Chemotaxonomy of Southeast Asian Peperomia (Piperaceae) Using High-Performance Thin-Layer Chromatography Colour Scale Fingerprint Imaging and Gas Chromatography–Mass Spectrometry
Abstract
1. Introduction
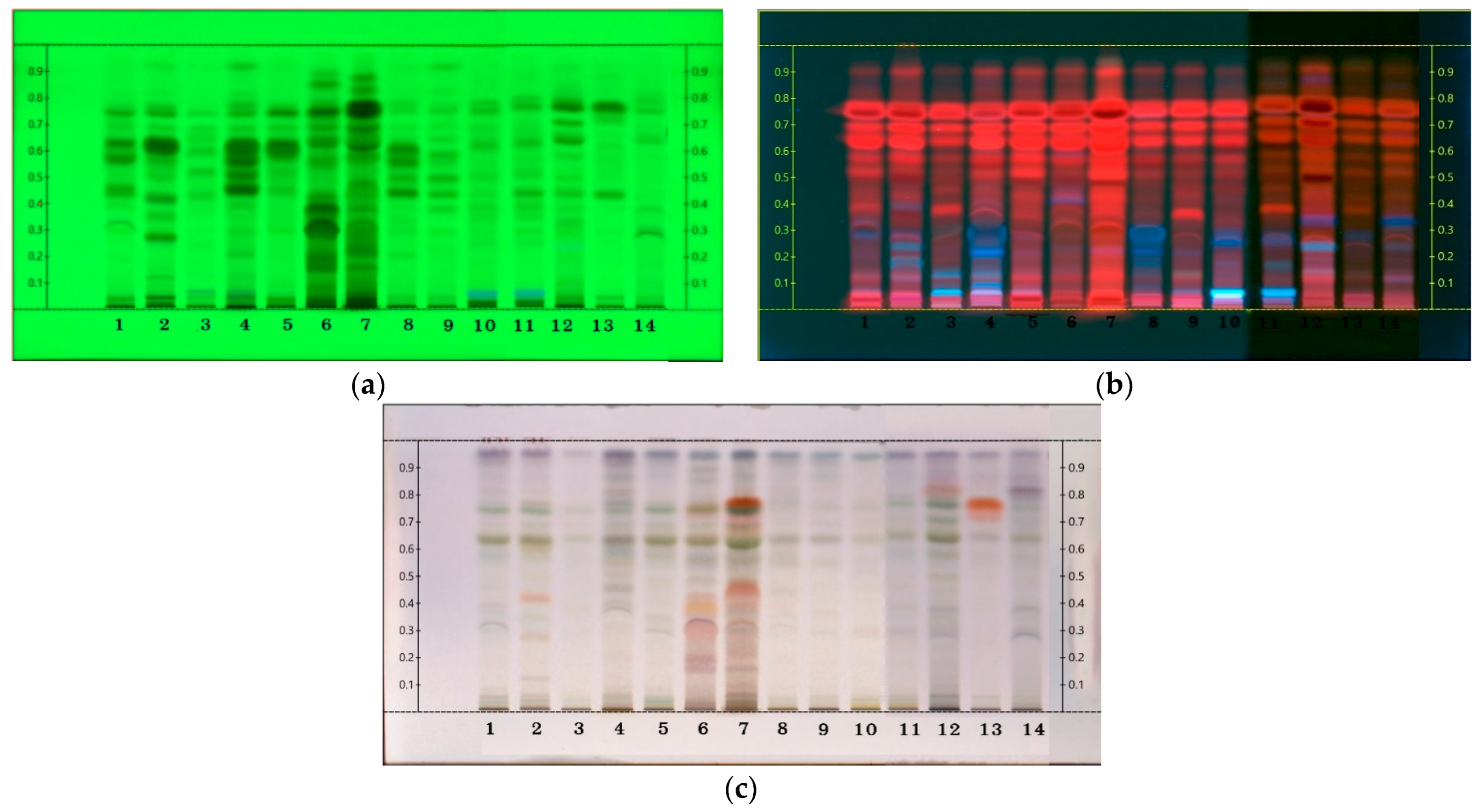
2. Results
3. Discussion
4. Materials and Methods
4.1. Plant Samples
4.2. Extraction
4.3. High-Performance Thin-Layer Chromatography (HPTLC)
4.4. Image Processing
4.5. Gas Chromatography–Mass Spectrometry (GC-MS)
4.6. Statistical Analyses
5. Conclusions
Supplementary Materials
Author Contributions
Funding
Data Availability Statement
Conflicts of Interest
References
- Wanke, S.; Samain, M.S.; Vanderschaeve, L.; Mathieu, G.; Goetghebeur, P.; Neinhuis, C. Phylogeny of the genus Peperomia (Piperaceae) inferred from the trnK -matK region (cpDNA). Plant Biol. 2006, 8, 93–102. [Google Scholar] [CrossRef] [PubMed]
- Suwanphakdee, C.; Hodkinson, T.R.; Chantaranothai, P. New species and a reinstatement in Peperomia (Piperaceae) from Thailand. Kew Bull. 2017, 72, 1–15. [Google Scholar] [CrossRef]
- Suwanphakdee, C.; Sutthinon, P.; Hodkinson, T.R. Characterization of anatomical characters of Peperomia (Piperaceae) from Asia for taxonomy. Bot. J. Linn. Soc. 2024, 205, 268–291. [Google Scholar] [CrossRef]
- de Candolle, C. A revision of Philippine Piperaceae. Philipp. J. Sci. 1910, 5, 405–463. [Google Scholar]
- Ridley, H.N. Piperaceae. In Flora Malay Peninsula; Ridley, H.N., Ed.; L. Reeve & Co. Ltd.: London, UK, 1924; Volume 3, pp. 5–25. [Google Scholar]
- Backer, C.A.; Bakhuizen van den Brink, R.C. Flora of Java Vol. 1; Noordhoff: Groningen, The Netherland, 1963. [Google Scholar]
- Suwanphakdee, C.; Hodkinson, T.R.; Chantaranothai, P. New species and a revision of the genus Peperomia (Piperaceae) in Thailand. Thai For. Bull. 2022, 50, 104–119. [Google Scholar] [CrossRef]
- Wang, S.; De Souza, C.; Wang, L.; Zhou, H. Chemical constituents from the whole herbs of Peperomia tetraphylla and their chemotaxonomic significance. Biochem. Syst. Ecol. 2021, 96, 104258. [Google Scholar] [CrossRef]
- Jin, L.; Li, X.-B.; Tian, D.-Q.; Fang, X.-P.; Yu, Y.-M.; Zhu, H.-Q.; Ge, Y.-Y.; Ma, G.-Y.; Wang, W.-Y.; Xiao, W.-F.; et al. Antioxidant properties and color parameters of herbal teas in China. Ind. Crops Prod. 2016, 87, 198–209. [Google Scholar] [CrossRef]
- Gunalan, G.; Saraswathy, A.; Vijayalakshmi, K. HPTLC Fingerprint Profile of Bauhinia Variegata Linn. Leaves. Asian Pac. J. Trop. Dis. 2012, 2, 21–25. [Google Scholar] [CrossRef]
- Srinivasan, S.; Wankhar, W.; Rathinasamy, S.; Rajan, R. Free Radical Scavenging Potential and HPTLC analysis of Indigofera tinctorialinn (Fabaceae). J. Pharm. Ana 2016, 6, 125–131. [Google Scholar] [CrossRef]
- Chavan, S.S.; Jadhav, V.M.; Kadam, V.J. A review on spectroscopic analysis of phytopharmaceuticals. Int. J. Pharm. Sci. Rev. Res 2017, 43, 161–168. [Google Scholar]
- Zhang, X.; Zhang, J.; Zhang, S.; Jiang, Z.; Wu, S.; Liu, J.; Ye, Y.; Si, J. Chemical fingerprint analysis and identification of Dendranthema lavandulifolium buds. Ind. Crop. Prod 2018, 124, 707–718. [Google Scholar] [CrossRef]
- Alvarez-Rivera, G.; Ballesteros-Vivas, D.; Parada-Alfonso, F.; Ibañez, E.; Cifuentes, A. Recent applications of high resolution mass spectrometry for the characterization of plant natural products. TrAC Trend. Anal. Chem. 2019, 112, 87–101. [Google Scholar] [CrossRef]
- Simion, I.M.; Casoni, D.; Sârbu, C. Classification of Romanian medicinal plant extracts according to the therapeutic effects using thin layer chromatography and robust chemometrics. J. Pharm. Biomed. Anal. 2019, 163, 137–143. [Google Scholar] [CrossRef]
- Bent, S. Herbal Medicine in the United States: Review of Efficacy, Safety, and Regulation: Grand Rounds at University of California, san Francisco Medical Center. J. Gen. Intern. Med. 2008, 23, 854–859. [Google Scholar] [CrossRef]
- Cobzac, S.C.A.; Olah, N.K.; Casoni, D. Application of HPTLC Multiwavelength Imaging and Color Scale Fingerprinting Approach Combined with Multivariate Chemometric Methods for Medicinal Plant Clustering According to Their Species. Molecules 2021, 26, 7225. [Google Scholar] [CrossRef] [PubMed]
- WHO. General Guidelines for Methodologies on Research and Evaluation of Traditional Medicine; World Health Organization: Geneva, Switzerland, 2000. [Google Scholar]
- USFDA. FDA Guidance for Industry-Botanical Drug Products (Draft Guidance); US Food and Drug Administration: Rockville, MD, USA, 2000; pp. 18–22.
- EMA. Guideline on Quality of Herbal Medicinal Products/Traditional Herbal Medicinal Products; Committee on Herbal Medicinal Products (HMPC) European Medicines Agency: London, UK, 2011. [Google Scholar]
- Noviana, E.; Indrayanto, G.; Rohman, A. Advances in Fingerprint Analysis for Standardization and Quality Control of Herbal Medicines. Front. Pharmacol. 2022, 2, 853023. [Google Scholar] [CrossRef] [PubMed]
- Gökbulut, A. High Performance Thin Layer Chromatography (HPTLC) for the investigation of medicinal plants. Curr. Anal. Chem. 2021, 17, 1252–1259. [Google Scholar] [CrossRef]
- McQuitty, L.L. Similarity Analysis by Reciprocal Pairs for Discrete and Continuous Data. Educ. Psychol. Meas. 1996, 26, 825–831. [Google Scholar] [CrossRef]
- Stanley, A.; Menkir, A.; Paterne, A.; Ifie, B.; Tongoona, P.; Unachukwu, N.; Meseka, S.; Mengesha, W.; Gedil, M. Genetic Diversity and Population Structure of Maize Inbred Lines with Varying Levels of Resistance to Striga Hermonthica Using Agronomic Trait-Based and SNP Markers. Plants 2020, 9, 1223. [Google Scholar] [CrossRef] [PubMed]
- Camiz, S.; Pillar, V. Comparison of single and complete linkage clustering with the hierarchical factor classification of variables. Community Ecol. 2007, 8, 25–30. [Google Scholar] [CrossRef]
- Pereira, C.M.M.; de Mello, R.F. Common Dissimilarity Measures are Inappropriate for Time Series Clustering. Rev. Informática Teórica E Apl. 2013, 20, 25. [Google Scholar] [CrossRef]
- Rajesh Babu, Y.T.; Prathamanjali, S.; Krishna, C.M.; Ramalakshmana, J.; Padal, S.B. GC-MS analysis and screening of antimicrobial potentialities of the medicinal herb Peperomia pellucida (L.) Kunth. J. Xidian Univ. 2023, 17, 1376–1389. [Google Scholar]
- Pandey, M.M.; Rastogi, S.; Rawat, A.K.S. Optimization of an HPTLC Method for Separation and Identification of Phenolic Compounds. J. Planar Chromatogr. 2010, 23, 108–111. [Google Scholar] [CrossRef]
- Nicoletti, M.; Petitto, V.; Gallo, F.R.; Multari, G.; Federici, E.; Palazzino, G. The Modern Analytical Determination of Botanicals and Similar Novel Natural Products by the HPTLC Fingerprint Approach. Stud. Nat. Prod. Chem. 2012, 37, 217–258. [Google Scholar]
- Doe, J.; Roe, M. Characterization of natural product fluorescence in TLC under UV light. Phytochemistry 2019, 158, 243–250. [Google Scholar]
- Hartsel, J.A.; Eades, J.; Hickory, B.; Makriyannis, A. Cannabis sativa and Hemp. In Nutraceuticals; Academic Press: Cambridge, MA, USA, 2016; pp. 735–754. [Google Scholar]
- Narayanamoorthi, K.V.; Vasantha, K.R.C.; Rency, R.C.; Maruthasalam, A.A. GC MS determination of bioactive components of Peperomia pellucida (L.) Kunth. Biosci. Discov. 2015, 6, 83–88. [Google Scholar]
- Santos, C.C.; Salvadori, M.S.; Mota, V.G.; Costa, L.M.; de Almeida, A.A.; de Oliveira, G.A.; Costa, J.P.; de Sousa, D.P.; de Freitas, R.M.; de Almeida, R.N. Antinociceptive and Antioxidant Activities of Phytol In Vivo and In Vitro Models. Neurosci. J. 2013, 949452. [Google Scholar]
- Thiers, B. Index Herbariorum: A Global Directory of Public Herbaria and Associated Staff. New York Botanical Garden’s Virtual Herbarium. 2016. Available online: http://sweetgum.nybg.org/science/ih/ (accessed on 19 July 2023).
- R Studio Team. R Studio: Integrated Development for R. PBC, Boston, MA: RStudio 2020. Available online: https://posit.co/download/rstudio-desktop/ (accessed on 14 January 2024).
- de Liraa, P.N.B.; da Silvaa, J.K.R.; Andradeb, E.H.A.; Sousac, P.J.C.; Silvad, N.N.S.; Maiab, J.G.S. Essential Oil Composition of Three Peperomia Species from the Amazon, Brazil. Nat. Prod. Commun. 2009, 4, 427–430. [Google Scholar]
- Valarezo, E.; Herrera-García, M.; Astudillo-Dávila, P.; Rosales-Demera, I.; Jaramillo-Fierro, X.; Cartuche, L.; Meneses, M.A.; Morocho, V. Study of the Chemical Composition and Biological Activity of the Essential Oil from Congona (Peperomia inaequalifolia Ruiz and Pav.). Plants 2023, 12, 1504. [Google Scholar] [CrossRef]
- Al-Madhagi, W.M.; Hashim, N.M.; Awad Ali, N.A.; Alhadi, A.A.; Halim, S.N.A.; Othman, R. Chemical profiling and biological activity of Peperomia blanda (Jacq.) Kunth. PeerJ 2024. [Google Scholar] [CrossRef]
- Nguyen, H.M.; Pham, T.V.; Vo, H.Q.; Nguyen, H.T.; Nguyen, L.T.K.; Nguyen, B.C.; Chung, K.L.; Ho, D.V. Essential Oil from Vietnamese Peperomia leptostachya Hook. & Arn. (Piperaceae): Chemical Composition, Antioxidant, Anti-Inflammatory, Cytotoxic Activities, and In Silico Analysis. Molecules 2024, 29, 2808. [Google Scholar] [CrossRef] [PubMed]
- Hartini, Y.S.; Utaminingsih, J.J.; Patra-murti, C.; Nugroho, L.H. Secondary metabolite profile in mature and old leaves of four piper species: Forest Betel (Piper aduncum L.), Red Betel (Piper crocatum Ruiz & Pav.), Javanese Chili Betel (Piper retrofractum Vahl.), and Green Betel (Piper betle L.). Plant Sci. Today 2024, 11, 546–552. [Google Scholar] [CrossRef]







| Compound | Retention Time | Peak Area % | Species Code Found | Identification |
|---|---|---|---|---|
| alpha.-Pinene | 4.04 | 1.02 | 4, 7 | RI, MS |
| beta.-Pinene | 4.74 | 1.77–1.92 | 2, 4, 6, 7 | RI, MS |
| Copaene | 14.13 | 1.79–2.54 | 3, 4, 14 | RI, MS |
| Caryophyllene | 15.24 | 2.21–3.55 | 1, 7, 11, 13 | RI, MS |
| Humulene | 16.09 | 8.03 | 13 | RI, MS |
| Germacrene D | 16.74 | 8.24 | 2 | RI, MS |
| Pentadecane | 17.02 | 1.3 | 11 | RI, MS |
| Beta-Bisabolene | 17.31 | 2.56 | 1 | RI, MS |
| (-)-Spathulenol | 19.02 | 1.74–2.11 | 13 | RI, MS |
| Carotol | 19.48 | 3.75 | 11 | RI, MS |
| 8-Heptadecene * | 21.16 | 8.77–17.3 | 8, 10 | RI, MS |
| Apiol | 21.29 | 1.47 | 11 | RI, MS |
| Eicosane * | 21.60 | 3.88–3.95 | 8, 10 | RI, MS |
| n-Hexadecanoic acid | 26.99 | 4.59–8.31 | 1, 3–13 | RI, MS |
| Hexadecanoic acid, ethyl ester | 27.60 | 3.24–5.77 | 1, 3, 6, 8, 9, 10, 12 | RI, MS |
| Phytol | 29.82 | 2.28–3.15 | 6, 14 | RI, MS |
| Linoelaidic acid * | 30.13 | 1.29–6.90 | 1–3, 5–12, 14 | RI, MS |
| 7-Tetradecenal, (Z)- * | 30.25 | 4.56–5.84 | 2–6, 8–11, 13, 14 | RI, MS |
| cis,cis,cis-7,10,13-Hexadecatrienal * | 30.29 | 6.11–7.33 | 1, 9, 10 | RI, MS |
| Linoleic acid ethyl ester * | 30.68 | 4.20–4.65 | 3, 10 | RI, MS |
| 9,12,15-Octadecatrienoic acid, (Z,Z,Z)- | 30.79 | 2.99–4.31 | 1, 3 | RI, MS |
| 9,12-Octadecadienoic acid (Z,Z)- | 30.96 | 1.55–6.08 | 1, 6, 8 | RI, MS |
| Eicosanoic acid * | 31.22 | 1.43 | 1 | RI, MS |
| Octadecanoic acid, ethyl ester * | 31.25 | 1.29–2.10 | 2, 3, 9, 11, 14 | RI, MS |
| (E)-1-(2-Hydroxy-4,6-dimethoxyphenyl)-3-phenylprop-2-en-1-one * | 38.37 | 3.38–3.79 | 8–10 | RI, MS |
| Tetracosane * | 39.25 | 3.04–8.16 | 1, 7, 9, 10, 13 | RI, MS |
| Flavone, 5-hydroxy-7,8-dimethoxy- * | 39.69 | 4.51–4.54 | 8, 10 | RI, MS |
| 4H-1-Benzopyran-4-one,5,7-dimethoxy-2-phenyl- * | 40.60 | 1.98–2.15 | 8, 10 | RI, MS |
| Hexacosanal * | 41.18 | 1.81–2.71 | 9 | RI, MS |
| Epicholestanol * | 41.24 | 8.78 | 5 | RI, MS |
| Tetratetracontane * | 42.03 | 4.17–12.51 | 1–4, 6–14 | RI, MS |
| Octacosanal * | 43.89 | 1.47–6.87 | 1–4, 7–10, 13 | RI, MS |
| Hentriacontane * | 44.64 | 3.33–8.11 | 1–2, 4, 6, 8–14 | RI, MS |
| 1-nonanone, 1-(2,5-dihydroxyphenyl)- * | 45.29 | 1.92–10.55 | 2, 4, 7 | RI, MS |
| (+)-Sesamin * | 45.46 | 2.08–9.63 | 7, 9 | RI, MS |
| Campesterol | 46.41 | 3.12–3.60 | 3, 6 | RI, MS |
| Ergost-5-en-3-ol, (3.beta.)- * | 46.43 | 1.71–6.67 | 1, 5, 10–14 | RI, MS |
| E,E-2,13-Octadecadien-1-ol | 46.45 | 5.07 | 7 | RI, MS |
| Stigmasterol | 46.80 | 3.1–3.77 | 1–3, 5, 8–14 | RI, MS |
| gamma.-Sitosterol | 47.51 | 2.74–8.02 | 1–14 | RI, MS |
| No. | Species | Province | Collector No. |
|---|---|---|---|
| 1 | P. cavaleriei | Tak | Y. Banchong 174 (BK, BKF, QBG) |
| 2 | P. dindygulensis | Phayao | Y. Banchong 151 (BK, BKF, QBG) |
| 3 | P. heptaphylla | Prachuap Khiri Khan | Y. Banchong 136 (BK, BKF, QBG) |
| 4 | P. heyneana | Chiangmai | Y. Banchong 139 (BK, BKF, QBG) |
| 5 | P. kotana | Nakhon Si Thammarat | Y. Banchong 157 (BK, BKF, QBG) |
| 6 | P. laevifolia | Nakhon Si Thammarat | Y. Banchong 159 (BK, BKF, QBG) |
| 7 | P. masuthoniana | Chiangmai | Y. Banchong 143 (BK, BKF, QBG) |
| 8 | P. moulmeiniana | Kanchanaburi | Y. Banchong 161 (BK, BKF, QBG) |
| 9 | P. multisurcula | Nan | Y. Banchong 148 (BK, BKF, QBG) |
| 10 | P. nakaharai | Chiangmai | Y. Banchong 169 (BK, BKF, QBG) |
| 11 | P. pellucida | Bangkok | Y. Banchong 170 (BK, BKF, QBG) |
| 12 | P. sirindhorniana | Loei | Y. Banchong 152 (BK, BKF, QBG) |
| 13 | P. tetraphylla | Chiangmai | Y. Banchong 135 (BK, BKF, QBG) |
| 14 | P. ranongensis | Ranong | Y. Banchong 63 (BK, BKF, QBG) |
Disclaimer/Publisher’s Note: The statements, opinions and data contained in all publications are solely those of the individual author(s) and contributor(s) and not of MDPI and/or the editor(s). MDPI and/or the editor(s) disclaim responsibility for any injury to people or property resulting from any ideas, methods, instructions or products referred to in the content. |
© 2024 by the authors. Licensee MDPI, Basel, Switzerland. This article is an open access article distributed under the terms and conditions of the Creative Commons Attribution (CC BY) license (https://creativecommons.org/licenses/by/4.0/).
Share and Cite
Banchong, Y.; Leepasert, T.; Jarupund, P.; Hodkinson, T.R.; Boylan, F.; Suwanphakdee, C. Chemotaxonomy of Southeast Asian Peperomia (Piperaceae) Using High-Performance Thin-Layer Chromatography Colour Scale Fingerprint Imaging and Gas Chromatography–Mass Spectrometry. Plants 2024, 13, 2751. https://doi.org/10.3390/plants13192751
Banchong Y, Leepasert T, Jarupund P, Hodkinson TR, Boylan F, Suwanphakdee C. Chemotaxonomy of Southeast Asian Peperomia (Piperaceae) Using High-Performance Thin-Layer Chromatography Colour Scale Fingerprint Imaging and Gas Chromatography–Mass Spectrometry. Plants. 2024; 13(19):2751. https://doi.org/10.3390/plants13192751
Chicago/Turabian StyleBanchong, Yutthana, Theerachart Leepasert, Pakawat Jarupund, Trevor R. Hodkinson, Fabio Boylan, and Chalermpol Suwanphakdee. 2024. "Chemotaxonomy of Southeast Asian Peperomia (Piperaceae) Using High-Performance Thin-Layer Chromatography Colour Scale Fingerprint Imaging and Gas Chromatography–Mass Spectrometry" Plants 13, no. 19: 2751. https://doi.org/10.3390/plants13192751
APA StyleBanchong, Y., Leepasert, T., Jarupund, P., Hodkinson, T. R., Boylan, F., & Suwanphakdee, C. (2024). Chemotaxonomy of Southeast Asian Peperomia (Piperaceae) Using High-Performance Thin-Layer Chromatography Colour Scale Fingerprint Imaging and Gas Chromatography–Mass Spectrometry. Plants, 13(19), 2751. https://doi.org/10.3390/plants13192751

