Marker-Assisted Improvement for Durable Bacterial Blight Resistance in Aromatic Rice Cultivar HUR 917 Popular in Eastern Parts of India
Abstract
1. Introduction
2. Materials and Methods
2.1. Experimental Materials and Breeding Strategy
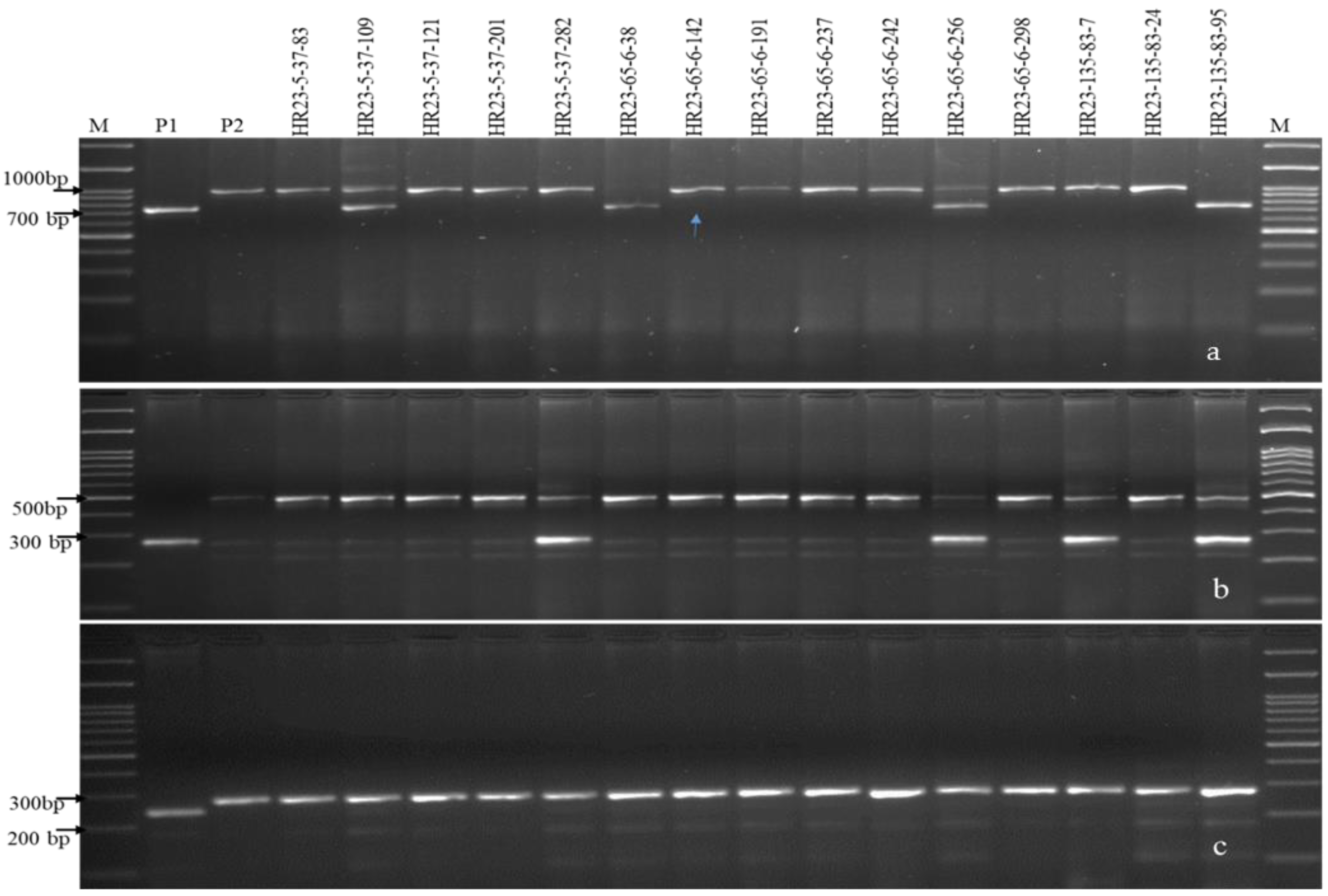
2.2. PCR and Marker Analysis
2.3. Disease Bioassay Analysis
2.4. Agro-Morpho Evaluation of NILs
3. Results
3.1. Molecular Characterization of Parents and Selection of Donor
3.2. MABB Based Trait Improvement for BB Resistant in HUR-917
3.3. Genome Introgression on the Carrier and Non-Carrier Chromosomes
3.4. Morphological Evaluation of NILs
3.5. Bioassay of the NILs for BB Resistance
4. Discussion
5. Conclusions
Supplementary Materials
Author Contributions
Funding
Institutional Review Board Statement
Informed Consent Statement
Data Availability Statement
Acknowledgments
Conflicts of Interest
References
- FAOSTAT. Rice Crop Data. 2018. Available online: http://www.fao.org/faostat/en/#data/QC (accessed on 12 March 2018).
- Khush, G.S.; Mackill, D.J.; Sidhu, G.S. Breeding Rice for Resistance to Bacterial Leaf Blight. In IRRI Bacterial Blight of Rice; IRRI: Manila, Philippines, 1989; pp. 207–217. [Google Scholar]
- Singh, A.; Gopalakrishnan, S.; Singh, V.; Prabhu, K.; Mohapatra, T.; Singh, N.; Sharma, T.; Nagarajan, M.; Vinod, K.K.; Singh, D.; et al. Marker assisted selection: A paradigm shift in Basmati breeding. Indian J. Genet. 2011, 71, 120–128. [Google Scholar]
- Rani, N.S.; Ahmed, M.I.; Krishnaveni, B. Screening rice hybrids for quality traits. Int. Rice Res. Notes 1998, 23, 4–5. [Google Scholar]
- Singh, V.K.; Singh, A.; Singh, S.P.; Ellur, R.K.; Choudhary, V.; Sarkel, S.; Singh, D.; Krishnan, S.G.; Nagarajan, M.; Vinod, K.K.; et al. Incorporation of blast resistance into “PRR78”, an elite Basmati rice restorer line, through marker assisted backcross breeding. Field Crop. Res. 2012, 128, 8–16. [Google Scholar] [CrossRef]
- Singh, R.K.; Gautam, P.L.; Saxena, S.; Singh, S. Scented Rice Germplasm: Conservation, Evaluation and Utilization. In Aromatic Rices; Singh, R.K., Singh, U.S., Khush, G.S., Eds.; Oxford & IBH Publishing Co. Pvt. Ltd.: New Delhi, India, 2000; pp. 107–133. [Google Scholar]
- Khush, G.S. What it will take to feed 5.0 billion rice consumers in 2030. Plant Mol. Biol. 2005, 59, 1–6. [Google Scholar] [CrossRef] [PubMed]
- Singh, G.P.; Singh, S.R.; Singh, R.V.; Singh, R.M. Variation and qualitative losses caused by bacterial blight in different rice varieties. Indian Phytopathol. 1997, 30, 180–185. [Google Scholar]
- IRRI. International Rice Research Institute, Rice Fact Sheet, Bacterial Blight. March 2010. Available online: https://download.ceris.purdue.edu/file/1503 (accessed on 2 July 2020).
- Eamchit, S.; Mew, T.W. Comparison of virulence of Xanthomonas compastris pv. oryzae in Thailand and the Philippines. Plant Dis. 1982, 66, 556–559. [Google Scholar] [CrossRef]
- Song, C.; Yang, B. Mutagenesis of 18 Type III effectors reveals virulence function of XopZpxo99 in Xanthomonas oryzae pv. oryzae. Mol. Plant Microbe Interact. 2010, 23, 893–902. [Google Scholar] [CrossRef] [PubMed]
- White, F.F.; Potnis, N.; Jones, J.B.; Koebnik, R. The type III effectors of Xanthomonas. Mol. Plant Pathol. 2009, 10, 749–766. [Google Scholar] [CrossRef]
- Mondal, K.K.; Meena, B.R.; Junaid, A.; Verma, G.; Mani, C.; Majumder, D.; Khicher, M.; Kumar, S.; Banik, S. Pathotyping and genetic screening of type III effectors in Indian strains of Xanthomonas oryzae pv. oryzae causing bacterial leaf blight of rice. Physiol. Mol. Plant Pathol. 2014, 86, 98–106. [Google Scholar] [CrossRef]
- Jones, J.D.; Dang, J.L. The plant immune system. Nature 2006, 444, 323–329. [Google Scholar] [CrossRef] [PubMed]
- White, F.F.; Yang, B. Host and pathogen factors controlling the rice Xanthomonas oryzae interaction. Plant Physiol. 2009, 150, 1677–1686. [Google Scholar] [CrossRef] [PubMed]
- Park, C.; Ronald, P.C. Cleavage and nuclear localization of the rice Xa21 immune receptor. Nat. Commun. 2012, 3, 920. [Google Scholar] [CrossRef] [PubMed]
- Adhikari, T.B.; Basnyat, R.C.; Mew, T.W. Virulence of Xanthomonas oryzae pv. Oryzae on rice lines containing single resistance genes and gene combinations. Plant Dis. 1999, 83, 46–50. [Google Scholar] [CrossRef] [PubMed]
- Balachiranjeevi, C.; Bhaskar, N.S.; Abhilash, V.; Akanksha, S.; Viraktamath, B.C.; Madhav, M.S.; Hariprasad, A.S.; Laha, G.S.; Prasad, M.S.; Balachandran, S.; et al. Marker-assisted introgression of bacterial blight and blast resistance into DRR17B, an elite, fine-grain type maintainer line of rice. Mol. Breed. 2015, 35, 151. [Google Scholar] [CrossRef]
- Sundaram, R.M.; Vishnupriya, M.R.; Biradar, S.K.; Laha, G.S.; Reddy, G.A.; Rani, N.S.; Sarma, N.P.; Sonti, R.V. Marker assisted introgression of bacterial blight resistance in Samba Mahsuri, an elite indica rice variety. Euphytica 2008, 160, 411–422. [Google Scholar] [CrossRef]
- Dash, A.K.; Rao, R.N.; Rao, G.J.N.; Verma, R.L.; Katara, J.L.; Mukherjee, A.K.; Singh, O.N.; Bagchi, T.B. Phenotypic and Marker-Assisted Genetic Enhancement of Parental Lines of Rajalaxmi, an Elite Rice Hybrid. Front. Plant Sci. 2016, 7, 1005. [Google Scholar] [CrossRef]
- Ellur, R.K.; Khanna, A.; Yadav, A.; Pathania, S.; Rajashekar, H.; Singh, V.K.; Gopala Krishnan, S.; Bhowmicka, P.K.; Nagaraj, M.; Vinod, K.K.; et al. Improvement of Basmati rice varieties for resistance to blast and bacterial blight diseases using marker assisted back-cross breeding. Plant Sci. 2016, 242, 330–341. [Google Scholar] [CrossRef]
- Hsu, Y.C.; Chiu, C.H.; Yap, R.; Tseng, U.C.; Wu, Y.P. Pyramiding Bacterial Blight Resistance Genes in Tainung82 for Broad-Spectrum Resistance Using Marker-Assisted Selection. Inter. J. Mol. Sci. 2020, 21, 1281. [Google Scholar] [CrossRef]
- Yap, R.; Hsu, Y.C.; Wu, Y.P.; Lin, Y.R.; Kuo, C.W. Multiplex PCR genotyping for five bacterial blight resistance genes applied to marker-assisted selection in rice (Oryza sativa). Plant Breed. 2016, 135, 309–317. [Google Scholar] [CrossRef]
- Kim, S.M.; Suh, J.P.; Qin, Y.; Noh, T.H.; Reinke, R.F.; Jena, K.K. Identification and fine mapping of a new resistance gene, Xa40, conferring resistance to bacterial blight races in rice (Oryza sativa L.). Theor. Appl. Genet. 2015, 128, 1933–1943. [Google Scholar] [CrossRef]
- Iyer, A.S.; McCouch, S.R. The rice bacterial blight resistance gene xa5 encodes a novel form of disease resistance. Mol. Plant Microbe Interact. 2004, 17, 1348–1354. [Google Scholar] [CrossRef] [PubMed]
- Wang, Y.H.; Liu, S.J.; Ji, S.L.; Zhang, W.W.; Wang, C.M.; Jiang, L.; Wan, J.M. Fine mapping and marker-assisted selection (MAS) of a low glutelin content gene in rice. Cell Res. 2005, 15, 622–630. [Google Scholar] [CrossRef]
- Chu, Z.; Fu, B.; Yang, H.; Xu, C.; Li, Z.; Sanchez, A.; Park, Y.J.; Bennetzen, J.L.; Zhang, Q.; Wang, S. Targeting xa13, a recessive gene for bacterial blight resistance in rice. Theor. Appl. Genet. 2006, 112, 455–461. [Google Scholar] [CrossRef]
- Song, W.-Y.; Wang, G.-L.; Chen, L.-L.; Kim, H.-S.; Pi, L.-Y.; Holsten, T.; Gardner, J.; Wang, B.; Zhai, W.-X.; Zhu, L.-H.; et al. A receptor kinase-like protein encoded by the rice disease resistance gene, Xa21. Science 1995, 270, 1804–1806. [Google Scholar] [CrossRef] [PubMed]
- Peng, H.; Chen, Z.; Fang, Z.; Zhou, J.; Xia, Z.; Gao, L.; Chen, L.; Li, L.; Li, T.; Zhai, W.; et al. Rice Xa21 primed genes and pathways that are critical for combating bacterial blight infection. Sci. Rep. 2015, 5, 12165. [Google Scholar] [CrossRef]
- Rajpurohit, D.; Kumar, R.; Kumar, M.; Paul, P.; Awasthi, A.; Osman Basha, P.; Puri, A.; Jhang, T.; Singh, K.; Dhaliwal, H.S. Pyramiding of two bacterial blight resistance and a semi dwarfing gene in Type 3 Basmati using marker-assisted selection. Euphytica 2011, 178, 111–126. [Google Scholar] [CrossRef]
- Singh, S.; Sidhu, J.S.; Huang, N.; Vikal, Y.; Li, Z.; Brar, D.S.; Dhaliwal, H.S.; Khush, G.S. Pyramiding three bacterial blight resistance genes (Xa5, Xa13 and Xa21) using marker-assisted selection into indica rice cultivar PR106. Theor. Appl. Genet. 2001, 102, 1011–1015. [Google Scholar] [CrossRef]
- Suh, J.-P.; Jeung, J.-U.; Noh, T.-H.; Cho, Y.-C.; Park, S.-H.; Park, H.-S.; Shin, M.-S.; Kim, C.-K.; Jena, K.K. Development of breeding lines with three pyramided resistance genes that confer broad-spectrum bacterial blight resistance and their molecular analysis in rice. Rice 2013, 6, 5. [Google Scholar] [CrossRef]
- Verma, R.L.; Singh, S.; Singh, P.; Kumar, V.; Singh, S.P.; Samantaray, S.; Singh, O.N. Genetic purity assessment of indica rice hybrids through DNS fingerprinting and grow-out test. J. Environ. Biol. 2017, 38, 1321–1331. [Google Scholar] [CrossRef]
- Cheema, K.; Grewal, N.; Vikal, Y.; Sharma, R.; Lore, J.S.; Das, A.; Bhatia, D.; Mahajan, R.; Gupta, V.; Bharaj, T.S.; et al. A novel bacterial blight resistant gene from Oryza nivara mapped to 38 kb region on chromosome 4L and transferred to Oryza sativa L. Genet. Res. Camb. 2008, 90, 397–407. [Google Scholar] [CrossRef]
- Chen, X.; Temnykh, S.; Xu, Y.; Cho, Y.G.; McCouch, S.R. Development of a microsatellite framework map providing genome wide coverage in rice (Oryza sativa L.). Theor. Appl. Genet. 1997, 95, 553–567. [Google Scholar] [CrossRef]
- Das, G.; Pradhan, B.; Bastia, D.; Samantaray, S.; Jena, D.; Rout, D.; Arsode, P.B.; Singh, V.; Mukherjee, A.K.; Mohan, C.; et al. Pyramiding Submergence Tolerance and Three Bacterial Blight Resistance Genes in Popular Rice Variety Hasanta through Marker-Assisted Backcross Breeding. Agriculture 2022, 12, 1815. [Google Scholar] [CrossRef]
- Ronald, P.C.; Albano, B.; Tabien, R.; Abenes ML, P.; Wu, K.S.; McCouch, S.R. Genetic and physical analysis of the rice bacterial blight disease resistance locus Xa21. Mol. Gen. Genet. 1992, 236, 113–120. [Google Scholar] [CrossRef] [PubMed]
- Shi, W.; Yang, Y.; Chen, S.; Xu, M. Discovery of a new fragrance allele and the development of functional markers for the breeding of fragrant rice varieties. Mol. Breed. 2008, 22, 185–192. [Google Scholar] [CrossRef]
- Doyle, J.J.; Doyle, J.L. A rapid DNA isolation procedure for small quantities of fresh leaf tissue. Phytochem. Bull. 1987, 19, 11–15. [Google Scholar]
- Yoshimura, S.; Yoshimura, A.; Iwata, N.; McCouch, S.R.; Abenes, M.L.; Baraoidan, M.R.; Mew, T.W.; Nelson, R.J. Tagging and combining of bacterial blight resistance genes in rice using RAPD and RFLP markers. Mol. Breed. 1995, 1, 375–387. [Google Scholar] [CrossRef]
- SSR Markers. Available online: https://www.gramene.org/SSR (accessed on 10 October 2022).
- Berloo, R.V. GGT 2.0: Versatile software for visualization and analysis of genetic data. J. Hered. 2008, 99, 232–236. [Google Scholar] [CrossRef] [PubMed]
- Fahy, P.C.; Persley, G.J. Plant Bacterial Diseases: A Diagnostic Guide; Academic Press: New York, NY, USA, 1983; p. 393. [Google Scholar]
- Kauffman, H.E.; Reddy, A.; Hsieh, S.P.Y.; Merca, S.D. An improved technique for evaluating resistance of varieties to Xanthomonas oryzae pv. oryzae. Plant Dis. Rep. 1973, 57, 537–541. [Google Scholar]
- IRRI. Injuries Caused by Diseases. In Standard Evaluation System for Rice (SES), 5th ed.; International Rice Research Institute: Los Baños, Philippines, 2013; pp. 18–27. [Google Scholar]
- Gnanamanickam, S.S.; Brindha, P.V.; Narayanan, N.N.; Vasudevan, P.; Kavitha, S. An overview of bacterial blight disease of rice and strategies for its management. Curr. Sci. 1999, 77, 1435–1443. [Google Scholar]
- Ghosh, A.K.; Nanda, B.B.; Swami, S.G.; Nayak, B.B. Influence of nitrogen on the physico-chemical characteristics of rice grain. Oryza 1971, 891, 87–97. [Google Scholar]
- Juliano, B.O. A simplified assay for milled rice amylose. Cereal Sci. Today 1971, 16, 340–360. [Google Scholar]
- Khanna, A.; Sharma, V.; Ellur, R.K.; Shikari, A.; Krishnan, S.G.; Singh, U.D.; Prakash, G.; Sharma, T.R.; Rathour, R.; Variar, M.; et al. Development and evaluation of near-isogenic lines for major blast resistance gene(s) in Basmati rice. Theor. Appl. Genet. 2015, 128, 1243–1259. [Google Scholar] [CrossRef] [PubMed]
- Kumar, M.; Singh, R.P.; Singh, O.N.; Singh, P.; Arsode, P.; Namrata; Chaudhary, M.; Jena, D.; Singh, V.; Rout, D.; et al. Genetic analysis for bacterial blight resistance in indica rice (Oryza sativa L.) cultivars. Oryza 2019, 56, 247–255. [Google Scholar] [CrossRef]
- Rani, N.S.; Pandey, M.K.; Prasad, G.S.V.; Sudharshan, I. Historical significance, grain quality features and precision breeding for improvement of export quality basmati varieties in India. Indian J. Crop. Sci. 2006, 1, 29–41. [Google Scholar]
- Pal, S. Beyond Basmati: 7 Scented Varieties of Traditional Rice You Need to Try Now! 2018. Available online: https://www.thebetterindia.com/144329/traditional-aromatic-rice-india-basmati/ (accessed on 24 June 2019).
- Varaprasad, G.S.; Kota, S.; Padmavathi, G.; Madhav, M.S. Breeding for improved aromatic short grain rices of India. In Proceedings of the Third International Conference on Agriculture and Horticulture, Telangana, India, 27–29 October 2014. [Google Scholar]
- Ali, A.; Xu, J.; Ismail, A.; Fu, B.; Vijaykumar, C.; Gao, Y.; Domingo, J.; Maghirang, R.; Yu, S.; Gregorio, G.; et al. Hidden diversity for abiotic and biotic stress tolerances in the primary gene pool of rice revealed by a large backcross breeding program. Field Crop. Res. 2006, 97, 66–76. [Google Scholar] [CrossRef]
- Chukwu, S.C.; Rafii, M.Y.; Ramlee, S.I.; Ismail, S.I.; Hasan, M.M.; Oladosu, Y.A.; Magaji, U.G.; Akos, I.; Olalekan, K.K. Bacterial leaf blight resistance in rice: A review of conventional breeding to molecular approach. Mol. Biol. Rep. 2019, 46, 1519–1532. [Google Scholar] [CrossRef]
- Sanchez, A.C.; Brar, D.S.; Huang, N.; Li, Z.; Khush, G.S. Sequence tagged site marker-assisted selection for three bacterial blight resistance genes in rice. Crop. Sci. 2000, 40, 792–797. [Google Scholar] [CrossRef]
- Cobb, J.N.; Biswas, P.S.; Platten, J.D. Back to the future: Revisiting MAS as a tool for modern plant breeding. Theor. Appl. Genet. 2019, 132, 647–667. [Google Scholar] [CrossRef] [PubMed]
- Singh, P.; Verma, R.L.; Singh, R.S.; Singh, R.P.; Singh, H.B.; Arsode, P.; Kumar, M.; Singh, P.K. Biotic Stress Management in Rice (Oryza sativa L.) Through Conventional and Molecular Approaches. In New Frontiers in Stress Management for Durable Agriculture; Springer: Singapore, 2020; pp. 609–644. [Google Scholar]
- Singh, A.; Singh, P.K.; Singh, R.; Pandit, A.; Mahato, A.K.; Gupta, D.K.; Tyagi, K.; Singh, A.K.; Singh, N.K.; Sharma, T.R. SNP haplotypes of the BADH1 gene and their association with aroma in rice (Oryza sativa L.). Mol. Breed. 2010, 26, 325–338. [Google Scholar] [CrossRef]
- Bradbury, L.M.T.; Fitzgerald, T.L.; Henry, R.J.; Jin, Q.S.; Waters, D.L.E. The gene for fragrance in rice. Plant Biotechnol. J. 2005, 3, 363–370. [Google Scholar] [CrossRef]
- Eram, S.; Singh, A.K.; Singh, A.; Singh, N.K.; Singh, P.K. Physicochemical characterization and organoleptic analysis in rice cultivars. Indian J. Agric. Res. 2014, 48, 437–445. [Google Scholar] [CrossRef]
- Singh, V.K.; Singh, A.; Singh, S.P.; Ellur, R.K.; Singh, D.; Gopala Krishnan, S.; Bhowmik, P.K.; Nagarajan, M.; Vinod, K.K.; Singh, U.D.; et al. Marker-assisted simultaneous but stepwise backcross breeding for pyramiding blast resistance genes Pi2 and Pi54 into an elite Basmati rice restorer line PRR78. Plant Breed. 2013, 132, 486–495. [Google Scholar]
- Kumar, M.; Singh, R.P.; Singh, O.N.; Singh, P.; Arsode, P.; Jena, D.; Samantaray, S.; Verma, R.L. Generation mean analysis for bacterial blight resistance and yield traits in rice. J. Pharmacogn. 2019, 8, 2120–2124. [Google Scholar]






| Genotype | Pedigree | Special Features | Yield (q/ha) | Duration (Days) | Recommendation for Cultivation |
|---|---|---|---|---|---|
| HUR 917 | Dehradun Basmati Selection-13 | High yielding, semi dwarf plant stature (105–110), resistance to lodging and neck blast disease and good grain quality. Susceptible to BB. | 42–45 | 135–140 | Released for cultivation in UP during 2015 |
| IRBB66 | NIL-IR 24 | NIL of IR24, harbours 5 BB resistant genes (Xa21 + xa13 + Xa7 + xa5 + Xa4) and broad spectrum of BB resistant against all prevalent philli-races. | 55–60 | 135–140 | NIL of IR 24, developed at IRRI, Philippines |
| Gene/QTL | Chr. No. | Marker/ Primer | Physical Position (Mb) | Type | Marker/Primer/Sequence | Reference |
|---|---|---|---|---|---|---|
| xa5 | 5 | RM122 | 1.65 | FS | Forward-5′gcactgcaaccatcaatgaatc3′ Reverse-5′cctaggagaaactagccgtcca3′ | [35,36] |
| RM17941 | 3.40 | RS | Forward-5′gcctcgaagaaccagtagaacagc3′ Reverse-5′cttgtcttctcctcctcctgtgc3′ | |||
| xa13 | 8 | xa13prom | 26.81 | FS | Forward-5′ggccatggctcagtgtttat3′ Reverse-5′gagctccagctctccaaatg3′ | [3,20,36] |
| RM23356 | 24.20 | RS | Forward-5′gcctccaacagatctcctatctgg3′ Reverse-5′tttggcgctaatgagagattgg3′ | |||
| RM22914 | 30.90 | RS | Forward-5′ccaatcattaacccctgagc3′ Reverse-5′gccttcatgcttcagaagac3′ | |||
| Xa21 | 11 | pTA248 | 22.60 | FS | Forward-5′agacgcggaagggtggttcccgga3′ Reverse-5′agacgcggtaatcgaaagatgaaa3′ | [7,36,37] |
| RM26969 | 21.50 | RS | Forward-5′ctcacacttgcaacatcctagc3′ Reverse-5′aaggctctagttggtgaagacc3′ | |||
| BADH2 | 8 | FMbadh2-E7 | 82.80 | FS | Forward-5′ggttgcatttactgggagtt3′ Reverse-5′cagtgaaacaggctgtcaag3′ | [38] |
| Generation | Total Plants Raised | Gene Positive Plants ¶ | Plants Advanced | % RPG Recovery | Selection Criteria |
|---|---|---|---|---|---|
| F1s | 60 | 52 | 05 | * | Hybridity testing with gene linked markers |
| BC1F1 | 240 | 18 | 06 | 69.51–81.71 | FS, BS, Phenomics and bioassay |
| BC2F1 | 265 | 33 | 03 | 84.76–91.46 | FS, BS, Phenomics and bioassay |
| BC2F2 | 740 | 15 | 03 | 92.07–96.95 | FS, BS, Phenomics and bioassay |
| BC2F3 | 15 families (each 150 plants) | 15 families (15 plants) | 15 NILs | >94.0 | Phenomics and bioassay analysis |
| BC2F4 | 15 NILs | 15 NILs | 15 NILs | >94.0 | Phenomics and bioassay analysis |
| Breeding Lines/Xoo Isolate/Score | Gene Combination | LL in cm (Mean ± Standard Error) | |||||||||
|---|---|---|---|---|---|---|---|---|---|---|---|
| Xa17 | Xa7 | xa2 | Xb7 | Xc4 | xd1 | xa1 | xa5 | MLL | Disease Reaction | ||
| HR 23-5-37-83-5 | Xa21 + xa13 + xa5 | 1.63 ± 0.23 | 2.72 ± 0.17 | 1.78 ± 0.13 | 1.70 ± 0.22 | 2.67 ± 0.12 | 1.37 ± 0.90 | 1.63 ± 0.15 | 1.93 ± 1.36 | 2.43 | R |
| HR 23-5-37-83-12 | Xa21 + xa13 + xa5 | 2.90 ± 0.36 | 2.88 ± 0.46 | 3.94 ± 0.14 | 2.67 ± 0.25 | 2.17 ± 0.55 | 2.04 ± 0.31 | 1.72 ± 0.20 | 1.90 ± 0.20 | 2.53 | R |
| HR 23-5-37-121-3 | Xa21 + xa13 + xa5 | 1.77 ± 0.15 | 2.78 ± 0.13 | 2.85 ± 0.18 | 2.03 ± 0.49 | 1.90 ± 0.62 | 1.51 ± 0.87 | 2.03 ± 0.51 | 1.53 ± 0.87 | 2.05 | R |
| HR 23-5-37-121-10 | Xa21 + xa13 + xa5 | 2.03 ± 0.47 | 1.34 ± 0.37 | 1.55 ± 0.18 | 1.43 ± 0.21 | 2.37 ± 0.15 | 1.42 ± 0.16 | 1.47 ± 0.25 | 2.17 ± 0.32 | 1.72 | R |
| HR 23-5-37-121-14 | Xa21 + xa13 + xa5 | 4.03 ± 0.48 | 3.32 ± 1.51 | 3.42 ± 0.60 | 2.63 ± 0.71 | 2.67 ± 0.81 | 2.83 ± 0.65 | 3.70 ± 1.61 | 1.97 ± 1.16 | 2.95 | R |
| HR 23-5-37-201-9 | Xa21 + xa13 + xa5 | 2.53 ± 0.31 | 2.00 ± 1.19 | 1.87 ± 0.83 | 2.06 ± 1.35 | 1.74 ± 0.51 | 1.93 ± 0.35 | 2.03 ± 1.27 | 1.99 ± 1.57 | 2.02 | R |
| HR 23-65-6-142-3 | Xa21 + xa13 + xa5 | 1.40 ± 0.69 | 1.95 ± 1.59 | 1.47 ± 1.69 | 2.20 ± 0.26 | 1.57 ± 0.65 | 1.43 ± 1.53 | 2.07 ± 0.42 | 2.00 ± 0.53 | 1.76 | R |
| HR 23-65-6-142-18 | Xa21 + xa13 + xa5 | 2.09 ± 0.36 | 1.75 ± 0.15 | 1.87 ± 0.21 | 2.06 ± 0.12 | 1.86 ± 0.22 | 2.03 ± 0.25 | 1.87 ± 0.21 | 1.70 ± 0.10 | 1.90 | R |
| HR 23-65-6-191-13 | Xa21 + xa13 + xa5 | 2.83 ± 0.55 | 3.19 ± 0.54 | 2.43 ± 1.07 | 3.17 ± 1.07 | 2.96 ± 1.34 | 2.27 ± 0.21 | 2.77 ± 0.15 | 2.43 ± 1.01 | 2.76 | R |
| HR 23-65-6-237-2 | Xa21 + xa13 + xa5 | 1.97 ± 0.38 | 2.22 ± 0.59 | 1.83 ± 0.12 | 2.17 ± 0.35 | 1.70 ± 0.66 | 1.90 ± 0.20 | 2.43 ± 1.79 | 2.63 ± 0.15 | 2.11 | R |
| HR 23-65-6-237-27 | Xa21 + xa13 + xa5 | 4.27 ± 1.30 | 3.60 ± 0.53 | 1.27 ± 0.21 | 2.32 ± 0.53 | 2.10 ± 0.30 | 1.87 ± 1.42 | 2.20 ± 1.23 | 3.44 ± 0.92 | 2.63 | R |
| HR 23-65-6-258-10 | Xa21 + xa13 + xa5 | 2.78 ± 0.19 | 1.71 ± 0.11 | 2.95 ± 0.22 | 3.13 ± 0.49 | 2.95 ± 0.62 | 4.61 ± 0.87 | 1.03 ± 0.53 | 2.28 ± 0.82 | 2.68 | R |
| HR 23-65-6-258-21 | Xa21 + xa13 + xa5 | 2.53 ± 0.31 | 2.12 ± 1.19 | 2.87 ± 0.83 | 1.06 ± 1.35 | 1.74 ± 0.51 | 2.93 ± 0.35 | 3.03 ± 1.27 | 2.99 ± 1.57 | 2.41 | R |
| HR 23-135-83-24-1 | Xa21 + xa13 + xa5 | 2.27 ± 1.3 | 1.6 ± 0.53 | 1.27 ± 0.21 | 3.32 ± 0.53 | 2.10 ± 0.30 | 2.87 ± 1.42 | 3.20 ± 1.23 | 2.44 ± 0.92 | 2.38 | R |
| HR 23-135-83-24-22 | Xa21 + xa13 + xa5 | 3.5 ± 1.32 | 2.82 ± 1.41 | 1.17 ± 1.23 | 2.93 ± 1.12 | 1.87 ± 1.70 | 2.47 ± 1.45 | 3.17 ± 0.35 | 2.67 ± 0.50 | 2.58 | R |
| HUR 917 | xa21 + Xa13 + Xa5 | 11.50 ± 1.32 | 12.82 ± 1.41 | 18.17 ± 1.23 | 14.93 ± 1.12 | 13.87 ± 1.70 | 16.47 ± 1.45 | 18.17 ± 0.35 | 13.67 ± 0.50 | 14.95 | S |
| IRBB66 | Xa21 + xa13 + Xa7+ xa5 + Xa4 | 0.57 ± 0.21 | 1.83 ± 0.35 | 0.83 ± 0.06 | 0.87 ± 0.31 | 1.07 ± 0.55 | 0.97 ± 0.21 | 0.70 ± 0.10 | 1.23 ± 0.15 | 1.01 | R |
| Source | Replication | Genotype | Residual |
|---|---|---|---|
| DF | 2 | 16 | 32 |
| DPI | 1.82 | 23.051 *** | 0.82 |
| DFPE | 0.94 | 18.936 *** | 0.90 |
| DFF | 1.91 | 11.676 *** | 0.86 |
| DM | 2.43 | 42.824 *** | 1.58 |
| PH | 0.09 | 23.435 *** | 0.21 |
| NEBT | 0.11 | 3.665 *** | 0.20 |
| PL | 0.28 | 6.033 *** | 0.12 |
| GPP | 0.23 | 176.052 *** | 5.38 |
| SF | 0.49 | 53.479 *** | 0.37 |
| GYPP | 0.17 | 7.129 *** | 0.16 |
| TW | 0.13 | 16.726 *** | 0.17 |
| KL | 0.02 | 0.707 *** | 0.01 |
| KB | 0.82 | 0.010 *** | 0.02 |
| KL BR‘ | 0.21 | 0.193 *** | 0.01 |
| HRR | 0.21 | 155.557 *** | 0.21 |
| AC%‘ | 0.17 | 6.481 *** | 0.07 |
| GC | 0.25 | 282.764 *** | 0.20 |
| Aroma | 0.02 | 0.813 *** | 0.02 |
| PDI with SD (%) at 14 DAI‘ | 0.02 | 132.146 *** | 0.01 |
| PDI with SD (%) at 21 DAI‘ | 0.32 | 358.110 *** | 0.02 |
| PDI with SD (%) 28 DAI‘ | 0.01 | 516.47 *** | 0.01 |
| AUD PC‘ | 0.42 | 112.199 *** | 1.00 |
| GR%‘ | 0.03 | 155.516 *** | 0.04 |
| Genotypes | DFF | DM | PH | NEBT | PL | GYPP | TW | SF | HRR | KL | KB | KLBR | GC | AC % | Aroma | PDI at 21DAI | AUDPC |
|---|---|---|---|---|---|---|---|---|---|---|---|---|---|---|---|---|---|
| HR 23-135-83-24-1 | 110 b | 136 b | 103 h | 11 bc | 25.1 a | 16.8 g | 17.3 c | 82.51 g | 64 h | 5.9 abcd | 1.8 bc | 3.3 cde | 44 e | 24.03 a | 2 b | 7.19 e | 103.35 e |
| HR 23-135-83-24-22 | 110 b | 136 b | 109.6 b | 11 b | 23.7 cde | 19.6 cd | 20.27 a | 88.36 bc | 61 j | 6.5 a | 1.8 c | 3.6 ab | 58.97 a | 22.77 c | 2 b | 7.26 d | 97.49 g |
| HR 23-5-37-121-10 | 110 b | 136 b | 107.4 c | 9 fghi | 25.5 a | 21.2 a | 14.35 f | 85.36 e | 66 g | 5.4 bcd | 1.7 def | 3.1 def | 36 h | 22.83 c | 2 b | 4.69 k | 64.1 j |
| HR 23-5-37-121-14 | 108 cd | 128 f | 101.6 i | 10 defg | 23 ef | 16.8 g | 13.57 g | 88.11 bc | 77 b | 5.1 d | 1.7 ef | 3 fg | 38.11 g | 24.04 a | 2 b | 6.99 g | 122.29 c |
| HR 23-5-37-121-3 | 106 e | 134 bcd | 102.9 h | 9 hi | 24.8 ab | 20.7 ab | 20.13 a | 86.63 d | 63 i | 6.3 ab | 1.7 de | 3.6 ab | 28.37 m | 21.75 d | 2 b | 4.06 m | 59.59 k |
| HR 23-5-37-201-9 | 107 de | 126 g | 106.8 cd | 13 a | 23.4 def | 18 f | 18.38 b | 88.37 bc | 67 f | 5.9 abcd | 1.7 f | 3.5 b | 33.03 k | 20.38 e | 2 b | 4.88 i | 98.36 g |
| HR 23-5-37-83-12 | 110 b | 131 e | 104.8 ef | 9 ghi | 22.9 efg | 18.9 de | 18.77 b | 82.74 g | 59 k | 6.4 a | 1.7 def | 3.7 a | 38.98 f | 20.14 ef | 2 b | 7.89 b | 105.31 d |
| HR 23-5-37-83-5 | 108 cd | 136 b | 107.3 c | 10 def | 20.9 h | 19.2 d | 16.73 cd | 84.09 f | 69 de | 6.2 abc | 1.9 a | 3.4 c | 34.97 i | 22.76 c | 2 b | 3.38 p | 77.06 h |
| HR 23-65-6-142-18 | 108 cd | 132 de | 106.9 cd | 10 cd | 25.5 a | 16.8 g | 20.13 a | 90.32 a | 60 j | 6.4 a | 1.8 c | 3.6 b | 51.53 c | 20.45 e | 2 b | 3.88 n | 53.52 l |
| HR 23-65-6-142-3 | 112 a | 136 b | 105.3 e | 11 bc | 24.3 bc | 18.2 ef | 20.23 a | 89.15 b | 64 h | 6 abc | 1.9 a | 3.3 cde | 34.01 j | 22.1 d | 2 b | 4.2 l | 36 m |
| HR 23-65-6-191-13 | 110 b | 141 a | 103.8 g | 10 cd | 22.9 efg | 16.7 g | 16.43 d | 88.21 bc | 54 l | 5.4 bcd | 1.7 d | 3.1 ef | 55.32 b | 23.46 b | 2 b | 7.47 c | 154.34 b |
| HR 23-65-6-237-2 | 106 e | 134 bc | 105.4 e | 9 efgh | 24 cd | 20.1 bc | 18.31 b | 87.69 cd | 79 a | 5.7 abcd | 1.7 de | 3.3 cd | 31.04 l | 23.44 b | 2 b | 3.3 q | 65.08 j |
| HR 23-65-6-237-27 | 104 f | 127 fg | 106.4 d | 11 bc | 23 ef | 19.4 cd | 20.16 a | 90.68 a | 69 d | 6.1 abc | 1.8 abc | 3.3 c | 45.03 d | 21.85 d | 2 b | 5.17 h | 77.91 h |
| HR 23-65-6-258-10 | 109 bc | 134 bcd | 104.8 ef | 9 i | 22.1 g | 18.3 ef | 16.48 d | 76.6 h | 73 c | 5.1 d | 1.8 bc | 2.8 h | 36.13 h | 22.76 c | 2 b | 7.16 f | 100.38 f |
| HR 23-65-6-258-21 | 107 de | 132 cde | 104.1 fg | 9 fghi | 21 h | 18 f | 15.66 e | 88.55 bc | 79 a | 5.4 cd | 1.7 f | 3.2 de | 37.9 g | 20.13 ef | 2 b | 4.77 j | 64.48 j |
| HUR 917 (RP) | 107 cde | 135 b | 112.8 a | 10 cde | 25 ab | 7.1 h | 14.27 f | 87.69 cd | 68 e | 5.1 d | 1.7 de | 2.9 gh | 28.03 m | 23.69 ab | 3 a | 49.91 a | 873.19 a |
| IRBB66 (donor) | 108 bcd | 136 b | 109.3 b | 11 bc | 22.7 fg | 20.8 a | 20.53 a | 76.71 h | 73 c | 6.2 abc | 1.8 ab | 3.4 c | 55.27 b | 19.77 f | 0 c | 3.41 o | 73.74 i |
Disclaimer/Publisher’s Note: The statements, opinions and data contained in all publications are solely those of the individual author(s) and contributor(s) and not of MDPI and/or the editor(s). MDPI and/or the editor(s) disclaim responsibility for any injury to people or property resulting from any ideas, methods, instructions or products referred to in the content. |
© 2023 by the authors. Licensee MDPI, Basel, Switzerland. This article is an open access article distributed under the terms and conditions of the Creative Commons Attribution (CC BY) license (https://creativecommons.org/licenses/by/4.0/).
Share and Cite
Kumar, M.; Singh, R.P.; Jena, D.; Singh, V.; Rout, D.; Arsode, P.B.; Choudhary, M.; Singh, P.; Chahar, S.; Samantaray, S.; et al. Marker-Assisted Improvement for Durable Bacterial Blight Resistance in Aromatic Rice Cultivar HUR 917 Popular in Eastern Parts of India. Plants 2023, 12, 1363. https://doi.org/10.3390/plants12061363
Kumar M, Singh RP, Jena D, Singh V, Rout D, Arsode PB, Choudhary M, Singh P, Chahar S, Samantaray S, et al. Marker-Assisted Improvement for Durable Bacterial Blight Resistance in Aromatic Rice Cultivar HUR 917 Popular in Eastern Parts of India. Plants. 2023; 12(6):1363. https://doi.org/10.3390/plants12061363
Chicago/Turabian StyleKumar, Manish, Ravi Pratap Singh, Debarchana Jena, Vineeta Singh, Diptibala Rout, Panduranga Bhagwan Arsode, Madhu Choudhary, Prakash Singh, Suman Chahar, Sanghamitra Samantaray, and et al. 2023. "Marker-Assisted Improvement for Durable Bacterial Blight Resistance in Aromatic Rice Cultivar HUR 917 Popular in Eastern Parts of India" Plants 12, no. 6: 1363. https://doi.org/10.3390/plants12061363
APA StyleKumar, M., Singh, R. P., Jena, D., Singh, V., Rout, D., Arsode, P. B., Choudhary, M., Singh, P., Chahar, S., Samantaray, S., Mukherjee, A. K., Mohan, C., Bohra, A., Das, G., Balo, S., Singh, O. N., & Verma, R. (2023). Marker-Assisted Improvement for Durable Bacterial Blight Resistance in Aromatic Rice Cultivar HUR 917 Popular in Eastern Parts of India. Plants, 12(6), 1363. https://doi.org/10.3390/plants12061363

