Micropropagation of Ajuga bracteosa via Direct Organogenesis Using Internodal Explants: SEM, GC-MS, and SCoT Marker Analysis
Abstract
1. Introduction
2. Results and Discussion
2.1. Micropropagation
2.2. In Vitro Rooting and Acclimatization
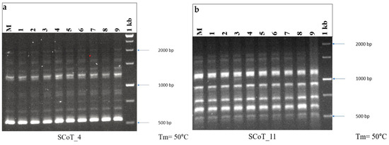
2.3. Genetic Fidelity
2.4. SEM Analysis
2.5. GC-MS Analysis
2.6. Physiological Studies and Gas-Exchange Analysis
3. Materials and Methods
3.1. Plant Material, Media Composition, and Culture Conditions
3.2. Shoot Induction and Multiplication
3.3. Rooting, Acclimatization, and Field Relocation
3.4. Genetic Fidelity Assessment Using SCoT Marker
3.5. Observation of Stomatal Structures via SEM
3.6. Preparation of Plant Methanolic Extract for GC-MS Analysis and Identification of Chemical Constituents
3.7. Physiological Analysis
3.7.1. Estimation of Chlorophyll and Carotenoid Content
3.7.2. Net Photosynthetic Rate, Stomatal Conductance, and Transpiration Rate
3.8. Statistical Analysis
4. Conclusions
Author Contributions
Funding
Data Availability Statement
Acknowledgments
Conflicts of Interest
References
- Gilani, A.H.; Rahman, A.U. Trends in ethnopharmacology. J. Ethnopharmocol. 2005, 100, 43–49. [Google Scholar] [CrossRef]
- Hu, E.; Li, Z.; Li, T.; Yang, X.; Ding, R.; Jiang, H.; Su, H.; Cheng, M.; Yu, Z.; Li, H.; et al. A novel microbial and hepatic biotransformation-integrated network pharmacology strategy explores the therapeutic mechanisms of bioactive herbal products in neurological diseases: The effects of Astragaloside IV on intracerebral hemorrhage as an example. Chin. Med. 2023, 18, 40. [Google Scholar] [CrossRef]
- Luo, P.; Feng, X.; Liu, S.; Jiang, Y. Traditional uses, phytochemistry, pharmacology and toxicology of Ruta graveolens L.: A critical review and future perspectives. Drug Des. Devel. Ther. 2024, 31, 6459–6485. [Google Scholar] [CrossRef]
- Xiang, Q.; Xiang, Y.; Liu, Y.; Chen, Y.; He, Q.; Chen, T.; Tang, L.; He, B.; Li, J. Revealing the potential therapeutic mechanism of Lonicerae Japonicae Flos in Alzheimer’s disease: A computational biology approach. Front. Med. 2024, 11, 1468561. [Google Scholar] [CrossRef]
- Li, H.; Jiang, Y.; Wang, Y.; Lv, H.; Xie, H.; Yang, G.; Guo, C.; Tang, J.; Tang, T. The effects of warfarin on the pharmacokinetics of senkyunolide I in a rat model of biliary drainage after administration of Chuanxiong. Front. Pharmacol. 2018, 9, 1461. [Google Scholar] [CrossRef] [PubMed]
- Shang, K.; Ge, C.; Zhang, Y.; Xiao, J.; Liu, S.; Jiang, Y. An evaluation of sex-specific pharmacokinetics and bioavailability of Kokusaginine: An in vitro and in vivo investigation. Pharmaceuticals 2024, 17, 1053. [Google Scholar] [CrossRef] [PubMed]
- Wang, M.; Zhang, S.; Li, R.; Zhao, Q. Unraveling the specialized metabolic pathways in medicinal plant genomes: A review. Front. Plant Sci. 2024, 15, 1459533. [Google Scholar] [CrossRef] [PubMed]
- Upadhyay, S.U.; Patel, V.B.; Patel, A.A.; Upadhyay, U.M.; Patel, N.M. Ajuga Bracteosa: A Promising Herb. Phar. Sci. Monitor. 2012, 3, 2085–2104. [Google Scholar]
- Singh, R.; Patil, S.M.; Pal, G.; Ahmad, M. Evaluation of in vivo and in vitro anti-inflammatory activity of Ajuga bracteosa Wall ex Benth. Asian Pac. J. Trop. Dis. 2012, 2, S404–S407. [Google Scholar] [CrossRef]
- Hamayun, M.; Afzal, S.; Khan, M.A. Ethanopharmacology, indigenous collection and preservation techniques of some frequently used medicinal plants of Utror and Gabral district Swat, Pakistan. Afr. J. Tradit. Complement. Altern. Med. 2006, 3, 57–73. [Google Scholar] [CrossRef]
- Pal, A.; Toppo, F.A.; Chaurasiya, P.K.; Singour, P.K.; Pawar, R.S. In-vitro cytotoxicity study of methanolic fraction from Ajuga Bracteosa wall ex. benth on MCF-7 breast adenocarcinoma and hep-2 larynx carcinoma cell lines. Pharmacogn. Res. 2014, 6, 87. [Google Scholar] [CrossRef]
- Muhammad, N.; Uddin, N.; Khan, M.K.; Umer, M.; Ali, N.; Ullah, S. Traditional and cultural uses of medicinal plant species in the flora of Kuz Abakhel, for the treatment of various ailments. Adv. Tradit. Med. 2021, 21, 591–607. [Google Scholar] [CrossRef]
- Imran, M.; Jan, H.; Faisal, S.; Shah, S.A.; Shah, S.; Khan, M.N.; Akbar, M.T.; Rizwan, M.; Jan, F.; Syed, S. In vitro examination of anti-parasitic, anti-Alzheimer, insecticidal and cytotoxic potential of Ajuga bracteosa Wallich leaves extracts. Saudi J. Biol. Sci. 2021, 28, 3031–3036. [Google Scholar] [CrossRef]
- Saeed, S.; Ali, H.; Khan, T.; Kayani, W.; Khan, M.A. Impacts of methyl jasmonate and phenyl acetic acid on biomass accumulation and antioxidant potential in adventitious roots of Ajuga bracteosa Wall ex Benth., a high valued endangered medicinal plant. Physiol. Mol. Biol. Plants 2017, 23, 229–237. [Google Scholar] [CrossRef]
- Tali, B.A.; Ganie, A.H.; Nawchoo, I.A. Conservation status of Ajuga bracteosa Wall ex Benth: An important medicinal plant species of Kashmir Himalaya. Int. J. Ecol. Ecosolut. 2016, 3, 1–6. [Google Scholar]
- Gao, Y.; Wang, Q.M.; An, Q.; Cui, J.; Zhou, Y.; Qi, X.; Zhang, L.; Li, L. A novel micropropagation of Lycium ruthenicum and epigenetic fidelity assessment of three types of micropropagated plants in vitro and ex vitro. PLoS ONE 2021, 16, e0247666. [Google Scholar] [CrossRef]
- Kudikala, H.; Jogam, P.; Sirikonda, A.; Mood, K.; Allini, V.R. In vitro micropropagation and genetic fidelity studies using SCoT and ISSR primers in Annona reticulata L.: An important medicinal plant. Vegetos 2020, 33, 446–457. [Google Scholar] [CrossRef]
- Sharma, V.; Jain, P.; Dhiman, M. In vitro propagation of elite clone of Ephedra gerardiana: An endangered medicinal plant. Vegetos 2024, 38, 676–685. [Google Scholar] [CrossRef]
- Bettoni, J.C.; Wang, M.R.; Wang, Q.C. In vitro regeneration, micropropagation and germplasm conservation of horticultural plants. Horticulturae 2024, 10, 45. [Google Scholar] [CrossRef]
- Romadanova, N.V.; Zemtsova, A.S.; Altayeva, N.A.; Artimovich, N.A.; Alexandrova, A.M.; Kushnarenko, S.V.; Bettoni, J.C. Geobotanical Study and Preservation of Rare and Endangered Rosaceae Species. Plants 2025, 14, 1526. [Google Scholar] [CrossRef]
- Shan, C.; Dong, K.; Wen, D.; Cui, Z.; Cao, J. A comprehensive review of m6A modification in plant development and potential quality improvement. Int. J. Biol. Macromol. 2025, 308, 142597. [Google Scholar] [CrossRef]
- Shan, C.; Dong, K.; Wen, D.; Ye, Z.; Hu, F.; Zekraoui, M.; Cao, J. Writers, readers, and erasers of N6-Methyladenosine (m6A) methylomes in oilseed rape: Identification, molecular evolution, and expression profiling. BMC Plant Biol. 2025, 25, 147. [Google Scholar] [CrossRef]
- Ali, H.; Khan, M.A.; Kayani, W.K.; Khan, T.; Khan, R.S. Thidiazuron regulated growth, secondary metabolism and essential oil profiles in shoot cultures of Ajuga bracteosa. Ind. Crops Prod. 2018, 121, 418–427. [Google Scholar] [CrossRef]
- Murashige, T.; Skoog, F. A revised medium for rapid growth and bio assays with tobacco tissue cultures. Physiol. Plant. 1962, 1, 15. [Google Scholar] [CrossRef]
- Burbulis, N.; Blinstrubienė, A.; Petruškevičius, A. In vitro propagation of Passiflora edulis through internodal segments as affected by medium composition. Zemdirbyste-Agric. 2021, 108, 377–382. [Google Scholar] [CrossRef]
- Dhir, R.; Shekhawat, G.S. Ecorehabilitation and biochemical studies of Ceropegia bulbosa Roxb.: A threatened medicinal succulent. Acta. Physiol. Plant. 2014, 36, 1335–1343. [Google Scholar] [CrossRef]
- Dhir, R.; Shekhawat, G.S. In vitro propagation using transverse thin cell layer culture and homogeneity assessment in Ceropegia bulbosa Roxb. J. Plant Growth Regul. 2014, 33, 820–830. [Google Scholar] [CrossRef]
- Sharma, R.K.; Wakhlu, A.K. Regeneration of Heracleum candicans Wall plants from callus cultures through organogenesis. J. Plant Biochem. Biotechnol. 2003, 12, 71–72. [Google Scholar] [CrossRef]
- Malik, S.; Chaudhury, R.; Kalia, R.K. Rapid in vitro multiplication and conservation of Garcinia indica: A tropical medicinal tree species. Sci. Hort. 2005, 106, 539–553. [Google Scholar] [CrossRef]
- Wu, Q.; Yang, H.; Yang, Y.; He, J.; Aer, E.; Ma, Y.; Zou, L. A novel and efficient in vitro organogenesis approach for Ajuga lupulina Maxim. Plants 2021, 10, 1918. [Google Scholar] [CrossRef]
- Ioannidis, K.; Dadiotis, E.; Mitsis, V.; Melliou, E.; Magiatis, P. Biotechnological approaches on two high CBD and CBG Cannabis sativa L. (Cannabaceae) varieties: In vitro regeneration and phytochemical consistency evaluation of micropropagated plants using quantitative 1H-NMR. Molecules 2020, 25, 5928. [Google Scholar] [CrossRef]
- Rehman, M.; Chaudhary, M.; Kumar, S. Effect of BAP (6-Benzylaminopurine) and NAA (α-Napthalene Acetic Acid) treatment on Micropropagation of Adansonia digitata L. Plant Cell Biotechnol. Mol. Biol. 2023, 24, 42–51. [Google Scholar]
- Hou, J.; Mao, Y.; Su, P.; Wang, D.; Chen, X.; Huang, S.; Ni, J.; Zhao, W.; Wu, L. A high throughput plant regeneration system from shoot stems of Sapium sebiferum Roxb., a potential multipurpose bioenergy tree. Ind. Crops Prod. 2020, 154, 112653. [Google Scholar] [CrossRef]
- Pozoga, M.; Olewnicki, D.; Jablonska, L. In vitro propagation protocols and variable cost comparison in commercial production for Paulownia tomentosa × Paulownia fortune hybrid as a renewable energy source. Appl. Sci. 2019, 9, 2272. [Google Scholar] [CrossRef]
- Vyas, D.K.; Dagla, H.R. Optimization of in vitro regeneration of Haloxylon salicornicum: A keystone species of extreme arid regions. Physiol. Mol. Biol. Plants. 2018, 24, 1317–1321. [Google Scholar] [CrossRef]
- Hristova, L.; Damyanova, E.; Doichinova, Z.; Kapchina-Toteva, V. Effect of 6-benzylaminopurine on micropropagation of Artemisia chamaemelifolia Vill. (Asteraceae). Bulg. J. Agric. Sci. 2013, 19, 57–60. [Google Scholar]
- Buah, J.N.; Danso, E.; Taah, K.J.; Abole, E.A.; Bediako, E.A.; Asiedu, J.; Baidoo, R. The effects of different concentration cytokinins on the in vitro multiplication of plantain (Musa sp.). Biotechnology 2010, 9, 343–347. [Google Scholar] [CrossRef]
- Abeyaratne, W.M.; Lathiff, M.A. In-vitro propagation of ‘Rathambala’ (Musa AAA) and the occurrence of phenotypic variations in the pseudostem. Ann. Sri Lanka Dep. Agric. 2002, 4, 191–197. [Google Scholar]
- Aasim, M.; Katirci, R.; Baloch, F.S.; Mustafa, Z.; Bakhsh, A.; Nadeem, M.A.; Ali, S.A.; Hatipoglu, R.; Ciftci, V.; Habyarimana, E.; et al. Innovation in the breeding of common bean through a combined approach of in vitro regeneration and machine learning algorithms. Front. Genet. 2022, 13, 897696. [Google Scholar] [CrossRef]
- Kirtis, A.; Aasim, M.; Katırcı, R. Application of artificial neural network and machine learning algorithms for modeling the in vitro regeneration of chickpea (Cicer arietinum L.). Plant Cell Tissue Organ. Cult. 2022, 150, 141–152. [Google Scholar] [CrossRef]
- Nayyef, M.N.; Awadh, H.A.; Kadhim, Z.K.; AL-Shareefi, M.J.; Abdulhussein, M.A. A comparative study between the effect of benzyl adenine and adenine sulphate on growth and multiplication of banana shoots (Musa spp.) in vitro. Int. J. Agricult. Stat. Sci. 2022, 18, 385–390. [Google Scholar]
- Srilestari, R.; Wijayani, A.; Supriyanta, B. In vitro addition of benzyladenine (BA) and thiamine on growth of Abaca banana shoots. Sys. Rev. Pharm. 2020, 11, 960–962. [Google Scholar]
- Solorzano-Cascante, P.; Sanchez-Chiang, N.; Jimenez, V.M. Explant type, culture system, 6-benzyladenine, meta-topolin and encapsulation affect indirect somatic embryogenesis and regeneration in Carica papaya L. Front. Plant Sci. 2018, 9, 1769. [Google Scholar] [CrossRef]
- García-Angulo, P.; Villar, I.; Giner-Robles, L.; Centeno, M. In vitro regeneration of two Populus hybrid clones. The role of pectin domains in cell processes underlying shoot organogenesis induction. Biol. Plant. 2018, 62, 763–774. [Google Scholar] [CrossRef]
- Saxena, P.K.; Malik, K.A.; Gill, R. Induction by thidiazuron of somatic embryogenesis in intact seedlings of peanut. Planta 1992, 187, 421–424. [Google Scholar] [CrossRef]
- Kumari, K.G.; Ganesan, M.; Jayabalan, N. Somatic organogenesis and plant regeneration in Ricinus communis. Biol. Plant. 2008, 52, 17–25. [Google Scholar] [CrossRef]
- Jan, M.; Singh, S.; Kaloo, Z.A.; Maqbool, F. Callus induction and multiple shoot regeneration in Ajuga bracteosa Wall. ex Benth.—An important medicinal plant growing in Kashmir Himalaya. Int. J. Sci. Innov. Res. 2014, 3, 319–324. [Google Scholar] [CrossRef]
- Schaller, G.E.; Bishopp, A.; Kieber, J.J. The yin-yang of hormones: Cytokinin and auxin interactions in plant development. Plant Cell. 2015, 27, 44–63. [Google Scholar] [CrossRef]
- Lee, M.H.; Lee, J.; Jie, E.Y.; Choi, S.H.; Jiang, L.; Ahn, W.S.; Kim, C.Y.; Kim, S.W. Temporal and spatial expression analysis of shoot-regeneration regulatory genes during the adventitious shoot formation in hypocotyl and cotyledon explants of tomato (cv. Micro-Tom). Int. J. Mol. Sci. 2020, 21, 5309. [Google Scholar] [CrossRef]
- Ali, M.; Khattak, A.M.; Ahmad, N.; Rauf, K.; Ullah, I.; Ali, S.; Khan, A.; Rauf, M.A.; Ur Rahman, K.; Rahman, J.; et al. Optimizing Phytohormone Combinations in Murashige and Skoog Media for Enhanced Micropropagation of Ajuga bracteosa. J. Adv. Nutr. Sci. Technol 2024, 1, 4. [Google Scholar] [CrossRef]
- Moubayidin, L.; Di Mambro, R.; Sabatini, S. Cytokinin–auxin crosstalk. Trends Plant Sci. 2009, 14, 557–562. [Google Scholar] [CrossRef]
- Blilou, I.; Xu, J.; Wildwater, M.; Willemsen, V.; Paponov, I.; Friml, J.; Heidstra, R.; Aida, M.; Palme, K.; Scheres, B. The PIN auxin efflux facilitator network controls growth and patterning in Arabidopsis roots. Nature 2005, 433, 39–44. [Google Scholar] [CrossRef]
- Khatri, P.; Rana, J.S.; Sindhu, A.; Jamdagni, P. Effect of additives on enhanced in-vitro shoot multiplication and their functional group identification of Chlorophytum borivilianum Sant. Et Fernand. SN Appl. Sci. 2019, 1, 1105. [Google Scholar] [CrossRef]
- Gupta, A.; Thomas, T.; Khan, S. Regeneration of Aegle marmelos (L.) through enhanced axillary branching from cotyledenory node. Pharm. Biosci. J. 2018, 10, 24–28. [Google Scholar] [CrossRef]
- Kar, B.; Kuanar, A.; Singh, S.; Mohanty, S.; Joshi, R.K.; Subudhi, E.; Nayak, S. In vitro induction, screening and detection of high essential oil yielding somaclones in turmeric (Curcuma longa L.). Plant Growth Regul. 2014, 72, 59–66. [Google Scholar] [CrossRef]
- Mahdi, S.A.; Kadhim, Z.K. Effect of Light Source and Adenine Sulfate on the Multiplication and Rooting of Kalanchoe blossfeldiana in Vitro. IOP Conf. Ser. Earth Environ. Sci. 2023, 1225, 012027. [Google Scholar] [CrossRef]
- Shukla, A.; Narang, A.; Kaur, S. Effect of Adenine Sulphate on In Vitro Micropropagation of Acacia holosericea A. Cunn. ex G. Don Leaflets and Leaf Rachis Explants. J. Trop. Life Sci. 2023, 13, 497–502. [Google Scholar] [CrossRef]
- Khan, M.I.; Shahzad, A.; Ganie, I.B.; Pandith, S.A. Organogenesis, direct somatic embryogenesis, and shoot proliferation of Rheum spiciforme Royle: An endemic and vulnerable medicinal herb from Indian Trans Himalayas. Vitr. Cell Dev. Biol. Plant 2022, 58, 35–50. [Google Scholar] [CrossRef]
- Jana, S.; Shekhawat, G.S. Plant growth regulators, adenine sulfate and carbohydrates regulate organogenesis and in vitro flowering of Anethum graveolens. Acta Physiol. Plant. 2011, 33, 305–311. [Google Scholar] [CrossRef]
- Husain, M.K.; Anis, M.; Shahzad, A. In vitro Control of Shoot Tip Necrosis (STN) in Pterocarpus marsupium Roxb.F—A leguminous tree. Physiol. Mol. Biol. Plants 2006, 12, 259–262. [Google Scholar]
- Polivanova, O.B.; Bedarev, V.A. Hyperhydricity in plant tissue culture. Plants. 2022, 11, 3313. [Google Scholar] [CrossRef]
- Baskaran, P.; Moyo, M.; Van Staden, J. In vitro plant regeneration, phenolic compound production and pharmacological activities of Coleonema pulchellum. S. Afr. J. Bot. 2014, 90, 74–79. [Google Scholar] [CrossRef]
- De Klerk, G.J.; Paffen, A.; Jasik, J.; Haralampieva, V. Dual effect of ethylene during rooting of apple microcuttings. In Proceedings of the Plant Biotechnology and In Vitro Biology in the 21st Century: Proceedings of the IXth International Congress of the International Association of Plant Tissue Culture and Biotechnology, Jerusalem, Israel, 14–19 June 1998; Springer: Dordrecht, The Netherlands, 1999; pp. 41–44. [Google Scholar] [CrossRef]
- Sun, W.Q.; Bassuk, N.L. Auxin-induced Ethylene Synthesis during Rooting and Inhibition of Budbreak of Royalty’ Rose Cuttings. J. Am. Soc. Hortic. Sci. 1993, 118, 638. [Google Scholar] [CrossRef]
- Driver, J.A.; Suttle, G.R. Nursery handling of propagules. In Cell and Tissue Culture in Forestry: Specific Principles and Methods: Growth and Developments; Springer: Dordrecht, The Netherlands, 1987; pp. 320–335. [Google Scholar] [CrossRef]
- Liu, C.; Fan, X.; Qin, B.; Li, A.; Zhang, L. Low temperature and dark culture inhibited explant browning and promoted in vitro regeneration of Juglans mandshurica. Vitr. Cell Dev. Biol. Plant 2024, 60, 487–495. [Google Scholar] [CrossRef]
- Teshome, I.; Teshome, S.; Soromessa, T.; Feyissa, T. Development of an efficient in vitro propagation protocol for Satureja punctata—A rare aromatic and medicinal plant. Taiwania 2016, 61, 41–48. [Google Scholar] [CrossRef]
- Jin, H.; Deng, Z.C.; He, H. Effect of explant types and plant growth regulators on direct regeneration in medicinal plant ‘Pogostemon cablin’. Plant Omics. 2014, 7, 322–327. [Google Scholar]
- Khajuria, A.K.; Bisht, N.S.; Bhagat, N. In vitro organogenesis and plant regeneration of Thymus serpyllum L.: An important aromatic medicinal plant. Vitr. Cell Dev. Biol. Plant 2020, 56, 652–661. [Google Scholar] [CrossRef]
- Sarropoulou, V.; Maloupa, E. In vitro propagation of Satureja thymbra L. (Lamiaceae): A valuable aromatic-medicinal native plant of the Mediterranean region. GSC Biol. Pharm. Sci. 2019, 9, 009–020. [Google Scholar] [CrossRef]
- Thangavel, P.; Prabhu, S.; Britto, S.J. High frequency shoots regeneration from nodal explants of Plectranthus barbatus Andrews belong to the Lamiaceae. J. Andaman Sci. Assoc. 2014, 19, 126–135. [Google Scholar]
- Liu, W.; Chilcott, C.E.; Reich, R.C.; Hellmann, G.M. Regeneration of Salvia sclarea via organogenesis. Vitr. Cell Dev. Biol. Plant 2000, 36, 201–206. [Google Scholar] [CrossRef]
- Arikat, N.A.; Jawad, F.M.; Karam, N.S.; Shibli, R.A. Micropropagation and accumulation of essential oils in wild sage (Salvia fruticosa Mill.). Sci. Hortic. 2004, 100, 193–202. [Google Scholar] [CrossRef]
- Elmongy, M.S.; Cao, Y.; Zhou, H.; Xia, Y. Root development enhanced by using indole-3-butyric acid and naphthalene acetic acid and associated biochemical changes of in vitro azalea microshoots. J. Plant Growth Regul. 2018, 37, 813–825. [Google Scholar] [CrossRef]
- Bhat, A.Y.; Shahzad, A.; Kausar, A.; Rashid, A. Integrating leaf and root induced shoot regeneration and embryogenesis for the conservation of Atropa acuminata Royle ex Lindl-an endangered Himalayan herb. Plant Cell Tissue Organ. Cult. 2024, 159, 1–7. [Google Scholar] [CrossRef]
- El-Sadat, N.H.; Soliman, A.I.; El-Zeiny, O.A. Plant regeneration of Aloysia citrolodora L. from shoot tip explants. Curr. Sci. Int. 2020, 9, 529–534. [Google Scholar] [CrossRef]
- Yadav, V.; Ahmad, Z.; Shahzad, A.; Upadhyay, A. Advancing Hemidesmus indicus propagation and conservation: Somatic embryogenesis, histology, metabolite assessment and genetic stability. S. Afr. J. Bot. 2024, 168, 394–405. [Google Scholar] [CrossRef]
- Gorji, A.M.; Poczai, P.; Polgar, Z.; Taller, J. Efficiency of arbitrarily amplified dominant markers (SCoT, ISSR and RAPD) for diagnostic fingerprinting in tetraploid potato. Am. J. Potato Res. 2011, 88, 226–237. [Google Scholar] [CrossRef]
- Heydari, H.R.; Chamani, E. High-frequency plant regeneration and genetic fidelity assessment of regenerants by molecular and biochemical markers in Woodland Sage (Salvia nemorosa L.). Ind. Crops Prod. 2022, 187, 115404. [Google Scholar] [CrossRef]
- Tahseen, S.; Shahzad, A.; Wasi, A. Direct organogenesis, physiochemical evaluation, chemical characterization and genetic uniformity analysis through SCoT marker in Celastrus paniculatus (Willd.): A medicinally important plant. Ind. Crops Prod. 2023, 206, 117664. [Google Scholar] [CrossRef]
- Sadhu, S.; Jogam, P.; Thampu, R.K.; Abbagani, S.; Penna, S.; Peddaboina, V. High efficiency plant regeneration and genetic fidelity of regenerants by SCoT and ISSR markers in chickpea (Cicer arietinum L.). Plant Cell Tissue Organ. Cult. 2020, 141, 465–477. [Google Scholar] [CrossRef]
- Dutta Gupta, S.; Prasad, V. Shoot multiplication kinetics and hyperhydric status of regenerated shoots of gladiolus in agar-solidied and matrix-supported liquid cultures. Plant Biotechnol. Rep. 2010, 4, 85–94. [Google Scholar] [CrossRef]
- Upadhyay, A.; Shahzad, A.; Ahmad, Z. In vitro propagation and assessment of genetic uniformity along with chemical characterization in Hildegardia populifolia (Roxb.) Schott & Endl.: A critically endangered medicinal tree. Vitr. Cell. Dev. Biol. Plant 2020, 56, 803–816. [Google Scholar] [CrossRef]
- Zifkin, M.; Jin, A.; Ozga, J.A.; Zaharia, L.I.; Schernthaner, J.P.; Gesell, A.; Abrams, S.R.; Kennedy, J.A.; Constabel, C.P. Gene expression and metabolite profiling of developing highbush blueberry fruit indicates transcriptional regulation of flavonoid metabolism and activation of abscisic acid metabolism. Plant Physiol. 2012, 158, 200–224. [Google Scholar] [CrossRef] [PubMed]
- Ahmad, Z.; Babich, O.; Sukhikh, S.; Yadav, V.; Ramakrishnan, M.; Firdaus, F.; Shahzad, A. Unlocking the biotechnological potential of Decalepis arayalpathra: Exploring synthetic seed production, metabolic profiling, genetic stability, and the impact of photosynthetic photon flux density on acclimatization. BMC Plant Biol. 2025, 25, 189. [Google Scholar] [CrossRef] [PubMed]
- Faisal, M.; Qahtan, A.A.; Alatar, A.A. Thidiazuron Induced In Vitro Plant Regeneration, Phenolic Contents, Antioxidant Potential, GC-MS Profiles and Nuclear Genome Stability of Plectranthus amboinicus (Lour.) Spreng. Horticulturae 2023, 9, 277. [Google Scholar] [CrossRef]
- Talan, A.; Mujib, A.; Ejaz, B.; Bansal, Y.; Dewir, Y.H.; Magyar-Tábori, K. In Vitro Propagation and Phytochemical Composition of Centratherum punctatum Cass—A Medicinal Plant. Horticulturae 2023, 9, 1189. [Google Scholar] [CrossRef]
- Jena, S.; Ray, A.; Sahoo, A.; Sahoo, S.; Dash, B.; Kar, B.; Nayak, S. Rapid plant regeneration in industrially important Curcuma zedoaria revealing genetic and biochemical fidelity of the regenerants. 3 Biotech 2020, 10, 17. [Google Scholar] [CrossRef]
- Guo, Y.; Han, Z.; Zhang, J.; Lu, Y.; Li, C.; Liu, G. Development of a high-speed and ultrasensitive UV/Vis-CM for detecting total triterpenes in traditional Chinese medicine and its application. Heliyon. 2024, 10, e32239. [Google Scholar] [CrossRef] [PubMed]
- Shi, S.; Li, K.; Peng, J.; Li, J.; Luo, L.; Liu, M.; Chen, Y.; Xiang, Z.; Xiong, P.; Liu, L.; et al. Chemical characterization of extracts of leaves of Kadsua coccinea (Lem.) AC Sm. by UHPLC-Q-Exactive Orbitrap Mass spectrometry and assessment of their antioxidant and anti-inflammatory activities. Biomed. Pharmacother. 2022, 149, 112828. [Google Scholar] [CrossRef]
- Pospisilova, J.; Solarova, J.; Catsky, J.; Ondrej, M.; Opatrny, Z. The photosynthetic characteristics during the micropropagation of tobacco and potato plants. Photosynthetica 1988, 22, 205–213. [Google Scholar]
- Sharma, N.; Kumar, N.; James, J.; Kalia, S.; Joshi, S. Strategies for successful acclimatization and hardening of in vitro regenerated plants: Challenges and innovations in micropropagation techniques. Plant Sc. Today, 2023; early access. [Google Scholar] [CrossRef]
- Ahmad, N.; Fatima, N.; Faisal, M.; Alatar, A.A.; Pathirana, R. Photosynthetic parameters and oxidative stress during acclimation of crepe-myrtle (Lagerstroemia speciosa (L.) Pers.) in a meta-topolin-based micropropagation system and genetic fidelity of regenerated plants. Plants 2022, 11, 1163. [Google Scholar] [CrossRef]
- Pérez-Jiménez, M.; López-Pérez, A.J.; Otálora-Alcón, G.; Marín-Nicolás, D.; Piñero, M.C.; del Amor, F.M. A regime of high CO2 concentration improves the acclimatization process and increases plant quality and survival. Plant Cell Tissue Organ. Cult. 2015, 121, 547–557. [Google Scholar] [CrossRef]
- Doyle, J.J. Isolation of plant DNA from fresh tissue. Focus 1990, 12, 13–15. [Google Scholar]
- Rohela, G.K.; Jogam, P.; Mir, M.Y.; Shabnam, A.A.; Shukla, P.; Abbagani, S.; Kamili, A.N. Indirect regeneration and genetic fidelity analysis of acclimated plantlets through SCoT and ISSR markers in Morus alba L. cv. Chinese white. Biotechnol. Rep. 2020, 25, e00417. [Google Scholar] [CrossRef]
- Ahmad, Z.; Shahzad, A.; Sharma, S. Enhanced multiplication and improved ex vitro acclimatization of Decalepis arayalpathra. Biol. Plant. 2018, 62, 1–10. [Google Scholar] [CrossRef]
- Yadav, V.; Shahzad, A.; Ahmad, Z.; Sharma, S.; Parveen, S. Synthesis of nonembryogenic synseed in Hemidesmus indicus R. Br.: Short term conservation, evaluation of phytochemicals and genetic fidelity of the regenerants. Plant Cell Tissue Organ. Cult. 2019, 138, 363–376. [Google Scholar] [CrossRef]







| Cytokinin (µM) | % Response | Mean No. of Shoots | Mean Shoot Length (cm) |
|---|---|---|---|
| Control | - | - | - |
| BAP 1.5 | 72 ± 0.57 d | 7.66 ± 0.023 c | 1.70 ± 0.115 e |
| BAP 2.5 | 85 ± 1.15 b | 9.14 ± 0.272 b | 2.43 ± 0.088 c |
| BAP 5.0 | 94 ± 0.57 a | 9.98 ± 0.057 a | 2.60 ± 0.057 a |
| BAP 7.5 | 77 ± 1.73 c | 5.49 ± 0.008 e | 2.33 ± 0.033 b |
| 2iP 1.5 | 60 ± 1.15 f | 4.76 ± 0.017 h | 1.10 ± 0.057 h |
| 2iP 2.5 | 67 ± 1.15 e | 5.44 ± 0.008 f | 1.33 ± 0.033 g |
| 2iP 5.0 | 80 ± 0.57 c | 5.89 ± 0.005 d | 2.16 ± 0.088 d |
| 2iP 7.5 | 64 ± 1.73 e | 4.71 ± 0.017 i | 1.86 ± 0.066 e |
| Kn 1.5 | 31 ± 0.57 i | 2.26 ± 0.020 l | 0.80 ± 0.057 i |
| Kn 2.5 | 45 ± 0.57 g | 4.44 ± 0.012 k | 1.30 ± 0.057 f |
| Kn 5.0 | 65 ± 2.30 e | 5.15 ± 0.017 g | 1.70 ± 0.100 e |
| Kn 7.5 | 39 ± 0.57 h | 4.64 ± 0.020 j | 1.33 ± 0.088 g |
| Auxin (µM) | % Response | Mean No. of Shoots | Mean Shoot Length (cm) |
|---|---|---|---|
| NAA 0.5 | 83 ± 1.15 e | 10.81 ± 0.092 d | 3.05 ± 0.014 e |
| NAA 1.0 | 92 ± 0.57 c | 11.63 ± 0.051 c | 3.33 ± 0.035 c |
| NAA 1.5 | 100 ± 0.00 a | 12.15 ± 0.014 a | 3.79 ± 0.017 b |
| NAA 2.0 | 90 ± 0.57 c | 11.80 ± 0.079 b | 3.22 ± 0.012 d |
| IBA 0.5 | 87 ± 1.15 d | 8.25 ± 0.006 i | 2.23 ± 0.057 h |
| IBA 1.0 | 90 ± 0.57 c | 8.36 ± 0.017 h | 2.55 ± 0.030 g |
| IBA 1.5 | 100 ± 0.00 a | 9.54 ± 0.012 g | 2.93 ± 0.017 f |
| IBA 2.0 | 96 ± 0.57 b | 8.44 ± 0.008 h | 2.53 ± 0.013 g |
| IAA 0.5 | 85 ± 0.57 de | 9.57 ± 0.085 g | 3.24 ± 0.034 d |
| IAA 1.0 | 100 ± 0.00 a | 9.82 ± 0.032 f | 3.73 ± 0.021 b |
| IAA 1.5 | 100 ± 0.00 a | 12.25 ± 0.028 a | 4.19 ± 0.035 a |
| IAA 2.0 | 87 ± 1.15 d | 10.05 ± 0.029 e | 3.34 ± 0.008 c |
| Additives (µM) | % Response | Mean No. of Shoots | Mean Shoot Length (cm) |
|---|---|---|---|
| ADS 5 | 76 ± 1.15 e | 10.46 ± 0.18 e | 5.27 ± 0.008 d |
| ADS 10 | 85 ± 0.57 d | 13.49 ± 0.20 c | 5.63 ± 0.012 c |
| ADS 15 | 100 ± 0.00 a | 20.45 ± 0.12 a | 6.43 ± 0.006 a |
| ADS 20 | 95 ± 1.15 b | 18.62 ± 0.28 b | 5.88 ± 0.017 b |
| GLU 5 | 65 ± 0.57 f | 6.52 ± 0.17 h | 2.55 ± 0.017 h |
| GLU 10 | 85 ± 1.73 d | 8.44 ± 0.12 g | 3.55 ± 0.015 g |
| GLU 15 | 95 ± 1.15 b | 11.42 ± 0.26 d | 4.16 ± 0.017 e |
| GLU 20 | 89 ± 0.57 c | 9.24 ± 0.017 f | 3.96 ± 0.008 f |
| ½ MS + Auxins (µM) | Rooting % | Mean No. of Roots | Mean Root Length (cm) |
|---|---|---|---|
| Control | - | - | - |
| IAA 0.5 | 89 ± 0.57 c | 13.35 ± 0.035 c | 2.90 ± 0.020 b |
| IAA 1.5 | 100 a | 15.87 ± 0.020 b | 3.74 ± 0.014 a |
| IAA 2.5 | 100 a | 12.47 ± 0.025 d | 1.35 ± 0.017 d |
| IBA 0.5 | 82 ± 1.15 d | 8.82 ± 0.032 h | 1.11 ± 0.012 f |
| IBA 1.5 | 100 a | 16.44 ± 0.015 a | 2.25 ± 0.011 c |
| IBA 2.5 | 100 a | 11.96 ± 0.020 f | 1.24 ± 0.008 e |
| NAA 0.5 | 100 a | 7.57 ± 0.030 i | 0.96 ± 0.008 g |
| NAA 1.5 | 100 a | 12.35 ± 0.017 e | 1.37 ± 0.003 d |
| NAA 2.5 | 95 ± 1.73 b | 11.57 ± 0.025 g | 0.84 ± 0.012 h |
| Sr. No. | Primer | Sequences (5′-3′) | %G/C | Tm | Total Band |
|---|---|---|---|---|---|
| 1 | SCoT 2 | CAACAATGGCTACCACCC | 56 | 50 °C | 7 |
| 2 | SCoT 4 | CAACAATGGCTACCACCT | 50 | 50 °C | 10 |
| 3 | SCoT 7 | CAACAATGGCTACCACGG | 56 | 50 °C | 9 |
| 4 | SCoT 9 | CAACAATGGCTACCAGCA | 50 | 50 °C | 9 |
| 5 | SCoT 11 | AAGCAATGGCTACCACCA | 50 | 50 °C | 8 |
| 6 | SCoT 14 | ACGACATGGCGACCACGC | 56 | 50 °C | 5 |
| 7 | SCoT 17 | ACCATGGCTACCACCGAG | 67 | 50 °C | 7 |
| 8 | SCoT 19 | ACCATGGCTACCACCGGC | 67 | 50 °C | 7 |
| 9 | SCoT 26 | ACCATGGCTACCACCGTC | 61 | 50 °C | 11 |
| 10 | SCoT 29 | CCATGGCTACCACCGGCC | 72 | 50 °C | 10 |
| Total | 83 | ||||
| Peak# | Compounds | R. Time | Area | Area% | Height |
|---|---|---|---|---|---|
| 1. | Cyclohexasiloxane, dodecamethyl- | 17.248 | 4,963,145 | 0.87 | 454,300 |
| 2. | Cycloheptasiloxane, tetradecamethyl- | 21.912 | 4,083,360 | 0.71 | 1,188,873 |
| 3. | 2,4-Di-tert-butylphenol | 23.070 | 1,075,361 | 0.19 | 382,584 |
| 4. | Cyclooctasiloxane, hexadecamethyl- | 26.032 | 2,090,936 | 0.37 | 810,023 |
| 5. | 1,4-Cyclohexanediol, (Z)- | 26.749 | 1,172,177 | 0.20 | 272,590 |
| 6. | Cyclononasiloxane, octadecamethyl- | 29.565 | 821,456 | 0.14 | 342,126 |
| 7. | Neophytadiene | 30.849 | 753,058 | 0.13 | 263,833 |
| 8. | 1,2-Benzenedicarboxylic acid, bis(2-methylpropyl) ester | 31.378 | 1,032,343 | 0.18 | 276,252 |
| 9. | Hexadecanoic acid, methyl ester | 32.758 | 1,034,573 | 0.18 | 438,958 |
| 10. | Dibutyl phthalate | 33.396 | 1,733,556 | 0.30 | 541,914 |
| 11. | Cyclooctasiloxane, hexadecamethyl- | 35.566 | 503,021 | 0.09 | 207,479 |
| 12. | 9,12-Octadecadienoic acid (Z, Z)-, methyl ester | 36.130 | 1,450,340 | 0.25 | 481,297 |
| 13. | Hexadecanoic acid, butyl ester | 37.885 | 3,282,875 | 0.57 | 1,105,824 |
| 14. | Cyclononasiloxane, octadecamethyl- | 38.159 | 527,651 | 0.09 | 213,131 |
| 15. | Cyclodecasiloxane, eicosamethyl- | 40.554 | 527,917 | 0.09 | 210,801 |
| 16. | Cyclodecasiloxane, eicosamethyl- | 42.812 | 913,969 | 0.16 | 269,439 |
| 17. | (9Z)-Docosenenitrile | 43.273 | 2,517,431 | 0.44 | 808,941 |
| 18. | 13-Docosenoic acid, methyl ester | 43.437 | 1,083,194 | 0.19 | 372,339 |
| 19. | Bis(2-ethylhexyl) phthalate | 43.903 | 1,114,285 | 0.19 | 308,229 |
| 20. | 9-Octadecenamide, (Z)- | 44.557 | 3,113,968 | 0.54 | 926,303 |
| 21. | Hexadecanamide | 44.979 | 2,698,177 | 0.47 | 373,180 |
| 22. | Cyclononasiloxane, octadecamethyl- | 46.920 | 1,042,641 | 0.18 | 340,392 |
| 23. | 13-Docosenamide, (Z)- | 47.832 | 485,760,325 | 84.86 | 86,682,267 |
| 24. | Tetradecanamide | 48.131 | 6,764,006 | 1.18 | 1,853,862 |
| 25. | Polydimethylsilane Oil | 48.764 | 1,169,324 | 0.20 | 375,342 |
| 26. | Cyclodecasiloxane, eicosamethyl- | 50.508 | 2,191,935 | 0.38 | 378,105 |
| 27. | 13-Docosenamide, (Z)- | 50.810 | 4,121,176 | 0.72 | 709,706 |
| 28. | Cyclodecasiloxane, eicosamethyl- | 52.136 | 1,552,021 | 0.27 | 422,022 |
| 29. | 26,27-Dinorergosta-5,24-dien-3-ol, (3 beta)- | 54.524 | 25,070,824 | 0.38 | 4,606,996 |
| 30. | β-Stigmasterol | 55.243 | 1,448,270 | 0.25 | 245,084 |
| 31. | Silane, diethylheptyloxyoctadecyloxy- | 56.523 | 1,216,167 | 0.21 | 337,767 |
| 32. | Bracteatin | 60.099 | 5,576,346 | 0.97 | 987,945 |
| Peak# | Compounds | R. Time | Area | Area% | Height |
|---|---|---|---|---|---|
| 1. | Cycloheptasiloxane, tetradecamethyl- | 21.906 | 1,236,170 | 0.31 | 308,863 |
| 2. | Eicosane | 22.485 | 631,453 | 0.16 | 170,749 |
| 3. | 2,4-Di-tert-butylphenol | 23.063 | 742,530 | 0.18 | 206,353 |
| 4. | Cyclooctasiloxane, hexadecamethyl- | 26.020 | 882,777 | 0.22 | 274,405 |
| 5. | Eicosane | 27.730 | 698,563 | 0.17 | 216,933 |
| 6. | Neophytadiene | 30.839 | 2,448,887 | 0.61 | 905,081 |
| 7. | Phthalic acid, 2-cyclohexylethyl isobutyl ester | 31.372 | 917,185 | 0.23 | 287,096 |
| 8. | 3,7,11,15-Tetramethyl-2-hexadecen-1-ol | 31.769 | 1,118,705 | 0.28 | 337,869 |
| 9. | Hexadecanoic acid, methyl ester | 32.759 | 1,009,634 | 0.25 | 263,188 |
| 10. | Dibutyl phthalate | 33.403 | 1,384,013 | 0.34 | 307,349 |
| 11. | 9,12-Octadecadienoic acid (Z, Z)-, methyl ester | 36.131 | 848,285 | 0.21 | 272,069 |
| 12. | Dichloroacetic acid, tridec-2-ynyl ester | 36.257 | 1,658,903 | 0.41 | 432,989 |
| 13. | Phytol | 36.463 | 1,634,769 | 0.41 | 431,251 |
| 14. | Hexadecanoic acid, butyl ester | 37.883 | 1,724,784 | 0.43 | 590,789 |
| 15. | 9-Octadecenenitrile, (Z)- | 43.267 | 1,579,434 | 0.39 | 494,260 |
| 16. | 13-Docosenoic acid, methyl ester | 43.425 | 1,382,227 | 0.34 | 473,881 |
| 17. | 9-Octadecenamide, (Z)- | 44.560 | 2,540,082 | 0.63 | 609,542 |
| 18. | 13-Docosenamide, (Z)- | 47.800 | 318,983,333 | 79.47 | 62,068,055 |
| 19. | 9-Octadecenamide, (Z)- | 48.122 | 4,057,362 | 1.01 | 1,040,441 |
| 20. | Tricyclo[5.3.1.1(2,6)]dodecan-11-ol, 11-methyl-12-methylene | 48.477 | 891,996 | 0.22 | 309,582 |
| 21. | .beta.-Phenoxyethyl methacrylate | 50.059 | 2,168,888 | 0.54 | 676,135 |
| 22. | Clerodin | 50.557 | 23,257,784 | 5.79 | 6,320,294 |
| 23. | .beta.-Phenoxyethyl methacrylate | 52.108 | 5,994,264 | 1.49 | 1,547,154 |
| 24. | 6-Hydroxyeurycomalactone | 52.697 | 2,747,853 | 0.68 | 554,415 |
| 25. | Stigmasterol | 54.523 | 3,793,498 | 0.95 | 710,354 |
| 26. | Phenol, 2,4-bis(1,1-dimethylethyl)-, phosphite (3:1) | 56.507 | 1,968,100 | 0.49 | 431,511 |
| 27. | Ursa-12,20(30)-dien-28-oic acid, 2,3,23-trihydroxy-, (2.alpha.,3.beta.,4.alpha.)-, 4Me derivative | 56.591 | 2,713,988 | 0.68 | 615,422 |
| 28. | Micromeric acid methyl ester | 57.218 | 7,351,153 | 1.83 | 1,078,460 |
| 29. | Tris(2,4-di-tert-butylphenyl) phosphate | 60.078 | 5,029,600 | 1.25 | 877,551 |
Disclaimer/Publisher’s Note: The statements, opinions and data contained in all publications are solely those of the individual author(s) and contributor(s) and not of MDPI and/or the editor(s). MDPI and/or the editor(s) disclaim responsibility for any injury to people or property resulting from any ideas, methods, instructions or products referred to in the content. |
© 2025 by the authors. Licensee MDPI, Basel, Switzerland. This article is an open access article distributed under the terms and conditions of the Creative Commons Attribution (CC BY) license (https://creativecommons.org/licenses/by/4.0/).
Share and Cite
Kausar, A.; Shahzad, A.; Bhat, A.Y.; Ramakrishnan, M.; Ahmad, Z. Micropropagation of Ajuga bracteosa via Direct Organogenesis Using Internodal Explants: SEM, GC-MS, and SCoT Marker Analysis. Plants 2025, 14, 2507. https://doi.org/10.3390/plants14162507
Kausar A, Shahzad A, Bhat AY, Ramakrishnan M, Ahmad Z. Micropropagation of Ajuga bracteosa via Direct Organogenesis Using Internodal Explants: SEM, GC-MS, and SCoT Marker Analysis. Plants. 2025; 14(16):2507. https://doi.org/10.3390/plants14162507
Chicago/Turabian StyleKausar, Arisha, Anwar Shahzad, Aashiq Yousuf Bhat, Muthusamy Ramakrishnan, and Zishan Ahmad. 2025. "Micropropagation of Ajuga bracteosa via Direct Organogenesis Using Internodal Explants: SEM, GC-MS, and SCoT Marker Analysis" Plants 14, no. 16: 2507. https://doi.org/10.3390/plants14162507
APA StyleKausar, A., Shahzad, A., Bhat, A. Y., Ramakrishnan, M., & Ahmad, Z. (2025). Micropropagation of Ajuga bracteosa via Direct Organogenesis Using Internodal Explants: SEM, GC-MS, and SCoT Marker Analysis. Plants, 14(16), 2507. https://doi.org/10.3390/plants14162507

