Ragweed Major Allergen Amb a 11 Recombinant Production and Clinical Implications
Abstract
1. Introduction
2. Materials and Methods
2.1. Study Group and Patient Recruitment
2.2. Laboratory Supplies
2.3. Recombinant Allergen Expression, Purification, and Detection
2.4. Western Blot Protocol: His-Tag Detection and IgE Binding Detection with Patient Sera
2.5. IgE Binding Frequency Measurement for Purified Recombinant Allergens
2.6. Humanized Rat Basophil Leukemia (hRBL) Cell Cultivation and Mediator Assay
2.7. Streptavidin ImmunoCAP
2.8. Data Collection and Processing
3. Results
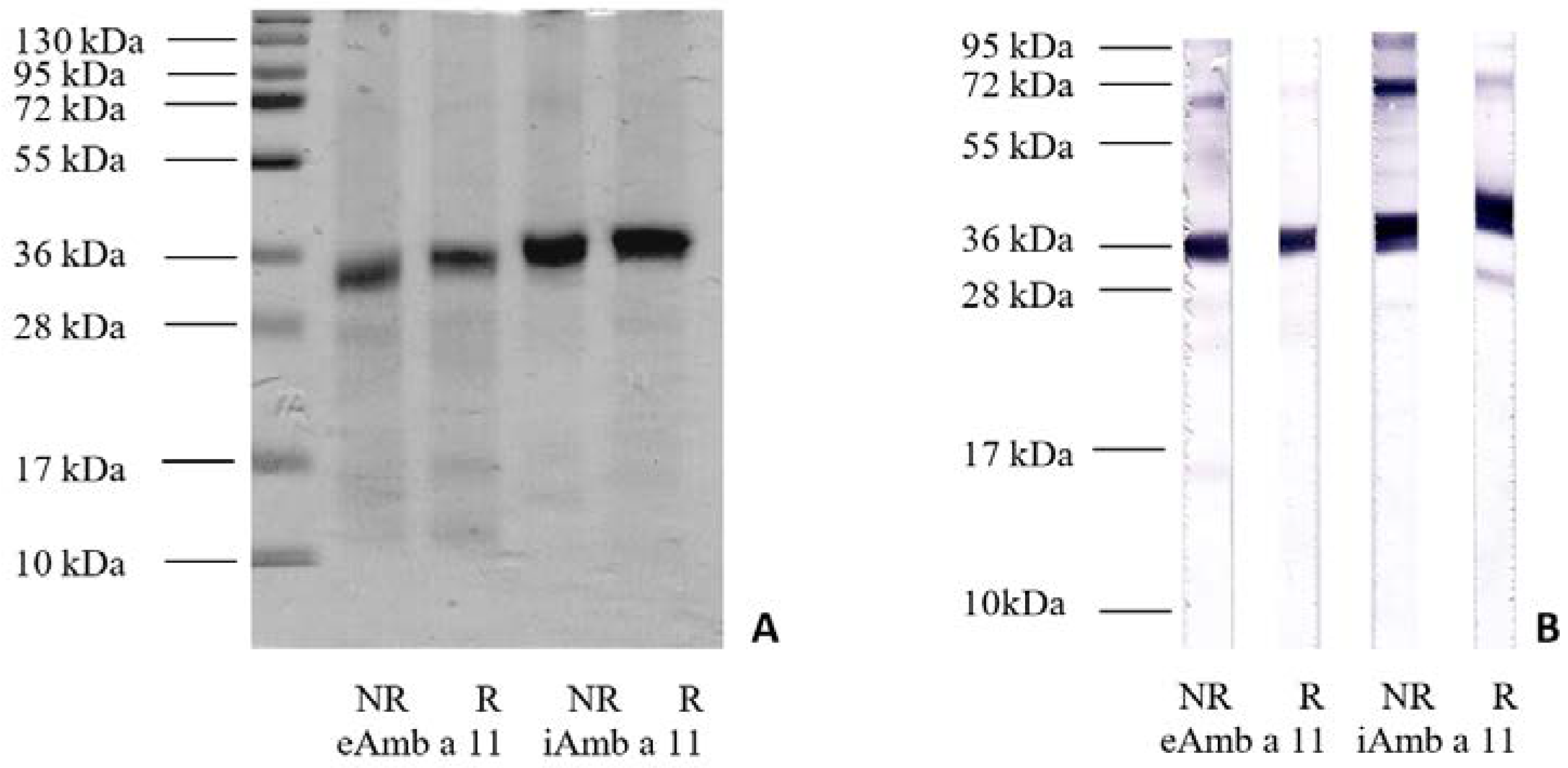
3.1. Protein Features on SDS-PAGE and His-Tag Detection
3.2. Western Blot against Patient Sera
3.3. ELISA
3.4. RBL Degranulation Assay
3.5. ImmunoCAP Testing
3.6. Statistical Analysis
4. Discussion
5. Conclusions
Supplementary Materials
Author Contributions
Funding
Institutional Review Board Statement
Informed Consent Statement
Data Availability Statement
Acknowledgments
Conflicts of Interest
References
- Montagnani, C.; Gentili, R.; Smith, M.; Guarino, M.F.; Citterio, S. The Worldwide Spread, Success, and Impact of Ragweed (Ambrosia spp.). Crit. Rev. Plant Sci. 2017, 36, 139–178. [Google Scholar] [CrossRef]
- Bonini, M.; Ceriotti, V. Ragweed story: From the plant to the patient. Aerobiologia 2019, 36, 45–48. [Google Scholar] [CrossRef]
- Smith, M.; Cecchi, L.; Skjøth, C.; Karrer, G.; Šikoparija, B. Common ragweed: A threat to environmental health in Europe. Environ. Int. 2013, 61, 115–126. [Google Scholar] [CrossRef] [PubMed]
- Ianovici, N.; Panaitescu, C.B.; Brudiu, I. Analysis of airborne allergenic pollen spectrum for 2009 in Timişoara, Romania. Aerobiologia 2013, 29, 95–111. [Google Scholar] [CrossRef]
- Lake, I.R.; Jones, N.R.; Agnew, M.; Goodess, C.M.; Giorgi, F.; Hamaoui-Laguel, L.; Semenov, M.A.; Solomon, F.; Storkey, J.; Vautard, R.; et al. Climate Change and Future Pollen Allergy in Europe. Environ. Health Perspect. 2017, 125, 385–391. [Google Scholar] [CrossRef] [PubMed]
- Gentili, R.; Asero, R.; Caronni, S.; Guarino, M.; Montagnani, C.; Mistrello, G.; Citterio, S. Ambrosia artemisiifolia L. temperature-responsive traits influencing the prevalence and severity of pollinosis: A study in controlled conditions. BMC Plant Biol. 2019, 19, 155. [Google Scholar] [CrossRef]
- Pawankar, R.C.G.; Holgate, S.T.; Lockey, R.F.; Blaiss, M. The World Allergy Organization (WAO) White Book on Allergy: Update 2013; World Allergy Organization (WAO): Milwaukee, WI, USA, 2013. [Google Scholar]
- Floch, B.L.; Groeme, R.; Chabre, H.; Baron-Bodo, V.; Nony, E.; Mascarell, L.; Moingeon, P. New insights into ragweed pollen allergens. Curr. Allergy Asthma Rep. 2015, 15, 63. [Google Scholar] [CrossRef]
- Chen, K.W.; Marusciac, L.; Tamas, P.T.; Valenta, R.; Panaitescu, C. Ragweed Pollen Allergy: Burden, Characteristics, and Management of an Imported Allergen Source in Europe. Int. Arch. Allergy Immunol. 2018, 176, 163–180. [Google Scholar] [CrossRef]
- Gilles-Stein, S.; Beck, I.; Chaker, A.; Bas, M.; McIntyre, M.; Cifuentes, L.; Petersen, A.; Gutermuth, J.; Schmidt-Weber, C.; Behrendt, H.; et al. Pollen derived low molecular compounds enhance the human allergen specific immune response in vivo. Clin. Exp. Allergy 2016, 46, 1355–1365. [Google Scholar] [CrossRef]
- Rauer, D.; Gilles, S.; Wimmer, M.; Frank, U.; Mueller, C.; Musiol, S.; Vafadari, B.; Aglas, L.; Ferreira, F.; Schmitt-Kopplin, P.; et al. Ragweed plants grown under elevated CO2 levels produce pollen which elicit stronger allergic lung inflammation. Allergy 2020, 76, 1718–1730. [Google Scholar] [CrossRef]
- Gough, L.; Schulz, O.; Sewell, H.F.; Shakib, F. The Cysteine Protease Activity of the Major Dust Mite Allergen Der P 1 Selectively Enhances the Immunoglobulin E Antibody Response. J. Exp. Med. 1999, 190, 1897–1902. [Google Scholar] [CrossRef] [PubMed]
- Le, T.M.; Bublin, M.; Breiteneder, H.; Fernández-Rivas, M.; Asero, R.; Ballmer-Weber, B.; Barreales, L.; Bures, P.; Belohlavkova, S.; de Blay, F.; et al. Kiwifruit allergy across Europe: Clinical manifestation and IgE recognition patterns to kiwifruit allergens. J. Allergy Clin. Immunol. 2012, 131, 164–171. [Google Scholar] [CrossRef] [PubMed]
- Bouley, J.; Groeme, R.; Le Mignon, M.; Jain, K.; Chabre, H.; Bordas-Le Floch, V.; Couret, M.-N.; Bussières, L.; Lautrette, A.; Naveau, M.; et al. Identification of the cysteine protease Amb a 11 as a novel major allergen from short ragweed. J. Allergy Clin. Immunol. 2015, 136, 1055–1064. [Google Scholar] [CrossRef] [PubMed]
- Groeme, R.; Airouche, S.; Kopečný, D.; Jaekel, J.; Savko, M.; Berjont, N.; Bussieres, L.; Le Mignon, M.; Jagic, F.; Zieglmayer, P.; et al. Structural and Functional Characterization of the Major Allergen Amb a 11 from Short Ragweed Pollen. J. Biol. Chem. 2016, 291, 13076–13087. [Google Scholar] [CrossRef] [PubMed]
- Sayers, E.W.; Cavanaugh, M.; Clark, K.; Ostell, J.; Pruitt, K.D.; Karsch-Mizrachi, I. GenBank. Nucleic Acids Res. 2019, 47, D94–D99. [Google Scholar] [CrossRef]
- Cysteine Protease Amb a 11.0101. Available online: https://www.ncbi.nlm.nih.gov/protein/V5LU01.1 (accessed on 14 December 2022).
- Burnette, W.N. “Western Blotting”: Electrophoretic transfer of proteins from sodium dodecyl sulfate-polyacrylamide gels to unmodified nitrocellulose and radiographic detection with antibody and radioiodinated protein A. Anal. Biochem. 1981, 112, 195–203. [Google Scholar] [CrossRef]
- Towbin, H.; Staehelin, T.; Gordon, J. Electrophoretic transfer of proteins from polyacrylamide gels to nitrocellulose sheets: Procedure and some applications. Proc. Natl. Acad. Sci. USA 1979, 76, 4350–4354. [Google Scholar] [CrossRef]
- Nakamura, R.; Uchida, Y.; Higuchi, M.; Tsuge, I.; Urisu, A.; Teshima, R. A convenient and sensitive allergy test: IgE crosslinking-induced luciferase expression in cultured mast cells. Allergy 2010, 65, 1266–1273. [Google Scholar] [CrossRef]
- Marx, A.; Backes, C.; Meese, E.; Lenhof, H.P.; Keller, A. EDISON-WMW: Exact Dynamic Programing Solution of the Wilcoxon–Mann–Whitney Test. Genom. Proteom. Bioinform. 2016, 14, 55–61. [Google Scholar] [CrossRef]
- Sullivan, K.M.; Dean, A.; Soe, M.M. On Academics: OpenEpi: A Web-Based Epidemiologic and Statistical Calculator for Public Health. Public Health Rep. 2009, 124, 471–474. [Google Scholar] [CrossRef]
- Bordas-Le Floch, V.; Le Mignon, M.; Bouley, J.; Groeme, R.; Jain, K.; Baron-Bodo, V.; Nony, E.; Mascarell, L.; Moingeon, P. Identification of Novel Short Ragweed Pollen Allergens Using Combined Transcriptomic and Immunoproteomic Approaches. PLoS ONE 2015, 10, e0136258. [Google Scholar] [CrossRef] [PubMed]
- Altmann, F.; Staudacher, E.; Wilson, I.; März, L. Insect cells as hosts for the expression of recombinant glycoproteins. Glycoconj. J. 1999, 16, 109–123. [Google Scholar] [CrossRef] [PubMed]
- Dumez, M.E.; Teller, N.; Mercier, F.; Tanaka, T.; Vandenberghe, I.; Vandenbranden, M.; Devreese, B.; Luxen, A.; Frère, J.M.; Matagne, A.; et al. Activation Mechanism of Recombinant Der p 3 Allergen Zymogen: Contribution of cysteine protease der p 1 and effect of propeptide glycosylation. J. Biol. Chem. 2008, 283, 30606–30617. [Google Scholar] [CrossRef]
- de Halleux, S.; Stura, E.; VanderElst, L.; Carlier, V.; Jacquemin, M.; Saint-Remy, J.M. Three-dimensional structure and IgE-binding properties of mature fully active Der p 1, a clinically relevant major allergen. J. Allergy Clin. Immunol. 2006, 117, 571–576. [Google Scholar] [CrossRef]
- Schöll, I.; Kalkura, N.; Shedziankova, Y.; Bergmann, A.; Verdino, P.; Knittelfelder, R.; Kopp, T.; Hantusch, B.; Betzel, C.; Dierks, K.; et al. Dimerization of the Major Birch Pollen Allergen Bet v 1 Is Important for its In Vivo IgE-Cross-Linking Potential in Mice. J. Immunol. 2005, 175, 6645–6650. [Google Scholar] [CrossRef]
- Tian, Y.; Liu, C.; Zhang, K.; Tao, S.; Xue, W. Glycosylation between recombinant peanut protein Ara h 1 and glucosamine could decrease the allergenicity due to the protein aggregation. LWT 2020, 127, 109374. [Google Scholar] [CrossRef]
- Ansari, I.H.; Kwon, B.; Osorio, F.A.; Pattnaik, A.K. Influence of N-Linked Glycosylation of Porcine Reproductive and Respiratory Syndrome Virus GP5 on Virus Infectivity, Antigenicity, and Ability To Induce Neutralizing Antibodies. J. Virol. 2006, 80, 3994–4004. [Google Scholar] [CrossRef]
- Wingfield, P.T.; Palmer, I.; Liang, S. Folding and Purification of Insoluble (Inclusion Body) Proteins from Escherichia coli. Curr. Protoc. Protein Sci. 2014, 78, 6.5.1–6.5.30. [Google Scholar] [CrossRef] [PubMed]
- Gröhn, S.; Heinimäki, S.; Tamminen, K.; Blazevic, V. Expression of influenza A virus-derived peptides on a rotavirus VP6-based delivery platform. Arch. Virol. 2020, 166, 213–217. [Google Scholar] [CrossRef]
- Date, S.S.; Fiori, M.C.; Altenberg, G.A.; Jansen, M. Expression in Sf9 insect cells, purification and functional reconstitution of the human proton-coupled folate transporter (PCFT, SLC46A1). PLoS ONE 2017, 12, e0177572. [Google Scholar] [CrossRef]
- Chruszcz, M.; Kapingidza, A.B.; Dolamore, C.; Kowal, K. A robust method for the estimation and visualization of IgE cross-reactivity likelihood between allergens belonging to the same protein family. PLoS ONE 2018, 13, e0208276. [Google Scholar] [CrossRef] [PubMed]
- Kurup, V.P.; Knutsen, A.P.; Moss, R.B.; Bansal, N.K. Specific antibodies to recombinant allergens of Aspergillus fumigatus in cystic fibrosis patients with ABPA. Clin. Mol. Allergy 2006, 4, 11. [Google Scholar] [CrossRef] [PubMed]
- Gent, J.F.; Belanger, K.; Triche, E.W.; Bracken, M.B.; Beckett, W.S.; Leaderer, B.P. Association of pediatric asthma severity with exposure to common household dust allergens. Environ. Res. 2009, 109, 768–774. [Google Scholar] [CrossRef]
- Posa, D.; Perna, S.; Resch, Y.; Lupinek, C.; Panetta, V.; Hofmaier, S.; Rohrbach, A.; Hatzler, L.; Grabenhenrich, L.; Tsilochristou, O.; et al. Evolution and predictive value of IgE responses toward a comprehensive panel of house dust mite allergens during the first 2 decades of life. J. Allergy Clin. Immunol. 2016, 139, 541–549.e8. [Google Scholar] [CrossRef] [PubMed]
- Saito, T.; Ichikawa, T.; Numakura, T.; Yamada, M.; Koarai, A.; Fujino, N.; Murakami, K.; Yamanaka, S.; Sasaki, Y.; Kyogoku, Y.; et al. PGC-1α regulates airway epithelial barrier dysfunction induced by house dust mite. Respir. Res. 2021, 22, 63. [Google Scholar] [CrossRef]
- Xian, M.; Ma, S.; Wang, K.; Lou, H.; Wang, Y.; Zhang, L.; Wang, C.; Akdis, C.A. Particulate Matter 2.5 Causes Deficiency in Barrier Integrity in Human Nasal Epithelial Cells. Allergy Asthma Immunol. Res. 2020, 12, 56–71. [Google Scholar] [CrossRef] [PubMed]
- Nur Husna, S.M.; Siti Sarah, C.O.; Tan, H.T.; Md Shukri, N.; Mohd Ashari, N.S.; Wong, K.K. Reduced occludin and claudin-7 expression is associated with urban locations and exposure to second-hand smoke in allergic rhinitis patients. Sci. Rep. 2021, 11, 1245. [Google Scholar] [CrossRef]
- Alshatti, K.A.; Ziyab, A.H. Pet-Keeping in Relation to Asthma, Rhinitis, and Eczema Symptoms among Adolescents in Kuwait: A Cross-Sectional Study. Front. Pediatr. 2020, 8, 331. [Google Scholar] [CrossRef]
- Kadooka, Y.; Idota, T.; Gunji, H.; Shimatani, M.; Kawakami, H.; Dosako, S.I.; Samori, T. A Method for Measuring Specific IgE in Sera by Direct ELISA without Interference by IgG Competition or IgG Autoantibodies to IgE. Int. Arch. Allergy Immunol. 2000, 122, 264–269. [Google Scholar] [CrossRef]
- Maurer, M.; Altrichter, S.; Schmetzer, O.; Scheffel, J.; Church, M.K.; Metz, M. Immunoglobulin E-Mediated Autoimmunity. Front. Immunol. 2018, 9, 689. [Google Scholar] [CrossRef]
- Abbas, M.; Moussa, M.; Akel, H. Type I Hypersensitivity Reaction; StatPearls: Treasure Island, FL, USA, 2021. [Google Scholar]
- Alvaro-Lozano, M.; Akdis, C.A.; Akdis, M.; Alviani, C.; Angier, E.; Arasi, S.; Arzt-Gradwohl, L.; Barber, D.; Bazire, R.; Cavkaytar, O.; et al. EAACI Allergen Immunotherapy User’s Guide. Pediatr. Allergy Immunol. 2020, 31 (Suppl. S25), 1–101. [Google Scholar] [CrossRef] [PubMed]
- Constantinescu, I.; Boscaiu, V.; Cianga, P.; Dinu, A.A.; Gai, E.; Melinte, M.; Moise, A. The frequency of HLA alleles in the Romanian population. Immunogenetics 2015, 68, 167–178. [Google Scholar] [CrossRef] [PubMed]
- Zwollo, P.; Ansari, A.A.; Marsh, D.G. Association of class II DNA restriction fragments with responsiveness to Ambrosia artemisiifolia (short ragweed)-pollen allergen Amb a V in ragweed-allergic patients. J. Allergy Clin. Immunol. 1989, 83, 45–54. [Google Scholar] [CrossRef]
- Marsh, D.G.; Zwollo, P.; Huang, S.K. Molecular and cellular studies of human immune responsiveness to the short ragweed allergen, Amb a V. Eur. Respir. J. Suppl. 1991, 13, 60s–67s. [Google Scholar] [PubMed]




| Patient ID | CAP Test | Concentration (kUA/L) † | Patient ID | CAP Test | Concentration (kUA/L) † |
|---|---|---|---|---|---|
| iAmb11-1 | o212 | 0.02 | iAmb11-23 | o212 | 0 |
| iAmb11-2 | o212 | 0.03 | iAmb11-24 | o212 | 0.01 |
| iAmb11-3 | o212 | 0.01 | iAmb11-25 | o212 | 1.83 |
| iAmb11-4 | o212 | 0.01 | iAmb11-26 | o212 | 0.46 |
| iAmb11-5 | o212 | 0.01 | iAmb11-27 | o212 | 0.05 |
| iAmb11-6 | o212 | 0 | iAmb11-28 | o212 | 1.33 |
| iAmb11-7 | o212 | 0 | iAmb11-29 | o212 | 0.02 |
| iAmb11-8 | o212 | 0 | iAmb11-30 | o212 | 0 |
| iAmb11-9 | o212 | 0.04 | iAmb11-31 | o212 | 0 |
| iAmb11-10 | o212 | 0 | iAmb11-32 | o212 | 0.01 |
| iAmb11-11 | o212 | 0.01 | iAmb11-33 | o212 | 0.01 |
| iAmb11-12 | o212 | 0.1 | iAmb11-34 | o212 | 0.12 |
| iAmb11-13 | o212 | 0 | iAmb11-35 | o212 | 0 |
| iAmb11-14 | o212 | 0.04 | iAmb11-36 | o212 | 0.01 |
| iAmb11-15 | o212 | 0.03 | iAmb11-37 | o212 | 0.03 |
| iAmb11-16 | o212 | 0 | iAmb11-38 | o212 | 0.02 |
| iAmb11-17 | o212 | 0.02 | iAmb11-39 | o212 | 0.03 |
| iAmb11-18 | o212 | 0.01 | iAmb11-40 | o212 | 0.03 |
| iAmb11-19 | o212 | 0.01 | iAmb11-41 | o212 | 0.01 |
| iAmb11-20 | o212 | 0.01 | iAmb11-42 | o212 | 0.01 |
| iAmb11-21 | o212 | 0.02 | iAmb11-43 | o212 | 0.01 |
| iAmb11-22 | o212 | 0 | iAmb11-44 | o212 | 0.01 |
| Parameters † | Patients Group (n = 150) | Amb a 11 Positive (n = 103) | Amb a 11 Negative (n = 47) | p Value |
|---|---|---|---|---|
| Age (years) | 35.91 ± 8.75 (18–61, 35) | 36.04 ± 8.93 (18–61, 35) | 35.62 ± 8.43 (20–61, 34) | >0.05 NS |
| Age groups | 18–39 years: 106 (70.67%) 40–54 years: 39 (26%) ≥55 years: 5 (3.33%) | 18–39 years: 73 (70.88%) 40–54 years: 27 (26.21%) ≥55 years: 3 (2.91%) | 18–39 years: 33 (70.21%) 40–54 years: 12 (25.53%) ≥55 years: 2 (4.26%) | >0.05 NS |
| Sex | Women: 50 (33.33%) Men: 100 (66.67%) | Women: 38 (36.89%) Men: 65 (63.11%) | Women: 12 (25.53%) Men: 35 (74.47%) | <0.05 S |
| Allergy history (years) | 5.06 ± 4.96 (1–32, 3) | 5.28 ± 4.84 (1–24, 3) | 4.56 ± 5.23 (1–32, 3) | >0.05 NS |
| Family history of allergic disease | Negative: 107 (71.33%) Positive: 43 (28.67%) | Negative: 72 (69.9%) Positive: 31 (30.1%) | Negative: 35 (74.47%) Positive: 12 (25.53%) | >0.05 NS |
| Exposure factors | ||||
| Smoking | Non-smokers: 89 (59.33%) Smokers: 61 (40.67%) | Non-smokers: 61 (59.22%) Smokers: 42 (40.78%) | Non-smokers: 28 (59.57%) Smokers:19 (40.43%) | >0.05 NS |
| Professional (organic solvents, dust, etc.) | Negative: 122 (81.33%) Positive: 28 (18.67%) | Negative: 84 (81.55%) Positive: 19 (18.45%) | Negative: 38 (80.85%) Positive: 9 (19.15%) | >0.05 NS |
| Pets | Negative: 96 (64%) Positive: 54 (36%) | Negative: 71 (68.93%) Positive: 32 (31.07%) | Negative: 25 (53.19%) Positive: 22 (46.81%) | <0.05 S |
| Clinical data | ||||
| Allergy pattern | Monosensitized: 45 (30%) Polysensitized: 105 (70%) | Monosensitized: 38 (36.89%) Polysensitized: 65 (63.11%) | Monosensitized: 7 (14.89%) Polysensitized: 40 (85.11%) | <0.05 S |
| Additional positive skin prick test results | House dust mite: 54 (36%) Cereal/grass pollen: 48 (32%) Artemisia: 42 (28%) Fungi: 27 (18%) Tree pollen: 25 (16.67%) | House dust mite: 35 (33.98%) Cereal/grass pollen: 26 (25.24%) Artemisia: 24 (23.3%) Fungi: 15 (14.56%) Tree pollen: 13 (12.62%) | House dust mite: 19 (40.43%) Cereal/grass pollen: 22 (46.81%) Artemisia: 18 (38.30%) Fungi: 12 (25.53%) Tree pollen: 12 (25.53%) | >0.05 NS <0.05 S <0.05 S <0.05 S <0.05 S |
| Allergy season (months) | 3.24 ± 1.86 (1–12, 3) | 3.06 ± 1.74 (1–12, 2) | 3.66 ± 2.06 (1–12, 3) | >0.05 NS |
| Symptoms score (on a 1–12 scale for rhinitis/asthma, 1–9 scale for conjunctivitis/urticaria) and frequency of disease | Rhinitis: 7.27 ± 2.80 (1–12, 8) 149 patients (99.33%) Conjunctivitis: 4.58 ± 2.3 (1–9, 4) 136 patients (90.67%) Asthma: 3.47 ± 2.38 (1–11, 3) 90 patients (60%) Urticaria: 3.11 ± 1.87 (1–9, 3) 37 patients (24.67%) Edema: 13 patients (8.67%) | Rhinitis: 7.30 ± 2.88 (1–12, 8) 103 patients (100%) Conjunctivitis: 4.6 ± 2.43 (1–9, 4) 95 patients (92.23%) Asthma: 3.84 ± 2.54 (1–11, 3) 63 patients (61.17%) Urticaria: 3.17 ± 2.04 (1–9, 3) 24 patients (23.3%) Edema: 8 patients (7.77%) | Rhinitis: 7.20 ± 2.66 (1–12, 8) 46 patients (97.87%) Conjunctivitis: 4.54 ± 2.01 (1–9, 5) 41 patients (87.23%) Asthma: 2.59 ± 1.69 (1–6, 2) 27 patients (57.45%) Urticaria: 3 ± 1.58 (1–6, 3) 13 patients (27.66%) Edema: 5 patients (10.64%) | >0.05 NS >0.05 NS >0.05 NS >0.05 NS <0.05 S >0.05 NS >0.05 NS >0.05 NS >0.05 NS |
| Quality of Life indicators | ||||
| Sleep disturbance | Absent: 48 (32%) Present: 102 (68%) | Absent: 31 (30.1%) Present: 72 (69.9%) | Absent: 17 (36.17%) Present: 30 (63.83%) | >0.05 NS |
| Allergy-related hospitalization | Absent: 133 (88.67%) Present: 17 (21.33%) | Absent: 88 (85.44%) Present: 15 (14.56%) | Absent: 45 (95.74%) Present: 2 (4.26%) | >0.05 NS |
| Activity impairment score (1–10 scale) | 6.88 ± 2.62 (1–10, 7.5) | 7.09 ± 2.60 (1–10, 8) | 6.43 ± 2.64 (1–10, 7) | >0.05 NS |
| Variable | Odds Ratio | 95% CI |
|---|---|---|
| IgE sensitization to Amb a 10 | 1.8279 | 0.6732 to 4.9630 |
| IgE sensitization to Amb a 11 | 4.8207 | 1.8128 to 12.8193 |
| IgE sensitization to Amb a 6 | 0.5092 | 0.2175 to 1.1922 |
| Positive dog SPT | 7.4861 | 2.2907 to 24.4646 |
| Positive fungi SPT | 0.3569 | 0.1103 to 1.1549 |
| Domestic exposure to cats | 3.3427 | 1.2917 to 8.6502 |
Disclaimer/Publisher’s Note: The statements, opinions and data contained in all publications are solely those of the individual author(s) and contributor(s) and not of MDPI and/or the editor(s). MDPI and/or the editor(s) disclaim responsibility for any injury to people or property resulting from any ideas, methods, instructions or products referred to in the content. |
© 2023 by the authors. Licensee MDPI, Basel, Switzerland. This article is an open access article distributed under the terms and conditions of the Creative Commons Attribution (CC BY) license (https://creativecommons.org/licenses/by/4.0/).
Share and Cite
Tamaș, T.-P.; Buzan, M.-R.; Zbîrcea, L.-E.; Cotarcă, M.-D.; Grijincu, M.; Păunescu, V.; Panaitescu, C.; Chen, K.-W. Ragweed Major Allergen Amb a 11 Recombinant Production and Clinical Implications. Biomolecules 2023, 13, 182. https://doi.org/10.3390/biom13010182
Tamaș T-P, Buzan M-R, Zbîrcea L-E, Cotarcă M-D, Grijincu M, Păunescu V, Panaitescu C, Chen K-W. Ragweed Major Allergen Amb a 11 Recombinant Production and Clinical Implications. Biomolecules. 2023; 13(1):182. https://doi.org/10.3390/biom13010182
Chicago/Turabian StyleTamaș, Tudor-Paul, Maria-Roxana Buzan, Lauriana-Eunice Zbîrcea, Monica-Daniela Cotarcă, Manuela Grijincu, Virgil Păunescu, Carmen Panaitescu, and Kuan-Wei Chen. 2023. "Ragweed Major Allergen Amb a 11 Recombinant Production and Clinical Implications" Biomolecules 13, no. 1: 182. https://doi.org/10.3390/biom13010182
APA StyleTamaș, T.-P., Buzan, M.-R., Zbîrcea, L.-E., Cotarcă, M.-D., Grijincu, M., Păunescu, V., Panaitescu, C., & Chen, K.-W. (2023). Ragweed Major Allergen Amb a 11 Recombinant Production and Clinical Implications. Biomolecules, 13(1), 182. https://doi.org/10.3390/biom13010182

