrection Plant Paraisometrum mileense. PLoS ONE 2014, 9, e103430. [Google Scholar] [CrossRef]
- Mihailova, G.; Christov, N.K.; Sárvári, É.; Solti, Á.; Hembrom, R.; Solymosi, K.; Keresztes, Á.; Velitchkova, M.; Popova, A.V.; Simova-Stoilova, L.; et al. Reactivation of the Photosynthetic Apparatus of Resurrection Plant Haberlea rhodopensis during the Early Phase of Recovery from Drought- and Freezing-Induced Desiccation. Plants 2022, 11, 2185. [Google Scholar] [CrossRef] [PubMed]
- Shivaraj, Y.N.; Barbara, P.; Gugi, B.; Driouich, A.; Govind, S.R.; Devaraja, A.; Kambalagere, Y. Perspectives on Structural, Physiological, Cellular, and Molecular Responses to Desiccation in Resurrection Plants. Scientifica 2018, 2018, 9464592. [Google Scholar] [CrossRef]
- Wu, T.; Yu, L.; Zhang, Y.; Liu, J. Characterization of Fatty Acid Desaturases Reveals Stress-Induced Synthesis of C18 Unsaturated Fatty Acids Enriched in Triacylglycerol in the Oleaginous Alga Chromochloris zofingiensis. Biotechnol. Biofuels 2021, 14, 184. [Google Scholar] [CrossRef]
- Yang, Z.; Ohlrogge, J.B. Turnover of Fatty Acids during Natural Senescence of Arabidopsis, Brachypodium, and Switchgrass and in Arabidopsis β-Oxidation Mutants. Plant Physiol. 2009, 150, 1981–1989. [Google Scholar] [CrossRef]
- He, M.; Ding, N.-Z. Plant Unsaturated Fatty Acids: Multiple Roles in Stress Response. Front. Plant Sci. 2020, 11, 562785. [Google Scholar] [CrossRef]
- Hoekstra, F.A.; Golovina, E.A.; Buitink, J. Mechanisms of Plant Desiccation Tolerance. Trends Plant Sci. 2001, 6, 431–438. [Google Scholar] [CrossRef] [PubMed]
- Bouchnak, I.; Coulon, D.; Salis, V.; D’Andréa, S.; Bréhélin, C. Lipid Droplets Are Versatile Organelles Involved in Plant Development and Plant Response to Environmental Changes. Front. Plant Sci. 2023, 14, 1193905. [Google Scholar] [CrossRef]
- Yang, Y.; Benning, C. Functions of Triacylglycerols during Plant Development and Stress. Curr. Opin. Biotechnol. 2018, 49, 191–198. [Google Scholar] [CrossRef] [PubMed]
- Siloto, R.M.P.; Findlay, K.; Lopez-Villalobos, A.; Yeung, E.C.; Nykiforruk, C.L.; Moloney, M.M. The Accumulation of Oleosins Determines the Size of Seed Oilbodies in Arabidopsis. Plant Cell Online 2006, 18, 1961–1974. [Google Scholar] [CrossRef]
- Fang, Y.; Zhu, R.L.; Mishler, B.D. Evolution of Oleosin in Land Plants. PLoS ONE 2014, 9, e103806. [Google Scholar] [CrossRef]
- Hsieh, K.; Huang, A.H. Endoplasmic Reticulum, Oleosins, and Oils in Seeds and Tapetum Cells. Plant Physiol. 2004, 136, 3427–3434. [Google Scholar] [CrossRef]
- Xu, C.; Shanklin, J. Triacylglycerol Metabolism, Function, and Accumulation in Plant Vegetative Tissues. Annu. Rev. Plant Biol. 2016, 67, 179–206. [Google Scholar] [CrossRef]
- Pauling, J.K.; Hermansson, M.; Hartler, J.; Christiansen, K.; Gallego, S.F.; Peng, B.; Ahrends, R.; Ejsing, C.S. Proposal for a Common Nomenclature for Fragment Ions in Mass Spectra of Lipids. PLoS ONE 2017, 12, e0188394. [Google Scholar] [CrossRef]
- Baluku, E.; Van Der Pas, L.; Hilhorst, H.W.M.; Farrant, J.M. Metabolite Profiling of the Resurrection Grass Eragrostis nindensis During Desiccation and Recovery. Plants 2025, 14, 531. [Google Scholar] [CrossRef]
- Rinne, P.L.H.; Welling, A.; Vahala, J.; Ripel, L.; Ruonala, R.; Kangasjärvi, J.; Schoot, C. van der Chilling of Dormant Buds Hyperinduces FLOWERING LOCUS T and Recruits GA-Inducible 1,3-β-Glucanases to Reopen Signal Conduits and Release Dormancy in Populus. Plant Cell 2011, 23, 130–146. [Google Scholar] [CrossRef]
- Tymms, M.J.; Gaff, D.F.; Hallam, N.D. Protein Synthesis in the Desiccation Tolerant Angiosperm Xerophyta villosa during Dehydration. J. Exp. Biol. 1982, 33, 332–343. [Google Scholar]
- Benjamini, Y.; Hochberg, Y. Controlling the False Discovery Rate: A Practical and Powerful Approach to Multiple Testing. J. R. Stat. Soc. 1995, 57, 289–300. [Google Scholar] [CrossRef]
- Challabathula, D.; Puthur, J.T.; Bartels, D. Surviving Metabolic Arrest: Photosynthesis during Desiccation and Rehydration in Resurrection Plants. Ann. N. Y. Acad. Sci. 2016, 1365, 89–99. [Google Scholar] [CrossRef]
- Costa, M.C.D.; Cooper, K.; Hilhorst, H.W.M.; Farrant, J.M. Orthodox Seeds and Resurrection Plants: Two of a Kind? Plant Physiol. 2017, 175, 589–599. [Google Scholar] [CrossRef]
- Farrant, J.M.; Moore, J.P. Programming Desiccation-Tolerance: From Plants to Seeds to Resurrection Plants. Curr. Opin. Plant Biol. 2011, 14, 340–345. [Google Scholar] [CrossRef]
- Christ, B.; Egert, A.; Süssenbacher, I.; Kräutler, B.; Bartels, D.; Peters, S.; Hörtensteiner, S. Water Deficit Induces Chlorophyll Degradation via the “PAO/Phyllobilin” Pathway in Leaves of Homoio- (Craterostigma pumilum) and Poikilochlorophyllous (Xerophyta viscosa) Resurrection Plants. Plant Cell Environ. 2014, 37, 2521–2531. [Google Scholar] [CrossRef]
- Artur, M.A.S.; Costa, M.C.D.; Farrant, J.M.; Hilhorst, H.W.M. Genome Level Responses to the Environment: Plant Desiccation Tolerance. Emerg. Top. Life Sci. 2019, 3, 153–163. [Google Scholar] [CrossRef]
- Mitra, R.; Wu, K.; Lee, C.; Bardwell, J.C.A. ATP-Independent Chaperones. Annu. Rev. Biophys. 2022, 51, 409–429. [Google Scholar] [CrossRef]
- Chapman, K.D.; Dyer, J.M.; Mullen, R.T. Biogenesis and Functions of Lipid Droplets in Plants. J. Lipid Res. 2012, 53, 215–226. [Google Scholar] [CrossRef]
- Yu, L.; Fan, J.; Zhou, C.; Xu, C. Sterols Are Required for the Coordinated Assembly of Lipid Droplets in Developing Seeds. Nat. Commun. 2021, 12, 5598. [Google Scholar] [CrossRef]
- Mihailova, G.; Vasileva, I.; Gigova, L.; Gesheva, E.; Simova-Stoilova, L.; Georgieva, K. Antioxidant Defense during Recovery of Resurrection Plant Haberlea rhodopensis from Drought- and Freezing-Induced Desiccation. Plants 2022, 11, 175. [Google Scholar] [CrossRef]
- Griffiths, C.A.; Gaff, D.F.; Neale, A.D. Drying without Senescence in Resurrection Plants. Front. Plant Sci. 2014, 5, 36. [Google Scholar] [CrossRef]
- VanBuren, R.; Wai, C.M.; Pardo, J.; Giarola, V.; Ambrosini, S.; Song, X.; Bartels, D.; Wai, C.M.; Pardo, J.; Giarola, V.; et al. Desiccation Tolerance Evolved through Gene Duplication and Network Rewiring in Lindernia. Plant Cell 2018, 30, 2943–2958. [Google Scholar] [CrossRef]
- Bewley, J.D.; Bradford, K.J.; Hilhorst, H.W.M.; Nonogaki, H. Synthesis of Storage Reserves. In Seeds: Physiology of Development, Germination and Dormancy, 3rd ed.; Springer New York: New York, NY, USA, 2013; pp. 85–131. ISBN 978-1-4614-4693-4. [Google Scholar]
- Dace, H.J.W.; Reus, R.; Ricco, C.R.; Hall, R.; Farrant, J.M.; Hilhorst, H.W.M. A Horizontal View of Primary Metabolomes in Vegetative Desiccation Tolerance. Physiol. Plant. 2023, 175, e14109. [Google Scholar] [CrossRef]
- Chiabrando, D.; Vinchi, F.; Fiorito, V.; Mercurio, S.; Tolosano, E. Heme in Pathophysiology: A Matter of Scavenging, Metabolism and Trafficking across Cell Membranes. Front. Pharmacol. 2014, 5, 61. [Google Scholar] [CrossRef]
- Chen, X.; Li, J.; Kang, R.; Klionsky, D.J.; Tang, D. Ferroptosis: Machinery and Regulation. Autophagy 2020, 17, 2054–2081. [Google Scholar] [CrossRef]
- Juan-Cabot, A.; Carrillo, L.; Fullana-Pericàs, M.; Galmés, J.; Medina, J.; Conesa, M.À. Mediterranean Tomato Landraces Exhibit Genotype-Specific Transcriptomic Responses to Water Stress. 2025. Available online: https://ssrn.com/abstract=5188895 (accessed on 10 July 2025).
- VanBuren, R.; Wai, J.; Zhang, Q.; Song, X.; Edger, P.P.; Bryant, D.; Michael, T.P.; Mockler, T.C.; Bartels, D. Seed Desiccation Mechanisms Co-Opted for Vegetative Desiccation in the Resurrection Grass Oropetium thomeaum. Plant Cell Environ. 2017, 40, 2292–2306. [Google Scholar] [CrossRef]
- Wang, W.; Vinocur, B.; Shoseyov, O.; Altman, A. Role of Plant Heat-Shock Proteins and Molecular Chaperones in the Abiotic Stress Response. Trends Plant Sci. 2004, 9, 244–252. [Google Scholar] [CrossRef]
- Zhang, K.; Niu, S.; Di, D.; Shi, L.; Liu, D.; Cao, X.; Miao, H.; Wang, X.; Han, C.; Yu, J.; et al. Selection of Reference Genes for Gene Expression Studies in Virus-Infected Monocots Using Quantitative Real-Time PCR. J. Biotechnol. 2013, 168, 7–14. [Google Scholar] [CrossRef]
- Shih, M.D.; Lin, S.C.; Hsieh, J.S.; Tsou, C.H.; Chow, T.Y.; Lin, T.P.; Hsing, Y.I.C. Gene Cloning and Characterization of a Soybean (Glycine max L.) LEA Protein, GmPM16. Plant Mol. Biol. 2004, 56, 689–703. [Google Scholar] [CrossRef]
- Tunnacliffe, A.; Wise, M.J. The Continuing Conundrum of the LEA Proteins. Naturwissenschaften 2007, 94, 791–812. [Google Scholar] [CrossRef]
- Leprince, O.; Buitink, J. Desiccation Tolerance: From Genomics to the Field. Plant Sci. 2010, 179, 554–564. [Google Scholar] [CrossRef]
- Covarrubias, A.A.; Cuevas-Velazquez, C.L.; Romero-Pérez, P.S.; Rendón-Luna, D.F.; Chater, C.C.C. Structural Disorder in Plant Proteins: Where Plasticity Meets Sessility. Cell. Mol. Life Sci. 2017, 74, 3119–3147. [Google Scholar] [CrossRef]
- Farrant, J.M.; Cooper, K.; Dace, H.J.W.; Bentley, J.; Hilgart, A. Desiccation Tolerance. In Plant Stress Physiology; CABI Publishing: Wallingford, UK, 2017; pp. 238–265. ISBN 978-1-84593-995-3. [Google Scholar]
- Artur, M.A.S.; Zhao, T.; Ligterink, W.; Schranz, M.E.; Hilhorst, H.W.M. Dissecting the Genomic Diversification of LATE EMBRYOGENESIS ABUNDANT (LEA) Protein Gene Families in Plants. Genome Biol. Evol. 2018, 11, 459–471. [Google Scholar] [CrossRef]
- Pardo, J.; Wai, C.M.; Chay, H.; Madden, C.F.; Hilhorst, H.W.M.; Farrant, J.M.; VanBuren, R. Intertwined Signatures of Desiccation and Drought Tolerance in Grasses. Proc. Natl. Acad. Sci. USA 2020, 117, 10079–10088. [Google Scholar] [CrossRef]
- Oliver, M.J. Influence of Protoplasmic Water Loss on the Control of Protein Synthesis in the Desiccation-Tolerant Moss Tortula Ruralis: Ramifications for a Repair-Based Mechanism of Desiccation Tolerance. Plant Physiol. 1991, 97, 1501–1511. [Google Scholar] [CrossRef]
- Gaff, D.F.; Bartels, D.; Gaff, J.L. Changes in Gene Expression during Drying in a Desiccation-Tolerant Grass Sporobolus stapfianus and a Desiccation-Sensitive Grass Sporobolus pyramidalis. Funct. Plant Biol. 1997, 24, 617–622. [Google Scholar] [CrossRef]
- Blomstedt, C.K.; Griffiths, C.A.; Fredericks, D.P.; Hamill, J.D.; Gaff, D.F.; Neale, A.D. The Resurrection Plant Sporobolus stapfianus: An Unlikely Model for Engineering Enhanced Plant Biomass? Plant Growth Regul. 2010, 62, 217–232. [Google Scholar] [CrossRef]
- Wang, T.; Meng, K.; Zhu, Z.; Pan, L.; Okita, T.W.; Zhang, L.; Tian, L. The Regulatory Roles of RNA-Binding Proteins in Plant Salt Stress Response. Plants 2025, 14, 1402. [Google Scholar] [CrossRef]
- Bartels, D.; Schneider, K.; Terstappen, G.; Piatkowski, D.; Salamini, F. Molecular Cloning of Abscisic Acid-Modulated Genes Which Are Induced during Desiccation of the Resurrection Plant Craterostigma plantagineum. Planta 1990, 181, 27–34. [Google Scholar] [CrossRef]
- Jang, G.-J.; Yang, J.-Y.; Hsieh, H.-L.; Wu, S.-H. Processing Bodies Control the Selective Translation for Optimal Development of Arabidopsis Young Seedlings. Proc. Natl. Acad. Sci. USA 2019, 116, 6451–6456. [Google Scholar] [CrossRef]
- Silva, A.T.; Ribone, P.A.; Chan, R.L.; Ligterink, W.; Hilhorst, H.W.M. A Predictive Coexpression Network Identifies Novel Genes Controlling the Seed-to-Seedling Phase Transition in Arabidopsis thaliana. Plant Physiol. 2016, 170, 2218–2231. [Google Scholar] [CrossRef]
- Rajjou, L.; Gallardo, K.; Debeaujon, I.; Vandekerckhove, J.; Job, C.; Job, D. The Effect of A-Amanitin on the Arabidopsis Seed Proteome Highlights the Distinct Roles of Stored and Neosynthesized mRNAs during Germination. Plant Physiol. 2004, 134, 1598–1613. [Google Scholar] [CrossRef]
- Bai, B.; Peviani, A.; Horst, S.; van der Horst, S.; Gamm, M.; Snel, B.; Bentsink, L.; Hanson, J. Extensive Translational Regulation during Seed Germination Revealed by Polysomal Profiling. New Phytol. 2017, 214, 233–244. [Google Scholar] [CrossRef]
- Bremer, K.; Moyes, C.D. mRNA Degradation: An Underestimated Factor in Steady-State Transcript Levels of Cytochrome c Oxidase Subunits? J. Exp. Biol. 2014, 217, 2212–2220. [Google Scholar] [CrossRef]
- Wang, C.; Schmich, F.; Srivatsa, S.; Weidner, J.; Beerenwinkel, N.; Spang, A. Context-Dependent Deposition and Regulation of mRNAs in P-Bodies. eLife 2018, 7, e29815. [Google Scholar] [CrossRef]
- Wood, A.J.; Oliver, M.J. Translational Control in Plant Stress: The Formation of Messenger Ribonucleoprotein Particles (mRNPs) in Response to Desiccation of Tortula ruralis Gametophytes. Plant J. 1999, 18, 359–370. [Google Scholar] [CrossRef]
- Blomstedt, C.K.; Griffiths, C.A.; Gaff, D.F.; Hamill, J.; Neale, A. Plant Desiccation Tolerance and Its Regulation in the Foliage of Resurrection “Flowering-Plant” Species. Agronomy 2018, 8, 146. [Google Scholar] [CrossRef]
- Dace, H.; Sherwin, H.W.; Illing, N.; Farrant, J.M. Use of Metabolic Inhibitors to Elucidate Mechanisms of Recovery from Desiccation Stress in the Resurrection Plant Xerophyta humilis. Plant Growth Regul. 1998, 24, 171–177. [Google Scholar] [CrossRef]
- Tuba, Z.; Lichtenthaler, H.K. Plant Desiccation Tolerance; Springer-Verlag: Berlin/Heidelberg, Germany, 2011; ISBN 978-0-8138-1263-2. [Google Scholar]
- Wawer, I.; Golisz, A.; Sulkowska, A.; Kawa, D.; Kulik, A.; Kufel, J. mRNA Decapping and 5′-3′ Decay Contribute to the Regulation of ABA Signaling in Arabidopsis thaliana. Front. Plant Sci. 2018, 9, 312. [Google Scholar] [CrossRef]
- Chantarachot, T.; Bailey-Serres, J. Polysomes, Stress Granules, and Processing Bodies: A Dynamic Triumvirate Controlling Cytoplasmic mRNA Fate and Function. Plant Physiol. 2018, 176, 254–269. [Google Scholar] [CrossRef]
- Zienkiewicz, K.; Zienkiewicz, A. Degradation of Lipid Droplets in Plants and Algae—Right Time, Many Paths, One Goal. Front. Plant Sci. 2020, 11, 579019. [Google Scholar] [CrossRef]
- Mueller, S.P.; Krause, D.M.; Mueller, M.J.; Fekete, A. Accumulation of Extra-Chloroplastic Triacylglycerols in Arabidopsis Seedlings during Heat Acclimation. J. Exp. Bot. 2015, 66, 4517–4526. [Google Scholar] [CrossRef]
- Graef, M. Lipid Droplet-Mediated Lipid and Protein Homeostasis in Budding Yeast. FEBS Lett. 2018, 592, 1291–1303. [Google Scholar] [CrossRef]
- Higashi, Y.; Saito, K. Lipidomic Studies of Membrane Glycerolipids in Plant Leaves under Heat Stress. Prog. Lipid Res. 2019, 75, 100990. [Google Scholar] [CrossRef]
- Gidda, S.K.; Park, S.; Pyc, M.; Yurchenko, O.; Cai, Y.; Wu, P.; Andrews, D.W.; Chapman, K.D.; Dyer, J.M.; Mullen, R.T. Lipid Droplet-Associated Proteins (LDAPs) Are Required for the Dynamic Regulation of Neutral Lipid Compartmentation in Plant Cells. Plant Physiol. 2016, 170, 2052–2071. [Google Scholar] [CrossRef]
- Dadras, A.; Fürst-Jansen, J.M.R.; Darienko, T.; Krone, D.; Scholz, P.; Sun, S.; Herrfurth, C.; Rieseberg, T.P.; Irisarri, I.; Steinkamp, R.; et al. Environmental Gradients Reveal Stress Hubs Pre-Dating Plant Terrestrialization. Nat. Plants 2023, 9, 1419–1438. [Google Scholar] [CrossRef]
- Schippers, J.H. Transcriptional Networks in Leaf Senescence. Curr. Opin. Plant Biol. 2015, 27, 77–83. [Google Scholar] [CrossRef]
- Barrs, H.; Weatherley, P. A Re-Examination of the Relative Turgidity Technique for Estimating Water Deficits in Leaves. Aust. J. Biol. Sci. 1962, 15, 413–428. [Google Scholar] [CrossRef]
- Cooper, K.; Farrant, J.M. Recovery of the Resurrection Plant Craterostigma wilmsii from Desiccation: Protection versus Repair. J. Exp. Bot. 2002, 53, 1805–1813. [Google Scholar] [CrossRef]
- Reynolds, E.S. The Use of Lead Citrate at High pH as an Electron-Opaque Stain in Electron Microscopy. J. Cell Biol. 1963, 17, 208–212. [Google Scholar] [CrossRef]
- Bolger, A.M.; Lohse, M.; Usadel, B. Trimmomatic: A Flexible Trimmer for Illumina Sequence Data. Bioinformatics 2014, 30, 2114–2120. [Google Scholar] [CrossRef]
- Pertea, M.; Kim, D.; Pertea, G.M.; Leek, J.T.; Salzberg, S.L. Transcript-Level Expression Analysis of RNA-Seq Experiments with HISAT, StringTie and Ballgown. Nat. Protoc. 2016, 11, 1650–1667. [Google Scholar] [CrossRef]
- McCarthy, D.J.; Chen, Y.; Smyth, G.K. Differential Expression Analysis of Multifactor RNA-Seq Experiments with Respect to Biological Variation. Nucleic Acids Res. 2012, 40, 4288–4297. [Google Scholar] [CrossRef]
- Jones, P.; Binns, D.; Chang, H.-Y.; Fraser, M.; Li, W.; McAnulla, C.; McWilliam, H.; Maslen, J.; Mitchell, A.; Nuka, G.; et al. InterProScan 5: Genome-Scale Protein Function Classification. Bioinformatics 2014, 30, 1236–1240. [Google Scholar] [CrossRef]
- Schwacke, R.; Ponce-Soto, G.Y.; Krause, K.; Bolger, A.M.; Arsova, B.; Hallab, A.; Gruden, K.; Stitt, M.; Bolger, M.E.; Usadel, B. MapMan4: A Refined Protein Classification and Annotation Framework Applicable to Multi-Omics Data Analysis. Mol. Plant 2019, 12, 879–892. [Google Scholar] [CrossRef]
- Ashburner, M.; Ball, C.A.; Blake, J.A.; Botstein, D.; Butler, H.; Cherry, J.M.; Davis, A.P.; Dolinski, K.; Dwight, S.S.; Eppig, J.T.; et al. Gene Ontology: Tool for the Unification of Biology. Nat. Genet. 2000, 25, 25–29. [Google Scholar] [CrossRef]
- The Gene Ontology Consortium; Aleksander, S.A.; Balhoff, J.; Carbon, S.; Cherry, J.M.; Drabkin, H.J.; Ebert, D.; Feuermann, M.; Gaudet, P.; Harris, N.L.; et al. The Gene Ontology Knowledgebase in 2023. Genetics 2023, 224, iyad031. [Google Scholar] [CrossRef]
- Simão, F.A.; Waterhouse, R.M.; Ioannidis, P.; Kriventseva, E.V.; Zdobnov, E.M. BUSCO: Assessing Genome Assembly and Annotation Completeness with Single-Copy Orthologs. Bioinformatics 2015, 31, 3210–3212. [Google Scholar] [CrossRef]
- Oliveros, J. Venny, v2.1; Centro Nacional de Biotecnología (CNB-CSIC): Madrid, Spain, 2007. [Google Scholar]
- Sturn, A.; Quackenbush, J.; Trajanoski, Z. Genesis: Cluster Analysis of Microarray Data. Bioinformatics 2002, 18, 207–208. [Google Scholar] [CrossRef]
- Maere, S.; Heymans, K.; Kuiper, M. BiNGO: A Cytoscape Plugin to Assess Overrepresentation of Gene Ontology Categories in Biological Networks. Bioinformatics 2005, 21, 3448–3449. [Google Scholar] [CrossRef]
- Supek, F.; Bošnjak, M.; Škunca, N.; Šmuc, T. Revigo Summarizes and Visualizes Long Lists of Gene Ontology Terms. PLoS ONE 2011, 6, e21800. [Google Scholar] [CrossRef]
- Bligh, E.G.; Dyer, W.J. A rapid method of total lipid extraction and purification. Can. J. Biochem. Physiol. 1959, 37, 911–917. [Google Scholar] [CrossRef]
- Cajka, T.; Fiehn, O. LC–MS-Based Lipidomics and Automated Identification of Lipids Using the LipidBlast In-Silico MS/MS Library. In Lipidomics. Methods in Molecular Biology; Bhattacharya, S., Ed.; Humana Press: New York, NY, USA, 2017; Volume 1609. [Google Scholar] [CrossRef]
- Takeda, H.; Matsuzawa, Y.; Takeuchi, M.; Takahashi, M.; Nishida, K.; Harayama, T.; Todoroki, Y.; Shimizu, K.; Sakamoto, N.; Oka, T.; et al. MS-DIAL 5 multimodal mass spectrometry data mining unveils lipidome complexities. Nat. Commun. 2024, 15, 9903. [Google Scholar] [CrossRef]
- Higashi, Y.; Okazaki, Y.; Myouga, F.; Shinozaki, K.; Saito, K. Landscape of the Lipidome and Transcriptome under Heat Stress in Arabidopsis Thaliana. Sci. Rep. 2015, 5, 10533. [Google Scholar] [CrossRef]
- Towbin, H.; Staehelint, T.; Gordon, J. Electrophoretic Transfer of Proteins from Polyacrylamide Gels to Nitrocellulose Sheets: Procedure and Some Applications. Proc. Natl. Acad. Sci. USA 1979, 76, 4350–4354. [Google Scholar] [CrossRef] [PubMed]










| Expression Trend | GO Term | Description | Ratio |
|---|---|---|---|
| Accumulating DEGs | GO:0017003 | protein–heme linkage | 0.0136 |
| GO:0071258 | cellular response to gravity | 0.0136 | |
| GO:0006089 | lactate metabolic process | 0.0204 | |
| GO:0009438 | methylglyoxal metabolic process | 0.0204 | |
| GO:0018315 | molybdenum incorporation into molybdenum–molybdopterin complex | 0.0136 | |
| GO:0042040 | metal incorporation into metallo–molybdopterin complex | 0.0136 | |
| GO:0046185 | aldehyde catabolic process | 0.0204 | |
| GO:0019243 | methylglyoxal catabolic process to D-lactate via S-lactoyl-glutathione | 0.0204 | |
| Diminishing DEGs | GO:0030245 | cellulose catabolic process | 0.0135 |
| GO:0035445 | borate transmembrane transport | 0.0101 |
Disclaimer/Publisher’s Note: The statements, opinions and data contained in all publications are solely those of the individual author(s) and contributor(s) and not of MDPI and/or the editor(s). MDPI and/or the editor(s) disclaim responsibility for any injury to people or property resulting from any ideas, methods, instructions or products referred to in the content. |
© 2025 by the authors. Licensee MDPI, Basel, Switzerland. This article is an open access article distributed under the terms and conditions of the Creative Commons Attribution (CC BY) license (https://creativecommons.org/licenses/by/4.0/).
Share and Cite
Madden, C.F.; Williams, B.; Mundree, S.; Acket, S.; Ruelland, E.; Hilhorst, H.W.M.; Farrant, J.M. Defying Death: A Multi-Omics Approach to Understanding Desiccation Tolerance and Senescence in Eragrostis nindensis. Plants 2025, 14, 3360. https://doi.org/10.3390/plants14213360
Madden CF, Williams B, Mundree S, Acket S, Ruelland E, Hilhorst HWM, Farrant JM. Defying Death: A Multi-Omics Approach to Understanding Desiccation Tolerance and Senescence in Eragrostis nindensis. Plants. 2025; 14(21):3360. https://doi.org/10.3390/plants14213360
Chicago/Turabian StyleMadden, Christine F., Brett Williams, Sagadevan Mundree, Sébastien Acket, Eric Ruelland, Henk W. M. Hilhorst, and Jill M. Farrant. 2025. "Defying Death: A Multi-Omics Approach to Understanding Desiccation Tolerance and Senescence in Eragrostis nindensis" Plants 14, no. 21: 3360. https://doi.org/10.3390/plants14213360
APA StyleMadden, C. F., Williams, B., Mundree, S., Acket, S., Ruelland, E., Hilhorst, H. W. M., & Farrant, J. M. (2025). Defying Death: A Multi-Omics Approach to Understanding Desiccation Tolerance and Senescence in Eragrostis nindensis. Plants, 14(21), 3360. https://doi.org/10.3390/plants14213360

