SARS-CoV-2 and Skin: The Pathologist’s Point of View
Abstract
:1. Introduction
2. Materials and Methods
3. Results
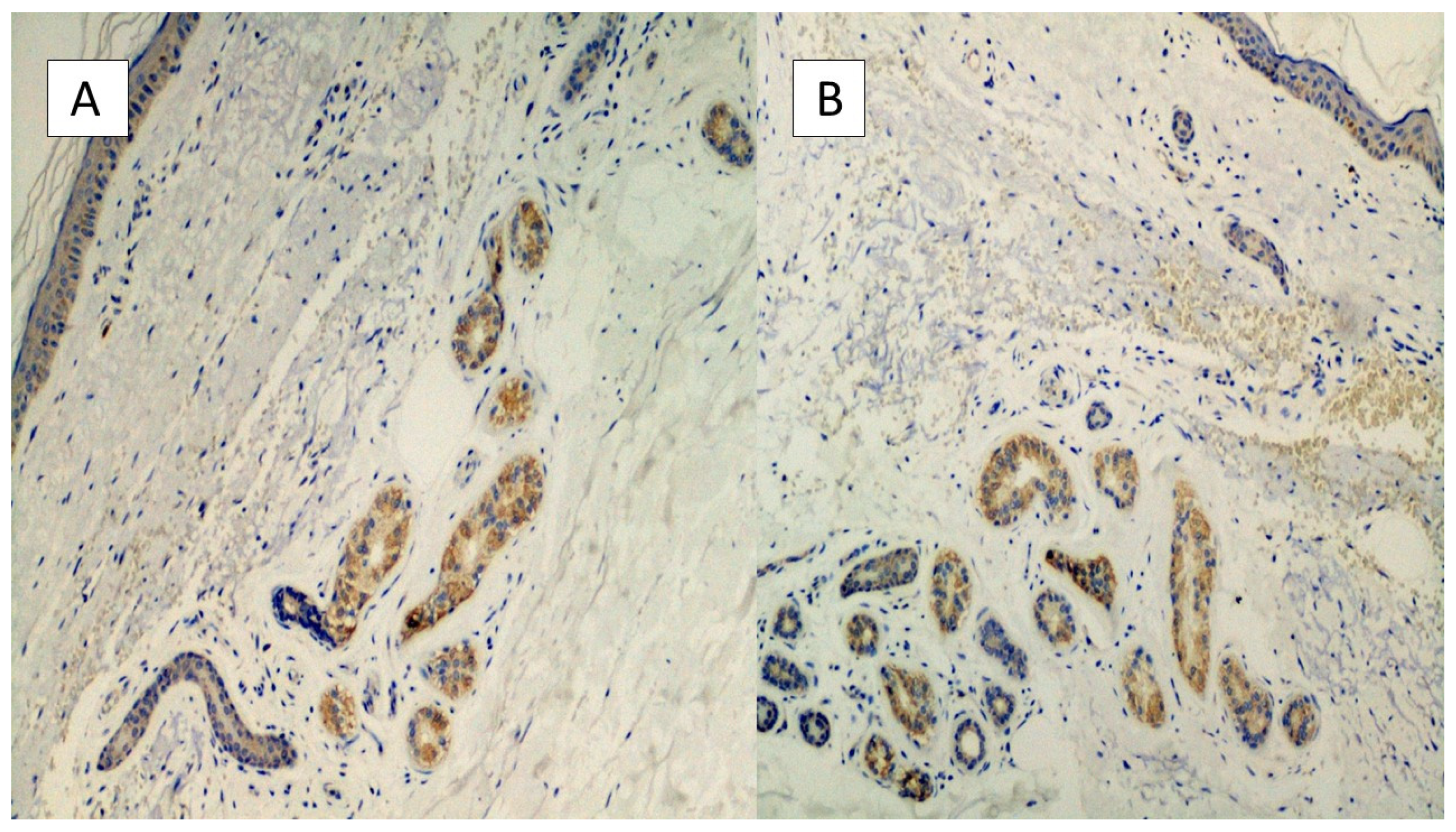
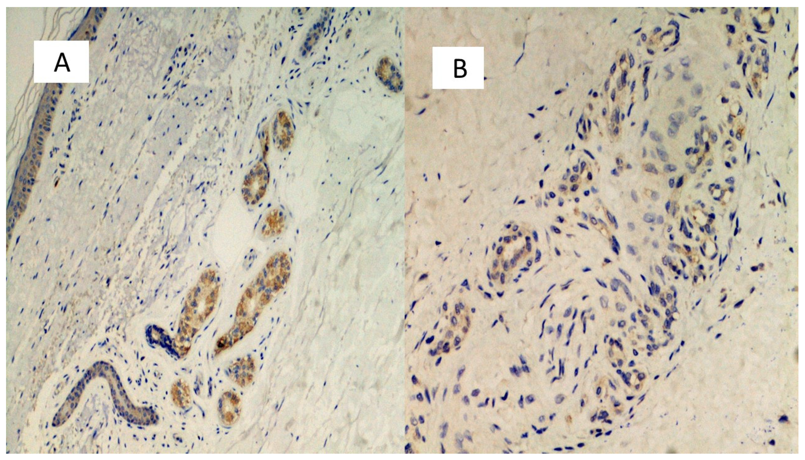
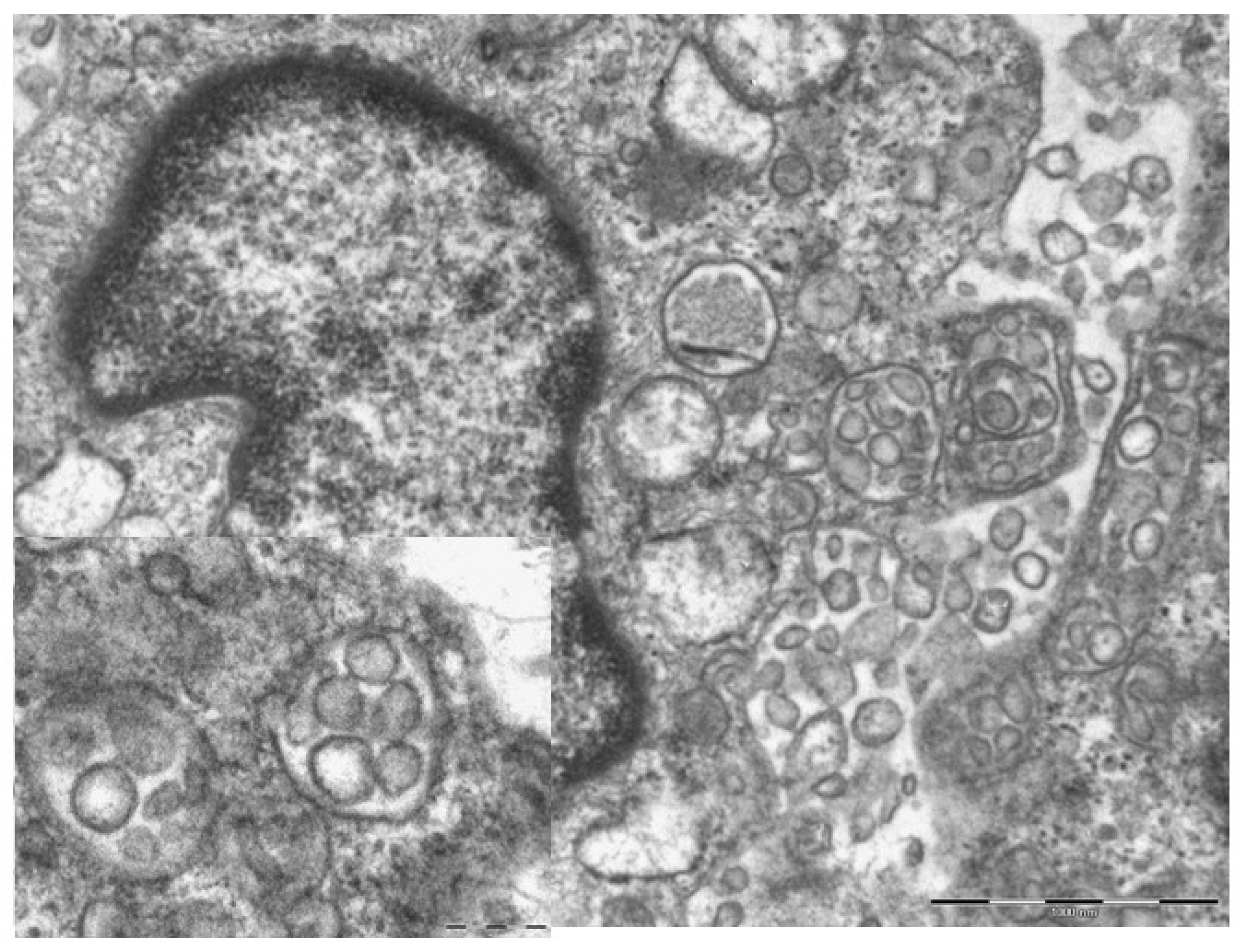
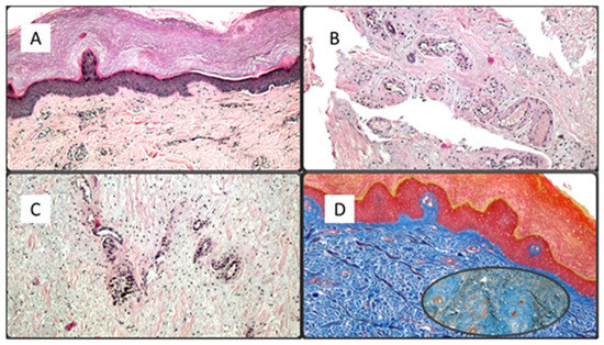
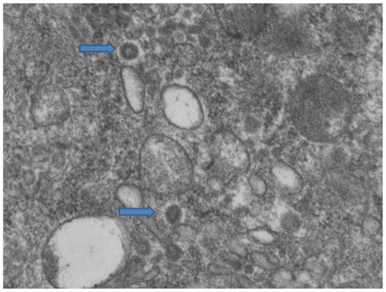
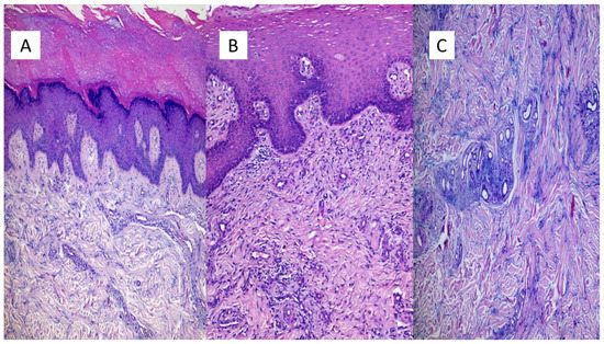
3.1. Erythema-Multiforme Like Eruptions
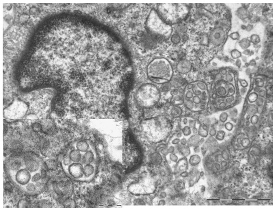
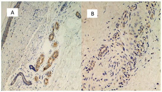
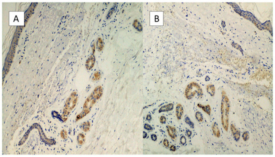
3.2. Pseudochildblains
3.3. Chickenpox Rush
3.4. Urticarioid Rash
4. Discussion
5. Conclusions
Author Contributions
Funding
Informed Consent Statement
Conflicts of Interest
References
- Mohamadian, M.; Chiti, H.; Shoghli, A.; Biglari, S.; Parsamanesh, N.; Esmaeilzadeh, A. COVID-19: Virology, biology and novel laboratory diagnosis. J. Gene Med. 2021, 23, e3303. [Google Scholar] [CrossRef] [PubMed]
- World Health Organization (WHO). WHO Coronavirus (COVID-19) Dashboard. Available online: https://COVID19.who.int/ (accessed on 10 May 2021).
- Tratner, I. SARS-CoV: 1. The virus. Med. Sci. 2003, 19, 885–891. [Google Scholar]
- De Wit, E.; van Doremalen, N.; Falzarano, D.; Munster, V.J. SARS and MERS: Recent insights into emerging coronaviruses. Nat. Rev. Microbiol. 2016, 14, 523–534. [Google Scholar] [CrossRef] [PubMed]
- Center for Disease Control and Prevention (CDC). CDC 2019—Novel Coronavirus (2019-nCoV) Real-Time RT-PCR Diagnostic Panel. 2020. Available online: https://www.fda.gov/media/134922/download (accessed on 11 May 2021).
- Cepheid. Xpert® Xpress SARS-CoV-2: Instructions for Use for Labs. Available online: https://www.fda.gov/media/136314/download (accessed on 10 May 2021).
- Taleghani, N.; Taghipour, F. Diagnosis of COVID-19 for controlling the pandemic: A review of the state-of-the-art. Biosens. Bioelectron. 2021, 15, 112830. [Google Scholar] [CrossRef] [PubMed]
- Sachdeva, M.; Gianotti, R.; Shah, M.; Bradanini, L.; Tosi, D.; Veraldi, S.; Ziv, M.; Leshem, E.; Dodiuk-Gad, R.P. Cutaneous manifestations of COVID-19: Report of three cases and a review of literature. J. Dermatol. Sci. 2020, 98, 75–81. [Google Scholar] [CrossRef] [PubMed]
- Cazzato, G.; Foti, C.; Colagrande, A.; Cimmino, A.; Scarcella, S.; Cicco, G.; Sablone, S.; Arezzo, F.; Romita, P.; Lettini, T.; et al. Skin Manifestation of SARS-CoV-2: The Italian Experience. J. Clin. Med. 2021, 8, 1566. [Google Scholar] [CrossRef] [PubMed]
- Rongioletti, F.; Ferreli, C.; Sena, P.; Caputo, V.; Atzori, L. Clinicopathologic correlations of COVID-19-related cutaneous manifestations with special emphasis on histopathologic patterns. Clin. Dermatol. 2021, 39, 149–162. [Google Scholar] [CrossRef] [PubMed]
- Colmenero, I.; Santonja, C.; Alonso-Riaño, M.; Noguera-Morel, L.; Hernández-Martín, A.; Andina, D.; Wiesner, T.; Rodríguez-Peralto, J.L.; Requena, L.; Torrelo, A. SARS-CoV-2 endothelial infection causes COVID-19 chilblains: Histopathological, immunohistochemical and ultrastructural study of seven paediatric cases. Br. J. Dermatol. 2020, 183, 729–737. [Google Scholar] [CrossRef] [PubMed]
- Torrelo, A.; Andina, D.; Santonja, C.; Noguera-Morel, L.; Bascuas-Arribas, M.; Gaitero-Tristan, J.; Alonso-Cadenas, J.A.; Escalada-Pellitero, S.; Hernandez-Martin, A.; de la Torre-Espi, M.; et al. Erythema multiforme-like lesions in children and COVID-19. Pediatr. Dermatol. 2020, 37, 442–446. [Google Scholar] [CrossRef] [PubMed]
- El Hachem, M.; Diociaiuti, A.; Concato, C.; Carsetti, R.; Carnevale, C.; Ciofi Degli Atti, M.; Giovannelli, L.; Latella, E.; Porzio, O.; Rossi, S.; et al. A clinical, histopathological and laboratory study of 19 consecutive Italian paediatric patients with chilblain-like lesions: Lights and shadows on the relationship with COVID-19 infection. J. Eur. Acad. Dermatol. Venereol. 2020, 34, 2620–2629. [Google Scholar] [CrossRef] [PubMed]
- Andina, D.; Colmenero, I.; Santonja, C.; Muñoz de León, I.; Noguera-Morel, L.; Hernández-Martín, A.; Torrelo, A. Suspected COVID-19-related reticulated purpura of the soles in an infant. Pediatr. Dermatol. 2021, 38, 301–303. [Google Scholar] [CrossRef] [PubMed]
- Ingravallo, G.; Mazzotta, F.; Resta, L.; Sablone, S.; Cazzato, G.; Cimmino, A.; Rossi, R.; Colagrande, A.; Ferrante, B.; Troccoli, T.; et al. Inflammatory Skin Lesions in Three SARS-CoV-2 Swab-Negative Adolescents: A Possible COVID-19 Sneaky Manifestation? Pediatr. Rep. 2021, 9, 181–188. [Google Scholar] [CrossRef] [PubMed]








| Skin Manifestation | Number of Patients | Age (Years) | Localization | Immunohistochemistry | Electron Microscopy |
|---|---|---|---|---|---|
| Erythema Multiforme-Like | 7 | 39–64 | Widespread | Positive | Positive |
| Pseudochildblains | 7 | 12–23 | Foot and malleolar region | Positive | Positive |
| Chickenpox rash | 2 | 38,42 | Chest, back, and face | Positive | Not carried out |
| Urticarioid rash | 1 | 43 | Widespread | Positive | Not carried out |
Publisher’s Note: MDPI stays neutral with regard to jurisdictional claims in published maps and institutional affiliations. |
© 2021 by the authors. Licensee MDPI, Basel, Switzerland. This article is an open access article distributed under the terms and conditions of the Creative Commons Attribution (CC BY) license (https://creativecommons.org/licenses/by/4.0/).
Share and Cite
Cazzato, G.; Mazzia, G.; Cimmino, A.; Colagrande, A.; Sablone, S.; Lettini, T.; Rossi, R.; Santarella, N.; Elia, R.; Nacchiero, E.; et al. SARS-CoV-2 and Skin: The Pathologist’s Point of View. Biomolecules 2021, 11, 838. https://doi.org/10.3390/biom11060838
Cazzato G, Mazzia G, Cimmino A, Colagrande A, Sablone S, Lettini T, Rossi R, Santarella N, Elia R, Nacchiero E, et al. SARS-CoV-2 and Skin: The Pathologist’s Point of View. Biomolecules. 2021; 11(6):838. https://doi.org/10.3390/biom11060838
Chicago/Turabian StyleCazzato, Gerardo, Giulia Mazzia, Antonietta Cimmino, Anna Colagrande, Sara Sablone, Teresa Lettini, Roberta Rossi, Nadia Santarella, Rossella Elia, Eleonora Nacchiero, and et al. 2021. "SARS-CoV-2 and Skin: The Pathologist’s Point of View" Biomolecules 11, no. 6: 838. https://doi.org/10.3390/biom11060838
APA StyleCazzato, G., Mazzia, G., Cimmino, A., Colagrande, A., Sablone, S., Lettini, T., Rossi, R., Santarella, N., Elia, R., Nacchiero, E., Maruccia, M., Marzullo, A., Maiorano, E., Giudice, G., Ingravallo, G., & Resta, L. (2021). SARS-CoV-2 and Skin: The Pathologist’s Point of View. Biomolecules, 11(6), 838. https://doi.org/10.3390/biom11060838

