Proteomic Profiles of Whole Seeds, Hulls, and Dehulled Seeds of Two Industrial Hemp (Cannabis sativa L.) Cultivars
Abstract
:1. Introduction
2. Results and Discussion
2.1. Protein and Fat Contents in Original and Defatted Seed Product Samples
2.2. Characterisation of Seed Protein Pool
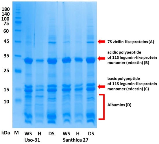
2.2.1. Seed Storage Proteins
2.2.2. Proteins Involved in Energy and Metabolism
2.2.3. Membrane Proteins
2.2.4. Proteins Involved in Stress Response and Defence
2.2.5. Other Protein Classes
2.3. Effect of Cultivar and Dehulling on the Hemp Seed Protein Profile
3. Materials and Methods
3.1. Hemp Seed Samples and Their Preparation
3.2. Dry Matter, Protein, and Fat Contents
3.3. Sodium Dodecyl Sulphate Polyacrylamide Gel Electrophoresis
3.4. LC-MS/MS Analysis
3.5. Proteomic Data Processing
3.6. Statistical Analysis
4. Conclusions
Author Contributions
Funding
Data Availability Statement
Conflicts of Interest
References
- Callaway, J.C. Hempseed as a nutritional resource: An overview. Euphytica 2004, 140, 65–72. [Google Scholar] [CrossRef]
- Burton, R.A.; Andres, M.; Cole, M.; Cowley, J.M.; Augustin, M.A. Industrial hemp seed: From the field to value-added food ingredients. J. Cannabis Res. 2022, 4, 45. [Google Scholar] [CrossRef] [PubMed]
- Farinon, B.; Molinari, R.; Costantini, L.; Merendino, N. The Seed of Industrial Hemp (Cannabis sativa L.): Nutritional Quality and Potential Functionality for Human Health and Nutrition. Nutrients 2020, 12, 1935. [Google Scholar] [CrossRef] [PubMed]
- Sun, X.; Sun, Y.; Li, Y.; Wu, Q.; Wang, L. Identification and Characterization of the Seed Storage Proteins and Related Genes of Cannabis sativa L. Front. Nutr. 2021, 8, 678421. [Google Scholar] [CrossRef] [PubMed]
- Kriese, U.; Schumann, E.; Weber, W.E.; Beyer, M.; Brühl, L.; Matthäus. Oil content, tocopherol composition and fatty acid patterns of the seeds of 51 Cannabis sativa L. genotypes. Euphytica 2004, 137, 339–351. [Google Scholar] [CrossRef]
- Lan, Y.; Zha, F.; Peckrul, A.; Hanson, B.; Johnson, B.; Rao, J.; Chen, B. Genotype x Environmental Effects on Yielding Ability and Seed Chemical Composition of Industrial Hemp (Cannabis sativa L.) Varieties Grown in North Dakota, USA. J. Am. Oil. Chem. Soc. 2019, 96, 1417–1425. [Google Scholar] [CrossRef]
- Alonso-Esteban, J.I.; González-Fernández, M.J.; Fabrikov, D.; Torija-Isasa, E.; Sánchez-Mata, M.d.C.; Guil-Guerrero, J.L. Hemp (Cannabis sativa L.) Varieties: Fatty Acid Profiles and Upgrading of γ-Linolenic Acid–Containing Hemp Seed Oils. Eur. J. Lipid Sci. Technol. 2020, 122, 1900445. [Google Scholar] [CrossRef]
- Xu, Y.; Zhao, J.; Hu, R.; Wang, W.; Griffin, J.; Li, Y.; Sun, X.S.; Wang, D. Effect of genotype on the physicochemical, nutritional, and antioxidant properties of hempseed. J. Agric. Food Res. 2021, 3, 100119. [Google Scholar] [CrossRef]
- Golimowski, W.; Teleszko, M.; Marcinkowski, D.; Kmiecik, D.; Grygier, A.; Kwaśnica, A. Quality of Oil Pressed from Hemp Seed Varieties: ‘Ealina 8FC’, ‘Secueni Jubileu’ and ‘Finola’. Molecules 2022, 27, 3171. [Google Scholar] [CrossRef]
- Mamone, G.; Picariello, G.; Ramondo, A.; Nicolai, M.A.; Ferranti, P. Production, digestibility and allergenicity of hemp (Cannabis sativa L.) protein isolates. Food Res. Int. 2019, 115, 562–571. [Google Scholar] [CrossRef]
- Miernyk, J.A.; Hajduch, M. Seed proteomics. J. Proteom. 2011, 74, 389–400. [Google Scholar] [CrossRef] [PubMed]
- Aluko, R.E. Hemp Seed (Cannabis sativa L.) Proteins: Composition, Structure, Enzymatic Modification, and Functional or Bioactive Properties. In Sustainable Protein Sources; Nadathur, S.R., Wanasundara, J.P.D., Scanlin, L., Eds.; Academic Press: San Diego, CA, USA, 2017; pp. 121–132. [Google Scholar]
- Tang, C.-H.; Ten, Z.; Wang, X.-S.; Yang, X.-Q. Physicochemical and Functional Properties of Hemp (Cannabis sativa L.) Protein Isolate. J. Agric. Food Chem. 2006, 54, 8945–8950. [Google Scholar] [CrossRef] [PubMed]
- Wang, Q.; Xiong, Y.L. Processing, Nutrition, and Functionality of Hempseed Protein: A Review. Compr. Rev. Food Sci. Food Saf. 2019, 18, 936–952. [Google Scholar] [CrossRef] [PubMed]
- Bárta, J.; Bártová, V.; Jarošová, M.; Švajner, J. Proteins of Oilseed Cakes, Their Isolation and Usage Possibilities. Chem. Listy 2021, 115, 472–480. [Google Scholar]
- Ponzoni, E.; Brambilla, I.M.; Galasso, I. Genome-wide identification and organization of seed storage protein genes of Cannabis sativa. Biol. Plant. 2018, 62, 693–702. [Google Scholar] [CrossRef]
- Park, S.-K.; Seo, J.-B.; Lee, M.-Y. Proteomic profiling of hempseed proteins from Cheungsam. Biochim. Biophys. Acta Proteins Proteom. 2012, 1824, 374–382. [Google Scholar] [CrossRef]
- Aiello, G.; Fasoli, E.; Boschin, G.; Lammi, C.; Zanoni, C.; Citterio, A.; Arnoldi, A. Proteomic characterization of hempseed (Cannabis sativa L.). J. Proteom. 2016, 147, 187–196. [Google Scholar] [CrossRef]
- Leonard, W.; Zhang, P.; Ying, D.; Nie, S.; Tindal, E.; Fang, Z. Transformation of hempseed (Cannabis sativa L.) oil cake proteome, structure and functionality after extrusion. Food Chem. 2022, 384, 132499. [Google Scholar] [CrossRef]
- Stoyke, M.; Becker, R.; Brockmeyer, J.; Jira, W.; Popping, B.; Uhlig, S.; Wittke, S. German Government Official Methods Board Points the Way Forward: Launch of a New Working Group for Mass Spectrometry for Protein Analysis to Detect Food Fraud and Food Allergens. J. AOAC Int. 2019, 102, 1280–1285. [Google Scholar] [CrossRef]
- Kotecka-Majchrzak, K.; Sumara, A.; Fornal, E.; Montowska, M. Identification of species-specific peptide markers in cold-pressed oils. Sci. Rep. 2020, 10, 19971. [Google Scholar] [CrossRef]
- Kotecka-Majchrzak, K.; Sumara, A.; Fornal, E.; Montowska, M. Proteomic analysis of oilseed cake: A comparative study of species-specific proteins and peptides extracted from ten seed species. J. Sci. Food Agric. 2021, 101, 297–306. [Google Scholar] [CrossRef] [PubMed]
- Alonso-Esteban, J.I.; Pinela, J.; Ćirić, A.; Calhelha, R.C.; Soković, M.; Ferreira, I.C.F.R.; Barros, L.; Torija-Isasa, E.; Sánchez-Mata, M.d.C. Chemical composition and biological activities of whole and dehulled hemp (Cannabis sativa L.) seeds. Food Chem. 2022, 374, 131754. [Google Scholar] [CrossRef] [PubMed]
- Smolikova, G.; Gorbach, D.; Lukasheva, E.; Mavropolo-Stolyarenko, G.; Bilova, T.; Soboleva, E.; Tsarev, A.; Romanovskaya, E.; Podolskaya, E.; Zhukov, V.; et al. Bringing New Methods to the Seed Proteomics Platform: Challenges and Perspectives. Int. J. Mol. Sci. 2020, 21, 9162. [Google Scholar] [CrossRef] [PubMed]
- House, J.D.; Neufeld, J.; Leson, G. Evaluating the Quality of Protein from Hemp Seed (Cannabis sativa L.) Products Through the use of the Protein Digestibility-Corrected Amino Acid Score Method. J. Agric. Food Chem. 2010, 58, 11801–11807. [Google Scholar] [CrossRef] [PubMed]
- Boye, J.I.; Barbana, C. Protein Processing in Food and Bioproduct Manufacturing and Techniques for Analysis. In Food and Industrial Bioproducts and Bioprocessing; Wiley: Hoboken, NJ, USA, 2012; pp. 85–113. [Google Scholar]
- Shen, P.; Gao, Z.; Xu, M.; Rao, J.; Chen, B. Physicochemical and structural properties of proteins extracted from dehulled industrial hempseeds: Role of defatting process and precipitation pH. Food Hydrocoll. 2020, 108, 106065. [Google Scholar] [CrossRef]
- Chen, H.; Xu, B.; Wang, Y.; Li, W.; He, D.; Zhang, Y.; Zhang, X.; Xing, X. Emerging natural hemp seed proteins and their functions for nutraceutical applications. Food Sci. Hum. Wellness 2023, 12, 929–941. [Google Scholar] [CrossRef]
- Liu, M.; Toth, J.A.; Childs, M.; Smart, L.B.; Abbaspourrad, A. Composition and functional properties of hemp seed protein isolates from various hemp cultivars. J. Food Sci. 2023, 88, 942–951. [Google Scholar] [CrossRef]
- Liu, M.; Childs, M.; Loos, M.; Taylor, A.; Smart, L.B.; Abbaspourrad, A. The effects of germination on the composition and functional properties of hemp seed protein isolate. Food Hydrocoll. 2023, 134, 108085. [Google Scholar] [CrossRef]
- Potin, F.; Lubbers, S.; Husson, F.; Saurel, R. Hemp (Cannabis sativa L.) Protein Extraction Conditions Affect Extraction Yield and Protein Quality. J. Food Sci. 2019, 84, 3682–3690. [Google Scholar] [CrossRef]
- Fang, B.; Gu, Z.; Ohm, J.-B.; Chen, B.; Rao, J. Reverse micelles extraction of hemp protein isolate: Impact of defatting process on protein structure, functionality, and aromatic profile. Food Hydrocoll. 2023, 135, 108158. [Google Scholar] [CrossRef]
- Angelovici, R.; Galili, G.; Fernie, A.R.; Fait, A. Seed desiccation: A bridge between maturation and germination. Trends Plant Sci. 2010, 15, 211–218. [Google Scholar] [CrossRef]
- Docimo, T.; Caruso, I.; Ponzoni, E.; Mattana, M.; Galasso, I. Molecular characterization of edestin gene family in Cannabis sativa L. Plant Physiol. Biochem. 2014, 84, 142–148. [Google Scholar] [CrossRef]
- Hajduch, M.; Matusova, R.; Houston, N.L.; Thelen, J.J. Comparative proteomics of seed maturation in oilseeds reveals differences in intermediary metabolism. Proteomics 2011, 11, 1619–1629. [Google Scholar] [CrossRef] [PubMed]
- Nikiforidis, C.V. Structure and functions of oleosomes (oil bodies). Adv. Colloid. Interface Sci. 2019, 274, 102039. [Google Scholar] [CrossRef] [PubMed]
- Garcia, F.L.; Ma, S.; Dave, A.; Acevedo-Fani, A. Structural and Physicochemical Characteristics of Oil Bodies from Hemp Seeds (Cannabis sativa L.). Foods 2021, 10, 2930. [Google Scholar] [CrossRef] [PubMed]
- Lopez, C.; Novales, B.; Rabesona, H.; Weber, M.; Chardot, T.; Anton, M. Deciphering the properties of hemp seed oil bodies for food applications: Lipid composition, microstructure, surface properties and physical stability. Food Res. Int. 2021, 150, 110759. [Google Scholar] [CrossRef] [PubMed]
- Puri, M.; Kaur, I.; Perugini, M.A.; Gupta, R.C. Ribosome-inactivating proteins: Current status and biomedical applications. Drug Discov. Today 2012, 17, 774–783. [Google Scholar] [CrossRef] [PubMed]
- Bolognesi, A.; Bortolotti, M.; Maiello, S.; Battelli, M.G.; Polito, L. Ribosome-Inactivating Proteins from Plants: A Historical Overview. Molecules 2016, 21, 1627. [Google Scholar] [CrossRef] [PubMed]
- Citores, L.; Iglesias, R.; Ferreras, J.M. Antiviral Activity of Ribosome-Inactivating Proteins. Toxins 2021, 13, 80. [Google Scholar] [CrossRef]
- Kim, E.-S.; Kwon, T.-H.; Park, S.-H. Structural Characteristics of Shells in a Fibrous Cultivar of Cannabis sativa L. J. Nat. Fibers 2023, 20, 2216951. [Google Scholar] [CrossRef]
- Shen, P.; Gao, Z.; Xu, M.; Ohm, J.-B.; Rao, J.; Chen, B. The impact of hempseed dehulling on chemical composition, structure properties and aromatic profile of hemp protein isolate. Food Hydrocoll. 2020, 106, 105889. [Google Scholar] [CrossRef]
- Sharma, S.; Tamilselvan, T.; Shakeb, M.; Prabhasankar, P. Hydrothermal treatment of hemp seeds (Cannabis sativa L.): Impact on its dehulling yield, fatty acid profile and nutritional characteristics. J. Sci. Food Agric. 2023, 103, 2681–2689. [Google Scholar] [CrossRef] [PubMed]
- Laemmli, U.K. Cleavage of Structural Proteins during the Assembly of the Head of Bacteriophage T4. Nature 1970, 227, 680–685. [Google Scholar] [CrossRef] [PubMed]
- Wiśniewski, J.R.; Zougman, A.; Nagaraj, N.; Mann, M. Universal sample preparation method for proteome analysis. Nat. Methods 2009, 6, 359–362. [Google Scholar] [CrossRef]
- Cox, J.; Mann, M. MaxQuant enables high peptide identification rates, individualized p.p.b.-range mass accuracies and proteome-wide protein quantification. Nat. Biotechnol. 2008, 26, 1367–1372. [Google Scholar] [CrossRef]
- Cox, J.; Neuhauser, N.; Michalski, A.; Scheltema, R.A.; Olsen, J.V.; Mann, M. Andromeda: A Peptide Search Engine Integrated into the MaxQuant Environment. J. Proteome Res. 2011, 10, 1794–1805. [Google Scholar] [CrossRef]


| Material | Cultivar | Variant | Dry Matter Content (% FM) | Protein Content (% DM) | Fat Content (% DM) |
|---|---|---|---|---|---|
| Original | Uso-31 | whole seeds | 92.01 ± 0.07 b | 25.79 ± 1.68 e | 29.40 ± 0.87 b |
| hulls | 91.57 ± 0.13 bc | 13.40 ± 0.16 h | 6.19 ± 0.19 d | ||
| dehulled seeds | 94.84 ± 0.07 a | 35.35 ± 0.07 d | 49.07 ± 0.41 a | ||
| Santhica 27 | whole seeds | 91.39 ± 0.05 bc | 27.74 ± 1.70 e | 28.65 ± 0.63 b | |
| hulls | 91.39 ± 0.86 bc | 19.20 ± 0.62 g | 15.43 ± 0.92 c | ||
| dehulled seeds | 93.87 ± 0.62 a | 35.61 ± 0.31 cd | 49.34 ± 0.79 a | ||
| Defatted | Uso-31 | whole seeds | 89.96 ± 0.17 d | 37.85 ± 0.83 c | 1.18 ± 0.26 e |
| hulls | 91.19 ± 0.09 bc | 17.08 ± 0.18 g | 0.05 ± 0.09 e | ||
| dehulled seeds | 91.38 ± 0.25 bc | 71.74 ± 0.15 a | 0.27 ± 0.15 e | ||
| Santhica 27 | whole seeds | 89.76 ± 0.06 d | 35.83 ± 0.89 cd | 0.64 ± 0.13 e | |
| hulls | 90.63 ± 0.20 cd | 21.79 ± 0.21 f | 0.23 ± 0.19 e | ||
| dehulled seeds | 90.09 ± 0.25 d | 68.50 ± 0.44 b | 0.04 ± 0.04 e |
| Accession | Protein Name | Mol. Mass (Da) | Protein Families | Biological Process—Molecular Function—Cellular Component |
|---|---|---|---|---|
| Seed storage proteins (SP) | ||||
| A0A7J6GWL5 | Cupin type-1 domain-containing protein | 109,151 | 11S seed storage protein—globulins family | x—nutrient reservoir activity—x |
| A0A7J6DTA7 | Cupin type-1 domain-containing protein | 52,031 | 11S seed storage protein—globulins family | x—nutrient reservoir activity—x |
| A0A7J6E205 | Cupin type-1 domain-containing protein | 62,389 | 11S seed storage protein—globulins family | x—nutrient reservoir activity—membrane |
| A0A7J6H2R3 | Cupin type-1 domain-containing protein | 108,332 | x—x—membrane | |
| A0A7J6GLH5 | Cupin type-1 domain-containing protein | 108,083 | x—x—membrane | |
| A0A7J6HAT3 | Cupin type-1 domain-containing protein | 25,314 | x—x—x | |
| A0A7J6G321 | Cupin type-1 domain-containing protein | 55,360 | x—x—x | |
| A0A7J6H292 | Bifunctional inhibitor/plant lipid transfer protein/seed storage helical domain-containing protein | 16,752 | 2S seed storage albumins family; Plant LTP family | x—lipid binding; nutrient reservoir activity—x |
| A0A7J6DXD1 | Bifunctional inhibitor/plant lipid transfer protein/seed storage helical domain-containing protein | 17,558 | 2S seed storage albumins family; Plant LTP family | x—lipid binding; nutrient reservoir activity—x |
| Oleosins (OL) | ||||
| A0A7J6EJ89 | Oleosin | 15,410 | Oleosin family | reproductive process; post-embryonic development—x—membrane; monolayer-surrounded lipid storage body |
| A0A7J6F0Y4 | Oleosin | 17,355 | Oleosin family | reproductive process; post-embryonic development—x—membrane; monolayer-surrounded lipid storage body |
| A0A7J6H4F6 | Oleosin | 16,884 | Oleosin family | reproductive process; post-embryonic development—x—membrane; monolayer-surrounded lipid storage body |
| Other membrane components (MC) | ||||
| A0A7J6I425 | Verticillium wilt resistance-like protein | 124,317 | Receptor-like protein family | x—x—plasma membrane |
| A0A7J6F280 | Peroxygenase | 27,243 | Caleosin family | x—x—membrane |
| A0A7J6G6U3 | Uncharacterized protein | 71,299 | x—oxidoreductase activity—membrane | |
| A0A7J6DNR1 | Uncharacterized protein | 64,236 | x—x—membrane | |
| A0A7J6DPR7 | Uncharacterized protein | 20,132 | x—x—membrane | |
| A0A7J6ENC9 | Uncharacterized protein | 19,908 | x—transmembrane transporter activity—membrane | |
| A0A7J6GSC3 | Aquaporin TIP3-2 | 27,504 | MIP/aquaporin (TC 1.A.8) family | x—channel activity—membrane |
| A0A7J6I7S9 | Uncharacterized protein | 41,884 | x—x—membrane | |
| Proteins involved in energy and metabolism (EM) | ||||
| A0A7J6G6Z3 | Glyceraldehyde 3-phosphate dehydrogenase NAD(P) binding domain-containing protein | 31,874 | Glyceraldehyde-3-phosphate dehydrogenase family | x—NAD binding; oxidoreductase activity, acting on the aldehyde or oxo group of donors, NAD or NADP as acceptor —x |
| A0A7J6E4U9 | Triose-phosphate isomerase | 30,435 | Triosephosphate isomerase family | glycolytic process—triose-phosphate isomerase activity—x |
| A0A7J6EFG0 | Uncharacterized protein | 46,262 | x—oxidoreductase activity—x | |
| A0A7J6EJG0 | Protein disulfide-isomerase | 56,660 | Protein disulfide isomerase family | x—protein disulfide isomerase activity—endoplasmic reticulum lumen |
| A0A7J6E5J2 | Fructose-bisphosphate aldolase | 38,370 | Class I fructose-bisphosphate aldolase family | glycolytic process—fructose-bisphosphate aldolase activity—x |
| A0A7J6EZ77 | Malate dehydrogenase | 36,570 | LDH/MDH superfamily, MDH type 1 family | malate metabolic process; tricarboxylic acid cycle—L-malate dehydrogenase activity—x |
| A0A7J6HK40 | Glyceraldehyde 3-phosphate dehydrogenase NAD(P) binding domain-containing protein | 31,950 | Glyceraldehyde-3-phosphate dehydrogenase family | x—NAD binding; oxidoreductase activity, acting on the aldehyde or oxo group of donors, NAD or NADP as acceptor—x |
| A0A7J6GRW8 | Phosphopyruvate hydratase | 46,384 | Enolase family | glycolytic process—magnesium ion binding; phosphopyruvate hydratase activity—phosphopyruvate hydratase complex |
| A0A7J6EG53 | Peptidyl-prolyl cis-trans isomerase | 18,171 | Cyclophilin-type PPIase family | protein folding; protein peptidyl-prolyl isomerization—peptidyl-prolyl cis-trans isomerase activity—x |
| A0A7J6FNP6 | Malate synthase | 63,098 | Malate synthase family | glyoxylate cycle; tricarboxylic acid cycle—malate synthase activity—glyoxysome |
| A0A7J6E8J3 | Malate dehydrogenase | 36,478 | LDH/MDH superfamily, MDH type 2 family | malate metabolic process; tricarboxylic acid cycle; malate metabolic process; tricarboxylic acid cycle—L-malate dehydrogenase activity—membrane |
| A0A7J6DST1 | NADP-dependent oxidoreductase domain-containing protein | 38,559 | Aldo/keto reductase family | x—oxidoreductase activity—x |
| A0A7J6HKH5 | Nucleoside-diphosphate kinase | 16,290 | NDK family | CTP biosynthetic process; GTP biosynthetic process; UTP biosynthetic process—nucleoside diphosphate kinase activity—x |
| A0A7J6HTX3 | Tyrosinase copper-binding domain-containing protein | 66,851 | Tyrosinase family | pigment biosynthetic process—catechol oxidase activity; metal ion binding—x |
| A0A7J6HQA0 | NADH-cytochrome b5 reductase | 31,100 | Flavoprotein pyridine nucleotide cytochrome reductase family | x—cytochrome-b5 reductase activity, acting on NAD(P)H—membrane |
| Stress response and defence proteins (SD) | ||||
| A0A7J6DVP5 | rRNA N-glycosylase | 28,760 | Ribosome-inactivating protein family | defence response; negative regulation of translation—rRNA N-glycosylase activity; toxin activity—x |
| A0A7J6FXL4 | Dehydrin | 29,312 | Plant dehydrin family | response to abscisic acid; response to cold; response to water deprivation—metal ion binding—x |
| A0A7J6I6U6 | Uncharacterized protein | 59,963 | LEA type 4 family | x—x—x |
| A0A7J6G382 | Uncharacterized protein | 17,523 | Small heat shock protein (HSP20) family | response to stress—x—x |
| A0A7J6HZ01 | Annexin | 36,065 | Annexin family | response to stress—calcium ion binding; calcium-dependent phospholipid binding—x |
| A0A7J6I4E9 | 18 kDa seed maturation protein | 15,710 | LEA type 1 family | embryo development ending in seed dormancy—x—x |
| A0A7J6FL33 | Late embryogenesis abundant protein D-29 | 30,417 | x—x—x | |
| A0A7J6GTA4 | SHSP domain-containing protein | 17,897 | Small heat shock protein (HSP20) family | x—x—x |
| A0A7J6FPH5 | Lactoylglutathione lyase | 32,764 | Glyoxalase I family | x—lactoylglutathione lyase activity; metal ion binding—x |
| A0A7J6DT98 | Peroxiredoxin | 24,133 | Peroxiredoxin family, Prx6 subfamily | x—thioredoxin-dependent peroxiredoxin activity—x |
| A0A7J6GJC9 | Dehydroascorbate reductase | 23,719 | GST superfamily, DHAR family | ascorbate glutathione cycle—glutathione dehydrogenase (ascorbate) activity; glutathione transferase activity—x |
| A0A7J6F3P9 | Catalase | 57,402 | Catalase family | hydrogen peroxide catabolic process; response to oxidative stress—catalase activity; heme binding; metal ion binding—x |
| A0A7J6HTR6 | Glutaredoxin domain-containing protein | 14,424 | Glutaredoxin family, CPYC subfamily | x—x—x |
| A0A7J6FRN5 | Alcohol dehydrogenase | 41,112 | Zinc-containing alcohol dehydrogenase family | x—oxidoreductase activity; zinc ion binding—x |
| Proteins related to DNA and RNA metabolism (DM) | ||||
| A0A7J6EYT6 | PPC domain-containing protein | 30,708 | x—minor groove of adenine-thymine-rich DNA binding—x | |
| A0A7J6E9G4 | Histone H4 | 11,409 | Histone H4 family | x—DNA binding; protein heterodimerization activity; structural constituent of chromatin—nucleosome; nucleus |
| A0A7J6E6Z7 | Histone H2A | 15,148 | Histone H2A family | x—DNA binding; protein heterodimerization activity; structural constituent of chromatin—nucleosome; nucleus |
| A0A7J6E9K3 | Histone H2B | 16,235 | Histone H2B family | x—DNA binding; protein heterodimerization activity; structural constituent of chromatin —nucleosome; nucleus |
| A0A7J6HBN5 | ATP-dependent RNA helicase | 33,486 | DEAD box helicase family | x—ATP binding; hydrolase activity; RNA binding; RNA helicase activity—x |
| Translation-related proteins (TR) | ||||
| A0A7J6HCW3 | Elongation factor 1-alpha | 49,259 | TRAFAC class translation factor GTPase superfamily, Classic translation factor GTPase family, EF-Tu/EF-1A subfamily | x—GTP binding; GTPase activity; translation elongation factor activity—x |
| A0A7J6GTP8 | 60S acidic ribosomal protein P0 | 33,920 | Universal ribosomal protein uL10 family | ribosome biogenesis—x—ribonucleoprotein complex; ribosome |
| A0A7J6HHK4 | Translation elongation factor EF1B beta/delta subunit guanine nucleotide exchange domain-containing protein | 25,124 | EF-1-beta/EF-1-delta family | x—translation elongation factor activity—eukaryotic translation elongation factor 1 complex |
| A0A7J6F1D8 | KH type-2 domain-containing protein | 28,920 | Universal ribosomal protein uS3 family | translation—RNA binding; structural constituent of ribosome—ribonucleoprotein complex; ribosome |
| A0A7J6HVI4 | Ribosomal_L28e domain-containing protein | 16,563 | Eukaryotic ribosomal protein eL28 family | translation—structural constituent of ribosome—ribonucleoprotein complex; ribosome |
| A0A7J6E6C3 | Ribosomal protein L7 | 30,458 | Universal ribosomal protein uL30 family | maturation of LSU-rRNA from tricistronic rRNA transcript (SSU-rRNA, 5.8S rRNA, LSU-rRNA)—structural constituent of ribosome—cytosolic large ribosomal subunit |
| A0A7J6I4S9 | Ribosomal protein L6 N-terminal domain-containing protein | 25,942 | Eukaryotic ribosomal protein eL6 family | translation—structural constituent of ribosome—ribonucleoprotein complex; ribosome |
| A0A7J6I083 | 60S acidic ribosomal protein P1 | 16,784 | Eukaryotic ribosomal protein P1/P2 family | translational elongation—structural constituent of ribosome—ribonucleoprotein complex6; ribosome |
| A0A7J6F1J9 | 40S ribosomal protein S14 | 16,389 | Universal ribosomal protein uS11 family | translation—structural constituent of ribosome—ribonucleoprotein complex; ribosome |
| A0A7J6GA02 | Ribosomal_S7 domain-containing protein | 22,343 | Universal ribosomal protein uS7 family | translation—RNA binding; structural constituent of ribosome—small ribosomal subunit |
| A0A7J6G6F9 | 60S ribosomal protein L22-2; peroxidase | 14,052 | Eukaryotic ribosomal protein eL22 family; Peroxidase family | translation; hydrogen peroxide catabolic process; response to oxidative stress—structural constituent of ribosome; heme binding; lactoperoxidase activity—ribonucleoprotein complex; ribosome; extracellular region |
| A0A7J6I796 | 60S ribosomal protein L12 | 17,790 | Universal ribosomal protein uL11 family | translation—structural constituent of ribosome—ribonucleoprotein complex; ribosome |
| A0A7J6HT66 | 40S ribosomal protein S9-2 | 23,142 | Universal ribosomal protein uS4 family | translation—rRNA binding; structural constituent of ribosome—small ribosomal subunit |
| A0A7J6ENY3 | RRM domain-containing protein | 11,250 | x—nucleic acid binding—x | |
| A0A7J6FAW9 | 40S ribosomal protein S18 | 17,635 | Universal ribosomal protein uS13 family | translation—rRNA binding; structural constituent of ribosome—ribonucleoprotein complex; ribosome |
| A0A7J6I9M7 | Ribosomal_L18e/L15P domain-containing protein | 20,840 | Eukaryotic ribosomal protein eL18 family | translation—mRNA binding; structural constituent of ribosome—ribonucleoprotein complex; ribosome |
| A0A7J6FX59 | KOW domain-containing protein | 16,767 | Universal ribosomal protein uL24 family | translation—RNA binding; structural constituent of ribosome—large ribosomal subunit |
| A0A7J6F744 | Ribosomal_L14e domain-containing protein | 15,331 | Eukaryotic ribosomal protein eL14 family | translation—RNA binding; structural constituent of ribosome—ribosome |
| A0A7J6E9P9 | 60S ribosomal protein L27 | 15,794 | Eukaryotic ribosomal protein eL27 family | translation—structural constituent of ribosome—ribonucleoprotein complex; ribosome |
| A0A7J6H424 | 50S ribosomal protein L23, chloroplastic | 17,400 | Universal ribosomal protein uL23 family; DHBP synthase family | translation; riboflavin biosynthetic process—mRNA binding; rRNA binding; structural constituent of ribosome; 3,4-dihydroxy-2-butanone-4-phosphate synthase activity; GTP binding—ribonucleoprotein complex; ribosome |
| A0A7J6EFK0 | 40S ribosomal protein S17 | 16,185 | Eukaryotic ribosomal protein eS17 family | translation—structural constituent of ribosome—ribonucleoprotein complex; ribosome |
| A0A7J6G5C7 | 60S ribosomal protein L23 | 14,997 | Universal ribosomal protein uL14 family | translation—structural constituent of ribosome—ribonucleoprotein complex; ribosome |
| A0A7J6GWW0 | 40S ribosomal protein S26 | 14,763 | Eukaryotic ribosomal protein eS26 family | translation—structural constituent of ribosome; nucleotidyltransferase activity—ribonucleoprotein complex; ribosome |
| A0A7J6E4Y6 | 60S acidic ribosomal protein P3 | 11,903 | Eukaryotic ribosomal protein P1/P2 family | translational elongation—structural constituent of ribosome—ribonucleoprotein complex; ribosome |
| Proteins related to photosynthesis (PS) | ||||
| A0A7J6GUI2 | Chlorophyll a-b binding protein, chloroplastic | 28,276 | Light-harvesting chlorophyll a/b-binding (LHC) protein family | photosynthesis; light harvesting—chlorophyll binding—chloroplast thylakoid membrane; photosystem I; photosystem II |
| A0A7J6GSM8 | Chlorophyll a-b binding protein, chloroplastic | 28,429 | Light-harvesting chlorophyll a/b-binding (LHC) protein family | photosynthesis, light harvesting—chlorophyll binding—chloroplast thylakoid membrane; photosystem I; photosystem II |
| Cytoskeleton and transport proteins (CT) | ||||
| A0A7J6I6X2 | MD-2-related lipid-recognition domain-containing protein | 16,057 | intracellular sterol transport—sterol binding—x | |
| A0A7J6I828 | Actin | 41,726 | Actin family | x—ATP binding—cytoplasm; cytoskeleton |
| A0A0M5M1Z3 | ATP synthase subunit alpha | 55,324 | ATPase alpha/beta chains family | actin filament bundle assembly; actin filament capping—actin filament binding; ATP binding; proton-transporting ATP synthase activity, rotational mechanism—mitochondrial inner membrane; proton-transporting ATP synthase complex, catalytic core F(1) |
| Uncharacterised proteins (UP) | ||||
| A0A7J6FR97 | Uncharacterized protein | 35,774 | x—x—x | |
| A0A7J6FP03 | Uncharacterized protein | 16,800 | x—x—x | |
| A0A7J6I334 | Uncharacterized protein | 15,922 | x—x—x | |
| A0A7J6GUW7 | Uncharacterized protein | 13,786 | x—x—x | |
| A0A7J6HWC7 | Uncharacterized protein | 17,135 | x—x—x | |
| Accession | Protein Name | Uso-31 | Santhica 27 | ||||
|---|---|---|---|---|---|---|---|
| Whole Seed | Hulls | Dehulled Seeds | Whole Seed | Hulls | Dehulled Seeds | ||
| A0A7J6GWL5 | Cupin type-1 domain-containing protein | 292,953 abc | 249,256 cd | 301,796 ab | 265,551 bcd | 225,575 d | 316,781 a |
| A0A7J6DTA7 | Cupin type-1 domain-containing protein | 336,178 ab | 290,488 bc | 358,906 a | 319,042 abc | 278,002 c | 350,150 a |
| A0A7J6E205 | Cupin type-1 domain-containing protein | 2991 b | 734 c | 5698 a | 1767 bc | 1546 bc | 2397 b |
| A0A7J6H2R3 | Cupin type-1 domain-containing protein | 6299 ab | 7324 a | 6399 ab | 5745 b | 6426 ab | 6214 ab |
| A0A7J6GLH5 | Cupin type-1 domain-containing protein | 3410 a | 3532 a | 3127 a | 2708 a | 2851 a | 2780 a |
| A0A7J6HAT3 | Cupin type-1 domain-containing protein | 5750 bc | 7593 a | 5372 c | 5890 bc | 6958 ab | 5461 c |
| A0A7J6G321 | Cupin type-1 domain-containing protein | 16,117 b | 18,916 a | 15,978 b | 10,262 d | 13,227 c | 10,338 d |
| A0A7J6H292 | Bifunctional inhibitor/plant lipid transfer protein/seed storage helical domain-containing protein | 19,306 a | 21,984 a | 17,488 a | 15,188 a | 12,731 a | 15,075 a |
| A0A7J6DXD1 | Bifunctional inhibitor/plant lipid transfer protein/seed storage helical domain-containing protein | 1052 ab | 817 bc | 1297 a | 929 bc | 681 c | 909 bc |
| A0A7J6EJ89 | Oleosin | 16,729 bc | 7800 d | 26,828 a | 12,215 cd | 10,393 cd | 21,992 ab |
| A0A7J6F0Y4 | Oleosin | 40,499 a | 41,904 a | 38,200 a | 38,126 a | 44,509 a | 38,168 a |
| A0A7J6H4F6 | Oleosin | 25,020 a | 25,250 a | 29,762 a | 24,470 a | 28,268 a | 28,554 a |
| A0A7J6I425 | Verticillium wilt resistance-like protein | 988 a | 1458 a | 1525 a | 1547 a | 1874 a | 1371 a |
| A0A7J6F280 | Peroxygenase | 4675 ab | 5415 a | 4283 b | 4015 b | 4225 b | 4176 b |
| A0A7J6G6U3 | Uncharacterized protein | 1205 a | 1115 ab | 1164 a | 749 c | 898 bc | 721 c |
| A0A7J6DNR1 | Uncharacterized protein | 145 b | 81 b | 52 b | 13,567 a | 16,616 a | 95 b |
| A0A7J6DPR7 | Uncharacterized protein | 1549 ab | 1264 bc | 1966 a | 703 d | 775 d | 968 cd |
| A0A7J6ENC9 | Uncharacterized protein | 1498 c | 2198 ab | 1177 c | 1561 bc | 2410 a | 1395 c |
| A0A7J6GSC3 | Aquaporin TIP3-2 | 2236 a | 2728 a | 2585 a | 3037 a | 3023 a | 2988 a |
| A0A7J6I7S9 | Uncharacterized protein | 2546 abc | 824 d | 3336 a | 1959 bc | 1464 cd | 2655 ab |
| A0A7J6G6Z3 | Glyceraldehyde 3-phosphate dehydrogenase NAD(P) binding domain-containing protein | 3130 bc | 4596 a | 2123 c | 3207 bc | 4012 ab | 2765 c |
| A0A7J6E4U9 | Triose-phosphate isomerase | 2120 a | 2489 a | 1862 a | 1912 a | 2233 a | 2080 a |
| A0A7J6EFG0 | Uncharacterized protein | 2577 b | 3347 a | 2398 b | 1993 cd | 2455 b | 1774 d |
| A0A7J6EJG0 | Protein disulfide-isomerase | 948 bc | 1218 ab | 823 c | 1315 ab | 1597 a | 1239 ab |
| A0A7J6E5J2 | Fructose-bisphosphate aldolase | 1637 cd | 2756 b | 1158 d | 2346 b | 3594 a | 1745 c |
| A0A7J6EZ77 | Malate dehydrogenase | 999 bc | 1648 a | 732 c | 1154 b | 1552 a | 836 bc |
| A0A7J6HK40 | Glyceraldehyde 3-phosphate dehydrogenase NAD(P) binding domain-containing protein | 926 ab | 1276 a | 684 b | 898 ab | 1277 a | 702 b |
| A0A7J6GRW8 | Phosphopyruvate hydratase | 701 bc | 1043 a | 638 c | 807 b | 1142 a | 560 c |
| A0A7J6EG53 | Peptidyl-prolyl cis-trans isomerase | 4223 b | 6554 a | 3436 b | 3861 b | 6019 a | 3035 b |
| A0A7J6FNP6 | Malate synthase | 816 bc | 1225 a | 591 d | 878 b | 1284 a | 667 cd |
| A0A7J6E8J3 | Malate dehydrogenase | 995 bc | 1289 ab | 730 c | 1129 bc | 1792 a | 939 bc |
| A0A7J6DST1 | NADP-dependent oxidoreductase domain-containing protein | 7132 a | 5649 ab | 7532 a | 1840 b | 5212 ab | 7102 a |
| A0A7J6HKH5 | Nucleoside-diphosphate kinase | 1096 b | 1555 a | 539 c | 1050 b | 1602 a | 802 bc |
| A0A7J6HTX3 | Tyrosinase copper-binding domain-containing protein | 266 d | 1265 b | 1 e | 611 c | 1660 a | 10 e |
| A0A7J6HQA0 | NADH-cytochrome b5 reductase | 959 bc | 1153 ab | 340 d | 1244 ab | 1389 a | 607 cd |
| A0A7J6DVP5 | rRNA N-glycosylase | 485 bc | 2044 a | 60 d | 331 c | 584 b | 71 d |
| A0A7J6FXL4 | Dehydrin | 1169 a | 983 a | 1413 a | 1457 a | 1723 a | 1265 a |
| A0A7J6I6U6 | Uncharacterized protein | 877 b | 1277 a | 711 bc | 840 bc | 1297 a | 634 c |
| A0A7J6G382 | Uncharacterized protein | 5578 b | 7698 a | 4057 c | 2919 de | 3976 cd | 2535 e |
| A0A7J6HZ01 | Annexin | 1282 bc | 1481 b | 1040 cd | 1193 cd | 1791 a | 961 d |
| A0A7J6I4E9 | 18 kDa seed maturation protein | 3226 abc | 3796 a | 2444 bc | 3612 a | 3344 ab | 2104 c |
| A0A7J6FL33 | Late embryogenesis abundant protein D-29 | 2567 b | 2793 b | 1986 b | 2815 b | 3770 a | 2076 b |
| A0A7J6GTA4 | SHSP domain-containing protein | 1359 b | 2012 a | 1083 c | 693 de | 929 cd | 536 e |
| A0A7J6FPH5 | Lactoylglutathione lyase | 2462 ab | 2739 a | 1947 c | 2097 bc | 2472 ab | 1897 c |
| A0A7J6DT98 | Peroxiredoxin | 3473 bc | 4054 b | 2623 c | 4150 b | 6328 a | 3130 bc |
| A0A7J6GJC9 | Dehydroascorbate reductase | 868 a | 1052 a | 703 ab | 480 b | 733 ab | 724 ab |
| A0A7J6F3P9 | Catalase | 600 bc | 1393 a | 323 d | 777 b | 1421 a | 399 cd |
| A0A7J6HTR6 | Glutaredoxin domain-containing protein | 2690 ab | 1809 b | 3306 a | 2262 ab | 2009 ab | 2969 ab |
| A0A7J6FRN5 | Alcohol dehydrogenase | 843 b | 1160 a | 620 cd | 690 bc | 1129 a | 452 d |
| A0A7J6EYT6 | PPC domain-containing protein | 1681 b | 1234 b | 2057 b | 14,310 a | 1344 b | 2149 b |
| A0A7J6E9G4 | Histone H4 | 4793 cd | 9218 a | 3183 e | 5008 c | 7431 b | 3664 de |
| A0A7J6E6Z7 | Histone H2A | 1523 cd | 3063 a | 829 d | 1950 bc | 2576 ab | 1207 cd |
| A0A7J6E9K3 | Histone H2B | 1251 bc | 1921 a | 1166 bc | 1116 bc | 1558 ab | 858 c |
| A0A7J6HBN5 | ATP-dependent RNA helicase | 686 d | 1147 b | 464 e | 821 c | 1293 a | 655 d |
| A0A7J6HCW3 | Elongation factor 1-alpha | 2695 bc | 3321 ab | 2066 c | 2668 bc | 3676 a | 2345 c |
| A0A7J6GTP8 | 60S acidic ribosomal protein P0 | 882 cd | 1325 b | 749 d | 1117 bc | 1698 a | 825 cd |
| A0A7J6HHK4 | Translation elongation factor EF1B beta/delta subunit guanine nucleotide exchange domain-containing protein | 811 abc | 946 ab | 593 c | 932 ab | 1065 a | 749 bc |
| A0A7J6F1D8 | KH type-2 domain-containing protein | 696 de | 899 bc | 515 e | 973 b | 1239 a | 727 cd |
| A0A7J6HVI4 | Ribosomal_L28e domain-containing protein | 1077 bc | 1341 ab | 728 c | 1301 abc | 1864 a | 1283 abc |
| A0A7J6E6C3 | Ribosomal protein L7 | 691 cd | 1031 ab | 530 d | 854 bc | 1163 a | 618 d |
| A0A7J6I4S9 | Ribosomal protein L6 N-terminal domain-containing protein | 620 cd | 815 b | 562 d | 759 bc | 1061 a | 636 bcd |
| A0A7J6I083 | 60S acidic ribosomal protein P1 | 753 d | 977 bc | 803 cd | 1045 ab | 1204 a | 854 bcd |
| A0A7J6F1J9 | 40S ribosomal protein S14 | 1583 bc | 1859 b | 1190 c | 1582 bc | 2413 a | 1300 c |
| A0A7J6GA02 | Ribosomal_S7 domain-containing protein | 804 ab | 893 ab | 593 b | 703 b | 1360 a | 683 b |
| A0A7J6G6F9 | 60S ribosomal protein L22-2; peroxidase | 1520 bc | 1897 ab | 1152 c | 1664 bc | 2307 a | 1241 c |
| A0A7J6I796 | 60S ribosomal protein L12 | 869 bc | 1133 ab | 685 c | 948 bc | 1279 a | 785 c |
| A0A7J6HT66 | 40S ribosomal protein S9-2 | 915 b | 1336 a | 544 c | 961 b | 1286 a | 728 bc |
| A0A7J6ENY3 | RRM domain-containing protein | 397 b | 1022 a | 403 b | 1068 a | 1321 a | 525 b |
| A0A7J6FAW9 | 40S ribosomal protein S18 | 733 b | 1031 ab | 673 b | 1000 ab | 1212 a | 806 b |
| A0A7J6I9M7 | Ribosomal_L18e/L15P domain-containing protein | 886 bcd | 1093 b | 663 d | 936 bc | 1458 a | 793 cd |
| A0A7J6FX59 | KOW domain-containing protein | 982 ab | 955 ab | 815 b | 804 b | 1453 a | 953 ab |
| A0A7J6F744 | Ribosomal_L14e domain-containing protein | 1065 b | 1480 a | 683 c | 1047 b | 1470 a | 929 bc |
| A0A7J6E9P9 | 60S ribosomal protein L27 | 835 b | 1374 a | 767 b | 1211 a | 1216 a | 951 b |
| A0A7J6H424 | 50S ribosomal protein L23, chloroplastic | 782 ab | 767 ab | 662 b | 784 ab | 1018 a | 777 ab |
| A0A7J6EFK0 | 40S ribosomal protein S17 | 607 bc | 793 b | 545 c | 726 bc | 1017 a | 589 bc |
| A0A7J6G5C7 | 60S ribosomal protein L23 | 651 b | 603 bc | 371 c | 805 ab | 1065 a | 647 b |
| A0A7J6GWW0 | 40S ribosomal protein S26 | 880 bc | 1124 ab | 722 c | 1100 ab | 1460 a | 826 bc |
| A0A7J6E4Y6 | 60S acidic ribosomal protein P3 | 540 a | 570 a | 588 a | 759 a | 1068 a | 627 a |
| A0A7J6GUI2 | Chlorophyll a-b binding protein, chloroplastic | 434 bc | 2459 a | 54 c | 864 b | 2696 a | 155 bc |
| A0A7J6GSM8 | Chlorophyll a-b binding protein, chloroplastic | 1449 c | 6038 a | 203 d | 2560 b | 5606 a | 522 d |
| A0A7J6I6X2 | MD-2-related lipid-recognition domain-containing protein | 1140 a | 1477 a | 1082 a | 1430 a | 1696 a | 1194 a |
| A0A7J6I828 | Actin | 973 a | 1218 a | 928 a | 1019 a | 1255 a | 806 a |
| A0A0M5M1Z3 | ATP synthase subunit alpha | 549 bc | 1081 a | 377 d | 629 b | 1035 a | 405 cd |
| A0A7J6FR97 | Uncharacterized protein | 1215 a | 1071 a | 1257 a | 1047 a | 1123 a | 1174 a |
| A0A7J6FP03 | Uncharacterized protein | 12,415 ab | 14,264 a | 9720 b | 13,312 ab | 16,039 a | 10,073 b |
| A0A7J6I334 | Uncharacterized protein | 1235 bc | 1552 a | 852 d | 1149 cd | 1479 ab | 948 cd |
| A0A7J6GUW7 | Uncharacterized protein | 786 ab | 856 ab | 643 b | 777 ab | 1061 a | 692 b |
| A0A7J6HWC7 | Uncharacterized protein | 1506 cd | 2038 ab | 1028 d | 1570 bc | 2260 a | 1045 d |
Disclaimer/Publisher’s Note: The statements, opinions and data contained in all publications are solely those of the individual author(s) and contributor(s) and not of MDPI and/or the editor(s). MDPI and/or the editor(s) disclaim responsibility for any injury to people or property resulting from any ideas, methods, instructions or products referred to in the content. |
© 2023 by the authors. Licensee MDPI, Basel, Switzerland. This article is an open access article distributed under the terms and conditions of the Creative Commons Attribution (CC BY) license (https://creativecommons.org/licenses/by/4.0/).
Share and Cite
Bárta, J.; Roudnický, P.; Jarošová, M.; Zdráhal, Z.; Stupková, A.; Bártová, V.; Krejčová, Z.; Kyselka, J.; Filip, V.; Říha, V.; et al. Proteomic Profiles of Whole Seeds, Hulls, and Dehulled Seeds of Two Industrial Hemp (Cannabis sativa L.) Cultivars. Plants 2024, 13, 111. https://doi.org/10.3390/plants13010111
Bárta J, Roudnický P, Jarošová M, Zdráhal Z, Stupková A, Bártová V, Krejčová Z, Kyselka J, Filip V, Říha V, et al. Proteomic Profiles of Whole Seeds, Hulls, and Dehulled Seeds of Two Industrial Hemp (Cannabis sativa L.) Cultivars. Plants. 2024; 13(1):111. https://doi.org/10.3390/plants13010111
Chicago/Turabian StyleBárta, Jan, Pavel Roudnický, Markéta Jarošová, Zbyněk Zdráhal, Adéla Stupková, Veronika Bártová, Zlatuše Krejčová, Jan Kyselka, Vladimír Filip, Václav Říha, and et al. 2024. "Proteomic Profiles of Whole Seeds, Hulls, and Dehulled Seeds of Two Industrial Hemp (Cannabis sativa L.) Cultivars" Plants 13, no. 1: 111. https://doi.org/10.3390/plants13010111
APA StyleBárta, J., Roudnický, P., Jarošová, M., Zdráhal, Z., Stupková, A., Bártová, V., Krejčová, Z., Kyselka, J., Filip, V., Říha, V., Lorenc, F., Bedrníček, J., & Smetana, P. (2024). Proteomic Profiles of Whole Seeds, Hulls, and Dehulled Seeds of Two Industrial Hemp (Cannabis sativa L.) Cultivars. Plants, 13(1), 111. https://doi.org/10.3390/plants13010111

