Determination of the Allelic Composition of the sdw1/denso (HvGA20ox2), uzu1 (HvBRI1) and ari-e (HvDep1) Genes in Spring Barley Accessions from the VIR Collection
Abstract
1. Introduction
2. Results and Discussion
2.1. Phenotyping
2.2. Markers Development
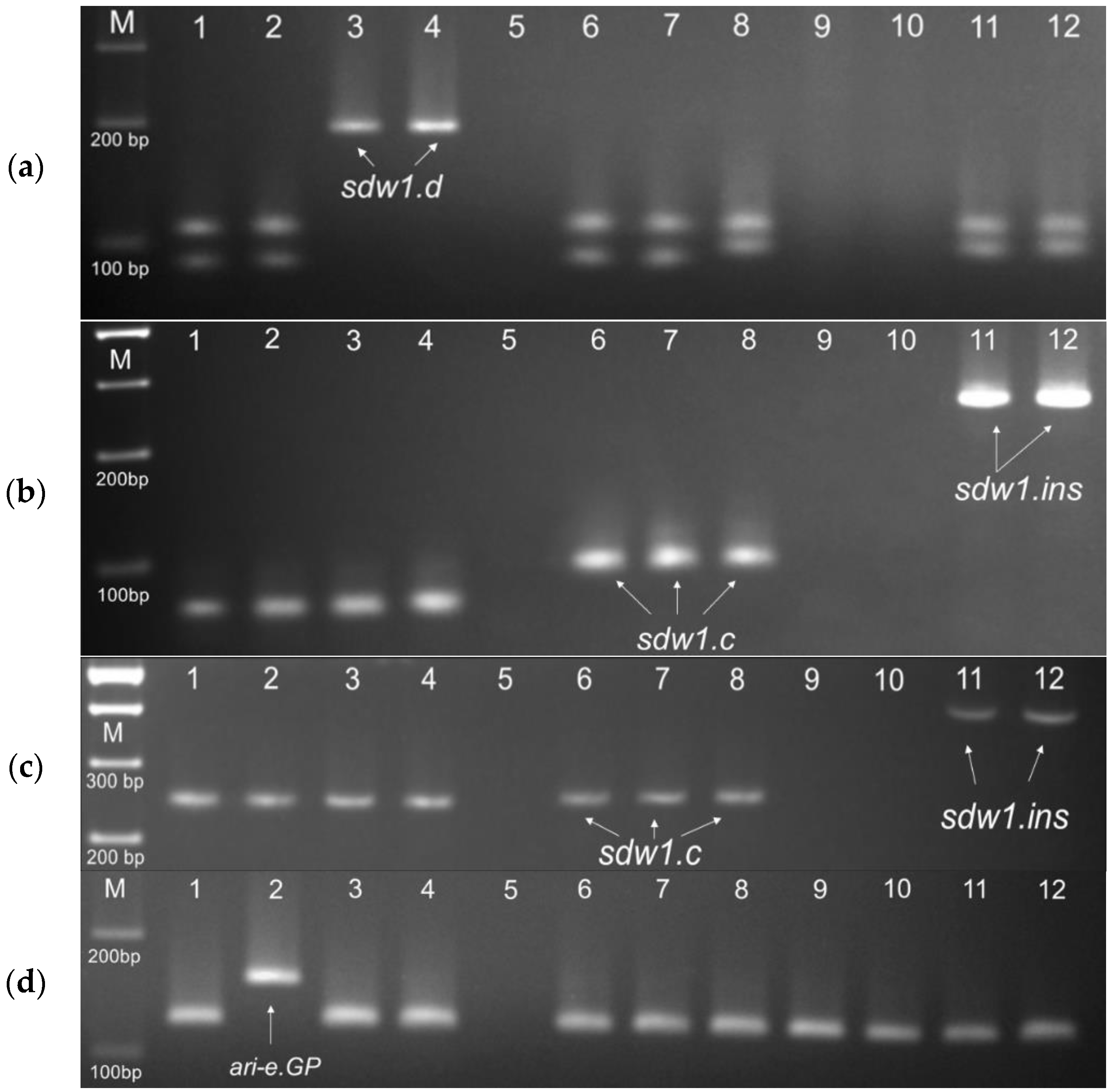
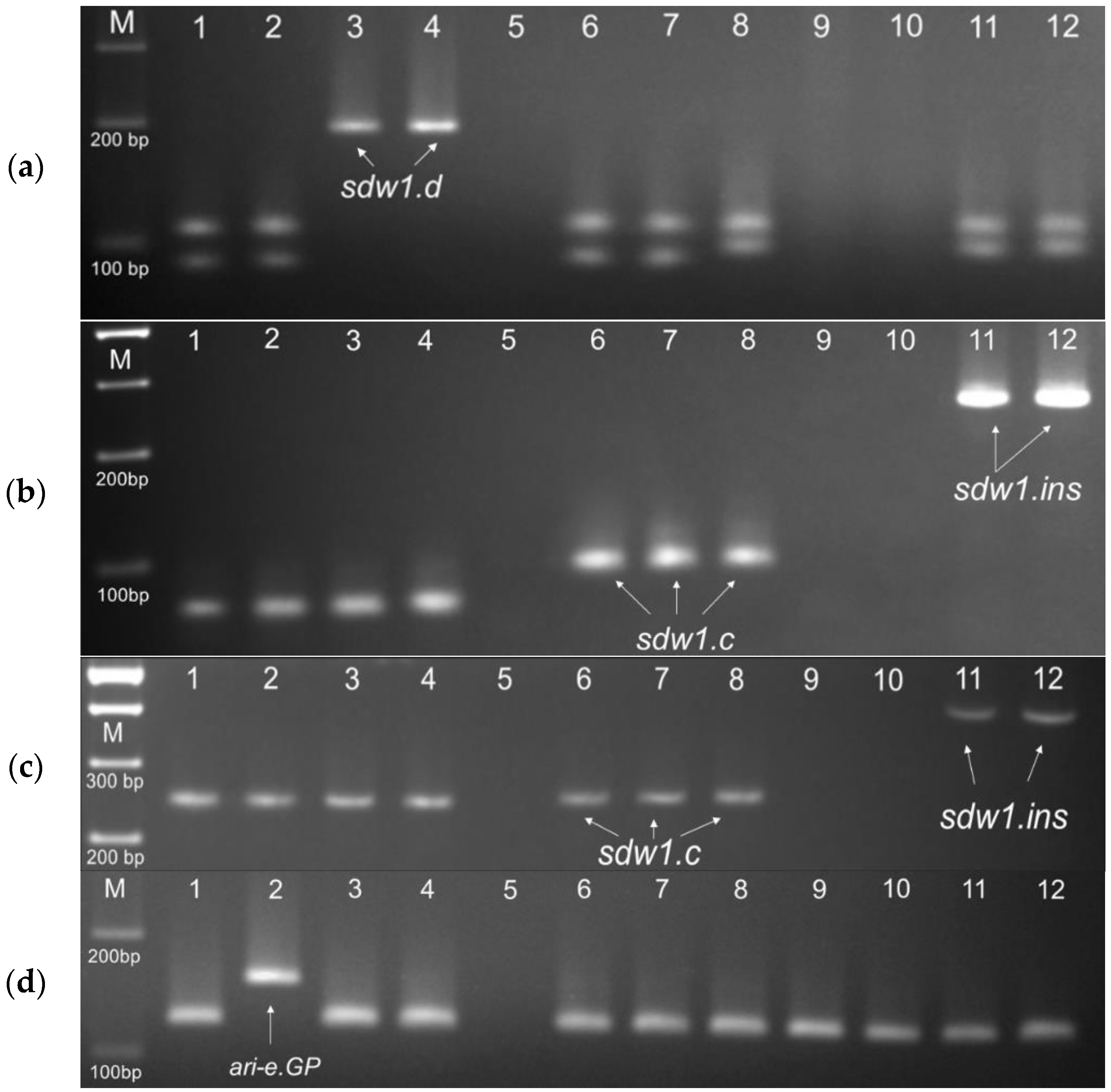
2.3. Markers Approbation
2.4. Molecular Screening
2.5. New Allelic Variant of the sdw1/denso (HvGA20ox2) Gene
3. Materials and Methods
3.1. Plant Material
3.2. Phenotyping
3.3. Primers Design
3.4. Molecular Screening
3.5. Sequencing
4. Conclusions
Supplementary Materials
Author Contributions
Funding
Data Availability Statement
Acknowledgments
Conflicts of Interest
References
- Kovrigina, L.N.; Zaushintsena, A.V. Sources of spring barley resistance to lodging. Bull. KrasGAU 2010, 1, 57–62. [Google Scholar]
- Hedden, P. The genes of the Green Revolution. Trends Genet. 2003, 19, 5–9. [Google Scholar] [CrossRef]
- Dockter, C.; Hansson, M. Improving barley culm robustness for secured crop yield in a changing climate. J. Exp. Bot. 2015, 66, 3499–3509. [Google Scholar] [CrossRef] [PubMed]
- Xu, Y.; Jia, Q.; Zhou, G.; Zhang, X.Q.; Angessa, T.; Broughton, S.; Yan, G.; Zhang, W.; Li, C. Characterization of the sdw1 semi-dwarf gene in barley. BMC Plant Biol. 2017, 17, 11. [Google Scholar] [CrossRef] [PubMed]
- Kuczynska, A.; Surma, M.; Adamski, T.; Mikolajczak, K.; Krystkowiak, K.; Ogrodowicz, P. Effects of the semi-dwarfing sdw1/denso gene in barley. J. Appl. Genet. 2013, 54, 381–390. [Google Scholar] [CrossRef] [PubMed]
- Jia, Q.; Zhang, J.; Westcott, S.; Zhang, X.Q.; Bellgard, M.; Lance, R.; Li, C. GA-20 oxidase as a candidate for the semidwarf gene sdw1/denso in barley. Funct. Integr. Genom. 2009, 9, 255–262. [Google Scholar] [CrossRef] [PubMed]
- Haahr, V.; Wettstein, D. Studies of an Induced, High Yielding Dwarf-Mutant of Spring Barley; Genet, B., III, Gaul, H., Eds.; Karl Thiemig: Munich, Germany, 1976; pp. 215–218. [Google Scholar]
- Mickelson, H.R.; Rasmusson, D.C. Genes for short stature in barley. Crop Sci. 1994, 34, 1180–1183. [Google Scholar] [CrossRef]
- Jia, Q.; Li, C.; Shang, Y.; Zhu, J.; Hua, W.; Wang, J.; Yang, J.; Zhang, G. Molecular characterization and functional analysis of barley semi–dwarf mutant Riso no. 9265. BMC Genom. 2015, 16, 927. [Google Scholar] [CrossRef] [PubMed]
- Bouma, J. New cultivar of spring barley ‘Diamant’ in Czechoslovakia. In Induzierte Mutationen und ihre Nutzung; Abhandlungen der Deutschen Akademie der Wissenschaften zu Berlin, Klasse fur Mathematik und allgemeine Naturwissenschaften: Berlin, Germany, 1967; Volume 2, pp. 177–182. [Google Scholar]
- Dang, V.H.; Hill, C.B.; Zhang, X.Q.; Angessa, T.T.; McFawn, L.A.; Li, C. Genetic dissection of the interactions between semi-dwarfing genes sdw1 and ari-e and their effects on agronomic traits in a barley MAGIC population. Mol. Breed. 2020, 40, 64. [Google Scholar] [CrossRef]
- Kuczyńska, A.; Mikołajczak, K.; Ćwiek, H. Pleiotropic effects of the sdw1 locus in barley populations representing different rounds of recombination. Electron. J. Biotechnol. 2014, 17, 217–223. [Google Scholar] [CrossRef]
- Teplyakova, S.; Lebedeva, M.; Ivanova, N.; Horeva, V.; Voytsutskaya, N.; Kovaleva, O.; Potokina, E. Impact of the 7-bp deletion in HvGA20ox2 gene on agronomic important traits in barley (Hordeum vulgare L.). BMC Plant Biol. 2017, 17, 99–108. [Google Scholar] [CrossRef]
- Chono, M.; Honda, I.; Zeniya, H.; Yoneyama, K.; Saisho, D.; Takeda, K.; Takatsuto, S.; Hoshino, T.; Watanabe, Y. A semi-dwarf phenotype of barley uzu results from a nucleotide substitution in the gene encoding a putative brassinosteroid receptor. Plant Physiol. 2003, 133, 1209–1219. [Google Scholar] [CrossRef]
- Dockter, C.; Gruszka, D.; Braumann, I.; Druka, A.; Druka, I.; Franckowiak, J.; Gough, S.P.; Janeczko, A.; Kurowska, M.; Lundqvist, J.; et al. Induced variations in brassinosteroid genes define barley height and sturdiness, and expand the green revolution genetic toolkit. Plant Physiol. 2014, 166, 1912–1927. [Google Scholar] [CrossRef]
- Saisho, D.; Tanno, K.I.; Chono, M.; Honda, I.; Kitano, H.; Takeda, K. Spontaneous brassinolide-insensitive barley mutants ‘uzu’ adapted to East Asia. Breed. Sci. 2004, 54, 409–416. [Google Scholar] [CrossRef]
- Chen, G.; Li, H.; Wei, Y.; Zheng, Y.L.; Zhou, M.; Liu, C. Pleiotropic effects of the semi-dwarfing gene uzu in barley. Euphytica 2016, 209, 749–755. [Google Scholar] [CrossRef]
- Thomas, W.T.B.; Powell, W.; Wood, W. The chromosomal location of the dwarfing gene present in the spring barley cultivar Golden Promise. Heredity 1984, 53, 177–183. [Google Scholar] [CrossRef]
- Chakravorty, D.; Trusov, Y.; Zhang, W.; Acharya, B.R.; Sheahan, M.B.; McCurdy, D.W.; Botella, J.R. An atypical heterotrimeric G-protein γ-subunit is involved in guard cell K+-channel regulation and morphological development in Arabidopsis thaliana. Plant J. 2011, 67, 840–851. [Google Scholar] [CrossRef]
- Wendt, T.; Holme, I.; Dockter, C.; Preub, A.; Thomas, W.; Druka, A.; Waugh, R.; Hansson, M.; Braumann, I. HvDep1 is a Positive Regulator of Culm Elongation and Grain Size in Barley and Impacts Yield in an Environment-Dependent Manner. PLoS ONE 2016, 11, e0168924. [Google Scholar] [CrossRef] [PubMed]
- Watt, C.; Zhou, G.; Tolera, A.T.; Moody, D.; Li, C. A novel polymorphism in the 5′ UTR of HvDEP1 is associated with grain length and 1000-grain weight in barley (Hordeum vulgare). Crop Pasture Sci. 2020, 71, 752–759. [Google Scholar] [CrossRef]
- Pakniyat, H.; Handley, L.L.; Thomas, W.T.B.; Connolly, T.; Macaulay, M.; Caligari, P.D.S.; Forster, B.P. Comparison of shoot dry weight, Na+ content and δ13C values of ari-e and other semi-dwarf barley mutants under salt-stress. Euphytica 1997, 94, 7–14. [Google Scholar] [CrossRef]
- Sigurbjornsson, B.; Micke, A. Progress in mutation breeding. In Induced Mutation in Plants; Proc Symp Nature, Induction and Utilization of Mutation in Plants, Intern Atomic Energy Agency: Vienna, Japan, 1969; pp. 673–697. [Google Scholar]
- Alabushev, A.V.; Dontsova, A.A.; Filippov, E.G.; Dontsov, D.P.; Perchuk, I.N.; Arkhimandritova, S.B. Effect of Nucleotide Polymorphism of sdw1/denso Gene on the Variability of the Main Economically Valuable Traits of Winter Barley. Zemledelie 2019, 8, 38–42. [Google Scholar] [CrossRef]
- Zhang, J.; Zhang, W. Tracing sources of dwarfing genes in barley breeding in China. Euphytica 2003, 131, 285–292. [Google Scholar] [CrossRef]
- Jayakodi, M.; Padmarasu, S.; Haberer, G.; Bonthala, V.S.; Gundlach, H.; Monat, C.; Lux, T.; Kamal, N.; Lang, D.; Himmelbach, A.; et al. The barley pan-genome reveals the hidden legacy of mutation breeding. Nature 2020, 588, 284–289. [Google Scholar] [CrossRef] [PubMed]
- Loskutov, I.G.; Kovaleva, O.N.; Blinova, E.V. Methodological Guidelines for Studying and Maintaining the Global Collection of Barley and Oat; VIR: St. Petersburg, Russia, 2012. [Google Scholar]
- Tamura, K.; Stecher, G.; Kumar, S. MEGA11: Molecular Evolutionary Genetics Analysis Version 11. Mol. Biol. Evol. 2021, 38, 3022–3027. [Google Scholar] [CrossRef] [PubMed]
- Okonechnikov, K.; Golosova, O.; Fursov, M. Unipro UGENE: A unified bioinformatics toolkit. Bioinformatics 2012, 28, 1166–1167. [Google Scholar] [CrossRef] [PubMed]
- Neff, M.M.; Turk, E.; Kalishman, M. Web-based primer design for single nucleotide polymorphism analysis. Trends Genet. 2002, 18, 613–615. [Google Scholar] [CrossRef] [PubMed]
- Dorokhov, D.B.; Klocke, E. Rapid and economical technology of RAPD analysis of plant genomes. Genetika 1997, 33, 443–450. [Google Scholar]
- Hall, T. BioEdit: A user-friendly biological sequence alignment editor and analysis program for Windows 95/98/NT. Nucleic Acids Symp. Ser. 1999, 41, 95–98. [Google Scholar]






| No. | VIR Catalogue No. | Origin | Name | Plant Height, cm | Lodging Resistance, Points | Alleles/Combinations of Alleles of the Genes sdw1/denso, uzu1 and ari-e | |||||
|---|---|---|---|---|---|---|---|---|---|---|---|
| 2021 | 2022 | 2023 | 2021 | 2022 | 2023 | ||||||
| 1 | 22089 | Leningrad Province | Belogorskij | 68.0 ± 2.3 | 77.7 ± 3.5 | 81.6 ± 3.5 | 9 | 7 | 3–5 | - | |
| 2 | - | Leningrad Province | Kibtsel | 46.0 ± 1.3 | 69.0 ± 1.4 | 55.3 ± 2.4 | 9 | 7 | 7 | - | |
| 3 | 31540 | Germany | Lotos | 52.0 ± 0.6 | 47.4 ± 2.4 | 67.0 ± 1.0 | 7 | 9 | 5–7 | - | |
| 4 | 25794 | Germany | Rimpaus Nackta | 48.8 ± 2.1 | 68.4 ± 3.2 | 85.3 ± 1.3 | 7 | 7 | 5 | sdw1.ins | |
| 5 | 25801 | Germany | Laschkes Korona | 51.6 ± 0.7 | 91.2 ± 6.3 | 73.0 ± 1.0 | 9 | 5 | 3 | sdw1.ins | |
| 6 | 31430 | Czechia | AF Lucius | 45.6 ± 0.7 | 59.4 ± 2.1 | 63.3 ± 2.4 | 9 | 9 | 5–7 | sdw1.d | |
| 7 | 31431 | Czechia | AF Cesar | 43.6 ± 1.3 | 56.0 ± 1.3 | 56.7 ± 2.4 | 9 | 9 | 7 | - | |
| 8 | 27765 | India | Dolma (HBLI) | 36.0 ± 2.1 | 65.0 ± 3.1 | 55.3 ± 2.4 | 9 | 9 | 5 | sdw1.ins | |
| 9 | 28957 | India | Karan 3 | 42.4 ± 1.7 | 55.2 ± 1.4 | 56.0 ± 1.1 | 9 | 9 | 5–7 | sdw1.a/sdw1.e | |
| 10 | 28961 | India | Karan 19 | 40.8 ± 0.5 | 50.0 ± 1.3 | 51.3 ± 1.7 | 7 | 9 | 5–7 | sdw1.a/sdw1.e | |
| 11 | 28184 | Yemen | Local | 43.8 ± 1.4 | 46.6 ± 1.9 | 45.0 ± 1.2 | 9 | 9 | 3 | sdw1.ins | |
| 12 | 29730 | China | Xima La 6 | 26.8 ± 1.0 | 34.4 ± 3.2 | 55.3 ± 2.9 | 9 | 9 | 7 | sdw1.c | |
| 13 | 27080 | Belarus | Belorusskij 76 | 48.0 ± 1.1 | 59.8 ± 2.3 | 65.7 ± 2.3 | 7 | 7 | 5–7 | sdw1.d | |
| 14 | 21338 | Japan | Ehimehadaka N4 | 29.2 ± 0.8 | 48.0 ± 1.7 | 50.0 ± 5.8 | 9 | 9 | 7 | sdw1.c and uzu1.a | |
| 15 | 21341 | Japan | Jamatohadaka | 29.4 ± 1.1 | 52.2 ± 2.5 | 46.7 ± 0.9 | 9 | 9 | 7 | sdw1.c and uzu1.a | |
| 16 | 21363 | Japan | Shikokuhadaka N3 | 24.2 ± 1.0 | 40.6 ± 2.0 | 34.3 ± 1.2 | 9 | 9 | 7 | sdw1.c and uzu1.a | |
| 17 | 21378 | Japan | Shinjinryoku N1 | 22.4 ± 1.4 | 41.6 ± 0.9 | 35.3 ± 1.8 | 9 | 9 | 9 | sdw1.c and uzu1.a | |
| 18 | 23378 | Bolivia | C.I.10405 | 51.2 ± 1.0 | 70.0 ± 2.3 | 71.0 ± 2.1 | 7 | 5–7 | 3–5 | sdw1.ins | |
| 19 | 28645 | Mexico | S-274 | 49.2 ± 1.0 | 52.2 ± 1.8 | 45.0 ± 4.1 | 9 | 9 | 5–7 | - | |
| 20 | 28650 | Mexico | S-281 | 38.4 ± 1.0 | 56.8 ± 2.0 | 49.6 ± 2.0 | 7 | 9 | 5 | sdw1.d | |
| 21 | 28868 | Mexico | Complex hybrid | 40.4 ± 1.7 | 51.6 ± 1.6 | 49.0 ± 0.8 | 9 | 9 | 7 | - | |
| 22 | 30016 | Peru | C.I.11077 | 42.6 ± 2.6 | 76.6 ± 1.9 | 83.3 ± 0.9 | 9 | 5–7 | 3 | sdw1.ins | |
| 23 | 31059 | USA | Tamalpais | 40.4 ± 1.7 | 46.8 ± 1.7 | 50.0 ± 1.1 | 9 | 9 | 7 | sdw1.a/sdw1.e | |
| 24 | 31518 | USA | Washonupana | 42.4 ± 1.9 | 54.6 ± 0.6 | 54.0 ± 1.2 | 9 | 5–7 | 3–5 | - | |
| 25 | 5210 | Australia | Makbo | 64.8 ± 1.9 | 71.6 ± 2.2 | 65.7 ± 3.8 | 5 | 3–5 | 5–7 | sdw1.ins | |
| 26 | 30284 | Australia | Namoi | 65.2 ± 3.2 | 61.6 ± 2.9 | 64.3 ± 0.7 | 9 | 9 | 5–7 | sdw1.d | |
| 27 | 18374 | Dagestan | 49.6 ± 2.6 | 55.0 ± 2.3 | 74.3 ± 3.0 | 9 | 1 | 3 | sdw1.ins | ||
| 28 | 31068 | Pakistan | IG 24534 | 49.2 ± 0.5 | 52.2 ± 4.8 | 64.0 ± 2.3 | 5 | 7 | 3 | sdw1.ins | |
| 29 | 31069 | Pakistan | IG 24550 | 37.2 ± 1.5 | 37.8 ± 2.1 | 55.0 ± 1.0 | 9 | 7 | 3 | sdw1.ins | |
| 30 | 8952 | Turkey | 46.4 ± 1.2 | 77.0 ± 1.5 | 82.5 ± 2.0 | 9 | 5 | 3–5 | sdw1.ins | ||
| 31 | 8953 | Turkey | 46.8 ± 1.0 | 77.0 ± 2.3 | 75.0 ± 1.1 | 7 | 5 | 3–5 | sdw1.ins | ||
| 32 | 26209 | Finland | Potra | 43.6 ± 0.7 | 62.6 ± 2.5 | 62.6 ± 1.4 | 7 | 9 | 5–7 | sdw1.c | |
| Controls | |||||||||||
| No. | VIR Catalogue No. | Origin | Name | Gene | Allele | Literature Source | |||||
| 1 | 30291 | Australia | Yerong | HvGA20ox2 | sdw1.a | [4] | |||||
| 2 | - | Sweden | sdw 1.a | HvGA20ox2 | sdw1.a | [6] | |||||
| 3 | 19308 | USA | Dayton | HvGA20ox2 | sdw1.c | [4] | |||||
| 4 | 19808 | Denmark | Deba Abed | HvGA20ox2 | sdw1.c | [4] | |||||
| 5 | 19691 | Czechoslovakia | Diamant | HvGA20ox2 | sdw1.d | [4] | |||||
| 6 | 30293 | Australia | Franklin | HvGA20ox2 | sdw1.d | [13] | |||||
| 7 | 31247 | Great Britain | Tipple | HvGA20ox2 | sdw1.d | [4] | |||||
| 8 | 31355 | Germany | Braemar | HvGA20ox2 | sdw1.d | [4] | |||||
| 9 | 20491 | Great Britain | Golden Promise | HvDep1 | ari-e.GP | [20] | |||||
| 10 | 26959 | USA | Morex | wild type | [13] | ||||||
| 11 | 19037 | Sweden | Jotun | wild type | [6] | ||||||
| 12 | 29576 | USA | Bowman | wild type | [3] | ||||||
Disclaimer/Publisher’s Note: The statements, opinions and data contained in all publications are solely those of the individual author(s) and contributor(s) and not of MDPI and/or the editor(s). MDPI and/or the editor(s) disclaim responsibility for any injury to people or property resulting from any ideas, methods, instructions or products referred to in the content. |
© 2024 by the authors. Licensee MDPI, Basel, Switzerland. This article is an open access article distributed under the terms and conditions of the Creative Commons Attribution (CC BY) license (https://creativecommons.org/licenses/by/4.0/).
Share and Cite
Lukina, K.A.; Porotnikov, I.V.; Antonova, O.Y.; Kovaleva, O.N. Determination of the Allelic Composition of the sdw1/denso (HvGA20ox2), uzu1 (HvBRI1) and ari-e (HvDep1) Genes in Spring Barley Accessions from the VIR Collection. Plants 2024, 13, 376. https://doi.org/10.3390/plants13030376
Lukina KA, Porotnikov IV, Antonova OY, Kovaleva ON. Determination of the Allelic Composition of the sdw1/denso (HvGA20ox2), uzu1 (HvBRI1) and ari-e (HvDep1) Genes in Spring Barley Accessions from the VIR Collection. Plants. 2024; 13(3):376. https://doi.org/10.3390/plants13030376
Chicago/Turabian StyleLukina, Kseniia A., Igor V. Porotnikov, Olga Yu. Antonova, and Olga N. Kovaleva. 2024. "Determination of the Allelic Composition of the sdw1/denso (HvGA20ox2), uzu1 (HvBRI1) and ari-e (HvDep1) Genes in Spring Barley Accessions from the VIR Collection" Plants 13, no. 3: 376. https://doi.org/10.3390/plants13030376
APA StyleLukina, K. A., Porotnikov, I. V., Antonova, O. Y., & Kovaleva, O. N. (2024). Determination of the Allelic Composition of the sdw1/denso (HvGA20ox2), uzu1 (HvBRI1) and ari-e (HvDep1) Genes in Spring Barley Accessions from the VIR Collection. Plants, 13(3), 376. https://doi.org/10.3390/plants13030376

