Alternative Rooting Methods for Medicinal Cannabis Cultivation in Denmark—Preliminary Results
Abstract
1. Introduction
2. Results
2.1. Biometric Analyses—Repetition 1
2.2. Biometric Analyses—Repetition 2
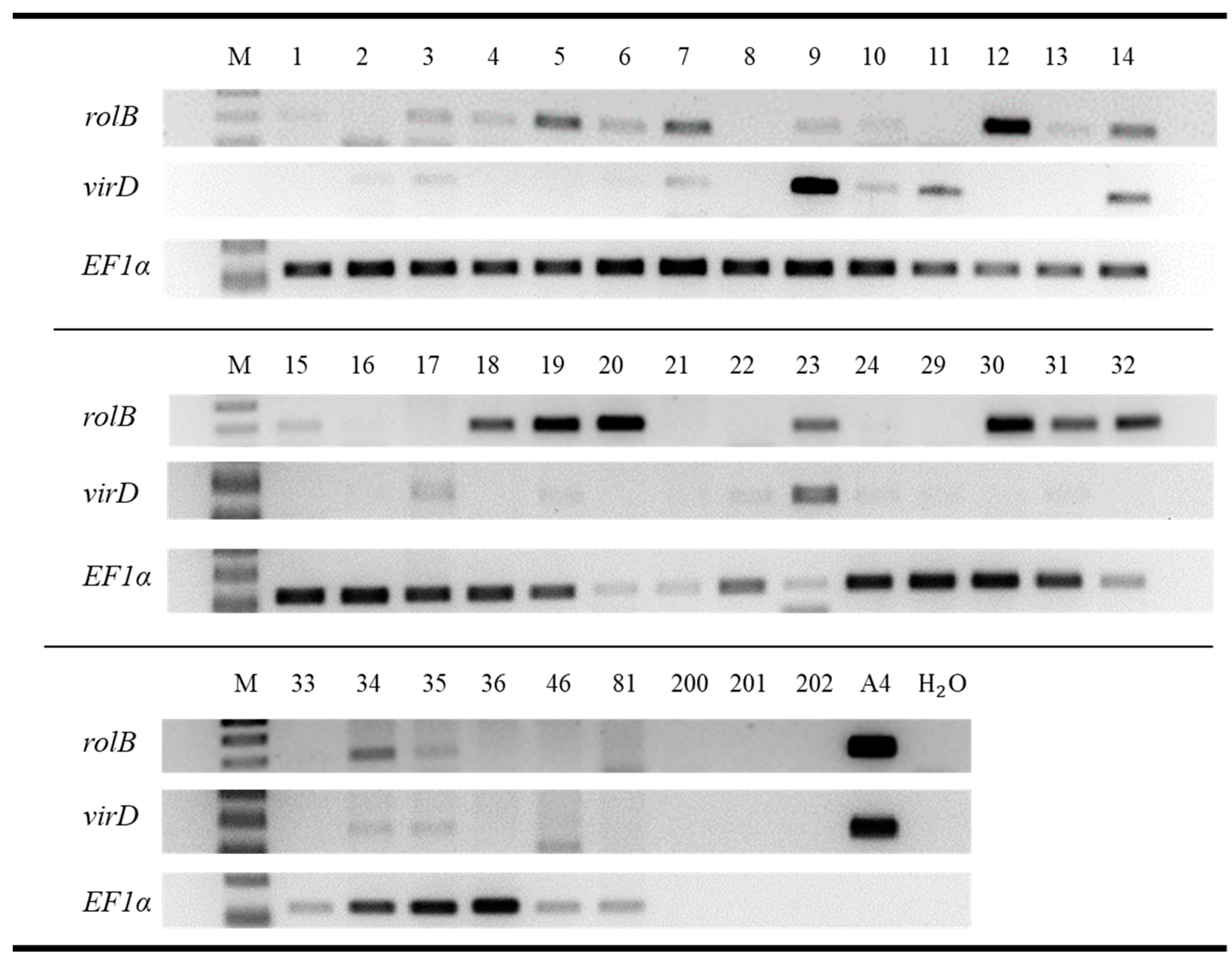
2.3. Detection of rolB, virD, and EF1α Gene Fragments in Root Tissue of Cuttings
3. Discussion
4. Materials and Methods
4.1. Plant Material
4.2. Experimental Setup
4.3. Root Biometrics
4.4. DNA Extraction and PCR
4.5. Statistical Analysis
5. Conclusions
Author Contributions
Funding
Data Availability Statement
Conflicts of Interest
References
- Clarke, R.C.; Merlin, M.D. Cannabis Domestication, Breeding History, Present-Day Genetic Diversity, and Future Prospects. CRC Crit. Rev. Plant Sci. 2016, 35, 293–327. [Google Scholar] [CrossRef]
- Andre, C.M.; Hausman, J.-F.; Guerriero, G. Cannabis Sativa: The Plant of the Thousand and One Molecules. Front. Plant Sci. 2016, 7, 19. [Google Scholar] [CrossRef] [PubMed]
- Lægemiddelstyrelsen Pilot Programme. Available online: https://laegemiddelstyrelsen.dk/en/special/medicinal-cannabis-/medicinal-cannabis-pilot-programme/ (accessed on 15 March 2023).
- López Carretero, P.; Pekas, A.; Stubsgaard, L.; Sancho Blanco, G.; Lütken, H.; Sigsgaard, L. Glandular Trichomes Affect Mobility and Predatory Behavior of Two Aphid Predators on Medicinal Cannabis. Biol. Control 2022, 170, 104932. [Google Scholar] [CrossRef]
- Lægemiddelstyrelsen Authorisation to Produce Cannabis Bulk. Available online: https://laegemiddelstyrelsen.dk/en/special/medicinal-cannabis-/medicinal-cannabis-pilot-programme/manufacturing/authorisation-to-manufacture-cannabis-bulk-and-cannabis-primary-products/, (accessed on 15 March 2023).
- Sundhedsministeriet Forsøgsordningen for Medicinsk Cannabis Videreføres. Available online: https://sum.dk/nyheder/2021/maj/forsoegsordningen-for-medicinsk-cannabis-viderefoeres (accessed on 27 May 2021).
- Potter, D.J. The Propagation, Characterisation and Optimisation of Cannabis sativa L., as a Phytopharmaceutical; King’s College London: London, UK, 2009. [Google Scholar]
- Coffman, C.B.; Gentner, W.A. Greenhouse Propagation of Cannabis sativa L. by Vegetative Cuttings. Econ. Bot. 1979, 33, 124–127. [Google Scholar] [CrossRef]
- Lata, H.; Chandra, S.; Khan, I.A.; Elsohly, M.A. Propagation through Alginate Encapsulation of Axillary Buds of Cannabis sativa L.—An Important Medicinal Plant. Physiol. Mol. Biol. Plants 2009, 15, 79–86. [Google Scholar] [CrossRef]
- Lata, H.; Chandra, S.; Techen, N.; Khan, I.A.; ElSohly, M.A. In Vitro Mass Propagation of Cannabis sativa L.: A Protocol Refinement Using Novel Aromatic Cytokinin Meta-Topolin and the Assessment of Eco-Physiological, Biochemical and Genetic Fidelity of Micropropagated Plants. J. Appl. Res. Med. Aromat. Plants 2016, 3, 18–26. [Google Scholar] [CrossRef]
- Caplan, D.; Stemeroff, J.; Dixon, M.; Zheng, Y. Vegetative Propagation of Cannabis by Stem Cuttings: Effects of Leaf Number, Cutting Position, Rooting Hormone, and Leaf Tip Removal. Can. J. Plant Sci. 2018, 98, 1126–1132. [Google Scholar] [CrossRef]
- Enders, T.A.; Strader, L.C. Auxin Activity: Past, Present, and Future. Am. J. Bot. 2015, 102, 180–196. [Google Scholar] [CrossRef]
- European Medicines Agency Good Agricultural and Collection Practice for Starting Materials of Herbal Origin. Available online: https://www.ema.europa.eu/en/good-agricultural-collection-practice-starting-materials-herbal-origin-scientific-guideline (accessed on 15 March 2023).
- EU. European Commision Directive 2003/94/EC on “The Rules Governing Medicinal Products in the European Union”. Commission Directives 91/356/EEC; European Commision: Ispra, Italy, 1989.
- Lægemiddelstyrelsen (København, Denmark). Personal Communication, 2021.
- Wise, K.; Gill, H.; Selby-Pham, J. Willow Bark Extract and the Biostimulant Complex Root Nectar® Increase Propagation Efficiency in Chrysanthemum and Lavender Cuttings. Sci. Hortic. 2020, 263, 109108. [Google Scholar] [CrossRef]
- White, F.F.; Taylor, B.H.; Huffman, G.A.; Gordon, M.P.; Nester, E.W. Molecular and Genetic Analysis of the Transferred DNA Regions of the Root-Inducing Plasmid of Agrobacterium Rhizogenes. J. Bacteriol. 1985, 164, 33–44. [Google Scholar] [CrossRef]
- Desmet, S.; Dhooghe, E.; De Keyser, E.; Van Huylenbroeck, J.; Müller, R.; Geelen, D.; Lütken, H. Rhizogenic Agrobacteria as an Innovative Tool for Plant Breeding: Current Achievements and Limitations. Appl. Microbiol. Biotechnol. 2020, 104, 2435–2451. [Google Scholar] [CrossRef] [PubMed]
- Riker, A.J.; Banfield, W.M.; Wright, W.H.; Keitt, G.W.; Sagen, H.E. Studies on Infectious Hairy Root of Nursery Apple Trees. J. Agric. Res. 1930, 41, 507–540. [Google Scholar]
- Chilton, M.-D.; Tepfer, D.A.; Petit, A.; David, C.; Casse-Delbart, F.; Tempé, J. Agrobacterium Rhizogenes Inserts T-DNA into the Genomes of the Host Plant Root Cells. Nature 1982, 295, 432–434. [Google Scholar] [CrossRef]
- Jouanin, L.; Guerche, P.; Pamboukdjian, N.; Tourneur, C.; Casse Delbart, F.; Tourneur, J. Structure of T-DNA in Plants Regenerated from Roots Transformed by Agrobacterium Rhizogenes Strain A4. Mol. Gen. Genet. MGG 1987, 206, 387–392. [Google Scholar] [CrossRef]
- Furner, I.J.; Huffman, G.A.; Amasino, R.M.; Garfinkel, D.J.; Gordon, M.P.; Nester, E.W. An Agrobacterium Transformation in the Evolution of the Genus Nicotiana. Nature 1986, 319, 422–427. [Google Scholar] [CrossRef]
- Kyndt, T.; Quispe, D.; Zhai, H.; Jarret, R.; Ghislain, M.; Liu, Q.; Gheysen, G.; Kreuze, J.F. The Genome of Cultivated Sweet Potato Contains Agrobacterium T-DNAs with Expressed Genes: An Example of a Naturally Transgenic Food Crop. Proc. Natl. Acad. Sci. USA 2015, 112, 5844–5849. [Google Scholar] [CrossRef]
- Matveeva, T.V.; Bogomaz, D.I.; Pavlova, O.A.; Nester, E.W.; Lutova, L.A. Horizontal Gene Transfer from Genus Agrobacterium to the Plant Linaria in Nature. Mol. Plant-Microbe Interact. 2012, 25, 1542–1551. [Google Scholar] [CrossRef]
- Union European. Directive 2001/18/EC of the European Parliament and of the Council of 12 March 2001 on the Deliberate Release into the Environment of Genetically Modified Organisms and Repealing Council Directive 90/220/EEC Commission Declaration; Union European: Maastricht, The Netherlands, 2001. [Google Scholar]
- Casanova, E.; Trillas, M.I.; Moysset, L.; Vainstein, A. Influence of Rol Genes in Floriculture. Biotechnol. Adv. 2005, 23, 3–39. [Google Scholar] [CrossRef]
- Veena, V.; Taylor, C.G. Agrobacterium Rhizogenes: Recent Developments and Promising Applications. Vitr. Cell. Dev. Biol.—Plant 2007, 43, 383–403. [Google Scholar] [CrossRef]
- Rangslang, R.K.; Liu, Z.; Lütken, H.; Favero, B.T. Agrobacterium Spp. Genes and ORFs: Mechanisms and Applications in Plant Science. Cienc. E Agrotecnologia 2018, 42, 453–463. [Google Scholar] [CrossRef]
- Archilletti, T.; Lauri, P.; Damiano, C. Agrobacterium-Mediated Transformation of Almond Leaf Pieces. Plant Cell Rep. 1995, 14, 267–272. [Google Scholar] [CrossRef] [PubMed]
- Feeney, M.; Punja, Z.K. Tissue Culture and Agrobacterium-Mediated Transformation of Hemp (Cannabis sativa L.). Vitr. Cell. Dev. Biol.—Plant 2003, 39, 578–585. [Google Scholar] [CrossRef]
- Wahby, I.; Caba, J.M.; Ligero, F. Agrobacterium Infection of Hemp (Cannabis sativa L.): Establishment of Hairy Root Cultures. J. Plant Interact. 2013, 8, 312–320. [Google Scholar] [CrossRef]
- Lambert, C.; Tepfer, D. Use of Agrobacterium Rhizogenes to Create Chimeric Apple Trees Through Genetic Grafting. Nat. Biotechnol. 1991, 9, 80–83. [Google Scholar] [CrossRef]
- Hunt, M.A.; Trueman, S.J.; Rasmussen, A. Indole-3-Butyric Acid Accelerates Adventitious Root Formation and Impedes Shoot Growth of Pinus elliottii Var. Elliottii × P. caribaea Var. Hondurensis Cuttings. New For. 2011, 41, 349–360. [Google Scholar] [CrossRef]
- Davies, M.J.; Hipps, N.A.; Kingswell, G. The Effects of Indole-3-Butyric Acid Root Dips on the Root Development and Shoot Growth of Transplanted Fagus sylvatica L. and Quercus robur L. Seedlings. J. Hortic. Sci. Biotechnol. 2002, 77, 209–216. [Google Scholar] [CrossRef]
- Hatta, M. Induction of Roots on Jujube Softwood Cuttings Using Agrobacterium Rhizogenes. J. Hortic. Sci. 1996, 71, 881–886. [Google Scholar] [CrossRef]
- Blythe, E.K.; Sibley, J.L.; Tilt, K.M.; Ruter, J.M. Methods of Auxin Application in Cutting Propagation: A Review of 70 Years of Scientific Discovery and Commercial Practice. J. Environ. Hortic. 2007, 25, 166–185. [Google Scholar] [CrossRef]
- Kroin, J. Hortus Plant Propagation from Cuttings; Hortus USA Corp: Earth City, MO, USA, 2009. [Google Scholar]
- Gehlot, A.; Gupta, R.K.; Arya, I.D.; Arya, S.; Tripathi, A. De Novo Adventitious Root Formations in Mini-Cuttings of Azadirachta Indica in Response to Different Rooting Media and Auxin Treatments. IForest 2015, 8, 558–564. [Google Scholar] [CrossRef]
- Clough, S.J.; Bent, A.F. Floral Dip: A Simplified Method for Agrobacterium-Mediated Transformation of Arabidopsis thaliana. Plant J. 1998, 16, 735–743. [Google Scholar] [CrossRef]
- Wahby, I.; Caba, J.M.; Ligero, F. Hairy Root Culture as a Biotechnological Tool in C. Sativa. In Cannabis sativa L.—Botany and Biotechnology; Chandra, S., Lata, H., ElSohly, M.A., Eds.; Springer International Publishing: Cham, Switzerland, 2017; pp. 299–317. ISBN 978-3-319-54564-6. [Google Scholar]
- Kaymak, H.C.; Yarali, F.; Guvenc, I.; Figen Donmez, M. The Effect of Inoculation with Plant Growth Rhizobacteria (PGPR) on Root Formation of Mint (Mentha piperita L.) Cuttings. Afr. J. Biotechnol. 2008, 7, 4479–4483. [Google Scholar] [CrossRef]
- Ottosen, C.O.; Steenberg, T.; Nicolaisen, M.; Madsen, M.V.; Enkegaard, A. Dyrkningsaspekter Ved Produktion Af Medicinsk Cannabis; DCA—Nationalt Center for Fødevarer og Jordbrug: Aarhus, Denmark, 2020. [Google Scholar]
- Caplan, D.; Dixon, M.; Zheng, Y. Optimal Rate of Organic Fertilizer during the Flowering Stage for Cannabis Grown in Two Coir-Based Substrates. HortScience 2017, 52, 1796–1803. [Google Scholar] [CrossRef]
- NOAA Global Monitoring Laboratory Carbon Dioxide Peaks Near 420 Parts per Million at Mauna Loa Observatory. Available online: https://research.noaa.gov/2021/06/07/coronavirus-response-barely-slows-rising-carbon-dioxide/ (accessed on 15 March 2023).
- Murashige, T.; Skoog, F. A Revised Medium for Rapid Growth and Bio Assays with Tobacco Tissue Cultures. Physiol. Plant. 1962, 15, 473–497. [Google Scholar] [CrossRef]
- Lütken, H.; Jensen, E.B.; Wallström, S.V.; Müller, R.; Christensen, B. Development and Evaluation of a Non-GMO Breeding Technique Exemplified by Kalanchoe. Acta Hortic. 2012, 961, 51–58. [Google Scholar] [CrossRef]
- He, J.; Plácido, J.P.A.; Pateraki, I.; Kampranis, S.; Favero, B.T.; Lütken, H. Hairy Root Induction of Taxus baccata L. by Natural Transformation with Rhizobium rhizogenes. Horticulturae 2023, 9, 4. [Google Scholar] [CrossRef]
- Guo, R.; Guo, H.; Zhang, Q.; Guo, M.; Xu, Y.; Zeng, M.; Lv, P.; Chen, X.; Yang, M. Evaluation of Reference Genes for RT-QPCR Analysis in Wild and Cultivated Cannabis. Biosci. Biotechnol. Biochem. 2018, 82, 1902–1910. [Google Scholar] [CrossRef]





| Treatment | Cultivar | Repetition 1 | Repetition 2 | Average | ||||
|---|---|---|---|---|---|---|---|---|
| N. of Cuttings | Rooted Cuttings | Rooting Success, % | N. of Cuttings | Rooted Cuttings | Rooting Success, % | Rooting Success ± SE, % | ||
| A4 | “Hindu Kush” | 4 | 3 | 75 | 4 | 4 | 100 | 95 ± 5 |
| “California Orange” | 4 | 4 | 100 | 4 | 4 | 100 | ||
| “Herijuana” | 4 | 3 | 75 | 4 | 4 | 100 | ||
| “The Pure” | 4 | 4 | 100 | 4 | 4 | 100 | ||
| “Bruce Banner” | 4 | 3 | 75 | 4 | 4 | 100 | ||
| “Big Bud” | 4 | 4 | 100 | 4 | 4 | 100 | ||
| “Motherlode Kush” | 4 | 4 | 100 | 4 | 4 | 100 | ||
| “Wild Thailand” | 4 | 4 | 100 | 4 | 4 | 100 | ||
| IBA | “Hindu Kush” | 4 | 4 | 100 | 4 | 4 | 100 | 98 ± 3 |
| “California Orange” | 4 | 4 | 100 | 4 | 4 | 100 | ||
| “Herijuana” | 4 | 4 | 100 | 4 | 4 | 100 | ||
| “The Pure” | 4 | 4 | 100 | 4 | 4 | 100 | ||
| “Bruce Banner” | 4 | 3 | 75 | 4 | 4 | 100 | ||
| “Big Bud” | 4 | 4 | 100 | 4 | 4 | 100 | ||
| “Motherlode Kush” | 4 | 4 | 100 | 4 | 4 | 100 | ||
| “Wild Thailand” | 4 | 4 | 100 | 4 | 4 | 100 | ||
| H2O | “Hindu Kush” | 4 | 3 | 75 | 4 | 4 | 100 | 86 ± 14 |
| “California Orange” | 4 | 4 | 100 | 4 | 4 | 100 | ||
| “Herijuana” | 4 | 4 | 100 | 4 | 4 | 100 | ||
| “The Pure” | 4 | 3 | 75 | 4 | 4 | 100 | ||
| “Bruce Banner” | 4 | 1 | 25 | 4 | 4 | 100 | ||
| “Big Bud” | 4 | 4 | 100 | 4 | 4 | 100 | ||
| “Motherlode Kush” | 4 | 0 | 0 | 4 | 4 | 100 | ||
| “Wild Thailand” | 4 | 4 | 100 | 4 | 4 | 100 | ||
| Total | 96 | 83 | 86 | 96 | 96 | 100 | ||
| Cultivar | Breeder | Breeder Location |
|---|---|---|
| “Hindu Kush” | Sensi Seeds | Amsterdam, The Netherlands |
| “California Orange” | Seedsman | Barcelona, Spain |
| “Herijuana” | Sannie’s Seeds | Netherlands |
| “The Pure” | Flying Dutchmen | Netherlands |
| “Bruce Banner” | N/A * | N/A * |
| “Big Bud” | Sensi Seeds | Amsterdam, The Netherlands |
| “Motherlode Kush” | Sannie’s Seeds | The Netherlands |
| “Wild Thailand” | World of Seeds | Spain |
| Nutrient | Concentration (mg L−1) |
|---|---|
| Nitrogen, N | 75 |
| Phosphorus, P | 16 |
| Potassium, K | 120 |
| Magnesium, Mg | 16 |
| Boron, B | 0.12 |
| Copper, Cu | 0.07 |
| Iron, Fe | 0.68 |
| Manganese, Mn | 0.26 |
| Molybdenum, Mo | 0.03 |
| Zinc, Zn | 0.09 |
| Gene | Primer Sequences (5′-3′) | Fragment Length (bp) | |
|---|---|---|---|
| rolB | Forward | GATATCCCGAGGGCATTTTT | 182 1 |
| Reverse | GAATGCTTCATCGCCATTTT | ||
| virD | Forward | CTGAATTACGACGCCTTGCG | 196 2 |
| Reverse | TGCGATGACGACTGTTCCAA | ||
| EF1α | Forward | AGCGTGGTATCACCATTGAC | 200 3 |
| Reverse | AGCACAATCAGCCTGTGAAG |
Disclaimer/Publisher’s Note: The statements, opinions and data contained in all publications are solely those of the individual author(s) and contributor(s) and not of MDPI and/or the editor(s). MDPI and/or the editor(s) disclaim responsibility for any injury to people or property resulting from any ideas, methods, instructions or products referred to in the content. |
© 2023 by the authors. Licensee MDPI, Basel, Switzerland. This article is an open access article distributed under the terms and conditions of the Creative Commons Attribution (CC BY) license (https://creativecommons.org/licenses/by/4.0/).
Share and Cite
Favero, B.T.; Salomonsen, J.K.; Lütken, H. Alternative Rooting Methods for Medicinal Cannabis Cultivation in Denmark—Preliminary Results. Plants 2023, 12, 2216. https://doi.org/10.3390/plants12112216
Favero BT, Salomonsen JK, Lütken H. Alternative Rooting Methods for Medicinal Cannabis Cultivation in Denmark—Preliminary Results. Plants. 2023; 12(11):2216. https://doi.org/10.3390/plants12112216
Chicago/Turabian StyleFavero, Bruno Trevenzoli, Jacob Kromann Salomonsen, and Henrik Lütken. 2023. "Alternative Rooting Methods for Medicinal Cannabis Cultivation in Denmark—Preliminary Results" Plants 12, no. 11: 2216. https://doi.org/10.3390/plants12112216
APA StyleFavero, B. T., Salomonsen, J. K., & Lütken, H. (2023). Alternative Rooting Methods for Medicinal Cannabis Cultivation in Denmark—Preliminary Results. Plants, 12(11), 2216. https://doi.org/10.3390/plants12112216

