Studies on the Differentiation of Transient Chlorophyll a Fluorescence Signals in Papaya Plants Showing Symptoms and Without Symptoms in the Presence of PRSV-P and PMeV Viruses
Abstract
1. Introduction
2. Results
3. Discussion
4. Materials and Methods
4.1. Experimental Area and Plant Material
4.2. Transient Chlorophyll a Fluorescence
4.3. Chlorophyll Index
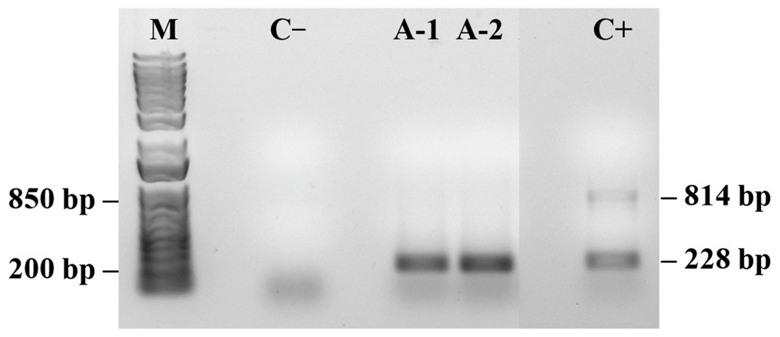
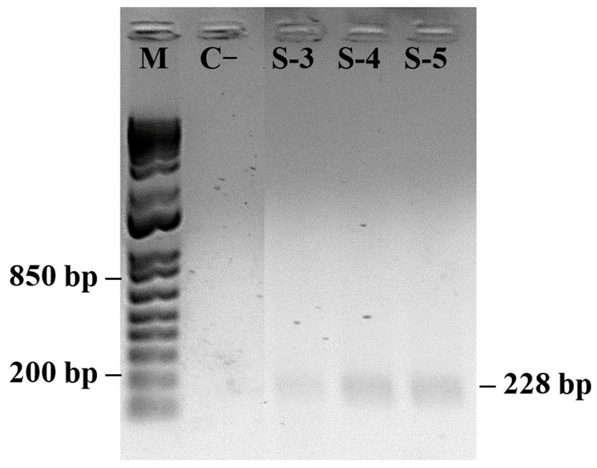
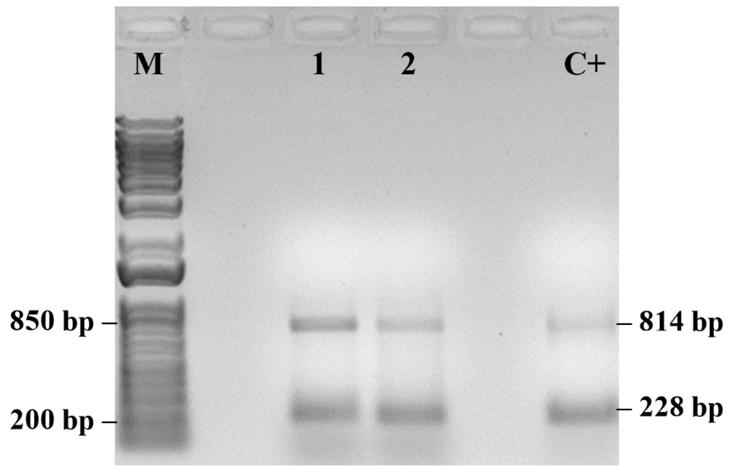
4.4. Molecular Diagnostics
4.5. Experimental Design and Statistical Analysis
5. Conclusions
Supplementary Materials
Author Contributions
Funding
Data Availability Statement
Acknowledgments
Conflicts of Interest
References
- FAO. Major Tropical Fruits Market Review Preliminary Results 2023, 1st ed.; FAO: Rome, Italy, 2024; Available online: https://openknowledge.fao.org/server/api/core/bitstreams/c03844d3-3dc6-4465-abf3-8c49947e77d8/content (accessed on 1 December 2024).
- Abreu, P.M.V.; Gaspar, C.G.; Buss, D.S.; Ventura, J.A.; Ferreira, P.C.G.; Fernandes, P.M.B. Carica papaya MicroRNAs Are Responsive to Papaya meleira virus Infection. PLoS ONE 2014, 9, e103401. [Google Scholar] [CrossRef]
- Chinnasamy, K.; Krishnan, N.K.; Balasubramaniam, M.; Balamurugan, R.; Lakshmanan, P.; Karuppasami, K.M.; Karuppannan, M.S.; Thiyagarajan, E.; Alagarswamy, S.; Muthusamy, S. Nutrient Formulation—A Sustainable Approach to Combat PRSV and Enhance Productivity in Papaya. Agriculture 2025, 15, 201. [Google Scholar] [CrossRef]
- Antunes, T.F.S.; Maurastoni, M.; Madroñero, L.J.; Fuentes, G.; Santamaría, J.M.; Ventura, J.A.; Abreu, E.F.M.; Fernandes, A.A.R.; Fernandes, P.M.B. Battle of Three: The Curious Case of Papaya Sticky Disease. Plant Dis. 2020, 104, 2754–2763. [Google Scholar] [CrossRef] [PubMed]
- Ventura, J.A.; Costa, H.; Tatagiba, J.d.S. Papaya diseases and integrated control. In Diseases of Fruits and Vegetables: Volume II: Diagnosis and Management; Springer: Dordrecht, The Netherlands, 2004; pp. 201–268. [Google Scholar]
- Gupta, P.; Parupudi, P.L.C.; Supriya, L.; Srivastava, H.; Padmaja, G.; Gopinath, K. Complete genome sequencing and construction of full-length infectious cDNA clone of Papaya ringspot virus-HYD isolate and its efficient in planta expression. Front. Microbiol. 2023, 14, 1310236. [Google Scholar] [CrossRef]
- Gonsalves, D.; Tripathi, S.; Carr, J.B.; Suzuki, J.Y. Papaya ringspot virus. Plant Health Instr. 2010, 10, 1094. [Google Scholar] [CrossRef]
- Maurastoni, M.; Antunes, T.F.S.; Abreu, E.F.M.; Ribeiro, S.G.; Mehta, A.; Sanches, M.M.; Fontes, W.; Kitajima, E.W.; Cruz, F.T.; Santos, A.M.C.; et al. A Capsid Protein Fragment of a Fusagra-like Virus Found in Carica papaya Latex Interacts with the 50S Ribosomal Protein L17. Viruses 2023, 15, 541. [Google Scholar] [CrossRef]
- de Almeida, J.M.; Maurastoni, M.; Sá-Antunes, T.F.; Ventura, J.A.; Whitfield, A.E.; Fernandes, P.M.B. Efforts to understand transmission of the papaya meleira virus complex by insects. Trop. Plant Pathol. 2024, 49, 467–479. [Google Scholar] [CrossRef]
- Kitajima, E.W.; Rodrigues, C.H.; Silveira, J.S.; Alves, F.; Ventura, J.Á.; Aragao, F.J.L.; Oliveira, L.H.R. Association of isometric viruslike particles, restricted to lacticifers, with “meleira” (sticky disease) of papaya (Carica papaya). Fitopatol. Bras. 1993, 18, 118–122. [Google Scholar]
- Maciel-Zambolim, E.; Kunieda-Alonso, S.; Matsuoka, K.; De Carvalho, M.G.; Zerbini, F.M. Purification and some properties of Papaya meleira virus, a novel virus infecting papayas in Brazil. Plant Pathol. 2003, 52, 389–394. [Google Scholar] [CrossRef]
- Tripathi, S.; Suzuki, J.Y.; Ferreira, S.A.; Gonsalves, D. Papaya ringspot virus-P: Characteristics, pathogenicity, molecular biology, and management. Plant Dis. 2008, 9, 269–280. [Google Scholar]
- Kumar, M.; Gupta, P.K.; Kumar, Y. Chapter—15 Papaya mosaic virus. In Viral Diseases of Vegetable & Fruit Crops; AkiNik Publications: New Delhi, India, 2024; pp. 207–220. [Google Scholar]
- Agrios, G.N. Plant Pathology, 5th ed.; Elsevier Academic Press: Amsterdam, The Netherlands, 2005. [Google Scholar]
- Goncalves, M.C.; Vega, J.; Oliveira, J.G.; Gomes, M. Sugarcane yellow leaf virus infection leads to alterations in photosynthetic efficiency and carbohydrate accumulation in sugarcane leaves. Fitopatol. Bras. 2005, 30, 10–16. [Google Scholar] [CrossRef]
- Ying, Y.; Liu, F.; Li, G.; Zheng, Q.; Li, B.; Li, Z.; Cheng, J.; Li, H. Silencing of the receptor-like cytoplasmic kinase gene TaRKL1 reduces photosynthetic capacity in wheat. Photosynthetica 2020, 58, 1188–1199. [Google Scholar] [CrossRef]
- Liu, F.; Li, G.; Li, H. Downregulated expression of TaDeg7 inhibits photosynthetic activity in bread wheat (Triticum aestivum L.). Photosynthetica 2023, 61, 97–107. [Google Scholar] [CrossRef] [PubMed]
- Pandey, V.; Srivastava, A.; Singh, N.; Gupta, R.; Ali, A.; Gaur, R.K. In-silico prediction of domain involved in chilli protein interaction with chilli leaf curl virus and associated betasatellite encoded protein. Discov. Plants 2024, 1, 20. [Google Scholar] [CrossRef]
- Hull, R. Plant Virology, 5th ed.; Academic Press: San Diego, CA, USA, 2014. [Google Scholar]
- Baker, N.R. Chlorophyll fluorescence: A probe of photosynthesis in vivo. Annu. Rev. Plant Biol. 2008, 59, 89–113. [Google Scholar] [CrossRef] [PubMed]
- Maxwell, K.; Johnson, G.N. Chlorophyll fluorescence—A practical guide. J. Exp. Bot. 2000, 51, 659–668. [Google Scholar] [CrossRef] [PubMed]
- Cabrera, J.A.; Ritter, A.; Raya, V.; Pérez, E.; Lobo, M.G. Papaya (Carica papaya L.) phenology under different agronomic conditions in the subtropics. Agriculture 2021, 11, 173. [Google Scholar] [CrossRef]
- Paixão, J.; Ruas, K.; Aguilar, R.; Silva, J.; Rodrigues, W.; Filho, J.M.; Abreu, D.; Bernado, W.; Ferreira, L.; Cabrera, J.; et al. Leaf photosynthesis, photorespiration, and respiration in papaya genotypes (Carica papaya L.) with different leaf chlorophyll concentrations. Acta Hortic. 2019, 1250, 225–232. [Google Scholar] [CrossRef]
- Zhou, L.; Reyes, M.E.Q.; Paull, R.E. Papaya (Carica papaya L.) Leaf Area Estimation and Single-leaf Net Photosynthetic CO2 Assimilation Rate Following Leaf Defoliation and Fruit Thinning. HortScience 2020, 55, 1861–1864. [Google Scholar] [CrossRef]
- Rodrigues, S.P.; Soares, E.d.A.; Antunes, T.F.S.; Maurastoni, M.; Madroñero, L.J.; Broetto, S.G.; Nunes, L.E.C.; Verçoza, B.R.F.; Buss, D.S.; Silva, D.M.; et al. Juvenile-related tolerance to papaya sticky disease (PSD): Proteomic, ultrastructural, and physiological events. Plant Cell Rep. 2024, 43, 269. [Google Scholar] [CrossRef]
- Nanda, R.M.; Biswal, B. Biotic stress induced demolition of thylakoid structure and loss in photoelectron transport of chloroplasts in papaya leaves. Plant Physiol. Biochem. 2008, 46, 461–468. [Google Scholar] [CrossRef]
- Alcalá-Briseño, R.I.; Casarrubias-Castillo, K.; López-Ley, D.; Garrett, K.A.; Silva-Rosales, L. Network analysis of the papaya orchard virome from two agroecological regions of Chiapas, Mexico. Msystems 2020, 5, 10.1128. [Google Scholar] [CrossRef] [PubMed]
- Chitarra, W.; Cuozzo, D.; Ferrandino, A.; Secchi, F.; Palmano, S.; Perrone, I.; Boccacci, P.; Pagliarani, C.; Gribaudo, I.; Mannini, F.; et al. Dissecting interplays between Vitis vinifera L. and grapevine virus B (GVB) under field conditions. Mol. Plant Pathol. 2018, 19, 2651–2666. [Google Scholar] [CrossRef]
- Liang, Y.; Urano, D.; Liao, K.-L.; Hedrick, T.L.; Gao, Y.; Jones, A.M. A nondestructive method to estimate the chlorophyll content of Arabidopsis seedlings. Plant Methods 2017, 13, 26. [Google Scholar] [CrossRef]
- Endeshaw, S.T.; Sabbatini, P.; Romanazzi, G.; Schilder, A.C.; Neri, D. Effects of grapevine leafroll associated virus 3 infection on growth, leaf gas exchange, yield and basic fruit chemistry of Vitis vinifera L. cv. Cabernet Franc. Sci. Hortic. 2014, 170, 228–236. [Google Scholar] [CrossRef]
- Noa-Carrazana, J.C.; González-De-León, D.; Ruiz-Castro, B.S.; Piñero, D.; Silva-Rosales, L. Distribution of Papaya ringspot virus and Papaya mosaic virus in Papaya Plants (Carica papaya) in Mexico. Plant Dis. 2006, 90, 1004–1011. [Google Scholar] [CrossRef] [PubMed]
- Bau, H.-J.; Kung, Y.-J.; Raja, J.A.J.; Chan, S.-J.; Chen, K.-C.; Chen, Y.-K.; Wu, H.-W.; Yeh, S.-D. Potential Threat of a New Pathotype of Papaya leaf distortion mosaic virus Infecting Transgenic Papaya Resistant to Papaya ringspot virus. Phytopathology 2008, 98, 848–856. [Google Scholar] [CrossRef]
- Tuo, D.; Shen, W.; Yang, Y.; Yan, P.; Li, X.; Zhou, P. Development and Validation of a Multiplex Reverse Transcription PCR Assay for Simultaneous Detection of Three Papaya Viruses. Viruses 2014, 6, 3893–3906. [Google Scholar] [CrossRef]
- Antunes, T.F.S.; Amaral, R.J.V.; Ventura, J.A.; Godinho, M.T.; Amaral, J.G.; Souza, F.O.; Zerbini, P.A.; Zerbini, F.M.; Fernandes, P.M.B. The dsRNA Virus Papaya Meleira Virus and an ssRNA Virus Are Associated with Papaya Sticky Disease. PLoS ONE 2016, 11, e0155240. [Google Scholar] [CrossRef]
- Vargas-Mejía, P.; Vega-Arreguín, J.; Chávez-Calvillo, G.; Ibarra-Laclette, E.; Silva-Rosales, L. Differential Accumulation of Innate- and Adaptive-Immune-Response-Derived Transcripts during Antagonism between Papaya ringspot virus and Papaya mosaic virus. Viruses 2020, 12, 230. [Google Scholar] [CrossRef]
- Chávez-Calvillo, G.; Contreras-Paredes, C.A.; Mora-Macias, J.; Noa-Carrazana, J.C.; Serrano-Rubio, A.A.; Dinkova, T.D.; Carrillo-Tripp, M.; Silva-Rosales, L. Antagonism or synergism between Papaya ringspot virus and Papaya mosaic virus in Carica papaya is determined by their order of infection. Virology 2016, 489, 179–191. [Google Scholar] [CrossRef]
- Premchand, U.; Mesta, R.K.; Devappa, V.; Basavarajappa, M.P.; Venkataravanappa, V.; Reddy, L.R.C.N.; Shankarappa, K.S. Survey, Detection, Characterization of Papaya ringspot virus from Southern India and Management of Papaya Ringspot Disease. Pathogens 2023, 12, 824. [Google Scholar] [CrossRef]
- Maurastoni, M.; Sá-Antunes, T.F.; Oliveira, S.A.; Santos, A.M.C.; Ventura, J.A.; Fernandes, P.M.B. A multiplex RT-PCR method to detect papaya meleira virus complex in adult pre-flowering plants. Arch. Virol. 2020, 165, 1211–1214. [Google Scholar] [CrossRef]
- Tanner, F.; Tonn, S.; de Wit, J.; Ackerveken, G.V.D.; Berger, B.; Plett, D. Sensor-based phenotyping of above-ground plant-pathogen interactions. Plant Methods 2022, 18, 35. [Google Scholar] [CrossRef]
- Grishina, A.; Sherstneva, O.; Zhavoronkova, A.; Ageyeva, M.; Zdobnova, T.; Lysov, M.; Brilkina, A.; Vodeneev, V. Comparison of the Efficiency of Hyperspectral and Pulse Amplitude Modulation Imaging Methods in Pre-Symptomatic Virus Detection in Tobacco Plants. Plants 2023, 12, 3831. [Google Scholar] [CrossRef]
- Abbink, T.E.; Peart, J.R.; Mos, T.N.; Baulcombe, D.C.; Bol, J.F.; Linthorst, H.J. Silencing of a Gene Encoding a Protein Component of the Oxygen-Evolving Complex of Photosystem II Enhances Virus Replication in Plants. Virology 2002, 295, 307–319. [Google Scholar] [CrossRef] [PubMed]
- Lehto, K.; Tikkanen, M.; Hiriart, J.-B.; Paakkarinen, V.; Aro, E.-M. Depletion of the Photosystem II Core Complex in Mature Tobacco Leaves Infected by the Flavum Strain of Tobacco mosaic virus. Mol. Plant-Microbe Interact. 2003, 16, 1135–1144. [Google Scholar] [CrossRef] [PubMed]
- Jang, C.; Seo, E.-Y.; Nam, J.; Bae, H.; Gim, Y.G.; Kim, H.G.; Cho, I.S.; Lee, Z.-W.; Bauchan, G.R.; Hammond, J.; et al. Insights into Alternanthera mosaic virus TGB3 Functions: Interactions with Nicotiana benthamiana PsbO Correlate with Chloroplast Vesiculation and Veinal Necrosis Caused by TGB3 Over-Expression. Front. Plant Sci. 2013, 4, 38661. [Google Scholar] [CrossRef] [PubMed]
- Lei, R.; Jiang, H.; Hu, F.; Yan, J.; Zhu, S. Chlorophyll fluorescence lifetime imaging provides new insight into the chlorosis induced by plant virus infection. Plant Cell Rep. 2017, 36, 327–341. [Google Scholar] [CrossRef]
- Soares, E.d.A.; Werth, E.G.; Madroñero, L.J.; Ventura, J.A.; Rodrigues, S.P.; Hicks, L.M.; Fernandes, P.M. Label-free quantitative proteomic analysis of pre-flowering PMeV-infected Carica papaya L. J. Proteom. 2017, 151, 275–283. [Google Scholar] [CrossRef]
- Gururani, M.A.; Venkatesh, J.; Tran, L.S.P. Regulation of Photosynthesis during Abiotic Stress-Induced Photoinhibition. Mol. Plant 2015, 8, 1304–1320. [Google Scholar] [CrossRef]
- Strasser, B.J.; Strasser, R.J. Measuring Fast Fluorescence Transients to Address Environmental Questions: The JIP-Test. In Photosynthesis: From Light to Biosphere; Springer: Berlin/Heidelberg, Germany, 1995; pp. 4869–4872. [Google Scholar]
- Tsimilli-Michael, M. Revisiting JIP-test: An educative review on concepts, assumptions, approximations, definitions and terminology. Photosynthetica 2020, 58, 275–292. [Google Scholar] [CrossRef]
- Galić, V.; Mazur, M.; Šimić, D.; Zdunić, Z.; Franić, M. Plant biomass in salt-stressed young maize plants can be modelled with photosynthetic performance. Photosynthetica 2020, 58, 194–204. [Google Scholar] [CrossRef]
- Strasser, R.J.; Tsimilli-Michael, M.; Srivastava, A. Analysis of the chlorophyll a fluorescence transient. In Chlorophyll a Fluorescence: A Signature of Photosynthesis; Papageorgiou, G.C., Govindjee, Eds.; Springer: Dordrecht, The Netherlands, 2007; pp. 321–362. [Google Scholar] [CrossRef]
- Tsimilli-Michael, M.; Strasser, R.J. The energy flux theory 35 years later: Formulations and applications. Photosynth. Res. 2013, 117, 289–320. [Google Scholar] [CrossRef]
- Zabret, J.; Bohn, S.; Schuller, S.K.; Arnolds, O.; Möller, M.; Meier-Credo, J.; Liauw, P.; Chan, A.; Tajkhorshid, E.; Langer, J.D.; et al. Structural insights into photosystem II assembly. Nat. Plants 2021, 7, 524–538. [Google Scholar] [CrossRef] [PubMed]
- Hammami, Z.; Tounsi-Hammami, S.; Nhamo, N.; Rezgui, S.; Trifa, Y. The efficiency of chlorophyll fluorescence as a selection criterion for salinity and climate aridity tolerance in barley genotypes. Front. Plant Sci. 2024, 15, 1324388. [Google Scholar] [CrossRef]
- Kalaji, H.M.; Schansker, G.; Ladle, R.J.; Goltsev, V.; Bosa, K.; Allakhverdiev, S.I.; Brestic, M.; Bussotti, F.; Calatayud, A.; Dąbrowski, P.; et al. Frequently asked questions about in vivo chlorophyll fluorescence: Practical issues. Photosynth. Res. 2014, 122, 121–158. [Google Scholar] [CrossRef]
- Kyseláková, H.; Prokopová, J.; Nauš, J.; Novák, O.; Navrátil, M.; Šafářová, D.; Špundová, M.; Ilík, P. Photosynthetic alterations of pea leaves infected systemically by pea enation mosaic virus: A coordinated decrease in efficiencies of CO2 assimilation and photosystem II photochemistry. Plant Physiol. Biochem. 2011, 49, 1279–1289. [Google Scholar] [CrossRef]
- Cheaib, A.; Killiny, N. Photosynthesis Responses to the Infection with Plant Pathogens. Mol. Plant-Microbe Interact. 2025, 38, 9–29. [Google Scholar] [CrossRef]
- Chen, S.; Zhou, F.; Yin, C.; Strasser, R.J.; Yang, C.; Qiang, S. Application of fast chlorophyll a fluorescence kinetics to probe action target of 3-acetyl-5-isopropyltetramic acid. Environ. Exp. Bot. 2011, 73, 31–41. [Google Scholar] [CrossRef]
- Markwell, J.; Osterman, J.C.; Mitchell, J.L. Calibration of the Minolta SPAD-502 leaf chlorophyll meter. Photosynth. Res. 1995, 46, 467–472. [Google Scholar] [CrossRef] [PubMed]
- Medina-Salguero, A.X.; Cornejo-Franco, J.F.; Grinstead, S.; Mowery, J.; Mollov, D.; Quito-Avila, D.F. Genetic characterization of a mild isolate of Papaya ringspot virus type-P (PRSV-P) and assessment of its cross-protection potential under greenhouse and field conditions. PLoS ONE 2021, 16, e0241652. [Google Scholar] [CrossRef] [PubMed]







| SG/OCT | A/DEC | S/DEC | A/MAY | S/MAY | |
|---|---|---|---|---|---|
| Chla | 39.8 ± 4.76 | 52.55 ± 5.10 | 48.2 ± 4.52 | 49.55 ± 2.50 | 48.2 ± 1.61 |
Disclaimer/Publisher’s Note: The statements, opinions and data contained in all publications are solely those of the individual author(s) and contributor(s) and not of MDPI and/or the editor(s). MDPI and/or the editor(s) disclaim responsibility for any injury to people or property resulting from any ideas, methods, instructions or products referred to in the content. |
© 2025 by the authors. Licensee MDPI, Basel, Switzerland. This article is an open access article distributed under the terms and conditions of the Creative Commons Attribution (CC BY) license (https://creativecommons.org/licenses/by/4.0/).
Share and Cite
de Medeiros, W.P.; Quadros, O.d.F.; Broetto, S.G.; Ventura, J.A.; Silva, D.M. Studies on the Differentiation of Transient Chlorophyll a Fluorescence Signals in Papaya Plants Showing Symptoms and Without Symptoms in the Presence of PRSV-P and PMeV Viruses. Plants 2025, 14, 3208. https://doi.org/10.3390/plants14203208
de Medeiros WP, Quadros OdF, Broetto SG, Ventura JA, Silva DM. Studies on the Differentiation of Transient Chlorophyll a Fluorescence Signals in Papaya Plants Showing Symptoms and Without Symptoms in the Presence of PRSV-P and PMeV Viruses. Plants. 2025; 14(20):3208. https://doi.org/10.3390/plants14203208
Chicago/Turabian Stylede Medeiros, Weverton Pereira, Oeber de Freitas Quadros, Sabrina Garcia Broetto, José Aires Ventura, and Diolina Moura Silva. 2025. "Studies on the Differentiation of Transient Chlorophyll a Fluorescence Signals in Papaya Plants Showing Symptoms and Without Symptoms in the Presence of PRSV-P and PMeV Viruses" Plants 14, no. 20: 3208. https://doi.org/10.3390/plants14203208
APA Stylede Medeiros, W. P., Quadros, O. d. F., Broetto, S. G., Ventura, J. A., & Silva, D. M. (2025). Studies on the Differentiation of Transient Chlorophyll a Fluorescence Signals in Papaya Plants Showing Symptoms and Without Symptoms in the Presence of PRSV-P and PMeV Viruses. Plants, 14(20), 3208. https://doi.org/10.3390/plants14203208

