Thermodynamic Determinants in Antibody-Free Nucleic Acid Lateral Flow Assays (AF-NALFA): Lessons from Molecular Detection of Listeria monocytogenes, Mycobacterium leprae and Leishmania amazonensis
Abstract
1. Introduction
2. Materials and Methods
2.1. Thermodynamic Algorithms
2.2. Target Genes and Asymmetric PCR
2.3. Oligonucleotide Probes and Assembly of AF-NALFA Prototypes
2.4. Synthetic ssDNA Constructs
2.5. AF-NALFA Execution, Results Registration and Statistical Analysis
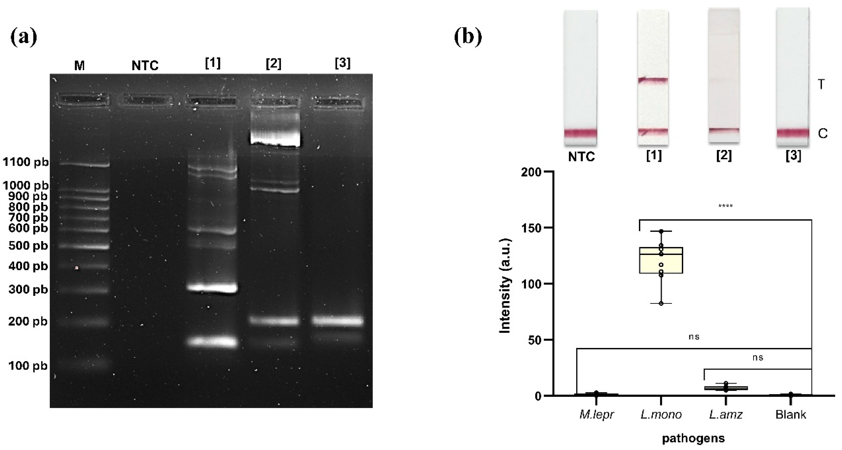
3. Results and Discussions
3.1. Native ssDNA
3.2. Synthetic and Truncated ssDNA
4. Conclusions
Supplementary Materials
Author Contributions
Funding
Institutional Review Board Statement
Informed Consent Statement
Data Availability Statement
Acknowledgments
Conflicts of Interest
Abbreviations
| AF-NALFA | Antibody-free nucleic acid lateral flow assay |
| aPCR | Asymmetric PCR |
| ATCC | American Type Culture Collection |
| AuNPs | Gold nanoparticles |
| ConP | Control probe |
| CP | Capture probe |
| DP | Detection probe |
| gDNA | Genomic DNA |
| NAAT | Nucleic acid amplification test |
| NALF | Nucleic acid lateral flow |
| NALFIA | Nucleic acid lateral flow immunoassay |
| POCT | Point-of-care testing |
| SNP | Single-Nucleotide Polymorphism |
| ssDNA | Single-stranded amplicon |
| Tm | Melting temperature |
| WDCM | World Data Centre for Microorganisms |
| ΔG | Gibbs free energy |
| ΔH | Enthalpy Change |
| ΔS | Entropy Change |
References
- Wang, M.; Liu, H.; Ren, J.; Huang, Y.; Deng, Y.; Liu, Y.; Chen, Z.; Chow, F.W.N.; Leung, P.H.M.; Li, S. Enzyme-Assisted Nucleic Acid Amplification in Molecular Diagnosis: A Review. Biosensors 2023, 13, 160. [Google Scholar] [CrossRef]
- Chen, J.; Huang, Y.; Xiao, B.; Deng, H.; Gong, K.; Li, K.; Li, L.; Hao, W. Development of a RPA-CRISPR-Cas12a Assay for Rapid, Simple, and Sensitive Detection of Mycoplasma Hominis. Front. Microbiol. 2022, 13, 842415. [Google Scholar] [CrossRef]
- Chicharro, C.; Nieto, J.; Miguelañez, S.; Garcia, E.; Ortega, S.; Peña, A.; Rubio, J.M.; Flores-Chaveza, M. Molecular Diagnosis of Leishmaniasis in Spain: Development. Microbiol. Spectr. 2023, 11, e03354-22. [Google Scholar] [CrossRef]
- Kubina, R.; Dziedzic, A. Molecular and Serological Tests for COVID-19. A Comparative Review of SARS-CoV-2 Coronavirus Laboratory and Point-of-Care Diagnostics. Diagnostics 2020, 10, 434. [Google Scholar] [CrossRef]
- Fogaça, M.B.T.; Bhunia, A.K.; Lopes-luz, L.; Pimenta, E.; Pontes, R.; Daniel, J.; Vieira, G.; Bührer-sékula, S. Antibody- and Nucleic Acid—Based Lateral Flow Immunoassay for Listeria Monocytogenes Detection. Anal. Bioanal. Chem. 2021, 413, 4161–4180. [Google Scholar] [CrossRef]
- Li, F.; Li, F.; Luo, D.; Lai, W.; Xiong, Y.; Xu, H. Biotin-Exposure-Based Immunomagnetic Separation Coupled with Nucleic Acid Lateral Flow Biosensor for Visibly Detecting Viable Listeria Monocytogenes. Anal. Chim. Acta 2018, 1017, 48–56. [Google Scholar] [CrossRef]
- Agarwal, S.; Warmt, C.; Henkel, J.; Schrick, L.; Nitsche, A.; Bier, F.F. Lateral Flow–Based Nucleic Acid Detection of SARS-CoV-2 Using Enzymatic Incorporation of Biotin-Labeled DUTP for POCT Use. Anal. Bioanal. Chem. 2022, 414, 3177–3186. [Google Scholar] [CrossRef] [PubMed]
- Tu, Q.; Cao, X.; Ling, C.; Xiang, L.; Yang, P.; Huang, S. Point-of-Care Detection of Neisseria Gonorrhoeae Based on RPA-CRISPR/Cas12a. AMB Express 2023, 13, 50. [Google Scholar] [CrossRef] [PubMed]
- Wang, X.; Lin, H.; Cao, L.; Zhang, X.; Sui, J. The Matrix Interference to the Immunoassay of Food Samples: The Effect of Some Proteins in Aquatic Products. Food Agric. Immunol. 2016, 27, 230–241. [Google Scholar] [CrossRef]
- Agarwal, P.; Toley, B.J. Unreacted Labeled PCR Primers Inhibit the Signal in a Nucleic Acid Lateral Flow Assay as Elucidated by a Transport Reaction Model. ACS Meas. Sci. Au 2022, 2, 317–324. [Google Scholar] [CrossRef] [PubMed]
- Kim, S.; Han, J.; Park, J.S.; Kim, J.H.; Lee, E.S.; Cha, B.S.; Park, K.S. DNA Barcode-Based Detection of Exosomal MicroRNAs Using Nucleic Acid Lateral Flow Assays for the Diagnosis of Colorectal Cancer. Talanta 2022, 242, 123306. [Google Scholar] [CrossRef]
- Lai, W.; Xu, Y.; Liu, L.; Cao, H.; Yang, B.; Luo, J.; Fei, Y. Simultaneous and Visual Detection of KPC and NDM Carbapenemase-Encoding Genes Using Asymmetric PCR and Multiplex Lateral Flow Strip. J. Anal. Methods Chem. 2023. [CrossRef]
- Liu, F.; Liu, H.; Liao, Y.; Wei, J.; Zhou, X.; Xing, D. Multiplex Detection and Genotyping of Pathogenic Bacteria on Paper-Based Biosensor with a Novel Universal Primer Mediated Asymmetric PCR. Biosens. Bioelectron. 2015, 74, 778–785. [Google Scholar] [CrossRef]
- Lopes-Luz, L.; Sampaio, G.C.; Alves, L.M.; Saavedra, D.P.; da Mata, L.S.; Schröder, A.L.; Sucupira, L.C.; Torres Fogaça, M.B.; Neddermeyer, P.C.; Stefani, M.M. de A.; et al. Development and Optimization of an Antibody-Free Nucleic Acid Lateral Flow Assay (AF-NALFA) as Part of a Molecular Toolkit for Visual Readout of Amplified Listeria Monocytogenes DNA. Methods 2025, 239, 127–139. [Google Scholar] [CrossRef]
- Hu, J.; Xu, J.; Lu, Y.; Wang, L.; Wang, Y.; Chen, C.; Zhu, W. Rapid Detection of Enterobacter Cloacae With a Visualized Isothermal Recombinase Polymerase Amplification Assay. Curr. Microbiol. 2023, 80, 233. [Google Scholar] [CrossRef]
- Lee, H.N.; Lee, J.; Kang, Y.K.; Lee, J.H.; Yang, S.; Chung, H.J. A Lateral Flow Assay for Nucleic Acid Detection Based on Rolling Circle Amplification Using Capture Ligand-Modified Oligonucleotides. Biochip J. 2022, 16, 441–450. [Google Scholar] [CrossRef]
- Liu, H.; Xing, D.; Zhou, X. Point of Care Nucleic Acid Detection of Viable Pathogenic Bacteria with Isothermal RNA Amplification Based Paper Biosensor. In Proceedings of the Twelfth International Conference on Photonics and Imaging in Biology and Medicine (PIBM 2014), Wuhan, China, 14–17 June 2014; Volume 9230, p. 923007. [Google Scholar] [CrossRef]
- Cheng, M.; Tan, C.; Xiang, B.; Lin, W.; Cheng, B.; Peng, X.; Yang, Y.; Lin, Y. Chain Hybridization-Based CRISPR-Lateral Flow Assay Enables Accurate Gene Visual Detection. Anal. Chim. Acta 2023, 1270, 341437. [Google Scholar] [CrossRef] [PubMed]
- Matveeva, O.V.; Shabalina, S.A.; Nemtsov, V.A.; Tsodikov, A.D.; Gesteland, R.F.; Atkins, J.F. Thermodynamic Calculations and Statistical Correlations for Oligo-Probes Design. Nucleic Acids Res. 2003, 31, 4211–4217. [Google Scholar] [CrossRef] [PubMed]
- Lu, Z.J.; Mathews, D.H. OligoWalk: An Online SiRNA Design Tool Utilizing Hybridization Thermodynamics. Nucleic Acids Res. 2008, 36, 104–108. [Google Scholar] [CrossRef]
- Weckx, S.; Carton, E.; De Vuyst, L.; Van Hummelen, P. Thermodynamic Behavior of Short Oligonucleotides in Microarray Hybridizations Can Be Described Using Gibbs Free Energy in a Nearest-Neighbor Model. J. Phys. Chem. B 2007, 111, 13583–13590. [Google Scholar] [CrossRef] [PubMed]
- Fontenete, S.; Guimarães, N.; Wengel, J.; Azevedo, N.F. Prediction of Melting Temperatures in Fluorescence in Situ Hybridization (FISH) Procedures Using Thermodynamic Models. Crit. Rev. Biotechnol. 2016, 36, 566–577. [Google Scholar] [CrossRef] [PubMed]
- Yilmaz, L.S.; Noguera, D.R. Mechanistic Approach to the Problem of Hybridization Efficiency in Fluorescent in Situ Hybridization. Appl. Environ. Microbiol. 2004, 70, 7126–7139. [Google Scholar] [CrossRef] [PubMed]
- Mathews, D.H. Using an RNA Secondary Structure Partition Function to Determine Confidence in Base Pairs Predicted by Free Energy Minimization. Rna 2004, 10, 1178–1190. [Google Scholar] [CrossRef] [PubMed]
- Azevedo, M.d.C.S.; Ramuno, N.M.; Fachin, L.R.V.; Tassa, M.; Rosa, P.S.; Belone, A.D.F.F.; Diório, S.M.; Soares, C.T.; Garlet, G.P.; Trombone, A.P.F. QPCR Detection of Mycobacterium Leprae in Biopsies and Slit Skin Smear of Different Leprosy Clinical Forms. Brazilian J. Infect. Dis. 2017, 21, 71–78. [Google Scholar] [CrossRef]
- Parolo, C.; Sena-Torralba, A.; Bergua, J.F.; Calucho, E.; Fuentes-Chust, C.; Hu, L.; Rivas, L.; Álvarez-Diduk, R.; Nguyen, E.P.; Cinti, S.; et al. Tutorial: Design and Fabrication of Nanoparticle-Based Lateral-Flow Immunoassays. Nat. Protoc. 2020, 15, 3788–3816. [Google Scholar] [CrossRef]
- Koehler, R.T.; Peyret, N. Effects of DNA Secondary Structure on Oligonucleotide Probe Binding Efficiency. Comput. Biol. Chem. 2005, 29, 393–397. [Google Scholar] [CrossRef]
- Li, X.; He, Z.; Zhou, J. Selection of Optimal Oligonucleotide Probes for Microarrays Using Multiple Criteria, Global Alignment and Parameter Estimation. Nucleic Acids Res. 2005, 33, 6114–6123. [Google Scholar] [CrossRef]
- Mathews, D.H.; Burkard, M.E.; Freier, S.M.; Wyatt, J.R.; Turner, D.H. Predicting Oligonucleotide Affinity to Nucleic Acid Targets. Rna 1999, 5, 1458–1469. [Google Scholar] [CrossRef]
- Kim, S.; Im, J.; Wang, S.X.; Lee, J. Design and Validation of Specific Oligonucleotide Probes on Planar Magnetic Biosensors. Anal. Chem. 2024, 96, 19447–19455. [Google Scholar] [CrossRef]
- Tao, S.C.; Gao, H.F.; Cao, F.; Ma, X.M.; Cheng, J. Blocking Oligo—A Novel Approach for Improving Chip-Based DNA Hybridization Efficiency. Mol. Cell. Probes 2003, 17, 197–202. [Google Scholar] [CrossRef]
- Liu, W.T.; Guo, H.; Wu, J.H. Effects of Target Length on the Hybridization Efficiency and Specificity of RRNA-Based Oligonucleotide Microarrays. Appl. Environ. Microbiol. 2007, 73, 73–82. [Google Scholar] [CrossRef]
- Haque, S.K.E.; Bhadra, S.; Pal, N.K. Optimized Primer & Probe Design for Targeting the Rapidly Evolving SARS-CoV-2 Genome Using NCBI and Integrated DNA Technology (IDT): Ensuring Specificity and Sensitivity in Real-Time Detection. World J. Pharm. Res. 2025, 14, 873–900. [Google Scholar] [CrossRef]
- Doria, G.; Baumgartner, B.G.; Franco, R.; Baptista, P.V. Optimizing Au-Nanoprobes for Specific Sequence Discrimination. Colloids Surf. B Biointerfaces 2010, 77, 122–124. [Google Scholar] [CrossRef] [PubMed]
- de Bruin, D.; Bossert, N.; Aartsma-Rus, A.; Bouwmeester, D. Measuring DNA Hybridization Using Fluorescent DNA-Stabilized Silver Clusters to Investigate Mismatch Effects on Therapeutic Oligonucleotides. J. Nanobiotechnol. 2018, 16, 37. [Google Scholar] [CrossRef] [PubMed]
- Bugga, P.; Asthana, V.; Drezek, R. Simulation-Guided Tunable DNA Probe Design for Mismatch Tolerant Hybridization. PLoS ONE 2024, 19, e0305002. [Google Scholar] [CrossRef]
- Daher, R.K.; Stewart, G.; Boissinot, M.; Boudreau, D.K.; Bergeron, M.G. Influence of Sequence Mismatches on the Specificity of Recombinase Polymerase Amplification Technology. Mol. Cell. Probes 2015, 29, 116–121. [Google Scholar] [CrossRef]
- Rejali, N.A.; Moric, E.; Wittwer, C.T. The Effect of Single Mismatches on Primer Extension. Clin. Chem. 2018, 64, 801–809. [Google Scholar] [CrossRef] [PubMed]
- Key, B. Membrane and in Situ Hybridization: Principles and Pitfalls. In Neuroscience Methods; Cell Press, Ed.; Taylor and Francis Group: Abingdon, UK, 1998; p. 5. ISBN 9780367810665. [Google Scholar]
- Pesciotta, E.N.; Bornhop, D.J.; Flowers, R.A. Back-Scattering Interferometry: A Versatile Platform for the Study of Free-Solution versus Surface-Immobilized Hybridization. Chem. An Asian J. 2011, 6, 70–73. [Google Scholar] [CrossRef]
- Sohreiner, S.M.; Shudy, D.F.; Hatoh, A.L.; Opdahl, A.; Whitman, L.J.; Petrovykh, D.Y. Controlled and Efficient Hybridization Achieved with DNA Probes Immobilized Solely through Preferential DNA-Substrate Interactions. Anal. Chem. 2010, 82, 2803–2810. [Google Scholar] [CrossRef]
- Peytavi, R.; Tang, L.Y.; Raymond, F.R.; Boissinot, K.; Bissonnette, L.; Boissinot, M.; Picard, F.J.; Huletsky, A.; Ouellette, M.; Bergeron, M.G. Correlation between Microarray DNA Hybridization Efficiency and the Position of Short Capture Probe on the Target Nucleic Acid. Biotechniques 2005, 39, 89–96. [Google Scholar] [CrossRef]
- Macedo, L.J.A.; Miller, E.N.; Opdahl, A. Effect of Probe-Probe Distance on the Stability of DNA Hybrids on Surfaces. Anal. Chem. 2017, 89, 1757–1763. [Google Scholar] [CrossRef]
- Zhou, Y.; Wan, Z.; Yang, S.; Li, Y.; Li, M.; Wang, B.; Hu, Y.; Xia, X.; Jin, X.; Yu, N.; et al. A Mismatch-Tolerant Reverse Transcription Loop-Mediated Isothermal Amplification Method and Its Application on Simultaneous Detection of All Four Serotype of Dengue Viruses. Front. Microbiol. 2019, 10, 1056. [Google Scholar] [CrossRef]
- Baka, E.C.; Kalogianni, D.P. A Signal-Enhanced DNA-Based Lateral Flow Assay. Microchem. J. 2022, 183, 108130. [Google Scholar] [CrossRef]
- Lopes-Luz, L.; Saavedra, D.P.; Fogaça, M.B.T.; Bührer-Sékula, S.; Stefani, M.M. de A. Challenges and Advances in Serological and Molecular Tests to Aid Leprosy Diagnosis. Exp. Biol. Med. 2023, 248, 2083–2094. [Google Scholar] [CrossRef]
- Tió-Coma, M.; Avanzi, C.; Verhard, E.M.; Pierneef, L.; van Hooij, A.; Benjak, A.; Roy, J.C.; Khatun, M.; Alam, K.; Corstjens, P.; et al. Genomic Characterization of Mycobacterium Leprae to Explore Transmission Patterns Identifies New Subtype in Bangladesh. Front. Microbiol. 2020, 11, 1220. [Google Scholar] [CrossRef] [PubMed]
- Reimão, J.Q.; Coser, E.M.; Lee, M.R.; Coelho, A.C. Laboratory Diagnosis of Cutaneous and Visceral Leishmaniasis: Current and Future Methods. Microorganisms 2020, 8, 1632. [Google Scholar] [CrossRef]
- Sinai, M.I.; Salamon, A.; Stanleigh, N.; Goldberg, T.; Weiss, A.; Wang, Y.; Kerem, B. AT-Dinucleotide Rich Sequences Drive Fragile Site Formation. Nucleic Acids Res. 2019, 47, 9685–9695. [Google Scholar] [CrossRef] [PubMed]
- D’Agata, R.; Palladino, P.; Spoto, G. Streptavidin-Coated Gold Nanoparticles: Critical Role of Oligonucleotides on Stability and Fractal Aggregation. Beilstein J. Nanotechnol. 2017, 8, 1–11. [Google Scholar] [CrossRef]
- Mao, X.; Xu, H.; Zeng, Q.; Zeng, L.; Liu, G. Molecular Beacon-Functionalized Gold Nanoparticles as Probes in Dry-Reagent Strip Biosensor for DNA Analysis. Chem. Commun. 2009, 81, 3065–3067. [Google Scholar] [CrossRef]
- Rashid, J.I.A.; Yusof, N.A. The Strategies of DNA Immobilization and Hybridization Detection Mechanism in the Construction of Electrochemical DNA Sensor: A Review. Sens. Bio-Sens. Res. 2017, 16, 19–31. [Google Scholar] [CrossRef]







| Pathogen | Primer Sequences (5′-3′) | Amplicon Size | Gene | Annealing Temperature | References |
|---|---|---|---|---|---|
| L. monocytogenes | F: CCGTAAGTGGGAAATCTGTCTC | 207 bp | hlyA | 56.5 °C | [6] |
| R: AGTTTGTTGTATAGGCAATGGG | |||||
| M. leprae | F: ATTTCTGCCGCTGGTATCGGT | 148 bp | RLEP | 62.5 °C | [25] |
| R: TGCGCTAGAAGGTTGCCGTAT | |||||
| L. amazonensis | F: CCTTTCCCACACATACACAGC | 222 bp | ITS1 | 58.3 °C | This study |
| R: ACGAAATAGGAAGCCAAGTCA |
| Pathogen | Probe | Sequence |
|---|---|---|
| L. monocytogenes | DP | 5′-ATCTTTTGCGGAGCCACCGTATTTTTTTTTT-[thiol]-3′ |
| CP | 5′-[biotin]-TTTTTTTTTTAGTTTGTTGTATAGGCAATGGG-3′ | |
| ConP | 5′-ACGGTGGCTCCGCAAAAGATTTTTTTTTTTT-[biotin]-3′ | |
| M. leprae | DP | 5′-GCCGGTCAACAAGCCGCCGACTTTTTTTTTTTTTTTTTTTT-[thiol]-3′ |
| CP | 5′-[biotin]-TTTTTTTTTTTTTTTTTTTTGATGCACTGTTCACTAACAC-3′ | |
| ConP | 5′-GTCGGCGGCTTGTTGACCGGC-TTTTTTTTTTTTTTTTTTTT-[biotin]-3′ | |
| L. amazonensis | DP | 5′-ACATAACGTGTCGCGATGGAAAAAAAAAAA-[thiol]-3′ |
| CP | 5′-[biotin]-AAAAAAAAAAAGCAAGCCTTTCCCACAGAT-3′ | |
| ConP | 5′-TCCATCGCGACACGTTATGTAAAAAAAAAA-[biotin]-3′ |
Disclaimer/Publisher’s Note: The statements, opinions and data contained in all publications are solely those of the individual author(s) and contributor(s) and not of MDPI and/or the editor(s). MDPI and/or the editor(s) disclaim responsibility for any injury to people or property resulting from any ideas, methods, instructions or products referred to in the content. |
© 2025 by the authors. Licensee MDPI, Basel, Switzerland. This article is an open access article distributed under the terms and conditions of the Creative Commons Attribution (CC BY) license (https://creativecommons.org/licenses/by/4.0/).
Share and Cite
Lopes-Luz, L.; Neddermeyer, P.C.; Sampaio, G.C.; Alves, L.M.; Fogaça, M.B.T.; Saavedra, D.P.; Stefani, M.M.d.A.; Bührer-Sékula, S. Thermodynamic Determinants in Antibody-Free Nucleic Acid Lateral Flow Assays (AF-NALFA): Lessons from Molecular Detection of Listeria monocytogenes, Mycobacterium leprae and Leishmania amazonensis. Biomolecules 2025, 15, 1404. https://doi.org/10.3390/biom15101404
Lopes-Luz L, Neddermeyer PC, Sampaio GC, Alves LM, Fogaça MBT, Saavedra DP, Stefani MMdA, Bührer-Sékula S. Thermodynamic Determinants in Antibody-Free Nucleic Acid Lateral Flow Assays (AF-NALFA): Lessons from Molecular Detection of Listeria monocytogenes, Mycobacterium leprae and Leishmania amazonensis. Biomolecules. 2025; 15(10):1404. https://doi.org/10.3390/biom15101404
Chicago/Turabian StyleLopes-Luz, Leonardo, Paula Correa Neddermeyer, Gabryele Cardoso Sampaio, Luana Michele Alves, Matheus Bernardes Torres Fogaça, Djairo Pastor Saavedra, Mariane Martins de Araújo Stefani, and Samira Bührer-Sékula. 2025. "Thermodynamic Determinants in Antibody-Free Nucleic Acid Lateral Flow Assays (AF-NALFA): Lessons from Molecular Detection of Listeria monocytogenes, Mycobacterium leprae and Leishmania amazonensis" Biomolecules 15, no. 10: 1404. https://doi.org/10.3390/biom15101404
APA StyleLopes-Luz, L., Neddermeyer, P. C., Sampaio, G. C., Alves, L. M., Fogaça, M. B. T., Saavedra, D. P., Stefani, M. M. d. A., & Bührer-Sékula, S. (2025). Thermodynamic Determinants in Antibody-Free Nucleic Acid Lateral Flow Assays (AF-NALFA): Lessons from Molecular Detection of Listeria monocytogenes, Mycobacterium leprae and Leishmania amazonensis. Biomolecules, 15(10), 1404. https://doi.org/10.3390/biom15101404

