Establishment of Transient Transformation Systems in Welsh Onion (Allium fistulosum L.): Hairy Root Induction and Protoplast Transformation
Abstract
1. Introduction
2. Materials and Methods
2.1. Establishment of Hairy Root Induction System
2.1.1. Aseptic Seedling Culture and the Acquisition of Explants
2.1.2. Plasmid and Bacterial Strains
2.1.3. Reagents
2.1.4. A. rhizogenes-Mediated Hairy Root Induction
2.1.5. PCR Verification Experiment for GFP Transgene Integration
2.2. Establishment and Optimization of Protoplast Transformation
2.2.1. Plant Materials and Growth Conditions
2.2.2. Plasmid Preparation
2.2.3. Protoplast Isolation
2.2.4. Protoplast Counting and Viability Assessment
2.2.5. PEG-Mediated Protoplast Transfection
3. Results
3.1. Establishment of Hairy Root Induction System
3.1.1. Optimizing Adventitious Root Induction in Welsh Onion: Evaluating A. rhizogenes Strains and Explant Selection
3.1.2. Optimization of Induction Conditions for Hairy Roots
3.2. Establishment of the Protoplast Transformation System
3.2.1. Determination of the Optimum Enzyme Concentration for the Isolation of Protoplasts from Welsh Onion Leaves
3.2.2. Determination of Optimum Mannitol Concentration and Enzyme Digestion Time for Protoplast Isolation from Welsh Onion Leaves
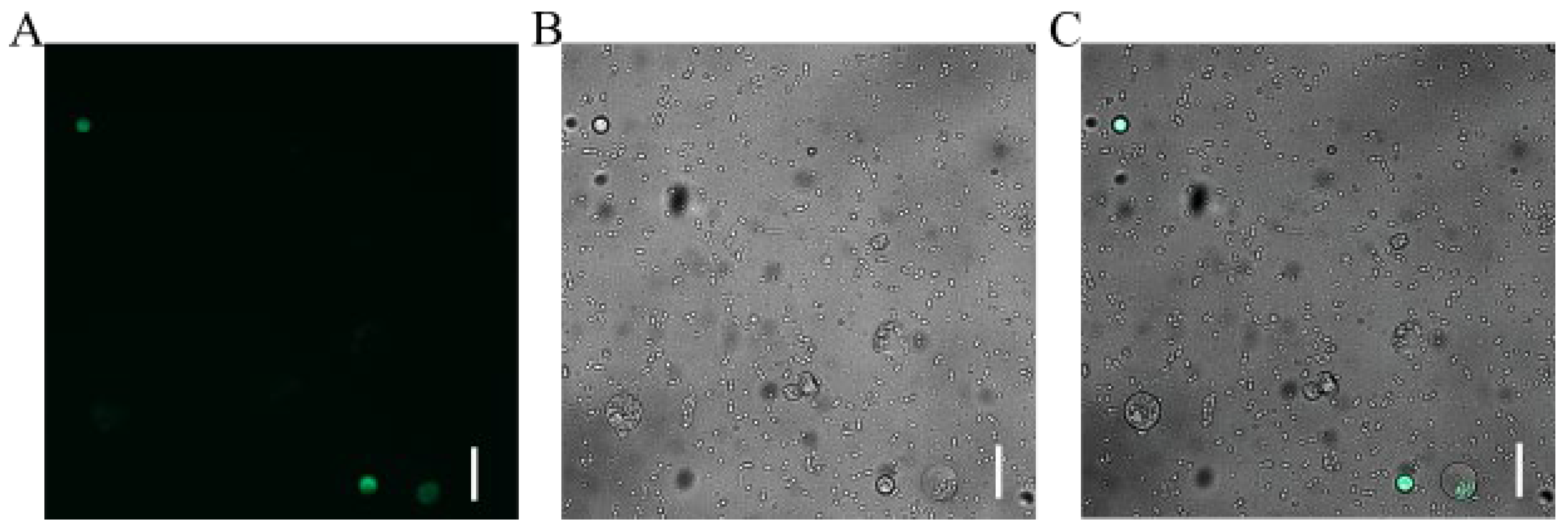
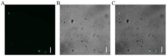
3.2.3. PEG-Mediated Transient Transformation of Welsh Onion Leaf Protoplasts
4. Discussion
5. Conclusions
Author Contributions
Funding
Data Availability Statement
Acknowledgments
Conflicts of Interest
References
- Padula, G.; Xia, X.; Hołubowicz, R. Welsh onion (Allium Fistulosum L.) Seed physiology, breeding, production and trade. Plants 2022, 11, 343. [Google Scholar] [CrossRef] [PubMed]
- Liang, L.; Zhou, C.; Zhang, Y.; Sun, B. Effect of Welsh onion on taste components and sensory characteristics of porcine bone soup. Foods 2021, 10, 2968. [Google Scholar] [CrossRef]
- Yue, L.; Wang, Q.; Liu, Z.; Kong, S.; Gao, L. Integrated cytological, physiological, and comparative transcriptome profiling reveals the regulatory network for male sterility in Welsh onion (Allium fistulosum L.). Sci. Hortic. 2024, 338, 113616. [Google Scholar] [CrossRef]
- Liu, X.; Guo, J.; Chen, Z.; Xu, K.; Xu, K. Detection of volatile compounds and their contribution to the nutritional quality of Chinese and Japanese Welsh onions (Allium fistulosum L.). Horticulturae 2024, 10, 446. [Google Scholar] [CrossRef]
- Liu, P.; Wu, P.; Bi, J.; Jiang, Y.; Gao, R.; Gao, L.; Li, Y.; Zhao, T.; Zhang, X.; Zhang, C.; et al. Development of an analytic method for organosulfur compounds in Welsh onion and its use for nutritional quality analysis of five typical varieties in China. Food Chem. 2024, 441, 138237. [Google Scholar] [CrossRef]
- Liao, N.Q.; Hu, Z.Y.; Miao, J.S.; Hu, X.D.; Lyu, X.L.; Fang, H.T.; Zhou, Y.M.; Mahmoud, A.; Deng, G.C.; Meng, Y.Q.; et al. Chromosome-level genome assembly of bunching onion illuminates genome evolution and flavor formation in Allium crops. Nat. Commun. 2022, 13, 6690. [Google Scholar] [CrossRef]
- Hao, F.; Liu, X.; Zhou, B.T.; Tian, Z.Z.; Zhou, L.; Zong, H.; Qi, J.Y.; He, J.; Zhang, Y.T.; Zeng, P.; et al. Chromosome-level genomes of three key Allium crops and their trait evolution. Nat. Genet. 2023, 55, 1976–1986. [Google Scholar] [CrossRef]
- Liu, Q.C.; Wen, C.L.; Zhao, H.; Zhang, L.Y.; Wang, J.; Wang, Y.Q. RNA-Seq reveals leaf cuticular wax-related genes in Welsh onion. PLoS ONE 2014, 9, e113290. [Google Scholar] [CrossRef]
- Liu, L.C.; Xu, H.H.; Zhang, W.Y.; Jing, J.Y.; Zhu, M.Z.; Zhang, Y.C.; Wang, Y.Q. Genome-Wide Analysis of the BAHD family in Welsh onion and CER2-LIKEs involved in wax metabolism. Genes 2023, 14, 1286. [Google Scholar] [CrossRef]
- Liu, Q.C.; Wen, C.L.; Zhao, H.; Wang, Y.Q. Comparative analysis of male sterility associated ATPase isoenzymes and atpA genes in a Welsh onion (Allium fistulosum L.) cytoplasmic male sterility line and its maintainer line. Sci. Hortic. 2019, 243, 101106. [Google Scholar] [CrossRef]
- Wroblewski, T.; Tomczak, A.; Michelmore, R. Optimization of agrobacterium-mediated transient assays of gene expression in Lettuce, Tomato and Arabidopsis. Plant Biotechnol. J. 2005, 3, 259–273. [Google Scholar] [CrossRef]
- Hudzieczek, V.; Cegan, R.; Cermak, T.; Bacovska, N.; Machalkova, Z.; Dolezal, K.; Plihalova, L.; Voytas, D.; Hobza, R.; Vyskot, B. Agrobacterium rhizogenes-mediated transformation of a dioecious plant model silene latifolia. New Biotechnol. 2019, 48, 20–28. [Google Scholar] [CrossRef]
- Yi, X.; Wang, C.; Yuan, X.; Zhang, M.; Zhang, C.; Qin, T.; Wang, H.; Xu, L.; Liu, L.; Wang, Y. Exploring an economic and highly efficient genetic transformation and genome-editing system for radish through developmental regulators and visible reporter. Plant J. 2024, 120, 1682–1692. [Google Scholar] [CrossRef]
- Jiang, S.; Li, Q.; Meng, X.; Huang, M.; Yao, J.; Wang, C.; Fang, P.; Tao, A.; Xu, J.; Qi, J.; et al. Development of an agrobacterium-mediated CRISPR/Cas9 gene editing system in Jute (Corchorus capsularis). Crop J. 2024, 12, 1266–1270. [Google Scholar] [CrossRef]
- Manan, S.; Li, P.H.; Alfarraj, S.; Ansari, M.J.; Bilal, M.; Ullah, M.W.; Zhao, J. FUS3: Orchestrating soybean plant development and boosting stress tolerance through metabolic pathway regulation. Plant Physiol. Biochem. 2024, 213, 108803. [Google Scholar] [CrossRef] [PubMed]
- Li, X.; Cao, C.C.; Sun, X.; Pablo, B.V.; Liu, Y.; Wang, J.Y. Validation of CRISPR construct activity and gene function in melon via a hairy root transformation system. Physiol. Mol. Biol. Plants 2025, 31, 753–766. [Google Scholar] [CrossRef]
- Reddy, C.R.K.; Gupta, M.K.; Mantri, V.A.; Jha, B. Seaweed protoplasts: Status, biotechnological perspectives and needs. J. Appl. Phycol. 2008, 20, 619–632. [Google Scholar] [CrossRef]
- Broucke, E.; Rolland, F.; Crepin, N. Fast identification of in vivo protein phosphorylation events using transient expression in leaf mesophyll protoplasts and Phos-tagTM SDS-PAGE. Methods Mol. Biol. 2023, 2642, 215–231. [Google Scholar]
- Carrillo, R.; Feldeverd, E.; Christopher, D.A. The use of fluorescent protein fusions to monitor the unfolded protein response and protein foldase-substrate interactions in plant protoplasts. Methods Mol. Biol. 2022, 2378, 69–81. [Google Scholar]
- Xing, T.; Wang, X. Protoplasts in plant signaling analysis: Moving forward in the omics era. Botany 2015, 93, 325–332. [Google Scholar] [CrossRef]
- Zhu, M.; Jeon, B.W.; Geng, S.; Yu, Y.; Balmant, K.; Chen, S.; Assmann, S.M. Preparation of epidermal peels and guard cell protoplasts for cellular, electrophysiological, and -omics assays of guard cell function. Methods Mol. Biol. 2016, 1363, 89–121. [Google Scholar]
- Dong, M.A.; Bufford, J.L.; Oono, Y.; Church, K.; Dau, M.Q.; Michels, K.; Haughton, M.; Tallman, G. Heat suppresses activation of an auxin-responsive promoter in cultured guard cell protoplasts of tree tobacco. Plant Physiol. 2007, 145, 367–377. [Google Scholar] [CrossRef] [PubMed]
- Qiu, L.; Wang, Y.; Qu, H. Loading calcium fluorescent probes into protoplasts to detect calcium in the flesh tissue cells of malus domestica. Hortic. Res. 2020, 7, 91. [Google Scholar] [CrossRef] [PubMed]
- Lin, C.L.; Hsu, C.T.; Yuan, Y.H.; Zheng, P.X.; Wu, F.H.; Cheng, Q.W.; Wu, Y.L.; Wu, T.L.; Lin, S.; Yue, J.J.; et al. DNA-free CRISPR-Cas9 gene editing of wild tetraploid tomato Solanum peruvianum using protoplast regeneration. Plant Physiol. 2022, 188, 1917–1930. [Google Scholar] [CrossRef] [PubMed]
- Nagel, M.K.; Vogel, K.; Isono, E. Transient expression of ESCRT components in Arabidopsis root cell suspension culture-derived protoplasts. Methods Mol. Biol. 2019, 1998, 163–174. [Google Scholar]
- Choi, H.; Shin, H.; Kim, C.Y.; Park, J.; Kim, H. Highly efficient CRISPR/Cas9-RNP mediated CaPAD1 editing in protoplasts of three pepper (Capsicum annuum L.) cultivars. Plant Signal. Behav. 2024, 19, 2383822. [Google Scholar] [CrossRef]
- Najafi, S.; Bertini, E.; D’Incà, E.; Fasoli, M.; Zenoni, S. DNA-Free genome editing in grapevine using CRISPR/Cas9 Ribonucleoprotein complexes followed by protoplast regeneration. Hortic. Res. 2023, 10, uhac240. [Google Scholar] [CrossRef]
- Sahab, S.; Hayden, M.J.; Mason, J.; Spangenberg, G. An efficient fluorescence-activated protoplast sorting (faps) and regeneration protocol for canola (Brassica napus). Curr. Protoc. 2024, 4, e70008. [Google Scholar] [CrossRef]
- Bertini, E.; Tornielli, G.B.; Pezzotti, M.; Zenoni, S. Regeneration of plants from embryogenic callus-derived protoplasts of Garganega and Sangiovese grapevine (Vitis vinifera L.) cultivars. Plant Cell Tiss. Organ Cult. 2019, 138, 239–246. [Google Scholar] [CrossRef]
- Liu, W.; Li, J.; Sun, J.; Liu, C.Y.; Yan, B.; Zhou, C.; Li, S.D.; Song, X.W.; Yan, W.; Yang, Y.Z.; et al. The E3 ligase OsHel2 impedes readthrough of stalled mRNAs to regulate male fertility in thermosensitive genic male sterile rice. Plant Commun. 2025, 6, 101192. [Google Scholar] [CrossRef]
- Zhang, X.; Wang, H.Y.; Sun, H.J.; Li, Y.B.; Feng, Y.L.; Jiao, C.Z.; Li, M.L.; Song, X.Y.; Wang, T.; Wang, Z.K.; et al. A chromosome-scale genome assembly of Dasypyrum villosum provides insights into its application as a broad-spectrum disease resistance resource for wheat improvement. Mol. Plant 2023, 16, 432–451. [Google Scholar] [CrossRef]
- Hsu, C.T.; Chiu, C.C.; Hsiao, P.Y.; Lin, C.Y.; Cheng, S. Transgene-free CRISPR/Cas9-mediated gene editing through protoplast-to-plant regeneration enhances active compounds in Salvia miltiorrhiza. Plant Biotechnol. J. 2024, 22, 1549–1551. [Google Scholar] [CrossRef]
- De La Cruz-Velueta, M.F.; Muñoz-Sánchez, J.A.; Vázquez-Flota, F.A. Isolation of protoplasts from tissues of mexican prickly poppy (Argemone mexicana L.): An alkaloid-producing medicinal plant. Methods Mol. Biol. 2024, 2827, 435–443. [Google Scholar]
- Martins, L.G.C.; Fontes, E.P.B. Replication assay of begomovirus in arabidopsis protoplasts. Methods Mol. Biol. 2024, 2724, 111–125. [Google Scholar]
- Neubauer, A.; Ruaud, S.; Waller, M.; Frangedakis, E.; Li, F.; Nötzold, S.I.; Wicke, S.; Bailly, A.; Szövényi, P. Step-by-step protocol for the isolation and transient transformation of hornwort protoplasts. Appl. Plant Sci. 2022, 10, e11456. [Google Scholar] [CrossRef] [PubMed]
- Echeverri, D.; Romo, J.; Giraldo, N.; Atehortúa, L. Microalgae Protoplasts Isolation and Fusion for Biotechnology Research. Rev. Colomb. Biotecnol. 2019, 21, 101–112. [Google Scholar] [CrossRef]
- Hwang, C.; Yan, S.; Choe, Y.; Yun, C.; Xu, S.; Im, M.; Xue, Z. Efficient hairy root induction system of astragalus membranaceus and significant enhancement of astragalosides via overexpressing AmUGT15. Plant Cell Rep. 2024, 43, 285. [Google Scholar] [CrossRef]
- Pereira, B.M.; Arraes, F.; Martins, A.C.Q.; Alves, N.S.F.; Melo, B.P.; Morgante, C.V.; Saraiva, M.A.P.; Grossi-de-Sá, M.F.; Guimaraes, P.M.; Brasileiro, A.C.M. A novel soybean hairy root system for gene functional validation. PLoS ONE 2023, 18, e0285504. [Google Scholar] [CrossRef]
- Ma, H.; Liu, N.; Sun, X.; Zhu, M.; Mao, T.; Huang, S.; Meng, X.; Li, H.; Wang, M.; Liang, H. Establishment of an efficient transformation system and its application in regulatory mechanism analysis of biological macromolecules in tea plants. Int. J. Biol. Macromol. 2023, 244, 125372. [Google Scholar] [CrossRef]
- Li, G.; Liu, R.; Xu, R. Development of an agrobacterium-mediated CRISPR/Cas9 system in Pea (Pisum sativum L.). Crop J. 2023, 11, 132–139. [Google Scholar] [CrossRef]
- Jedličková, V.; Štefková, M.; Sedláček, M.; Panzarová, K.; Robert, H.S. Hairy root transformation and regeneration in Arabidopsis thaliana and Brassica napus. J. Vis. Exp. 2023, 202, e66223. [Google Scholar] [CrossRef]
- Sharafi, A.; Sohi, H.H.; Azadi, P.; Sharafi, A.A. Hairy root induction and plant regeneration of medicinal plant dracocephalum kotschyi. Physiol. Mol. Biol. Plants 2014, 20, 257–262. [Google Scholar] [CrossRef]
- Wang, K.; Liu, Y.; Li, S. Bimolecular fluorescence complementation (BIFC) protocol for rice protoplast transformation. Bio. Protocol 2013, 3, e979. [Google Scholar] [CrossRef]
- Patil, G.B.; Stupar, R.M.; Zhang, F. Protoplast isolation, transfection, and gene editing for Soybean (Glycine Max). Methods Mol. Biol. 2022, 2464, 173–186. [Google Scholar] [PubMed]
- Jin, L.Q.; Xu, Z.W.; Men, X.H.; Liu, Z.Q.; Zheng, Y.G. Enhancement of protoplast preparation and regeneration of hirsutella sinensis based on process optimization. Biotechnol. Lett. 2020, 42, 2357–2366. [Google Scholar] [CrossRef] [PubMed]
- Xu, X.; Zhu, H.; Ren, Y.; Feng, C.; Ye, Z.; Cai, H.; Wan, X.; Peng, C. Efficient isolation and purification of tissue-specific protoplasts from tea plants (Camellia Sinensis (L.) O. Kuntze). Plant Methods 2021, 17, 84. [Google Scholar] [CrossRef] [PubMed]
- Adedeji, O.S.; Naing, A.H.; Kang, H.; Chung, M.Y.; Lim, K.B.; Kim, C.K. Optimization of protocol for efficient protoplast isolation and transient gene expression in carnation. Sci. Hortic. 2022, 299, 111057. [Google Scholar] [CrossRef]
- Shao, Y.; Mu, D.; Pan, L.; Wilson, I.W.; Zheng, Y.; Zhu, L.; Lu, Z.; Wan, L.; Fu, J.; Wei, S.; et al. Optimization of isolation and transformation of protoplasts from uncaria rhynchophylla and its application to transient gene expression analysis. Int. J. Mol. Sci. 2023, 24, 3633. [Google Scholar] [CrossRef]
- Marion, J.; Bach, L.; Bellec, Y.; Meyer, C.; Gissot, L.; Faure, J. Systematic analysis of protein subcellular localization and interaction using high-throughput transient transformation of arabidopsis seedlings. Plant J. 2008, 56, 169–179. [Google Scholar] [CrossRef]
- Hu, B.; Dong, M.; Liu, R.; Shan, W.; Wang, Y.; Ding, Y.; Peng, J.; Meng, L.; Wang, C.; Zhou, Q. Establishment of an efficient protoplast isolation and transfection method for Eucommia ulmoides Oliver. Front. Biosci. Landmark 2024, 29, 187. [Google Scholar] [CrossRef]
- Duarte, P.; Ribeiro, D.; Carqueijeiro, I.; Bettencourt, S.; Sottomayor, M. Protoplast transformation as a plant-transferable transient expression system. Methods Mol. Biol. 2016, 1405, 137–148. [Google Scholar] [PubMed]
- Li, Y.; Wang, N.; Feng, J.; Liu, Y.; Wang, H.; Deng, S.; Dong, W.; Liu, X.; Lv, B.; Sun, J.; et al. Enhancing genetic transformation efficiency in cucurbit crops through AtGRF5 overexpression: Mechanistic insights and applications. J. Integr. Plant Biol. 2025, 67, 1843–1860. [Google Scholar] [CrossRef]
- Zhang, X.; Peng, R.; Tian, X.; Guo, Y.; Li, X.; Liu, X.; Xie, Y.; Li, M.; Xia, H.; Liang, D. Establishment of protoplasts isolation and transient transformation system for kiwifruit. Sci. Hortic. 2024, 329, 113034. [Google Scholar] [CrossRef]






| Treatment (No.) | OD600 | AS (µM) | Induction Rate (%) |
|---|---|---|---|
| 1 | 0.3 | 100 | 88.75 |
| 2 | 0.3 | 200 | 61.25 |
| 3 | 0.3 | 300 | 62.5 |
| 4 | 0.5 | 100 | 87.5 |
| 5 | 0.5 | 200 | 66.25 |
| 6 | 0.5 | 300 | 53.75 |
| 7 | 0.7 | 100 | 47.5 |
| 8 | 0.7 | 200 | 42.5 |
| 9 | 0.7 | 300 | 43.75 |
| Treatment No. | Cellulase R-10 (%) | Macerozyme R-10 (%) | Protoplast Yield (×105 Protoplasts·g−1 FW) | Protoplast Vitality (%) |
|---|---|---|---|---|
| 1 | 0.5 | 0.3 | 3.33 | 91.67 |
| 2 | 0.5 | 0.5 | 6.33 | 89.42 |
| 3 | 0.5 | 0.7 | 10.56 | 88.38 |
| 4 | 1.0 | 0.3 | 6.56 | 88.67 |
| 5 | 1.0 | 0.5 | 14.33 | 86.88 |
| 6 | 1.0 | 0.7 | 18.44 | 89.67 |
| 7 | 1.5 | 0.3 | 3.11 | 94.44 |
| 8 | 1.5 | 0.5 | 9.00 | 91.48 |
| 9 | 1.5 | 0.7 | 12.00 | 87.94 |
| K1 | 20.22 | 13.00 | ||
| K2 | 39.33 | 29.67 | ||
| K3 | 24.11 | 41.00 | ||
| k1 | 6.74 | 4.33 | ||
| k2 | 13.11 | 9.89 | ||
| k3 | 8.04 | 13.67 | ||
| R | 6.37 | 9.33 | ||
| K1′ | 269.47 | 274.78 | ||
| K2′ | 265.21 | 267.78 | ||
| K3′ | 273.86 | 265.99 | ||
| k1′ | 89.82 | 91.59 | ||
| k2′ | 88.40 | 89.26 | ||
| k3′ | 91.29 | 88.66 | ||
| R′ | 2.88 | 2.93 |
Disclaimer/Publisher’s Note: The statements, opinions and data contained in all publications are solely those of the individual author(s) and contributor(s) and not of MDPI and/or the editor(s). MDPI and/or the editor(s) disclaim responsibility for any injury to people or property resulting from any ideas, methods, instructions or products referred to in the content. |
© 2025 by the authors. Licensee MDPI, Basel, Switzerland. This article is an open access article distributed under the terms and conditions of the Creative Commons Attribution (CC BY) license (https://creativecommons.org/licenses/by/4.0/).
Share and Cite
Wang, D.; Liu, Y.; Zhang, Y.; Huang, X.; Wang, J.; Wang, Y.; Liu, Y.; Yan, C.; Lv, B.; Jia, Y. Establishment of Transient Transformation Systems in Welsh Onion (Allium fistulosum L.): Hairy Root Induction and Protoplast Transformation. Plants 2025, 14, 2664. https://doi.org/10.3390/plants14172664
Wang D, Liu Y, Zhang Y, Huang X, Wang J, Wang Y, Liu Y, Yan C, Lv B, Jia Y. Establishment of Transient Transformation Systems in Welsh Onion (Allium fistulosum L.): Hairy Root Induction and Protoplast Transformation. Plants. 2025; 14(17):2664. https://doi.org/10.3390/plants14172664
Chicago/Turabian StyleWang, Dan, Yin Liu, Yao Zhang, Xiumei Huang, Jiaxuan Wang, Yi Wang, Yue Liu, Chao Yan, Bingsheng Lv, and Yue Jia. 2025. "Establishment of Transient Transformation Systems in Welsh Onion (Allium fistulosum L.): Hairy Root Induction and Protoplast Transformation" Plants 14, no. 17: 2664. https://doi.org/10.3390/plants14172664
APA StyleWang, D., Liu, Y., Zhang, Y., Huang, X., Wang, J., Wang, Y., Liu, Y., Yan, C., Lv, B., & Jia, Y. (2025). Establishment of Transient Transformation Systems in Welsh Onion (Allium fistulosum L.): Hairy Root Induction and Protoplast Transformation. Plants, 14(17), 2664. https://doi.org/10.3390/plants14172664

