Cancer Chemopreventive Effect of 2′,4′-Dihydroxy-6′-methoxy-3′,5′-dimethylchalcone on Diethylnitrosamine-Induced Early Stages of Hepatocarcinogenesis in Rats
Abstract
1. Introduction
2. Results
2.1. Effects of CSE and DMC on General Observations
2.2. Effects of CSE and DMC on Serum Biochemical Parameters
2.3. Effects of CSE and DMC on Histopathological Lesions in Rat Liver
2.4. Effects of CSE and DMC on Preneoplastic Lesion in Rat Liver
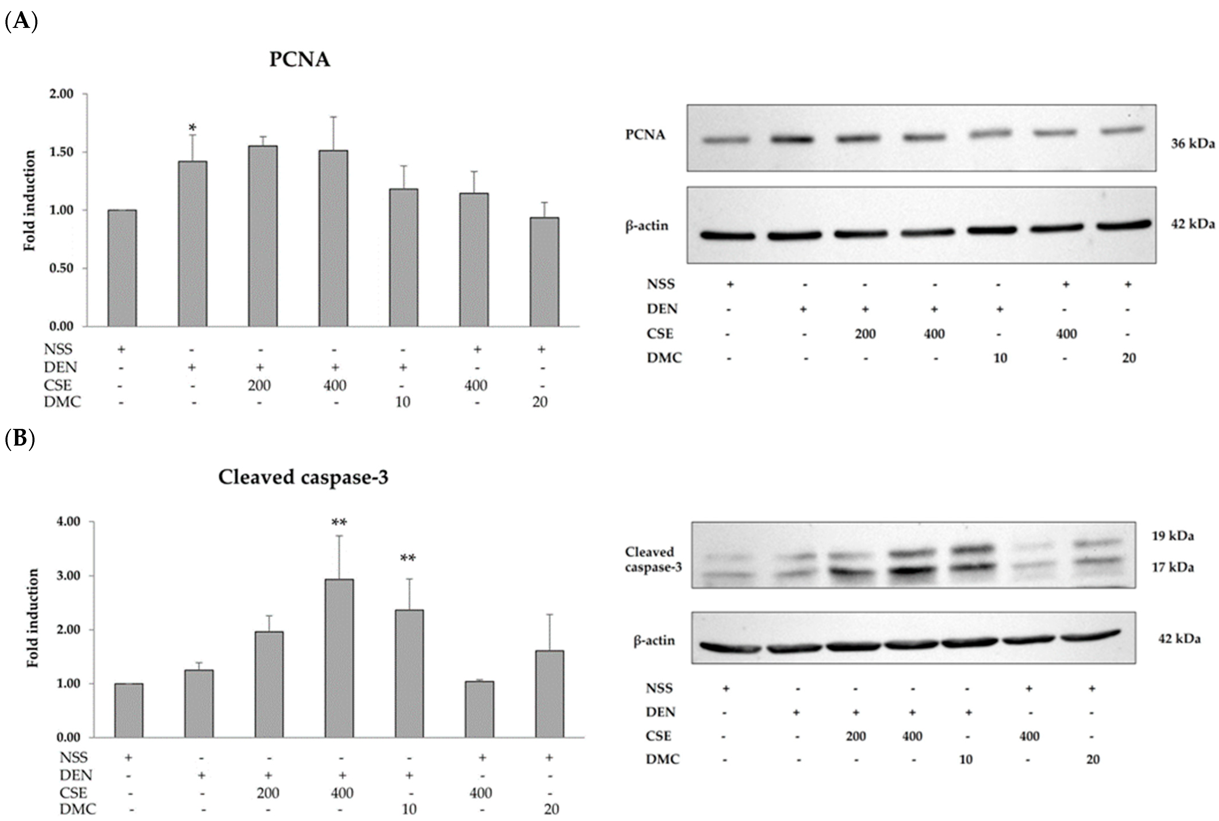
2.5. Effects of CSE and DMC on Cell Proliferation and Apoptosis in Rat Liver
3. Discussion
4. Materials and Methods
4.1. Chemicals
4.2. Preparation of CSE and DMC
4.3. Animals and Experimental Protocol
4.4. Biochemical Analysis
4.5. Histopathological Examination
4.6. Immunohistochemical Investigation
4.7. Terminal Deoxynucleotidyl Transferase dUTP Nick-End Labeling (TUNEL) Assay
4.8. Protein Expression Analysis by Western Immunoblotting
4.9. Statistical Analysis
5. Conclusions
Supplementary Materials
Author Contributions
Funding
Data Availability Statement
Acknowledgments
Conflicts of Interest
References
- Bray, F.; Laversanne, M.; Sung, H.; Ferlay, J.; Siegel, R.L.; Soerjomataram, I.; Jemal, A. Global cancer statistics 2022: GLOBOCAN estimates of incidence and mortality worldwide for 36 cancers in 185 countries. CA Cancer J. Clin. 2024, 74, 229–263. [Google Scholar] [CrossRef]
- Suresh, D.; Srinivas, A.N.; Prashant, A.; Harikumar, K.B.; Kumar, D.P. Therapeutic options in hepatocellular carcinoma: A comprehensive review. Clin. Exp. Med. 2023, 23, 1901–1916. [Google Scholar] [CrossRef]
- Moye-Holz, D.; Ewen, M.; Dreser, A.; Bautista-Arredondo, S.; Soria-Saucedo, R.; van Dijk, J.P.; Reijneveld, S.A.; Hogerzeil, H.V. Availability, prices, and affordability of selected essential cancer medicines in a middle-income country—The case of Mexico. BMC Health Serv. Res. 2020, 20, 424. [Google Scholar] [CrossRef]
- Raza, A.; Sood, G.K. Hepatocellular carcinoma review: Current treatment, and evidence-based medicine. World J. Gastroenterol. 2014, 20, 4115–4127. [Google Scholar] [CrossRef]
- Mohan, S.G.; Swetha, M.; Keerthana, C.K.; Rayginia, T.P.; Anto, R.J. Cancer chemoprevention: A strategic approach using phytochemicals. Front. Pharmacol. 2021, 12, 809308. [Google Scholar] [CrossRef]
- Khan, T.; Ali, M.; Khan, A.; Nisar, P.; Jan, S.A.; Afridi, S.; Shinwari, Z.K. Anticancer plants: A review of the active phytochemicals, applications in animal models, and regulatory aspects. Biomolecules 2019, 10, 47. [Google Scholar] [CrossRef]
- Inboot, W.; Taya, S.; Chailungka, A.; Meepowpan, P.; Wongpoomchai, R. Genotoxicity and antigenotoxicity of the methanol extract of Cleistocalyx nervosum var paniala seed using a Salmonella mutation assay and rat liver micronucleus tests. Mol. Cell. Toxicol. 2012, 8, 19–24. [Google Scholar] [CrossRef]
- Chariyakornkul, A.; Inboot, N.; Taya, S.; Wongpoomchai, R. Low-polar extract from seed of Cleistocalyx nervosum var paniala modulates initiation and promotion stages of chemically-induced carcinogenesis in rats. Biomed. Pharmacother. 2021, 133, 110963. [Google Scholar] [CrossRef]
- Yu, W.G.; He, H.; Qian, J.; Lu, Y.H. Dual role of 2′,4′-dihydroxy-6′-methoxy-3′,5′-dimethylchalcone in inhibiting high-mobility group box 1 secretion and blocking its pro-inflammatory activity in hepatic inflammation. J. Agric. Food Chem. 2014, 62, 11949–11956. [Google Scholar] [CrossRef]
- Utama, K.; Khamto, N.; Meepowpan, P.; Aobchey, P.; Kantapan, J.; Sringarm, K.; Roytrakul, S.; Sangthong, P. Effects of 2′,4′-Dihydroxy-6′-methoxy-3′,5′-dimethylchalcone from Syzygium nervosum seeds on antiproliferative, DNA damage, cell cycle arrest, and apoptosis in human cervical cancer cell lines. Molecules 2022, 27, 1154. [Google Scholar] [CrossRef]
- Ye, C.L.; Liu, J.W.; Wei, D.Z.; Lu, Y.H.; Qian, F. In vitro anti-tumor activity of 2′,4′-dihydroxy-6′-methoxy-3′,5′-dimethylchalcone against six established human cancer cell lines. Pharmacol. Res. 2004, 50, 505–510. [Google Scholar] [CrossRef]
- Qian, F.; Ye, C.L.; Wei, D.Z.; Lu, Y.H.; Yang, S.L. In vitro and in vivo reversal of cancer cell multidrug resistance by 2′,4′-dihydroxy-6′-methoxy-3′,5′-dimethylchalcone. J. Chemother. 2005, 17, 309–314. [Google Scholar] [CrossRef]
- Yu, W.G.; Qian, J.; Lu, Y.H. Hepatoprotective effects of 2′,4′-dihydroxy-6′-methoxy-3′,5′-dimethylchalcone on CCl4-induced acute liver injury in mice. J. Agric. Food Chem. 2011, 59, 12821–12829. [Google Scholar] [CrossRef]
- Vachiraarunwong, A.; Tuntiwechapikul, W.; Wongnoppavich, A.; Meepowpan, P.; Wongpoomchai, R. 2,4′-dihydroxy-6′-methoxy-3′,5′-dimethylchalcone from Cleistocalyx nervosum var paniala seeds attenuated the early stage of diethylnitrosamine and 1,2-dimethylhydrazine-induced colorectal carcinogenesis. Biomed. Pharmacother. 2023, 165, 115221. [Google Scholar] [CrossRef]
- Ye, C.L.; Liu, J.W.; Wei, D.Z.; Lu, Y.H.; Qian, F. In vivo antitumor activity by 2′,4′-dihydroxy-6′-methoxy-3′,5′-dimethylchalcone in a solid human carcinoma xenograft model. Cancer Chemother. Pharmacol. 2005, 55, 447–452. [Google Scholar] [CrossRef]
- Tolba, R.; Kraus, T.; Liedtke, C.; Schwarz, M.; Weiskirchen, R. Diethylnitrosamine (DEN)-induced carcinogenic liver injury in mice. Lab. Anim. 2015, 49, 59–69. [Google Scholar] [CrossRef]
- Memon, A.; Pyao, Y.; Jung, Y.; Lee, J.I.; Lee, W.K. A modified protocol of diethylnitrosamine administration in mice to model hepatocellular carcinoma. Int. J. Mol. Sci. 2020, 21, 5461. [Google Scholar] [CrossRef]
- Romualdo, G.R.; Leroy, K.; Costa, C.J.S.; Prata, G.B.; Vanderborght, B.; da Silva, T.C.; Barbisan, L.F.; Andraus, W.; Devisscher, L.; Camara, N.O.S.; et al. In vivo and In vitro models of hepatocellular carcinoma: Current strategies for translational modeling. Cancers 2021, 13, 5583. [Google Scholar] [CrossRef]
- EFSA Panel on Contaminants in the Food Chain (EFSA CONTAM Panel); Schrenk, D.; Bignami, M.; Bodin, L.; Chipman, J.K.; del Mazo, J.; Hogstrand, C.; Ron Hoogenboom, L.; Leblanc, J.C.; Nebbia, C.S.; et al. Risk assessment of N-nitrosamines in food. EFSA J. 2023, 21, e07884. [Google Scholar] [CrossRef]
- Hooshmand, S.; Mahdinezhad, M.R.; Taraz Jamshidi, S.; Soukhtanloo, M.; Mirzavi, F.; Iranshahi, M.; Hasanpour, M.; Ghorbani, A. Morus nigra L. extract prolongs survival of rats with hepatocellular carcinoma. Phytother. Res. 2021, 35, 3365–3376. [Google Scholar] [CrossRef]
- Guo, H.; Punvittayagul, C.; Vachiraarunwong, A.; Phannasorn, W.; Wongpoomchai, R. Cancer chemopreventive potential of cooked glutinous purple rice on the early stages of hepatocarcinogenesis in rats. Front. Nutr. 2022, 9, 1032771. [Google Scholar] [CrossRef]
- Dokkaew, A.; Punvittayagul, C.; Insuan, O.; Limtrakul Dejkriengkraikul, P.; Wongpoomchai, R. Protective effects of defatted sticky rice bran extracts on the early stages of hepatocarcinogenesis in rats. Molecules 2019, 24, 2142. [Google Scholar] [CrossRef]
- Lala, V.; Zubair, M.; Minter, D.A. Liver function tests. In StatPearls; StatPearls: Jackson, WY, USA, 2024. [Google Scholar]
- Giknis, M.L.A.; Clifford, C.B. Clinical Laboratory Parameters for Crl: WI (Han); Charles River Laboratories International: Wilmington, MA, USA, 2008; pp. 1–14. [Google Scholar]
- Hoekstra, L.T.; de Graaf, W.; Nibourg, G.A.; Heger, M.; Bennink, R.J.; Stieger, B.; van Gulik, T.M. Physiological and biochemical basis of clinical liver function tests: A review. Ann. Surg. 2013, 257, 27–36. [Google Scholar] [CrossRef]
- Roy, S.R.; Gadad, P.C. Effect of β-asarone on diethylnitrosamine-induced hepatocellular carcinoma in rats. Indian J. Health Sci. Biomed. Res. KLEU 2016, 9, 82–88. [Google Scholar] [CrossRef]
- Subarnas, A.; Diantini, A.; Abdulah, R.; Zuhrotun, A.; Hadisaputri, Y.E.; Puspitasari, I.M.; Yamazaki, C.; Kuwano, H.; Koyama, H. Apoptosis induced in MCF-7 human breast cancer cells by 2′,4′-dihydroxy-6-methoxy-3,5-dimethylchalcone isolated from Eugenia aquea Burm f. leaves. Oncol. Lett. 2015, 9, 2303–2306. [Google Scholar] [CrossRef]
- Hadisaputri, Y.E.; Cahyana, N.; Muchtaridi, M.; Lesmana, R.; Rusdiana, T.; Chaerunisa, A.Y.; Sufiawati, I.; Rostinawati, T.; Subarnas, A. Apoptosis-mediated antiproliferation of A549 lung cancer cells mediated by Eugenia aquea leaf compound 2′,4′-dihydroxy-6′-methoxy-3′,5′-dimethylchalcone and its molecular interaction with caspase receptor in molecular docking simulation. Oncol. Lett. 2020, 19, 3551–3557. [Google Scholar] [CrossRef]
- Tuan, H.N.; Minh, B.H.; Tran, P.T.; Lee, J.H.; Oanh, H.V.; Ngo, Q.M.T.; Nguyen, Y.N.; Lien, P.T.K.; Tran, M.H. The effects of 2′,4′-Dihydroxy-6′-methoxy-3′,5′-dimethylchalcone from Cleistocalyx operculatus Buds on human pancreatic cancer cell lines. Molecules 2019, 24, 2538. [Google Scholar] [CrossRef]
- Ko, H.; Kim, Y.J.; Amor, E.C.; Lee, J.W.; Kim, H.C.; Kim, H.J.; Yang, H.O. Induction of autophagy by dimethyl cardamonin is associated with proliferative arrest in human colorectal carcinoma HCT116 and LOVO cells. J. Cell Biochem. 2011, 112, 2471–2479. [Google Scholar] [CrossRef]
- Ye, C.L.; Lai, Y.F. 2′,4′-Dihydroxy-6′-methoxy-3′,5′-dimethylchalcone, from buds of Cleistocalyx operculatus, induces apoptosis in human hepatoma SMMC-7721 cells through a reactive oxygen species-dependent mechanism. Cytotechnology 2016, 68, 331–341. [Google Scholar] [CrossRef]
- Abe, R.; Okano, J.I.; Imamoto, R.; Fujise, Y.; Murawaki, Y. Sequential analysis of diethylnitrosamine-induced hepatocarcinogenesis in rats. Exp. Ther. Med. 2012, 3, 371–378. [Google Scholar] [CrossRef]
- Boorman, G.; Eustis, S.; Elwell, M.; Montgomery, C., Jr.; MacKenzie, W. Pathology of the Fischer Rat: Reference and Atlas; Academic Press: Cambridge, MA, USA, 1990. [Google Scholar]
- Hegazy, R.R.; Mansour, D.F.; Salama, A.A.; Abdel-Rahman, R.F.; Hassan, A.M. Regulation of PKB/Akt-pathway in the chemopreventive effect of lactoferrin against diethylnitrosamine-induced hepatocarcinogenesis in rats. Pharmacol. Rep. 2019, 71, 879–891. [Google Scholar] [CrossRef] [PubMed]
- Squire, R.A.; Levitt, M.H. Report of a workshop on classification of specific hepatocellular lesions in rats. Cancer Res. 1975, 35, 3214–3223. [Google Scholar] [PubMed]
- Thumvijit, T.; Taya, S.; Punvittayagul, C.; Peerapornpisal, Y.; Wongpoomchai, R. Cancer chemopreventive effect of Spirogyra neglecta (Hassall) Kutzing on diethylnitrosamine-induced hepatocarcinogenesis in rats. Asian Pac. J. Cancer Prev. 2014, 15, 1611–1616. [Google Scholar] [CrossRef] [PubMed]





| Group | Treatments | Body Weight (g) | Consumption (per Rat per Day) | ||
|---|---|---|---|---|---|
| Initial | Final | Diet (g) | Water (mL) | ||
| 1 | DEN | 211 ± 9 | 468 ± 27 * | 19.5 ± 1.1 * | 28.8 ± 4.8 |
| 2 | DEN + CSE 200 mg/kg bw | 212 ± 20 | 490 ± 60 | 20.8 ± 1.4 | 36.9 ± 7.4 ** |
| 3 | DEN + CSE 400 mg/kg bw | 212 ± 17 | 451 ± 49 | 19.6 ± 1.2 | 31.8 ± 5.9 |
| 4 | DEN + DMC 10 mg/kg bw | 211 ± 7 | 465 ± 15 | 19.2 ± 1.3 | 31.1 ± 6.3 |
| 5 | DEN + DMC 20 mg/kg bw | 211 ± 5 | 459 ± 31 | 19.1 ± 1.5 | 37.0 ± 9.5 ** |
| 6 | NSS | 212 ± 8 | 561 ± 26 | 22.3 ± 1.2 | 35.4 ± 4.4 |
| 7 | NSS + CSE 400 mg/kg bw | 211 ± 15 | 494 ± 49 * | 20.3 ± 1.3 * | 38.2 ± 5.9 |
| 8 | NSS + DMC 20 mg/kg bw | 212 ± 13 | 533 ± 35 | 21.5 ± 1.1 | 34.3 ± 4.9 |
| Group | Treatments | Relative Organ Weight (%) | ||
|---|---|---|---|---|
| Liver | Spleen | Kidney | ||
| 1 | DEN | 2.64 ± 0.16 | 0.17 ± 0.02 | 0.56 ± 0.06 |
| 2 | DEN + CSE 200 mg/kg bw | 2.74 ± 0.17 | 0.19 ± 0.08 | 0.58 ± 0.07 |
| 3 | DEN + CSE 400 mg/kg bw | 2.88 ± 0.18 | 0.16 ± 0.01 | 0.63 ± 0.03 ** |
| 4 | DEN + DMC 10 mg/kg bw | 2.63 ± 0.15 | 0.16 ± 0.01 | 0.58 ± 0.03 |
| 5 | DEN + DMC 20 mg/kg bw | 2.67 ± 0.35 | 0.17 ± 0.01 | 0.58 ± 0.03 |
| 6 | NSS | 2.60 ± 0.13 | 0.14 ± 0.02 | 0.53 ± 0.05 |
| 7 | NSS + CSE 400 mg/kg bw | 2.90 ± 0.16 | 0.14 ± 0.01 | 0.64 ± 0.01 * |
| 8 | NSS + DMC 20 mg/kg bw | 2.53 ± 0.20 | 0.13 ± 0.01 | 0.54 ± 0.03 |
| Group | Treatments | Biochemical Parameters | |||||
|---|---|---|---|---|---|---|---|
| Total Protein (g/dL) | Albumin (g/dL) | Total Bilirubin (mg/dL) | Direct Bilirubin (mg/dL) | BUN (mg/dL) | Creatinine (mg/dL) | ||
| 1 | DEN | 7.27 ± 0.22 | 3.94 ± 0.10 | 0.11 ± 0.01 | 0.07 ± 0.01 * | 20.0 ± 1.0 * | 0.73 ± 0.03 |
| 2 | DEN + CSE 200 mg/kg bw | 7.30 ± 0.18 | 3.96 ± 0.05 | 0.10 ± 0.02 | 0.07 ± 0.02 | 20.1 ± 0.5 | 0.72 ± 0.02 |
| 3 | DEN + CSE 400 mg/kg bw | 7.61 ± 0.21 | 4.14 ± 0.05 ** | 0.11 ± 0.01 | 0.07 ± 0.01 | 18.4 ± 0.9 | 0.71 ± 0.04 |
| 4 | DEN + DMC 10 mg/kg bw | 7.16 ± 0.05 | 3.94 ± 0.14 | 0.08 ± 0.01 ** | 0.05 ± 0.01 ** | 18.1 ± 1.0 ** | 0.67 ± 0.02 ** |
| 5 | DEN + DMC 20 mg/kg bw | 7.26 ± 0.15 | 3.94 ± 0.13 | 0.09 ± 0.02 | 0.05 ± 0.01 ** | 20.2 ± 0.6 | 0.71 ± 0.02 |
| 6 | NSS | 7.23 ± 0.23 | 3.87 ± 0.10 | 0.09 ± 0.01 | 0.05 ± 0.01 | 18.0 ± 0.6 | 0.68 ± 0.03 |
| 7 | NSS + CSE 400 mg/kg bw | 7.10 ± 0.13 | 3.77 ± 0.05 | 0.08 ± 0.01 | 0.04 ± 0.01 | 19.0 ± 0.4 | 0.63 ± 0.02 |
| 8 | NSS + DMC 20 mg/kg bw | 6.92 ± 0.23 | 3.65 ± 0.14 * | 0.09 ± 0.01 | 0.05 ± 0.01 | 18.9 ± 1.2 | 0.64 ± 0.03 |
| Group | Treatments | The Number of Histopathological Lesions per Rat | ||
|---|---|---|---|---|
| Focal Hepatocellular Hyperplasia | Hepatocellular Adenoma | Hepatocellular Carcinoma | ||
| 1 | DEN | 4.33 ± 2.66 * | 3.13 ± 2.85 | 1.50 ± 1.20 |
| 2 | DEN + CSE 200 mg/kg bw | 2.14 ± 3.67 | 1.86 ± 2.85 | 0.57 ± 0.98 |
| 3 | DEN + CSE 400 mg/kg bw | 0.25 ± 0.46 ** | 0.75 ± 1.16 | 0.56 ± 0.53 |
| 4 | DEN + DMC 10 mg/kg bw | 1.25 ± 1.58 | 3.00 ± 3.12 | 0.75 ± 1.39 |
| 5 | DEN + DMC 20 mg/kg bw | 2.86 ± 4.63 | 4.88 ± 4.91 | 3.00 ± 5.21 |
| 6 | NSS | 0.00 ± 0.00 | 0.00 ± 0.00 | 0.00 ± 0.00 |
| 7 | NSS + CSE 400 mg/kg bw | 0.00 ± 0.00 | 0.00 ± 0.00 | 0.00 ± 0.00 |
| 8 | NSS + DMC 20 mg/kg bw | 0.00 ± 0.00 | 0.00 ± 0.00 | 0.00 ± 0.00 |
Disclaimer/Publisher’s Note: The statements, opinions and data contained in all publications are solely those of the individual author(s) and contributor(s) and not of MDPI and/or the editor(s). MDPI and/or the editor(s) disclaim responsibility for any injury to people or property resulting from any ideas, methods, instructions or products referred to in the content. |
© 2024 by the authors. Licensee MDPI, Basel, Switzerland. This article is an open access article distributed under the terms and conditions of the Creative Commons Attribution (CC BY) license (https://creativecommons.org/licenses/by/4.0/).
Share and Cite
Taya, S.; Punvittayagul, C.; Meepowpan, P.; Wongpoomchai, R. Cancer Chemopreventive Effect of 2′,4′-Dihydroxy-6′-methoxy-3′,5′-dimethylchalcone on Diethylnitrosamine-Induced Early Stages of Hepatocarcinogenesis in Rats. Plants 2024, 13, 1975. https://doi.org/10.3390/plants13141975
Taya S, Punvittayagul C, Meepowpan P, Wongpoomchai R. Cancer Chemopreventive Effect of 2′,4′-Dihydroxy-6′-methoxy-3′,5′-dimethylchalcone on Diethylnitrosamine-Induced Early Stages of Hepatocarcinogenesis in Rats. Plants. 2024; 13(14):1975. https://doi.org/10.3390/plants13141975
Chicago/Turabian StyleTaya, Sirinya, Charatda Punvittayagul, Puttinan Meepowpan, and Rawiwan Wongpoomchai. 2024. "Cancer Chemopreventive Effect of 2′,4′-Dihydroxy-6′-methoxy-3′,5′-dimethylchalcone on Diethylnitrosamine-Induced Early Stages of Hepatocarcinogenesis in Rats" Plants 13, no. 14: 1975. https://doi.org/10.3390/plants13141975
APA StyleTaya, S., Punvittayagul, C., Meepowpan, P., & Wongpoomchai, R. (2024). Cancer Chemopreventive Effect of 2′,4′-Dihydroxy-6′-methoxy-3′,5′-dimethylchalcone on Diethylnitrosamine-Induced Early Stages of Hepatocarcinogenesis in Rats. Plants, 13(14), 1975. https://doi.org/10.3390/plants13141975

